Next Article in Journal
A Giant Pleomorphic Adenoma of the Submandibular Salivary Gland: A Case Report
Previous Article in Journal
Ameloblastic Carcinoma of the Maxilla with Extension into the Ethmoidal Air Cells and Close Proximity to the Anterior Skull Base: A Rare Case Presentation
 
 
Craniomaxillofacial Trauma & Reconstruction is published by MDPI from Volume 18 Issue 1 (2025). Previous articles were published by another publisher in Open Access under a CC-BY (or CC-BY-NC-ND) licence, and they are hosted by MDPI on mdpi.com as a courtesy and upon agreement with Sage.
Font Type:
Arial Georgia Verdana
Font Size:
Aa Aa Aa
Line Spacing:
Column Width:
Background:
Article

The Nasal Artery Musculomucosal Cutaneous Flap in Difficult Palatal Fistula Closure

by
Percy Rossell-Perry
1,* and
Hector Mondragon Arrascue
2
1
Department of Plastic Surgery, Outreach Surgical Center, Schell Street, 120 Apt. 1503, Miraflores, Lima, Peru
2
Department of Pediatric Surgery, San Marcos National University, Lima, Peru
*
Author to whom correspondence should be addressed.
Craniomaxillofac. Trauma Reconstr. 2012, 5(3), 175-184; https://doi.org/10.1055/s-0032-1322533
Submission received: 19 May 2011 / Revised: 20 September 2011 / Accepted: 20 September 2011 / Published: 27 July 2012

Abstract

:
Background: After cleft palate repair is performed, oronasal fistulas are potential consequences with resultant regurgitation of fluid and food, hearing loss, and velopharyngeal insufficiency. Treatment of oronasal fistulas is a challenge for plastic surgeons especially when the fistulas are large and scarring is significant. The facial artery musculomucosal (FAMM) flap, introduced by Pribaz in 1992, is a reliable and useful procedure for the closure of wide palatal fistulas. A new modification of facial artery composite flap is presented here including a skin component that avoids extended procedures for nasal layer reconstruction and reduces the mucosal component size. The flap described here is the nasal arterymusculomucosal (NAMMC) flap; the main blood supply comes from the lateral nasal artery, a terminal branch of facial artery. Methods: We present a series of anteriorly and posteriorly based NAMMC flaps, which were used to close large palatal fistulas after cleft palate repair in 12 patients. Results: All flaps were successful. One flap had an anterior wound dehiscence in a bilateral case, and we have seen no total flap failure or postoperative palatal fistulas. The aesthetic appearance of the skin donor site was acceptable in all cases. Conclusions: The NAMMC flap is a good alternative for closing wide and recurrent fistulas. It is associated with a high rate of success. The traditional FAMM flap should be named as “nasal (lateral) artery musculomucosal flap” because the distal branch of the facial artery is the main blood supply of the flap.

Palatal fistula is a difficult complication after cleft palate repair. The repair of a palatal fistula can be challenging, particularly in wide and recurrent fistulas (Figure 1). Large defects after cleft palate repair produce various symptoms, including regurgitation of fluid into the nasal cavity, hearing loss, and velopharyngeal insufficiency. In these cases, the palatal tissue around the fistula can be quite scarred and in short supply. A variety of reconstructive options are commonly employed, using local flaps of muscle and mucosa or tongue tissue or using distant flaps [1,2,3]. The combination of buccal mucosal flaps and buccinator muscle as an axial myomucosal flap based on the facial artery has been described by Pribaz et al. [2].
This flap consists of mucosa, submucosa, part of the buccinator and orbicularis muscles, and the facial artery with its venous plexus. This is known as the facial artery musculomucosal (FAMM) flap [2]. The FAMM flap can be designed as an anteriorly based (for anterior fistula repair) or posteriorly based (for posterior fistula repair) flap. The facial artery is a branch of the external carotid artery and enters the face at the lower border of the mandible at the anterior border of the masseter muscle. It then passes superiorly and anteriorly following a tortuous course. It lies deep to the zygomatic muscles and superficial to the buccinator and the levator anguli oris muscles.
Abundant branches pass into the skin and mucosa through these facial muscles but some branches go directly into the skin (Figure 2) [4,5]. The facial artery most commonly bifurcates at the mouth to become the lateral nasal artery and superior labial artery. The facial vein takes a separate course from the artery in a deeper plane and it is not included in local flaps (Figure 3). In palatal fistulas, the FAMM flap is used for oral mucosa reconstruction. However, to achieve two-layer repair of the fistula, the nasal lining is repaired by folding the flap on itself, using pharyngeal flaps, local turndown flaps from oral mucosa, or split-thickness skin grafts. For large fistulas, free flaps can be used.
Cadaveric studies of the facial artery have suggested an area of skin at the nasolabial fold level that may be harvested with muscle and mucosa based on several cutaneous perforators as a facial artery composite flap [6,7,8,9]. There are other uses of composite flaps, including free flaps as the nasolabial composite flap with buccal mucosa described by Sasaki et al. for eyelid reconstruction [7]. This flap provides an additional skin component for eyelid lining reconstruction; however, it requires microvascular technique.
To our knowledge, there are no reported clinical series evaluating outcomes of composite pedicle flaps (including skin component) based on the facial artery in palatal fistula repair. In addition, all of these flaps were described as arterialized flaps based on the facial artery; more accurately, these flaps are all based on the distal and major branch of the facial artery: the lateral nasal artery. The facial artery is only included at the distal end for anteriorly based flaps or the proximal end for posteriorly based flaps. This artery ends at the level of the alar base and becomes a cutaneous perforator, the inferior alar branch and superior alar branch (Figure 2) [6].
We present here the nasal artery musculomucosal cutaneous (NAMMC) flap, which can be based anteriorly or posteriorly, as a reliable surgical option in the management of large palatal fistulas. This technique provides a pedicle composite flap for large palatal fistula reconstruction in a single surgical procedure (Figure 4 and Figure 5). The skin flap component reduces the size of myomucosal component and avoids the use of pharyngeal flaps for nasal mucosa reconstruction.
The Outreach Surgical Center Program Lima is supported by ReSurge International and Smile Train Foundation from United States and receives patients from all the country to be operated in three different hospitals (as reference centers) in Peru.

Patients and Methods

Clinical Cases

This study was performed by the Outreach Surgical Center Program based in Lima, Peru. Twelve patients (seven male and five female) with palatal fistula after primary cleft palate repair were operated using the NAMMC-based anterior or posterior flap between March 2007 and December 2010 in three different hospitals in Peru. All of these patients had a large palatal fistula, defined as a defect wider than 2 cm (Table 1). We have an established recall system for patient evaluation after surgery at 1, 6, and 12 months postoperatively. Average follow-up was 17 months (range, 6 to 28 months).

Surgical Technique

The surgery is performed under general anesthesia with oral endotracheal intubation. The course of the facial artery is mapped from the lower border of the mandible to the nasal alar base using a Doppler and physical exam (palpation; Figure 6). A Dingman mouth gag is used to facilitate exposure. The fistula margins are infiltrated with lidocaine plus adrenaline and dissected 2 to 3 mm around the fistula as a turndown flap from oral mucosa. This procedure is not adequate to close the nasal layer in larger fistulas. In the design of the NAMMC flap, the width of the palatal oral mucosa defect is used as the width of the mucosa component of the flap, and the width of the palatal nasal mucosa defect left after dissection of the turndown flaps is used to define the size of the skin component of the flap.
After identifying the location of the artery and determining the size of the flap, we mark the oral mucosa using methylene blue. Incisions are made following the markings using a number 15 blade. The first incision is made through the mucosa and muscle tissue following the anterior border of the flap. The upper labial artery is easy to identify at the level of the oral commissure; after this, the facial artery can be located following this labial branch. In older patients, palpation of the artery pulse can be used with the same purpose. The superior labial artery must be ligated to release the flap. The facial artery should not be dissected to avoid any injury, and some subcutaneous tissue should remain over the artery. A branch of the buccal nerve (from the facial nerve) is usually observed during this dissection and can be carefully retracted, avoiding nerve injury. Then, the flap can be raised, making the posterior border incision and preserving the facial artery.

Posteriorly Based Flap

The length of the skin component of the flap is the distance between the most anterior and posterior point of the nasal mucosa defect. The length of the muscle mucosa component in the posteriorly based flap is the same as the distance from the most anterior point of the oral mucosa defect to the pivot point. The pivot point in this case is located behind the maxillary arch (retromolar trigone). The lateral nasal artery is identified and divided at the distal border of the flap and distal to the cutaneous perforator.
A main perforator is located a few millimeters before the distal division of the lateral nasal artery (below the alar base) and can be used in posteriorly based flap (Figure 2). This perforator should not be dissected to avoid its injury, and the subcutaneous tissue is dissected around it in connection with the skin island and the musculomucosal component of the flap. The skin island is located over the nasolabial fold and below the alar base.

Anteriorly Based Flap

The length of the muscle mucosa component in the anteriorly based flap is the same as the distance from the most distal point of the oral mucosa defect to the pivot point. The superior labial artery must be ligated to release this type of flap. The pivot point for the anteriorly based flap is located at the level of the upper border of the alveolar cleft. The facial artery is identified and divided at the distal border of the flap and distal to the cutaneous perforator. Several small perforators are located at the distal portion of the flap, and the subcutaneous tissue is dissected around them in connection with the skin island and the musculomucosal component of the flap. The skin island is located over the nasolabial fold and above the oral commissure. Finally, in both anteriorly and posteriorly based flaps, the flap should be designed anterior and inferior to the level of the parotid duct to avoid any injury. The island skin component is located at the distal portion of the flap in both types.
The skin component is incised and dissected in connection with the muscle mucosa component including subcutaneous tissue around the lateral nasal artery skin perforators. It is only necessary to include one perforator. The composite flap is then dissected in the subcutaneous level, maintaining the artery and ramifications within the pedicle until the pivot point (Figure 7). Once completely raised, the flap is inset and the donor defect closed primarily with absorbable sutures. If the flap is too bulky, division and insetting of the flap in a second session is sometimes required (Figure 8). The flap is an axial pattern flap designed along and including the length of the facial artery, based either inferiorly with orthograde flow or superiorly with retrograde flow. The postoperative regimen includes a soft diet, and the patient is usually discharged from the hospital in 24 to 48 hours.

Results

Clinical Cases

The postoperative results were evaluated subjectively at each patient examination to assess the results. Demographic data and reconstruction details are listed in Table 2. Eighty-three percent of the patients (10) returned for postoperative evaluation at 1 month and only 3 (25%) were evaluated at 6 months postoperatively. Eight anteriorly and four posteriorly based NAMMC flaps in 12 patients are presented. The mean age at the time of operation was 5.3 years (range, 2 to 8 years). None of the patients had undergone previous attempts at closure of palatal fistulae. NAMMC flap sizes varied from 6 to 4.5 cm in length and 2 to 2.5 cm in width. The skin portion of the flap varied from 2 to 3 cm in length and 1 to 1.5 cm in width. The donor site could be closed primarily without tension and with good cosmetic results. There were no complaints of skin donor site scarring. Complications are presented in Table 3. We have seen short-term affection of the facial animation in 41.6% of the patients during the first months. Only one patient required a secondary procedure; all other flaps achieved resolution of the fistula. There was one case of partial necrosis: a 20% flap loss was encountered, due to venous congestion. In this case, the wound healed secondarily with no fistula recurrence. The partial flap failure rate is 8.3% (1/12).
The only other complication was a wound dehiscence in a patient with a bilateral wide anterior oronasal fistula. The anterior defect was closed using local flaps. We have no seen facial nerve injury in these cases.
The donor sites were closed primarily, and there were no postoperative complications. There was minimal deformation of the donor site (Figure 17 and Figure 18). Three representative cases follow.

Case 11

An 8-year-old boy with a history of bilateral cleft lip and palate presented with an anterior fistula measuring 33 × 19 mm after palatal surgery (Figure 9). The fistula was closed with a left anteriorly based NAMMC flap (Figure 10).

Case 9

A 7-year-old boy with a history of bilateral cleft lip and palate presented with an anterior fistula measuring 40 × 28 mm after palatal surgery (Figure 11). The fistula was closed with a left anteriorly based NAMMC flap (Figure 12, Figure 13 and Figure 14).

Case 4

An 8-year-old boy with a history of isolated cleft palate presented with a large fistula measuring 35 × 19 mm after palatal surgery (Figure 15). The fistula was closed with a left posteriorly based NAMMC flap (Figure 16 and Figure 19).

Discussion

Numerous flaps based on the facial artery are well known and have widespread use. These flaps are supplied by perforators from the facial artery. Their venous perfusion is achieved by the venous vasa vasorum accompanying the facial artery. Therefore, this flap does not require the facial vein. However, we have found in many studies [4,6,8] that the facial artery usually bifurcates at the oral commissure and becomes two major branches: the superior labial artery and the lateral nasal artery (70.8%).
We consider the angular artery usually to be a thin branch rather than a main continuation of the facial artery, as Nakajima et al. [8] described. Under this pattern, the lateral nasal artery is the main facial artery distal branch. In the flap described here (NAMMC flap), the main blood supply comes from the lateral nasal artery, a terminal branch of facial artery. In a previous study [6], we found that this artery runs toward the alar base and provides a skin perforator a few millimeters before the inferior alar branch. In this cadaveric study, we found multiple facial artery perforators that could be identified and dissected to their origin from the facial artery (Figure 20).
In ~1 to 10% of cases, the facial artery is missing in the nasolabial area, terminating in the vicinity of the angle of the mouth [5]. However, the facial artery was present in the nasolabial area in all cases in our study [6]. Therefore, before initiating this procedure, the position and suitability of the blood vessels should be confirmed by Doppler. Another important consideration is that the facial artery has a very tortuous course in this region; therefore, care must be taken to include the arterial axis in the flap. Closure of large palate fistulae is a challenging problem, and a variety of regional and distant flaps have been described.
Flaps including the facial artery and all layers from the skin to the mucosa have been used as pedicled flaps for reconstruction of the lower lip, nose, and lower eyelid but not for palatal fistula reconstruction [7,9,10]. The FAMM flap has some advantages over other regional flaps: it includes good blood supply, it requires only a single stage, and it involves less risk of flap dehiscence. However, in larger palate fistula repair, this flap is limited for nasal layer reconstruction, and additional locoregional flaps (extended turndown flap from oral mucosa, pharyngeal flap) or skin grafts are usually necessary.
The nasal layer repair reduces the recurrence of palatal fistulas. The FAMMC flap (named by us as NAMMC flap) provides a pedicle composite flap for large palatal fistula reconstruction, reduces the size of myomucosal component, reduces the surgical dissection over the maxilla, and avoids the use of pharyngeal flaps for nasal mucosa reconstruction. The NAMMC flap as a single-stage operation is a better option than a two-stage flap or microvascular reconstruction. It is associated with minimal donor site morbidity (Figure 14, Figure 17 and Figure 18). Observed complications were related mainly to the postoperative pain and scar disorders. We believe this composite flap is a good surgical choice for recurrent and wide hard palate fistulae and any other difficult secondary palate repair.

Conclusions

A modification of a common technique (FAMM flap) is presented here. The FAMM cutaneous flap is a reliable and safe procedure and can be used as an alternative for the closure of difficult palatal fistulas. Because the main blood supply comes from the lateral nasal artery, this flap should be named as “nasal artery musculomucosal cutaneous flap”. The aesthetically pleasing donor site offers a versatile flap because of the presence of perforators with a large arc of rotation.

Disclosure

None of the authors has a financial interest in any of the products devices or drugs mentioned in this article.

Financial Disclosure

The authors have no financial interest to declare in relation to the content of this article.

Acknowledgments

We would like to thank Dr. Scott Corlew and Bill Schneider for assistance with English manuscript revision. Presented at the 11th International Congress on Cleft Lip and Palate and related Craniofacial anomalies. Fortaleza Brazil, September 2009.

References

  1. Guerrero-Santos, J.; Fernandez, J.M. Further experience with tongue flap in cleft palate repair. Cleft Palate J 1973, 10, 192–202. [Google Scholar] [PubMed]
  2. Pribaz, J.; Stephens, W.; Crespo, L.; Gifford, G. A new intraoral flap: Facial artery muscular mucosal (FAMM) flap. Plast Reconstr Surg 1992, 90, 421. [Google Scholar] [CrossRef] [PubMed]
  3. Park, C.; Lineaweaver, W.C.; Buncke, H.J. New perioral arterial flaps: Anatomic study and clinical application. Plast Reconstr Surg 1994, 94, 268–276. [Google Scholar] [CrossRef] [PubMed]
  4. Whetzel, T.P.; Mathes, S.J. Arterial anatomy of the face: An analysis of vascular territories and perforating cutaneous vessels. Plast Reconstr Surg 1992, 89, 591–603; discussion 604–605. [Google Scholar] [CrossRef] [PubMed]
  5. Cormak, G.; Lamberty, B. The blood supply to the skin by regions. In The Arterial Anatomy of the Skin Flaps, 2nd ed.; Churchill Livingstone: Edinburgh, UK, 1994; pp. 136–137. [Google Scholar]
  6. Rossell, P.; Mondragon, H. A study of anatomical variants of the facial artery. Act Med Per 2009, 26, 199–207. [Google Scholar]
  7. Sasaki, K.; Nozaki, M.; Katahira, J.; Kikuchi, Y. A nasolabial composite free flap with buccal mucosa: Reconstruction of full-thickness lower eyelid defects. Plast Reconstr Surg 1998, 102, 464–472. [Google Scholar] [CrossRef] [PubMed]
  8. Nakajima, H.; Imanishi, N.; Aiso, S. Facial artery in the upper lip and nose: Anatomy and a clinical application. Plast Reconstr Surg 2002, 109, 855–861; discussion 862–863. [Google Scholar] [CrossRef] [PubMed]
  9. Hofer, S.; Posch, N.; Smit, X. The facial artery perforator flap for reconstruction of perioral defects. Plast Reconstr Surg 2005, 115, 996–1003. [Google Scholar] [CrossRef] [PubMed]
  10. Zhao, Z.; Li, S.; Yan, Y.; et al. The septal chondromucosal island pedicle flap: Anatomic study and clinical application. Plast Reconstr Surg 1999, 103, 1355–1360. [Google Scholar] [CrossRef] [PubMed]
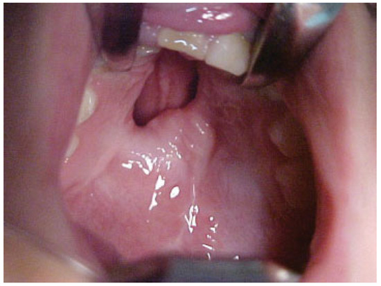
Figure 1. Severe palatal fistula after primary palatoplasty in a 7-year-old patient.
Figure 1. Severe palatal fistula after primary palatoplasty in a 7-year-old patient.
Cmtr 05 00022 g001
Figure 2. Facial artery skin perforator. A big perforator is located frequently at the level of the alar nose (black arrow).
Figure 2. Facial artery skin perforator. A big perforator is located frequently at the level of the alar nose (black arrow).
Cmtr 05 00022 g002
Figure 3. The facial vein takes a separate course from the artery (red arrow) in a deeper plane and the more lateral side (blue arrow).
Figure 3. The facial vein takes a separate course from the artery (red arrow) in a deeper plane and the more lateral side (blue arrow).
Cmtr 05 00022 g003
Figure 4. Diagram showing the inferiorly based nasal artery myomucosal cutaneous flap for palatal fistula repair.
Figure 4. Diagram showing the inferiorly based nasal artery myomucosal cutaneous flap for palatal fistula repair.
Cmtr 05 00022 g004
Figure 5. The nasal artery musculomucosal cutaneous flap is positioned, closing the fistula, and donor site is repaired.
Figure 5. The nasal artery musculomucosal cutaneous flap is positioned, closing the fistula, and donor site is repaired.
Cmtr 05 00022 g005
Figure 6. The course of the facial artery was mapped from the lower border of the mandible to the nasal alar base using a Doppler and physical exam.
Figure 6. The course of the facial artery was mapped from the lower border of the mandible to the nasal alar base using a Doppler and physical exam.
Cmtr 05 00022 g006
Figure 7. The skin component (A) was then incised and dissected in connection with the muscle (B) and mucosa (C) components including subcutaneous tissue around the lateral nasal artery and skin perforators (D).
Figure 7. The skin component (A) was then incised and dissected in connection with the muscle (B) and mucosa (C) components including subcutaneous tissue around the lateral nasal artery and skin perforators (D).
Cmtr 05 00022 g007
Figure 8. The flap was inset and the donor defect was closed primarily with absorbable sutures.
Figure 8. The flap was inset and the donor defect was closed primarily with absorbable sutures.
Cmtr 05 00022 g008
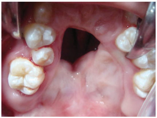
Figure 9. Severe fistula located on the hard palate after primary palatoplasty in an 8-year-old patient with bilateral cleft lip and palate.
Figure 9. Severe fistula located on the hard palate after primary palatoplasty in an 8-year-old patient with bilateral cleft lip and palate.
Cmtr 05 00022 g009
Figure 10. Postoperative (2 weeks) view of the patient in Figure 9 after closure of the fistula using an anteriorly based nasal artery musculomucosal cutaneous flap.
Figure 10. Postoperative (2 weeks) view of the patient in Figure 9 after closure of the fistula using an anteriorly based nasal artery musculomucosal cutaneous flap.
Cmtr 05 00022 g010
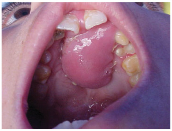
Figure 11. Severe fistula located on the hard palate after primary palatoplasty in an 8-year-old patient with isolated cleft palate.
Figure 11. Severe fistula located on the hard palate after primary palatoplasty in an 8-year-old patient with isolated cleft palate.
Cmtr 05 00022 g011
Figure 12. Postoperative (1 month) view of the patient in Figure 11 after closure of the fistula using a posteriorly based nasal artery musculomucosal cutaneous flap.
Figure 12. Postoperative (1 month) view of the patient in Figure 11 after closure of the fistula using a posteriorly based nasal artery musculomucosal cutaneous flap.
Cmtr 05 00022 g012
Figure 13. Postoperative view of the patient in Figure 11 and Figure 12 1 year after surgery when the patient returned for soft palate repair.
Figure 13. Postoperative view of the patient in Figure 11 and Figure 12 1 year after surgery when the patient returned for soft palate repair.
Cmtr 05 00022 g013
Figure 14. External view of the patient in Figure 11, Figure 12 and Figure 13 to illustrate location of the scar 1 month after surgery.
Figure 14. External view of the patient in Figure 11, Figure 12 and Figure 13 to illustrate location of the scar 1 month after surgery.
Cmtr 05 00022 g014
Figure 15. Severe fistula located on the hard palate after primary palatoplasty in a 7-year-old patient with bilateral cleft lip and palate.
Figure 15. Severe fistula located on the hard palate after primary palatoplasty in a 7-year-old patient with bilateral cleft lip and palate.
Cmtr 05 00022 g015
Figure 16. External view of the patient in Figure 15 after close of the fistula using a posteriorly based nasal artery musculomucosal cutaneous flap (1 year postoperatively).
Figure 16. External view of the patient in Figure 15 after close of the fistula using a posteriorly based nasal artery musculomucosal cutaneous flap (1 year postoperatively).
Cmtr 05 00022 g016
Figure 17. The scar of the skin donor site is located over the nasolabial fold with acceptable appearance.
Figure 17. The scar of the skin donor site is located over the nasolabial fold with acceptable appearance.
Cmtr 05 00022 g017
Figure 18. Symmetry of the facial animation on this patient after surgery.
Figure 18. Symmetry of the facial animation on this patient after surgery.
Cmtr 05 00022 g018
Figure 19. Posteriorly based nasal artery musculomucosal cutaneous flap.
Figure 19. Posteriorly based nasal artery musculomucosal cutaneous flap.
Cmtr 05 00022 g019
Figure 20. FAMMC flap blood supply.
Figure 20. FAMMC flap blood supply.
Cmtr 05 00022 g020
Table 1. Outreach Surgical Center Lima Protocol for Palatal Fistula Management.
Table 1. Outreach Surgical Center Lima Protocol for Palatal Fistula Management.
LocalizationSizeSurgical Technique
Anterior (between alveolar cleft and incisive foramen)Mild (1–5 mm)Local flaps
Moderate (5–15 mm)Anteriorly based FAMM flap
Severe (>15 mm)Anteriorly based FAMMC flap
Middle (hard palate)Mild (1–5 mm)Local flaps
Moderate (5–15 mm)Posteriorly based FAMM flap
Severe (>15 mm)Posteriorly based FAMMC flap
Posterior (soft palate/hard palate junction and soft palate)Mild (1–5 mm)Furlow technique
Moderate (5–15 mm)Two flap soft palate palatoplasty
Severe (>15 mm)Posteriorly based FAMMC flap
Moderate and severe fistulas are closed before the patient reaches 2 years old. Mild middle and posterior fistulas are closed later depending on symptoms. Mild anterior fistula is closed during mixed dentition period. FAMM, facial artery musculomucosal; FAMMC, facial artery musculomucosal cutaneous.
Table 2. Outcome of Closure of Palatal Fistula with the Nasal Artery Musculomucosal Cutaneous Flap.
Table 2. Outcome of Closure of Palatal Fistula with the Nasal Artery Musculomucosal Cutaneous Flap.
Cleft FistulaFlap SizeSkinFlap
PatientSexTypeAge (y)Size (mm)PositionLength/Width (cm)Island (cm)TypeCoverageComplications
1MUCL219 × 15Anterior2.0 × 4.52 × 1AnteriorCompleteNone
2MBCL330 × 22Anterior medial2.5 × 5.52 × 1AnteriorCompleteNone
3FUCL425 × 19Medial2.0 × 5.02 × 1PosteriorCompleteNone
4MICP835 × 19Posterior2.5 × 5.52.5 × 1PosteriorCompleteNone
5FUCL838 × 23Posterior2.5 × 6.02.5 × 1PosteriorCompleteNone
6MUCL740 × 30Posterior2.5 × 6.03 × 1.5PosteriorCompleteNone
7FBCL427 × 19Anterior2.0 × 5.02 × 1AnteriorCompleteNone
8MBCL838 × 24Anterior2.5 × 5.52.5 × 1AnteriorPartialPartial necrosis
9MBCL740 × 28Posterior medial2.5 × 6.03 × 1.5PosteriorCompleteNone
10FUCL220 × 16Anterior2.0 × 4.52 × 1AnteriorCompleteNone
11MBCL833 × 19Anterior2.5 × 5.52.5 × 1AnteriorCompleteNone
12FBCL329 × 20Anterior2.0 × 5.02.5 × 1AnteriorCompleteDehiscence
UCL, unilateral cleft lip; BCL, bilateral cleft lip; ICP, isolated cleft palate.
Table 3. Complications after Fistula Closure Using Nasal Musculomucosal Cutaneous Flap.
Table 3. Complications after Fistula Closure Using Nasal Musculomucosal Cutaneous Flap.
Complicationsn%
Short-term facial animation affection541.66
Hypertrophic scar325
Flap necrosis18.3
Dehiscence18.3
Infection00
Facial nerve injury00
Fistula recurrence00
Outreach Surgical Center Program Lima Peru 2007–2010 (n = 12).

Share and Cite

MDPI and ACS Style

Rossell-Perry, P.; Arrascue, H.M. The Nasal Artery Musculomucosal Cutaneous Flap in Difficult Palatal Fistula Closure. Craniomaxillofac. Trauma Reconstr. 2012, 5, 175-184. https://doi.org/10.1055/s-0032-1322533

AMA Style

Rossell-Perry P, Arrascue HM. The Nasal Artery Musculomucosal Cutaneous Flap in Difficult Palatal Fistula Closure. Craniomaxillofacial Trauma & Reconstruction. 2012; 5(3):175-184. https://doi.org/10.1055/s-0032-1322533

Chicago/Turabian Style

Rossell-Perry, Percy, and Hector Mondragon Arrascue. 2012. "The Nasal Artery Musculomucosal Cutaneous Flap in Difficult Palatal Fistula Closure" Craniomaxillofacial Trauma & Reconstruction 5, no. 3: 175-184. https://doi.org/10.1055/s-0032-1322533

APA Style

Rossell-Perry, P., & Arrascue, H. M. (2012). The Nasal Artery Musculomucosal Cutaneous Flap in Difficult Palatal Fistula Closure. Craniomaxillofacial Trauma & Reconstruction, 5(3), 175-184. https://doi.org/10.1055/s-0032-1322533

Article Metrics

Back to TopTop