Factors that Affect Outcome of Ultrasound-Guided Radiofrequency Ablation of Renal Masses
Abstract
1. Introduction
2. Materials and Methods
2.1. Patient Selection and Tumor Characteristics
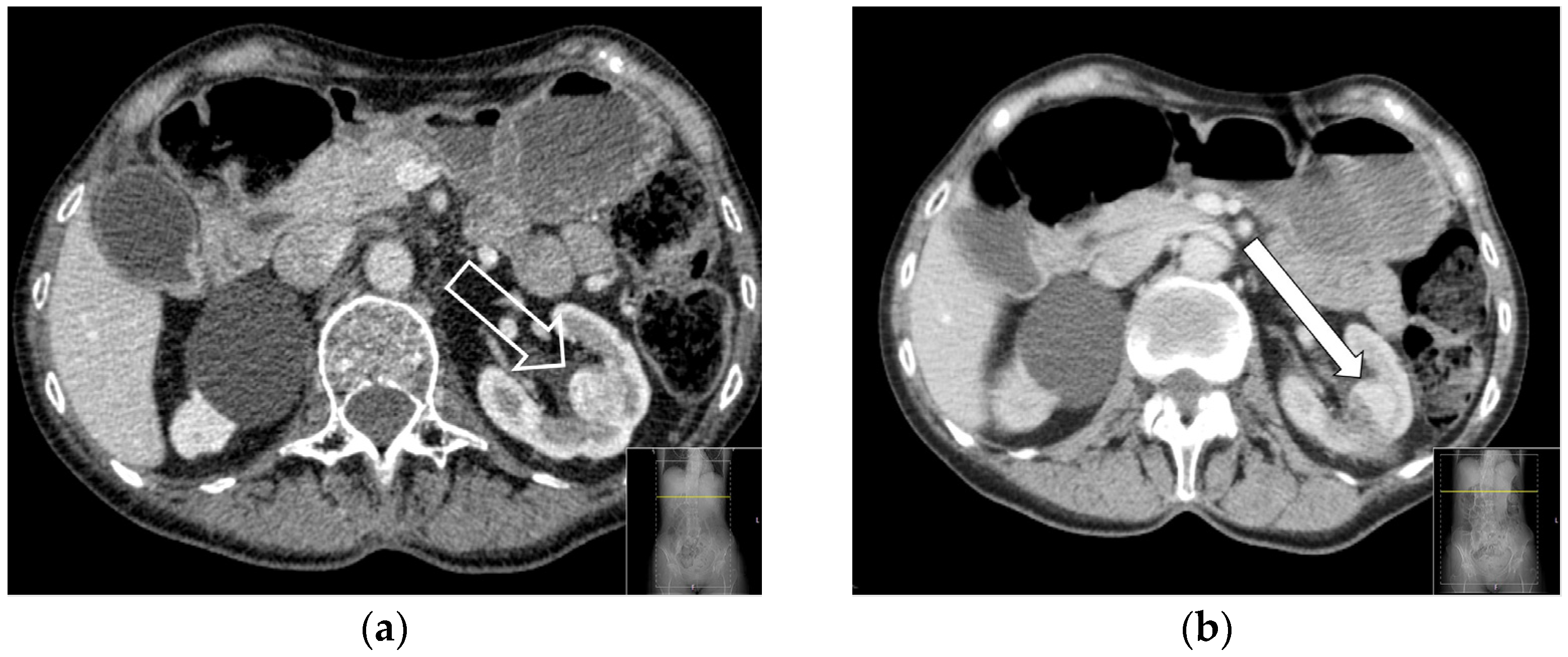
2.2. RFA—Technical Aspects
2.3. Follow-Up
2.4. Data Analysis and Statistics
3. Results
3.1. Renal Tumors’ Histology
3.2. Ablation Temperature
3.3. Technical Difficulties during the Procedure
3.4. Complications
3.5. Efficacy and Local Tumor Progression
3.6. Factors Influencing the Outcome
4. Discussion
5. Conclusions
Supplementary Materials
Author Contributions
Funding
Institutional Review Board Statement
Informed Consent Statement
Data Availability Statement
Acknowledgments
Conflicts of Interest
References
- Guðmundsson, E.; Hellborg, H.; Lundstam, S.; Erikson, S.; Ljungberg, B. Swedish Kidney Cancer Quality Register Group Metastatic Potential in Renal Cell Carcinomas ≤7 Cm: Swedish Kidney Cancer Quality Register Data. Eur. Urol. 2011, 60, 975–982. [Google Scholar] [CrossRef] [PubMed]
- Almdalal, T.; Karlsson Rosenblad, A.; Hellström, M.; Kjellman, A.; Lindblad, P.; Lundstam, S.; Sundqvist, P.; Ljungberg, B. Predictive Characteristics for Disease Recurrence and Overall Survival in Non-Metastatic Clinical T1 Renal Cell Carcinoma—Results from the National Swedish Kidney Cancer Register. Scand. J. Urol. 2023, 57, 67–74. [Google Scholar] [CrossRef] [PubMed]
- Ljungberg, B.; Albiges, L.; Abu-Ghanem, Y.; Bedke, J.; Capitanio, U.; Dabestani, S.; Fernández-Pello, S.; Giles, R.H.; Hofmann, F.; Hora, M.; et al. European Association of Urology Guidelines on Renal Cell Carcinoma: The 2022 Update. Eur. Urol. 2022, 82, 399–410. [Google Scholar] [CrossRef]
- Ahmad, A.E.; Finelli, A.; Jewett, M.A.S. Surveillance of Small Renal Masses. Urology 2016, 98, 8–13. [Google Scholar] [CrossRef]
- Radros, J.; Kjellman, A.; Henningsohn, L.; Forslin, Y.; Delle, M.; Hrebenyuk, M.; Thor, A.; Thiel, T.; Hermann, M.; Lundgren, P.-O. Ablative or Surgical Treatment for Small Renal Masses (T1a): A Single-Center Comparison of Perioperative Morbidity and Complications. Curr. Oncol. 2024, 31, 933–940. [Google Scholar] [CrossRef] [PubMed]
- Pedraza-Sánchez, J.P.; Chaves-Marcos, R.; Mazuecos-Quirós, J.; Bisonó-Castillo, Á.L.; Osmán-García, I.; Gutiérrez-Marín, C.M.; Medina López, R.A.; Juárez Soto, Á. Percutaneous Radiofrequency Ablation Is an Effective Treatment Option for Small Renal Masses, Comparable to Partial Nephrectomy. Eur. Radiol. 2023, 33, 7371–7379. [Google Scholar] [CrossRef]
- Shakeri, S.; Raman, S.S. Percutaneous Thermal Ablation for Treatment of T1a Renal Cell Carcinomas. Radiol. Clin. N. Am. 2020, 58, 981–993. [Google Scholar] [CrossRef]
- Yang, Q.; Meng, F.; Li, K.; Wang, T.; Nie, Q.; Che, Z.; Liu, M.; Sun, Y.; Zhao, L. Safety and Efficacy of Thermal Ablation for Small Renal Masses in Solitary Kidney: Evidence from Meta-Analysis of Comparative Studies. PLoS ONE 2015, 10, e0131290. [Google Scholar] [CrossRef]
- Sandbergen, L.; Guven, S.; Laguna, M.P. Can Ablation Win against Partial Nephrectomy and Become First Line Therapy in cT1a Renal Tumours? Curr. Opin. Urol. 2019, 29, 70–77. [Google Scholar] [CrossRef]
- Salagierski, M.; Wojciechowska, A.; Zając, K.; Klatte, T.; Thompson, R.H.; Cadeddu, J.A.; Kaouk, J.; Autorino, R.; Ahrar, K.; Capitanio, U.; et al. The Role of Ablation and Minimally Invasive Techniques in the Management of Small Renal Masses. Eur. Urol. Oncol. 2018, 1, 395–402. [Google Scholar] [CrossRef]
- Andrews, J.R.; Atwell, T.; Schmit, G.; Lohse, C.M.; Kurup, A.N.; Weisbrod, A.; Callstrom, M.R.; Cheville, J.C.; Boorjian, S.A.; Leibovich, B.C.; et al. Oncologic Outcomes Following Partial Nephrectomy and Percutaneous Ablation for cT1 Renal Masses. Eur. Urol. 2019, 76, 244–251. [Google Scholar] [CrossRef] [PubMed]
- Abu-Ghanem, Y.; Fernández-Pello, S.; Bex, A.; Ljungberg, B.; Albiges, L.; Dabestani, S.; Giles, R.H.; Hofmann, F.; Hora, M.; Kuczyk, M.A.; et al. Limitations of Available Studies Prevent Reliable Comparison Between Tumour Ablation and Partial Nephrectomy for Patients with Localised Renal Masses: A Systematic Review from the European Association of Urology Renal Cell Cancer Guideline Panel. Eur. Urol. Oncol. 2020, 3, 433–452. [Google Scholar] [CrossRef] [PubMed]
- Acosta Ruiz, V.; Lönnemark, M.; Brekkan, E.; Dahlman, P.; Wernroth, L.; Magnusson, A. Predictive Factors for Complete Renal Tumor Ablation Using RFA. Acta Radiol. 2016, 57, 886–893. [Google Scholar] [CrossRef] [PubMed]
- Lum, M.A.; Shah, S.B.; Durack, J.C.; Nikolovski, I. Imaging of Small Renal Masses before and after Thermal Ablation. Radiographics 2019, 39, 2134–2145. [Google Scholar] [CrossRef] [PubMed]
- Denys, A.L.; De Baere, T.; Kuoch, V.; Dupas, B.; Chevallier, P.; Madoff, D.C.; Schnyder, P.; Doenz, F. Radio-Frequency Tissue Ablation of the Liver: In Vivo and Ex Vivo Experiments with Four Different Systems. Eur. Radiol. 2003, 13, 2346–2352. [Google Scholar] [CrossRef]
- Dindo, D.; Demartines, N.; Clavien, P.-A. Classification of Surgical Complications: A New Proposal with Evaluation in a Cohort of 6336 Patients and Results of a Survey. Ann. Surg. 2004, 240, 205–213. [Google Scholar] [CrossRef]
- Clavien, P.A.; Sanabria, J.R.; Strasberg, S.M. Proposed Classification of Complications of Surgery with Examples of Utility in Cholecystectomy. Surgery 1992, 111, 518–526. [Google Scholar]
- Ahmed, M.; Solbiati, L.; Brace, C.L.; Breen, D.J.; Callstrom, M.R.; Charboneau, J.W.; Chen, M.-H.; Choi, B.I.; de Baère, T.; Dodd, G.D.; et al. Image-Guided Tumor Ablation: Standardization of Terminology and Reporting Criteria—A 10-Year Update. Radiology 2014, 273, 241–260. [Google Scholar] [CrossRef]
- Krokidis, M.E.; Orsi, F.; Katsanos, K.; Helmberger, T.; Adam, A. CIRSE Guidelines on Percutaneous Ablation of Small Renal Cell Carcinoma. Cardiovasc. Interv. Radiol. 2017, 40, 177–191. [Google Scholar] [CrossRef]
- Zachos, I.; Dimitropoulos, K.; Karatzas, A.; Samarinas, M.; Petsiti, A.; Tassoudis, V.; Tzortzis, V. Ultrasound-Guided Radiofrequency Ablation for cT1a Renal Masses in Poor Surgical Candidates: Mid-Term, Single-Center Outcomes. Ther. Adv. Med. Oncol. 2016, 8, 331–338. [Google Scholar] [CrossRef]
- Hegg, R.M.; Schmit, G.D.; Kurup, A.N.; Weisbrod, A.J.; Boorjian, S.A.; Atwell, T.D. Ultrasound-Guided Transhepatic Radiofrequency Ablation of Renal Tumors: A Safe and Effective Approach. Cardiovasc. Interv. Radiol. 2014, 37, 508–512. [Google Scholar] [CrossRef] [PubMed]
- Lyrdal, D.; Andersson, M.; Hellström, M.; Sternal, J.; Lundstam, S. Ultrasound-Guided Percutaneous Radiofrequency Ablation of Small Renal Tumors: Clinical Results and Radiological Evolution during Follow-Up. Acta Radiol. 2010, 51, 808–818. [Google Scholar] [CrossRef] [PubMed]
- Davis, K.; Kielar, A.; Jafari, K. Effectiveness of Ultrasound-Guided Radiofrequency Ablation in the Treatment of 36 Renal Cell Carcinoma Tumours Compared with Published Results of Using Computed Tomography Guidance. Can. Assoc. Radiol. J. 2012, 63, S23–S32. [Google Scholar] [CrossRef] [PubMed]
- Jasinski, M.; Bielinska, M.; Siekiera, J.; Kamecki, K.; Salagierski, M. Ultrasound-Guided Percutaneous Thermal Ablation of Renal Cancers—In Search for the Ideal Tumour. Cancers 2023, 15, 518. [Google Scholar] [CrossRef] [PubMed]
- Ahmed, M.; Brace, C.L.; Lee, F.T.; Goldberg, S.N. Principles of and Advances in Percutaneous Ablation. Radiology 2011, 258, 351–369. [Google Scholar] [CrossRef]
- Mihai, I.; Dura, H.; Teodoru, C.A.; Todor, S.B.; Ichim, C.; Grigore, N.; Mohor, C.I.; Mihetiu, A.; Oprinca, G.; Bacalbasa, N.; et al. Intraoperative Ultrasound: Bridging the Gap between Laparoscopy and Surgical Precision during 3D Laparoscopic Partial Nephrectomies. Diagnostics 2024, 14, 942. [Google Scholar] [CrossRef]
- Zhou, W.; Herwald, S.E.; McCarthy, C.; Uppot, R.N.; Arellano, R.S. Radiofrequency Ablation, Cryoablation, and Microwave Ablation for T1a Renal Cell Carcinoma: A Comparative Evaluation of Therapeutic and Renal Function Outcomes. J. Vasc. Interv. Radiol. 2019, 30, 1035–1042. [Google Scholar] [CrossRef]
- McClure, T.D.; Chow, D.S.; Tan, N.; Sayre, J.A.; Pantuck, A.J.; Raman, S.S. Intermediate Outcomes and Predictors of Efficacy in the Radiofrequency Ablation of 100 Pathologically Proven Renal Cell Carcinomas. J. Vasc. Interv. Radiol. 2014, 25, 1682–1688; quiz 1689. [Google Scholar] [CrossRef]
- Marshall, H.R.; Shakeri, S.; Hosseiny, M.; Sisk, A.; Sayre, J.; Lu, D.S.; Pantuck, A.; Raman, S. Long-Term Survival after Percutaneous Radiofrequency Ablation of Pathologically Proven Renal Cell Carcinoma in 100 Patients. J. Vasc. Interv. Radiol. 2020, 31, 15–24. [Google Scholar] [CrossRef]
- Balageas, P.; Cornelis, F.; Le Bras, Y.; Hubrecht, R.; Bernhard, J.C.; Ferrière, J.M.; Ravaud, A.; Grenier, N. Ten-Year Experience of Percutaneous Image-Guided Radiofrequency Ablation of Malignant Renal Tumours in High-Risk Patients. Eur. Radiol. 2013, 23, 1925–1932. [Google Scholar] [CrossRef]
- Wah, T.M.; Irving, H.C.; Gregory, W.; Cartledge, J.; Joyce, A.D.; Selby, P.J. Radiofrequency Ablation (RFA) of Renal Cell Carcinoma (RCC): Experience in 200 Tumours. BJU Int. 2014, 113, 416–428. [Google Scholar] [CrossRef] [PubMed]
- Zagoria, R.J.; Hawkins, A.D.; Clark, P.E.; Hall, M.C.; Matlaga, B.R.; Dyer, R.B.; Chen, M.Y. Percutaneous CT-Guided Radiofrequency Ablation of Renal Neoplasms: Factors Influencing Success. AJR Am. J. Roentgenol. 2004, 183, 201–207. [Google Scholar] [CrossRef] [PubMed]
- Acosta Ruiz, V.; Dahlman, P.; Brekkan, E.; Lönnemark, M.; Magnusson, A. Microwave Ablation of 105 T1 Renal Tumors: Technique Efficacy with a Mean Follow-up of Two Years. Acta Radiol. 2020, 65, 294–301. [Google Scholar] [CrossRef] [PubMed]
- Veltri, A.; De Fazio, G.; Malfitana, V.; Isolato, G.; Fontana, D.; Tizzani, A.; Gandini, G. Percutaneous US-Guided RF Thermal Ablation for Malignant Renal Tumors: Preliminary Results in 13 Patients. Eur. Radiol. 2004, 14, 2303–2310. [Google Scholar] [CrossRef]
- Yang, Y.; Chen, S.; Chen, F.; Zhu, K.; Deng, Q.; Luo, L.; Shi, B. Outcome of Radiofrequency Ablation over Partial Nephrectomy for Small Renal Mass (<4 cm): A Systematic Review and Meta-Analysis. Int. J. Clin. Exp. Med. 2015, 8, 20670–20674. [Google Scholar]



| Results | |
|---|---|
| Number of patients | 159 |
| Median age, years (range) | 73 (35–89) |
| Gender | |
| Female | 54 (34%) |
| Male | 105 (66%) |
| ASA-score (%) | |
| I | 3 (2%) |
| II | 71 (45%) |
| III | 76 (48%) |
| IV | 9 (5%) |
| Results | |
|---|---|
| Size, cm, mean ± SD (range) | 2.4 ± 0.9 (1.0–5.5) |
| ≥3 cm | 51 |
| <3 cm | 111 |
| Side | |
| Right | 76 |
| Left | 86 |
| Location | |
| Upper pole | 48 |
| Mid renal | 59 |
| Lower pole | 55 |
| Growth type | |
| ≥50% exophytic | 73 |
| <50% exophytic | 89 |
| Proximity to calyces/renal pelvis | |
| ≤4 mm | 48 |
| >4 mm | 114 |
| BIOPSY | Number | % | Percent of the Malignant Samples (n = 113) |
|---|---|---|---|
| Not representative | 33 | 20 | - |
| Clear cell | 57 | 35.5 | 51 |
| Papillary | 32 | 20 | 28 |
| Clear cell papillary | 12 | 7.5 | 10 |
| Chromophobe | 11 | 7 | 10 |
| Urothelial cancer | 1 | 1 | 1 |
| Oncocytoma | 14 | 9 | - |
| Ablation Temperature | Number of Ablations (n = 162) | Percent of Total | Percent of Cases with a Reported Temperature (n = 151) |
|---|---|---|---|
| Not reported | 11 | 7 | - |
| ≥65 degrees | 132 | 82 | 88 |
| <65 degrees | 19 | 11 | 12 |
| Technical Difficulties | Number of Patients |
|---|---|
| None | 111 (69%) |
| Additional ablation due to signs of remaining vital tumor | 2 (1%) |
| Difficulties in positioning the antenna centrally in the tumor | 13 (8%) |
| Technical problems with the ablation equipment | 5 (3%) |
| Difficulties in visualizing the tumor | 27 (17%) |
| Prolonged procedure due to low temperature | 3 (2%) |
| Complications | Number of Patients (%) |
|---|---|
| None (Grade 0) | 139 (86%) |
| Presence of complications | 23 (14%) |
| Grade 1 | 16 |
| Grade 2 | 6 |
| Grade 3 | 0 |
| Grade 4 | 1 |
| Grade 5 | 0 |
| Additional Treatment | Residual Tumor (n = 34) | Local Tumor Progression (n = 4) |
|---|---|---|
| Additional ablation | 19 | 3 |
| Surgery | 6 | 1 |
| Surveillance | 6 | 0 |
| Lost during follow-up | 3 * | 0 |
| OR | 95% CI | p-Value | |
|---|---|---|---|
| Proximity to calices/renal pelvis < 4 mm | 2.85 | 1.19–6.84 | 0.019 |
| Ablation temperature < 65 °C | 4.23 | 1.52–11.8 | 0.006 |
| Size of tumor > 30 mm | 2.25 | 0.95–5.36 | 0.066 |
| Technical difficulties | 1.78 | 0.77–4.08 | 0.177 |
Disclaimer/Publisher’s Note: The statements, opinions and data contained in all publications are solely those of the individual author(s) and contributor(s) and not of MDPI and/or the editor(s). MDPI and/or the editor(s) disclaim responsibility for any injury to people or property resulting from any ideas, methods, instructions or products referred to in the content. |
© 2024 by the authors. Licensee MDPI, Basel, Switzerland. This article is an open access article distributed under the terms and conditions of the Creative Commons Attribution (CC BY) license (https://creativecommons.org/licenses/by/4.0/).
Share and Cite
Zinko, G.; Hrebenyuk, M.; Kjellman, A.; Forslin, Y.; Delle, M. Factors that Affect Outcome of Ultrasound-Guided Radiofrequency Ablation of Renal Masses. Curr. Oncol. 2024, 31, 5318-5329. https://doi.org/10.3390/curroncol31090392
Zinko G, Hrebenyuk M, Kjellman A, Forslin Y, Delle M. Factors that Affect Outcome of Ultrasound-Guided Radiofrequency Ablation of Renal Masses. Current Oncology. 2024; 31(9):5318-5329. https://doi.org/10.3390/curroncol31090392
Chicago/Turabian StyleZinko, Galyna, Marianna Hrebenyuk, Anders Kjellman, Yngve Forslin, and Martin Delle. 2024. "Factors that Affect Outcome of Ultrasound-Guided Radiofrequency Ablation of Renal Masses" Current Oncology 31, no. 9: 5318-5329. https://doi.org/10.3390/curroncol31090392
APA StyleZinko, G., Hrebenyuk, M., Kjellman, A., Forslin, Y., & Delle, M. (2024). Factors that Affect Outcome of Ultrasound-Guided Radiofrequency Ablation of Renal Masses. Current Oncology, 31(9), 5318-5329. https://doi.org/10.3390/curroncol31090392

