Neuroendocrine Breast Cancer-Associated Ectopic Adrenocorticotropic Hormone Syndrome Requiring Bilateral Adrenalectomy †
Abstract
1. Introduction
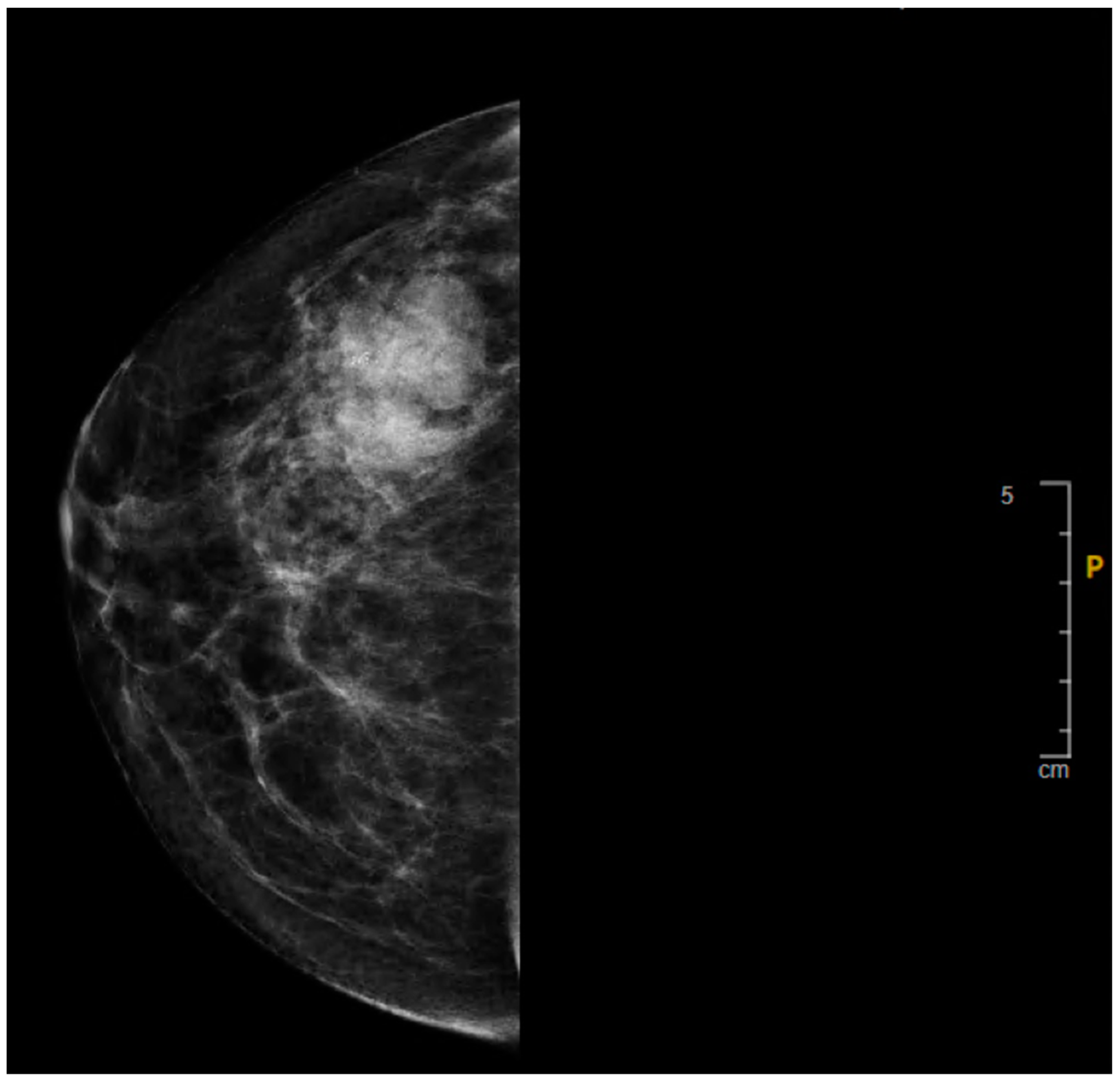
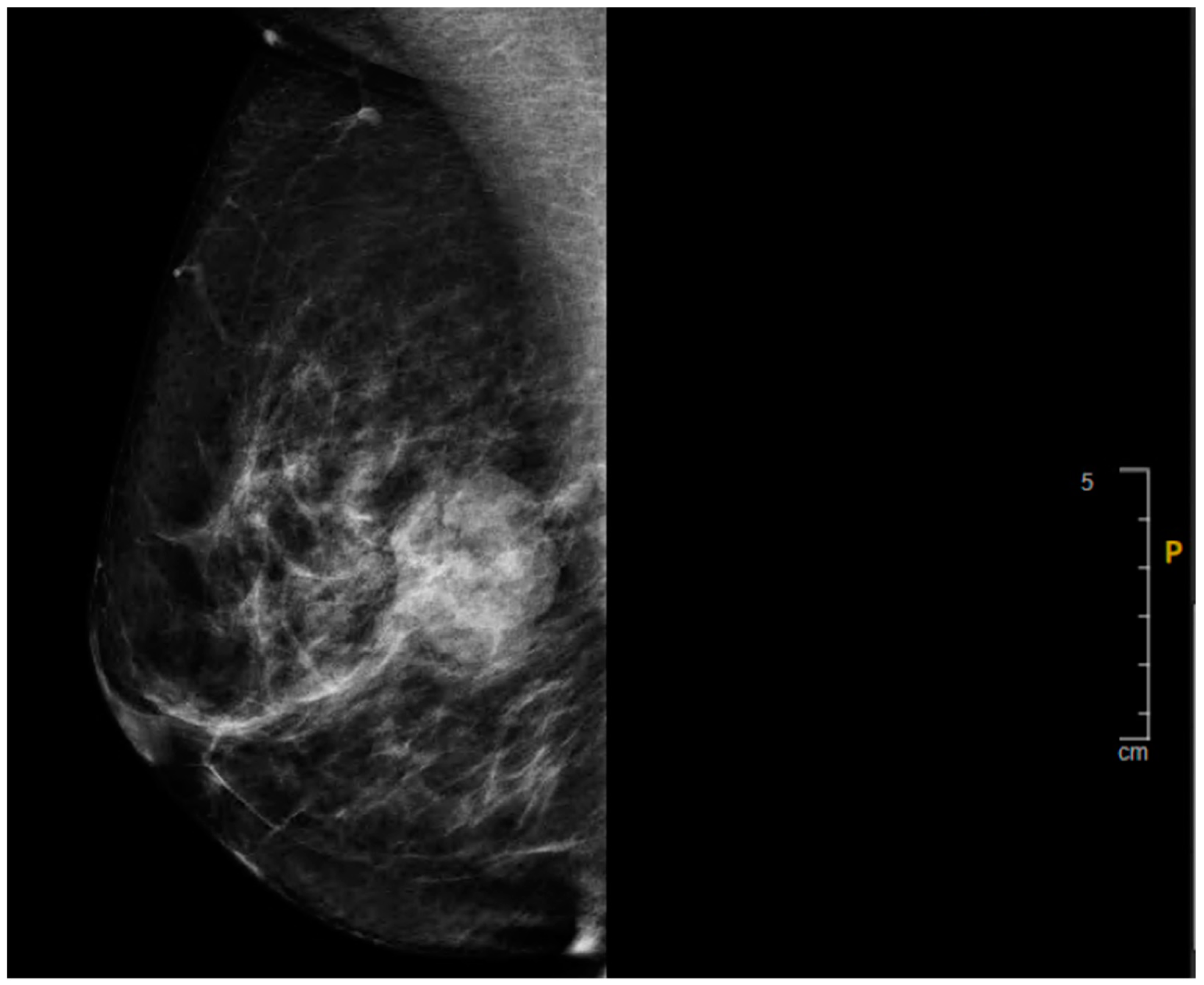
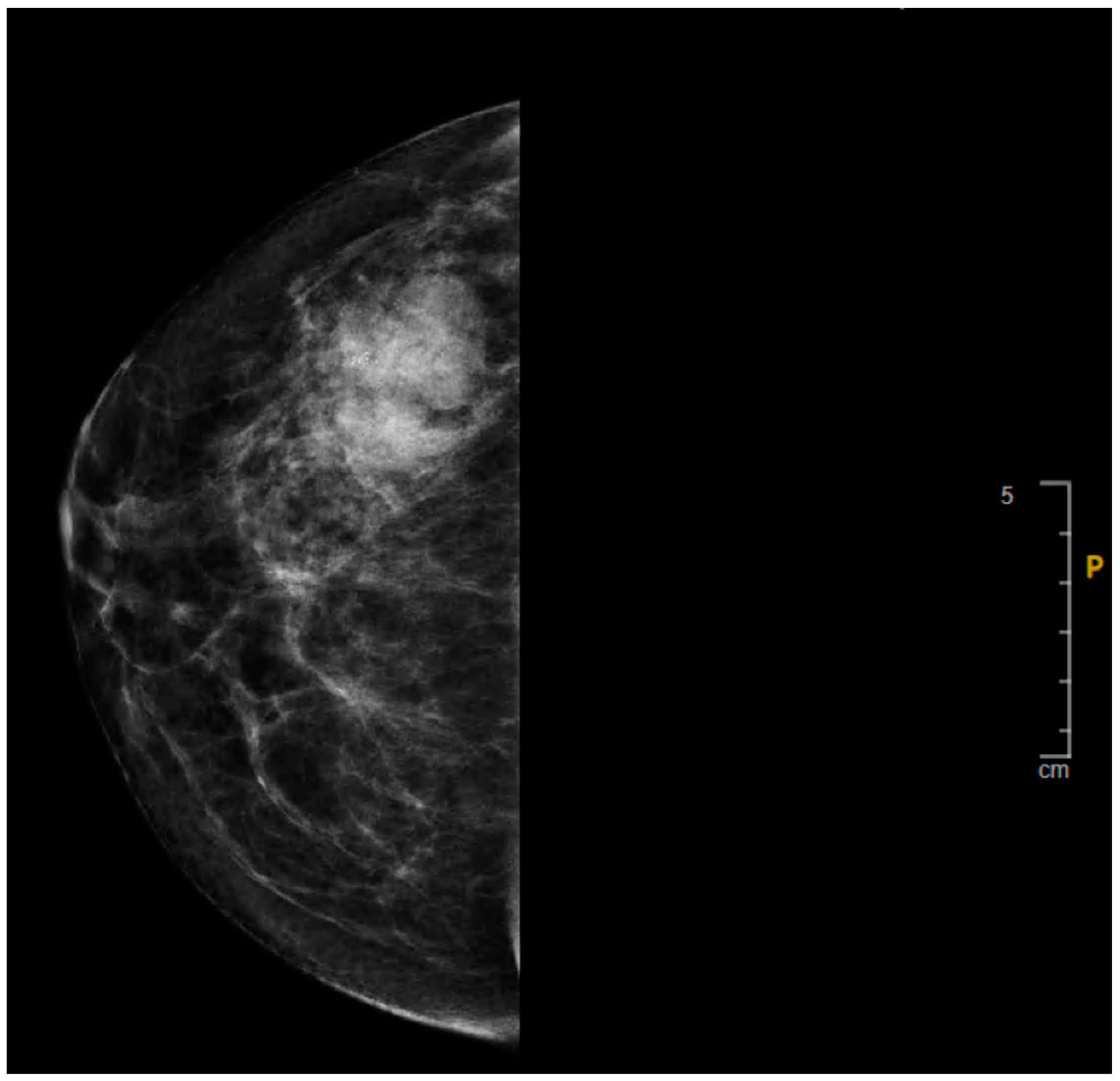
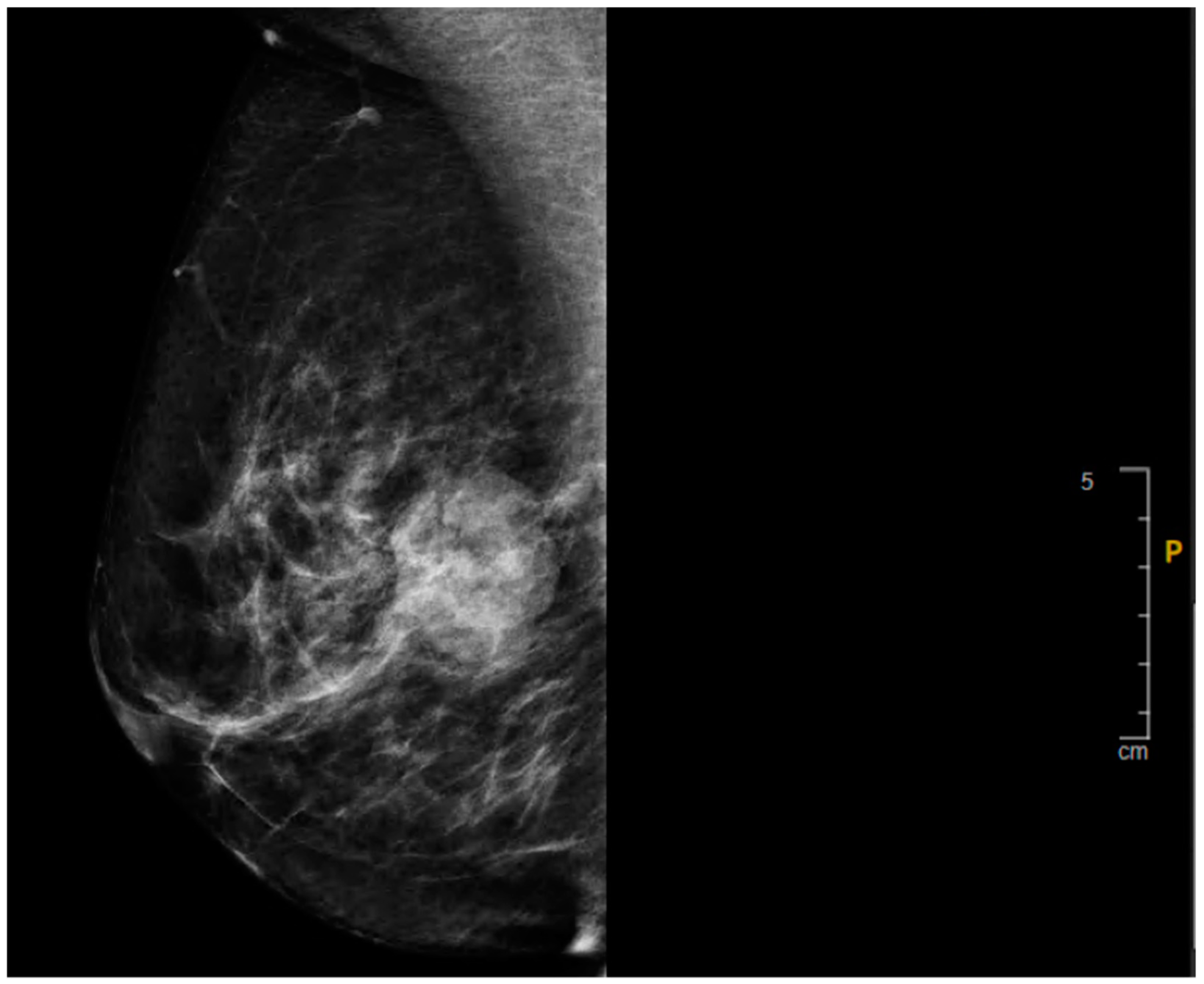
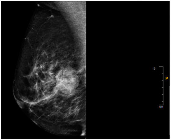
2. Case Report
3. Discussion
4. Conclusions
Author Contributions
Funding
Institutional Review Board Statement
Informed Consent Statement
Data Availability Statement
Conflicts of Interest
Abbreviations
| CS | Cushing’s Syndrome |
| ACTH | Adrenocorticotropic hormone |
| EAS | Ectopic adrenocorticotrophic hormone syndrome |
| POMC | Pro-opiomelanocortin |
| NETs | Neuroendocrine tumors |
| BNETs | Breast neuroendocrine tumors |
| NENs | Neuroendocrine neoplasms |
| WHO | World Health Organization |
| NECs | Neuroendocrine carcinomas |
| BI-RADS | Breast Imaging-Reporting and Data System |
| ER | Estrogen receptor |
| PR | Progesterone receptor |
| HER-2 | Human epidermal growth factor receptor 2 |
| CG | Chromogranin |
| PET-CT | Positron emission tomography–computed tomography |
| PSOGI | Peritoneal Surface Oncology Group |
| IDC | Invasive ductal carcinoma |
References
- Lacroix, A.; Feelders, R.A.; Stratakis, C.A.; Nieman, L.K. Cushing’s Syndrome. Lancet 2015, 386, 913–927. [Google Scholar] [CrossRef] [PubMed]
- Savas, M.; Mehta, S.; Agrawal, N.; van Rossum, E.F.C.; Feelders, R.A. Approach to the Patient: Diagnosis of Cushing Syndrome. J. Clin. Endocrinol. Metab. 2022, 107, 3162–3174. [Google Scholar] [CrossRef] [PubMed]
- Pappachan, J.M.; Hariman, C.; Edavalath, M.; Waldron, J.; Hanna, F.W. Cushing’s Syndrome: A Practical Approach to Diagnosis and Differential Diagnoses. J. Clin. Pathol. 2017, 70, 350–359. [Google Scholar] [CrossRef]
- Coulden, A.; Hamblin, R.; Wass, J.; Karavitaki, N. Cardiovascular Health and Mortality in Cushing’s Disease. Pituitary 2022, 25, 750–753. [Google Scholar] [CrossRef] [PubMed]
- Sharma, S.T.; Nieman, L.K.; Feelders, R.A. Cushing’s Syndrome: Epidemiology and Developments in Disease Management. Clin. Epidemiol. 2015, 7, 281–293. [Google Scholar] [CrossRef]
- Isidori, A.M.; Lenzi, A. Ectopic ACTH Syndrome. Arq. Bras. Endocrinol. Metab. 2007, 51, 1217–1225. [Google Scholar] [CrossRef]
- Ilias, I.; Torpy, D.J.; Pacak, K.; Mullen, N.; Wesley, R.A.; Nieman, L.K. Cushing’s Syndrome Due to Ectopic Corticotropin Secretion: Twenty Years’ Experience at the National Institutes of Health. J. Clin. Endocrinol. Metab. 2005, 90, 4955–4962. [Google Scholar] [CrossRef]
- Hayes, A.R.; Grossman, A.B. The Ectopic Adrenocorticotropic Hormone Syndrome: Rarely Easy, Always Challenging. Endocrinol. Metab. Clin. N. Am. 2018, 47, 409–425. [Google Scholar] [CrossRef]
- Ye, L.; Li, X.; Kong, X.; Wang, W.; Bi, Y.; Hu, L.; Cui, B.; Li, X.; Ning, G. Hypomethylation in the Promoter Region of POMC Gene Correlates with Ectopic Overexpression in Thymic Carcinoids. J. Endocrinol. 2005, 185, 337–343. [Google Scholar] [CrossRef]
- Wajchenberg, B.L.; Mendonça, B.B.; Liberman, B.; Pereira, M.A.A.; Kirschner, M.A. Ectopic ACTH Syndrome. J. Steroid Biochem. Mol. Biol. 1995, 53, 139–151. [Google Scholar] [CrossRef]
- Amsiguine, N.; Essaber, H.; Elbakkari, A.; Allioui, S.; Jerguigue, H.; Omor, Y.; Latib, R. Neuroendocrine Breast Carcinoma: The Importance of the Correlation between Histological and Radiological Findings. Radiol. Case Rep. 2023, 19, 489–492. [Google Scholar] [CrossRef] [PubMed]
- Sultana, Q.; Kar, J.; Verma, A.; Sanghvi, S.; Kaka, N.; Patel, N.; Sethi, Y.; Chopra, H.; Kamal, M.A.; Greig, N.H. A Comprehensive Review on Neuroendocrine Neoplasms: Presentation, Pathophysiology and Management. J. Clin. Med. 2023, 12, 5138. [Google Scholar] [CrossRef]
- Inno, A.; Bogina, G.; Turazza, M.; Bortesi, L.; Duranti, S.; Massocco, A.; Zamboni, G.; Carbognin, G.; Alongi, F.; Salgarello, M.; et al. Neuroendocrine Carcinoma of the Breast: Current Evidence and Future Perspectives. Oncologist 2016, 21, 28–32. [Google Scholar] [CrossRef]
- Tan, P.H.; Ellis, I.; Allison, K.; Brogi, E.; Fox, S.B.; Lakhani, S.; Lazar, A.J.; Morris, E.A.; Sahin, A.; Salgado, R.; et al. The 2019 World Health Organization Classification of Tumours of the Breast. Histopathology 2020, 77, 181–185. [Google Scholar] [CrossRef]
- Uchida, N.; Ishiguro, K.; Suda, T.; Horie, Y.; Nishimura, M. ACTH-Producing Breast Cancer: A Patient Report. Yonago Acta Med. 2010, 53, 71–75. [Google Scholar] [PubMed]
- Abu Khalaf, S.; Mansour, A.M.; Chela, H. Adrenocorticotropic Hormone-Producing Extrapulmonary Small Cell Carcinoma of the Breast. Cureus 2019, 11, e6488. [Google Scholar] [CrossRef] [PubMed]
- Isidori, A.M.; Kaltsas, G.A.; Pozza, C.; Frajese, V.; Newell-Price, J.; Reznek, R.H.; Jenkins, P.J.; Monson, J.P.; Grossman, A.B.; Besser, G.M. The Ectopic Adrenocorticotropin Syndrome: Clinical Features, Diagnosis, Management, and Long-Term Follow-Up. J. Clin. Endocrinol. Metab. 2006, 91, 371–377. [Google Scholar] [CrossRef]
- Foundation Medicine Expands Indication for FoundationOne®CDx as a Companion Diagnostic for Piqray® (alpelisib) | Foundation Medicine. Available online: https://www.foundationmedicine.com/press-releases/foundation-medicine-expands-indication-for-foundationone%C2%AEcdx-as-a-companion-diagnostic-for-piqray%C2%AE-%28alpelisib%29 (accessed on 18 February 2025).
- FDA Approves New FoundationOne®Liquid CDx Companion Diagnostic Indications for Three Targeted Therapies That Treat Advanced Ovarian, Breast and Non-Small Cell Lung Cancer | Foundation Medicine. Available online: https://www.foundationmedicine.com/press-releases/fda-approves-new-foundationone%C2%AEliquid-cdx-companion-diagnostic-indications-for-three-targeted-therapies-that-treat-advanced-ovarian%2C-breast-and-non-small-cell-lung-cancer (accessed on 18 February 2025).
- Gallo, M.; Campione, S.; Di Vito, V.; Fortunati, N.; Lo Calzo, F.; Messina, E.; Ruggeri, R.M.; Faggiano, A.; Colao, A.A.L. Primary Neuroendocrine Neoplasms of the Breast: Still Open Issues. Front. Endocrinol. 2021, 11, 610230. [Google Scholar] [CrossRef]
- Martinez, E.O.; Jorns, J.M.; Kong, A.L.; Kijak, J.; Lee, W.-Y.; Huang, C.-C.; Cortina, C.S. Primary Breast Neuroendocrine Tumors: An Analysis of the National Cancer Database. Ann. Surg. Oncol. 2022, 29, 6339–6346. [Google Scholar] [CrossRef]
- Kaneko, H.; Hojo, H.; Ishikawa, S.; Yamanouchi, H.; Sumida, T.; Saito, R. Norepinephrine-Producing Tumors of Bilateral Breasts: A Case Report. Cancer 1978, 41, 2002–2007. [Google Scholar] [CrossRef]
- Coombes, R.C.; Easty, G.C.; Detre, S.I.; Hillyard, C.J.; Stevens, U.; Girgis, S.I.; Galante, L.S.; Heywood, L.; Macintyre, I.; Neville, A.M. Secretion of Immunoreactive Calcitonin by Human Breast Carcinomas. Br. Med. J. 1975, 4, 197–199. [Google Scholar] [CrossRef] [PubMed][Green Version]
- Zheng, F.; Chen, A.C.; Berger, D.; Yeh, M.W.; Goldstein, J.D.; Wong, S.; Livhits, M.J. Metastatic Adrenocorticotropic Hormone-Secreting Breast Cancer Treated with Bilateral Adrenalectomy. AACE Clin. Case Rep. 2018, 4, e402–e406. [Google Scholar] [CrossRef]
- Lai, B.S.; Tsang, J.Y.; Poon, I.K.; Shao, Y.; Chan, S.; Tam, F.K.; Cheung, S.; Shea, K.; Tse, G.M. The Clinical Significance of Neuroendocrine Features in Invasive Breast Carcinomas. Oncologist 2020, 25, e1318–e1329. [Google Scholar] [CrossRef]
- Wei, B.; Ding, T.; Xing, Y.; Wei, W.; Tian, Z.; Tang, F.; Abraham, S.; Nayeemuddin, K.; Hunt, K.; Wu, Y. Invasive Neuroendocrine Carcinoma of the Breast. Cancer 2010, 116, 4463–4473. [Google Scholar] [CrossRef] [PubMed]
- Wang, J.; Wei, B.; Albarracin, C.T.; Hu, J.; Abraham, S.C.; Wu, Y. Invasive Neuroendocrine Carcinoma of the Breast: A Population-Based Study from the Surveillance, Epidemiology and End Results (SEER) Database. BMC Cancer 2014, 14, 147. [Google Scholar] [CrossRef]
- Özdirik, B.; Kayser, A.; Ullrich, A.; Savic, L.J.; Reiss, M.; Tacke, F.; Wiedenmann, B.; Jann, H.; Roderburg, C. Primary Neuroendocrine Neoplasms of the Breast: Case Series and Literature Review. Cancers 2020, 12, 733. [Google Scholar] [CrossRef]
- Rosen, L.E.; Gattuso, P. Neuroendocrine Tumors of the Breast. Arch. Pathol. Lab. Med. 2017, 141, 1577–1581. [Google Scholar] [CrossRef]
- Das, S.; Al-Toubah, T.; Strosberg, J. Chemotherapy in Neuroendocrine Tumors. Cancers 2021, 13, 4872. [Google Scholar] [CrossRef]
- Nieman, L.K.; Biller, B.M.; Findling, J.W.; Murad, M.H.; Newell-Price, J.; Savage, M.O.; Tabarin, A.; Endocrine Society. Treatment of Cushing’s Syndrome: An Endocrine Society Clinical Practice Guideline. J. Clin. Endocrinol. Metab. 2015, 100, 2807–2831. [Google Scholar] [CrossRef]
- Young, J.; Haissaguerre, M.; Viera-Pinto, O.; Chabre, O.; Baudin, E.; Tabarin, A. MANAGEMENT OF ENDOCRINE DISEASE: Cushing’s Syndrome Due to Ectopic ACTH Secretion: An Expert Operational Opinion. Eur. J. Endocrinol. 2020, 182, R29–R58. [Google Scholar] [CrossRef]
- Nieman, L.K. Medical Therapy of Cushing’s Disease. Pituitary 2002, 5, 77–82. [Google Scholar] [CrossRef] [PubMed]
- Han, J.Y.; Mirsadraei, L.; Yeh, M.W.; Suh, J.D.; Yong, W.H.; Bergsneider, M.; Heaney, A.P. Bilateral Adrenalectomy: Lifesaving Procedure in Severe Cushing Syndrome. Endocr. Pract. 2012, 18, e85–e90. [Google Scholar] [CrossRef] [PubMed]
- Hickey, K.; Yaremko, H.; Orr, C.; Pace, D. Neuroendocrine Breast Cancer-Associated Ectopic Adrenocorticotropic Hormone Syndrome Requiring Bilateral Adrenalectomy. In Proceedings of the Canadian Association of General Surgeons—Canadian Surgery Forum Conference, Winnipeg, MB, Canada, 25–28 September 2024. [Google Scholar]








Disclaimer/Publisher’s Note: The statements, opinions and data contained in all publications are solely those of the individual author(s) and contributor(s) and not of MDPI and/or the editor(s). MDPI and/or the editor(s) disclaim responsibility for any injury to people or property resulting from any ideas, methods, instructions or products referred to in the content. |
© 2025 by the authors. Licensee MDPI, Basel, Switzerland. This article is an open access article distributed under the terms and conditions of the Creative Commons Attribution (CC BY) license (https://creativecommons.org/licenses/by/4.0/).
Share and Cite
Hickey, K.; Yaremko, H.; Orr, C.; Pace, D. Neuroendocrine Breast Cancer-Associated Ectopic Adrenocorticotropic Hormone Syndrome Requiring Bilateral Adrenalectomy. Curr. Oncol. 2025, 32, 205. https://doi.org/10.3390/curroncol32040205
Hickey K, Yaremko H, Orr C, Pace D. Neuroendocrine Breast Cancer-Associated Ectopic Adrenocorticotropic Hormone Syndrome Requiring Bilateral Adrenalectomy. Current Oncology. 2025; 32(4):205. https://doi.org/10.3390/curroncol32040205
Chicago/Turabian StyleHickey, Kala, Hannah Yaremko, Christine Orr, and David Pace. 2025. "Neuroendocrine Breast Cancer-Associated Ectopic Adrenocorticotropic Hormone Syndrome Requiring Bilateral Adrenalectomy" Current Oncology 32, no. 4: 205. https://doi.org/10.3390/curroncol32040205
APA StyleHickey, K., Yaremko, H., Orr, C., & Pace, D. (2025). Neuroendocrine Breast Cancer-Associated Ectopic Adrenocorticotropic Hormone Syndrome Requiring Bilateral Adrenalectomy. Current Oncology, 32(4), 205. https://doi.org/10.3390/curroncol32040205

