Pseudoaneurysm of the Internal Carotid Artery After Craniofacial Traumatism: Series of Cases and Integrative Literature Review
Abstract
:Introduction
Patients and Methods
Study Design and Integrative Review
Data Analysis
Results
Integrative Review
Age
Gender
Etiology
Injury Location
Type of Fracture
Latency Time
Signs and Symptoms
Treatment
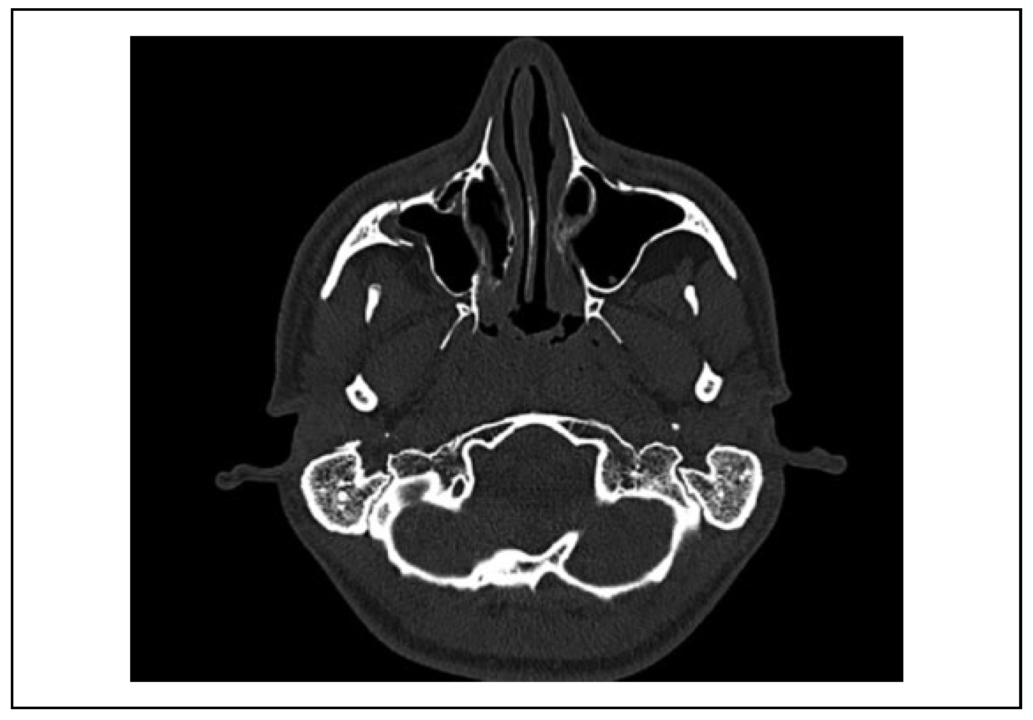
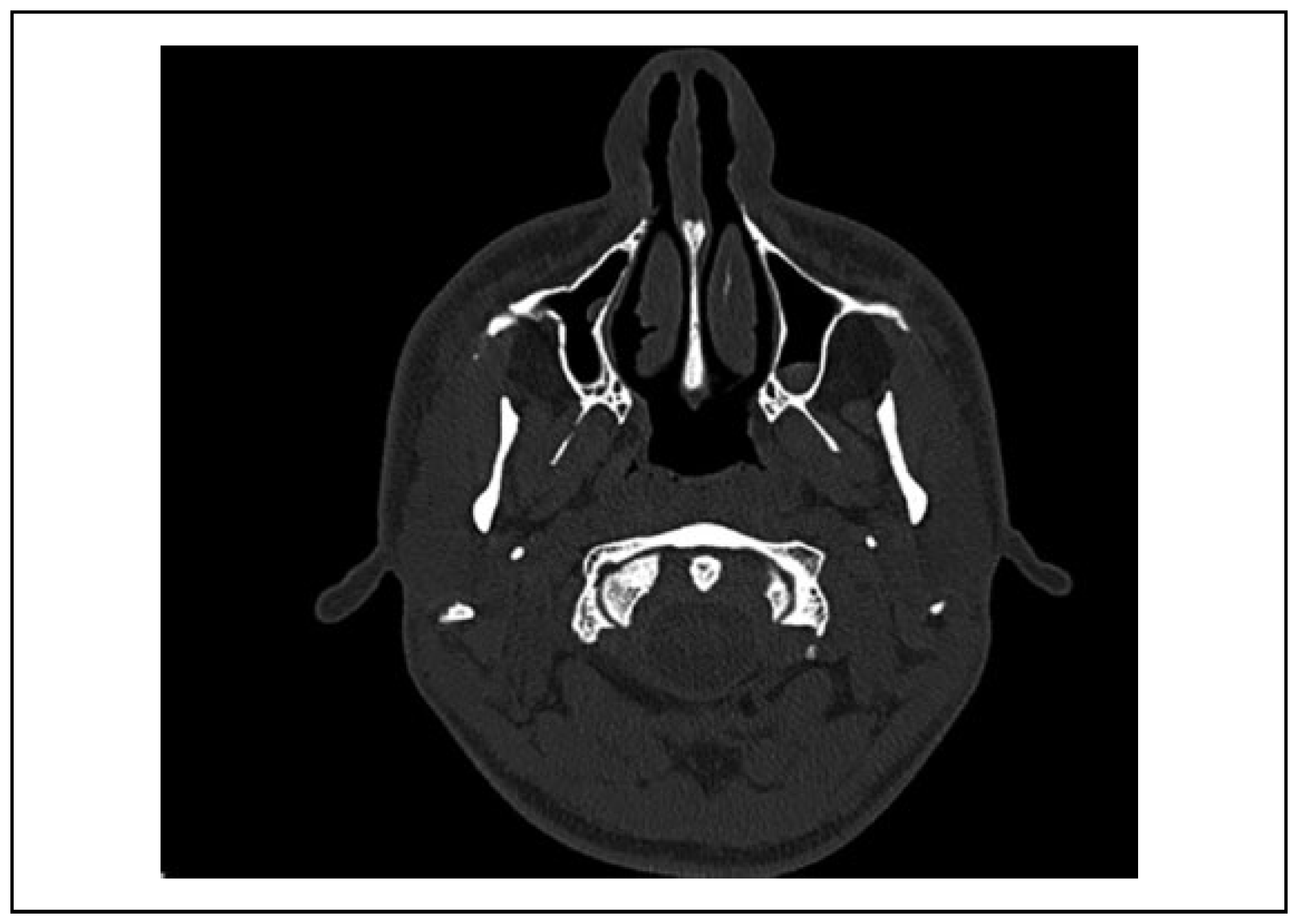
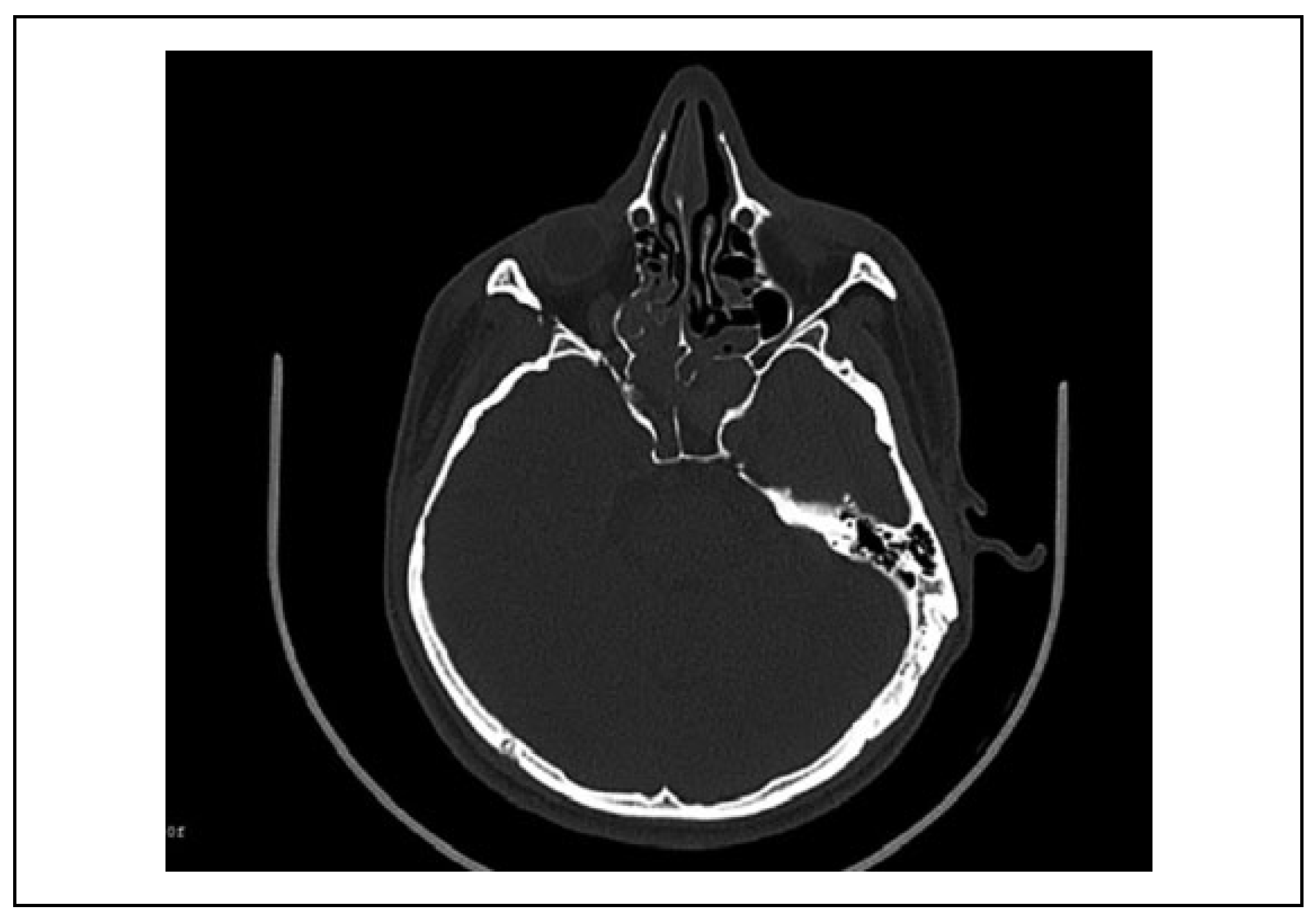
Case Series
Case 1
Case 2
Case 3
Discussion
Author Contributions
Funding
Informed Consent Statement
Conflicts of Interest
References
- Dubey, A.; Sung, W.S.; Chen, Y.Y.; et al. Traumatic intracranial aneurysm: a brief review. J Clin Neurosci. 2008, 15, 609–612. [Google Scholar] [CrossRef] [PubMed]
- Maurer, J.J.; Mills, M.; German, W.J. Triad of unilateral blindness, orbital fractures and massive epistaxis after head injury. J Neurosurg. 1961, 18, 837–840. [Google Scholar] [PubMed]
- Cogbill, T.H.; Cothren, C.C.; Ahearn, M.K.; et al. Management of maxillofacial injuries with severe oronasal hemorrhage: a multicenter perspective. J Trauma. 2008, 65, 994–999. [Google Scholar] [CrossRef] [PubMed]
- Wu, S.C.; Chen, R.J.; Lee, K.W.; Tung, C.C.; Lin, W.P.; Yi, P. Angioembolization as an effective alternative for hemostasis in intractable life-threatening maxillofacial trauma hemorrhage: case study. Am J Emerg Med. 2007, 25, 988.e1–988.e5. [Google Scholar] [CrossRef] [PubMed]
- Whittemore, R.; Knafl, K. The integrative review: updated methodology. J Adv Nurs. 2005, 52, 546–553. [Google Scholar] [PubMed]
- Morato de Oliveira, E.; Almeida de Arruda, J.A.; Mendes Nascimento, P.A.; Neiva, I.M.; Mesquita, R.A.; Souza, L.N. An update on osteomyelitis treatment in a pycnodysostosis patient. J Ora Maxillofac Surg. 2018, 76, 2136.e1. [Google Scholar] [CrossRef] [PubMed]
- Sharma, A.; Gupta, R.; Singh, D.; Singh, H. Posttraumatic carotidcavernous fistula associated with evolving contralateral internal carotid artery pseudoaneurysm. J Neurol Surg. 2013, 74 (Suppl. 1), e76–e80. [Google Scholar] [CrossRef] [PubMed]
- Sridharan, R.; Low, S.F.; Ismail, M.R.; Kew, T.Y. Intracavernous internal carotid artery pseudoaneurysm. Case Rep Singapore Med. 2014, 55, 165–168. [Google Scholar] [CrossRef] [PubMed]
- Malcolm, D.; Fernando, G.; Lond, D.M.J.; Aluthgedara, R.; Hewavithana, P.B. Penetrative injury to the face resulting in delayed death after rupture of a cavernous sinus aneurysm on the contralateral side. Am J Forensic Med Pathol. 2015, 36, 271–273. [Google Scholar]
- Pelliccia, P.; Surgery, N. Traumatic intra-sphenoidal pseudoaneurysm lodged inside the fractured sphenoidal sinus. Acta Otorhinolaryngol Ital. 2016, 36, 149–152. [Google Scholar] [CrossRef] [PubMed]
- Liu, Q.; Xue, H.; Qi, C.; Zhao, P.; Wang, D.; Li, G. Traumatic anterior cerebral artery pseudoaneurysmal epistaxis. World Neurosurg. 2017, 100, 713.e9–713.e1. [Google Scholar] [PubMed]
- Monteiro, J.L.; de Arruda, J.A.; de Melo, A.R.; et al. Updated review of traumatic dislocation of the mandibular condyle into the middle cranial fossa. J Oral Maxillofac Surg. 2019, 77, 132.e1–132.e16. [Google Scholar] [PubMed]
- Avelar, R.L.; Goelzer, J.G.; Becker, O.E.; de Oliveira, R.B.; Raupp, E.F.; de Magalhães, P.S. Embolization of pseudoaneurysm of the internal maxillary artery after orthognathic surgery. J Craniofac Surg. 2010, 21, 1764–1768. [Google Scholar] [PubMed]
- Chepla, K.J.; Totonchl, A.; Hsu, D.P. Maxillary artery pseudoaneurysm after le fort i osteotomy: treatment using transcatheter arterial embolization. J Craniofac Surg. 2010, 21, 1079–1081. [Google Scholar] [CrossRef] [PubMed]
- Inoue, K.; Tsutsumi, A.; Iijima, M.; Shinozaki, M.; Ishida, J.; Yako, K. Urgent treatment of severe subarachnoid hemorrhage caused by ruptured traumatic aneurysm of the cavernous internal carotid artery using coil embolization followed by superficial temporal artery-middle cerebral artery anastomosis: a case report. Surg Neurol. 2005, 64, 450–454. [Google Scholar] [CrossRef] [PubMed]
- Arau´jo, R.Z.; Lehman, L.F.; Campos, F.E.; de Castro, W.H.; Curi, M.M. Pseudoaneurysm of the facial artery as a late complication of sagittal split ramus osteotomy. J Oral Maxillofac Surg. 2016, 28, 426–428. [Google Scholar]
- Chen, Y.F.; Tzeng, I.H.; Li, Y.H.; et al. Transcatheter arterial embolization in the treatment of maxillofacial trauma induced life-threatening hemorrhages. J Trauma. 2009, 66, 1425–1430. [Google Scholar] [PubMed]
- Strach, K.; Schrack, A.; Wilhelm, K.; et al. Endovascular treatment of epistaxis: indications, management, and outcome. Cardiovasc Intervent Radiol. 2011, 34, 1190–1198. [Google Scholar] [PubMed]







![]() |
© 2020 by the author. The Author(s) 2020.
Share and Cite
Pinto, P.S.; Viana, R.d.S.; de Souza, R.R.L.; Monteiro, J.L.G.C.; Carneiro, S.C.d.A.S. Pseudoaneurysm of the Internal Carotid Artery After Craniofacial Traumatism: Series of Cases and Integrative Literature Review. Craniomaxillofac. Trauma Reconstr. 2021, 14, 330-336. https://doi.org/10.1177/1943387520980946
Pinto PS, Viana RdS, de Souza RRL, Monteiro JLGC, Carneiro SCdAS. Pseudoaneurysm of the Internal Carotid Artery After Craniofacial Traumatism: Series of Cases and Integrative Literature Review. Craniomaxillofacial Trauma & Reconstruction. 2021; 14(4):330-336. https://doi.org/10.1177/1943387520980946
Chicago/Turabian StylePinto, Priscilla Sarmento, Ruan de Sousa Viana, Rosa Rayanne Lins de Souza, João Luiz Gomes Carneiro Monteiro, and Suzana Célia de Aguiar Soares Carneiro. 2021. "Pseudoaneurysm of the Internal Carotid Artery After Craniofacial Traumatism: Series of Cases and Integrative Literature Review" Craniomaxillofacial Trauma & Reconstruction 14, no. 4: 330-336. https://doi.org/10.1177/1943387520980946
APA StylePinto, P. S., Viana, R. d. S., de Souza, R. R. L., Monteiro, J. L. G. C., & Carneiro, S. C. d. A. S. (2021). Pseudoaneurysm of the Internal Carotid Artery After Craniofacial Traumatism: Series of Cases and Integrative Literature Review. Craniomaxillofacial Trauma & Reconstruction, 14(4), 330-336. https://doi.org/10.1177/1943387520980946
