Cause of Death Analysis in a 9½-Year-Old with COVID-19 and Dravet Syndrome
Abstract
1. Introduction
2. Materials and Methods
2.1. Clinical History
2.1.1. Neurological History
2.1.2. Pulmonary History
2.1.3. ER Visit and Death
2.1.4. Autopsy
2.1.5. Histology and Immunohistochemistry
3. Results
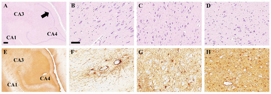
3.1. Neuropathology
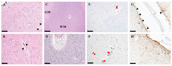
3.2. Pulmonary Pathology
3.3. Heart
4. Discussion
4.1. Dravet Syndrome
4.2. Seizures and Neuronal Loss
4.3. COVID-19
4.4. Co-Pathology Analysis
5. Conclusions
Author Contributions
Funding
Informed Consent Statement
Data Availability Statement
Acknowledgments
Conflicts of Interest
References
- Claes, L.; Del-Favero, J.; Ceulemans, B.; Lagae, L.; Van Broeckhoven, C.; De Jonghe, P. De novo mutations in the sodium-channel gene SCN1A cause severe myoclonic epilepsy of infancy. Am. J. Hum. Genet. 2001, 68, 1327–1332. [Google Scholar]
- Shmuely, S.; Sisodiya, S.M.; Gunning, W.B.; Sander, J.W.; Thijs, R.D. Mortality in Dravet syndrome: A review. Epilepsy Behav. 2016, 64 Pt A, 69–74. [Google Scholar] [CrossRef]
- Aguiar, D.; Lobrinus, J.A.; Schibler, M.; Fracasso, T.; Lardi, C. Inside the lungs of COVID-19 disease. Int. J. Leg. Med. 2020, 134, 1271–1274. [Google Scholar] [CrossRef]
- Tian, S.; Hu, W.; Niu, L.; Liu, H.; Xu, H.; Xiao, S.Y. Pulmonary Pathology of Early-Phase 2019 Novel Coronavirus (COVID-19) Pneumonia in Two Patients With Lung Cancer. J. Thorac. Oncol. 2020, 15, 700–704. [Google Scholar] [CrossRef] [PubMed]
- Doglioni, C.; Ravaglia, C.; Chilosi, M.; Rossi, G.; Dubini, A.; Pedica, F.; Piciucchi, S.; Vizzuso, A.; Stella, F.; Maitan, S.; et al. COVID-19 Interstitial Pneumonia: Histological and Immunohistochemical Features on Cryobiopsies. Respiration 2021, 100, 488–498. [Google Scholar] [CrossRef] [PubMed]
- Chrabańska, M.; Mazur, A.; Stęplewska, K. Histopathological pulmonary findings of survivors and autopsy COVID-19 cases: A bi-center study. Medicine 2022, 101, e32002. [Google Scholar] [CrossRef] [PubMed]
- Gilbert-Barness, E.; Spicer, D.E.; Steffensen, T.S. Handbook of Pediatric Autopsy Pathology, 2nd ed.; Springer: New York, NY, USA; Berlin/Heidelberg, Germany; Dordrecht, The Netherlands; London, UK, 2014; Volume 24. [Google Scholar]
- Mor-Vaknin, N.; Punturieri, A.; Sitwala, K.; Markovitz, D.M. Vimentin is secreted by activated macrophages. Nat. Cell Biol. 2003, 5, 59–63. [Google Scholar] [CrossRef] [PubMed]
- De Jonghe, P. Molecular genetics of Dravet syndrome. Dev. Med. Child Neurol. 2011, 53 (Suppl. S2), 7–10. [Google Scholar] [CrossRef] [PubMed]
- Sullivan, J.; Deighton, A.M.; Vila, M.C.; Szabo, S.M.; Maru, B.; Gofshteyn, J.S.; James, E.S.; Rico, S.; Zuberi, S.M. The clinical, economic, and humanistic burden of Dravet syndrome—A systematic literature review. Epilepsy Behav. 2022, 130, 108661. [Google Scholar] [CrossRef]
- Cooper, M.S.; McIntosh, A.; Crompton, D.E.; McMahon, J.M.; Schneider, A.; Farrell, K.; Ganesan, V.; Gill, D.; Kivity, S.; Lerman-Sagie, T.; et al. Mortality in Dravet syndrome. Epilepsy Res. 2016, 128, 43–47. [Google Scholar] [CrossRef] [PubMed]
- Kuo, F.S.; Cleary, C.M.; LoTurco, J.J.; Chen, X.; Mulkey, D.K. Disordered breathing in a mouse model of Dravet syndrome. eLife 2019, 8, e43387. [Google Scholar] [CrossRef] [PubMed]
- Thom, M.; Zhou, J.; Martinian, L.; Sisodiya, S. Quantitative post-mortem study of the hippocampus in chronic epilepsy: Seizures do not inevitably cause neuronal loss. Brain 2005, 128 Pt 6, 1344–1357. [Google Scholar] [CrossRef]
- Nevander, G.; Ingvar, M.; Auer, R.; Siesjö, B.K. Status epilepticus in well-oxygenated rats causes neuronal necrosis. Ann. Neurol. 1985, 18, 281–290. [Google Scholar] [CrossRef]
- Hata, Y.; Oku, Y.; Taneichi, H.; Tanaka, T.; Igarashi, N.; Niida, Y.; Nishida, N. Two autopsy cases of sudden unexpected death from Dravet syndrome with novel de novo SCN1A variants. Brain Dev. 2020, 42, 171–178. [Google Scholar] [CrossRef]
- Kraig, R.P.; Dong, L.M.; Thisted, R.; Jaeger, C.B. Spreading depression increases immunohistochemical staining of glial fibrillary acidic protein. J. Neurosci. 1991, 11, 2187–2198. [Google Scholar] [CrossRef] [PubMed]
- Kalume, F. Sudden unexpected death in Dravet syndrome: Respiratory and other physiological dysfunctions. Respir. Physiol. Neurobiol. 2013, 189, 324–328. [Google Scholar] [CrossRef] [PubMed]
- Miyamoto, O.; Auer, R.N. Hypoxia, hyperoxia, ischemia, and brain necrosis. Neurology 2000, 54, 362–371. [Google Scholar] [CrossRef] [PubMed]
- Hassan, M.A.; Weber, C.; Waitz, M.; Huang, L.; Hummler, H.D.; Mendler, M.R. Reliability of Pulse Oximetry during Progressive Hypoxia, Cardiopulmonary Resuscitation, and Recovery in a Piglet Model of Neonatal Hypoxic Cardiac Arrest. Neonatology 2017, 112, 40–46. [Google Scholar] [CrossRef]
- Holm, A.; Jerkeman, M.; Sultanian, P.; Lundgren, P.; Ravn-Fischer, A.; Israelsson, J.; Giesecke, J.; Herlitz, J.; Rawshani, A. Cohort study of the characteristics and outcomes in patients with COVID-19 and in-hospital cardiac arrest. BMJ Open 2021, 11, e054943. [Google Scholar] [CrossRef] [PubMed]
- Magadum, A.; Kishore, R. Cardiovascular Manifestations of COVID-19 Infection. Cells 2020, 9, 2508. [Google Scholar] [CrossRef] [PubMed]
- Carr, R.B.; Khanna, P.C.; Saneto, R.P. Childhood subdural hemorrhage, macrocephaly, and coagulopathy associated with Prader-Willi syndrome: Case report and review of the literature. Pediatr. Neurol. 2012, 47, 59–61. [Google Scholar] [CrossRef]
- Dowell, A.C.; Butler, M.S.; Jinks, E.; Tut, G.; Lancaster, T.; Sylla, P.; Begum, J.; Bruton, R.; Pearce, H.; Verma, K.; et al. Children develop robust and sustained cross-reactive spike-specific immune responses to SARS-CoV-2 infection. Nat. Immunol. 2022, 23, 40–49. [Google Scholar] [CrossRef] [PubMed]
- Yonker, L.M.; Neilan, A.M.; Bartsch, Y.; Patel, A.B.; Regan, J.; Arya, P.; Gootkind, E.; Park, G.; Hardcastle, M.; St John, A.; et al. Pediatric Severe Acute Respiratory Syndrome Coronavirus 2 (SARS-CoV-2): Clinical Presentation, Infectivity, and Immune Responses. J. Pediatr. 2020, 227, 45–52.e45. [Google Scholar] [CrossRef] [PubMed]
- Solomon, I.H.; Normandin, E.; Bhattacharyya, S.; Mukerji, S.S.; Keller, K.; Ali, A.S.; Adams, G.; Hornick, J.L.; Padera, R.F., Jr.; Sabeti, P. Neuropathological Features of COVID-19. N. Engl. J. Med. 2020, 383, 989–992. [Google Scholar] [CrossRef] [PubMed]
- Damiani, S.; Fiorentino, M.; De Palma, A.; Foschini, M.P.; Lazzarotto, T.; Gabrielli, L.; Viale, P.L.; Attard, L.; Riefolo, M.; D’Errico, A. Pathological post-mortem findings in lungs infected with SARS-CoV-2. J. Pathol. 2021, 253, 31–40. [Google Scholar] [CrossRef] [PubMed]
- Papiris, S.A.; Campo, I.; Mariani, F.; Kallieri, M.; Kolilekas, L.; Papaioannou, A.I.; Gonca Chousein, E.; Cetinkaya, E.; Bonella, F.; Borie, R.; et al. COVID-19 in patients with pulmonary alveolar proteinosis: A European multicentre study. ERJ Open Res. 2023, 9, 00199-2022. [Google Scholar] [CrossRef]
- Martin, S.; Kaushik, S.; Bajantri, B. Pulmonary alveolar proteinosis following severe COVID-19 infection: A case report. Respir. Med. Case Rep. 2024, 49, 102017. [Google Scholar] [CrossRef]
- Melhem, A.B.; Seif, A.M.; Omar, O.H.; Al Bashir, S.; Samrah, S.M. COVID-19 and severe pulmonary alveolar proteinosis (PAP): A case report. Heliyon 2023, 9, e18099. [Google Scholar] [CrossRef] [PubMed]
- Sisman, M.; Karapolat, S.; Topaloglu, O.; Akdogan, A.; Turkyilmaz, A. A case of pulmonary alveolar proteinosis misdiagnosed as COVID-19 pneumonia. Cir. Cir. 2022, 90, 402–405. [Google Scholar] [CrossRef]
- Coirier, V.; Delamaire, F.; Chauvin, P.; Kerjouan, M.; Lederlin, M.; Maamar, A.; Jouneau, S. A case report of COVID-19 in an autoimmune pulmonary alveolar proteinosis: An association in tune with the times! Respir. Med. Case Rep. 2023, 42, 101825. [Google Scholar] [CrossRef]
- Suess, C.; Hausmann, R. Gross and histopathological pulmonary findings in a COVID-19 associated death during self-isolation. Int. J. Leg. Med. 2020, 134, 1285–1290. [Google Scholar] [CrossRef] [PubMed]
- Carsana, L.; Sonzogni, A.; Nasr, A.; Rossi, R.S.; Pellegrinelli, A.; Zerbi, P.; Rech, R.; Colombo, R.; Antinori, S.; Corbellino, M.; et al. Pulmonary post-mortem findings in a series of COVID-19 cases from northern Italy: A two-centre descriptive study. Lancet Infect. Dis. 2020, 20, 1135–1140. [Google Scholar] [CrossRef]
- Mostafa, S.S.; Miller, W.M.; Papoutsakis, E.T. Oxygen tension influences the differentiation, maturation and apoptosis of human megakaryocytes. Br. J. Haematol. 2000, 111, 879–889. [Google Scholar] [CrossRef] [PubMed]
- Boilard, E.; Machlus, K.R. Location is everything when it comes to megakaryocyte function. J. Clin. Investig. 2021, 131, e144964. [Google Scholar] [CrossRef] [PubMed]
- Gelon, L.; Fromont, L.; Lefrançais, E. Occurrence and role of lung megakaryocytes in infection and inflammation. Front. Immunol. 2022, 13, 1029223. [Google Scholar] [CrossRef]
- Pariser, D.N.; Hilt, Z.T.; Ture, S.K.; Blick-Nitko, S.K.; Looney, M.R.; Cleary, S.J.; Roman-Pagan, E.; Saunders, J., 2nd; Georas, S.N.; Veazey, J.; et al. Lung megakaryocytes are immune modulatory cells. J. Clin. Investig. 2021, 131, e137377. [Google Scholar] [CrossRef] [PubMed]
- Valdivia-Mazeyra, M.F.; Salas, C.; Nieves-Alonso, J.M.; Martín-Fragueiro, L.; Bárcena, C.; Muñoz-Hernández, P.; Villar-Zarra, K.; Martín-López, J.; Ramasco-Rueda, F.; Fraga, J.; et al. Increased number of pulmonary megakaryocytes in COVID-19 patients with diffuse alveolar damage: An autopsy study with clinical correlation and review of the literature. Virchows Arch. 2021, 478, 487–496. [Google Scholar] [CrossRef] [PubMed]
- Flaumenhaft, R.; Enjyoji, K.; Schmaier, A.A. Vasculopathy in COVID-19. Blood 2022, 140, 222–235. [Google Scholar] [CrossRef]
- Jain, S.; Williams, D.J.; Arnold, S.R.; Ampofo, K.; Bramley, A.M.; Reed, C.; Stockmann, C.; Anderson, E.J.; Grijalva, C.G.; Self, W.H.; et al. Community-acquired pneumonia requiring hospitalization among U.S. children. N. Engl. J. Med. 2015, 372, 835–845. [Google Scholar] [CrossRef]
- Sloper, J.J.; Johnson, P.; Powell, T.P. Selective degeneration of interneurons in the motor cortex of infant monkeys following controlled hypoxia: A possible cause of epilepsy. Brain Res. 1980, 198, 204–209. [Google Scholar] [CrossRef] [PubMed]
- Krnjevic, K.; Phillis, J.W. Iontophoretic studies of neurones in the mammalian cerebral cortex. J. Physiol. 1963, 165, 274–304. [Google Scholar] [CrossRef]
- Ben-Ari, Y.; Cherubini, E.; Avoli, M. Krešimir Krnjević (1927–2021) and GABAergic inhibition: A lifetime dedication. Can. J. Physiol. Pharmacol. 2022, 100, 1–4. [Google Scholar] [CrossRef]
- Elliott, K.A. γ-aminobutyric acid and other inhibitory substances. Br. Med. Bull. 1965, 21, 70–75. [Google Scholar] [CrossRef] [PubMed]
- Tayah, T.; Savard, M.; Desbiens, R.; Nguyen, D.K. Ictal bradycardia and asystole in an adult with a focal left insular lesion. Clin. Neurol. Neurosurg. 2013, 115, 1885–1887. [Google Scholar] [CrossRef]
- van der Lende, M.; Surges, R.; Sander, J.W.; Thijs, R.D. Cardiac arrhythmias during or after epileptic seizures. J. Neurol. Neurosurg. Psychiatry 2016, 87, 69–74. [Google Scholar] [CrossRef] [PubMed]
- Gray, F.D., Jr.; Horner, G.J. Survival following extreme hypoxemia. JAMA 1970, 211, 1815–1817. [Google Scholar] [CrossRef] [PubMed]
- Sadove, M.S.; Yon, M.K.; Hollinger, P.H.; Johnston, K.S.; Phillips, F.L. Severe prolonged cerebral hypoxic episode with complete recovery. JAMA 1961, 175, 1102–1104. [Google Scholar] [CrossRef]
- Simon, R.P. Hypoxia versus ischemia. Neurology 1999, 52, 7–8. [Google Scholar] [CrossRef] [PubMed]
- Moriwaki, Y.; Tahara, Y.; Kosuge, T.; Suzuki, N. Etiology of out-of-hospital cardiac arrest diagnosed via detailed examinations including perimortem computed tomography. J. Emerg. Trauma. Shock 2013, 6, 87–94. [Google Scholar] [CrossRef] [PubMed]
- Kuisma, M.; Alaspää, A. Out-of-hospital cardiac arrests of non-cardiac origin. Epidemiology and outcome. Eur. Heart J. 1997, 18, 1122–1128. [Google Scholar] [CrossRef]
- Hoshino, T.; Fujiwara, H.; Kawai, C.; Hamashima, Y. Myocardial fiber diameter and regional distribution in the ventricular wall of normal adult hearts, hypertensive hearts and hearts with hypertrophic cardiomyopathy. Circulation 1983, 67, 1109–1116. [Google Scholar] [CrossRef] [PubMed]
- Dhont, S.; Derom, E.; Van Braeckel, E.; Depuydt, P.; Lambrecht, B.N. The pathophysiology of ’happy’ hypoxemia in COVID-19. Respir. Res. 2020, 21, 198. [Google Scholar] [CrossRef] [PubMed]
- Widysanto, A.; Wahyuni, T.D.; Simanjuntak, L.H.; Sunarso, S.; Siahaan, S.S.; Haryanto, H.; Pandrya, C.O.; Aritonang, R.C.A.; Sudirman, T.; Christina, N.M.; et al. Happy hypoxia in critical COVID-19 patient: A case report in Tangerang, Indonesia. Physiol. Rep. 2020, 8, e14619. [Google Scholar] [CrossRef] [PubMed]
- Ventura, F.; Bonsignore, A.; Gentile, R.; De Stefano, F. Two fatal cases of hidden pneumonia in young people. J. Forensic Sci. 2010, 55, 1380–1383. [Google Scholar] [CrossRef]
- Serbanescu-Kele Apor de Zalán, C.M.C.; Banwarie, R.P.; Banwari, K.D.; Panka, B.A. The unfriendly side of “happy hypoxaemia”: Sudden cardiac death. Pulmonology 2022, 28, 484–486. [Google Scholar] [CrossRef] [PubMed]
- Karadas, O.; Ozturk, B.; Sonkaya, A.R.; Duzgun, U.; Shafiyev, J.; Eskin, M.B.; Bostan, T.; Ozon, A.O. EEG changes in intensive care patients diagnosed with COVID-19: A prospective clinical study. Neurol. Sci. 2022, 43, 2277–2283. [Google Scholar] [CrossRef] [PubMed]
- Myers, K.A.; Farquhar, D.R. Improving the accuracy of death certification. CMAJ 1998, 158, 1317–1323. [Google Scholar]




Disclaimer/Publisher’s Note: The statements, opinions and data contained in all publications are solely those of the individual author(s) and contributor(s) and not of MDPI and/or the editor(s). MDPI and/or the editor(s) disclaim responsibility for any injury to people or property resulting from any ideas, methods, instructions or products referred to in the content. |
© 2025 by the authors. Licensee MDPI, Basel, Switzerland. This article is an open access article distributed under the terms and conditions of the Creative Commons Attribution (CC BY) license (https://creativecommons.org/licenses/by/4.0/).
Share and Cite
Meher, V.R.; Huntsman, R.J.; Green, F.H.Y.; Wooff, J.C.; Auer, R.N. Cause of Death Analysis in a 9½-Year-Old with COVID-19 and Dravet Syndrome. Pathophysiology 2025, 32, 3. https://doi.org/10.3390/pathophysiology32010003
Meher VR, Huntsman RJ, Green FHY, Wooff JC, Auer RN. Cause of Death Analysis in a 9½-Year-Old with COVID-19 and Dravet Syndrome. Pathophysiology. 2025; 32(1):3. https://doi.org/10.3390/pathophysiology32010003
Chicago/Turabian StyleMeher, Vedashree R., Richard J. Huntsman, Francis H. Y. Green, Jill C. Wooff, and Roland N. Auer. 2025. "Cause of Death Analysis in a 9½-Year-Old with COVID-19 and Dravet Syndrome" Pathophysiology 32, no. 1: 3. https://doi.org/10.3390/pathophysiology32010003
APA StyleMeher, V. R., Huntsman, R. J., Green, F. H. Y., Wooff, J. C., & Auer, R. N. (2025). Cause of Death Analysis in a 9½-Year-Old with COVID-19 and Dravet Syndrome. Pathophysiology, 32(1), 3. https://doi.org/10.3390/pathophysiology32010003

