A Prospective Study of Strut Versus Miniplate for Fractures of Mandibular Angle
Abstract
:1. Patients and Methods
1.1. Prospective Randomized Clinical Trial
1.2. Surgical Technique
1.3. Postsurgical Management
2. Results
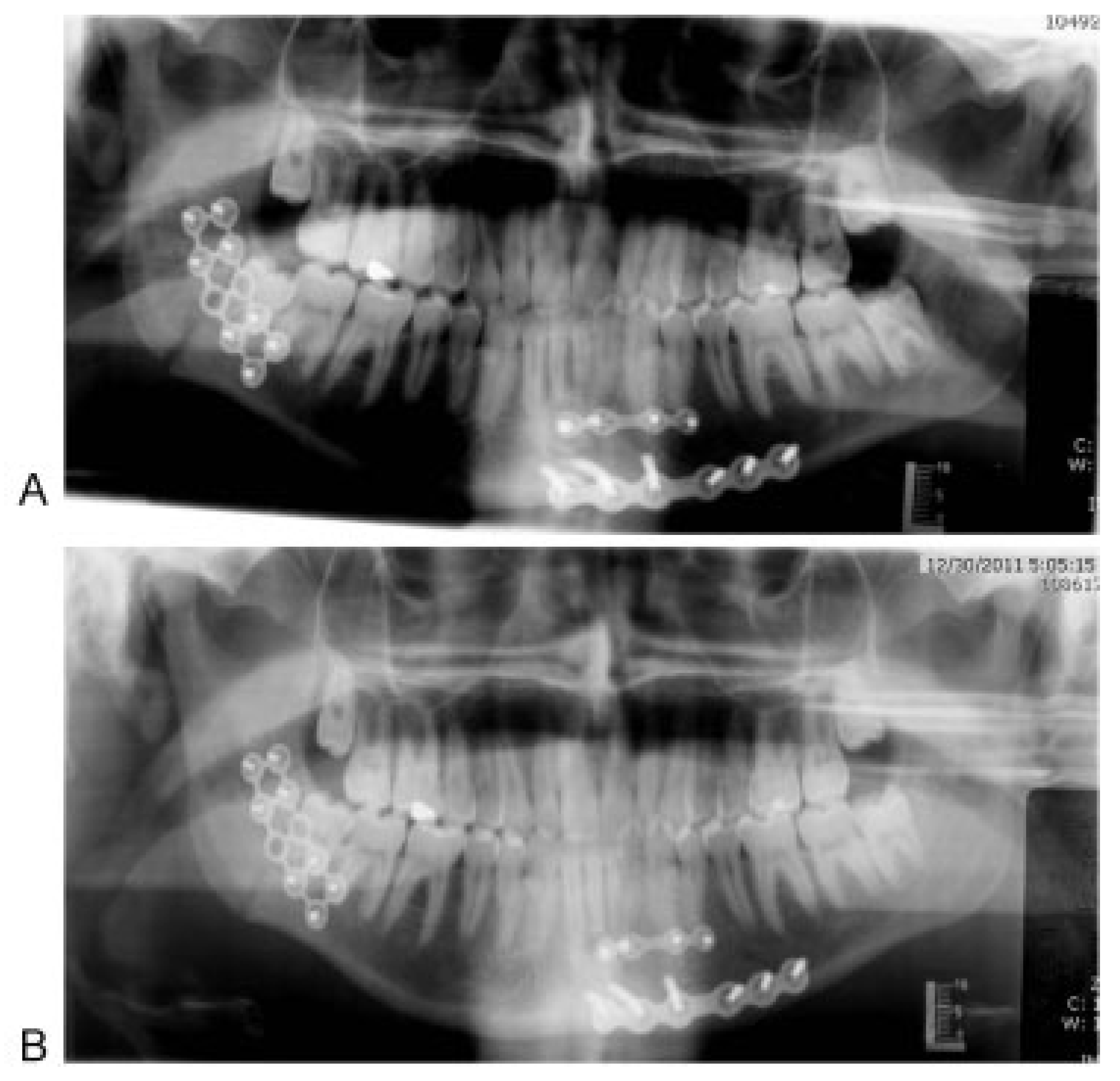
3. Discussion
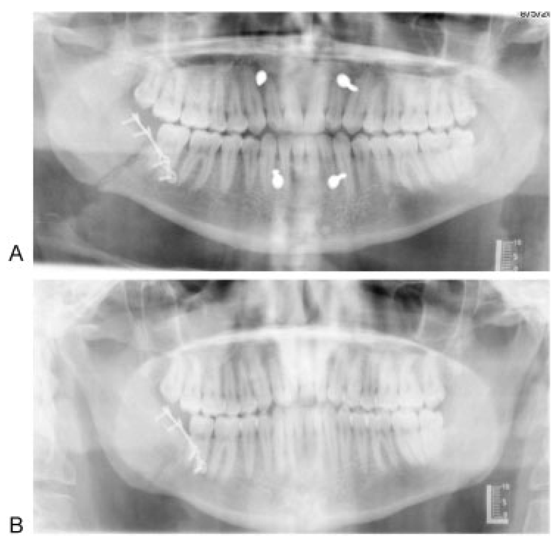
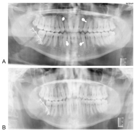
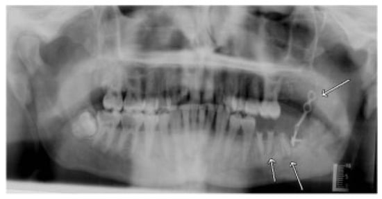
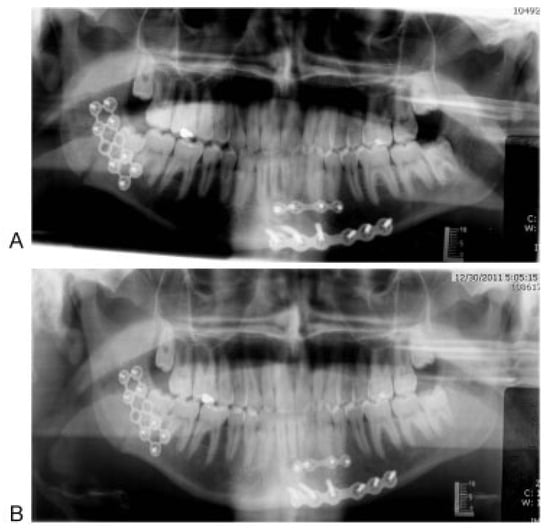
Strut Plate
4. Results
5. Conclusions
Acknowledgments
References
- Boole, J.R.; Holtel, M.; Amoroso, P.; Yore, M. 5196 mandible fractures among 4381 active duty army soldiers, 1980 to 1998. Laryngo-scope 2001, 111, 1691–1696. [Google Scholar] [CrossRef]
- Haug, R.H.; Prather, J.; Indresano, A.T. An epidemiologic survey of facial fractures and concomitant injuries. J Oral Maxillofac Surg 1990, 48, 926–932. [Google Scholar] [CrossRef]
- Greene, D.; Maas, C.S.; Carvalho, G.; Raven, R. Epidemiology of facial injury in female blunt assault trauma cases. Arch Facial Plast Surg 1999, 1, 288–291. [Google Scholar] [CrossRef]
- Schierle, H.P.; Schmelzeisen, R.; Rahn, B.; Pytlik, C. One- or two-plate fixation of mandibular angle fractures? J Craniomaxillofac Surg 1997, 25, 162–168. [Google Scholar] [CrossRef]
- Rudderman, R.H.; Mullen, R.L. Biomechanics of the facial skeleton. Clin Plast Surg 1992, 19, 11–29. [Google Scholar] [CrossRef]
- Schubert, W.; Kobienia, B.J.; Pollock, R.A. Cross-sectional area of the mandible. J Oral Maxillofac Surg 1997, 55, 689–692, discussion 693. [Google Scholar] [CrossRef]
- Tams, J.; van Loon, J.P.; Rozema, F.R.; Otten, E.; Bos, R.R. A three- dimensional study of loads across the fracture for different frac- ture sites of the mandible. Br J Oral Maxillofac Surg 1996, 34, 400–405. [Google Scholar] [CrossRef]
- Tams, J.; van Loon, J.P.; Otten, E.; Rozema, F.R.; Bos, R.R. A three- dimensional study of bending and torsion moments for different fracture sites in the mandible: An in vitro study. Int J Oral Maxillofac Surg 1997, 26, 383–388. [Google Scholar] [CrossRef]
- Ellis, E., III. Treatment methods for fractures of the mandibular angle. Int J Oral Maxillofac Surg 1999, 28, 243–252. [Google Scholar] [CrossRef]
- Ellis, E., III. A prospective study of 3 treatment methods for isolated fractures of the mandibular angle. J Oral Maxillofac Surg 2010, 68, 2743–2754. [Google Scholar] [CrossRef]
- Gear, A.J.L.; Apasova, E.; Schmitz, J.P.; Schubert, W. Treatment modalities for mandibular angle fractures. J Oral Maxillofac Surg 2005, 63, 655–663. [Google Scholar] [CrossRef]
- Champy, M.; Wilk, A.; Schnebelen, J.M. Treatment of mandibular fractures by means of osteosynthesis without intermaxillary immobilization according to F.X. Michelet’s technic. Zahn Mund Kieferheilkd Zentralbl 1975, 63, 339–341. [Google Scholar]
- Champy, M.; Lodde, J.P.; Jaeger, J.H.; Wilk, A.; Gerber, J.C. Mandibular osteosynthesis according to the Michelet technic. Justification of new material. Results. Rev Stomatol Chir Maxillofac 1976, 77, 252–255. [Google Scholar]
- Feledy, J.; Caterson, E.J.; Steger, S.; Stal, S.; Hollier, L. Treatment of mandibular angle fractures with a matrix miniplate: A preliminary report. Plast Reconstr Surg 2004, 114, 1711–1716, discussion 1717–1718. [Google Scholar] [CrossRef]
- Guimond, C.; Johnson, J.V.; Marchena, J.M. Fixation of mandibular angle fractures with a 2.0-mm 3-dimensional curved angle strut plate. J Oral Maxillofac Surg 2005, 63, 209–214. [Google Scholar] [CrossRef]
- Bui, P.; Demian, N.; Beetar, P. Infection rate in mandibular angle fractures treated with a 2.0-mm 8-hole curved strut plate. J Oral Maxillofac Surg 2009, 67, 804–808. [Google Scholar] [CrossRef]
- Ellis, E., III. Discussion. Internal fixation of mandibular angle frac- tures: A meta-analysis. Plast Reconstr Surg 2010, 125, 1761–1762. [Google Scholar] [CrossRef]
- Michelet, F.X.; Deymes, J.; Dessus, B. Osteosynthesis with miniaturized screwed plates in maxillo-facial surgery. J Maxillofac Surg 1973, 1, 79–84. [Google Scholar] [CrossRef]
- Champy, M.; Loddé, J.P.; Schmitt, R.; Jaeger, J.H.; Muster, D. Mandibular osteosynthesis by miniature screwed plates via a buccal approach. J Maxillofac Surg 1978, 6, 14–21. [Google Scholar] [CrossRef]
- Ellis, E., III; Walker, L. Treatment of mandibular angle fractures using two noncompression miniplates. J Oral Maxillofac Surg 1994, 52, 1032–1036, discussion 1036–1037. [Google Scholar] [CrossRef]
- Ellis, E., III. Treatment methods for fractures of the mandibular angle. J Craniomaxillofac Trauma 1996, 2, 28–36. [Google Scholar] [CrossRef]
- Ellis, E., III. Management of fractures through the angle of the mandible. Oral Maxillofac Surg Clin North Am 2009, 21, 163–174. [Google Scholar] [CrossRef] [PubMed]
- Alkan, A.; Çelebi, N.; Özden, B.; Baş, B.; Inal, S. Biomechanical comparison of different plating techniques in repair of mandibular angle fractures. Oral Surg Oral Med Oral Pathol Oral Radiol Endod 2007, 104, 752–756. [Google Scholar] [CrossRef]
- Ellis, E., III. Outcomes of patients with teeth in the line of mandibular angle fractures treated with stable internal fixation. J Oral Maxillofac Surg 2002, 60, 863–865, discussion 866. [Google Scholar] [CrossRef]




| Strut plate (n = 6) | Champy plate (n = 7) | |
|---|---|---|
| Age (y) | 28 (20–45) | 28 (20–47) |
| Race | ||
| White | – | 1 |
| Black | 6 | 3 |
| Hispanic | – | 3 |
| Social factors | ||
| Incarceration | – | – |
| Homeless | – | – |
| Comorbidities | ||
| Alcohol abuse | 1 | 1 |
| Smoking | 1 | 1 |
| Non-IV drug abuse | 1 | 2 |
| IV drug abuse | – | 1 |
| DM | – | – |
| HIV | – | – |
| Cancer | – | – |
| Strut plate (n =6) | Champy plate (n =7) | |
|---|---|---|
| Angle fracture | ||
| Left | 5 | 5 |
| Right | 1 | 2 |
| Associated fracture(s) | 5 | 5 |
| Parasymphyseal | 5 | 3 |
| Subcondylar | – | 1 |
| Maxilla | – | 1 |
| Zygoma | 1 | – |
| Cause of fracture | ||
| Assault | 5 | 6 |
| Accident | 1 | 1 |
| Neural deficits | ||
| None | 2 | 2 |
| Hypoesthetic | 4 | 4 |
| Anesthetic | – | 1 |
| Contamination | ||
| Closed | 5 | 3 |
| Open | 1 | 4 |
| Strut plate (n =6) | Champy plate (n = 7) | |
|---|---|---|
| Third molar characteristics | ||
| Impaction | 3 | 2 |
| Partial impaction | 1 | 1 |
| Eruption | 2 | 4 |
| Tooth fracture | 4 | 3 |
| Tooth decay | – | 1 |
| Periodontitis | – | 1 |
| Root exposure | 3 | 2 |
| Molar extraction | 4 | 3 |
| Difficulty of surgery | ||
| Easy | 3 | 3 |
| Intermediate | 2 | 3 |
| Difficult | 1 | 1 |
| Total surgery time (h) | 1.7 | 0.7 |
| Strut plate (n =5) | Champy plate (n = 6) | p -Value | |
|---|---|---|---|
| Follow-up time (wk) | 19.4 | 11.8 | 0.37 |
| Complications (angle) | |||
| Infection | – | – | – |
| Dehiscence | – | – | – |
| Plate exposure | 1 | – | 0.25 |
| Loose hardware | – | 1 | 0.34 |
| Palpable hardware | – | 1 | 0.34 |
| Nonunion | – | – | – |
| Hardware removal | 1 | 1 | 0.89 |
| Total complications (number of patients) | 1 (20%) | 1 (16.7%) | 0.89 |
| Complications (parasymph) | |||
| Infection | 1 | – | 0.25 |
| Dehiscence | – | – | – |
| Plate exposure | – | – | – |
| Loose hardware | 1 | – | 0.25 |
| Palpable hardware | – | – | – |
| Nonunion | – | – | – |
| Hardware removal | 1 | – | 0.25 |
| Total complications (number of patients) | 1 (20%) | 0 (0%) | 0.25 |
| Malocclusion | 1 | 1 | 0.89 |
© 2013 by the author. The Author(s) 2008.
Share and Cite
Xue, A.S.; Koshy, J.C.; Wolfswinkel, E.M.; Weathers, W.M.; Marsack, K.P.; Hollier, L.H., Jr. A Prospective Study of Strut Versus Miniplate for Fractures of Mandibular Angle. Craniomaxillofac. Trauma Reconstr. 2013, 6, 191-196. https://doi.org/10.1055/s-0033-1349213
Xue AS, Koshy JC, Wolfswinkel EM, Weathers WM, Marsack KP, Hollier LH Jr. A Prospective Study of Strut Versus Miniplate for Fractures of Mandibular Angle. Craniomaxillofacial Trauma & Reconstruction. 2013; 6(3):191-196. https://doi.org/10.1055/s-0033-1349213
Chicago/Turabian StyleXue, Amy S., John C. Koshy, Erik M. Wolfswinkel, William M. Weathers, Kristina P. Marsack, and Larry H. Hollier, Jr. 2013. "A Prospective Study of Strut Versus Miniplate for Fractures of Mandibular Angle" Craniomaxillofacial Trauma & Reconstruction 6, no. 3: 191-196. https://doi.org/10.1055/s-0033-1349213
APA StyleXue, A. S., Koshy, J. C., Wolfswinkel, E. M., Weathers, W. M., Marsack, K. P., & Hollier, L. H., Jr. (2013). A Prospective Study of Strut Versus Miniplate for Fractures of Mandibular Angle. Craniomaxillofacial Trauma & Reconstruction, 6(3), 191-196. https://doi.org/10.1055/s-0033-1349213