Patient and Operator Centered Outcomes in Implant Dentistry: Comparison between Fully Digital and Conventional Workflow for Single Crown and Three-Unit Fixed-Bridge
Abstract
1. Introduction
2. Materials and Methods
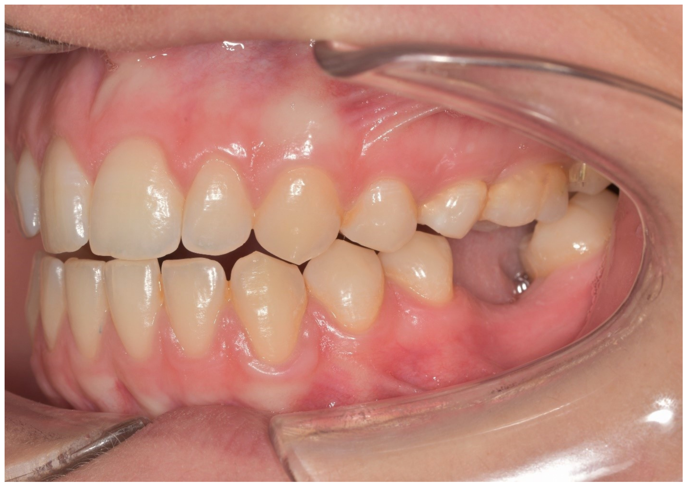
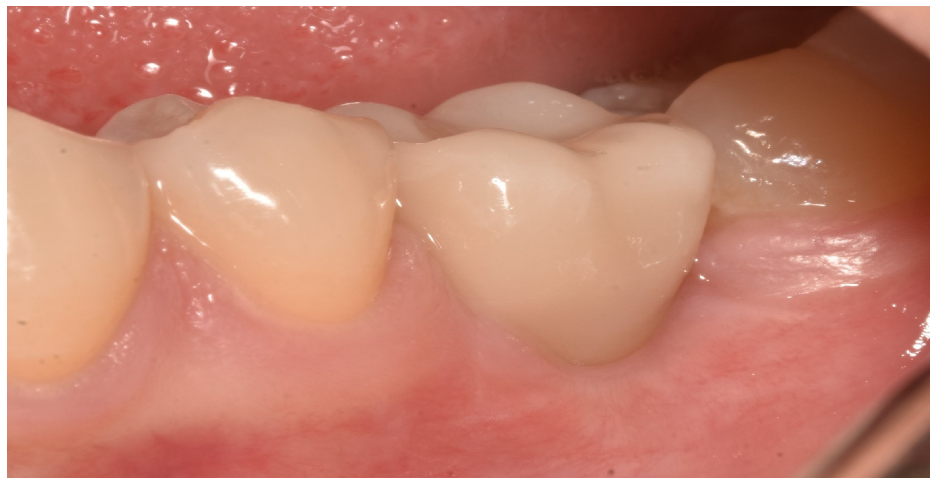
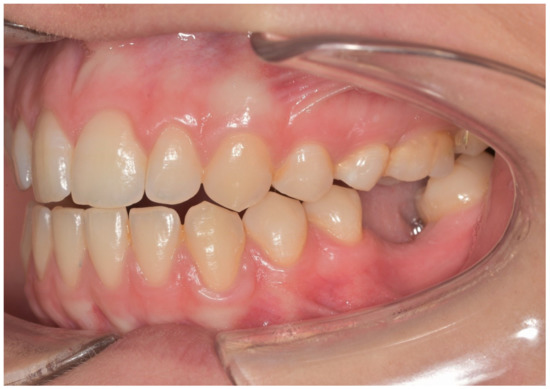
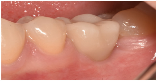
2.1. Clinical Procedures
2.2. Statistical Analysis
3. Results
4. Discussion
5. Conclusions
Author Contributions
Funding
Conflicts of Interest
References
- Batson, E.R.; Cooper, L.F.; Duqum, I.; Mendonça, G. Clinical outcomes of three different crown systems with CAD/CAM technology. J. Prosthet. Dent. 2014, 112, 770–777. [Google Scholar] [CrossRef] [PubMed]
- Joda, T.; Brägger, U. Patient-centered outcomes comparing digital and conventional implant impression procedures: A randomized crossover trial. Clin. Oral Implants Res. 2016, 27, e185–e189. [Google Scholar] [CrossRef] [PubMed]
- Den Hartog, L.; Slater, J.J.; Vissink, A.; Meijer, H.J.; Raghoebar, G.M. Treatment outcome of immediate, early and conventional single-tooth implants in the aesthetic zone: A systematic review to survival, bone level, soft-tissue, aesthetics and patient satisfaction. J. Clin. Periodontol. 2008, 35, 1073–1086. [Google Scholar] [CrossRef]
- Bruschi, E.; Manicone, P.F.; De Angelis, P.; Papetti, L.; Pastorino, R.; D’Addona, A. Comparison of Marginal Bone Loss around Axial and Tilted Implants: A Retrospective CBCT Analysis of up to 24 Months. Int. J. Periodontics Restor. Dent. 2019, 39, 675–684. [Google Scholar] [CrossRef]
- Gasparini, G.; Boniello, R.; Laforì, A.; De Angelis, P.; Del Deo, V.; Moro, A.; Saponaro, G.; Pelo, S. Navigation System Approach in Zygomatic Implant Technique. J. Craniofac. Surg. 2017, 28, 250–251. [Google Scholar] [CrossRef]
- Pommer, B.; Zechner, W.; Watzak, G.; Ulm, C.; Watzek, G.; Tepper, G. Progress and trends in patients’ mindset on dental implants. I: Level of information, sources of information and need for patient information. Clin. Oral Implants Res. 2011, 22, 223–229. [Google Scholar] [CrossRef]
- The Academy of Prosthodontics Foundation. The Glossary of Prosthodontic Terms: Ninth Edition. J. Prosthet. Dent. 2017, 117, e1–e105. [Google Scholar] [CrossRef]
- Alhouri, N.; Mc Cord, J.F.; Smith, P.W. The quality of dental casts used in crown and bridgework. Br. Dent. J. 2004, 197, 261–264. [Google Scholar] [CrossRef]
- Christensen, G.J. Impressions are changing: Deciding on conventional, digital or digital plus in-office milling. J. Am. Dent. Assoc. 2009, 140, 1301–1304. [Google Scholar] [CrossRef]
- Christensen, G.J. Will digital impressions eliminate the current problems with conventional impressions? J. Am. Dent. Assoc. 2008, 139, 761–763. [Google Scholar] [CrossRef]
- Yuzbasioglu, E.; Kurt, H.; Turunc, R.; Bilir, H. Comparison of digital and conventional impression techniques: Evaluation of patients’ perception, treatment comfort, effectiveness and clinical outcomes. BMC Oral Health 2014, 14, 10. [Google Scholar] [CrossRef] [PubMed]
- Patel, N. Integrating three-dimensional digital technologies for comprehensive implant dentistry. J. Am. Dent. Assoc. 2010, 141, 20S–24S. [Google Scholar] [CrossRef] [PubMed]
- Alghazzawi, T.F. Advancements in CAD/CAM technology: Options for practical implementation. J. Prosthodont. Res. 2016, 60, 72–84. [Google Scholar] [CrossRef] [PubMed]
- Ferrini, F.; Sannino, G.; Chiola, C.; Capparé, P.; Gastaldi, G.; Gherlone, E.F. Influence of Intra-Oral Scanner (I.O.S.) on The Marginal Accuracy of CAD/CAM Single Crowns. Int. J. Environ. Res. Public Health 2019, 16, 544. [Google Scholar] [CrossRef] [PubMed]
- Burhardt, L.; Livas, C.; Kerdijk, W.; van der Meer, W.J.; Ren, Y. Treatment comfort, time perception, and preference for conventional and digital impression techniques: A comparative study in young patients. Am. J. Orthod. Dentofac. Orthop. 2016, 150, 261–267. [Google Scholar] [CrossRef]
- Pozzi, A.; Tallarico, M.; Moy, P.K. Four-implant overdenture fully supported by a CAD-CAM titanium bar: A single-cohort prospective 1-year preliminary study. J. Prosthet. Dent. 2016, 116, 516–523. [Google Scholar] [CrossRef]
- Scarano, A.; Stoppaccioli, M.; Casolino, T. Zirconia crowns cemented on titanium bars using CAD/CAM: A five-year follow-up prospective clinical study of 9 patients. BMC Oral Health 2019, 19, 286. [Google Scholar] [CrossRef]
- Moeller, M.S.; Duff, R.E.; Razzoog, M.E. Rehabilitation of malpositioned implants with a CAD/CAM milled implant overdenture: A clinical report. J. Prosthet. Dent. 2011, 105, 143–146. [Google Scholar] [CrossRef]
- Cappare, P.; Sannino, G.; Minoli, M.; Montemezzi, P.; Ferrini, F. Conventional versus Digital Impressions for Full Arch Screw-Retained Maxillary Rehabilitations: A Randomized Clinical Trial. Int. J. Environ. Res. Public Health 2019, 16, 829. [Google Scholar] [CrossRef]
- De Angelis, P.; Passarelli, P.C.; Gasparini, G.; Boniello, R.; D’Amato, G.; De Angelis, S. Monolithic CAD-CAM lithium disilicate versus monolithic CAD-CAM zirconia for single implant-supported posterior crowns using a digital workflow: A 3-year cross-sectional retrospective study. J. Prosthet. Dent. 2020, 123, 252–256. [Google Scholar] [CrossRef]
- Gherlone, E.; Mandelli, F.; Capparè, P.; Pantaleo, G.; Traini, T.; Ferrini, F. A 3 years retrospective study of survival for zirconia-based single crowns fabricated from intraoral digital impressions. J. Dent. 2014, 42, 1151–1155. [Google Scholar] [CrossRef] [PubMed]
- Wismeijer, D.; Mans, R.; van Genuchten, M.; Reijers, H.A. Patients’ preferences when comparing analogue implant impressions using a polyether impression material versus digital impressions (Intraoral Scan) of dental implants. Clin. Oral Implants Res. 2014, 25, 1113–1118. [Google Scholar] [CrossRef] [PubMed]
- Lee, S.J.; Gallucci, G.O. Digital vs. conventional implant impressions: Efficiency outcomes. Clin. Oral Implants Res. 2013, 24, 111–115. [Google Scholar] [CrossRef] [PubMed]
- Joda, T.; Zarone, F.; Ferrari, M. The complete digital workflow in fixed prosthodontics: A systematic review. BMC Oral Health 2017, 17, 124. [Google Scholar] [CrossRef]
- Joda, T.; Brägger, U. Time-efficiency analysis of the treatment with monolithic implant crowns in a digital workflow: A randomized controlled trial. Clin. Oral Implants Res. 2016, 27, 1401–1406. [Google Scholar] [CrossRef]
- Joda, T.; Brägger, U. Time-Efficiency Analysis Comparing Digital and Conventional Workflows for Implant Crowns: A Prospective Clinical Crossover Trial. Int. J. Oral Maxillofac. Implants 2015, 30, 1047–1053. [Google Scholar] [CrossRef]
- Kontonasaki, E.; Rigos, A.E.; Ilia, C.; Istantsos, T. Monolithic Zirconia: An Update to Current Knowledge. Optical Properties, Wear, and Clinical Performance. Dent. J. 2019, 7, 90. [Google Scholar] [CrossRef]
- Robati Anaraki, M.; Torab, A.; Mounesi Rad, T. Comparison of stress in implant-supported monolithic zirconia fixed partial dentures between canine guidance and group function occlusal patterns: A finite element analysis. J. Dent. Res. Dent. Clin. Dent. Prospects 2019, 13, 90–97. [Google Scholar] [CrossRef]
- Manicone, P.; Iommetti, P.R.; Raffaelli, L. An overview of zirconia ceramics: Basic properties and clinical applications. J. Dent. 2007, 35, 819–826. [Google Scholar] [CrossRef]
- Ozer, F.; Naden, A.; Turp, V.; Mante, F.; Sen, D.; Blatz, M.B. Effect of thickness and surface modifications on flexural strength of monolithic zirconia. J. Prosthet. Dent. 2018, 119, 987–993. [Google Scholar] [CrossRef]
- Monaco, C.; Caldari, M.; Scotti, R.; AIOP Clinical Research Group. Clinical evaluation of zirconia-based restorations on implants: A retrospective cohort study from the AIOP clinical research group. Int. J. Prosthodont. 2015, 28, 239–242. [Google Scholar] [CrossRef] [PubMed]
- Holand, W.; Schweiger, M.; Frank, M.; Rheinberger, V. A comparison of the microstructure and properties of the IPS Empress 2 and the IPS Empress glass-ceramics. J. Biomed. Mater. Res. 2000, 53, 297–303. [Google Scholar] [CrossRef]
- Aziz, A.; El-Mowafy, O.; Tenenbaum, H.C.; Lawrence, H.P.; Shokati, B. Clinical performance of chairside monolithic lithium disilicate glass-ceramic CAD-CAM crowns. J. Esthet. Restor. Dent. 2019, 31, 613–619. [Google Scholar] [CrossRef]
- De Bruyn, H.; Raes, S.; Matthys, C.; Cosyn, J. The current use of patient-centered/reported outcomes in implant dentistry: A systematic review. Clin. Oral Implants Res. 2015, 26, 45–56. [Google Scholar] [CrossRef] [PubMed]
- Moro, A.; Gasparini, G.; Foresta, E.; Saponaro, G.; Falchi, M.; Cardarelli, L.; De Angelis, P.; Forcione, M.; Garagiola, U.; D’Amato, G.; et al. Alveolar Ridge Split Technique Using Piezosurgery with Specially Designed Tips. Biomed. Res. Int. 2017, 2017, 4530378. [Google Scholar] [CrossRef] [PubMed]






| Questions | Conventional Protocol | Digital Protocol | p Values | ||||
|---|---|---|---|---|---|---|---|
| Mean ± SD | Median | Range | Mean ± SD | Median | Range | ||
| Q1) How high was your anxiety after the informative consultation and before the beginning of the treatment? 1 | 42.4 ± 15.6 | 43 | 19–65 | 17.7 ± 10.7 | 17 | 1–36 | p < 0.0001 |
| Q2) How convenient was the impression procedure for you? 2 | 45.5 ± 8.8 | 47 | 30–60 | 81.8 ± 5.6 | 82 | 73-93 | p < 0.0001 |
| Q3) Was there a bad oral taste and/or after the impression procedure? 3 | 78.1 ± 3 | 78 | 73–83 | 12.2 ± 4.1 | 12 | 7–21 | p < 0.0001 |
| Q4) Did you experience a sensation of nausea during the impression procedure? 4 | 68 ± 5.6 | 67 | 59–77 | 25.6 ± 8 | 26 | 13–40 | p < 0.0001 |
| Q5) Did you experience pain or breathing difficulties during the impression procedure? 5 | 50.5 ± 8.7 | 52 | 37–64 | 17.8 ± 5.3 | 18 | 9–25 | p < 0.0001 |
| Q6) What is your opinion on the treatment time required to achieve prosthetic rehabilitation? 6 | 72.3 ± 6.2 | 72 | 61–83 | 84.8 ± 6.7 | 85 | 23–73 | p < 0.0001 |
| Q7) What is your general opinion on the protocol of treatment? 7 | 77.2 ± 7.5 | 78 | 65–89 | 88 ± 6 | 87 | 79–99 | p < 0.0001 |
| Q8) What is your opinion of the operators? 8 | 74.8 ± 5.5 | 75 | 66–84 | 83.3 ± 4.2 | 84 | 77–91 | p < 0.0001 |
| Q9) What is your opinion of the dental practice? 9 | 80.8 ± 5.1 | 80 | 73–89 | 90.8 ± 5.3 | 91 | 82–99 | p < 0.0001 |
| Questions | Conventional Protocol | Digital Protocol | p Values | ||||
|---|---|---|---|---|---|---|---|
| Mean ± SD | Median | Range | Mean ± SD | Median | Range | ||
| Q1) How high was your anxiety before the beginning of the treatment? 1 | 46.8 ± 10.8 | 48 | 26–66 | 31.9 ± 7 | 32 | 20–44 | p < 0.0001 |
| Q2) How convenient was the impression procedure for you? 2 | 65.7 ± 6.4 | 66 | 55–77 | 87 ± 5.9 | 86 | 78–98 | p < 0.0001 |
| Q3) How difficult was the impression procedure for you? 3 | 54.4 ± 8.8 | 56 | 39–69 | 43.4 ± 7.8 | 43 | 31–58 | p < 0.0001 |
| Q4) How difficult was the workflow for you? 4 | 36.2 ± 11 | 35 | 21–55 | 21.4 ± 4.7 | 21 | 14–29 | p < 0.0001 |
| Q5) What is your opinion on the treatment time required to achieve prosthetic rehabilitation? 5 | 72.8 ± 6.8 | 74 | 61–83 | 91.3 ± 5 | 91 | 82–100 | p < 0.0001 |
| Q6) What is your opinion of the protocol of treatment? 6 | 79.6 ± 7.3 | 79 | 69–93 | 93.1 ± 4.2 | 93 | 87–100 | p < 0.0001 |
| Q7) What is your opinion of the patient responses to the protocol? 7 | 79.6 ± 3.9 | 79 | 73–86 | 87.1 ± 5.8 | 87 | 77–97 | p < 0.0001 |
| Treatment Phase | Minutes (min) Mean ± SD (min) | |
|---|---|---|
| Single Crown | Three-Unit Bridge | |
| Alginate impression | 6 ± 1 | 6 ± 1 |
| Impregum polyether impression | 20 ± 2 | 23 ± 2 |
| Try in monolithic restoration | 17 ± 4 | 20 ± 6 |
| Prosthetic placement | 14 ± 2 | 15 ± 4 |
| Number of appointments | 4 | 4 |
| Treatment Phase | Minutes (min) Mean ± SD (min) | |
|---|---|---|
| Single Crown | Three-Unit Bridge | |
| Digital impression | 12 ± 2 | 15 ± 2 |
| Try in monolithic restoration | 16 ± 4 | 21 ± 5 |
| Prosthetic placement | 12 ± 5 | 14 ± 6 |
| Number of Appointements | 3 | 3 |
© 2020 by the authors. Licensee MDPI, Basel, Switzerland. This article is an open access article distributed under the terms and conditions of the Creative Commons Attribution (CC BY) license (http://creativecommons.org/licenses/by/4.0/).
Share and Cite
De Angelis, P.; Manicone, P.F.; De Angelis, S.; Grippaudo, C.; Gasparini, G.; Liguori, M.G.; Camodeca, F.; Piccirillo, G.B.; Desantis, V.; D’Amato, G.; et al. Patient and Operator Centered Outcomes in Implant Dentistry: Comparison between Fully Digital and Conventional Workflow for Single Crown and Three-Unit Fixed-Bridge. Materials 2020, 13, 2781. https://doi.org/10.3390/ma13122781
De Angelis P, Manicone PF, De Angelis S, Grippaudo C, Gasparini G, Liguori MG, Camodeca F, Piccirillo GB, Desantis V, D’Amato G, et al. Patient and Operator Centered Outcomes in Implant Dentistry: Comparison between Fully Digital and Conventional Workflow for Single Crown and Three-Unit Fixed-Bridge. Materials. 2020; 13(12):2781. https://doi.org/10.3390/ma13122781
Chicago/Turabian StyleDe Angelis, Paolo, Paolo Francesco Manicone, Silvio De Angelis, Cristina Grippaudo, Giulio Gasparini, Margherita Giorgia Liguori, Francesca Camodeca, Giovan Battista Piccirillo, Viviana Desantis, Giuseppe D’Amato, and et al. 2020. "Patient and Operator Centered Outcomes in Implant Dentistry: Comparison between Fully Digital and Conventional Workflow for Single Crown and Three-Unit Fixed-Bridge" Materials 13, no. 12: 2781. https://doi.org/10.3390/ma13122781
APA StyleDe Angelis, P., Manicone, P. F., De Angelis, S., Grippaudo, C., Gasparini, G., Liguori, M. G., Camodeca, F., Piccirillo, G. B., Desantis, V., D’Amato, G., & D’Addona, A. (2020). Patient and Operator Centered Outcomes in Implant Dentistry: Comparison between Fully Digital and Conventional Workflow for Single Crown and Three-Unit Fixed-Bridge. Materials, 13(12), 2781. https://doi.org/10.3390/ma13122781

