161Terbium-Labeled Gold Nanoparticles as Nanoscale Brachytherapy Agents Against Breast Cancer
Abstract
1. Introduction
2. Materials and Methods
2.1. Synthesis
2.1.1. Synthesis of Macrocyclic Chelator-Coated Gold Nanoparticles
2.1.2. Synthesis of Maghemite Nanoflowers Decorated with Gold Nanoparticles
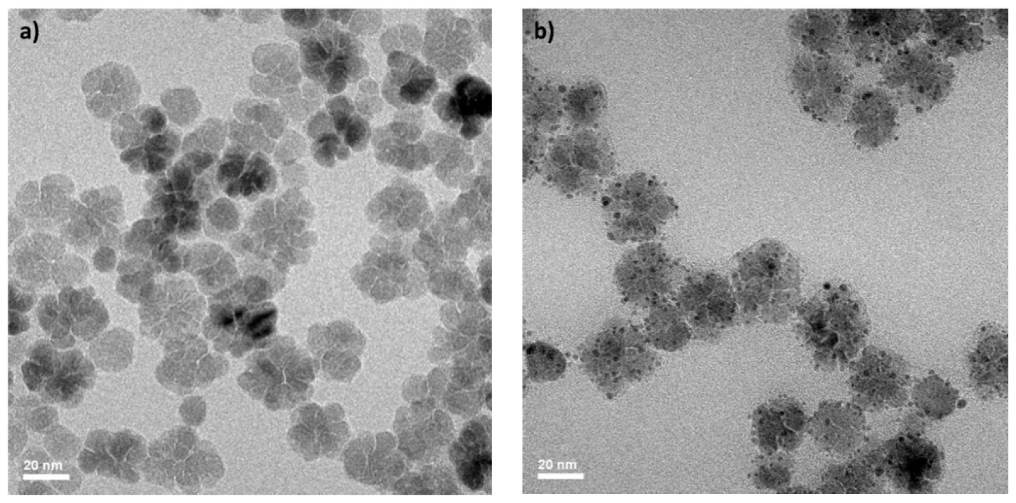
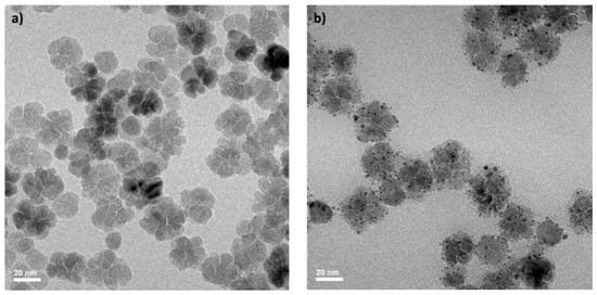
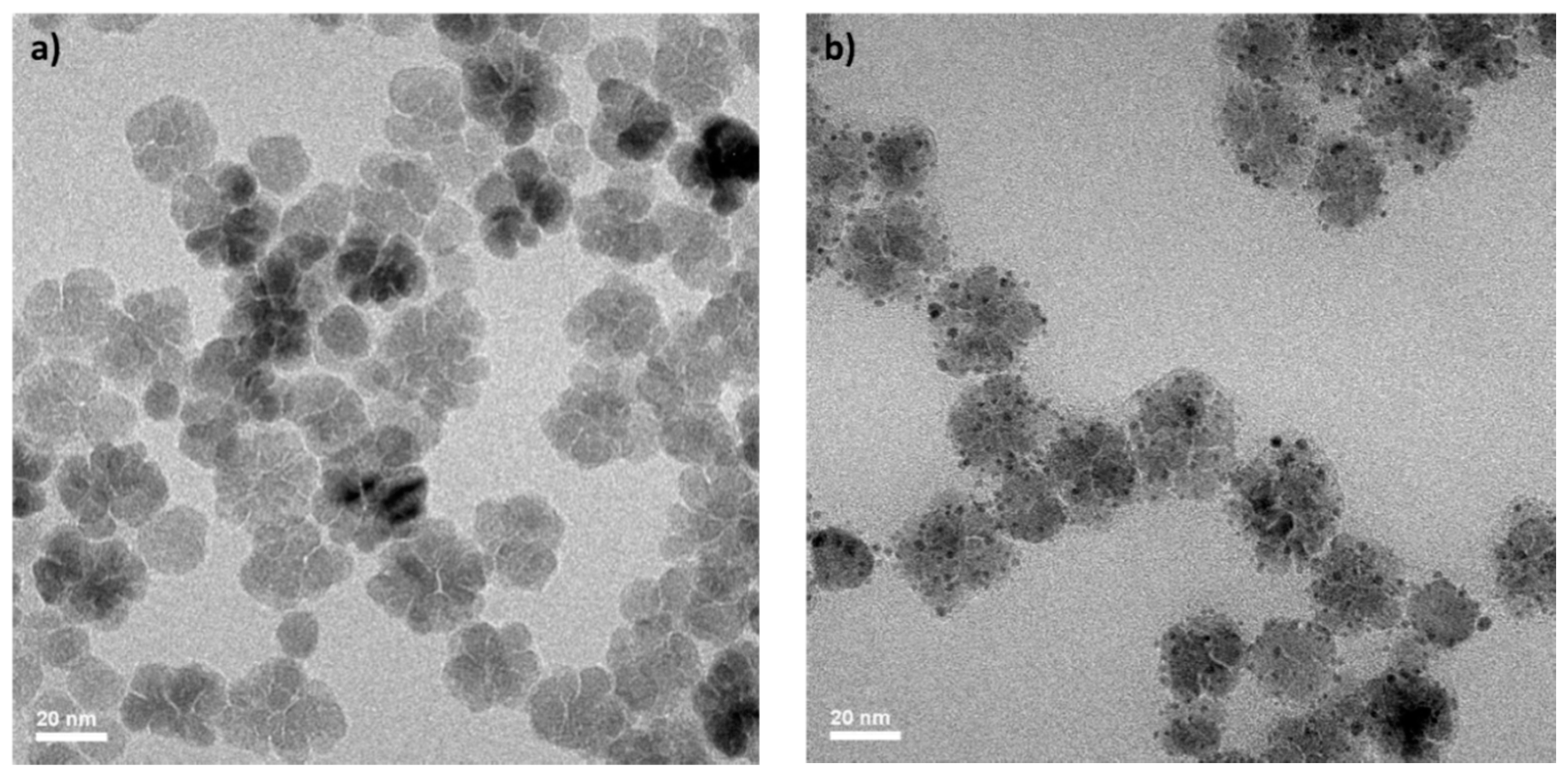
2.1.3. Characterization of Au@TADOTAGA and NFAu@TADOTAGA Gold Nanoflowers
2.2. Radiolabeling
2.3. In Vitro Cytotoxicity
2.4. Ex Vivo Biodistribution
2.5. Therapeutic Efficacy
2.6. Statistical Analysis
3. Results and Discussion
3.1. Synthesis
3.2. Radiolabeling
3.3. In Vitro Cytotoxicity
3.3.1. Toxicity of “Cold” Au@TADOTAGA and NFAu@TADOTAGA
3.3.2. Toxicity of 161Tb-Labeled Au@TADOTAGA and NFAu@TADOTAGA
3.4. Ex Vivo Biodistribution
3.5. Therapeutic Efficacy Study
4. Conclusions
Author Contributions
Funding
Institutional Review Board Statement
Informed Consent Statement
Data Availability Statement
Acknowledgments
Conflicts of Interest
References
- Stish, B.J.; Davis, B.J.; Mynderse, L.A.; Deufel, C.L.; Choo, R. Brachytherapy in the Management of Prostate Cancer. Surg. Oncol. Clin. N. Am. 2017, 26, 491–513. [Google Scholar] [CrossRef] [PubMed]
- Barton, M.B.; Frommer, M.; Shafiq, J. Role of radiotherapy in cancer control in low-income and middle-income countries. Lancet Oncol. 2006, 7, 584–595. [Google Scholar] [CrossRef]
- Jaffray, D.A.; Knaul, F.; Baumann, M.; Gospodarowicz, M. Harnessing progress in radiotherapy for global cancer control. Nat. Cancer 2023, 4, 1228–1238. [Google Scholar] [CrossRef] [PubMed]
- Naskar, N.; Lahiri, S. Theranostic Terbium Radioisotopes: Challenges in Production for Clinical Application. Front. Med. 2021, 8, 675014. [Google Scholar] [CrossRef] [PubMed]
- Kong, G.; Buteau, J.P.; Hofman, M.S. Is 161Tb Really Happening? J. Nucl. Med. 2024, 65, 686–687. [Google Scholar] [CrossRef] [PubMed]
- Van Laere, C.; Koole, M.; Deroose, C.M.; Van de Voorde, M.; Baete, K.; Cocolios, T.E.; Cleeren, F. Terbium radionuclides for theranostic applications in nuclear medicine: From atom to bedside. Theranostics 2024, 14, 1720–1743. [Google Scholar] [CrossRef]
- Alcocer-Ávila, M.E.; Ferreira, A.; Quinto, M.A.; Morgat, C.; Hindié, E.; Champion, C. Radiation doses from 161Tb and 177Lu in single tumour cells and micrometastases. EJNMMI Phys. 2020, 7, 33. [Google Scholar] [CrossRef]
- Bernhardt, P.; Svensson, J.; Hemmingsson, J.; van der Meulen, N.P.; Zeevaart, J.R.; Konijnenberg, M.W.; Müller, C.; Kindblom, J. Dosimetric Analysis of the Short-Ranged Particle Emitter 161Tb for Radionuclide Therapy of Metastatic Prostate Cancer. Cancers 2021, 13, 2011. [Google Scholar] [CrossRef]
- Verburg, F.A.; De Blois, E.; Koolen, S.; Konijnenberg, M.W. Replacing Lu-177 with Tb-161 in DOTA-TATE and PSMA-617 therapy: Potential dosimetric implications for activity selection. EJNMMI Phys. 2023, 10, 69. [Google Scholar] [CrossRef]
- Müller, C.; Umbricht, C.A.; Gracheva, N.; Tschan, V.J.; Pellegrini, G.; Bernhardt, P.; Zeevaart, J.R.; Köster, U.; Schibli, R.; van der Meulen, N.P. Terbium-161 for PSMA-targeted radionuclide therapy of prostate cancer. Eur. J. Nucl. Med. Mol. Imaging 2019, 46, 1919–1930. [Google Scholar] [CrossRef]
- Borgna, F.; Haller, S.; Rodriguez, J.M.M.; Ginj, M.; Grundler, P.V.; Zeevaart, J.R.; Köster, U.; Schibli, R.; van der Meulen, N.P.; Müller, C. Combination of terbium-161 with somatostatin receptor antagonists—A potential paradigm shift for the treatment of neuroendocrine neoplasms. Eur. J. Nucl. Med. Mol. Imaging 2022, 49, 1113–1126. [Google Scholar] [CrossRef]
- Müller, C.; Reber, J.; Haller, S.; Dorrer, H.; Bernhardt, P.; Zhernosekov, K.; Türler, A.; Schibli, R. Direct in vitro and in vivo comparison of 161Tb and 177Lu using a tumour-targeting folate conjugate. Eur. J. Nucl. Med. Mol. Imaging 2014, 41, 476–485. [Google Scholar] [CrossRef]
- Haller, S.; Pellegrini, G.; Vermeulen, C.; van der Meulen, N.P.; Köster, U.; Bernhardt, P.; Schibli, R.; Müller, C. Contribution of Auger/conversion electrons to renal side effects after radionuclide therapy: Preclinical comparison of 161Tb-folate and 177Lu-folate. EJNMMI Res. 2016, 6, 13. [Google Scholar] [CrossRef]
- Busslinger, S.D.; Mapanao, A.K.; Kegler, K.; Bernhardt, P.; Fluehmann, F.; Fricke, J.; Mueller, C. Comparison of the tolerability of terbium-161 and lutetium-177 in combination with somatostatin analogues in the preclinical setting. bioRxiv 2024. [Google Scholar] [CrossRef]
- Al-Ibraheem, A.; Doudeen, R.M.; Juaidi, D.; Abufara, A.; Maus, S. 161Tb-PSMA Radioligand Therapy: First-in-Humans SPECT/CT Imaging. J. Nucl. Med. 2023, 64, 1322–1323. [Google Scholar]
- Baum, R.P.; Singh, A.; Kulkarni, H.R.; Bernhardt, P.; Rydén, T.; Schuchardt, C.; Müller, C. First-in-Humans Application of 161Tb: A Feasibility Study Using 161 Tb-DOTATOC. J. Nucl. Med. 2021, 62, 1391–1397. [Google Scholar] [CrossRef]
- Schaefer-Schuler, A.; Burgard, C.; Blickle, A.; Maus, S.; Petrescu, C.; Petto, S.; Bartholomä, M.; Stemler, T.; Ezziddin, S.; Rosar, F. [161Tb]Tb-PSMA-617 radioligand therapy in patients with mCRPC: Preliminary dosimetry results and intra-individual head-to-head comparison to [ 177Lu]Lu-PSMA-617. Theranostics 2024, 14, 1829–1840. [Google Scholar] [CrossRef]
- Chehelgerdi, M.; Chehelgerdi, M.; Allela OQ, B.; Pecho RD, C.; Jayasankar, N.; Rao, D.P.; Akhavan-Sigari, R. Progressing nanotechnology to improve targeted cancer treatment: Overcoming hurdles in its clinical implementation. Mol. Cancer 2023, 22, 169. [Google Scholar] [CrossRef]
- Pavelić, K.; Pavelić, S.K.; Bulog, A.; Agaj, A.; Rojnić, B.; Čolić, M.; Trivanović, D. Nanoparticles in Medicine: Current Status in Cancer Treatment. Int. J. Mol. Sci. 2023, 24, 12827. [Google Scholar] [CrossRef]
- Gavas, S.; Quazi, S.; Karpiński, T.M. Nanoparticles for Cancer Therapy: Current Progress and Challenges. Nanoscale Res. Lett. 2021, 16, 173. [Google Scholar] [CrossRef]
- Same, S.; Aghanejad, A.; Akbari Nakhjavani, S.; Barar, J.; Omidi, Y. Radiolabeled theranostics: Magnetic and gold nanoparticles. BioImpacts BI 2016, 6, 169–181. [Google Scholar] [CrossRef]
- Singh, R.; Lillard, J.W. Nanoparticle-based targeted drug delivery. Exp. Mol. Pathol. 2009, 86, 215–223. [Google Scholar] [CrossRef]
- Gurunathan, S.; Kang, M.-H.; Qasim, M.; Kim, J.-H. Nanoparticle-Mediated Combination Therapy: Two-in-One Approach for Cancer. Int. J. Mol. Sci. 2018, 19, E3264. [Google Scholar] [CrossRef]
- Hamoudeh, M.; Kamleh, M.A.; Diab, R.; Fessi, H. Radionuclides delivery systems for nuclear imaging and radiotherapy of cancer. Adv. Drug Deliv. Rev. 2008, 60, 1329–1346. [Google Scholar] [CrossRef]
- Cancer Nano-Therapies in the Clinic and Clinical Trials—NCI. 2017. Available online: https://www.cancer.gov/nano/cancer-nanotechnology/current-treatments (accessed on 2 October 2023).
- Namiot, E.D.; Sokolov, A.V.; Chubarev, V.N.; Tarasov, V.V.; Schiöth, H.B. Nanoparticles in Clinical Trials: Analysis of Clinical Trials, FDA Approvals and Use for COVID-19 Vaccines. Int. J. Mol. Sci. 2023, 24, 787. [Google Scholar] [CrossRef]
- Shan, X.; Gong, X.; Li, J.; Wen, J.; Li, Y.; Zhang, Z. Current approaches of nanomedicines in the market and various stage of clinical translation. Acta Pharm. Sin. B 2022, 12, 3028–3048. [Google Scholar] [CrossRef]
- Wu, D.; Si, M.; Xue, H.-Y.; Wong, H.-L. Nanomedicine applications in the treatment of breast cancer: Current state of the art. Int. J. Nanomed. 2017, 12, 5879–5892. [Google Scholar] [CrossRef]
- Seniwal, B.; Thipe, V.C.; Singh, S.; Fonseca, T.C.F.; Freitas de Freitas, L. Recent Advances in Brachytherapy Using Radioactive Nanoparticles: An Alternative to Seed-Based Brachytherapy. Front. Oncol. 2021, 11, 766407. [Google Scholar] [CrossRef]
- Laprise-Pelletier, M.; Simão, T.; Fortin, M.-A. Gold Nanoparticles in Radiotherapy and Recent Progress in Nanobrachytherapy. Adv. Healthc. Mater. 2018, 7, 1701460. [Google Scholar] [CrossRef]
- Ghosh, S.; Lee, S.J.; Hsu, J.C.; Chakraborty, S.; Chakravarty, R.; Cai, W. Cancer Brachytherapy at the Nanoscale: An Emerging Paradigm. Chem. Biomed. Imaging 2024, 2, 4–26. [Google Scholar] [CrossRef]
- Salvanou, E.-A.; Kolokithas-Ntoukas, A.; Prokopiou, D.; Theodosiou, M.; Efthimiadou, E.; Koźmiński, P.; Xanthopoulos, S.; Avgoustakis, K.; Bouziotis, P. 177Lu-Labeled Iron Oxide Nanoparticles Functionalized with Doxorubicin and Bevacizumab as Nanobrachytherapy Agents against Breast Cancer. Molecules 2024, 29, 1030. [Google Scholar] [CrossRef] [PubMed]
- Salvanou, E.-A.; Stellas, D.; Tsoukalas, C.; Mavroidi, B.; Paravatou-Petsotas, M.; Kalogeropoulos, N.; Xanthopoulos, S.; Denat, F.; Laurent, G.; Bazzi, R.; et al. A Proof-of-Concept Study on the Therapeutic Potential of Au Nanoparticles Radiolabeled with the Alpha-Emitter Actinium-225. Pharmaceutics 2020, 12, 188. [Google Scholar] [CrossRef]
- Dziawer, Ł.; Majkowska-Pilip, A.; Gaweł, D.; Godlewska, M.; Pruszyński, M.; Jastrzębski, J.; Wąs, B.; Bilewicz, A. Trastuzumab-Modified Gold Nanoparticles Labeled with 211At as a Prospective Tool for Local Treatment of HER2-Positive Breast Cancer. Nanomaterials 2019, 9, 632. [Google Scholar] [CrossRef] [PubMed]
- Żelechowska-Matysiak, K.; Salvanou, E.-A.; Bouziotis, P.; Budlewski, T.; Bilewicz, A.; Majkowska-Pilip, A. Improvement of the Effectiveness of HER2+ Cancer Therapy by Use of Doxorubicin and Trastuzumab Modified Radioactive Gold Nanoparticles. Mol. Pharm. 2023, 20, 4676–4686. [Google Scholar] [CrossRef]
- Luna-Gutiérrez, M.; Ocampo-García, B.; Jiménez-Mancilla, N.; Ancira-Cortez, A.; Trujillo-Benítez, D.; Hernández-Jiménez, T.; Ferro-Flores, G. Targeted Endoradiotherapy with Lu2O3-iPSMA/-iFAP Nanoparticles Activated by Neutron Irradiation: Preclinical Evaluation and First Patient Image. Pharmaceutics 2022, 14, 720. [Google Scholar] [CrossRef] [PubMed]
- Brust, M.; Fink, J.; Bethell, D.; Schiffrin, D.J.; Kiely, C. Synthesis and reactions of functionalised gold nanoparticles. J. Chem. Soc. Chem. Commun. 1995, 1655–1656. [Google Scholar] [CrossRef]
- Brust, M.; Fink, J.; Bethell, D.; Schiffrin, D.J.; Kiely, C. Iron Oxide Monocrystalline Nanoflowers for Highly Efficient Magnetic Hyperthermia. J. Phys. Chem. C 2012, 116, 15702–15712. [Google Scholar]
- Ulman, A. Formation and Structure of Self-Assembled Monolayers. Chem. Rev. 1996, 96, 1533–1554. [Google Scholar] [CrossRef]
- Garcia, B.; Salomé, M.; Lemelle, L.; Bridot, J.-L.; Gillet, P.; Perriat, P.; Roux, S.; Tillement, O. Sulfur K-edge XANES study of dihydrolipoic acid capped gold nanoparticles: Dihydrolipoic acid is bound by both sulfur ends. Chem. Commun. 2005, 3, 369–371. [Google Scholar] [CrossRef]
- Roux, S.; Garcia, B.; Bridot, J.-L.; Salomé, M.; Marquette, C.; Lemelle, L.; Gillet, P.; Blum, L.; Perriat, P.; Tillement, O. Synthesis, Characterization of Dihydrolipoic Acid Capped Gold Nanoparticles, and Functionalization by the Electroluminescent Luminol. Langmuir 2005, 21, 2526–2536. [Google Scholar] [CrossRef]
- Laurent, G.; Bernhard, C.; Dufort, S.; Sánchez, G.J.; Bazzi, R.; Boschetti, F.; Moreau, M.; Vu, T.H.; Collin, B.; Oudot, A.; et al. Minor changes in the macrocyclic ligands but major consequences on the efficiency of gold nanoparticles designed for radiosensitization. Nanoscale 2016, 8, 12054–12065. [Google Scholar] [CrossRef]
- Nicolás-Boluda, A.; Vaquero, J.; Laurent, G.; Renault, G.; Bazzi, R.; Donnadieu, E.; Roux, S.; Fouassier, L.; Gazeau, F. Photothermal Depletion of Cancer-Associated Fibroblasts Normalizes Tumor Stiffness in Desmoplastic Cholangiocarcinoma. ACS Nano 2020, 14, 5738–5753. [Google Scholar] [CrossRef]
- Theodosiou, M.; Sakellis, E.; Boukos, N.; Kusigerski, V.; Kalska-Szostko, B.; Efthimiadou, E. Iron oxide nanoflowers encapsulated in thermosensitive fluorescent liposomes for hyperthermia treatment of lung adenocarcinoma. Sci. Rep. 2022, 12, 8697. [Google Scholar] [CrossRef]
- Christou, E.; Pearson, J.R.; Beltrán, A.M.; Fernández-Afonso, Y.; Gutiérrez, L.; de la Fuente, J.M.; Gámez, F.; García-Martín, M.L.; Caro, C. Iron–Gold Nanoflowers: A Promising Tool for Multimodal Imaging and Hyperthermia Therapy. Pharmaceutics 2022, 14, 636. [Google Scholar] [CrossRef]
- Paquet, F.; Bailey, M.; Leggett, R.; Etherington, G.; Blanchardon, E.; Smith, T.; Ratia, G.; Melo, D.; Fell, T.; Berkovski, V.; et al. ICRP Publication 141: Occupational Intakes of Radionuclides: Part 4. Ann. ICRP 2019, 48, 9–501. [Google Scholar] [CrossRef]
- Chanda, N.; Kan, P.; Watkinson, L.D.; Shukla, R.; Zambre, A.; Carmack, T.L.; Engelbrecht, H.; Lever, J.R.; Katti, K.; Fent, G.M.; et al. Radioactive gold nanoparticles in cancer therapy: Therapeutic efficacy studies of GA-198AuNP nanoconstruct in prostate tumor–bearing mice. Nanomed. Nanotechnol. Biol. Med. 2010, 6, 201–209. [Google Scholar] [CrossRef]








| Au@TADOTAGA | IONF | NFAu@TADOTAGA | |
|---|---|---|---|
| Core size (nm) | 2.40 ± 0.60 | 27.1 ± 2.4 | 30.0 ± 3.0 |
| Hydrodynamic diameter (nm) | 8.30 ± 2.10 | 36.9 ± 2.0 | 71.5 ± 5.0 |
| Zeta-potential (mV) | −25 | −7.5 | −35 |
| 1 Day | 2 Days | 7 Days | |
|---|---|---|---|
| Tumor/Liver | 13.47 | 8.85 | 10.09 |
| Tumor/Kidneys | 27.71 | 22.30 | 21.58 |
| Tumor/Muscle | 692.39 | 256.83 | 483.21 |
| Tumor/Bone | 108.63 | 83.45 | 23.11 |
| 1 Day | 2 Days | 7 Days | |
|---|---|---|---|
| Tumor/Liver | 95.62 | 10.60 | 7.75 |
| Tumor/Kidneys | 108.26 | 51.65 | 47.87 |
| Tumor/Muscle | 3059.71 | 420.82 | 563.32 |
| Tumor/Bone | 309.18 | 64.66 | 32.89 |
Disclaimer/Publisher’s Note: The statements, opinions and data contained in all publications are solely those of the individual author(s) and contributor(s) and not of MDPI and/or the editor(s). MDPI and/or the editor(s) disclaim responsibility for any injury to people or property resulting from any ideas, methods, instructions or products referred to in the content. |
© 2025 by the authors. Licensee MDPI, Basel, Switzerland. This article is an open access article distributed under the terms and conditions of the Creative Commons Attribution (CC BY) license (https://creativecommons.org/licenses/by/4.0/).
Share and Cite
Salvanou, E.-A.; Apostolopoulou, A.; Xanthopoulos, S.; Koelewijn, S.; van Overeem, P.; Laurent, G.; Bazzi, R.; Denat, F.; Roux, S.; Bouziotis, P. 161Terbium-Labeled Gold Nanoparticles as Nanoscale Brachytherapy Agents Against Breast Cancer. Materials 2025, 18, 248. https://doi.org/10.3390/ma18020248
Salvanou E-A, Apostolopoulou A, Xanthopoulos S, Koelewijn S, van Overeem P, Laurent G, Bazzi R, Denat F, Roux S, Bouziotis P. 161Terbium-Labeled Gold Nanoparticles as Nanoscale Brachytherapy Agents Against Breast Cancer. Materials. 2025; 18(2):248. https://doi.org/10.3390/ma18020248
Chicago/Turabian StyleSalvanou, Evangelia-Alexandra, Adamantia Apostolopoulou, Stavros Xanthopoulos, Stuart Koelewijn, Philippe van Overeem, Gautier Laurent, Rana Bazzi, Franck Denat, Stéphane Roux, and Penelope Bouziotis. 2025. "161Terbium-Labeled Gold Nanoparticles as Nanoscale Brachytherapy Agents Against Breast Cancer" Materials 18, no. 2: 248. https://doi.org/10.3390/ma18020248
APA StyleSalvanou, E.-A., Apostolopoulou, A., Xanthopoulos, S., Koelewijn, S., van Overeem, P., Laurent, G., Bazzi, R., Denat, F., Roux, S., & Bouziotis, P. (2025). 161Terbium-Labeled Gold Nanoparticles as Nanoscale Brachytherapy Agents Against Breast Cancer. Materials, 18(2), 248. https://doi.org/10.3390/ma18020248

