Transglabellar Butterfly Incision for Anterior Cranial Vault Access: Case Report
Abstract
1. Introduction
2. Case Report
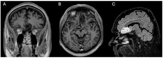
2.1. History and Clinical Findings
2.2. Surgical Procedure
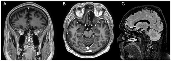
2.3. Postoperative Period and Follow-Up
3. Discussion
3.1. Advantages of Butterfly Incision over Bicoronal Approach
3.2. Disadvantages of Butterfly Incision over Bicoronal Approach
3.3. Frontal Sinus Preservation Misconception
3.4. Rationale for Transglabellar Subfrontal Approach through Butterfly Incision
3.5. Potential Indications of Transglabellar Subfrontal Approach through Butterfly Incision
4. Conclusions
Author Contributions
Funding
Institutional Review Board Statement
Informed Consent Statement
Data Availability Statement
Conflicts of Interest
References
- Jawad, B.; Vankoevering, K.; Carrau, R.; Patil, Y. Clinical Considerations for Open versus Endoscopic Approaches in Skull Base Surgery. Curr. Opin. Otolaryngol. Head Neck Surg. 2022, 30, 281–285. [Google Scholar] [CrossRef] [PubMed]
- Urbančič, J.; Battelino, S.; Bošnjak, R.; Felbabić, T.; Steiner, N.; Vouk, M.; Vrabec, M.; Vozel, D. A Multidisciplinary Skull Base Board for Tumour and Non-Tumour Diseases: Initial Experiences. J. Pers. Med. 2024, 14, 82. [Google Scholar] [CrossRef] [PubMed]
- Turri-Zanoni, M.; Battaglia, P.; Bignami, M.; Castelnuovo, P.; Arosio, A.D. Comprehensive Access Strategies to the Frontal Sinus. Curr. Opin. Otolaryngol. Head Neck Surg. 2023, 31, 57–64. [Google Scholar] [CrossRef] [PubMed]
- Dedhia, R.D.; Morisada, M.V.; Tollefson, T.T.; Strong, E.B. Contemporary Management of Frontal Sinus Fractures. Curr. Opin. Otolaryngol. Head Neck Surg. 2019, 27, 253–260. [Google Scholar] [CrossRef] [PubMed]
- Zenga, F.; Penner, F.; Cofano, F.; Lavorato, A.; Tardivo, V.; Fontanella, M.M.; Garbossa, D.; Stefini, R. Trans-Frontal Sinus Approach For Olfactory Groove Meningiomas: A 19 Year Experience. Clin. Neurol. Neurosurg. 2020, 196, 106041. [Google Scholar] [CrossRef] [PubMed]
- Wang, E.W.; Zanation, A.M.; Gardner, P.A.; Schwartz, T.H.; Eloy, J.A.; Adappa, N.D.; Bettag, M.; Bleier, B.S.; Cappabianca, P.; Carrau, R.L.; et al. ICAR: Endoscopic Skull-Base Surgery. Int. Forum Allergy Rhinol. 2019, 9, S145–S365. [Google Scholar] [CrossRef] [PubMed]
- Kleiber, J.-C.; Roemer, S.; Duntze, J.; Eap, C.; Theret, E.; Rousseaux, P.; Litre, F. Transglabellar Approach for Resection of Anterior Midline Skull Base Meningiomas: Technical Note. Acta Neurochir. 2014, 156, 2283–2287. [Google Scholar] [CrossRef] [PubMed]
- Al-Mousa, A.; Tarifi, A.A.; Shtaya, A.; Ghanem, I.M. Transglabellar Resection of Frontal Sinus Cholesterol Granuloma Extending Cranially through Cecum Foramina: Technical Note. Surg. Neurol. Int. 2023, 14, 238. [Google Scholar] [CrossRef] [PubMed]
- de Siqueira, B.L.M.; Lemos, L.E.A.S.; de Araújo, M.G.F.; dos Santos Silva, R.P.; de Araújo, M.G.F.; Cortez, F.G.; de Azevedo Filho, H.R.C. Modified Trans-Sinusal Transglabellar Approach for Anterior Cranial Fossa Meningiomas: Technical Note and Literature Review. J. Neurol. Surg. Rep. 2023, 84, e40–e45. [Google Scholar] [CrossRef] [PubMed]
- Xu, M.; Xu, J.; Huang, X.; Chen, D.; Chen, M.; Zhong, P. Small Extended Bifrontal Approach for Midline Anterior Skull Base Meningiomas: Our Experience with 54 Consecutive Patients. World Neurosurg. 2019, 125, e35–e43. [Google Scholar] [CrossRef] [PubMed]
- Kofoed Lauridsen, E.; Ciochon, U.M.; Tolver, A.; Bech Knudsen, M.; Giraldi, L.; Springborg, J.B.; Bøgeskov, L.; Poulsgaard, L.; Mathiesen, T.; Piil, K.; et al. Long-Term Postoperative Health-Related Quality of Life in Patients with Subfrontal Meningiomas. J. Neurosurg. 2022, 138, 1542–1551. [Google Scholar] [CrossRef] [PubMed]
- Kleinberger, A.J.; Jumaily, J.; Spiegel, J.H. Safety of Modified Coronal Approach with Dissection Deep to Temporalis Fascia for Facial Nerve Preservation. Otolaryngol. Neck Surg. 2015, 152, 655–660. [Google Scholar] [CrossRef] [PubMed]
- Grayson, J.W.; Jeyarajan, H.; Illing, E.A.; Cho, D.-Y.; Riley, K.O.; Woodworth, B.A. Changing the Surgical Dogma in Frontal Sinus Trauma: Transnasal Endoscopic Repair. Int. Forum Allergy Rhinol. 2017, 7, 441–449. [Google Scholar] [CrossRef] [PubMed]
- Bošnjak, R.; Antolin, A.; Jeglič, A.; Felbabić, T.; Velnar, T. Navigated Endoport in the Purely Endoscopic Microsurgery of Intraventricular and Other Deep-Seated Brain Lesions: A Case Report. Acta Medica Acad. 2020, 49, 70–77. [Google Scholar] [CrossRef] [PubMed]
- Ong, V.; Brown, N.J.; Pennington, Z.; Choi, A.; Shahrestani, S.; Sahyouni, R.; Abraham, M.E.; Loya, J.J. The Pterional Keyhole Craniotomy Approach: A Historical Perspective. World Neurosurg. 2023, 179, 77–81. [Google Scholar] [CrossRef] [PubMed]




Disclaimer/Publisher’s Note: The statements, opinions and data contained in all publications are solely those of the individual author(s) and contributor(s) and not of MDPI and/or the editor(s). MDPI and/or the editor(s) disclaim responsibility for any injury to people or property resulting from any ideas, methods, instructions or products referred to in the content. |
© 2024 by the authors. Licensee MDPI, Basel, Switzerland. This article is an open access article distributed under the terms and conditions of the Creative Commons Attribution (CC BY) license (https://creativecommons.org/licenses/by/4.0/).
Share and Cite
Urbančič, J.; Bošnjak, R.; Vozel, D. Transglabellar Butterfly Incision for Anterior Cranial Vault Access: Case Report. Curr. Oncol. 2024, 31, 5233-5241. https://doi.org/10.3390/curroncol31090387
Urbančič J, Bošnjak R, Vozel D. Transglabellar Butterfly Incision for Anterior Cranial Vault Access: Case Report. Current Oncology. 2024; 31(9):5233-5241. https://doi.org/10.3390/curroncol31090387
Chicago/Turabian StyleUrbančič, Jure, Roman Bošnjak, and Domen Vozel. 2024. "Transglabellar Butterfly Incision for Anterior Cranial Vault Access: Case Report" Current Oncology 31, no. 9: 5233-5241. https://doi.org/10.3390/curroncol31090387
APA StyleUrbančič, J., Bošnjak, R., & Vozel, D. (2024). Transglabellar Butterfly Incision for Anterior Cranial Vault Access: Case Report. Current Oncology, 31(9), 5233-5241. https://doi.org/10.3390/curroncol31090387

