Comparison of Osmotic Resistance, Shape and Transmembrane Potential of Erythrocytes Collected from Healthy and Fed with High Fat-Carbohydrates Diet (HF-CD) Pigs—Protective Effect of Cistus incanus L. Extracts
Abstract
1. Introduction
2. Materials and Methods
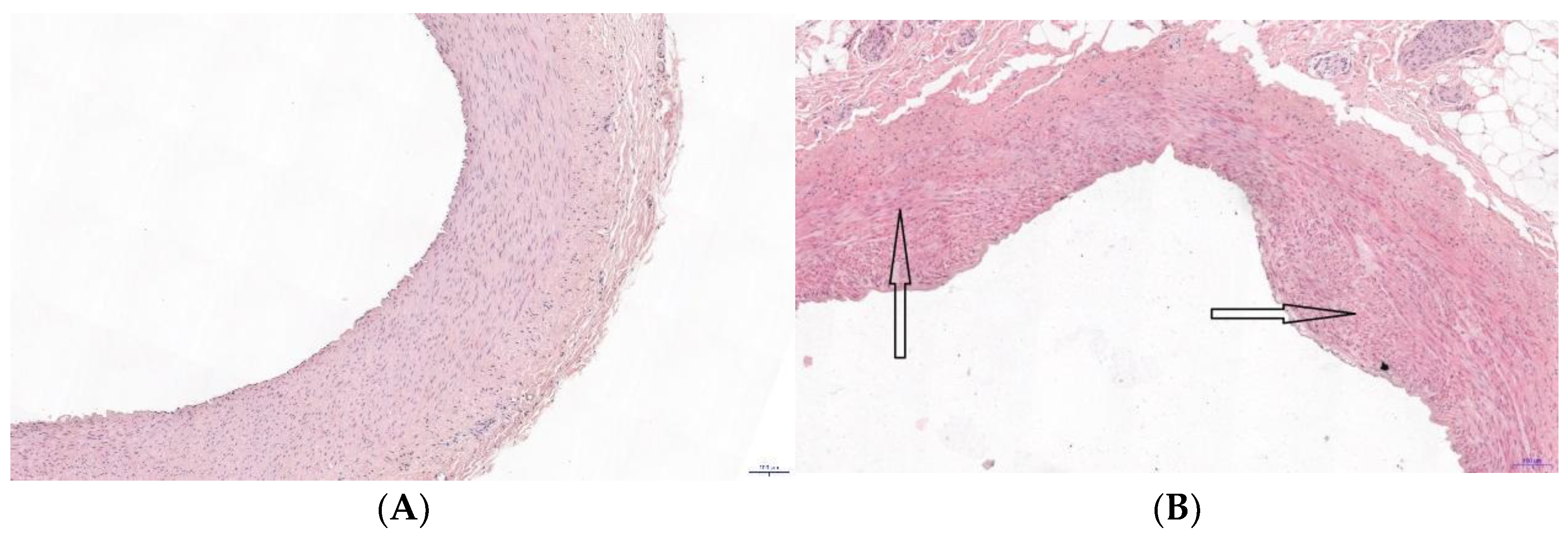
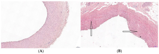
2.1. Animals
2.2. Extracts
2.3. Reagents
3. Methods
3.1. The Degree of Hemolysis RBCs
3.2. Osmotic Resistance of Erythrocytes
3.3. Erythrocytes Transmembrane Potential
3.4. Shape of Erythrocytes
3.5. Oxidation of RBCs Induced by AAPH
4. Results
4.1. The Degree of Hemolysis of HF-CD RBCs
4.2. Hemolytic Activity of EC1 and EC2 Extracts
4.3. The Impact of HF-CD on Osmotic Resistance of Erythrocytes
4.4. The Impact of EC1 and EC2 on Osmotic Resistance of Healthy and HF-CD RBCs
4.5. Transmembrane Potential of RBCs and HF-CD RBCs
4.6. Transmembrane Potential of Erythrocytes Modified by EC1 and EC2 Extract
4.7. Shapes of HF-CD RBCs
4.8. Shapes of RBCs Modified by EC1 and EC2 Extracts
4.9. Protective Effect of EC1 and EC2 against AAPH-Induced Oxidation of RBCs
5. Discussion
6. Conclusions
Author Contributions
Funding
Institutional Review Board Statement
Informed Consent Statement
Data Availability Statement
Conflicts of Interest
Abbreviations
| RBC | erythrocyte count |
| Hb | hemoglobin concentration |
| Ht | hematocrit |
| MCV | average red blood cell volume |
| MCH | average hemoglobin mass |
| MCHC | average hemoglobin concentration |
| HDL | plasma lipoprotein fraction high density |
| LDL | low density plasma lipoprotein fraction |
| TGC | triglyceride concentration |
| SD | standard deviation |
| The trends of the parameters are marked | |
| ↑ | rice |
| ↓ | fall |
References
- Ząbek, A.; Pasławski, R.; Pasławska, U.; Wojtowicz, W.; Drożdż, K.; Polakof, S.; Podhorska, M.; Dzięgiel, P.; Młynarz, P.; Szuba, A. The influence of different diets on metabolism and atherosclerosis processes—A porcine model. Blood serum, urine and tis-sues 1H NMR metabolomics targeted analysis. PLoS ONE 2017, 12, e0184798. [Google Scholar] [CrossRef]
- Duan, Y.; Zeng, L.; Zheng, C.; Song, B.; Li, F.; Kong, X.; Xu, K. Inflammatory Links between High Fat Diets and Diseases. Front. Immunol. 2018, 9, 2649. [Google Scholar] [CrossRef] [PubMed]
- Ellsworth, M.L.; Ellis, C.G.; Goldman, D.; Stephenson, A.H.; Dietrich, H.H.; Sprague, R.S. Erythrocytes: Oxygen sensors and modulators of vascular tone. Physiology 2009, 24, 107–116. [Google Scholar] [CrossRef]
- Horuk, R. The Duffy Antigen Receptor for Chemokines DARC/ACKR1. Front. Immunol. 2015, 6, 279. [Google Scholar] [CrossRef]
- Tziakas, D.N.; Chalikias, G.K.; Stakos, D.; Boudoulas, H. The role of red blood cells in the progression and instability of athero-sclerotic plaque. Int. J. Cardiol. 2010, 142, 2–7. [Google Scholar] [CrossRef] [PubMed]
- Gold, J.C.; Phillips, M.C. Effects of membrane lipid composition on the kinetics of cholesterol exchange between lipoproteins and different species of red blood cells. Biochim. Biophys. Acta 1990, 1027, 85–92. [Google Scholar] [CrossRef]
- Varshney, R.; Mishra, R.; Das, N.; Sircar, D.; Roy, P. A comparative analysis of various flavonoids in the regulation of obesity and diabetes: An in vitro and in vivo study. J. Funct. Foods 2019, 59, 194–205. [Google Scholar] [CrossRef]
- Kuypers, F.A.; Roelofsen, B.; Op Den Kamp, J.A.F.; Van Deenen, L.L.M. The membrane of intact human erythrocyte tolerates only limited changes in the fatty acid composition of its phosphatidylcholine. Biochim. Biophys. Acta 1984, 769, 337–347. [Google Scholar] [CrossRef]
- Hagve, T.-A.; Johansen, Y.; Christophersen, B. The effect of n—3 fatty acids on osmotic fragility of rat erythrocytes. Biochim. Biophys. Acta BBA Lipids Lipid Metab. 1991, 1084, 251–254. [Google Scholar] [CrossRef]
- Unruh, D.; Srinivasan, R.; Benson, T.; Haigh, S.; Coyle, D.; Batra, N.; Keil, R.; Sturm, R.; Blanco, V.M.; Palascak, M.B.; et al. Red Blood Cell Dysfunction Induced by High-Fat Diet: Potential Implications for Obesity-Related Atherosclerosis. Circulation 2015, 132, 1898–1908. [Google Scholar] [CrossRef]
- Abdelhalim, M.A.; Moussa, S.A. Biochemical changes of hemoglobin and osmotic fragility of red blood cells in high fat diet rabbits. Pak. J. Biol. Sci. 2010, 13, 73–77. [Google Scholar] [CrossRef]
- Nicoletti, M.; Toniolo, C.; Venditti, A.; Bruno, M.; Ben Jemia, M. Antioxidant activity and chemical composition of three Tu-nisian Cistus: Cistus monspeliensisCistus villosus and Cistus libanotis. Nat. Prod. Res. 2014, 29, 223–230. [Google Scholar] [CrossRef]
- Mahmoudi, H.; Aouadhi, C.; Kaddour, R.; Gruber, M.; Zargouni, H.; Zaouali, W.; Hamida, B.N.; Nasri, M.B.; Ouerghi, Z.; Hosni, K. Comparison of antioxidant and antimicrobial activities of two cultivated Cistus species from Tunisia. Biosci. J. 2016, 32, 226–237. [Google Scholar] [CrossRef]
- Gori, A.; Ferrini, F.; Marzano, M.C.; Tattini, M.; Centritto, M.; Baratto, M.C.; Pogni, R.; Brunetti, C. Characterisation and antiox-idant activity of crude extract and polyphenolic rich fractions from C. incanus Leaves. Int. J. Mol. Sci. 2016, 17, 1344. [Google Scholar] [CrossRef]
- Vessby, B.; Uusitupa, M.; Hermansen, K.; Riccardi, G.; Rivellese, A.A.; Tapsell, L.C.; Nälsén, C.; Berglund, L.; Louheranta, A.; Rasmussen, B.M.; et al. Substituting dietary saturated for monounsaturated fat impairs insulin sensitivity in healthy men and women: The KANWU study. Diabetologia 2001, 44, 312–319. [Google Scholar] [CrossRef]
- Zhong, Y.; Song, B.; Zheng, C.; Zhang, S.; Yan, Z.; Tang, Z.; Kong, X.; Duan, Y.; Li, F. Flavonoids from mulberry leaves lllevi-ate lipid dysmetabolism in high fat diet-fed mice: Involvement of Gut Microbiota. Microorganisms 2020, 8, 860. [Google Scholar] [CrossRef] [PubMed]
- Bouamama, H.; Villard, J.; Benharref, A.; Jana, M. Antibacterial and antifungal activities of Cistus incanus and C. mon-speliensis leaf extracts. Therapie 1999, 54, 731–733. [Google Scholar] [PubMed]
- Wittpahl, G.; Kölling-Speer, I.; Basche, S.; Herrmann, E.; Hannig, M.; Speer, K.; Hannig, C. The Polyphenolic Composition of Cistus incanus Herbal Tea and Its Antibacterial and Anti-adherent Activity against Streptococcus mutans. Planta Medica 2015, 81, 1727–1735. [Google Scholar] [CrossRef]
- Rebensburg, S.; Helfer, M.; Schneider, M.; Koppensteiner, H.; Eberle, J.; Schindler, M.; Gürtler, L.; Brack-Werner, R. Potent in vitro antiviral activity of Cistus incanus extract against HIV and Filoviruses targets viral envelope proteins. Sci. Rep. 2016, 6, 20394. [Google Scholar] [CrossRef] [PubMed]
- Tahiria, O.; Atmani-Kilania, D.; Sanchez-Fidalgob, S.; Aparicio-Sotob, M.; Alarcón-de-la-Lastrab, C.; Barrajón-Catalán, E.; Micolc, V.; Atmani, D. The flavonol-enriched Cistus albidus chloroform extract possesses in vivo anti-inflammatory and anti-nociceptive activity. J. Ethnopharmacol. 2017, 209, 210–218. [Google Scholar] [CrossRef]
- Janiszewski, A.; Pasławski, R.; Skrzypczak, P.; Pasławska, U.; Szuba, A. The use of a blunt-tipped plastic guide wire im-proves the safety and reduces the duration of endotracheal intubation in the pig. J. Vet. Med. Sci. 2014, 12, 1260–1262. [Google Scholar]
- Gąsiorowski, K.; Szyba, K.; Brokos, B.; Kołaczyńska, B.; Jankowiak-Włodarczyk, M.; Oszmiański, J. Antimutagenic activity of anthocyanins isolated from Aronia melanocarpa fruits. Cancer Lett. 1997, 119, 37–46. [Google Scholar] [CrossRef]
- Oszmiański, J.; Bourzeix, M. Preparation of catechin and procyanidin standards from hawthorn (Crataegus azarolus L.) and pine (Pine mesogeensis fieschi) barks. Pol. J. Food Nutr. Sci. 1995, 4, 89–96. [Google Scholar]
- Zavodnik, B.; Piasecka, A.; Szoslad, K.; Bryszewska, M. Human red blood cell membrane potential and fluidity in glucose solutions. Scand. J. Clin. Lab. Investig. 1997, 57, 59–63. [Google Scholar] [CrossRef] [PubMed]
- Bernhardt, I.; Ellory, J.C. Red Cell Membrane Transport in Health and Disease; Springer-Verlag: Berlin, Germany, 2003; pp. 1–748. [Google Scholar]
- Bessis, M. Erythrocyte form and deformability for normal blood and some hereditary hemolytic anemias (author’s transl). Nouv. Rev. Française Dhématologie Blood Cells 1977, 18, 75–94. [Google Scholar]
- Van Dijk, S.J.; Feskens, E.J.M.; Bos, M.B.; Hoelen, D.W.M.; Heijligenberg, R.; Bromhaar, M.G.; De Groot, L.C.P.G.M.; De Vries, J.H.M.; Müller, M.A.; Afman, L. A saturated fatty acid–rich diet induces an obesity-linked proinflammatory gene ex-pression profile in adipose tissue of subjects at risk of metabolic syndrome. Am. J. Clin. Nutr. 2009, 90, 1656–1664. [Google Scholar] [CrossRef]
- Rosqvist, F.; Iggman, D.; Kullberg, J.; Cedernaes, J.; Johansson, H.-E.; Larsson, A.; Johansson, L.; Ahlström, H.; Arner, P.; Dahlman, I.; et al. Overfeeding Polyunsaturated and Saturated Fat Causes Distinct Effects on Liver and Visceral Fat Accu-mulation in Humans. Diabetes 2014, 63, 2356–2368. [Google Scholar] [CrossRef]
- Xu, H.; Barnes, G.T.; Yang, Q.; Tan, G.; Yang, D.; Chou, C.J.; Sole, J.; Nichols, A.; Ross, J.S.; Tartaglia, L.A.; et al. Chronic inflammation in fat plays a crucial role in the development of obesity-related insulin resistance. J. Clin. Investig. 2003, 112, 1821–1830. [Google Scholar] [CrossRef] [PubMed]
- Pasławski, R.; Pasławska, U.; Nicpoń, J.; Szuba, A. Swine as a model of experimental atherosclerosis. Adv. Clin. Exp. Med. 2011, 20, 211–215. [Google Scholar]
- Melo, H.M.; Santos, L.E.; Ferreira, S.T. Diet-Derived Fatty Acids, Brain Inflammation, and Mental Health. Front. Neurosci. 2019, 13, 265. [Google Scholar] [CrossRef]
- Hollán, S. Membrane fluidity of blood cells. Haematologia 1996, 27, 109–127. [Google Scholar]
- Wang, G.; Cao, L.; Wang, Z.; Jiang, M.; Sun, X.; Bai, X.; Ruan, C. Macrothrombocytopenia/Stomatocytosis Specially Associat-ed with Phytosterolemia. Clin. Appl. Thromb. 2012, 18, 582–587. [Google Scholar] [CrossRef] [PubMed]
- Jeney, V.; Balla, G.; Balla, J. Red blood cell, hemoglobin and heme in the progression of atherosclerosis. Front. Physiol. 2014, 5, 379. [Google Scholar] [CrossRef]
- Chabanel, A.; Flamm, M.; Sung, K.L.P.; Lee, M.M.; Schachter, D.; Chien, S. Influence of cholesterol content on red cell mem-brane viscoelasticity and fluidity. Biophys. J. 1983, 44, 171–176. [Google Scholar] [CrossRef]
- Stary, H.C. Natural History and Histological Classification of Atherosclerotic Lesions: An Update. Arter. Thromb. Vasc. Biol. 2000, 20, 1177–1178. [Google Scholar] [CrossRef]
- Ollila, F.; Halling, K.; Vuorela, P.; Vuorela, H.; Slotte, J. Characterization of Flavonoid–Biomembrane Interactions. Arch. Bio-chem. Biophys. 2002, 399, 103–108. [Google Scholar] [CrossRef] [PubMed]
- Oteiza, P.; Erlejman, A.; Verstraeten, A.; Keen, C.; Fraga, C. Flavonoid-membrane interactions: A protective role of flavo-noids at the membrane surface? Clin. Dev. Immunol. 2005, 12, 19–25. [Google Scholar] [CrossRef]
- Cyboran-Mikołajczyk, S.; Solarska-Ściuk, K.; Mieszała, K.; Glatzel-Plucińska, N.; Matczak, K.; Kleszczyńska, H. The Impact of O-Glycosylation on Cyanidin Interaction with RBCs and HMEC-1 Cells—Structure–Activity Relationships. Int. J. Mol. Sci. 2019, 20, 1928. [Google Scholar] [CrossRef]
- Cyboran Mikołajczyk, S.; Bonarska-Kujawa, D.; Męczarska, K.; Włoch, A.; Oszmiański, J.; Pasławski, R.; Kleszczyńska, H. Is it possible to use polyphenol compounds contained in Cistus incanus L. in cancer prevention? In Herbal Plants, na-tu-ral Cosmetics and Functional Food; Gujarat, India, 2017; pp. 357–369. [Google Scholar]
- Sowemimo-Coker, S.O. Red blood cell hemolysis during processing. Transfus. Med. Rev. 2002, 16, 46–60. [Google Scholar] [CrossRef]
- Oyewale, J. Changes in Osmotic Resistance of Erythrocytes of Cattle, Pigs, Rats and Rabbits during Variation in Temperature and pH. J. Vet. Med. Ser. A 1992, 39, 98–104. [Google Scholar] [CrossRef]
- Bukara, K.; Jovanić, S.Z.; Drvenica, I.T.; Stančić, A.; Ilić, V.; Rabasović, M.D.; Pantelić, D.V.; Jelenković, B.M.; Bugarski, B.; Krmpot, A.J. Mapping of hemoglobin in erythrocytes and erythrocyte ghosts using two photon excitation fluorescence mi-croscopy. J. Biomed. Opt. 2017, 22, 026003. [Google Scholar] [CrossRef] [PubMed]
- Salini, S.; Divya, M.K.; Chubicka, T.; Meera, N.; Fulzele, D.P.; Ragavamenon, A.C.; Babu, T.D. Protective effect of Scutellaria species on AAPH-induced oxidative damage in human erythrocyte. J. Basic Clin. Physiol. Pharmacol. 2015, 27, 403–409. [Google Scholar] [CrossRef] [PubMed]




| Parameter | Control n = 11 | HF-CD n = 9 |
|---|---|---|
| RBC 103/L | 7.54 ± 0.36 | 6.21 ± 0.89 |
| Hb, mmol/L | 6.27 ± 0.53 | 7.54 ± 0.36 |
| Ht L/L | 0.38 ± 0.02 | 0.34 ± 0.03 |
| MCV, fL | 50.7 ± 3.80 | 55.1 ± 4.06 |
| MCH, fmoL | 0.92 ± 0.07 | 1.02 ± 0.08 |
| MCHC, mmol/L | 16.52 ± 5.45 | 18.5 ± 0.32 |
| Cholesterol, mmol/L | 2.45 ± 0.25 | 2.78 ± 0.28↑ |
| HDL, mmol/L | 1.40 ± 0.09 | 1.23 ± 0.07↓ |
| LDL, mmol/L | 1.07 ± 0.18 | 1.36 ± 0.16↑ |
| TGC, mmol/L | 0.31 ± 0.19 | 0.67 ± 0.27↑ |
| Glucose, mmol/L | 5.40 ± 0.19 | 6.25 ± 3.01↑ |
| No. | Compound | EC1 | EC2 |
|---|---|---|---|
| 1 | gaolloyl glucose | 0.09 | 0.00 |
| 2 | gallic acid | 0.00 | 0.68 |
| 3 | punicalin isomer | 0.24 | 0.00 |
| 4 | gallocatechin trimer | 0.87 | 0.39 |
| 5 | gallocatechin dimer | 0.71 | 1.35 |
| 6 | gallocatechin-(4α-8)-catechin | 1.25 | 0.40 |
| 7 | digalloyl glucose | 0.00 | 0.04 |
| 8 | gallocatechin | 0.00 | 3.66 |
| 9 | punicalagin isomer | 1.21 | 0.47 |
| 10 | cornusiin B | 0.75 | 0.23 |
| 11 | bis-HHDP-glucose | 0.24 | 1.22 |
| 12 | prodelphinidin dimer | 0.83 | 0.46 |
| 13 | HHDP-digalloyl-glucoside | 0.00 | 0.44 |
| 14 | (-)epicatechin | 1.24 | 3.07 |
| 15 | galloyl-HHDP-glucoside | 0.00 | 0.06 |
| 16 | punicalagin gallate | 0.34 | 0.00 |
| 17 | galloylprodelphinidin trimer | 0.00 | 0.28 |
| 18 | HHDP-hex | 0.21 | 0.00 |
| 19 | galloyl-prodelphinidin trimmer | 0.00 | 0.32 |
| 20 | digalloyl-HDDP-glucoside(pedunculagin II) | 0.00 | 0.57 |
| 21 | myricetin-3-O-galactoside | 3.44 | 5.72 |
| 22 | myricetin-3-O-glucoside | 0.38 | 0.70 |
| 23 | myricetin-O-xyloside | 1.97 | 7.10 |
| 24 | ellagic acid rutinoside | 0.22 | 0.00 |
| 25 | myricetin 3-rhamnoside | 7.71 | 47.30 |
| 26 | quercetin-3-O-galactoside | 0.57 | 2.04 |
| 27 | quercetin-3-O-glucoside | 0.13 | 0.43 |
| 28 | myricetin-pentoside | 0.23 | 0.00 |
| 29 | quercetin-pentoside | 0.43 | 1.94 |
| 30 | kaempferoldimethyletherhexoside | 0.10 | 0.59 |
| 31 | kaempferol-3-O-glucoside | 0.13 | 0.61 |
| 32 | quercetin-3-O-rhamnoside | 0.61 | 4.73 |
| 33 | myricetin -rutinoside | 0.08 | 0.85 |
| 34 | myricetin -rhamno-glucoside | 0.02 | 0.14 |
| 35 | quercetin rhamno-glucoside | 0.01 | 0.14 |
| 36 | kaempferol -O-rutinoside | 0.07 | 0.59 |
| 37 | kaempferol rhamno-glucoside | 0.02 | 0.18 |
| Total | 24.11 | 87.15 |
| Sample | Membrane Potential, mV |
|---|---|
| RBCs | −13.72 ± 2.58 |
| RBCs + EC1 | −17.19 ± 3.95 * |
| RBCs + EC2 | −19.00 ± 2.63 * |
| RBCs + M3R | −16.9 ± 3.2 |
| HF-CD RBCs | −8.79 ± 2.30 ** |
| HF-CD RBCs + EC1 | −9.19 ± 1.38 |
| HF-CD RBCs + EC2 | −12.76 ± 1.77 |
| Sample | Concentration RBCs, µg/mL |
|---|---|
| EC1 | 5.94 ± 0.35 |
| EC2 | 5.49 ± 0.49 |
| M3R | 7.71 ± 0.17 |
Publisher’s Note: MDPI stays neutral with regard to jurisdictional claims in published maps and institutional affiliations. |
© 2021 by the authors. Licensee MDPI, Basel, Switzerland. This article is an open access article distributed under the terms and conditions of the Creative Commons Attribution (CC BY) license (http://creativecommons.org/licenses/by/4.0/).
Share and Cite
Cyboran-Mikołajczyk, S.; Pasławski, R.; Pasławska, U.; Nowak, K.; Płóciennik, M.; Męczarska, K.; Oszmiański, J.; Bonarska-Kujawa, D.; Kowalczyk, P.; Wawrzyńska, M. Comparison of Osmotic Resistance, Shape and Transmembrane Potential of Erythrocytes Collected from Healthy and Fed with High Fat-Carbohydrates Diet (HF-CD) Pigs—Protective Effect of Cistus incanus L. Extracts. Materials 2021, 14, 1050. https://doi.org/10.3390/ma14041050
Cyboran-Mikołajczyk S, Pasławski R, Pasławska U, Nowak K, Płóciennik M, Męczarska K, Oszmiański J, Bonarska-Kujawa D, Kowalczyk P, Wawrzyńska M. Comparison of Osmotic Resistance, Shape and Transmembrane Potential of Erythrocytes Collected from Healthy and Fed with High Fat-Carbohydrates Diet (HF-CD) Pigs—Protective Effect of Cistus incanus L. Extracts. Materials. 2021; 14(4):1050. https://doi.org/10.3390/ma14041050
Chicago/Turabian StyleCyboran-Mikołajczyk, Sylwia, Robert Pasławski, Urszula Pasławska, Kacper Nowak, Michał Płóciennik, Katarzyna Męczarska, Jan Oszmiański, Dorota Bonarska-Kujawa, Paweł Kowalczyk, and Magdalena Wawrzyńska. 2021. "Comparison of Osmotic Resistance, Shape and Transmembrane Potential of Erythrocytes Collected from Healthy and Fed with High Fat-Carbohydrates Diet (HF-CD) Pigs—Protective Effect of Cistus incanus L. Extracts" Materials 14, no. 4: 1050. https://doi.org/10.3390/ma14041050
APA StyleCyboran-Mikołajczyk, S., Pasławski, R., Pasławska, U., Nowak, K., Płóciennik, M., Męczarska, K., Oszmiański, J., Bonarska-Kujawa, D., Kowalczyk, P., & Wawrzyńska, M. (2021). Comparison of Osmotic Resistance, Shape and Transmembrane Potential of Erythrocytes Collected from Healthy and Fed with High Fat-Carbohydrates Diet (HF-CD) Pigs—Protective Effect of Cistus incanus L. Extracts. Materials, 14(4), 1050. https://doi.org/10.3390/ma14041050

