Next Article in Journal
Computer-Assisted Three-Dimensional Planning for Orbital Decompression
Previous Article in Journal
Complete Midline Cleft of Lower Lip, Mandible, Tongue, Floor of Mouth with Neck Contracture: A Case Report and Review of Literature
 
 
Craniomaxillofacial Trauma & Reconstruction is published by MDPI from Volume 18 Issue 1 (2025). Previous articles were published by another publisher in Open Access under a CC-BY (or CC-BY-NC-ND) licence, and they are hosted by MDPI on mdpi.com as a courtesy and upon agreement with Sage.
Font Type:
Arial Georgia Verdana
Font Size:
Aa Aa Aa
Line Spacing:
Column Width:
Background:
Case Report

Orbital Floor Fracture with Atypical Extraocular Muscle Entrapment Pattern and Intraoperative Asystole in an Adult

by
Farhan I. Merali
,
Michael P. Grant
and
Nicholas R. Mahoney
Johns Hopkins University, Wilmer Ophthalmological Institute, Baltimore, MD 21287, USA
Craniomaxillofac. Trauma Reconstr. 2015, 8(4), 370-374; https://doi.org/10.1055/s-0035-1556052
Submission received: 15 December 2014 / Revised: 31 January 2015 / Accepted: 31 January 2015 / Published: 19 June 2015

Abstract

Extraocular muscle entrapment in a nondisplaced orbital fracture, although a wellknown entity in pediatric trauma, is atypical in adults. It can present with a triad of bradycardia, nausea, and in rare cases, syncope, and result in severe fibrosis of damaged and incarcerated muscle. We present a case of muscle entrapment in a partially nondisplaced two-wall orbital fracture with accompanying preoperative bradycardia and intraoperative asystole in an adult.

Extraocular muscle entrapment in the setting of orbital floor fractures, when precisely defined as muscle incarcerated in a nondisplaced fracture line, is rarely seen in adults. This is in contrast to herniation of extraocular muscles through a fracture defect, which is common. The oculocardiac reflex (OCR) is a sign that can be elicited in patients with entrapped muscle tissue and is typically defined as the triad of brady- cardia, nausea, and syncope. We present an interesting case of muscle entrapment in a partially nondisplaced two-wall orbital fracture with accompanying preoperative bradycardia and intraoperative asystole in an adult.

Case Report

A 27-year-old man was struck with a fist in the left periorbital area, and onset of binocular vertical diplopia and left orbital pain with eye movements was immediately noted. He was otherwise asymptomatic. Past medical history was notable only for asthma.
On examination, best corrected visual acuity and intraocular pressures were within normal limits. There was no relative afferent pupillary defect. Extraocular movement of the right eye was normal, but demonstrated an 80% reduction of upgaze of the left eye (Figure 1). There was an elicited OCR with the patient’s heart rate consistently dropping 33%, from ~75 to 50 beats per minute during attempted upgaze with associated nausea and presyncopal symptoms. Horizontal motility was normal. There was 2 mm of enophthalmos of the left globe. Anterior and posterior segment exams of both eyes were within normal limits; no associated injuries were identified on the ED screening examination.
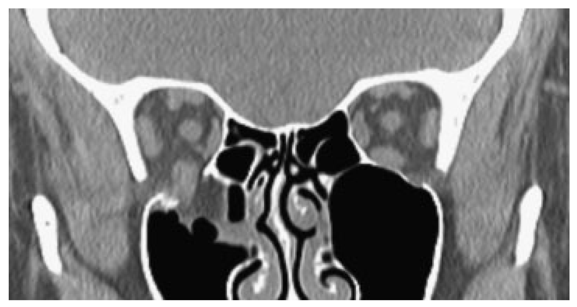
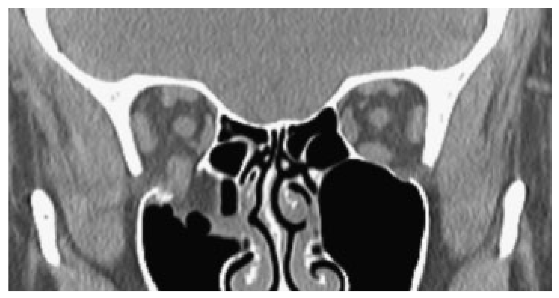
Noncontrast orbital CT scan demonstrated a comminuted left orbital floor fracture and an associated minimally displaced fracture of the left lamina papyracea and nasal bones. The shape of the inferior rectus muscle was distorted vertically and it appeared to be partially entrapped in the orbital floor fracture (Figure 2).
Surgical exploration and fracture repair were conducted as soon as possible and within 24 h of presentation. Forced duction testing performed intraoperatively confirmed restrictive strabismus. Upon exploration, the orbital floor fracture was identified and entrapped inferior rectus muscle tissue at the orbital floor fracture site identified. During release of the anterior portion of entrapped inferior rectus muscle, gentle traction reliably resulted in self-limited bradycardia. Once released, while exposing the posterior segment of entrapped muscle, suctioning of blood in the maxillary sinus was performed through the fracture defect in the orbital floor. This maneuver likely led to the creation of a vacuum in the sinus with resultant tension on the orbital fat and inferior rectus muscle. Immediate hypotropia and worsening of the enophthalmos was observed, and the patient sustained 15 s of asystole (Figure 3). The muscle was released and the anesthesia team administered 0.5 mg of atropine intravenously and regular sinus rhythm resumed. Ultimately, the fractures of the medial orbital wall and orbital floor were repaired with a prefabricated titanium orbital plate, which was secured to the orbital rim internally with a single titanium screw.
Forced duction testing performed immediately following fracture reduction showed free movement in all directions. Postoperative CT scan showed an appropriately positioned implant and release of the entrapped inferior rectus muscle (Figure 4). At 1-day, 1-week, and 3-month follow-up visits, diplopia and restriction of upgaze had completely resolved (Figure 5).

Discussion

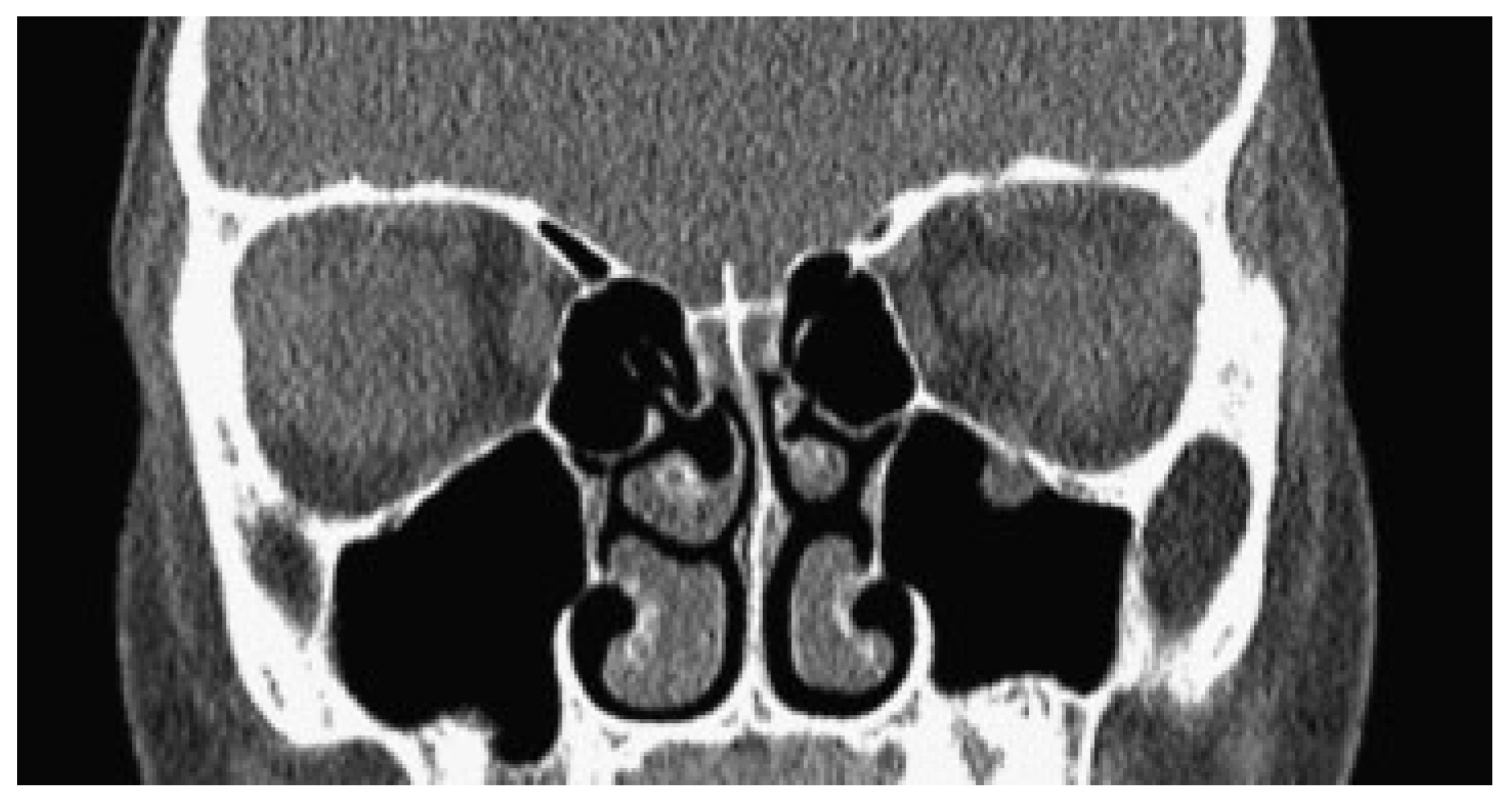
Extraocular muscle entrapment in a nondisplaced orbital fracture is seen near exclusively in the pediatric population [1,2]. Compared with adults, the bones of children contain a higher proportion of osteocytes relative to osteoblasts, and decreased mineralization, leading to increased compliance [3]. Consequently, pediatric orbital fractures may not have the characteristic orbital fracture bone fragmentation pattern seen in adults with displacement of orbital bones and orbital contents often into adjacent sinuses. Instead, after blunt periorbital trauma in a child, the orbital floor bones may become temporarily displaced in a hinge-like fashion before snapping back into anatomic, nondisplaced position. In adult and pediatric cases of orbital trauma, simultaneous pressure on the globe at the time of facial impact pressurizes and displaces the orbital contents through the fracture. In children, muscle entrapment can occur if the contents do not escape before the compliant bone fragment snaps back into place (as seen in Figure 6). This fracture pattern was first described in 1965 by Soll and Poley, who coined the term “trapdoor fracture”[4]. Although a case of inferior rectus muscle sheath entrapment in an adult patient occurring in a non-displaced fracture has been reported [5], review of the literature suggests that extraocular muscle entrapment is extremely rare in the adult subgroups [2,6]. Similarly, a case of medial rectus entrapment in a nondisplaced medial wall fracture has been reported [7], but review of all reported cases of medial rectus entrapment appears to be near exclusive to children [8].
In this patient, a large orbital floor and medial wall fracture was present. Although the anterior portion was classically displaced, the posterior portion of the floor was atypically nondisplaced. Consequently, posterior portions of the left inferior rectus muscle and sheath became caught between two nondisplaced bone fragments (Figure 2, red arrows) and clinically evident extraocular muscle entrapment was seen. While entrapment through a nondisplaced fracture is rare in adults, this should be differentiated from herniation of orbital tissue in a displaced fracture, which is common. In herniation, there is no strangulation of muscle tissue and the risks of muscle damage, necrosis, or the OCR are lower. Occasionally when muscle or perimuscular tissue is herniated, limitation of gaze can be manifest clinically and a distortion of the shape of the inferior rectus can be observed radiographically [6] (Figure 7).
On occasion, forced duction testing can differentiate between a gaze palsy related to muscle dysfunction or secondary to intramuscular hemorrhage. As the longterm sequelae differ, so does the management of these three mechanisms of gaze palsy—muscle bruising is observed, muscle/fascial entrapment in a displaced fracture is repaired nonemergently, and muscle incarceration through a nondisplaced fracture is repaired urgently to prevent secondary muscle necrosis and fibrosis. The radiographic and clinical terminology to describe entrapped, herniated extraocular muscle through a displaced fracture should be specific to differentiate this scenario from a nondisplaced fracture with muscle incarceration given the significant difference in management.
Similarly, the OCR is a feature found most commonly in pediatric patients with nondisplaced floor fractures [9]. While there has been report of a trapdoor medial orbital fracture in an adult with nausea [10] and another with nausea on presentation and delayed intraoperative bradycardia [9], we could not find report of the full triad of the OCR on presentation caused by extraocular muscle entrapment in a partially displaced orbital fracture in an adult. In addition, the patient’s anatomy and injury morphology, different than most pediatric cases with a similar entrapped muscle, led to an episode of intraoperative asystole.
The OCR, though rare, is a sign that may accompany entrapped muscle tissue, and it is one indication that immediate orbital fracture repair is warranted [11]. Comprising a triad of bradycardia, nausea, and syncope, the ophthalmic division of the trigeminal nerve serves as the afferent limb of the reflex. The impulse passes by way of the reticular formation to the vagus nerve’s visceral motor nuclei, and the efferent message is carried by the vagus nerve to the heart and stomach [9]. The cardiac end-organ effect includes decreased activity at the sinoatrial node [12]. The risk of fatal cardiac arrhythmia with the OCR is not trivial. Heart block, junctional rhythms, asystole, and death have been reported [13].
In our case, the OCR noted preoperatively with attempted gaze and intraoperatively with gentle manipulation was moderate and consistent. During exposure of the posterior aspect of the fracture, the tension on the muscle was exacerbated when the orbital fat prolapsed through and then occluded the bone defect while suction was in the maxillary sinus. The initial surgical response when bradycardia develops during orbital surgery is to remove instrumentation from the orbit. In this case, when this was done, inspection of the eye revealed worsening of enophthalmos and new hypotropia. As this was recognized and released, the anesthesiologist administered atropine. Excellent communication between the anesthesiologist and surgeon also helped to manage the problem quickly, and avoid significant sequela. This particular surgical scenario consisting of unscarred, mobile, and excessive orbital fat, muscle entrapment in the nondisplaced portion of the fracture, and a defect anteriorly through which suction instrumentation could be introduced into the sinus, highlights the etiology and magnitude of the OCR.
This case illustrates the importance of communication and partnership between surgeon and anesthesiologist for prompt restoration of normal sinus rhythm in such a scenario, and prevention of further episodes. In particular, not only should the surgeon remain attentive to the anesthesiologist, but it also has been recommended that the surgeon inform the anesthesiologist prior to any portion of the procedure that may predispose to the development of the OCR (e.g., placing pressure on the globe or manipulation of extraocular muscles) so that the anesthesiologist is prepared accordingly [14].
It is also helpful to keep in mind other modifiable factors that have been reported to increase the risk of OCR to assess patient risk. Cardiac disease, hypoxia, and hypercarbia have been shown to increase patients’ risks for developing OCR [14]. Ophthalmic irrigation with cold water (0–20 °C), potent narcotic agents (such as sufentanil and alfentanil), β-blockers, and calcium channel blockers have all been reported to exacerbate OCR [14,15,16]. Perhaps most applicable to entrapped muscle repair in the pediatric population, anesthetic choice during strabismus surgery has been suggested to play a role in limiting the OCR. In a study comparing sevoflurane to halo- thane in such cases, Allison et al demonstrated fewer dysrhythmias and less pronounced stimulation induced bradycardia with sevoflurane [17].
The treatment of OCR is rapid discontinuation of the presumptive stimulus. Surgical release of the entrapped muscle should be performed promptly in any unstable patient. In addition, in cases of true muscle entrapment in a nondisplaced fracture segment, long-term diplopia as a result of presumed necrosis of muscle tissue and fibrosis of the muscle sheath can occur as early as 8 h from injury [18]. Surgical release within 24 to 48 h has been recommended as diplopia occurs with increased frequency in repairs performed further from injury [18,19]. If an OCR is noted, medical therapy with antimuscarinic drugs such as atropine or glycopyrrolate can be used preoperatively or intraoperatively to aid in the temporary restoration of physiologic heart rate and prevent asystole. In refractory cases with an inability to reestablish cardiac output, Advanced Cardiac Life Support protocols should be followed [12].
Though rarely elicited in the adult population, it is important that surgeons treating patients with orbital trauma be aware of the OCR, including its anatomic basis, potential causes, mitigating factors, and management. This case demonstrates that adult extraocular muscle entrapment can occur and lead to the OCR. Open communication with the anesthesiologist, immediate discontinuation of the presumptive stimulus, and administration of atropine led to prompt resumption of normal sinus rhythm, without further episodes and the patient had an excellent outcome.

References

  1. Jordan, D.R.; Allen, L.H.; White, J.; Harvey, J.; Pashby, R.; Esmaeli, B. Intervention within days for some orbital floor fractures: the white-eyed blowout. Ophthal Plast Reconstr Surg 1998, 14, 379–390. [Google Scholar] [CrossRef] [PubMed]
  2. de Man, K.; Wijngaarde, R.; Hes, J.; de Jong, P.T. Influence of age on the management of blow-out fractures of the orbital floor. Int J Oral Maxillofac Surg 1991, 20, 330–336. [Google Scholar] [CrossRef] [PubMed]
  3. de Pollak, C.; Arnaud, E.; Renier, D.; Marie, P.J. Age-related changes in bone formation, osteoblastic cell proliferation, and differentiation during postnatal osteogenesis in human calvaria. J Cell Biochem 1997, 64, 128–139. [Google Scholar] [CrossRef]
  4. Soll, D.B.; Poley, B.J. Trapdoor Variety of Blowout Fracture of the Orbital Floor. Am J Ophthalmol 1965, 60, 269–272. [Google Scholar] [CrossRef] [PubMed]
  5. Kum, C.; McCulley, T.J.; Yoon, M.K.; Hwang, T.N. Adult orbital trapdoor fracture. Ophthal Plast Reconstr Surg 2009, 25, 486–487. [Google Scholar] [CrossRef] [PubMed]
  6. Parbhu, K.C.; Galler, K.E.; Li, C.; Mawn, L.A. Underestimation of soft tissue entrapment by computed tomography in orbital floor fractures in the pediatric population. Ophthalmology 2008, 115, 1620–1625. [Google Scholar] [CrossRef] [PubMed]
  7. Turko, A.; Talbot, S.; Pomahac, B. Medial orbital wall fracture with associated medial rectus entrapment and retrobulbar hematoma. Plast Reconstr Surg 2009, 123, 108e–109e. [Google Scholar] [CrossRef] [PubMed]
  8. Brannan, P.A.; Kersten, R.C.; Kulwin, D.R. Isolated medial orbital wall fractures with medial rectus muscle incarceration. Ophthal Plast Reconstr Surg 2006, 22, 178–183. [Google Scholar] [CrossRef] [PubMed]
  9. Sires, B.S.; Stanley, R.B., Jr; Levine, L.M. Oculocardiac reflex caused by orbital floor trapdoor fracture: an indication for urgent repair. Arch Ophthalmol 1998, 116, 955–956. [Google Scholar] [PubMed]
  10. Kakizaki, H.; Zako, M.; Katori, N.; Iwaki, M. Adult medial orbital wall trapdoor fracture with missing medial rectus muscle. Orbit 2006, 25, 61–63. [Google Scholar] [CrossRef]
  11. Burnstine, M.A. Clinical recommendations for repair of isolated orbital floor fractures: an evidence-based analysis. Ophthalmology 2002, 109, 1207–1210. [Google Scholar] [CrossRef] [PubMed]
  12. Kim, B.B.; Qaqish, C.; Frangos, J.; Caccamese, J.F., Jr. Oculocardiac reflex induced by an orbital floor fracture: report of a case and review of the literature. J Oral Maxillofac Surg 2012, 70, 2614–2619. [Google Scholar] [CrossRef] [PubMed]
  13. Mendelblatt, F.I.; Kirsch, R.E.; Lemberg, L. A study comparing methods of preventing the oculocardiac reflex. Am J Ophthalmol 1962, 53, 506–512. [Google Scholar] [CrossRef] [PubMed]
  14. Lübbers, H.T.; Zweifel, D.; Grätz, K.W.; Kruse, A. Classification of potential risk factors for trigeminocardiac reflex in craniomaxillofacial surgery. J Oral Maxillofac Surg 2010, 68, 1317–1321. [Google Scholar] [CrossRef]
  15. Arndt, G.A.; Stock, M.C. Bradycardia during cold ocular irrigation under general anaesthesia: an example of the diving reflex. Can J Anaesth 1993, 40, 511–514. [Google Scholar] [CrossRef] [PubMed][Green Version]
  16. Yilmaz, T.; Erol, F.S.; Yakar, H.; Köhle, U.; Akbulut, M.; Faik Ozveren, M. Delayed trigeminocardiac reflex induced by an intraorbital foreign body. Case report. Ophthalmologica 2006, 220, 65–68. [Google Scholar] [CrossRef] [PubMed]
  17. Allison, C.E.; De Lange, J.J.; Koole, F.D.; Zuurmond, W.W.; Ros, H.H.; van Schagen, N.T. A comparison of the incidence of the oculocardiac and oculorespiratory reflexes during sevoflurane or halothane anes- thesia for strabismus surgery in children. Anesth Analg 2000, 90, 306–310. [Google Scholar] [CrossRef] [PubMed]
  18. Gerbino, G.; Roccia, F.; Bianchi, F.A.; Zavattero, E. Surgical management of orbital trapdoor fracture in a pediatric population. J Oral Maxillofac Surg 2010, 68, 1310–1316. [Google Scholar] [CrossRef] [PubMed]
  19. Kim, N.H.; Kang, S.J. Correlation between the Time to Surgery and That to Recovery from Postoperative Diplopia Based on a Single- Center, Retrospective Experience: A Case Series of 11 Patients. Arch Plast Surg 2014, 41, 486–492. [Google Scholar] [CrossRef] [PubMed][Green Version]
Figure 1. Left-sided restriction enophthalmos in primary gaze (above) with restriction in upgaze (below) in a patient acutely after left sided orbital trauma.
Figure 1. Left-sided restriction enophthalmos in primary gaze (above) with restriction in upgaze (below) in a patient acutely after left sided orbital trauma.
Cmtr 08 4b4 g001
Figure 2. Computed tomography of a left partially displaced orbital floor fracture and nondisplaced medial wall fracture with prominent her- niation of orbital fat through the defect centrally and posterior entrapment of the inferior rectus muscle in nondisplaced fracture elements (red arrows).
Figure 2. Computed tomography of a left partially displaced orbital floor fracture and nondisplaced medial wall fracture with prominent her- niation of orbital fat through the defect centrally and posterior entrapment of the inferior rectus muscle in nondisplaced fracture elements (red arrows).
Cmtr 08 4b4 g002
Figure 3. Intraoperative vital sign tracing demonstrating bradycardia to ~50 beats per minute, followed by frank asystole. After atropine administration, resultant tachycardia is noted.
Figure 3. Intraoperative vital sign tracing demonstrating bradycardia to ~50 beats per minute, followed by frank asystole. After atropine administration, resultant tachycardia is noted.
Cmtr 08 4b4 g003
Figure 4. Postoperative computed tomography demonstrating repair of the orbital floor and medial wall fracture with titanium implant, highlighted in pink. The green overlay represents a mirror image of the right orbital bone segments.
Figure 4. Postoperative computed tomography demonstrating repair of the orbital floor and medial wall fracture with titanium implant, highlighted in pink. The green overlay represents a mirror image of the right orbital bone segments.
Cmtr 08 4b4 g004
Figure 5. Postoperative photograph 3 months after surgery demon- strating orthotropia in primary gaze (above) and intact upgaze (below).
Figure 5. Postoperative photograph 3 months after surgery demon- strating orthotropia in primary gaze (above) and intact upgaze (below).
Cmtr 08 4b4 g005
Figure 6. CT scan of a 9-year-old girl with a severe up-gaze deficit from a left-sided nondisplaced orbital floor fracture with entrapment of the inferior rectus muscle.
Figure 6. CT scan of a 9-year-old girl with a severe up-gaze deficit from a left-sided nondisplaced orbital floor fracture with entrapment of the inferior rectus muscle.
Cmtr 08 4b4 g006
Figure 7. CT scan of 28-year-old man with a moderate up-gaze deficit from a right-sided displaced orbital floor fracture with herniation and distortion of the inferior rectus muscle.
Figure 7. CT scan of 28-year-old man with a moderate up-gaze deficit from a right-sided displaced orbital floor fracture with herniation and distortion of the inferior rectus muscle.
Cmtr 08 4b4 g007

Share and Cite

MDPI and ACS Style

Merali, F.I.; Grant, M.P.; Mahoney, N.R. Orbital Floor Fracture with Atypical Extraocular Muscle Entrapment Pattern and Intraoperative Asystole in an Adult. Craniomaxillofac. Trauma Reconstr. 2015, 8, 370-374. https://doi.org/10.1055/s-0035-1556052

AMA Style

Merali FI, Grant MP, Mahoney NR. Orbital Floor Fracture with Atypical Extraocular Muscle Entrapment Pattern and Intraoperative Asystole in an Adult. Craniomaxillofacial Trauma & Reconstruction. 2015; 8(4):370-374. https://doi.org/10.1055/s-0035-1556052

Chicago/Turabian Style

Merali, Farhan I., Michael P. Grant, and Nicholas R. Mahoney. 2015. "Orbital Floor Fracture with Atypical Extraocular Muscle Entrapment Pattern and Intraoperative Asystole in an Adult" Craniomaxillofacial Trauma & Reconstruction 8, no. 4: 370-374. https://doi.org/10.1055/s-0035-1556052

APA Style

Merali, F. I., Grant, M. P., & Mahoney, N. R. (2015). Orbital Floor Fracture with Atypical Extraocular Muscle Entrapment Pattern and Intraoperative Asystole in an Adult. Craniomaxillofacial Trauma & Reconstruction, 8(4), 370-374. https://doi.org/10.1055/s-0035-1556052

Article Metrics

Back to TopTop