Biomarkers for Predicting Anti-Programmed Cell Death-1 Antibody Treatment Effects in Head and Neck Cancer
Abstract
1. Introduction
2. Materials and Methods
2.1. Retrospective Clinical Review of Medical Charts
2.2. Immunohistochemical Analysis of PD-L1 Expression and PD-L1 SNPs (rs4143815 and rs2282055)
2.3. Measurement of PD-L1 SNPs
3. Results
3.1. Patient Characteristics
3.2. Survival Analysis
3.3. Nutritional Status
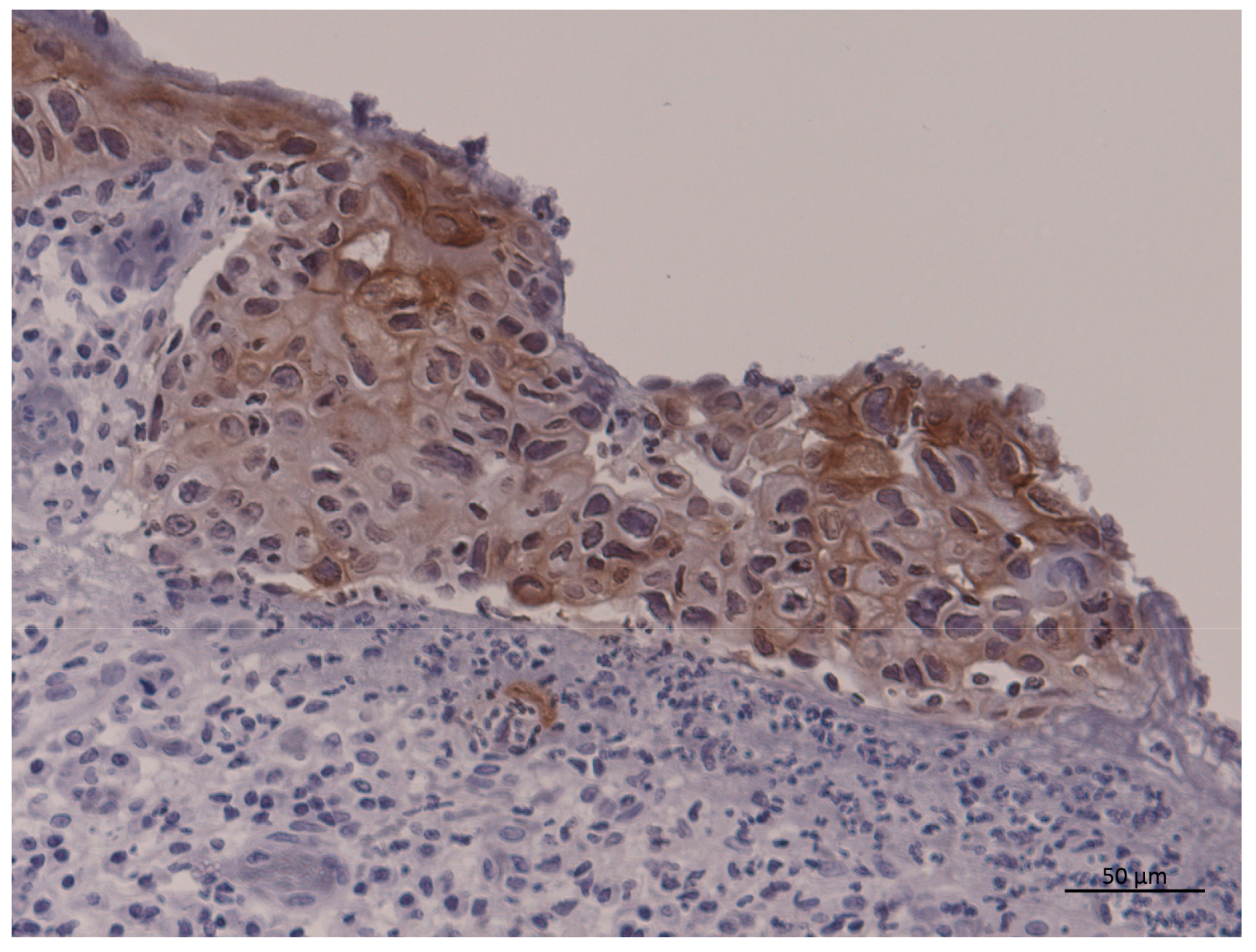
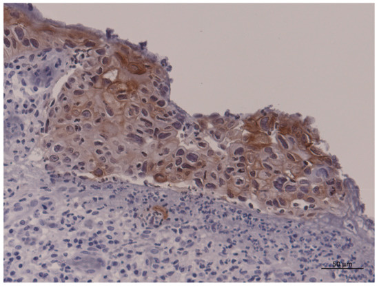
3.4. Expression of PD-L1
3.5. Occurrence of irAEs
3.6. Multivariate Analysis of Clinical Parameters Potentially Affecting Overall Survival
3.7. Analyses of SNPs
4. Discussion
5. Conclusions
Supplementary Materials
Author Contributions
Funding
Institutional Review Board Statement
Informed Consent Statement
Data Availability Statement
Acknowledgments
Conflicts of Interest
References
- Global Cancer Observatory. Available online: https://gco.iarc.fr/ (accessed on 22 May 2023).
- Matsuda, T.; Ajiki, W.; Marugame, T.; Loka, A.; Tsukuma, H.; Sobue, T.; Research group of population-based cancer registries of Japan. Population-based survival of cancer patients diagnosed between 1993 and 1999 in Japan: A chronological and international comparative study. Jpn. J. Clin. Oncol. 2011, 41, 40–51. [Google Scholar] [CrossRef] [PubMed]
- Ferris, R.L.; Blumenschein, G., Jr.; Fayette, J.; Guigay, J.; Colevas, A.D.; Licitra, L.; Harrington, K.; Kasper, S.; Vokes, E.E.; Even, C.; et al. Nivolumab for recurrent squamous-cell carcinoma of the head and neck. N. Engl. J. Med. 2016, 375, 1856–1867. [Google Scholar] [CrossRef] [PubMed]
- Ferris, R.L.; Blumenschein, G., Jr.; Fayette, J.; Guigay, J.; Colevas, A.D.; Licitra, L.; Harrington, K.J.; Kasper, S.; Vokes, E.E.; Even, C.; et al. Nivolumab vs investigator’s choice in recurrent or metastatic squamous cell carcinoma of the head and neck: 2-year long-term survival update of checkmate 141 with analyses by tumor PD-l1 expression. Oral Oncol. 2018, 81, 45–51. [Google Scholar] [CrossRef] [PubMed]
- Theodoraki, M.N.; Laban, S.; Hoffmann, T.K. Immunotherapy of head and neck cancer: Highlights of the ASCO and ESMO annual meetings 2021. HNO 2022, 70, 271–277. [Google Scholar] [CrossRef]
- Hanai, N.; Shimizu, Y.; Kariya, S.; Yasumatsu, R.; Yokota, T.; Fujii, T.; Tsukahara, K.; Yoshida, M.; Hanyu, K.; Ueda, T.; et al. Effectiveness and safety of nivolumab in patients with head and neck cancer in Japanese real-world clinica006C practice: A multicenter retrospective clinical study. Int. J. Clin. Oncol. 2021, 26, 494–506. [Google Scholar] [CrossRef]
- Oliva, M.; Spreafico, A.; Taberna, M.; Alemany, L.; Coburn, B.; Mesia, R.; Siu, L.L. Immune biomarkers of response to immune-checkpoint inhibitors in head and neck squamous cell carcinoma. Ann. Oncol. 2019, 30, 57–67. [Google Scholar] [CrossRef]
- Zou, J.; Wu, D.; Li, T.; Wang, X.; Liu, Y.; Tan, S. Association of PD-l1 gene rs4143815 C>G polymorphism and human cancer susceptibility: A systematic review and meta-analysis. Pathol. Res. Pract. 2019, 215, 229–234. [Google Scholar] [CrossRef]
- Refae, S.; Gal, J.; Ebran, N.; Otto, J.; Borchiellini, D.; Peyrade, F.; Chamorey, E.; Brest, P.; Milano, G.; Saada-Bouzid, E. Germinal immunogenetics predict treatment outcome for PD-1/PD-l1 checkpoint inhibitors. Investig. New Drugs 2020, 38, 160–171. [Google Scholar] [CrossRef]
- Nomizo, T.; Ozasa, H.; Tsuji, T.; Funazo, T.; Yasuda, Y.; Yoshida, H.; Yagi, Y.; Sakamori, Y.; Nagai, H.; Hirai, T.; et al. Clinical impact of single nucleotide polymorphism in PD-l1 on response to nivolumab for advanced non-small-cell lung cancer patients. Sci. Rep. 2017, 7, 45124. [Google Scholar] [CrossRef]
- Zanusso, C.; Dreussi, E.; Bortolus, R.; Romualdi, C.; Gagno, S.; De Mattia, E.; Romanato, L.; Sartor, F.; Quartuccio, L.; Cecchin, E.; et al. rs4143815-PDl1, a new potential immunogenetic biomarker of biochemical recurrence in locally advanced prostate cancer after radiotherapy. Int. J. Mol. Sci. 2019, 20, 2082. [Google Scholar] [CrossRef]
- Minari, R.; Bonatti, F.; Mazzaschi, G.; Dodi, A.; Facchinetti, F.; Gelsomino, F.; Cinquegrani, G.; Squadrilli, A.; Bordi, P.; Buti, S.; et al. PD-l1 snps as biomarkers to define benefit in patients with advanced NSCLC treated with immune checkpoint inhibitors. Tumori 2022, 108, 47–55. [Google Scholar] [CrossRef] [PubMed]
- Horozoglu, C.; Sonmez, D.; Demirkol, S.; Hakan, M.T.; Kaleler, I.; Hepokur, C.; Verim, A.; Yaylim, I. Potential role of immune cell genetic variants associated with tumor microenvironment response in laryngeal squamous cell carcinoma (LSCC) in terms of clinicopathological features. Pathol. Res. Pract. 2021, 228, 153665. [Google Scholar] [CrossRef] [PubMed]
- Bartel, D.P. MicroRNAs: Target recognition and regulatory functions. Cell 2009, 136, 215–233. [Google Scholar] [CrossRef] [PubMed]
- Wang, W.; Li, F.; Mao, Y.; Zhou, H.; Sun, J.; Li, R.; Liu, C.; Chen, W.; Hua, D.; Zhang, X. A miR-570 binding site polymorphism in the B7-H1 gene is associated with the risk of gastric adenocarcinoma. Hum. Gen. 2013, 132, 641–648. [Google Scholar] [CrossRef] [PubMed]
- Wang, W.; Sun, J.; Li, F.; Li, R.; Gu, Y.; Liu, C.; Yang, P.; Zhu, M.; Chen, L.; Tian, W.; et al. A frequent somatic mutation in CD274 3′-UTR leads to protein over-expression in gastric cancer by disrupting miR-570 binding. Hum. Mutat. 2012, 33, 480–484. [Google Scholar] [CrossRef]
- Qian, C.; Guo, H.; Chen, X.; Shi, A.; Li, S.; Wang, X.; Pan, J.; Fang, C. Association of PD-1 and PD-l1 genetic polymorphyisms with type 1 diabetes susceptibility. J. Diabetes Res. 2018, 2018, 1614683. [Google Scholar] [CrossRef]
- Zhao, H.; Xu, L.; Tang, P.; Guo, R. Geriatric nutritional risk index and survival of patients with colorectal cancer: A meta-analysis. Front. Oncol. 2022, 12, 906711. [Google Scholar] [CrossRef]
- Tong, T.; Guan, Y.; Xiong, H.; Wang, L.; Pang, J. A meta-analysis of Glasgow prognostic score and modified Glasgow prognostic score as biomarkers for predicting survival outcome in renal cell carcinoma. Front. Oncol. 2020, 10, 1541. [Google Scholar] [CrossRef]
- Luan, C.W.; Tsai, Y.T.; Yang, H.Y.; Chen, K.Y.; Chen, P.H.; Chou, H.H. Pretreatment prognostic nutritional index as a prognostic marker in head and neck cancer: A systematic review and meta-analysis. Sci. Rep. 2021, 11, 17117. [Google Scholar] [CrossRef]
- Iwasa, Y.I.; Yokota, Y.; Kitoh, R.; Mori, K.; Tsukada, K.; Sekiguchi, N.; Fukushima, T.; Kobayashi, T.; Kanda, S.; Takumi, Y.; et al. Factors affecting nivolumab therapy outcome in patients with head and neck cancer: A single-center analysis. Oncology 2022, 100, 203–211. [Google Scholar] [CrossRef]
- Takenaka, Y.; Oya, R.; Kitamiura, T.; Ashida, N.; Shimizu, K.; Takemura, K.; Yamamoto, Y.; Uno, A. Prognostic role of neutrophil-to-lymphocyte ratio in head and neck cancer: A meta-analysis. Head Neck 2018, 40, 647–655. [Google Scholar] [CrossRef] [PubMed]
- Mascarella, M.A.; Mannard, E.; Silva, S.D.; Zeitouni, A. Neutrophil-to-lymphocyte ratio in head and neck cancer prognosis: A systematic review and meta-analysis. Head Neck 2018, 40, 1091–1100. [Google Scholar] [CrossRef]
- Ku, J.Y.; Roh, J.L.; Kim, S.B.; Choi, S.H.; Nam, S.Y.; Kim, S.Y. Prognostic value of neutrophil-to-lymphocyte ratio in older patients with head and neck cancer. J. Geriatr. Oncol. 2020, 11, 417–422. [Google Scholar] [CrossRef] [PubMed]
- Ueda, T.; Chikuie, N.; Takumida, M.; Furuie, H.; Kono, T.; Taruya, T.; Hamamoto, T.; Hattori, M.; Ishino, T.; Takeno, S. Baseline neutrophil-to-lymphocyte ratio (nlr) is associated with clinical outcome in recurrent or metastatic head and neck cancer patients treated with nivolumab. Acta Otolaryngol. 2020, 140, 181–187. [Google Scholar] [CrossRef] [PubMed]
- Chang, P.H.; Yeh, K.Y.; Huang, J.S.; Lai, C.H.; Wu, T.H.; Lan, Y.J.; Tsai, J.C.; Chen, E.Y.; Yang, S.W.; Wang, C.H. Pretreatment performance status and nutrition are associated with early mortality of locally advanced head and neck cancer patients undergoing concurrent chemoradiation. Eur. Arch. Otorhinolaryngol. 2013, 270, 1909–1915. [Google Scholar] [CrossRef]
- Farhangfar, A.; Makarewicz, M.; Ghosh, S.; Jha, N.; Scrimger, R.; Gramlich, L.; Baracos, V. Nutrition impact symptoms in a population cohort of head and neck cancer patients: Multivariate regression analysis of symptoms on oral intake, weight loss and survival. Oral Oncol. 2014, 50, 877–883. [Google Scholar] [CrossRef]
- Bullock, A.F.; Greenley, S.L.; McKenzie, G.A.G.; Paton, L.W.; Johnson, M.J. Relationship between markers of malnutrition and clinical outcomes in older adults with cancer: Systematic review, narrative synthesis and meta-analysis. Eur. J. Clin. Nutr. 2020, 74, 1519–1535. [Google Scholar] [CrossRef]
- Sosa, A.E.; Grau, J.J.; Feliz, L.; Pereira, V.; Alcaraz, D.; Muñoz-García, C.; Caballero, M. Outcome of patients treated with palliative weekly paclitaxel plus cetuximab in recurrent head and neck cancer after failure of platinum-based therapy. Eur. Arch. Otorhinolaryngol. 2014, 271, 373–378. [Google Scholar] [CrossRef]
- Ito, T.; Okamoto, I.; Tokashiki, K.; Sato, H.; Okada, T.; Yamashita, G.; Nagao, T.; Hirai, H.; Saigusa, N.; Tsukahara, K. PD-l1 expression and survival rates using tps and cps for nivolumab-treated head-and-neck cancer. Anticancer Res. 2022, 42, 1547–1554. [Google Scholar] [CrossRef]
- Noske, A.; Wagner, D.C.; Schwamborn, K.; Foersch, S.; Steiger, K.; Kiechle, M.; Oettler, D.; Karapetyan, S.; Hapfelmeier, A.; Roth, W.; et al. Interassay and interobserver comparability study of four programmed death-ligand 1 (PD-l1) immunohistochemistry assays in triple-negative breast cancer. Breast 2021, 60, 238–244. [Google Scholar] [CrossRef]
- Jørgensen, J.T. Companion diagnostic assays for PD-1/PD-l1 checkpoint inhibitors in NSCLC. Expert Rev. Mol. Diagn 2016, 16, 131–133. [Google Scholar] [CrossRef] [PubMed]
- Okadome, K.; Baba, Y.; Yasuda-Yoshihara, N.; Nomoto, D.; Yagi, T.; Toihata, T.; Ogawa, K.; Sawayama, H.; Ishimoto, T.; Iwatsuki, M.; et al. PD-l1 and PD-l2 expression status in relation to chemotherapy in primary and metastatic esophageal squamous cell carcinoma. Cancer Sci. 2022, 113, 399–410. [Google Scholar] [CrossRef] [PubMed]
- Xie, X.; Liu, J.; Yang, H.; Chen, H.; Zhou, S.; Lin, H.; Liao, Z.; Ding, Y.; Ling, L.; Wang, X. Prognostic value of baseline neutrophil-to-lymphocyte ratio in outcome of immune checkpoint inhibitors. Cancer Investig. 2019, 37, 265–274. [Google Scholar] [CrossRef]
- Jin, J.; Yang, L.; Liu, D.; Li, W. Association of the neutrophil to lymphocyte ratio and clinical outcomes in patients with lung cancer receiving immunotherapy: A meta-analysis. BMJ Open 2020, 10, e035031. [Google Scholar] [CrossRef] [PubMed]
- Booka, E.; Kikuchi, H.; Haneda, R.; Soneda, W.; Kawata, S.; Murakami, T.; Matsumoto, T.; Hiramatsu, Y.; Takeuchi, H. Neutrophil-to-lymphocyte ratio to predict the efficacy of immune checkpoint inhibitor in upper gastrointestinal cancer. Anticancer Res. 2022, 42, 2977–2987. [Google Scholar] [CrossRef]
- Vinal, D.; Gutierrez-Sainz, L.; Martinez, D.; Garcia-Cuesta, J.A.; Pedregosa, J.; Villamayor, J.; Ostios, L.; Sanchez-Cabrero, D.; Higuera, O.; Pinto, A.; et al. Prognostic value of neutrophil-to-lymphocyte ratio in advanced cancer patients receiving immunotherapy. Clin. Transl. Oncol. 2021, 23, 1185–1192. [Google Scholar] [CrossRef]
- Yamashita, Y.; Ikegami, T.; Suzuki, M.; Hirakawa, H.; Maeda, H.; Yamada, S.; Deng, Z.; Kondo, S.; Kinjyo, H.; Kiyuna, A.; et al. Hypopharyngeal cancer risk in Japanese: Genetic polymorphisms related to the metabolism of alcohol- and tobacco-associated carcinogens. J. Cancer Res. Ther. 2019, 15, 556–563. [Google Scholar]
- Moore, C.; Pegues, J.; Narisetty, V.; Spankovich, C.; Jackson, L.; Jefferson, G.D. Enhanced recovery after surgery nutrition protocol for major head and neck cancer surgery. OTO Open 2021, 5, 2473974X211021100. [Google Scholar] [CrossRef]
- Neoh, M.K.; Abu Zaid, Z.; Mat Daud, Z.A.; Md Yusop, N.B.; Ibrahim, Z.; Abdul Rahman, Z.; Jamhuri, N. Changes in nutrition impact symptoms, nutritional and functional status during head and neck cancer treatment. Nutrients 2020, 12, 1225. [Google Scholar] [CrossRef]
- Reglero, C.; Reglero, G. Precision nutrition and cancer relapse prevention: A systematic literature review. Nutrients 2019, 11, 2799. [Google Scholar] [CrossRef]
- Willemsen, A.C.H.; De Moor, N.; Van Dessel, J.; Baijens, L.W.J.; Bila, M.; Hauben, E.; van den Hout, M.; Vander Poorten, V.; Hoeben, A.; Clement, P.M.; et al. The predictive and prognostic value of weight loss and body composition prior to and during immune checkpoint inhibition in recurrent or metastatic head and neck cancer patients. Cancer Med. 2022, 12, 7699–7712. [Google Scholar] [CrossRef] [PubMed]
- Arribas, L.; Plana, M.; Taberna, M.; Sospedra, M.; Vilariño, N.; Oliva, M.; Pallarés, N.; González Tampán, A.R.; Del Rio, L.M.; Mesia, R.; et al. Predictive value of skeletal muscle mass in recurrent/metastatic head and neck squamous cell carcinoma patients treated with immune checkpoint inhibitors. Front. Oncol. 2021, 11, 699668. [Google Scholar] [CrossRef] [PubMed]
- Wakasaki, T.; Yasumatsu, R.; Masuda, M.; Takeuchi, T.; Manako, T.; Matsuo, M.; Jiromaru, R.; Uchi, R.; Komune, N.; Noda, T.; et al. Prognostic biomarkers of salvage chemotherapy following nivolumab treatment for recurrent and/or metastatic head and neck squamous cell carcinoma. Cancers 2020, 12, 2299. [Google Scholar] [CrossRef] [PubMed]
- Yasumatsu, R.; Shimizu, Y.; Hanai, N.; Kariya, S.; Yokota, T.; Fujii, T.; Tsukahara, K.; Ando, M.; Hanyu, K.; Ueda, T.; et al. Outcomes of long-term nivolumab and subsequent chemotherapy in Japanese patients with head and neck cancer: 2-year follow-up from a multicenter real-world study. Int. J. Clin. Oncol. 2022, 27, 95–104. [Google Scholar] [CrossRef] [PubMed]
- Park, R.; Lopes, L.; Saeed, A. Anti-PD-1/l1-associated immune-related adverse events as harbinger of favorable clinical outcome: Systematic review and meta-analysis. Clin. Transl. Oncol. 2021, 23, 100–109. [Google Scholar] [CrossRef] [PubMed]
- Bins, S.; Basak, E.A.; El Bouazzaoui, S.; Koolen, S.L.W.; Oomen-de Hoop, E.; van der Leest, C.H.; van der Veldt, A.A.M.; Sleijfer, S.; Debets, R.; van Schaik, R.H.N.; et al. Association between single-nucleotide polymorphisms and adverse events in nivolumab-treated non-small cell lung cancer patients. Br. J. Cancer 2018, 118, 1296–1301. [Google Scholar] [CrossRef]




| Indicator | Category | n | % |
|---|---|---|---|
| Sex | Male | 36 | 85.7 |
| Female | 6 | 14.3 | |
| Primary site | Sinonasal cavity | 1 | 2.4 |
| Oral cavity | 9 | 21.4 | |
| Nasopharynx | 2 | 4.8 | |
| Oropharynx | 13 | 31.0 | |
| HPV-positive | 7 | ||
| HPV-negative | 6 | ||
| Hypopharynx | 14 | 33.3 | |
| Larynx | 1 | 2.4 | |
| Salivary gland | 1 | 2.4 | |
| Primary unknown | 1 | 2.4 | |
| Performance status | 0 | 29 | 69.0 |
| 1 | 10 | 23.8 | |
| ≥2 | 3 | 7.1 | |
| Lines of nivolumab after primary treatment | |||
| First | 12 | 28.6 | |
| Second | 14 | 33.3 | |
| Third | 10 | 23.8 | |
| Fourth or later | 6 | 14.3 | |
| Tumor location at first nivolumab administration | |||
| Local recurrence/progression | 14 | 33.3 | |
| Regional recurrence/progression | 10 | 23.8 | |
| Distant metastasis | 31 | 73.8 |
| Treatment Course | n | |
|---|---|---|
| Continued nivolumab | 1 | |
| Cause | CR | 1 |
| Switched to other treatment | 18 | |
| Response | CR | 1 |
| PR | 3 | |
| SD | 7 | |
| PD | 7 | |
| Discontinuation of all treatment | 23 | |
| Cause | PD | 13 |
| Poor general condition | 9 | |
| CR | 1 |
| GNRI Score | |||||
|---|---|---|---|---|---|
| n (%) | <82 | ≥82 | p-Value | ||
| BOR | |||||
| CR | 3 (7.1) | 0 | 3 | ||
| PR | 4 (9.5) | 1 | 3 | ||
| SD | 14 (33.3) | 3 | 11 | ||
| PD | 21 (50.0) | 8 | 13 | ||
| ORR | 7 (16.7) | 1 | 6 | 0.65 | |
| DCR | 21 (50.0) | 4 | 17 | 0.3 | |
| Next treatment | 18 (42.9) | 1 | 17 | 0.005 |
| Variable | Cases, n | Mean OS (Days) | Univariate Analysis (p-Value) | Multivariate Analysis (p-Value) | HR (95% CI) | |
|---|---|---|---|---|---|---|
| Age | Age, years | |||||
| ≤60 | 22 | 634 | 0.546 | |||
| >60 | 20 | 536 | ||||
| Sex | Sex | |||||
| Male | 36 | 619 | 0.255 | |||
| Female | 6 | 434 | ||||
| PS | ||||||
| 0, 1 | 39 | 618 | 0.048 | 0.013 | 0.193 (0.053–0.712) | |
| ≥2 | 3 | 234 | Reference | |||
| NLR | ||||||
| ≤4.9 | 21 | 686 | 0.222 | |||
| >4.9 | 21 | 492 | ||||
| NLR 2 months after nivolumab | ||||||
| ≤4.9 | 17 | 813 | 0.029 | |||
| >4.9 | 25 | 437 | ||||
| Eosinophil count | ||||||
| ≤170 | 25 | 549 | 0.713 | |||
| >170 | 17 | 631 | ||||
| Enteral nutrition | 0.395 | |||||
| Yes | 6 | 473 | ||||
| No | 36 | 616 | ||||
| PNI | ||||||
| <42 | 22 | 361 | 0.004 | |||
| ≥42 | 20 | 816 | ||||
| GNRI | ||||||
| >98 | 14 | 892 | ||||
| 92–98 | 9 | 552 | ||||
| 82–92 | 9 | 594 | ||||
| <82 | 10 | 200 | ||||
| ≥82 | 32 | 712 | <0.001 | 0.002 | 0.249 (0.105–0.592) | |
| <82 | 10 | 200 | Reference | |||
| mGPS | ||||||
| A | 16 | 791 | ||||
| B | 1 | 129 | ||||
| C | 13 | 648 | ||||
| D | 12 | 244 | ||||
| A, B, C | 30 | 710 | 0.002 | |||
| D | 12 | 244 | ||||
| CPS | ||||||
| <1 | 15 | 603 | 0.752 | |||
| ≥1 | 27 | 573 | ||||
| TPS | ||||||
| <1 | 20 | 622 | 0.491 | |||
| ≥1 | 22 | 543 | ||||
| irAEs | ||||||
| Present | 11 | 543 | 0.355 | 0.302 | ||
| Absent | 31 | 697 | Reference | |||
| Nivolumab doses, n | ||||||
| ≤4 | 16 | 266 | <0.001 | Reference | ||
| >4 | 26 | 769 | 0.05 | 2.457 (1.000–6.040) |
| PD-L1 Expression | CR, PR, SD | PD | DCR | p-Value | |
|---|---|---|---|---|---|
| TPS | <1% | 11 | 9 | 55.0% | 0.537 |
| ≥1% | 10 | 12 | 45.5% | ||
| CPS | <1% | 9 | 6 | 60.0% | 0.334 |
| ≥1% | 12 | 15 | 44.4% |
| Cases, n | Mean OS (Days) | Median OS (Days) | p-Value | irAEs | p-Value | ||
|---|---|---|---|---|---|---|---|
| Absent | Present | ||||||
| rs2282055 | |||||||
| T/T | 7 | 796 | 627 | 0.344 | 7 | 0 | TT, TG vs. GG |
| T/G | 15 | 565 | 531 | 13 | 2 | 0.03 | |
| G/G | 13 | 627 | 470 | 7 | 6 | ||
| rs4143815 | |||||||
| G/G | 11 | 573 | 451 | 0.728 | 11 | 0 | GG, GC vs. CC |
| G/C | 13 | 605 | 565 | 11 | 2 | 0.006 | |
| C/C | 11 | 743 | 622 | 5 | 6 | ||
Disclaimer/Publisher’s Note: The statements, opinions and data contained in all publications are solely those of the individual author(s) and contributor(s) and not of MDPI and/or the editor(s). MDPI and/or the editor(s) disclaim responsibility for any injury to people or property resulting from any ideas, methods, instructions or products referred to in the content. |
© 2023 by the authors. Licensee MDPI, Basel, Switzerland. This article is an open access article distributed under the terms and conditions of the Creative Commons Attribution (CC BY) license (https://creativecommons.org/licenses/by/4.0/).
Share and Cite
Tanaka, K.; Hirakawa, H.; Suzuki, M.; Higa, T.; Agena, S.; Hasegawa, N.; Kawakami, J.; Toyama, M.; Higa, T.; Kinjyo, H.; et al. Biomarkers for Predicting Anti-Programmed Cell Death-1 Antibody Treatment Effects in Head and Neck Cancer. Curr. Oncol. 2023, 30, 5409-5424. https://doi.org/10.3390/curroncol30060410
Tanaka K, Hirakawa H, Suzuki M, Higa T, Agena S, Hasegawa N, Kawakami J, Toyama M, Higa T, Kinjyo H, et al. Biomarkers for Predicting Anti-Programmed Cell Death-1 Antibody Treatment Effects in Head and Neck Cancer. Current Oncology. 2023; 30(6):5409-5424. https://doi.org/10.3390/curroncol30060410
Chicago/Turabian StyleTanaka, Katsunori, Hitoshi Hirakawa, Mikio Suzuki, Teruyuki Higa, Shinya Agena, Narumi Hasegawa, Junko Kawakami, Masatomo Toyama, Tomoyo Higa, Hidetoshi Kinjyo, and et al. 2023. "Biomarkers for Predicting Anti-Programmed Cell Death-1 Antibody Treatment Effects in Head and Neck Cancer" Current Oncology 30, no. 6: 5409-5424. https://doi.org/10.3390/curroncol30060410
APA StyleTanaka, K., Hirakawa, H., Suzuki, M., Higa, T., Agena, S., Hasegawa, N., Kawakami, J., Toyama, M., Higa, T., Kinjyo, H., Kise, N., Kondo, S., Maeda, H., & Ikegami, T. (2023). Biomarkers for Predicting Anti-Programmed Cell Death-1 Antibody Treatment Effects in Head and Neck Cancer. Current Oncology, 30(6), 5409-5424. https://doi.org/10.3390/curroncol30060410

