Complete Midline Cleft of Lower Lip, Mandible, Tongue, Floor of Mouth with Neck Contracture: A Case Report and Review of Literature
Abstract
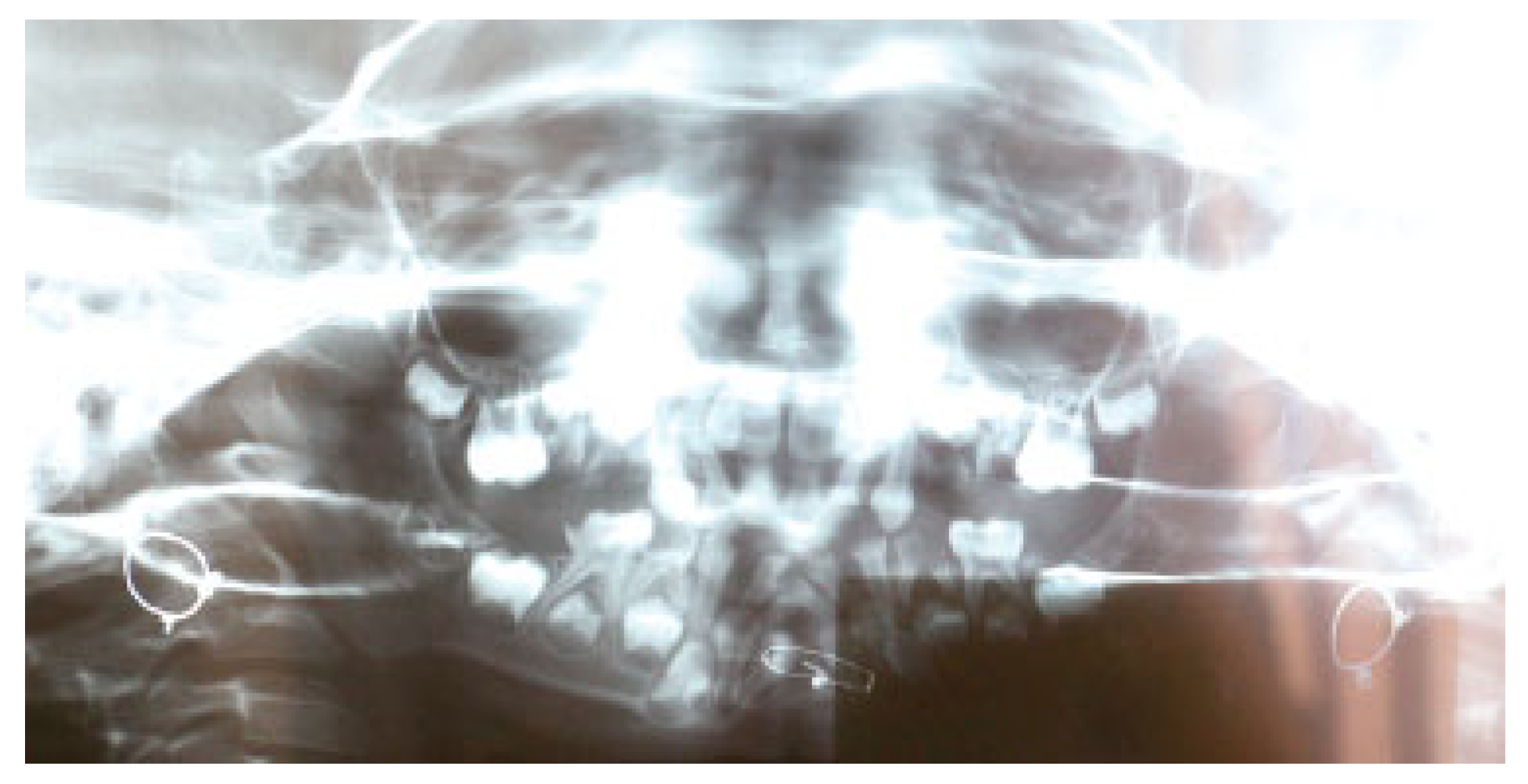
Case Report
Anesthesia Considerations
Surgical Procedure
Discussion
Conclusion
References
- Hamilton, E. Congenital deformity of the lower lip. Doublin J Med Sc 1881, 72, 1. [Google Scholar] [CrossRef]
- Morton, C.B.; Jordan, H.E. Median cleft of the lower lip and mandible, cleft sternum and absence of basihyoid. Arch Surg 1935, 30, 647–659. [Google Scholar] [CrossRef]
- Ashley, L.M.; Richardson, G.E. Multiple congenital anomalies in a stillborn infant. Anat Rec 1943, 86, 457–473. [Google Scholar] [CrossRef]
- Kawai, D.; Fujino, H.; Kyoshoin, Y.; Takeshi, K. Congenital cleft of the mandible: report of a case. J Jap Stomatol Soc 1955, 4, 249. [Google Scholar]
- Monroe, C.W. Midline cleft of the lower lip, mandible and tongue with flexion contracture of the neck: case report and review of the literature. Plast Reconstr Surg 1966, 38, 312–319. [Google Scholar] [CrossRef] [PubMed]
- Oostrom, C.A.; Vermeij-Keers, C.; Gilbert, P.M.; van der Meulen, J.C. Median cleft of the lower lip and mandible: case reports, a new embryologic hypothesis, and subdivision. Plast Reconstr Surg 1996, 97, 313–320. [Google Scholar] [PubMed]
- Guttikonda, L.K.; Nadella, K.R.; Uppaluru, V.; Kodali, R.M.; Nallamothu, R. Nonsyndromic mandibular symphysis cleft. Case Rep Dent 2014, 2014, 682163. [Google Scholar] [CrossRef]
- Couronne’ (of Rouen), Ann Med Montpellier, 107, 1819, as cited by Monroe, C. W. (1966).
- Tessier, P. Anatomical classification facial, cranio-facial and laterofacial clefts. J Maxillofac Surg 1976, 4, 69–92. [Google Scholar] [CrossRef]
- Armstrong, A.P.; Waterhouse, N. Tessier 30 median mandibular cleft: case report and literature review. Br J Plast Surg 1996, 49, 536–538. [Google Scholar]
- Schutte, B.C.; Murray, J.C. The many faces and factors of orofacial clefts. Hum Mol Genet 1999, 8, 1853–1859. [Google Scholar]
- Braithwaite, F.; Watson, J. A report on three unusual cleft lips. Br J Plast Surg 1949, 2, 38–49. [Google Scholar] [CrossRef] [PubMed]
- Kawamoto, H.K., Jr. Rare craniofacial clefts. In Plastic Surgery; McCarthy, J.G., Ed.; WB Saunders Company: St. Louis, MO, 1990; pp. 2927–2941. [Google Scholar]
- Almeida, L.E.; Ulbrich, L.; Togni, F. Mandible cleft: report of a case and review of the literature. J Oral Maxillofac Surg 2002, 60, 681–684. [Google Scholar] [CrossRef][Green Version]
- Freitas, R.D.S.; Cruz, G.A.O.; Alonso, N.; Forte, A.J.; Busato, L.; Persing, J. Tessier No 30 clefts: surgical correction of a rare malformation. Rev Bras Cir Craniomaxillofac 2010, 13, 12–17. [Google Scholar]
- Knowles, C.C.; Littlewood, A.H.; Bush, P.G. Incomplete median cleft of the lower lip and chin with complete cleft of the mandible. A preliminary report. Br Dent J 1969, 127, 337–339. [Google Scholar] [PubMed]
- Fujino, H.; Kyoshoin, Y.; Katsuki, T. Median cleft of the lower lip, mandible, and tongue with midline cervical cord: a case report. Cleft Palate J 1970, 7, 679–684. [Google Scholar]
- Seyhan, T.; Kýlýnr, H. Median cleft of the lower lip: report of two new cases and review of the literature. Ann Otol Rhinol Laryngol 2002, 111 Pt 1, 217–221. [Google Scholar] [CrossRef]
- Guttikonda, L.K.; Nadella, K.R.; Uppaluru, V.; Kodali, R.M.; Nallamothu, R. Nonsyndromic Mandibular Symphysis Cleft. Case Reports in Dentistry 2014. [Google Scholar] [CrossRef]
- Rana, R.E.; Puri, V.A.; Thakkur, R.K.; Baliarsing, A.S. Median cleft of mandible and lower lip with ankyloglossia and ectopic minor salivary gland on tongue. Indian J Plast Surg 2004, 37, 67–70. [Google Scholar]
- Johnson, J.M.; Moonis, G.; Green, G.E.; Carmody, R.; Burbank, H.N. Syndromes of the first and second branchial arches, part 1: embryology and characteristic defects. AJNR Am J Neuroradiol 2011, 32, 14–19. [Google Scholar] [CrossRef]
- Surendran, N.; Varghese, B. Midline cleft of lower lip with cleft of the mandible and midline dermoid in the neck. J Pediatr Surg 1991, 26, 1387–1388. [Google Scholar]
- Subramani, S.A.; Gurumurthy, B.; Murthy, S. Tongue cleft with other associated unusual congenital malformations in two successive generations. Letters to editors and brief communications. Indian J Plast Surg 2000, 33, 103. [Google Scholar]
- Sherman, J.E.; Goulian, D. The successful one-stage surgical management of a midline cleft of the lower lip, mandible, and tongue. Plast Reconstr Surg 1980, 66, 756–759. [Google Scholar] [CrossRef] [PubMed]
- Davis, A.D. Medial cleft of the lower lip and mandible; a case report. Plast Reconstr Surg (1946) 1950, 6, 62–67. [Google Scholar] [CrossRef] [PubMed]
- Millard, D.R., Jr.; Lehman, J.A., Jr.; Deane, M.; Garst, W.P. Median cleft of the lower lip and mandible: a case report. Br J Plast Surg 1971, 24, 391–395. [Google Scholar] [CrossRef] [PubMed]
- Millard, D.R., Jr.; Wolfe, S.A.; Berkowitz, S. Median cleft of the lower lip and mandible: correction of the mandibular defect. Br J Plast Surg 1979, 32, 345–347. [Google Scholar] [CrossRef]
- Tiwari, V.K. Median cleft of lower lip and mandible: a case report. Indian J Plast Surg 2000, 33, 98–100. [Google Scholar] [CrossRef]
- Ishii, M.; Ishii, Y.; Moriyama, T.; et al. Seventeen-year follow-up of a patient with median cleft of the lower lip, mandible, and tongue with flexion contracture: a case report. Cleft Palate Craniofac J 2002, 39, 555–559. [Google Scholar] [CrossRef]





















© 2015 by the author. The Author(s) 2015.
Share and Cite
Rao, A.Y.N. Complete Midline Cleft of Lower Lip, Mandible, Tongue, Floor of Mouth with Neck Contracture: A Case Report and Review of Literature. Craniomaxillofac. Trauma Reconstr. 2015, 8, 363-369. https://doi.org/10.1055/s-0035-1549013
Rao AYN. Complete Midline Cleft of Lower Lip, Mandible, Tongue, Floor of Mouth with Neck Contracture: A Case Report and Review of Literature. Craniomaxillofacial Trauma & Reconstruction. 2015; 8(4):363-369. https://doi.org/10.1055/s-0035-1549013
Chicago/Turabian StyleRao, Anantheswar Y. N. 2015. "Complete Midline Cleft of Lower Lip, Mandible, Tongue, Floor of Mouth with Neck Contracture: A Case Report and Review of Literature" Craniomaxillofacial Trauma & Reconstruction 8, no. 4: 363-369. https://doi.org/10.1055/s-0035-1549013
APA StyleRao, A. Y. N. (2015). Complete Midline Cleft of Lower Lip, Mandible, Tongue, Floor of Mouth with Neck Contracture: A Case Report and Review of Literature. Craniomaxillofacial Trauma & Reconstruction, 8(4), 363-369. https://doi.org/10.1055/s-0035-1549013