Compartmentalization of High Infratemporal Fossa in Oral Cavity Squamous Cell Carcinomas and Its Impact on Clinical Outcome
Abstract
1. Introduction
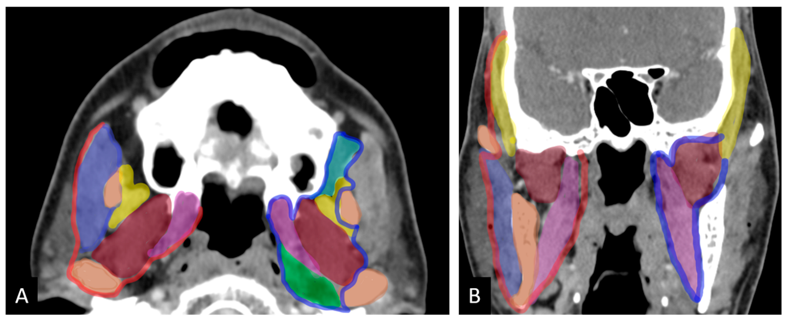
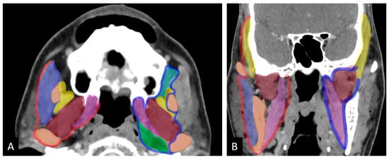
- Compartment 1: Low ITF (medial pterygoid)
- Compartment 2: Anterior high ITF (retroantral fat)
- Compartment 3: Posterior high ITF
- ○
- Compartment 3a: Paramandibular compartment (paramandibular fat/temporalis)
- ○
- Compartment 3b: Muscle compartment (lateral pterygoid)
- ○
- Compartment 3c: Perineural compartment (PPF/PMF).
2. Materials and Methods
2.1. Study Population
2.2. Imaging Analysis
- Compartment 1: Loss of fat planes with medial pterygoid.
- Compartment 2: Tumor extension into the high retroantral space, manifesting as mass or fat stranding.
- Compartment 3a: Loss of fat planes with temporalis muscle above the sigmoid notch or increased temporalis bulk with associated paramandibular soft tissue involvement.
- Compartment 3b: Loss of fat planes with lateral pterygoid muscle.
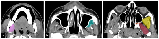
- Compartment 3c: Tumor extension into the pterygomaxillary fissure or pterygopalatine fossa.
- Epicenter of tumor;
- Size;
- Depth of invasion;
- Soft tissue extent: Retromolar trigone (RMT), gingivolingual sulcus, tongue, floor of mouth, masseter muscle, masticator space, medial pterygoid, low anterior retroantral fat, infratemporal fossa, extension into high infratemporal fossa, high anterior retroantral fat, temporalis muscle, lateral pterygoid, pterygomaxillary fissure, pterygopalatine fossa, condylar fossa, and intracranial extension.
- Cortical break adjacent to the tumor mass was considered malignant erosion.
- Contiguous trabecular destruction was defined as marrow invasion.
- Canal invasion: Tumor reaching into the canal with a breach of the bony canal wall, regarded as perineural spread along the inferior alveolar nerve.
- Perineural spread: Obliteration of fat or excessive enhancement within the mandibular foramen or foramen ovale, with or without widening or erosion of the foramen.
2.3. Statistical Analysis
3. Results
3.1. Patient Characteristics
3.2. Subcompartmentalization and Impact on Response to NACT
3.3. Subcompartmentalization and Impact on Management
3.4. Subcompartmentalization and Impact on Progression Free Survival
4. Discussion
5. Conclusions
Author Contributions
Funding
Institutional Review Board Statement
Informed Consent Statement
Data Availability Statement
Conflicts of Interest
References
- Sankaranarayanan, R.; Swaminathan, R.; Brenner, H.; Chen, K.; Chia, K.S.; Chen, J.G.; Law, S.C.K.; Ahn, Y.-O.; Xiang, Y.B.; Yeole, B.B.; et al. Cancer Survival in Africa, Asia, and Central America: A Population-Based Study. Lancet Oncol. 2010, 11, 165–173. [Google Scholar] [CrossRef]
- Pathak, K.A.; Shah, B.C. Marginal Mandibulectomy: 11 Years of Institutional Experience. J. Oral Maxillofac. Surg. Off. J. Am. Assoc. Oral Maxillofac. Surg. 2009, 67, 962–967. [Google Scholar] [CrossRef] [PubMed]
- Mahajan, A.; Agarwal, U.; Pg, N.; Vaish, R.; Shukla, S.; Sahu, A.; Bhalla, A.S.; Patil, V.; Ankathi, S.K.; Laskar, S.G.; et al. Imaging Recommendations for Diagnosis, Staging, and Management of Oral Cancer. Indian J. Med. Paediatr. Oncol. 2023, 44, 150–158. [Google Scholar] [CrossRef]
- Mahajan, A.; Agarwal, U.; Gupta, A.; Shukla, S.; Ashtekar, R.; Shah, P.; Sable, N.; Ankathi, S.K.; Ahuja, A.; Noronha, V.; et al. Synoptic Reporting in Head and Neck Cancers— Head and Neck Cancer Imaging Reporting and Data Systems (HN-CIRADS): The Journey Ahead for Standardization of Imaging in Head and Neck Cancer Staging. Cancer Res. Stat. Treat. 2022, 5, 322. [Google Scholar] [CrossRef]
- Mahajan, A.; Agarwal, U.; Patil, V.M.; Patil, V.; Vaish, R.; Noronha, V.; D’ Cruz, A.K.; Pankaj Chaturvedi, S.S.; Laskar, S.G.; Sable, N.; et al. Proposed Sub-Compartmentalization of High Infratemporal Fossa Involvement in Gingivobuccal Cancers and Its Impact on Clinical Outcome and Staging: A Narrative Review. Cancer Res. Stat. Treat. 2022, 5, 269. [Google Scholar] [CrossRef]
- Applied Radiology. A Simplified Approach to the Spaces of the Suprahyoid Neck. Available online: https://appliedradiology.com/articles/a-simplified-approach-to-the-spaces-of-the-suprahyoid-neck (accessed on 24 November 2024).
- Mahajan, A.; Ahuja, A.; Sable, N.; Stambuk, H.E. Imaging in Oral Cancers: A Comprehensive Review. Oral Oncol. 2020, 104, 104658. [Google Scholar] [CrossRef] [PubMed]
- Tart, R.P.; Kotzur, I.M.; Mancuso, A.A.; Glantz, M.S.; Mukherji, S.K. CT and MR Imaging of the Buccal Space and Buccal Space Masses. Radiographics 1995, 15, 531–550. [Google Scholar] [CrossRef]
- Chaukar, D.A.; Dandekar, M.; Kane, S.; Arya, S.; Purandare, N.; Rangarajan, V.; D’Cruz, A.K. Invasion of the Mandible in Gingivobuccal Complex Cancers: Histopathological Analysis of Routes of Tumour Entry and Correlation with Preoperative Assessment. Oral Oncol. 2018, 86, 181–187. [Google Scholar] [CrossRef]
- Trivedi, N.P.; Kekatpure, V.D.; Shetkar, G.; Gangoli, A.; Kuriakose, M.A. Pathology of Advanced Buccal Mucosa Cancer Involving Masticator Space (T4b). Indian J. Cancer 2015, 52, 611. [Google Scholar] [CrossRef] [PubMed]
- Patil, V.M.; Noronha, V.; Joshi, A.; Muddu, V.K.; Gulia, S.; Bhosale, B.; Arya, S.; Juvekar, S.; Chatturvedi, P.; Chaukar, D.A.; et al. Induction Chemotherapy in Technically Unresectable Locally Advanced Oral Cavity Cancers: Does It Make a Difference? Indian J. Cancer 2013, 50, 1–8. [Google Scholar] [CrossRef]
- Patil, V.M.; Prabhash, K.; Noronha, V.; Joshi, A.; Muddu, V.; Dhumal, S.; Arya, S.; Juvekar, S.; Chaturvedi, P.; Chaukar, D.; et al. Neoadjuvant Chemotherapy Followed by Surgery in Very Locally Advanced Technically Unresectable Oral Cavity Cancers. Oral Oncol. 2014, 50, 1000–1004. [Google Scholar] [CrossRef] [PubMed]
- Noronha, V.; Dhanawat, A.; Patil, V.M.; Menon, N.; Singh, A.K.; Chaturvedi, P.; Pai, P.; Chaukar, D.; Laskar, S.G.; Prabhash, K. Long-Term Outcomes of Neo-Adjuvant Chemotherapy on Borderline Resectable Oral Cavity Cancers: Real-World Data of 3266 Patients and Implications for Clinical Practice. Oral Oncol. 2024, 148, 106633. [Google Scholar] [CrossRef] [PubMed]
- Singh, A.; Patil, V.M.; Noronha, V.; Menon, N.S.; Chaturvedi, P.; Mathrudev, V.; Bhattacharjee, A.; Chopade, S.R.; Srinivas, S.; Roy, S.; et al. Phase 3 Randomized Study Comparing Docetaxel-Platinum with Docetaxel-Platinum-5 Fluorouracil as Neoadjuvant Chemotherapy in Technically Unresectable Oral Cancer. J. Clin. Oncol. 2022, 40, 6013. [Google Scholar] [CrossRef]
- Liao, C.-T.; Chang, J.T.-C.; Wang, H.-M.; Ng, S.-H.; Hsueh, C.; Lee, L.-Y.; Lin, C.H.; Chen, I.-H.; Kang, C.-J.; Huang, S.-F.; et al. Surgical Outcome of T4a and Resected T4b Oral Cavity Cancer. Cancer 2006, 107, 337–344. [Google Scholar] [CrossRef] [PubMed]
- Liao, C.-T.; Lee, L.-Y.; Hsueh, C.; Lin, C.-Y.; Fan, K.-H.; Wang, H.-M.; Ng, S.-H.; Lin, C.-H.; Tsao, C.-K.; Chen, I.-H.; et al. Comparative Outcomes in Oral Cavity Cancer with Resected pT4a and pT4b. Oral Oncol. 2013, 49, 230–236. [Google Scholar] [CrossRef] [PubMed]
- Mohiyuddin, S.M.A.; Harsha, P.; Maruvala, S.; Sumanth, K.R.; Suresh, T.N.; Manjunath, G.N.; Sagayaraj, A.; Mohammadi, K.; Babu, A.P.; Deo, R.P. Outcome of Compartment Resection of Locally Advanced Oral Cancers Extending to Infratemporal Fossa: A Tertiary Rural Hospital Experience. Eur. Arch. Otorhinolaryngol. 2018, 275, 2843–2850. [Google Scholar] [CrossRef] [PubMed]
- Kumar, A.; Singh, R.; Santhosh, M.; Vijay, S.; Surendran, N.; Sahu, G.C.; George, N.; Nair, R.; Sithara, A.; Aswathi, K.; et al. Role of Structures in the Masticator Space in Selecting Patients with Resectable T4b Oral Cancer: Findings from a Survival Analysis. Int. J. Oral Maxillofac. Surg. 2021, 50, 579–584. [Google Scholar] [CrossRef]
- Borges, A.; Casselman, J. Imaging the Cranial Nerves: Part II: Primary and Secondary Neoplastic Conditions and Neurovascular Conflicts. Eur. Radiol. 2007, 17, 2332–2344. [Google Scholar] [CrossRef] [PubMed]
- Fujii, H.; Fujita, A.; Yang, A.; Kanazawa, H.; Buch, K.; Sakai, O.; Sugimoto, H. Visualization of the Peripheral Branches of the Mandibular Division of the Trigeminal Nerve. AJNR Am. J. Neuroradiol. 2015, 36, 1333–1337. [Google Scholar] [CrossRef]
- Casselman, J.; Mermuys, K.; Delanote, J.; Ghekiere, J.; Coenegrachts, K. MRI of the Cranial Nerves—More Than Meets the Eye. Neuroimaging Clin. N. Am. 2008, 18, 197–231. [Google Scholar] [CrossRef]
- Van der Cruyssen, F.; Croonenborghs, T.M.; Hermans, R.; Jacobs, R.; Casselman, J. 3D Cranial Nerve Imaging, a Novel MR Neurography Technique. AJNR Am. J. Neuroradiol. 2021, 42, 578–580. [Google Scholar] [CrossRef]
- Van der Cruyssen, F.; Croonenborghs, T.M.; Renton, T.; Hermans, R.; Politis, C.; Jacobs, R.; Casselman, J. Magnetic Resonance Neurography of the Head and Neck: State of the Art. Br. J. Radiol. 2021, 94, 20200798. [Google Scholar] [CrossRef]
- Casselman, J.; Van der Cruyssen, F.; Vanhove, F.; Peeters, R.; Hermans, R.; Politis, C.; Jacobs, R. 3D CRANI, a novel MR neurography sequence, can reliable visualise the extraforaminal cranial and occipital nerves. Eur. Radiol. 2023, 33, 2861–2870. [Google Scholar] [CrossRef]





| Patient Characteristics | ||
|---|---|---|
| Clinical Variables | Number (n) | Percentage (%) |
| 1. Gender | ||
| Male | 139 | 90.3 |
| Female | 15 | 9.7 |
| 2. Age (years, median) | ||
| Age > 40 years | 104 | 67.5 |
| Age < 40 years | 50 | 32.5 |
| 3. Sites of primary tumor | ||
| Right buccal mucosa | 71 | 46.1 |
| Left buccal mucosa | 70 | 45.5 |
| Alveolus | 11 | 7.1 |
| Retromolar trigone | 2 | 1.3 |
| 4. T stage | ||
| Low ITF (Compartment 1) | 79 | 55.6 |
| High ITF | 63 | 40.9 |
| Compartment 2 | 26 | 41.2 |
| Compartment 3a | 17 | 26.9 |
| Compartment 3b | 11 | 17.4 |
| Compartment 3c | 9 | 14 |
| 5. rDepth of invasion (rDOI) | ||
| More than 10 mm | 92 | 59.7 |
| Less than 10 mm | 62 | 40.3 |
| 6. rPerineural spread(rPNI) | ||
| Yes | 41 | 26.6 |
| No | 113 | 73.4 |
| 7 Radiological skin involvement | ||
| Yes | 58 | 37.7 |
| No | 96 | 62.3 |
| 8. Radiological nodal metastasis | ||
| rN3b | 66 | 42.9 |
| rOther N stages | 88 | 47.1 |
| 9. Chemotherapy arm | ||
| DC-arm | 82 | 53.2 |
| DCF-arm | 72 | 46.8 |
| 10. Response | ||
| Stable disease | 84 | 56 |
| Partial response | 37 | 24.6 |
| Progressive disease | 29 | 19.3 |
| 11. Surgery | ||
| Yes | 61 | 40.9 |
| No | 89 | 59.7 |
| 12. Histopathological Characteristics | ||
| Margins negative | 61 | 100 |
| Perineural invasion | 12 | 19.6 |
| Lymphovascular invasion | 04 | 6.5 |
| Positive nodes | 35 | 57.3 |
| Extracapsular extension | 25 | 40.9 |
| Poor grade | 14 | 22.9 |
| 13. Radiotherapy received | 83 | 55.3 |
| Adjuvant | 61 | 73.4 |
| Definitive | 7 | 8.4 |
| Palliative | 15 | 18 |
| 14. Palliative chemotherapy received | 55 | 36.6 |
| 15. Progression | 58 | 37.6 |
| Locoregional | 55 | 94.8 |
| Distant | 3 | 5.2 |
| 16. Deaths | 29 | 18.8 |
| Compartment Wise Response to NACT and Surgical Resection | |||||
|---|---|---|---|---|---|
| Compartment | Total Cases | SD | PR | PD | Surgery |
| Compartment 1 | 77 | 38 (49.3%) | 23 (29.8%) | 17 (22%) | 37 (48%) |
| Compartment 2 | 26 | 16 (61.5%) | 7 (26.9%) | 2 (7.6%) | 11 (42.3%) |
| Compartment 3a | 17 | 10 (58.8%) | 4 (23.5%) | 3 (17.6%) | 5 (29.4%) |
| Compartment 3b | 11 | 8 (72.7%) | 1 (9%) | 2 (18.1%) | 3 (27.2%) |
| Compartment 3c | 9 | 4 (44.4%) | 0 (0%) | 5 (55.5%) | 0 (0%) |
| Compartment | Response to NACT | Total | p-Value | |
|---|---|---|---|---|
| Stable Response and Partial Response | Disease Progression | |||
| Compartment 2 | 92.3% (24) | 7.7% (2) | 100% (26) | 0.047 |
| Compartment 3a | 82.4% (14) | 17.6% (3) | 100% (17) | 0.332 |
| Compartment 3b | 81.8% (9) | 18.2% (2) | 100% (11) | 0.361 |
| Compartment 3c | 44.4% (4) | 55.6% (5) | 100% (9) | 0.007 |
| Total | 81% (51) | 19% (12) | 100% (63) |
| Compartment Wise Management Post NACT | |||||
|---|---|---|---|---|---|
| Compartment | Total Cases | Surgery + Adjuvant RT | Definitive RT | Palliative RT | Palliative Chemo |
| Compartment 1 | 77 | 37 (48%) | 2 (2.5%) | 8 (10.3%) | 25 (32.4%) |
| Compartment 2 | 26 | 11 (42.3%) | 2 (7.6%) | 1 (3.8%) | 11 (42.3%) |
| Compartment 3a | 17 | 5 (29.4%) | 0 (0%) | 2 (11.7%) | 6 (35.2%) |
| Compartment 3b | 11 | 3 (27.2%) | 2 (18.1%) | 2 (18.1%) | 2(18.1%) |
| Compartment 3c | 9 | 0 (0%) | 1 (11.1%) | 1 (11.1%) | 7 (77.7%) |
| Progression Free Survival (Compartment Wise) | |||||
|---|---|---|---|---|---|
| HR | 95.0% CI for Exp(B) | p Value | |||
| Lower | Upper | ||||
| Compartment 1 vs. Compartment 2 | Compartment 1 | ||||
| Compartment 2 | 0.852 | 0.386 | 1.882 | 0.685 | |
| Compartment 1 vs. Compartment 2 vs. Compartment 3 | Compartment 1 | ||||
| Compartment 2 | 0.854 | 0.387 | 1.886 | 0.696 | |
| Compartment 3 | 1.888 | 1.052 | 3.388 | 0.033 | |
| Compartment 2 vs. Compartment 3 | Compartment 2 | ||||
| Compartment 3 | 2.368 | 1.038 | 5.402 | 0.040 | |
Disclaimer/Publisher’s Note: The statements, opinions and data contained in all publications are solely those of the individual author(s) and contributor(s) and not of MDPI and/or the editor(s). MDPI and/or the editor(s) disclaim responsibility for any injury to people or property resulting from any ideas, methods, instructions or products referred to in the content. |
© 2025 by the authors. Licensee MDPI, Basel, Switzerland. This article is an open access article distributed under the terms and conditions of the Creative Commons Attribution (CC BY) license (https://creativecommons.org/licenses/by/4.0/).
Share and Cite
Mahajan, A.; Agarwal, U.; Ashtekar, R.M.; Chakrabarty, N.; Vaish, R.; Patil, V.M.; Noronha, V.; Menon, N.; Smriti, V.; Agarwal, J.P.; et al. Compartmentalization of High Infratemporal Fossa in Oral Cavity Squamous Cell Carcinomas and Its Impact on Clinical Outcome. Curr. Oncol. 2025, 32, 99. https://doi.org/10.3390/curroncol32020099
Mahajan A, Agarwal U, Ashtekar RM, Chakrabarty N, Vaish R, Patil VM, Noronha V, Menon N, Smriti V, Agarwal JP, et al. Compartmentalization of High Infratemporal Fossa in Oral Cavity Squamous Cell Carcinomas and Its Impact on Clinical Outcome. Current Oncology. 2025; 32(2):99. https://doi.org/10.3390/curroncol32020099
Chicago/Turabian StyleMahajan, Abhishek, Ujjwal Agarwal, Renuka M. Ashtekar, Nivedita Chakrabarty, Richa Vaish, Vijay Maruti Patil, Vanita Noronha, Nandini Menon, Vasundhara Smriti, Jai Prakash Agarwal, and et al. 2025. "Compartmentalization of High Infratemporal Fossa in Oral Cavity Squamous Cell Carcinomas and Its Impact on Clinical Outcome" Current Oncology 32, no. 2: 99. https://doi.org/10.3390/curroncol32020099
APA StyleMahajan, A., Agarwal, U., Ashtekar, R. M., Chakrabarty, N., Vaish, R., Patil, V. M., Noronha, V., Menon, N., Smriti, V., Agarwal, J. P., Ghosh-Laskar, S., D’Cruz, A. K., Chaturvedi, P., Pai, P., Patil, A., Bal, M., Rane, S., Mittal, N., & Prabhash, K. (2025). Compartmentalization of High Infratemporal Fossa in Oral Cavity Squamous Cell Carcinomas and Its Impact on Clinical Outcome. Current Oncology, 32(2), 99. https://doi.org/10.3390/curroncol32020099

