Reparative Mineralized Tissue Characterization after Direct Pulp Capping with Calcium-Silicate-Based Cements
Abstract
1. Introduction
2. Materials and Methods
2.1. Sample Preparation
2.2. SEM and EDX Analysis
2.3. Confocal Raman Microscopy Analysis
3. Results
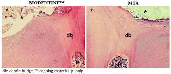
3.1. Histological Evaluation of Reparative Dentin after Direct Pulp Capping
3.2. SEM of the Reparative Dentin
3.3. EDX Microanalysis of the Reparative Dentin
3.4. Confocal Raman Analysis of Reparative Dentin
4. Discussion
5. Conclusions
Author Contributions
Funding
Acknowledgments
Conflicts of Interest
References
- Torabinejad, M.; Chivian, N. Clinical applications of mineral trioxide aggregate. J. Endod. 1999, 25, 197–205. [Google Scholar] [CrossRef]
- Simon, S.; Cooper, P.; Smith, A.; Picard, B.; Ifi, C.N.; Berdal, A. Evaluation of a new laboratory model for pulp healing: Preliminary study. Int. Endod. J. 2008, 41, 781–790. [Google Scholar] [CrossRef]
- Tran, X.V.; Gorin, C.; Willig, C.; Baroukh, B.; Pellat, B.; Decup, F.; Opsahl Vital, S.; Chaussain, C.; Boukpessi, T. Effect of a calcium-silicate-based restorative cement on pulp repair. J. Dent. Res. 2012, 91, 1166–1171. [Google Scholar] [CrossRef] [PubMed]
- Torabinejad, M.; Parirokh, M. Mineral trioxide aggregate: A comprehensive literature review—part II: Leakage and biocompatibility investigations. J. Endod. 2010, 36, 190–202. [Google Scholar] [CrossRef] [PubMed]
- Dawood, A.E.; Parashos, P.; Wong, R.H.K.; Reynolds, E.C.; Manton, D.J. Calcium silicate-based cements: Composition, properties, and clinical applications. J. Investig. Clin. Dent. 2015, 8. [Google Scholar] [CrossRef] [PubMed]
- Quintana, R.M.; Jardine, A.P.; Grechi, T.R.; Grazziotin-Soares, R.; Ardenghi, D.M.; Scarparo, R.K.; Grecca, F.S.; Kopper, P.M.P. Bone tissue reaction, setting time, solubility, and pH of root repair materials. Clin. Oral. Investig. 2018, 23, 1359–1366. [Google Scholar] [CrossRef]
- Laurent, P.; Camps, J.; De Meo, M.; Dejou, J.; About, I. Induction of specific cell responses to a Ca(3)SiO(5)-based posterior restorative material. Dent. Mater. 2008, 24, 1486–1494. [Google Scholar] [CrossRef]
- Torabinejad, M.; Hong, C.U.; McDonald, F.; Pitt Ford, T.R. Physical and chemical properties of a new root-end filling material. J. Endod. 1995, 21, 349–353. [Google Scholar] [CrossRef]
- Grech, L.; Mallia, B.; Camilleri, J. Investigation of the physical properties of tricalcium silicate cement-based root-end filling materials. Dent. Mater. 2013, 29, e20–e28. [Google Scholar] [CrossRef]
- Nowicka, A.; Lipski, M.; Parafiniuk, M.; Sporniak-Tutak, K.; Lichota, D.; Kosierkiewicz, A.; Kaczmarek, W.; Buczkowska-Radlinska, J. Response of human dental pulp capped with biodentine and mineral trioxide aggregate. J. Endod. 2013, 39, 743–747. [Google Scholar] [CrossRef]
- Hilton, T.J. Keys to clinical success with pulp capping: A review of the literature. Oper. Dent. 2009, 34, 615–625. [Google Scholar] [CrossRef] [PubMed]
- Koubi, S.; Elmerini, H.; Koubi, G.; Tassery, H.; Camps, J. Quantitative evaluation by glucose diffusion of microleakage in aged calcium silicate-based open-sandwich restorations. Int. J. Dent. 2012, 2012. [Google Scholar] [CrossRef] [PubMed][Green Version]
- Li, Z.; Cao, L.; Fan, M.; Xu, Q. Direct Pulp Capping with Calcium Hydroxide or Mineral Trioxide Aggregate: A Meta-analysis. J. Endod. 2015, 41, 1412–1417. [Google Scholar] [CrossRef] [PubMed]
- Xu, C.; Wang, Y. Collagen cross linking increases its biodegradation resistance in wet dentin bonding. J. Adhes. Dent. 2012, 14, 11–18. [Google Scholar] [PubMed]
- Murray, P.E.; Hafez, A.A.; Smith, A.J.; Cox, C.F. Hierarchy of pulp capping and repair activities responsible for dentin bridge formation. Am. J. Dent. 2002, 15, 236–243. [Google Scholar] [PubMed]
- Nowicka, A.; Wilk, G.; Lipski, M.; Kolecki, J.; Buczkowska-Radlinska, J. Tomographic Evaluation of Reparative Dentin Formation after Direct Pulp Capping with Ca(OH)2, MTA, Biodentine, and Dentin Bonding System in Human Teeth. J. Endod. 2015, 41, 1234–1240. [Google Scholar] [CrossRef] [PubMed]
- Mathur, V.P.; Dhillon, J.K.; Logani, A.; Kalra, G. Evaluation of indirect pulp capping using three different materials: A randomized control trial using cone-beam computed tomography. Indian J. Dent. Res. 2016, 27, 623–629. [Google Scholar] [CrossRef] [PubMed]
- Murray, P.E.; Garcia-Godoy, F. The incidence of pulp healing defects with direct capping materials. Am. J. Dent. 2006, 19, 171–177. [Google Scholar] [PubMed]
- Aeinehchi, M.; Eslami, B.; Ghanbariha, M.; Saffar, A.S. Mineral trioxide aggregate (MTA) and calcium hydroxide as pulp-capping agents in human teeth: A preliminary report. Int. Endod. J. 2003, 36, 225–231. [Google Scholar] [CrossRef] [PubMed]
- Tecles, O.; Laurent, P.; Aubut, V.; About, I. Human tooth culture: A study model for reparative dentinogenesis and direct pulp capping materials biocompatibility. J. Biomed. Mater. Res. B Appl Biomater. 2008, 85, 180–187. [Google Scholar] [CrossRef] [PubMed]
- Schroder, U.; Sundstrom, B. Transmission electron microscopy of tissue changes following experimental pulpotomy of intact human teeth and capping with calcium hydroxide. Odontol. Revy. 1974, 25, 57–68. [Google Scholar] [PubMed]
- Asgary, S.; Parirokh, M.; Eghbal, M.J.; Ghoddusi, J.; Eskandarizadeh, A. SEM evaluation of neodentinal bridging after direct pulp protection with mineral trioxide aggregate. Aust. Endod. J. 2006, 32, 26–30. [Google Scholar] [CrossRef] [PubMed]
- Slimani, A.; Nouioua, F.; Desoutter, A.; Levallois, B.; Cuisinier, F.J.G.; Tassery, H.; Terrer, E.; Salehi, H. Confocal Raman mapping of collagen cross-link and crystallinity of human dentin-enamel junction. J. Biomed. Opt. 2017, 22, 1–8. [Google Scholar] [CrossRef] [PubMed]
- Suzuki, M.; Kato, H.; Wakumoto, S. Vibrational analysis by Raman spectroscopy of the interface between dental adhesive resin and dentin. J. Dent. Res. 1991, 70, 1092–1097. [Google Scholar] [CrossRef] [PubMed]
- Ozaki, M.; Suzuki, M.; Itoh, K.; Wakumoto, S. Laser-Raman Spectroscopic study of the adhesive interface between 4-MET/MMA-TBB resin and hydroxyapatite or bovine enamel. Dent. Mater. J. 1991, 10, 105–120. [Google Scholar] [CrossRef] [PubMed]
- Ozaki, M.; Suzuki, M.; Itoh, K.; Wakumoto, S.; Hisamitsu, H. Laser-Raman spectroscopic study of the adhesive interface; analysis between 4-META/MMA-TBB resin and bovine or human dentin. Dent. Mater. J. 1992, 11, 70–76. [Google Scholar] [CrossRef] [PubMed]
- Ricucci, D.; Loghin, S.; Lin, L.M.; Spangberg, L.S.; Tay, F.R. Is hard tissue formation in the dental pulp after the death of the primary odontoblasts a regenerative or a reparative process? J. Dent. 2014, 42, 1156–1170. [Google Scholar] [CrossRef]
- Dammaschke, T.; Nowicka, A.; Lipski, M.; Ricucci, D. Histological evaluation of hard tissue formation after direct pulp capping with a fast-setting mineral trioxide aggregate (RetroMTA) in humans. Clin. Oral. Investig. 2019, 12, 1–11. [Google Scholar] [CrossRef]
- D’Souza, R.N.; Bronckers, A.L.; Happonen, R.P.; Doga, D.A.; Farach-Carson, M.C.; Butler, W.T. Developmental expression of a 53 KD dentin sialoprotein in rat tooth organs. J. Histochem. Cytochem. 1992, 40, 359–366. [Google Scholar] [CrossRef]






| Material | MTA | Biodentine™ | ||
|---|---|---|---|---|
| Tissue | Dentin Bridge | Primary Dentin | Dentin Bridge | Primary Dentin |
| Ca/P | 1.69 (0.06) | 1.74 (0.06) | 1.75 (0.08) | 1.74 (0.07) |
| Material | BIODENTINE™ | MTA | ||
|---|---|---|---|---|
| Various Ratios between Raman Peaks | Dentin Bridge Mean ± SD | Primary Dentin Mean ± SD | Dentin Bridge Mean ± SD | Primary Dentin Mean ± SD |
| R435/1454 | 0.83 (0.18) | 1.16 (0.13) | 0.69 (0.18) | 1.01 (0.17) |
| R601/1454 | 0.68 (0.08) | 0.89 (0.09) | 0.51 (0.09) | 0.75 (0.06) |
| R854/1454 | 0.58 (0.09) | 0.53 (0.05) | 0.5 (0.12) | 0.48 (0.1) |
| R875/1454 | 0.12 (0.04) | 0.14 (0.04) | 0.1 (0.02) | 0.11 (0.03) |
| R961/1454 | 9.26 (1.28) | 11.2 (1.48) | 7.02 (1.87) | 10.26 (0.96) |
| R1078/1454 | 0.5 (0.13) | 0.6 (0.15) | 0.39 (0.09) | 0.56 (0.08) |
| R1254/1454 | 0.93 (0.13 | 0.76 (0.04) | 0.83 (0.14) | 0.77 (0.11) |
| R1670/1454 | 0.88 (0.08) | 0.68 (0.08) | 0.89 (0.16) | 0.76 (0.15) |
| R2945/1454 | 7.69 (0.64) | 6.43 (0.74) | 7.33 (0.93) | 6.27 (0.39) |
© 2019 by the authors. Licensee MDPI, Basel, Switzerland. This article is an open access article distributed under the terms and conditions of the Creative Commons Attribution (CC BY) license (http://creativecommons.org/licenses/by/4.0/).
Share and Cite
Tran, X.V.; Salehi, H.; Truong, M.T.; Sandra, M.; Sadoine, J.; Jacquot, B.; Cuisinier, F.; Chaussain, C.; Boukpessi, T. Reparative Mineralized Tissue Characterization after Direct Pulp Capping with Calcium-Silicate-Based Cements. Materials 2019, 12, 2102. https://doi.org/10.3390/ma12132102
Tran XV, Salehi H, Truong MT, Sandra M, Sadoine J, Jacquot B, Cuisinier F, Chaussain C, Boukpessi T. Reparative Mineralized Tissue Characterization after Direct Pulp Capping with Calcium-Silicate-Based Cements. Materials. 2019; 12(13):2102. https://doi.org/10.3390/ma12132102
Chicago/Turabian StyleTran, Xuan Vinh, Hamideh Salehi, Minh Tam Truong, Minic Sandra, Jeremy Sadoine, Bruno Jacquot, Frédéric Cuisinier, Catherine Chaussain, and Tchilalo Boukpessi. 2019. "Reparative Mineralized Tissue Characterization after Direct Pulp Capping with Calcium-Silicate-Based Cements" Materials 12, no. 13: 2102. https://doi.org/10.3390/ma12132102
APA StyleTran, X. V., Salehi, H., Truong, M. T., Sandra, M., Sadoine, J., Jacquot, B., Cuisinier, F., Chaussain, C., & Boukpessi, T. (2019). Reparative Mineralized Tissue Characterization after Direct Pulp Capping with Calcium-Silicate-Based Cements. Materials, 12(13), 2102. https://doi.org/10.3390/ma12132102

