Preparation and Properties of Fractionated Soybean Protein Isolate Films
Abstract
:1. Introduction
2. Materials and Methods
2.1. Preparation of Fractionated SPI Products
2.2. Characterization of Fractionated SPI Products
2.3. Preparation of SPI Films
2.4. Characterization of SPI Films
2.4.1. Rheology
2.4.2. Contact Angle
2.4.3. Mechanical Properties
2.4.4. Fourier Transform Infrared (FTIR) Spectroscopy
2.4.5. Permeability
2.4.6. Scanning Electron Microscopy (SEM)
3. Results and Discussion
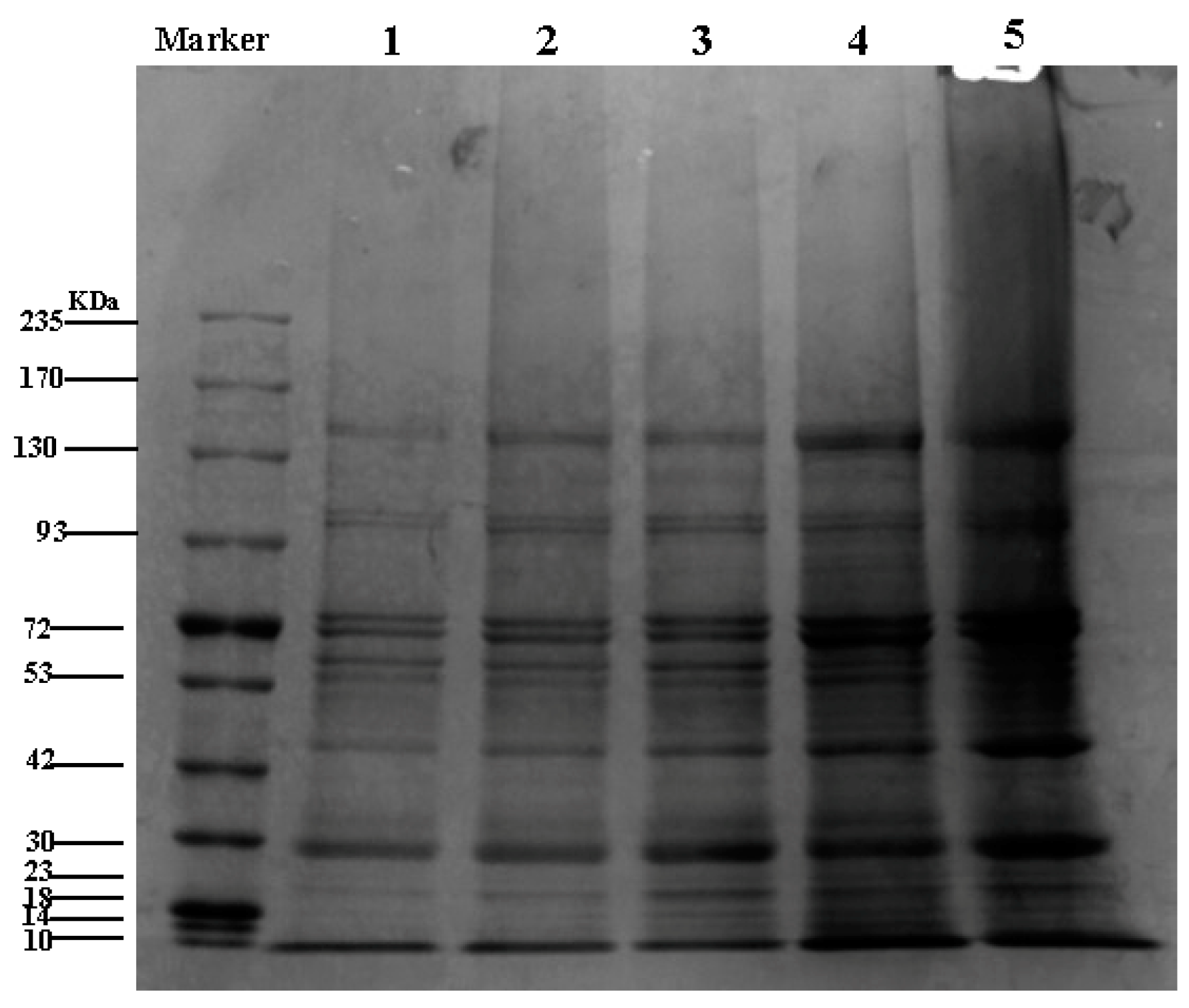
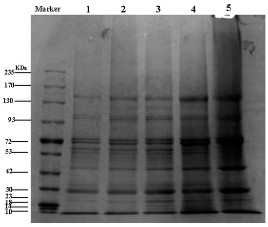
3.1. Analysis of the Grading Effect
3.2. Rheology
3.3. Contact Angle
3.4. Mechanical Properties
3.5. FTIR
3.6. Gas Permeability
3.7. Surface Morphology
4. Conclusions
Author Contributions
Funding
Institutional Review Board Statement
Informed Consent Statement
Data Availability Statement
Acknowledgments
Conflicts of Interest
References
- Han, J.H. (Ed.) Innovations in Food Packaging, 2nd ed.; Elsevier: Amsterdam, The Netherlands, 2014. [Google Scholar]
- Lipatova, I.; Yusova, A.; Makarova, L. Fabrication and characterization of starch films containing chitosan nanoparticles using in situ precipitation and mechanoactivation techniques. J. Food Eng. 2021, 304, 110593. [Google Scholar] [CrossRef]
- Zhang, Y.; Li, T.; Zhang, H.; Zhang, H.; Chi, Y.; Zhao, X.; Li, H.; Wen, Y. Blending with shellac to improve water resistance of soybean protein isolate film. J. Food Process. Eng. 2020, 43, 13515. [Google Scholar] [CrossRef]
- Rangaraj, V.M.; Rambabu, K.; Banat, F.; Mittal, V. Effect of date fruit waste extract as an antioxidant additive on the properties of active gelatin films. Food Chem. 2021, 355, 129631. [Google Scholar] [CrossRef]
- Yuan, G.; Jia, Y.; Pan, Y.; Li, W.; Wang, C.; Xu, L.; Wang, C.; Chen, H. Preparation and characterization of shrimp shell waste protein-based films modified with oolong tea, corn silk and black soybean seed coat extracts. Polym. Test. 2020, 81, 106235. [Google Scholar] [CrossRef]
- Aziz, S.G.-G.; Almasi, H. Physical Characteristics, Release Properties, and Antioxidant and Antimicrobial Activities of Whey Protein Isolate Films Incorporated with Thyme (Thymus vulgaris L.) Extract-Loaded Nanoliposomes. Food Bioprocess Technol. 2018, 11, 1552–1565. [Google Scholar] [CrossRef]
- Su, J.-F.; Huang, Z.; Yuan, X.-Y.; Wang, X.-Y.; Li, M. Structure and properties of carboxymethyl cellulose/soy protein isolate blend edible films crosslinked by Maillard reactions. Carbohydr. Polym. 2010, 79, 145–153. [Google Scholar] [CrossRef]
- Jensen, A.; Lim, L.-T.; Barbut, S.; Marcone, M. Development and characterization of soy protein films incorporated with cellulose fibers using a hot surface casting technique. LWT 2015, 60, 162–170. [Google Scholar] [CrossRef]
- Chiralt, A.; González-Martínez, C.; Vargas, M.; Atarés, L. Edible films and coatings from proteins. In Proteins in Food Processing; Elsevier BV: Amsterdam, The Netherlands, 2018; pp. 477–500. [Google Scholar]
- Ramos, O.; Reinas, I.; Silva, S.I.; Fernandes, J.; Cerqueira, M.; Pereira, R.N.; Vicente, A.; Poças, M.D.F.; Pintado, M.E.; Malcata, F.X. Effect of whey protein purity and glycerol content upon physical properties of edible films manufactured therefrom. Food Hydrocoll. 2013, 30, 110–122. [Google Scholar] [CrossRef] [Green Version]
- Gennadios, A.; Brandenburg, A.H.; Weller, C.L.; Testin, R.F. Effect of pH on properties of wheat gluten and soy protein isolate films. J. Agric. Food Chem. 1993, 41, 1835–1839. [Google Scholar] [CrossRef]
- Xiaoquan, Q.J. Comparative studies on functional properties of soy protein fractions. J. Chin. Cereals Oils Assoc. 2010, 25, 26–30. [Google Scholar]
- Guo, Q.Q.; Zhang, N.; Zhao, X.H. Evaluation of functional properties of soybean graded protein. Sci. Technol. Food Ind. 2006, 27, 74–76. [Google Scholar]
- Nagano, T.; Hirotsuka, M.; Mori, H.; Kohyama, K.; Nishinari, K. Dynamic viscoelastic study on the gelation of 7 S globulin from soybeans. J. Agric. Food Chem. 1992, 40, 941–944. [Google Scholar] [CrossRef]
- Wu, S.; Murphy, P.A.; Johnson, L.A.; Reuber, A.M.A.; Fratzke, A.R. Simplified Process for Soybean Glycinin and β-Conglycinin Fractionation. J. Agric. Food Chem. 2000, 48, 2702–2708. [Google Scholar] [CrossRef]
- Deak, N.A.; Johnson, L.A. Fate of Phytic Acid in Producing Soy Protein Ingredients. J. Am. Oil Chem. Soc. 2007, 84, 369–376. [Google Scholar] [CrossRef]
- Teng, Z.; Liu, C.; Yang, X.; Li, L.; Tang, C.; Jiang, Y. Fractionation of Soybean Globulins Using Ca2+ and Mg2+: A Comparative Analysis. J. Am. Oil Chem. Soc. 2009, 86, 409–417. [Google Scholar] [CrossRef]
- Zheng, L.; Wang, Z.; Kong, Y.; Ma, Z.; Wu, C.; Regenstein, J.M.; Teng, F.; Li, Y. Different commercial soy protein isolates and the characteristics of Chiba tofu. Food Hydrocoll. 2021, 110, 106115. [Google Scholar] [CrossRef]
- Wang, X.; Luo, K.; Liu, S.; Zeng, M.; Adhikari, B.; He, Z.; Chen, J. Textural and Rheological Properties of Soy Protein Isolate Tofu-Type Emulsion Gels: Influence of Soybean Variety and Coagulant Type. Food Biophys. 2018, 13, 324–332. [Google Scholar] [CrossRef]
- Liang, G.; Chen, W.; Qie, X.; Zeng, M.; Qin, F.; He, Z.; Chen, J. Modification of soy protein isolates using combined pre-heat treatment and controlled enzymatic hydrolysis for improving foaming properties. Food Hydrocoll. 2020, 105, 105764. [Google Scholar] [CrossRef]
- Liu, W.W.; Ye, Y.H.; Hu, J.; Nie, S.P.; He, H. Hepatoprotection of soybean protein isolate, and 7S, 11S proteins. J. Chin. Cereals Oils Assoc. 2016, 31, 32–36. [Google Scholar]
- Mihalca, V.; Kerezsi, A.; Weber, A.; Gruber-Traub, C.; Schmucker, J.; Vodnar, D.; Dulf, F.; Socaci, S.; Fărcaș, A.; Mureșan, C.; et al. Protein-Based Films and Coatings for Food Industry Applications. Polymers 2021, 13, 769. [Google Scholar] [CrossRef] [PubMed]
- Chen, H.; Wang, J.; Cheng, Y.; Wang, C.; Liu, H.; Bian, H.; Pan, Y.; Sun, J.; Han, W. Application of Protein-Based Films and Coatings for Food Packaging: A Review. Polymers 2019, 11, 2039. [Google Scholar] [CrossRef] [Green Version]
- Chong, L. Mechanism of Soy Protein Fractionation and Separation. Ph.D. Thesis, South China University of Technology, Guangzhou, China, 2009. [Google Scholar]
- Huihua, H.; Kongrong, G.; Qianchu, G.; Hanhua, L. SDS-PAGE patterns of soybean, defatted soy bean and soybean protein isolates. Food Sci. 2000, 21, 15–19. [Google Scholar]
- Tian, K.; Guan, J.; Shao, Z.Z.; Chen, X. Structural and functional study of soybean protein isolation. Prog. Chem. 2008, 20, 565–573. [Google Scholar]
- Maruyama, N.; Salleh, M.R.M.; Takahashi, K.; Yagasaki, K.; Goto, H.; Hontani, N.; Nakagawa, A.S.; Utsumi, S. Structure−Physicochemical Function Relationships of Soybean β-Conglycinin Heterotrimers. J. Agric. Food Chem. 2002, 50, 4323–4326. [Google Scholar] [CrossRef]
- Katsube, T.; Maruyama, N.; Takaiwa, F.; Utsumi, N. Food protein engineering of soybean proteins and development of soy-rice. In Engineering Crop Plants for Industrial End Uses; Shewry, P.R., Napier, J.A., Davis, P., Eds.; Portland Press: London, UK, 1998; pp. 65–76. [Google Scholar]
- Marcone, M.F.; Kakuda, Y.; Yada, R.Y. Salt-soluble seed globulins of various dicotyledonous and monocotyledonous plants–I. Isolation/purification and characterization. Food Chem. 1998, 62, 27–47. [Google Scholar] [CrossRef]
- Perrechil, F.A.; Ramos, V.A.; Cunha, R. Synergistic Functionality of Soybean 7S and 11S Fractions in Oil-in-Water Emulsions: Effect of Protein Heat Treatment. Int. J. Food Prop. 2014, 18, 2593–2602. [Google Scholar] [CrossRef]
- Yu, Z.; Rao, G.; Wei, Y.; Yu, J.; Wu, S.; Fang, Y. Preparation, characterization, and antibacterial properties of biofilms comprising chitosan and ε-polylysine. Int. J. Biol. Macromol. 2019, 141, 545–552. [Google Scholar] [CrossRef] [PubMed]
- Yang, A.; Deng, H.; Zu, Q.; Lu, J.; Wu, Z.; Li, X.; Tong, P.; Chen, H. Structure characterization and IgE-binding of soybean 7S globulin after enzymatic deglycosylation. Int. J. Food Prop. 2018, 21, 186–197. [Google Scholar] [CrossRef] [Green Version]
- Wang, H.; Wang, L. Developing a bio-based packaging film from soya by-products incorporated with valonea tannin. J. Clean. Prod. 2017, 143, 624–633. [Google Scholar] [CrossRef]
- Vásconez, M.B.; Flores, S.; Campos, C.A.; Alvarado, J.; Gerschenson, L.N. Antimicrobial activity and physical properties of chitosan–tapioca starch based edible films and coatings. Food Res. Int. 2009, 42, 762–769. [Google Scholar] [CrossRef]








| Weight (g/24) | Yield (%) | Contact Angle (°) | |
|---|---|---|---|
| SPI | - | - | 47.7 ± 0.5 |
| Upper protein | 1.50 ± 0.26 | 6.25 ± 1.10 | 60.9 ± 0.6 |
| Lower protein | 13.96 ± 1.04 | 58.19 ± 4.32 | 57.0 ± 0.5 |
| 11S | 3.22 ± 0.66 | 13.42 ± 2.75 | 36.2 ± 0.8 |
| 7S | 4.45 ± 0.42 | 18.57 ± 1.75 | 25.7 ± 0.3 |
Publisher’s Note: MDPI stays neutral with regard to jurisdictional claims in published maps and institutional affiliations. |
© 2021 by the authors. Licensee MDPI, Basel, Switzerland. This article is an open access article distributed under the terms and conditions of the Creative Commons Attribution (CC BY) license (https://creativecommons.org/licenses/by/4.0/).
Share and Cite
Wei, Y.; Huang, Z.; Yu, Z.; Han, C.; Yang, C. Preparation and Properties of Fractionated Soybean Protein Isolate Films. Materials 2021, 14, 5436. https://doi.org/10.3390/ma14185436
Wei Y, Huang Z, Yu Z, Han C, Yang C. Preparation and Properties of Fractionated Soybean Protein Isolate Films. Materials. 2021; 14(18):5436. https://doi.org/10.3390/ma14185436
Chicago/Turabian StyleWei, Yunxiao, Ze’en Huang, Zuolong Yu, Chao Han, and Cairong Yang. 2021. "Preparation and Properties of Fractionated Soybean Protein Isolate Films" Materials 14, no. 18: 5436. https://doi.org/10.3390/ma14185436
APA StyleWei, Y., Huang, Z., Yu, Z., Han, C., & Yang, C. (2021). Preparation and Properties of Fractionated Soybean Protein Isolate Films. Materials, 14(18), 5436. https://doi.org/10.3390/ma14185436

