Calcium Phosphate Ceramics Can Prevent Bisphosphonate-Related Osteonecrosis of the Jaw
Abstract
1. Introduction
2. Materials and Methods
2.1. Ethical Statement
2.2. Experimental Animals
2.3. Study Design
2.4. Surgical Procedure
2.5. Nuclear Medicine Imaging
2.6. Macroscopic Evaluation of Specimens
2.7. Radiographic Evaluation
2.8. Histological Evaluation
2.9. Statistical Analysis
3. Results
3.1. Nuclear Medicine
3.2. Radiology
3.3. Macroscopic Analysis
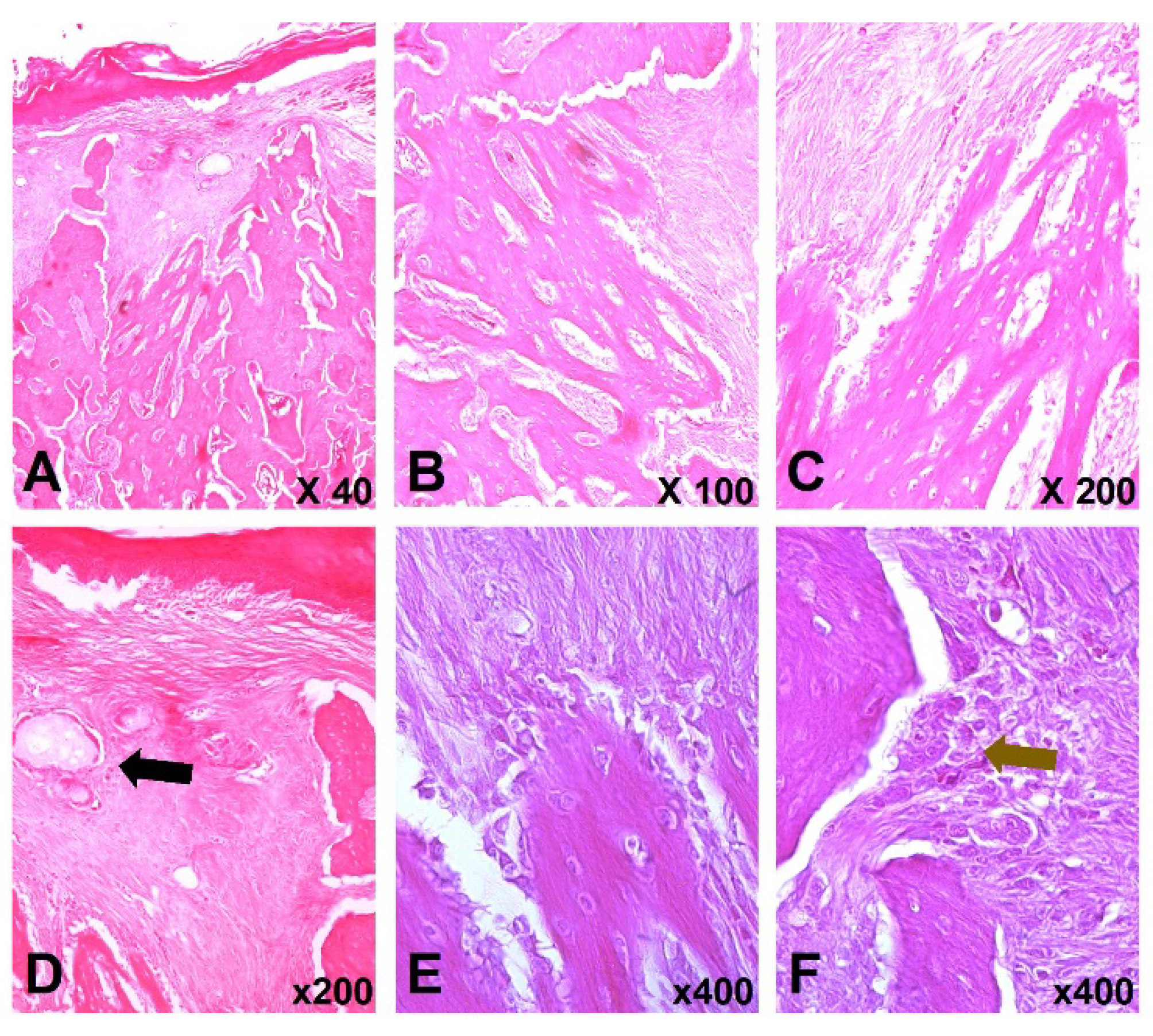
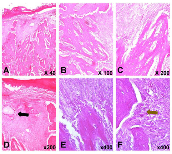
3.4. Histological Analysis
4. Discussion
5. Conclusions
Author Contributions
Funding
Conflicts of Interest
References
- Ruggiero, S.L.; Dodson, T.B.; Fantasia, J.; Goodday, R.; Aghaloo, T.; Mehrotra, B.; O’Ryan, F. American Association of Oral and Maxillofacial Surgeons Position Paper on Medication-Related Osteonecrosis of the Jaw—2014 Update. J. Oral Maxillofac. Surg. 2014, 72, 1938–1956. [Google Scholar] [CrossRef] [PubMed]
- Paulo, S.; Abrantes, A.M.; Laranjo, M.; Carvalho, L.; Serra, A.; Botelho, M.F.; Ferreira, M.M. Bisphosphonate-related osteonecrosis of the jaw: Specificities. Oncol. Rev. 2014, 8, 254. [Google Scholar] [CrossRef] [PubMed]
- George, E.L.; Lin, Y.-L.; Saunders, M.M. Bisphosphonate-related osteonecrosis of the jaw: A mechanobiology perspective. Bone Rep. 2018, 8, 104–109. [Google Scholar] [CrossRef] [PubMed]
- Reid, I.R.; Cornish, J. Epidemiology and pathogenesis of osteonecrosis of the jaw. Nat. Rev. Rheumatol. 2012, 8, 90–96. [Google Scholar] [CrossRef] [PubMed]
- Veszelyne Kotan, E.; Bartha-Lieb, T.; Parisek, Z.; Meskó, A.; Vaszilkó, M.; Hankó, B. Database analysis of the risk factors of bisphosphonate-related osteonecrosis of the jaw in Hungarian patients. BMJ Open 2019, 9, e025600. [Google Scholar] [CrossRef]
- Anesi, A.; Generali, L.; Sandoni, L.; Pozzi, S.; Grande, A. From Osteoclast Differentiation to Osteonecrosis of the Jaw: Molecular and Clinical Insights. Int. J. Mol. Sci. 2019, 20, 4925. [Google Scholar] [CrossRef]
- Yarom, N.; Shapiro, C.L.; Peterson, D.E.; Van Poznak, C.H.; Bohlke, K.; Ruggiero, S.L.; Migliorati, C.A.; Khan, A.; Morrison, A.; Anderson, H.; et al. Medication-Related Osteonecrosis of the Jaw: MASCC/ISOO/ASCO Clinical Practice Guideline. J. Clin. Oncol. 2019, 37, 2270–2290. [Google Scholar] [CrossRef]
- Gupta, M.; Gupta, N. Bisphosphonate Related Jaw Osteonecrosis; StatPearls Publishing: Treasure Island, FL, USA, 2020. [Google Scholar]
- Ruggiero, S.L.; Dodson, T.B.; Assael, L.A.; Landesberg, R.; Marx, R.E.; Mehrotra, B. American Association of Oral and Maxillofacial Surgeons Position Paper on Bisphosphonate-Related Osteonecrosis of the Jaws—2009 Update. J. Oral Maxillofac. Surg. 2009, 67, 2–12. [Google Scholar]
- Zang, X.; He, L.; Zhao, L.; He, Y.; Xiao, E.; Zhang, Y. Adipose-derived stem cells prevent the onset of bisphosphonate-related osteonecrosis of the jaw through transforming growth factor β-1-mediated gingival wound healing. Stem Cell Res. Ther. 2019, 10, 169. [Google Scholar] [CrossRef]
- Momesso, G.A.C.; Lemos, C.A.A.; Santiago-Júnior, J.F.; Faverani, L.P.; Pellizzer, E.P. Laser surgery in management of medication-related osteonecrosis of the jaws: A meta-analysis. Oral Maxillofac. Surg. 2020. [Google Scholar] [CrossRef]
- Pispero, A.; Bancora, I.; Khalil, A.; Scarnò, D.; Varoni, E.M. Use of Platelet Rich Fibrin (PRF)-Based Autologous Membranes for Tooth Extraction in Patients under Bisphosphonate Therapy: A Case Report. Biomedicines 2019, 7, 89. [Google Scholar] [CrossRef]
- Hokugo, A.; Kanayama, K.; Sun, S.; Morinaga, K.; Sun, Y.; Wu, Q.; Sasaki, H.; Okawa, H.; Evans, C.; Ebetino, F.H.; et al. Rescue bisphosphonate treatment of alveolar bone improves extraction socket healing and reduces osteonecrosis in zoledronate-treated mice. Bone 2019, 123, 115–128. [Google Scholar] [CrossRef] [PubMed]
- Paulo, S.; Laranjo, M.; Abrantes, A.M.; Casalta-Lopes, J.; Santos, K.; Gonçalves, A.C.; Paula, A.B.; Marto, C.M.; Sarmento-Ribeiro, A.B.; Carrilho, E.; et al. Synthetic Calcium Phosphate Ceramics as a Potential Treatment for Bisphosphonate-Related Osteonecrosis of the Jaw. Materials 2019, 12, 1840. [Google Scholar] [CrossRef] [PubMed]
- Kilkenny, C.; Browne, W.J.; Cuthill, I.C.; Emerson, M.; Altman, D.G. Improving bioscience research reporting: The arrive guidelines for reporting animal research. PLoS Biol. 2010, 8, 6–10. [Google Scholar] [CrossRef] [PubMed]
- Biguetti, C.C.; Cavalla, F.; Silveira, E.V.; Tabanez, A.P.; Francisconi, C.F.; Taga, R.; Campanelli, A.P.; Trombone, A.P.F.; Rodrigues, D.C.; Garlet, G.P. HGMB1 and RAGE as essential components of Ti osseointegration process in mice. Front. Immunol. 2019, 10, 709. [Google Scholar] [CrossRef]
- Hikita, H.; Miyazawa, K.; Tabuchi, M.; Kimura, M.; Goto, S. Bisphosphonate administration prior to tooth extraction delays initial healing of the extraction socket in rats. J. Bone Miner. Metab. 2009, 27, 663–672. [Google Scholar] [CrossRef]
- Barba-Recreo, P.; Del Castillo Pardo de Vera, J.L.; García-Arranz, M.; Yébenes, L.; Burgueño, M. Zoledronic acid—Related osteonecrosis of the jaws. Experimental model with dental extractions in rats. J. Cranio Maxillofac. Surg. 2014, 42, 744–750. [Google Scholar] [CrossRef]
- Ali-Erdem, M.; Burak-Cankaya, A.; Cemil-Isler, S.; Demircan, S.; Soluk, M.; Kasapoglu, C.; Korhan-Oral, C. Extraction socket healing in rats treated with bisphosphonate: Animal model for bisphosphonate related osteonecrosis of jaws in multiple myeloma patients. Med. Oral Patol. Oral Cir. Bucal 2011, 16, e879–e883. [Google Scholar] [CrossRef][Green Version]
- Asikoglu, M.; Gamze Durak, F. The rabbit biodistribution of a therapeutic dose of zoledronic acid labeled with Tc-99m. Appl. Radiat. Isot. 2009, 67, 1616–1621. [Google Scholar] [CrossRef]
- Soler, C.; Beauchesne, P.; Maatougui, K.; Schmitt, T.; Barral, F.G.; Michel, D.; Dubois, F.; Brunon, J. Technetium-99m sestamibi brain single-photon emission tomography for detection of recurrent gliomas after radiation therapy. Eur. J. Nucl. Med. Mol. Imaging 1998, 25, 1649–1657. [Google Scholar] [CrossRef]
- Dayisoylu, E.H.; Üngör, C.; Tosun, E.; Ersöz, S.; Duman, M.K.; Taskesen, F.; Şenel, F.Ç. Does an alkaline environment prevent the development of bisphosphonate-related osteonecrosis of the jaw? An experimental study in rats. Oral Surg. Oral Med. Oral Pathol. Oral Radiol. 2014, 117, 329–334. [Google Scholar] [CrossRef] [PubMed]
- Abtahi, J.; Agholme, F.; Aspenberg, P. Prevention of osteonecrosis of the jaw by mucoperiosteal coverage in a rat model. Int. J. Oral Maxillofac. Surg. 2013, 42, 632–636. [Google Scholar] [CrossRef] [PubMed]
- Bi, Y.; Gao, Y.; Ehirchiou, D.; Cao, C.; Kikuiri, T.; Le, A.; Shi, S.; Zhang, L. Bisphosphonates Cause Osteonecrosis of the Jaw-Like Disease in Mice. Am. J. Pathol. 2010, 177, 280–290. [Google Scholar] [CrossRef] [PubMed]
- Marino, K.L.; Zakhary, I.; Abdelsayed, R.A.; Carter, J.A.; O’Neill, J.C.; Khashaba, R.M.; Elsalanty, M.; Stevens, M.R.; Borke, J.L. Development of a Rat Model of Bisphosphonate-Related Osteonecrosis of the Jaw (BRONJ). J. Oral Implantol. 2012, 38, 511–518. [Google Scholar] [CrossRef]
- Senel, F.C.; Duman, M.K.; Muci, E.; Cankaya, M.; Pampu, A.A.; Ersoz, S.; Gunhan, O. Jaw bone changes in rats after treatment with zoledronate and pamidronate. Oral Surg. Oral Med. Oral Pathol. Oral Radiol. Endodontology 2010, 109, 385–391. [Google Scholar] [CrossRef]
- Sonis, S.T.; Watkins, B.A.; Lyng, G.D.; Lerman, M.A.; Anderson, K.C. Bony changes in the jaws of rats treated with zoledronic acid and dexamethasone before dental extractions mimic bisphosphonate-related osteonecrosis in cancer patients. Oral Oncol. 2009, 45, 164–172. [Google Scholar] [CrossRef]
- Guglielmotti, M.B.; Cabrini, R.L. Alveolar wound healing and ridge remodeling after tooth extraction in the rat: A histologic, radiographic, and histometric study. J. Oral Maxillofac. Surg. 1985, 43, 359–364. [Google Scholar] [CrossRef]
- Sengupta, P. The Laboratory Rat: Relating Its Age with Human’s. Int. J. Prev. Med. 2013, 4, 624–630. [Google Scholar]
- de Sousa Gomes, P.; Daugela, P.; Poskevicius, L.; Mariano, L.; Fernandes, M.H. Molecular and Cellular Aspects of Socket Healing in the Absence and Presence of Graft Materials and Autologous Platelet Concentrates: A Focused Review. J. Oral Maxillofac. Res. 2019, 10. [Google Scholar] [CrossRef]
- Desmouliere, A.; Darby, I.A.; Laverdet, B.; Bonté, F. Fibroblasts and myofibroblasts in wound healing. Clin. Cosmet. Investig. Dermatol. 2014, 7, 301. [Google Scholar] [CrossRef] [PubMed]
- Otto, S.; Hafner, S.; Mast, G.; Tischer, T.; Volkmer, E.; Schieker, M.; Stürzenbaum, S.R.; von Tresckow, E.; Kolk, A.; Ehrenfeld, M.; et al. Bisphosphonate-Related Osteonecrosis of the Jaw: Is pH the Missing Part in the Pathogenesis Puzzle? J. Oral Maxillofac. Surg. 2010, 68, 1158–1161. [Google Scholar] [CrossRef]
- Scheper, M.A.; Badros, A.; Salama, A.R.; Warburton, G.; Cullen, K.J.; Weikel, D.S.; Meiller, T.F. A novel bioassay model to determine clinically significant bisphosphonate levels. Support. Care Cancer 2009, 17, 1553–1557. [Google Scholar] [CrossRef]
- Eliaz, N.; Metoki, N. Calcium Phosphate Bioceramics: A Review of Their History, Structure, Properties, Coating Technologies and Biomedical Applications. Materials 2017, 10, 334. [Google Scholar] [CrossRef]
- Chiandussi, S.; Biasotto, M.; Dore, F.; Cavalli, F.; Cova, M.; Di Lenarda, R. Clinical and diagnostic imaging of bisphosphonate-associated osteonecrosis of the jaws. Dentomaxillofacial Radiol. 2006, 35, 236–243. [Google Scholar] [CrossRef] [PubMed]
- Phal, P.M.; Myall, R.W.T.; Assael, L.A.; Weissman, J.L. Imaging Findings of Bisphosphonate-Associated Osteonecrosis of the Jaws. Am. J. Neuroradiol. 2007, 28, 1139–1145. [Google Scholar] [CrossRef] [PubMed]
- Abu-Id, M.H.; Warnke, P.H.; Gottschalk, J.; Springer, I.; Wiltfang, J.; Acil, Y.; Russo, P.A.J.; Kreusch, T. “Bis-phossy jaws”–High and low risk factors for bisphosphonate-induced osteonecrosis of the jaw. J. Cranio Maxillofac. Surg. 2008, 36, 95–103. [Google Scholar] [CrossRef] [PubMed]
- Zanglis, A.; Andreopoulos, D.; Dima, M.; Baltas, G.; Baziotis, N. Jaw uptake of technetium-99 methylene diphosphonate in patients on biphosphonates: A word of caution. Hell. J. Nucl. Med. 2007, 10, 177–180. [Google Scholar] [PubMed]
- Catalano, L.; Del Vecchio, S.; Petruzziello, F.; Fonti, R.; Salvatore, B.; Martorelli, C.; Califano, C.; Caparrotti, G.; Segreto, S.; Pace, L.; et al. Sestamibi and FDG-PET scans to support diagnosis of jaw osteonecrosis. Ann. Hematol. 2007, 86, 415–423. [Google Scholar] [CrossRef] [PubMed]
- O’Ryan, F.S.; Khoury, S.; Liao, W.; Han, M.M.; Hui, R.L.; Baer, D.; Martin, D.; Liberty, D.; Lo, J.C. Intravenous Bisphosphonate-Related Osteonecrosis of the Jaw: Bone Scintigraphy as an Early Indicator. J. Oral Maxillofac. Surg. 2009, 67, 1363–1372. [Google Scholar] [CrossRef]
- Koth, V.S.; Figueiredo, M.A.; Salum, F.G.; Cherubini, K. Bisphosphonate-related osteonecrosis of the jaw: From the sine qua non condition of bone exposure to a non-exposed BRONJ entity. Dentomaxillofacial Radiol. 2016, 45, 20160049. [Google Scholar] [CrossRef]
- Hutchinson, M.; O’Ryan, F.; Chavez, V.; Lathon, P.V.; Sanchez, G.; Hatcher, D.C.; Indresano, A.T.; Lo, J.C. Radiographic Findings in Bisphosphonate-Treated Patients With Stage 0 Disease in the Absence of Bone Exposure. J. Oral Maxillofac. Surg. 2010, 68, 2232–2240. [Google Scholar] [CrossRef] [PubMed]
- Kim, J.-W.; Kong, K.-A.; Kim, S.-J.; Choi, S.-K.; Cha, I.-H.; Kim, M.-R. Prospective biomarker evaluation in patients with osteonecrosis of the jaw who received bisphosphonates. Bone 2013, 57, 201–205. [Google Scholar] [CrossRef] [PubMed][Green Version]
- Brenner, A.I.; Koshy, J.; Morey, J.; Lin, C.; DiPoce, J. The Bone Scan. Semin. Nucl. Med. 2012, 42, 11–26. [Google Scholar] [CrossRef] [PubMed]
- Dore, F.; Filippi, L.; Biasotto, M.; Chiandussi, S.; Cavalli, F.; Di Lenarda, R. Bone Scintigraphy and SPECT/CT of Bisphosphonate-Induced Osteonecrosis of the Jaw. J. Nucl. Med. 2008, 50, 30–35. [Google Scholar] [CrossRef]





| Group | Administration | Tooth Extraction | BCP | Occision 1 | |
|---|---|---|---|---|---|
| 1 | Control 14 | Saline | Yes | No | 14 days | 
| 2 | ZOL 14 | Zoledronate 0.1mg/kg | Yes | No | 14 days | 
| 3 | Control 21 | Saline | Yes | No | 21 days | 
| 4 | ZOL 21 | Zoledronate 0.1mg/kg | Yes | No | 21 days | 
| 5 | ZOL/BCP | Zoledronate 0.1mg/kg | Yes | Yes | 21 days | 
© 2020 by the authors. Licensee MDPI, Basel, Switzerland. This article is an open access article distributed under the terms and conditions of the Creative Commons Attribution (CC BY) license (http://creativecommons.org/licenses/by/4.0/).
Share and Cite
Paulo, S.; Laranjo, M.; Paula, A.; Abrantes, A.M.; Martins, J.; Marto, C.M.; Coelho, A.; Casalta-Lopes, J.; Carvalho, L.; Carrilho, E.; et al. Calcium Phosphate Ceramics Can Prevent Bisphosphonate-Related Osteonecrosis of the Jaw. Materials 2020, 13, 1955. https://doi.org/10.3390/ma13081955
Paulo S, Laranjo M, Paula A, Abrantes AM, Martins J, Marto CM, Coelho A, Casalta-Lopes J, Carvalho L, Carrilho E, et al. Calcium Phosphate Ceramics Can Prevent Bisphosphonate-Related Osteonecrosis of the Jaw. Materials. 2020; 13(8):1955. https://doi.org/10.3390/ma13081955
Chicago/Turabian StylePaulo, Siri, Mafalda Laranjo, Anabela Paula, Ana Margarida Abrantes, João Martins, Carlos Miguel Marto, Ana Coelho, João Casalta-Lopes, Lina Carvalho, Eunice Carrilho, and et al. 2020. "Calcium Phosphate Ceramics Can Prevent Bisphosphonate-Related Osteonecrosis of the Jaw" Materials 13, no. 8: 1955. https://doi.org/10.3390/ma13081955
APA StylePaulo, S., Laranjo, M., Paula, A., Abrantes, A. M., Martins, J., Marto, C. M., Coelho, A., Casalta-Lopes, J., Carvalho, L., Carrilho, E., Serra, A., Botelho, M. F., & Marques Ferreira, M. (2020). Calcium Phosphate Ceramics Can Prevent Bisphosphonate-Related Osteonecrosis of the Jaw. Materials, 13(8), 1955. https://doi.org/10.3390/ma13081955
 
        






 
       