Histomorphometric, Immunohistochemical and Microtomographic Comparison between Autogenous and Xenogenous Bone Blocks for Mandibular Lateral Augmentation in Rabbits
Abstract
:1. Introduction
2. Materials and Methods
2.1. Animal Sample
2.2. Study Design and Randomization
2.3. Surgical Procedure
2.4. Maintenance Care
2.5. Euthanasia
2.6. Micro-CT Evaluations
2.7. Histological Preparation
2.8. Calibration of the Histomorphometric Evaluation
2.9. Histological and Histomorphometric Analyses
2.10. Immunohistochemical Processing
2.11. Statistical Analysis
3. Results
3.1. Animal Conditions
3.2. Micro-CT Evaluation
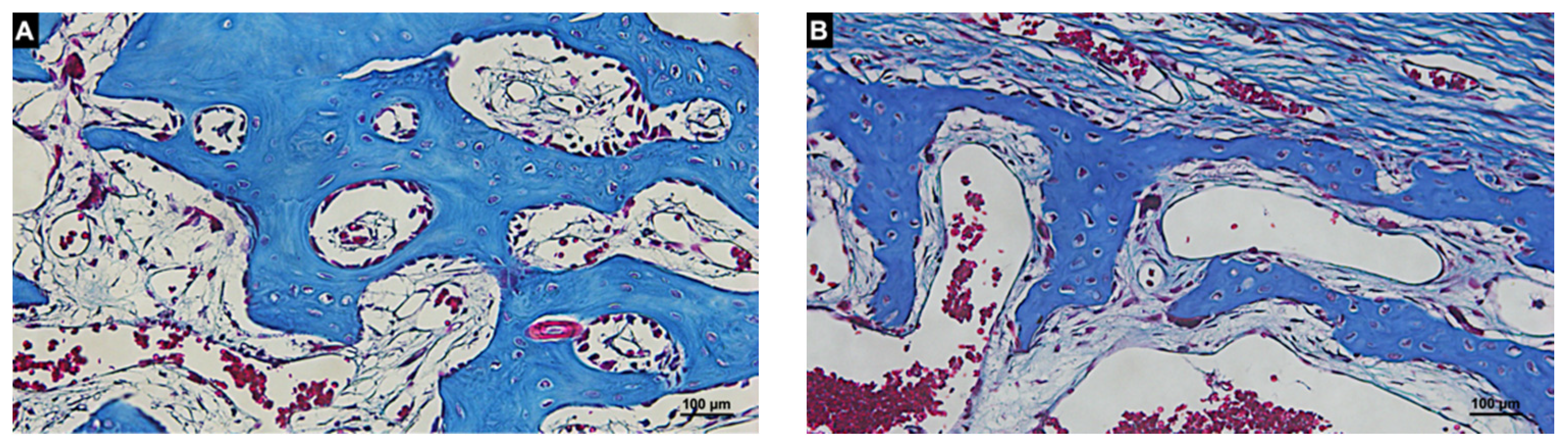
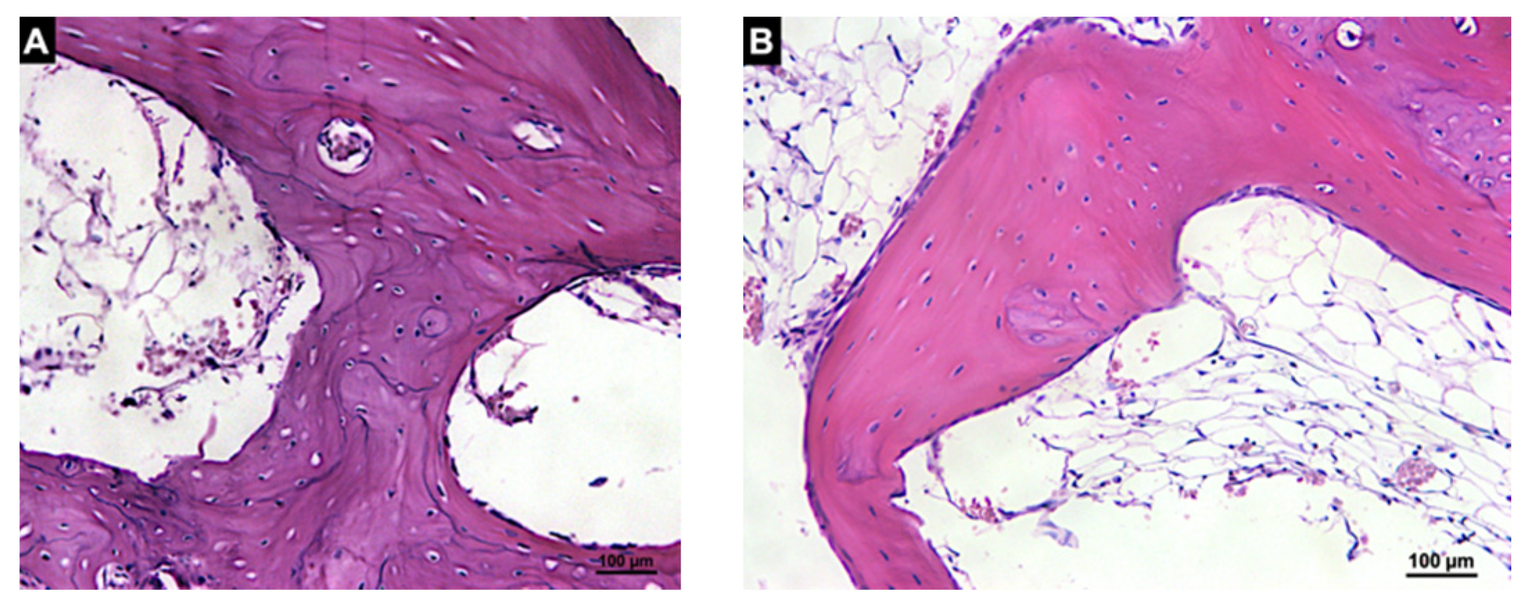
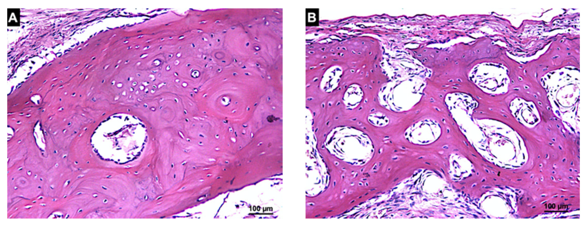
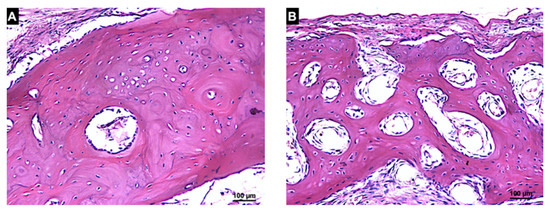
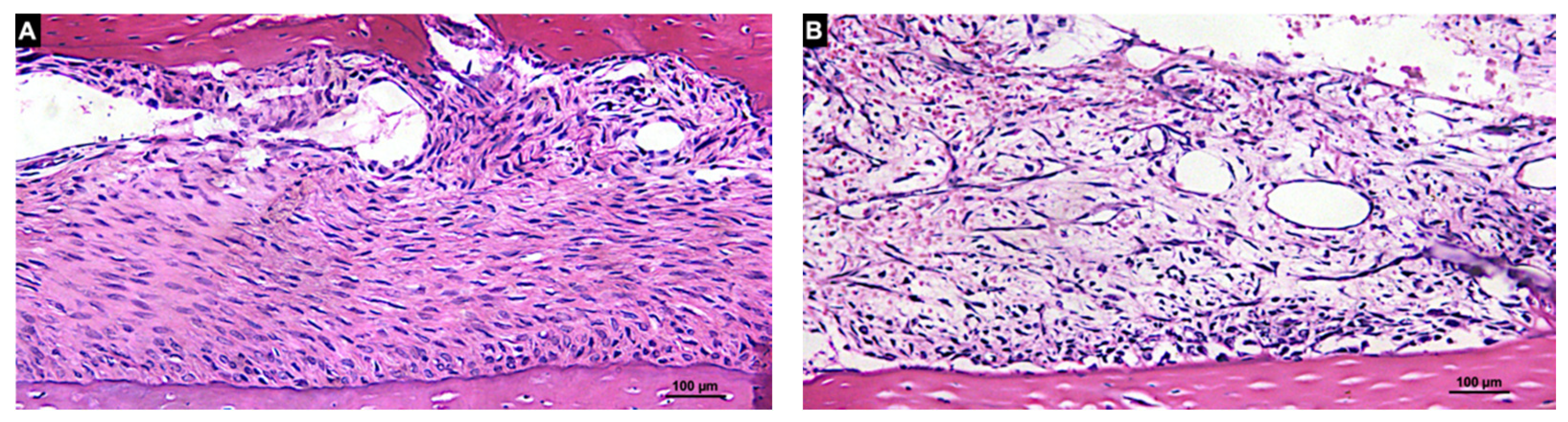
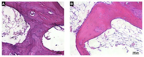
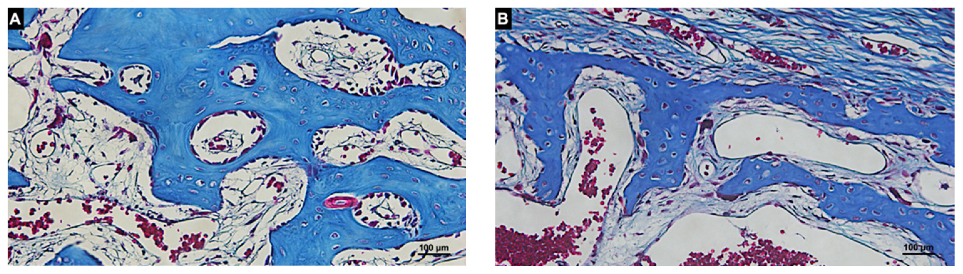
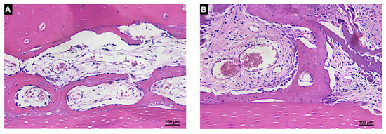
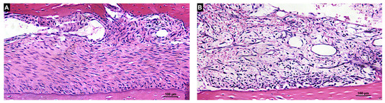
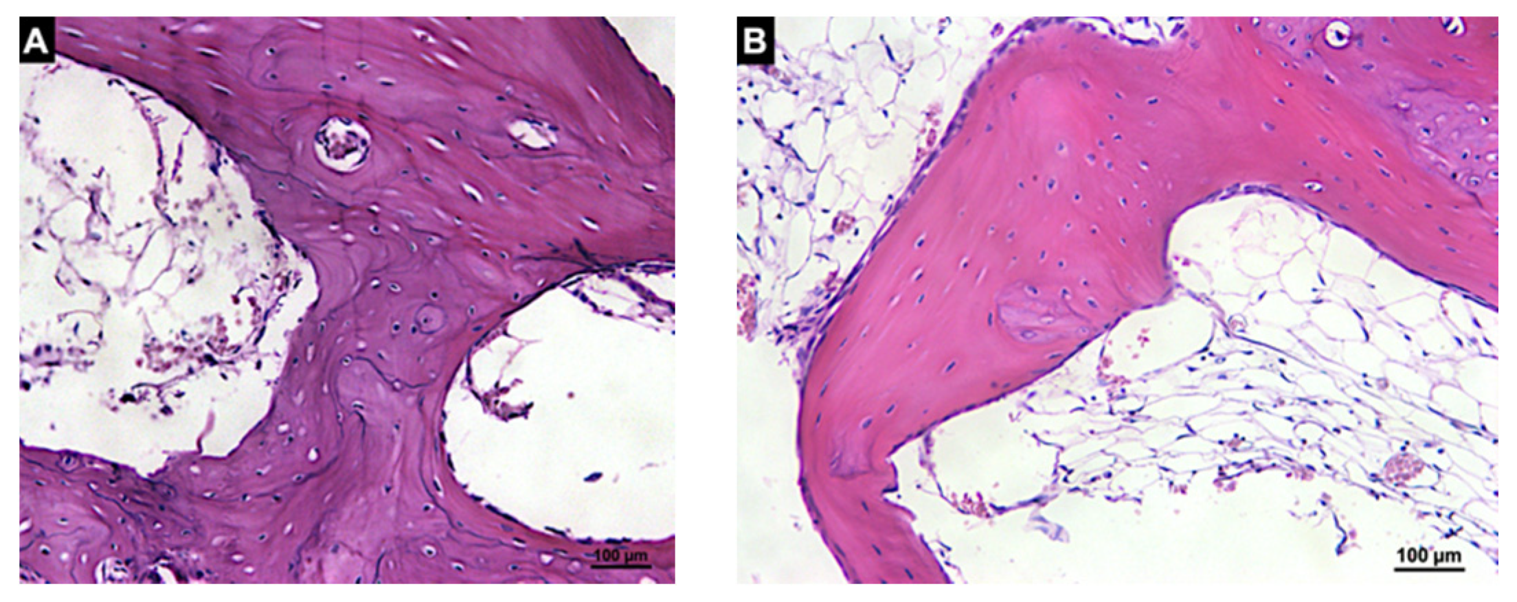
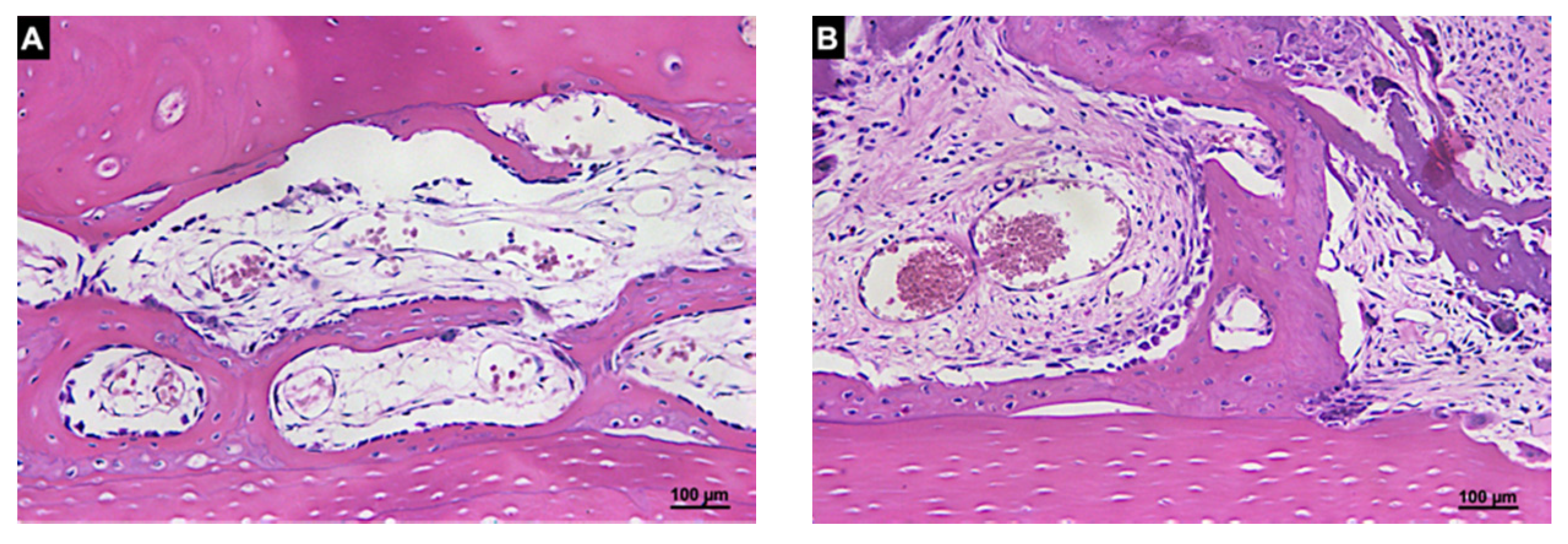
3.3. Histomorphometric Evaluation
3.4. Immunohistochemical Evaluation
4. Discussion
5. Conclusions
Author Contributions
Funding
Institutional Review Board Statement
Informed Consent Statement
Data Availability Statement
Acknowledgments
Conflicts of Interest
References
- Buser, D.; Dula, K.; Belser, U.; Hirt, H.P.; Berthold, H. Localized ridge augmentation using guided bone regeneration. 1. Surgical procedure in the maxilla. Int. J. Periodontics Restor. Dent. 1993, 13, 29–45. [Google Scholar]
- Buser, D.; Dula, K.; Hirt, H.P.; Schenk, R.K. Lateral ridge augmentation using autografts and barrier membranes: A clinical study with 40 partially edentulous patients. J. Oral Maxillofac. Surg. 1996, 54, 420–432. [Google Scholar] [CrossRef]
- Oda, T.; Sawaki, Y.; Ueda, M. Experimental alveolar ridge augmentation by distraction osteogenesis using a simple device that permits secondary implant placement. Int. J. Oral Maxillofac. Implant. 2000, 15, 95–102. [Google Scholar]
- Cordaro, L.; Amadè, D.S.; Cordaro, M. Clinical results of alveolar ridge augmentation with mandibular block bone grafts in partially edentulous patients prior to implant placement. Clin. Oral Implant. Res. 2002, 13, 103–111. [Google Scholar] [CrossRef]
- Donos, N.; Kostopoulos, L.; Karring, T. Alveolar ridge augmentation by combining autogenous mandibular bone grafts and non-resorbable membranes. Clin. Oral Implant. Res. 2002, 13, 185–191. [Google Scholar] [CrossRef] [PubMed]
- Chiapasco, M.; Zaniboni, M.; Boisco, M. Augmentation procedures for the rehabilitation of deficient edentulous ridges with oral implants. Clin. Oral Implant. Res. 2006, 17, 136–159. [Google Scholar] [CrossRef] [PubMed]
- Sanz-Sánchez, I.; Ortiz-Vigón, A.; Sanz-Martín, I.; Figuero, E.; Sanz, M. Effectiveness of Lateral Bone Augmentation on the Alveolar Crest Dimension: A Systematic Review and Meta-analysis. J. Dent. Res. 2015, 94, 128S–142S. [Google Scholar] [CrossRef] [PubMed]
- Elnayef, B.; Porta, C.; del Amo, F.S.L.; Mordini, L.; Gargallo-Albiol, J.; Hernández-Alfaro, F. The Fate of Lateral Ridge Augmentation: A Systematic Review and Meta-Analysis. Int. J. Oral Maxillofac. Implant. 2018, 33, 622–635. [Google Scholar] [CrossRef] [PubMed] [Green Version]
- Nowzari, H.; Aalam, A.-A. Mandibular cortical bone graft part 2: Surgical technique, applications, and morbidity. Compend. Contin. Educ. Dent. 2007, 28, 274–280. [Google Scholar]
- Nkenke, E.; Schultze-Mosgau, S.; Kloss, F.; Neukam, F.W.; Radespiel-Tröger, M. Morbidity of harvesting of chin grafts: A prospective study. Clin. Oral Implant. Res. 2001, 12, 495–502. [Google Scholar] [CrossRef]
- Nkenke, E.; Weisbach, V.; Winckler, E.; Kessler, P.; Schultze-Mosgau, S.; Wiltfang, J.; Neukman, F.W. Morbidity of harvest-ing of bone grafts from the iliac crest for preprosthetic augmentation procedures: A prospective study. Int. J. Oral Maxillofac. Surg. 2004, 33, 157–163. [Google Scholar] [CrossRef]
- von Arx, T.; Häfliger, J.; Chappuis, V. Neurosensory disturbances following bone harvesting in the symphysis: A prospective clinical study. Clin. Oral Implant. Res. 2005, 16, 432–439. [Google Scholar] [CrossRef]
- Dias, R.R.; Sehn, F.P.; Santos, T.D.S.; Silva, E.R.; Chaushu, G.; Xavier, S.P. Corticocancellous fresh-frozen allograft bone blocks for augmenting atrophied posterior mandibles in humans. Clin. Oral Implant. Res. 2014, 27, 39–46. [Google Scholar] [CrossRef]
- Silva, E.R.; Ferraz, E.P.; Neto, E.C.M.; Chaushu, G.; Chaushu, L.; Xavier, S.P. Volumetric Stability of Fresh Frozen Bone Blocks in Atrophic Posterior Mandible Augmentation. J. Oral Implant. 2017, 43, 25–32. [Google Scholar] [CrossRef]
- de Azambuja Carvalho, P.H.; Dos Santos Trento, G.; Moura, L.B.; Cunha, G.; Gabrielli, M.A.C.; Pereira-Filho, V.A. Horizontal ridge augmentation using xenogenous bone graft-systematic review. Oral Maxillofac. Surg. 2019, 23, 271–279. [Google Scholar] [CrossRef]
- Lima, R.G.; Lima, T.G.; Francischone, C.E.; Turssi, C.; Assis, N.; Sotto-Maior, B. Bone Volume Dynamics and Implant Placement Torque in Horizontal Bone Defects Reconstructed with Autologous or Xenogeneic Block Bone: A Randomized, Controlled, Split-Mouth, Prospective Clinical Trial. Int. J. Oral Maxillofac. Implant. 2018, 33, 888–894. [Google Scholar] [CrossRef] [PubMed]
- Rothamel, D.; Schwarz, F.; Herten, M.; Ferrari, D.; Mischkowski, R.A.; Sager, M.; Becker, J. Vertical ridge augmentation using xenogenous bone blocks: A histomorpho-metric study in dogs. Int. J. Oral Maxillofac. Implant. 2009, 24, 243–250. [Google Scholar]
- Xuan, F.; Lee, C.-U.; Son, J.-S.; Fang, Y.; Jeong, S.-M.; Choi, B.-H. Vertical Ridge Augmentation Using Xenogenous Bone Blocks: A Comparison Between the Flap and Tunneling Procedures. J. Oral Maxillofac. Surg. 2014, 72, 1660–1670. [Google Scholar] [CrossRef] [PubMed]
- Rothamel, D.; Schwarz, F.; Herten, M.; Berndsen, K.; Steigmann, M.; Neugebauer, J.; Becker, J. Vertical augmentation of the mandible using cortico-spongious xenoblocks. A histomorphometrical study in dogs. Schweiz. Mon. Zahnmed. = Rev. Mens. Suisse D’odonto-Stomatol. = Riv. Mens. Svizz. Odontol. Stomatol. 2008, 118, 1162–1169. [Google Scholar]
- De Santis, E.; Lang, N.P.; Scala, A.; Viganò, P.; Salata, L.A.; Botticelli, D. Healing outcomes at implants installed in grafted sites: An experimental study in dogs. Clin. Oral Implant. Res. 2011, 23, 340–350. [Google Scholar] [CrossRef]
- De Santis, E.; Lang, N.P.; Favero, G.A.; Beolchini, M.; Morelli, F.; Botticelli, D. Healing at mandibular block-grafted sites. An experimental study in dogs. Clin. Oral Implant. Res. 2014, 26, 516–522. [Google Scholar] [CrossRef]
- Grasso, G.; Mummolo, S.; Bernardi, S.; Pietropaoli, D.; D’Ambrosio, G.; Iezzi, G.; Piattelli, A.; Bianchi, S.; Marchetti, E. His-tological and Histomorphometric Evaluation of New Bone Formation after Maxillary Sinus Augmentation with Two Different Osteoconductive Materials: A Randomized, Parallel, Double-Blind Clinical Trial. Materials 2020, 13, 5520. [Google Scholar] [CrossRef]
- Mancini, L.; Manilia, C.; Casalena, F.; Capogreco, M.; Marzo, G.; Marchetti, E. Histomorphometric evaluation of bovine bone and equine bone matrix in maxillary sinus floor augmentation: A systematic review. J. Biol. Regul. Homeost Agents 2020, 34, 181–191. [Google Scholar] [PubMed]
- Di Dds, D.A.; Artese, L.; Iezzi, G.; Piattelli, A.; Pagnutti, S.; Piccirilli, M.; Perrotti, V. Alveolar Ridge Regeneration with Equine Spongy Bone: A Clinical, Histological, and Immunohistochemical Case Series. Clin. Implant. Dent. Relat. Res. 2009, 11, 90–100. [Google Scholar] [CrossRef]
- Schwarz, F.; Ferrari, D.; Balic, E.; Buser, D.; Becker, J.; Sager, M. Lateral ridge augmentation using equine- and bovine-derived cancellous bone blocks: A feasibility study in dogs. Clin. Oral Implant. Res. 2010, 21, 904–912. [Google Scholar] [CrossRef] [PubMed]
- Nevins, M.; Al Hezaimi, K.; Schupbach, P.; Karimbux, N.; Kim, D.M. Vertical Ridge Augmentation Using an Equine Bone and Collagen Block Infused With Recombinant Human Platelet-Derived Growth Factor-BB: A Randomized Single-Masked Histologic Study in Non-Human Primates. J. Periodontol. 2012, 83, 878–884. [Google Scholar] [CrossRef] [PubMed]
- Zecha, P.J.; Schortinghuis, J.; Van Der Wal, J.E.; Nagursky, H.; Broek, K.C.V.D.; Sauerbier, S.; Vissink, A.; Raghoebar, G.M. Applicability of equine hydroxyapatite collagen (eHAC) bone blocks for lateral augmentation of the alveolar crest. A histological and histomorphometric analysis in rats. Int. J. Oral Maxillofac. Surg. 2011, 40, 533–542. [Google Scholar] [CrossRef]
- Available online: http://www.randomization.com (accessed on 13 March 2017).
- Silva, E.R.; Chaushu, L.; Balan, V.F.; Botticelli, D.; Xavier, S.P. Fixation screw minimizes bone graft loss following autogenous lateral block graft augmentation: An experimental in vivo study. J. Stomatol. Oral Maxillofac. Surg. 2021, 8. [Google Scholar] [CrossRef]
- Faria, P.E.P.; Okamoto, R.; Bonilha-Neto, R.M.; Xavier, S.; Santos, A.C.; Salata, L.A. Immunohistochemical, tomographic and histological study on onlay iliac grafts remodeling. Clin. Oral Implant. Res. 2008, 19, 393–401. [Google Scholar] [CrossRef]
- Pedrosa, W.F., Jr.; Okamoto, R.; Faria, P.E.; Arnez, M.F.; Xavier, S.P.; Salata, L.A. Immunohistochemical, tomographic and histological study on onlay bone graft remodeling. Part II: Calvarial bone. Clin. Oral Implants Res. 2009, 20, 1254–1264. [Google Scholar] [CrossRef]
- Caneva, M.; Botticelli, D.; Carneiro Martins, E.N.; Caneva, M.; Lang, N.P.; Xavier, S.P. Healing at the interface between recipient sites and autologous block bone grafts affixed by either position or lag screw methods: A histomorphometric study in rabbits. Clin. Oral Implants Res. 2017, 28, 1484–1491. [Google Scholar] [CrossRef] [PubMed]
- Iida, T.; Baba, S.; Botticelli, D.; Masuda, K.; Xavier, S.P. Comparison of histomorphometry and microCT after sinus augmentation using xenografts of different particle sizes in rabbits. Oral Maxillofac. Surg. 2020, 24, 57–64. [Google Scholar] [CrossRef]
- Iida, T.; Silva, E.R.; Lang, N.P.; Apaza Alccayhuaman, K.A.; Botticelli, D.; Xavier, S.P. Histological and micro-computed to-mography evaluations of newly formed bone after maxillary sinus augmentation using a xenograft with similar density and mineral content of bone: An experimental study in rabbits. Clin. Exp. Dent. Res. 2018, 4, 284–290. [Google Scholar] [CrossRef] [PubMed] [Green Version]
- Kanayama, M.; Botticelli, D.; Apaza Alccayhuaman, K.A.; Yonezawa, D.; Silva, E.R.; Xavier, S.P. The Impact on the Healing of Bioactivation with Argon Plasma of a Xenogeneic Graft with Adequate Fixation but Poor Adaptation to the Recipient Site: An Experimental Study in Rabbits. Int. J. Oral Maxillofac. Implant. 2021, 36, 703–714. [Google Scholar] [CrossRef] [PubMed]












| TV | BV | ||
|---|---|---|---|
| 7 days | Auto | 258.3 ± 15.8 * | 52.8 ± 7.7 * |
| Xeno | 166.9 ± 26.0 * | 4.2 ± 0.4 | |
| 20 days | Auto | 159.5 ± 77.1 | 27.2 ± 11.1 |
| Xeno | 166.4 ± 50.3 | 18.8 ± 9.5 | |
| 60 days | Auto | 107.2 ± 17.5 * | 33.1 ± 2.8 *** |
| Xeno | 96.0. ± 19.1 * | 7.6 ± 3.7 *** |
| NB | RG | ||
|---|---|---|---|
| 7 days | Auto | 0 | 50.7 ± 24.5 |
| Xeno | 0 | 36.7 ± 7.9 | |
| 20 days | Auto | 20.3 ± 13.8 | 30.4 ± 15.4 ** |
| Xeno | 18.9 ± 4.4 | 9.7 ± 9.9 ** | |
| 60 days | Auto | 24.2 ± 11.2 | 19.7 ± 10.3 ** |
| Xeno | 31.6. ± 13.3 | 1.0 ± 1.7 ** |
| VEGF | COL I | OPN | ALP | Casp 3 | OC | TRAP | ||
|---|---|---|---|---|---|---|---|---|
| 7 days | Auto | 2 | 2 | 1 | 2 | 1 | 1.5 | 1.5 |
| Xeno | 1.5 | 1.5 | 2 | 1.5 | 2 | 2 | 1 | |
| 20 days | Auto | 2 | 1.5 | 2.5 | 1.5 | 1.5 | 2 | 2 |
| Xeno | 1 | 1.5 | 1.5 | 2 | 2 | 2 | 2 | |
| 60 days | Auto | 1 | 2 | 2 | 1 | 1 | 2.5 | 2.5 |
| Xeno | 1.5 | 1.5 | 1.5 | 1.5 | 2 | 2 | 1 |
Publisher’s Note: MDPI stays neutral with regard to jurisdictional claims in published maps and institutional affiliations. |
© 2021 by the authors. Licensee MDPI, Basel, Switzerland. This article is an open access article distributed under the terms and conditions of the Creative Commons Attribution (CC BY) license (https://creativecommons.org/licenses/by/4.0/).
Share and Cite
Silva, E.R.; Balan, V.F.; Botticelli, D.; Soldini, C.; Okamoto, R.; Xavier, S.P. Histomorphometric, Immunohistochemical and Microtomographic Comparison between Autogenous and Xenogenous Bone Blocks for Mandibular Lateral Augmentation in Rabbits. Materials 2021, 14, 6049. https://doi.org/10.3390/ma14206049
Silva ER, Balan VF, Botticelli D, Soldini C, Okamoto R, Xavier SP. Histomorphometric, Immunohistochemical and Microtomographic Comparison between Autogenous and Xenogenous Bone Blocks for Mandibular Lateral Augmentation in Rabbits. Materials. 2021; 14(20):6049. https://doi.org/10.3390/ma14206049
Chicago/Turabian StyleSilva, Erick Ricardo, Vitor Ferreira Balan, Daniele Botticelli, Claudio Soldini, Roberta Okamoto, and Samuel Porfirio Xavier. 2021. "Histomorphometric, Immunohistochemical and Microtomographic Comparison between Autogenous and Xenogenous Bone Blocks for Mandibular Lateral Augmentation in Rabbits" Materials 14, no. 20: 6049. https://doi.org/10.3390/ma14206049
APA StyleSilva, E. R., Balan, V. F., Botticelli, D., Soldini, C., Okamoto, R., & Xavier, S. P. (2021). Histomorphometric, Immunohistochemical and Microtomographic Comparison between Autogenous and Xenogenous Bone Blocks for Mandibular Lateral Augmentation in Rabbits. Materials, 14(20), 6049. https://doi.org/10.3390/ma14206049

