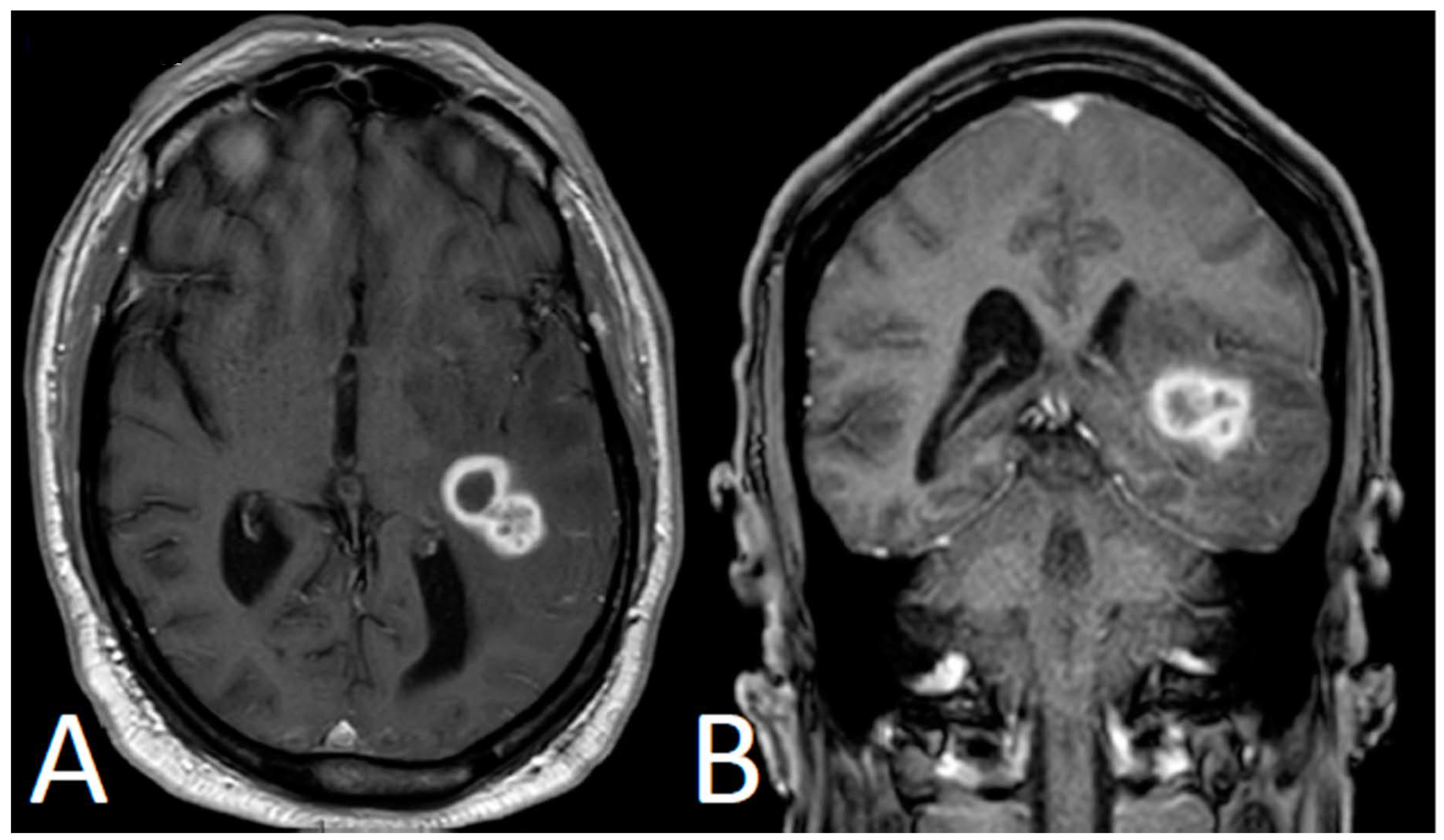
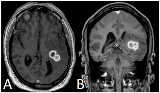
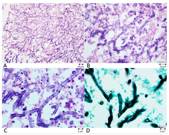
Cerebral Invasive Aspergillosis in a Case of Chronic Lymphocytic Leukemia with Bruton Tyrosine Kinase Inhibitor
Alkharabsheh, O.; Alsayed, A.; Morlote, D.M.; Mehta, A. Cerebral Invasive Aspergillosis in a Case of Chronic Lymphocytic Leukemia with Bruton Tyrosine Kinase Inhibitor. Curr. Oncol. 2021, 28, 837-841. https://doi.org/10.3390/curroncol28010081
Alkharabsheh O, Alsayed A, Morlote DM, Mehta A. Cerebral Invasive Aspergillosis in a Case of Chronic Lymphocytic Leukemia with Bruton Tyrosine Kinase Inhibitor. Current Oncology. 2021; 28(1):837-841. https://doi.org/10.3390/curroncol28010081
Chicago/Turabian StyleAlkharabsheh, Omar, Alhareth Alsayed, Diana M. Morlote, and Amitkumar Mehta. 2021. "Cerebral Invasive Aspergillosis in a Case of Chronic Lymphocytic Leukemia with Bruton Tyrosine Kinase Inhibitor" Current Oncology 28, no. 1: 837-841. https://doi.org/10.3390/curroncol28010081


