Intact Periorbita Can Prevent Post-Traumatic Enophthalmos Following a Large Orbital Blow-Out Fracture
Abstract
:Introduction
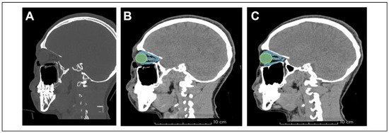
Clinical Report
Discussion
Funding
Institutional Review Board Statement
Conflicts of Interest
References
- Smith, B.; Regan, W.F., Jr. Blow-out fracture of the orbit; mechanism and correction of internal orbital fracture. Am J Ophthalmol. 1957, 44, 733–739. [Google Scholar] [CrossRef] [PubMed]
- Converse, J.M.; Smith, B. Blowout fracture of the floor of the orbit. Trans Am Acad Ophthalmol Otolaryngol. 1960, 64, 676–688. [Google Scholar] [PubMed]
- Converse, J.M.; Smith, B. Blowout fracture of the floor of the orbit. J Fla Med Assoc. 1961, 47, 1337–1342. [Google Scholar]
- Gart, M.S.; Gosain, A.K. Evidence-based medicine: orbital floor fractures. Plast Reconstr Surg. 2014, 134, 1345–1355. [Google Scholar] [CrossRef] [PubMed]
- Green, R.P. , Jr, Peters, D.R.; Shore, J.W.; Fanton, J.W.; Davis, H. Force necessary to fracture the orbital floor. Ophthal Plast Reconstr Surg. 1990, 6, 211–217. [Google Scholar] [CrossRef] [PubMed]
- Jones, D.E.; Evans, J.N. “Blowout” fractures of the orbit: an investigation into their anatomical basis. J Laryngol Otol. 1967, 81, 1109–1120. [Google Scholar] [CrossRef] [PubMed]
- Manson, P.N.; Grivas, A.; Rosenbaum, A.; Vannier, M.; Zinreich, J.; Iliff, N. Studies on enophthalmos: II. The measurement of orbital injuries and their treatment by quantitative computed tomography. Plast Reconstr Surg. 1986, 77, 203–214. [Google Scholar] [CrossRef] [PubMed]
- Manson, P.N.; Iliff, N. Management of blowout fractures of the orbital floor: II. Early repair for selected injuries. Surv Ophthalmol. 1991, 35, 280–292. [Google Scholar] [CrossRef]
- Zhang, Z.; Zhang, Y.; He, Y.; An, J.; Zwahlen, R.A. Correlation between volume of herniated orbital contents and the amount of enophthalmos in orbital floor and wall fractures. J Oral Maxillofac Surg. 2012, 70, 68–73. [Google Scholar] [CrossRef]
- Yang, J.H.; Hwang, S.B.; Shin, J.Y.; Roh, S.G.; Chang, S.C.; Lee, N.H. 3-Dimensional volumetric analysis of relationship between the orbital volume ratio and enophthalmos in unoperated blowout fractures. J Oral Maxillofac Surg. 2019, 77, 1847–1854. [Google Scholar] [CrossRef]
- Ebrahimi, A.; Kalantar Motamedi, M.H.; Rasouli, H.R.; Naghdi, N. Enophthalmos and orbital volume changes in zygomaticomaxillary complex fractures: Is there a correlation between them? J Oral Maxillofac Surg. 2019, 77, 134.e1–134.e9. [Google Scholar] [PubMed]
- Schönegg, D.; Wagner, M.; Schumann, P.; et al. Correlation between increased orbital volume and enophthalmos and diplopia in patients with fractures of the orbital floor or the medial orbital wall. J Craniomaxillofac Surg. 2018, 46, 1544–1549. [Google Scholar] [PubMed]
- Sugiura, K.; Yamada, H.; Okumoto, T.; Inoue, Y.; Onishi, S. Quantitative assessment of orbital fractures in Asian patients: CT measurement of orbital volume. J Craniomaxillofac Surg. 2017, 45, 1944–1947. [Google Scholar] [CrossRef] [PubMed]
- Choi, S.H.; Kang, D.H. Prediction of late enophthalmos using preoperative orbital volume and fracture area measurements in blowout fracture. J Craniofac Surg. 2017, 28, 1717–1720. [Google Scholar] [CrossRef] [PubMed]
- Bite, U.; Jackson, I.T.; Forbes, G.S.; Gehring, D.G. Orbital volume measurements in enophthalmos using threedimensional CT imaging. Plast Reconstr Surg. 1985, 75, 502–508. [Google Scholar] [CrossRef] [PubMed]
- Manson, P.N.; Clifford, C.M.; Su, C.T.; Iliff, N.T.; Morgan, R. Mechanisms of global support and posttraumatic enophthalmos: I. The anatomy of the ligament sling and its relation to intramuscular cone orbital fat. Plast Reconstr Surg. 1986, 77, 193–202. [Google Scholar] [CrossRef] [PubMed]
- Matic, D.B.; Tse, R.; Banerjee, A.; Moore, C.C. Rounding of the inferior rectus muscle as a predictor of enophthalmos in orbital floor fractures. J Craniofac Surg. 2007, 18, 127–132. [Google Scholar] [CrossRef] [PubMed]
- Dulley, B.; Fells, P. Long-term follow-up of orbital blow-out fractures with and without surgery. Mod Probl Ophthalmol. 1975, 14, 467–470. [Google Scholar] [PubMed]
- Ahmad Nasir, S.; Ramli, R.; Abd Jabar, N. Predictors of enophthalmos among adult patients with pure orbital blowout fractures. PLoS One. 2018, 13, e0204946. [Google Scholar]



© 2020 by the author. The Author(s) 2020.
Share and Cite
Susarla, S.; Hopper, R.A.; Mercan, E. Intact Periorbita Can Prevent Post-Traumatic Enophthalmos Following a Large Orbital Blow-Out Fracture. Craniomaxillofac. Trauma Reconstr. 2020, 13, 49-52. https://doi.org/10.1177/1943387520903545
Susarla S, Hopper RA, Mercan E. Intact Periorbita Can Prevent Post-Traumatic Enophthalmos Following a Large Orbital Blow-Out Fracture. Craniomaxillofacial Trauma & Reconstruction. 2020; 13(1):49-52. https://doi.org/10.1177/1943387520903545
Chicago/Turabian StyleSusarla, Srinivas, Richard A. Hopper, and Ezgi Mercan. 2020. "Intact Periorbita Can Prevent Post-Traumatic Enophthalmos Following a Large Orbital Blow-Out Fracture" Craniomaxillofacial Trauma & Reconstruction 13, no. 1: 49-52. https://doi.org/10.1177/1943387520903545
APA StyleSusarla, S., Hopper, R. A., & Mercan, E. (2020). Intact Periorbita Can Prevent Post-Traumatic Enophthalmos Following a Large Orbital Blow-Out Fracture. Craniomaxillofacial Trauma & Reconstruction, 13(1), 49-52. https://doi.org/10.1177/1943387520903545