Sonodelivery Facilitates Sustained Luciferase Expression from an Episomal Vector in Skeletal Muscle
Abstract
:1. Introduction
2. Results and Discussion
2.1. An Episomal Plasmid Can Be Complexed with a Polymer and Delivery Is Enhanced by Ultrasound in Skeletal Muscle Cells
2.2. Sonodelivery of pEPIto-Luc in Vivo Yields Long-Term Gene Expression in Skeletal Muscle


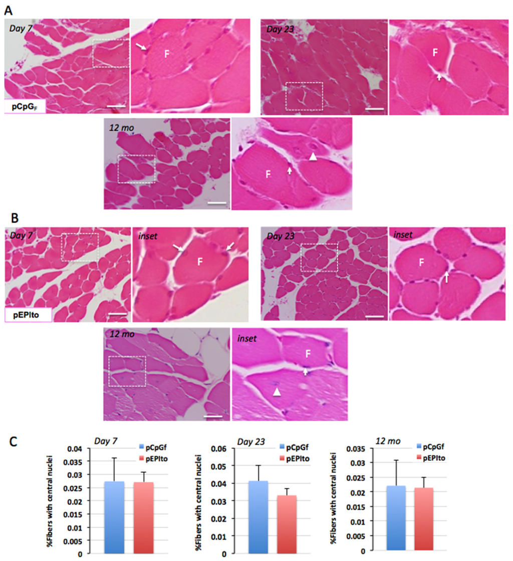
2.3. pEPIto Does Not Promote an Inflammatory Response in Muscle Following Sonodelivery

3. Experimental Section
3.1. Vectors
3.2. In Vivo Studies
3.3. Real-Time Quantitative RT-PCR (qPCR) Analyses
3.4. Histology
3.5. Statistical Analysis

4. Conclusions
Acknowledgments
Author Contributions
Conflicts of Interest
References
- Parelkar, S.S.; Chan-Seng, D.; Emrick, T. Reconfiguring polylysine architectures for controlling polyplex binding and non-viral transfection. Biomaterials 2011, 32, 2432–2444. [Google Scholar] [CrossRef] [PubMed]
- Parelkar, S.S.; Letteri, R.; Chan-Seng, D.; Zolochevska, O.; Ellis, J.; Figueiredo, M.; Emrick, T. Polymer-peptide delivery platforms: Effect of oligopeptide orientation on polymer-based DNA delivery. Biomacromolecules 2014, 15, 1328–1336. [Google Scholar] [CrossRef] [PubMed]
- Mewar, D.; Wilson, A.G. Treatment of rheumatoid arthritis with tumour necrosis factor inhibitors. Br. J. Pharmacol. 2011, 162, 785–791. [Google Scholar] [CrossRef] [PubMed]
- Haase, R.; Argyros, O.; Wong, S.P.; Harbottle, R.P.; Lipps, H.J.; Ogris, M.; Magnusson, T.; Vizoso Pinto, M.G.; Haas, J.; Baiker, A. Pepito: A significantly improved non-viral episomal expression vector for mammalian cells. BMC Biotechnol. 2010, 10. [Google Scholar] [CrossRef] [PubMed]
- Li, Y.S.; Davidson, E.; Reid, C.N.; McHale, A.P. Optimising ultrasound-mediated gene transfer (sonoporation) in vitro and prolonged expression of a transgene in vivo: Potential applications for gene therapy of cancer. Cancer Lett. 2009, 273, 62–69. [Google Scholar] [CrossRef] [PubMed]
- Pope, J.; Combe, B. Unmet needs in the treatment of rheumatoid arthritis. Open J. Rheum. Autoimm. Dis. 2013, 3, 65–78. [Google Scholar] [CrossRef]
- Keystone, E.; Heijde, D.; Mason, D., Jr.; Landewe, R.; Vollenhoven, R.V.; Combe, B.; Emery, P.; Strand, V.; Mease, P.; Desai, C.; et al. Certolizumab pegol plus methotrexate is significantly more effective than placebo plus methotrexate in active rheumatoid arthritis: Findings of a fifty-two-week, phase III, multicenter, randomized, double-blind, placebo-controlled, parallel-group study. Arthritis Rheum. 2008, 58, 3319–3329. [Google Scholar] [PubMed]
- Zolochevska, O.; Figueiredo, M.L. Expression of cell cycle regulator CDK2AP1 suppresses tumor cell phenotype by non-cell-autonomous mechanisms. Oral Oncol. 2009, 45, E106–E112. [Google Scholar] [CrossRef] [PubMed]
- Zolochevska, O.; Xia, X.; Williams, B.J.; Ramsay, A.; Li, S.; Figueiredo, M.L. Sonoporation delivery of interleukin 27 gene therapy efficiently reduces prostate tumor cell growth in vivo. Hum. Gene Ther. 2011, 22. [Google Scholar] [CrossRef] [PubMed]
- Figueiredo, M.L.; Dayan, S.; Kim, Y.; McBride, J.; Kupper, T.S.; Wong, D.T. Expression of cell-cycle regulator CDK2-associating protein 1 (p12CDK2AP1) in transgenic mice induces testicular and ovarian atrophy in vivo. Mol. Reprod. Dev. 2006, 73, 987–997. [Google Scholar] [CrossRef] [PubMed]
- Pope, R.M.; Shahrara, S. Possible roles of il-12-family cytokines in rheumatoid arthritis. Nat. Rev. Rheumatol. 2013, 9, 252–256. [Google Scholar] [CrossRef] [PubMed]
© 2015 by the authors; licensee MDPI, Basel, Switzerland. This article is an open access article distributed under the terms and conditions of the Creative Commons Attribution license (http://creativecommons.org/licenses/by/4.0/).
Share and Cite
Neto, M.F.; Letteri, R.; Chan-Seng, D.; Emrick, T.; Figueiredo, M.L. Sonodelivery Facilitates Sustained Luciferase Expression from an Episomal Vector in Skeletal Muscle. Materials 2015, 8, 4608-4617. https://doi.org/10.3390/ma8074608
Neto MF, Letteri R, Chan-Seng D, Emrick T, Figueiredo ML. Sonodelivery Facilitates Sustained Luciferase Expression from an Episomal Vector in Skeletal Muscle. Materials. 2015; 8(7):4608-4617. https://doi.org/10.3390/ma8074608
Chicago/Turabian StyleNeto, Manoel Figueiredo, Rachel Letteri, Delphine Chan-Seng, Todd Emrick, and Marxa L. Figueiredo. 2015. "Sonodelivery Facilitates Sustained Luciferase Expression from an Episomal Vector in Skeletal Muscle" Materials 8, no. 7: 4608-4617. https://doi.org/10.3390/ma8074608
APA StyleNeto, M. F., Letteri, R., Chan-Seng, D., Emrick, T., & Figueiredo, M. L. (2015). Sonodelivery Facilitates Sustained Luciferase Expression from an Episomal Vector in Skeletal Muscle. Materials, 8(7), 4608-4617. https://doi.org/10.3390/ma8074608
