Quantitative Distribution and Transmission of Tea Plant Necrotic Ring Blotch Virus in Camellia sinensis
Abstract
:1. Introduction
2. Materials and Methods
2.1. Plant Materials
2.2. Virus Supernatant Preparation, Inoculation, and Plant Culture
2.3. Total RNA Isolation and Reverse Transcription
2.4. Construction of Recombinant Plasmid Containing cDNA Clones of TPNRBV
2.5. Conventional PCR Analysis
2.6. SYBR Green Real-Time Fluorescence qPCR Analysis
2.7. Quantification of the Four Segments of TPNRBV and Data Analysis
3. Results
3.1. Primer Pair Optimization and Establishment of Standard Curve for the Four Segments of TPNRBV
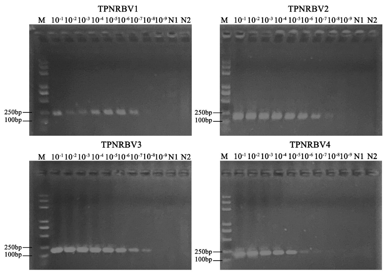
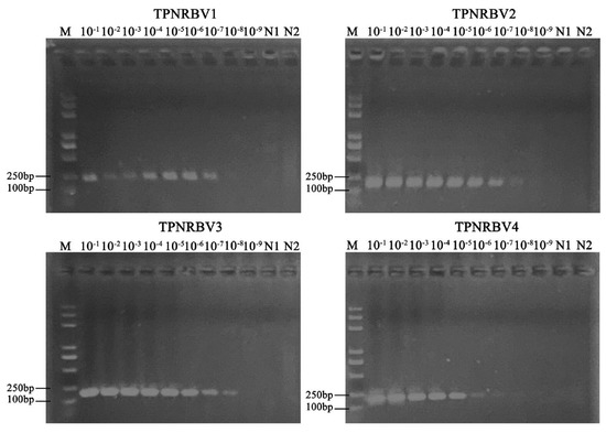
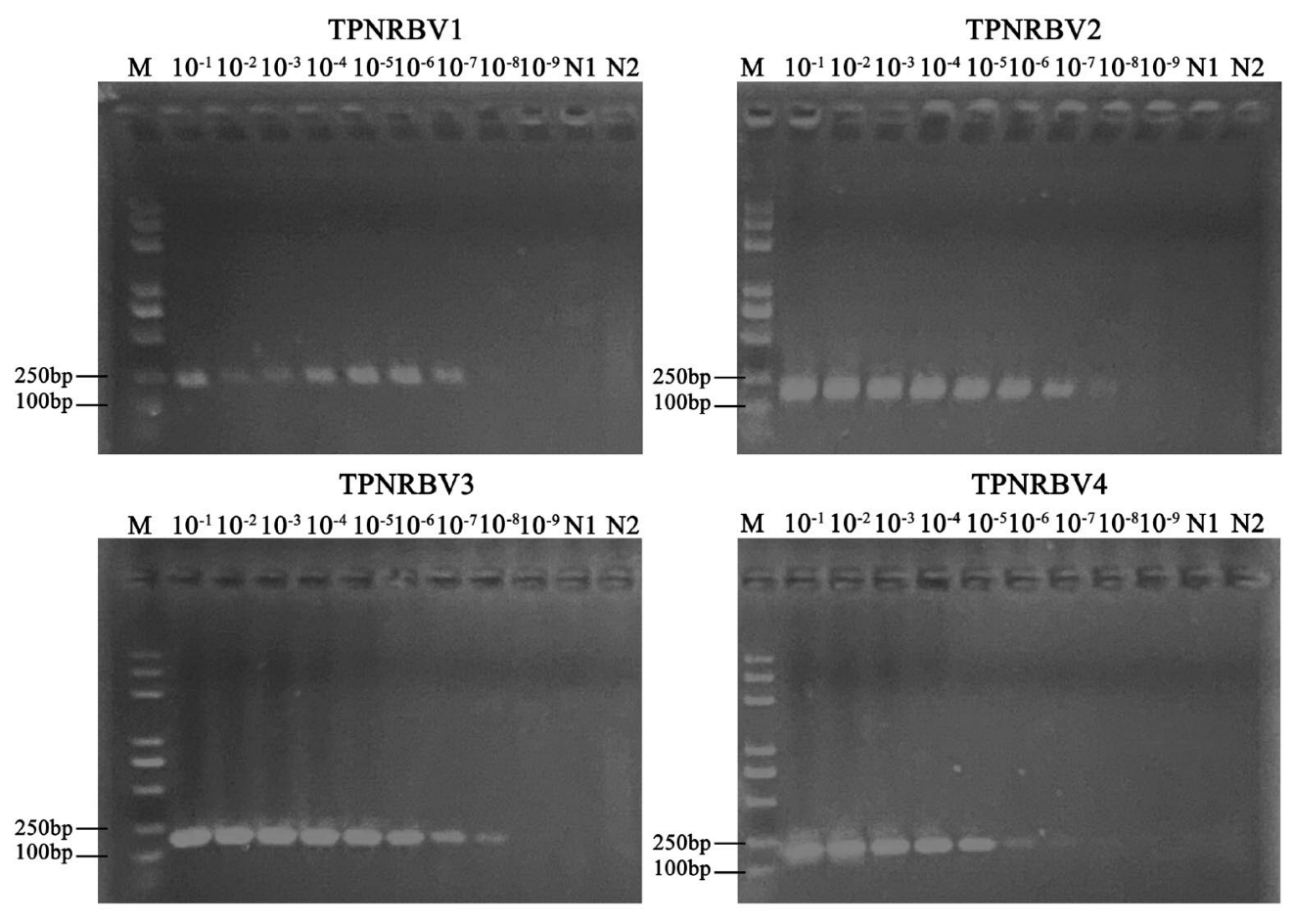
3.2. Sensitivity Comparison of RT-qPCR and PCR
3.3. Titer and Distribution of TPNRBV in Diseased Tea Trees within a Year
3.4. Transmission and Infectivity of TPNRBV through Tea Seeds and Cuttings, and Mechanical Inoculation under Natural Conditions
4. Discussion
5. Conclusions
Supplementary Materials
Author Contributions
Funding
Institutional Review Board Statement
Informed Consent Statement
Data Availability Statement
Conflicts of Interest
References
- Xia, E.H.; Zhang, H.B.; Sheng, J.; Li, K.; Zhang, Q.J.; Kim, C.; Zhang, Y.; Liu, Y.; Zhu, T.; Li, W.; et al. The tea tree genome provides insights into tea flavor and independent evolution of caffeine biosynthesis. Mol. Plant 2017, 10, 866–877. [Google Scholar] [CrossRef] [PubMed]
- Wang, X.; Feng, H.; Chang, Y.; Ma, C.; Wang, L.; Hao, X.; Li, A.; Cheng, H.; Wang, L.; Cui, P.; et al. Population sequencing enhances understanding of tea plant evolution. Nat. Commun. 2020, 11, 4447. [Google Scholar] [CrossRef] [PubMed]
- Carneiro, B.M.; Batista, M.N.; Braga, A.C.S.; Nogueira, M.L.; Rahal, P. The green tea molecule EGCG inhibits zika virus entry. Virology 2016, 496, 215–218. [Google Scholar] [CrossRef] [PubMed]
- Xu, J.; Xu, Z.; Zheng, W. A review of the antiviral role of green tea catechins. Molecules 2017, 22, 1337. [Google Scholar] [CrossRef]
- Song, J.M. Anti-infective potential of catechins and their derivatives against viral hepatitis. Clin. Exp. Vaccine Res. 2018, 7, 37–42. [Google Scholar] [CrossRef]
- Hao, X.; Zhang, W.; Zhao, F.; Liu, Y.; Qian, W.; Wang, Y.; Wang, L.; Zeng, J.; Yang, Y.; Wang, X. Discovery of plant viruses from tea plant (Camellia sinensis (L.) O. Kuntze) by metagenomic sequencing. Front. Microbiol. 2018, 9, 2175. [Google Scholar] [CrossRef]
- Quito-Avila, D.F.; Brannen, P.M.; Cline, W.O.; Harmon, P.F.; Martin, R.R. Genetic characterization of blueberry necrotic ring blotch virus, a novel RNA virus with unique genetic features. J. Gen. Virol. 2013, 94, 1426–1434. [Google Scholar] [CrossRef]
- Roossinck, M.J. Lifestyles of plant viruses. Philos. Trans. R. Soc. Lond. B Biol. Sci. 2010, 365, 1899–1905. [Google Scholar] [CrossRef]
- Ghoshal, B.; Sanfaçon, H. Symptom recovery in virus-infected plants: Revisiting the role of RNA silencing mechanisms. Virology 2015, 479–480, 167–179. [Google Scholar] [CrossRef]
- Robinson, T.S.; Scherm, H.; Brannen, P.M.; Allen, R.; Deom, C.M. Blueberry necrotic ring blotch virus in southern highbush blueberry: Insights into in planta and in-field movement. Plant Dis. 2016, 100, 1575–1579. [Google Scholar] [CrossRef]
- Rodrigues, J.C.; Kitajima, E.W.; Childers, C.C.; Chagas, C.M. Citrus leprosis virus vectored by Brevipalpus phoenicis (Acari: Tenuipalpidae) on citrus in Brazil. Exp. Appl. Acarol. 2003, 30, 161–179. [Google Scholar] [CrossRef]
- Melzer, M.J.; Sether, D.M.; Borth, W.B.; Hu, J.S. Characterization of a virus infecting citrus Volkameriana with citrus leprosis-like symptoms. Phytopathology 2012, 102, 122–127. [Google Scholar] [CrossRef]
- Boonham, N.; Kreuze, J.; Winter, S.; van der Vlugt, R.; Bergervoet, J.; Tomlinson, J.; Mumford, R. Methods in virus diagnostics: From ELISA to next generation sequencing. Virus Res. 2014, 186, 20–31. [Google Scholar] [CrossRef]
- Zhang, F.; Liu, S.; Zhang, T.; Ye, Z.; Han, X.; Zhong, K.; Yang, J.; Chen, J.; Liu, P. Construction and biological characterization of an infectious full-length cDNA clone of a Chinese isolate of wheat yellow mosaic virus. Virology 2021, 556, 101–109. [Google Scholar] [CrossRef]
- Cui, T.; Bin, Y.; Yan, J.; Mei, P.; Li, Z.; Zhou, C.; Song, Z. Development of infectious cDNA clones of citrus yellow vein clearing virus using a novel and rapid strategy. Phytopathology 2018, 108, 1212–1218. [Google Scholar] [CrossRef]
- Chen, Z.; Mao, S.; Zhang, W.; Fan, X.; Wu, W.; Liu, C.; Zhao, K.; Lu, R. Rapid visual detection method for barley yellow mosaic virus using reverse transcription loop-mediated isothermal amplification (RT-LAMP). Plant Dis. 2021, 105, 2658–2663. [Google Scholar] [CrossRef]
- Shafiq, M.; Iqbal, Z.; Ali, I.; Abbas, Q.; Mansoor, S.; Briddon, R.W.; Amin, I. Real-time quantitative PCR assay for the quantification of virus and satellites causing leaf curl disease in cotton in Pakistan. J. Virol. Methods 2017, 248, 54–60. [Google Scholar] [CrossRef]
- Motghare, M.; Dhar, A.K.; Kokane, A.; Warghane, A.; Kokane, S.; Sharma, A.K.; Reddy, M.K.; Ghosh, D.K. Quantitative distribution of citrus yellow mosaic badnavirus in sweet orange (Citrus sinensis) and its implication in developing disease diagnostics. J. Virol. Methods 2018, 259, 25–31. [Google Scholar] [CrossRef]
- Guo, D.; Maiss, E.; Adam, G. Ilarvirus isolation and RNA extraction. Methods Mol. Biol. 1998, 81, 171–181. [Google Scholar] [CrossRef]
- Hao, X.; Tang, H.; Wang, B.; Yue, C.; Wang, L.; Zeng, J.; Yang, Y.; Wang, X. Integrative transcriptional and metabolic analyses provide insights into cold spell response mechanisms in young shoots of the tea plant. Tree Physiol. 2018, 38, 1655–1671. [Google Scholar] [CrossRef]
- Hao, X.; Horvath, D.P.; Chao, W.S.; Yang, Y.; Wang, X.; Xiao, B. Identification and evaluation of reliable reference genes for quantitative real-time PCR analysis in tea plant (Camellia sinensis (L.) O. Kuntze). Int. J. Mol. Sci. 2014, 15, 22155–22172. [Google Scholar] [CrossRef] [PubMed]
- Tassi, A.D.; Garita-Salazar, L.C.; Amorim, L.; Novelli, V.M.; Freitas-Astúa, J.; Childers, C.C.; Kitajima, E.W. Virus-vector relationship in the citrus leprosis pathosystem. Exp. Appl. Acarol. 2017, 71, 227–241. [Google Scholar] [CrossRef] [PubMed]
- Liczbiński, P.; Bukowska, B. Tea and coffee polyphenols and their biological properties based on the latest in vitro investigations. Ind. Crops Prod. 2022, 175, 114265. [Google Scholar] [CrossRef] [PubMed]
- Yang, T.; Li, H.; Hu, X.; Li, J.; Hu, J.; Liu, R.; Deng, Z. Effects of fertilizing with N, P, Se, and Zn on regulating the element and functional component contents and antioxidant activity of tea leaves planted in red soil. J. Agric. Food Chem. 2014, 62, 3823–3830. [Google Scholar] [CrossRef]
- Li, Z.X.; Yang, W.J.; Ahammed, G.J.; Shen, C.; Yan, P.; Li, X.; Han, W.Y. Developmental changes in carbon and nitrogen metabolism affect tea quality in different leaf position. Plant Physiol. Biochem. 2016, 106, 327–335. [Google Scholar] [CrossRef]
- Wu, L.Y.; Fang, Z.T.; Lin, J.K.; Sun, Y.; Du, Z.Z.; Guo, Y.L.; Liu, J.H.; Liang, Y.R.; Ye, J.H. Complementary iTRAQ proteomic and transcriptomic analyses of leaves in tea plant (Camellia sinensis L.) with different maturity and regulatory network of flavonoid biosynthesis. J. Proteome Res. 2019, 18, 252–264. [Google Scholar] [CrossRef]
- Morozov, S.Y.; Lazareva, E.A.; Solovyev, A.G. Sequence relationships of RNA helicases and other proteins encoded by blunervirus RNAs highlight recombinant evolutionary origin of kitaviral genomes. Front. Microbiol. 2020, 11, 561092. [Google Scholar] [CrossRef]
- Mukhopadhyay, M.; Mondal, T.K.; Chand, P.K. Biotechnological advances in tea (Camellia sinensis [L.] O. Kuntze): A review. Plant Cell Rep. 2016, 35, 255–287. [Google Scholar] [CrossRef]
- Wei, K.; Ruan, L.; Wang, L.; Cheng, H. Auxin-induced adventitious root formation in nodal cuttings of Camellia sinensis. Int. J. Mol. Sci. 2019, 20, 4817. [Google Scholar] [CrossRef]
- Casteel, C.L.; Falk, B.W. Plant Virus-Vector Interactions: More Than Just for Virus Transmission. In Current Research Topics in Plant Virology; Wang, A., Zhou, X., Eds.; Springer: New York, NY, USA, 2016; pp. 217–240. [Google Scholar]
- Rogerio, L.A.; Galdeano, D.M.; Arena, G.D.; Nunes, M.A.; Machado, M.A.; Novelli, V.M. Reference genes for gene expression studies by RT-qPCR in Brevipalpus yothersi (Acari: Tenuipalpidae), the mite vector of Citrus leprosis virus. Sci. Rep. 2019, 9, 6536. [Google Scholar] [CrossRef]
- Banerjee, P.; Islam, M.M.; Laha, A.; Biswas, H.; Saha, N.C.; Saha, G.K.; Sarkar, D.; Bhattacharya, S.; Podder, S. Phytochemical analysis of mite-infested tea leaves of Darjeeling Hills, India. Phytochem. Anal. 2020, 31, 277–286. [Google Scholar] [CrossRef]
- Hong, F.; Mo, S.H.; Lin, X.Y.; Niu, J.; Yin, J.; Wei, D. The PacBio full-length transcriptome of the tea aphid as a reference resource. Front. Genet. 2020, 11, 558394. [Google Scholar] [CrossRef]
- Idris, A.L.; Fan, X.; Muhammad, M.H.; Guo, Y.; Guan, X.; Huang, T. Ecologically controlling insect and mite pests of tea plants with microbial pesticides: A review. Arch. Microbiol. 2020, 202, 1275–1284. [Google Scholar] [CrossRef]




| Samples | RNA1 | RNA2 | RNA3 | RNA4 |
|---|---|---|---|---|
| Spring (1 April 2019) | ||||
| Top buds | ND, ND, ND | ND, 2.18 × 10, ND | ND, 1.93 × 10, ND | ND, ND, ND |
| The first upper leaves | ND, ND, ND | ND, ND, ND | ND, ND, ND | 2.89 × 10, ND, ND |
| The second upper leaves | ND, ND, ND | ND, ND, ND | 5.67, 7.52, ND | 1.78 × 10, 3.34 × 10, ND |
| New unfolded leaves | - | - | - | - |
| Asymptomatic mature leaves formed during current year | - | - | - | - |
| Asymptomatic mature leaves formed previous year | ND, 9.99 × 102, 1.92 × 103 | 8.07, 3.64 × 103, 5.24 × 103 | ND, 2.10 × 104, 4.32 × 104 | ND, 1.71 × 106, 2.62 × 105 |
| Symptomatic diseased mature leaves | 2.13 × 105, 8.66 × 104, 2.29 × 105 | 3.09 × 105, 1.36 × 103, 4.50 × 105 | 1.87 × 106, 3.74 × 105, 2.76 × 106 | 1.19 × 108, 6.42 × 106, 4.43 × 107 |
| Green young stems | ND, ND, ND | ND, ND, ND | ND, ND, ND | ND, ND, ND |
| Brown old stems | 2.82 × 102, 4.75, ND | 7.38 × 102, 2.93 × 10, ND | 5.74 × 103, 7.89 × 10, 1.18 × 10 | 3.73 × 104, 2.97 × 102, 1.63 × 102 |
| Roots | ND, ND, ND | 1.75 × 10, ND, ND | 4.11 × 10, 5.80, 1.26 × 10 | 1.30 × 102, ND, 8.95 × 10 |
| Flowers | - | - | - | - |
| Summer (7 July 2019) | ||||
| Top buds | ND, ND, ND | ND, ND, ND | ND, ND, ND | ND, ND, ND |
| The first upper leaves | ND, ND, ND | ND, ND, ND | ND, ND, ND | ND, ND, ND |
| The second upper leaves | ND, 1.60 × 10, ND | ND, 2.21 × 10, ND | ND, 2.07 × 10, ND | ND, 3.18 × 10, ND |
| New unfolded leaves | ND, 1.73 × 104, ND | ND, 5.02 × 104, ND | 8.26, 1.38 × 105, ND | 1.35 × 102, 5.37 × 105, 5.47 |
| Asymptomatic mature leaves formed during current year | ND, ND, ND | ND, ND, ND | ND, ND, ND | ND, ND, ND |
| Asymptomatic mature leaves formed previous year | - | - | - | - |
| Symptomatic diseased mature leaves | 1.24 × 104, 1.46 × 104, 1.42 × 104 | 1.04 × 104, 2.69 × 104, 3.27 × 104 | 8.86 × 104, 2.76 × 105, 1.25 × 105 | 9.76 × 105, 2.04 × 106, 2.46 × 106 |
| Green young stems | ND, ND, ND | ND, ND, ND | ND, ND, ND | ND, ND, ND |
| Brown old stems | ND, 1.3 × 10, ND | ND, 4.08 × 10, ND | 7.73, 7.17 × 10, ND | 7.94 × 10, 4.36 × 103, ND |
| Roots | ND, ND, ND | ND, ND, ND | ND, ND, ND | ND, ND, ND |
| Flowers | - | - | - | - |
| Autumn (15 October 2019) | ||||
| Top buds | ND, ND, ND | ND, ND, ND | 2.11 × 10, ND, ND | 2.72 × 10, ND, ND |
| The first upper leaves | ND, ND, ND | ND, ND, ND | 2.44 × 10, ND, 7.67 | 1.80 × 102, ND, ND |
| The second upper leaves | ND, 1.51 × 10, ND | ND, 1.50 × 10, ND | 5.16 × 10, 9.27 × 10, 1.10 × 10 | 7.90 × 10, 6.08 × 102, 1.02 × 10 |
| New unfolded leaves | - | - | - | - |
| Asymptomatic mature leaves formed during current year | ND, ND, ND | ND, ND, ND | ND, ND, ND | ND, ND, 7.46 |
| Asymptomatic mature leaves formed previous year | - | - | - | - |
| Symptomatic diseased mature leaves | 3.16 × 104, 1.37 × 104, 1.08 × 104 | 1.38 × 105, 8.18 × 104, 6.64 × 104 | 1.61 × 106, 8.43 × 105, 8.74 × 105 | 4.20 × 107, 2.83 × 107, 2.62 × 107 |
| Green young stems | ND, ND, 2.33 × 10 | ND, ND, 2.19 × 10 | 7.33, 2.23 × 10, 2.62 × 102 | 5.33 × 10, 4.12 × 102, 3.10 × 103 |
| Brown old stems | ND, 1.93 × 10, ND | ND, 3.22 × 10, ND | 4.83 × 10, 5.25, 5.89 | 3.99 × 102, 1.28 × 103, 1.67 × 102 |
| Roots | ND, ND, ND | ND, ND, 1.32 × 10 | 5.69, 3.35 × 10, 6.18 × 10 | ND, 1.59 × 102, ND |
| Flowers | 1.10 × 10, ND, ND | ND, ND, 8.46 × 10 | 8.77 × 102, 1.01 × 10, 5.17 | 9.92 × 103, 7.12 × 10, ND |
| Winter (27 December 2019) | ||||
| Symptomatic area of diseased mature leaves | 7.66 × 104, 9.05 × 104, 9.92 × 103 | 5.62 × 104, 6.66 × 104, 2.02 × 104 | 1.14 × 106, 9.16 × 105, 5.29 × 105 | 2.62 × 107, 2.49 × 107, 5.88 × 106 |
| Asymptomatic area of diseased mature leaves | 1.76 × 102, 2.86 × 102, 7.63 × 103 | 4.59 × 102, 7.63 × 102, 5.15 × 103 | 7.59 × 102, 8.10 × 102, 9.66 × 104 | 7.07 × 104, 6.83 × 104, 2.38 × 106 |
| Tea Cultivars | Different Parts of Tea Leaves | TPNRBV | |||
|---|---|---|---|---|---|
| RNA1 | RNA2 | RNA3 | RNA4 | ||
| ZH 1 | Upper new leaves | ND, ND, ND | ND, ND, ND | ND, ND, ND | ND, ND, ND |
| Lower mature leaves | 1.92 × 104, ND, 3.18×103 | 9.03 × 103, ND, 7.76 × 102 | 1.54 × 105, ND, 2.03 × 104 | 1.04 × 106, ND, 9.81 × 104 | |
| ZH 2 | Upper new leaves | ND, ND, ND | ND, ND, ND | ND, ND, ND | ND, ND, ND |
| Lower mature leaves | ND, ND, 9.03 × 102 | ND, ND, 2.42 × 102 | 6.02, ND, 6.11 × 103 | ND, ND, 1.80 × 104 | |
| HJY | Upper new leaves | ND, ND, ND | ND, ND, ND | ND, ND, ND | ND, ND, ND |
| Lower mature leaves | ND, ND, 8.28 × 10 | ND, ND, 6.02 × 10 | ND, ND, 9.03 × 102 | ND, ND, 5.61 × 102 | |
| BY 1 | Upper new leaves | ND, ND, ND | ND, ND, ND | ND, ND, ND | ND, ND, ND |
| Lower mature leaves | ND, ND, ND | ND, ND, ND | ND, ND, ND | ND, ND, ND | |
| LJ 43 | Upper new leaves | ND, ND, ND | ND, ND, ND | ND, ND, ND | ND, ND, ND |
| Lower mature leaves | ND, ND, ND | ND, ND, ND | ND, ND, ND | ND, ND, ND | |
| Mature leaves of the five tea cultivars before treatment | ZH 1 | ND, ND, ND | ND, ND, ND | ND, ND, ND | ND, ND, ND |
| ZH 2 | ND, ND, ND | ND, ND, ND | ND, ND, ND | ND, ND, ND | |
| HJY | ND, ND, ND | ND, ND, ND | ND, ND, ND | ND, ND, ND | |
| BY 1 | ND, ND, ND | ND, ND, ND | ND, ND, ND | ND, ND, ND | |
| LJ 43 | ND, ND, ND | ND, ND, ND | ND, ND, ND | ND, ND, ND | |
Publisher’s Note: MDPI stays neutral with regard to jurisdictional claims in published maps and institutional affiliations. |
© 2022 by the authors. Licensee MDPI, Basel, Switzerland. This article is an open access article distributed under the terms and conditions of the Creative Commons Attribution (CC BY) license (https://creativecommons.org/licenses/by/4.0/).
Share and Cite
Ren, H.; Chen, Y.; Zhao, F.; Ding, C.; Zhang, K.; Wang, L.; Yang, Y.; Hao, X.; Wang, X. Quantitative Distribution and Transmission of Tea Plant Necrotic Ring Blotch Virus in Camellia sinensis. Forests 2022, 13, 1306. https://doi.org/10.3390/f13081306
Ren H, Chen Y, Zhao F, Ding C, Zhang K, Wang L, Yang Y, Hao X, Wang X. Quantitative Distribution and Transmission of Tea Plant Necrotic Ring Blotch Virus in Camellia sinensis. Forests. 2022; 13(8):1306. https://doi.org/10.3390/f13081306
Chicago/Turabian StyleRen, Hengze, Yao Chen, Fumei Zhao, Changqing Ding, Kexin Zhang, Lu Wang, Yajun Yang, Xinyuan Hao, and Xinchao Wang. 2022. "Quantitative Distribution and Transmission of Tea Plant Necrotic Ring Blotch Virus in Camellia sinensis" Forests 13, no. 8: 1306. https://doi.org/10.3390/f13081306
APA StyleRen, H., Chen, Y., Zhao, F., Ding, C., Zhang, K., Wang, L., Yang, Y., Hao, X., & Wang, X. (2022). Quantitative Distribution and Transmission of Tea Plant Necrotic Ring Blotch Virus in Camellia sinensis. Forests, 13(8), 1306. https://doi.org/10.3390/f13081306

