Next Article in Journal
Roboter-Assistierte Plazierung Einer Linksventrikulären Elektrode
Previous Article in Journal
Does Preoperative Left Heart Failure Affect Outcome and Quality of Life After Mitral Valve Surgery?
 
 
Cardiovascular Medicine is published by MDPI from Volume 28 Issue 1 (2025). Previous articles were published by another publisher in Open Access under a CC-BY (or CC-BY-NC-ND) licence, and they are hosted by MDPI on mdpi.com as a courtesy and upon agreement with Editores Medicorum Helveticorum (EMH).
Font Type:
Arial Georgia Verdana
Font Size:
Aa Aa Aa
Line Spacing:
Column Width:
Background:
Editorial

Migräne und Offenes Foramen Ovale: Nur ein Vorübergehender Hoffnungsschimmer?

by
Philipp Wagdi
HerzZentrum Hirslanden, Zürich, Switzerland
Cardiovasc. Med. 2006, 9(1), 32; https://doi.org/10.4414/cvm.2006.01142
Submission received: 27 October 2005 / Revised: 27 November 2005 / Accepted: 27 December 2005 / Published: 27 January 2006

Summary

Despite some progress in the understanding of the pathophysiology of migraine and an impressive armamentarium of treatment modalities, this widespread affliction remains one of the most elusive medical entities and is often accompanied by relevant morbidity. In recent years, an association has been postulated between migraine and patent foramen ovale (PFO), some cardiologists having advocated the systematic closure of PFOs using the now widely available and patient-friendly percutaneous catheter technique. While encouraging results based mostly on individual cases have been reported, it is recognised that the issue should be tackled by a systematic interdisciplinary approach. After summarising the current state of knowledge concerning migraine and PFO, we propose a diagnostic and therapeutic algorithm that may help clarify the issue.
Key words: patent foramen ovale; migraine; closure devices

Zusammenfassung

Trotz einigen Fortschritten im Verständnis ihrer Pathophysiologie und einer Vielzahl therapeutischer Ansätze, bleibt für viele Patienten und Patientinnen die Migräne ein langjähriger unangenehmer Begleiter. In den letzten Jahren wurde ein Zusammenhang zwischen offenem Foramen ovale (OFO) und Migräne postuliert, einige interventionelle Kardiologen haben für einen systematischen perkutanen Verschluss des OFO in diesen Situationen plädiert. Ob und in welcher Weise Häufigkeit, Intensität und Dauer der Migräne-Anfälle nach einem perkutanen Verschluss beeinflusst werden, könnte nur mittels einer systematischen, interdisziplinären und multizentrischen Untersuchung beantwortet werden. Dieser Beitrag bespricht die, zur Zeit noch dürftige, verfügbare Evidenz zum Zusammenhang zwischen Migräne und OFO sowie einen möglichen therapeutischen Algorithmus dieser Patientengruppe.
Key words: offenes Foramen ovale; Migräne; kathetertechnischer Verschluss

Hintergrund und Fragestellung

Seit einigen Jahren sind Bestrebungen im Gange, bei Patienten mit Migräne und offenem Foramen ovale dieses perkutan zu verschliessen. Dabei wird ein kausaler Zusammenhang zwischen beiden Entitäten postuliert [1]. Anhand von Kasuistiken lässt sich die Frage, ob eine solche Behandlung in ausgewählten Fällen sinnvoll sein kann, sicher noch nicht beantworten. Wir möchten einen Ansatz für eine interdisziplinäre, multizentrische und koordinierte Anstrengung unterbreiten.

Vorstellung zur Pathogenese der Migräne

Nach dem «tension-type headache», dessen Prävalenz zwischen 30 und 75% liegt, ist die Migräne die zweithäufigste Ursache primärer Kopfschmerzen. Die Prävalenz der Migräne wird in der Gesamtbevölkerung auf 12–15% veranschlagt; Frauen sind fast 3mal häufiger betroffen als Männer. Durchschnittlich leidet eine anfällige Person mehrere Jahrzehnte ihres Lebens unter dem Krankheitsbild. Am häufigsten kommt eine Migräne ohne Aura vor (85%). Es können Prodromi (wie Euphorie und Hyperaktivität oder Lethargie und Depression) einem Anfall 24–48 Stunden vorausgehen. Diese Prodromi sind von einer Aura zu unterscheiden, welche als Episoden transienter neurologischer.
Dysfunktion definiert werden. Typische AuraSymptome sind (1.) Visusstörungen, (2.) unilaterale Parästhesien der distalen Extremitäten, des Gesichts oder peroral, (3.) unilaterale Schwäche, (4.) Dysphasie, Dysarthrie, Vertigo, Tinnitus, Diplopie usw. Typischerweise, aber nicht ausschliesslich, sind die gelegentlich bis zu 72 Stunden andauernden unilateralen und pulsierenden Kopfschmerzen, oft vergesellschaftet mit Nausea, Photound Phonophobie [2,3,4,5].
Über die Pathophysiologie der Migräne wurde viel postuliert, von einem klaren Konsens sind die Meinungen jedoch noch weit entfernt. Dem sympathischen Nervensystem (SNS) wurde seit jeher eine zentrale Rolle zugeschrieben. DuBois-Reymond postulierte in der zweiten Hälfte des 19. Jahrhunderts eine Überaktivität des Sympathikus (weisse Migräne), hingegen erachteten Brown-Sequard und Möllendorf, in etwa zur gleichen Zeit, eine SympathikusParalyse (rote Migräne) als Grundproblem des Krankenbildes. 1868 wurden erstmals Mutterkornalkaloide therapeutisch eingesetzt. Graham und Wolff definierten die Migräne 1938 als eine schmerzhafte Vasodilatation der extraparenchymalen intrakraniellen Gefässe. Sicuteri verfeinerte diese Theorie und postulierte eine Vasokonstriktion nach Katecholamin-Ausschüttung, gefolgt von einer Vasodilatation mit Freisetzung von 5-Hydroxytryptamin. Die typischen Schmerzen würden danach durch eine Vasodilatations-bedingte Triggerung der Endfasern des N. trigeminus einsetzen. Nach aktueller Auffassung spielt eine Kaskade mehrerer Transmitter (Noradrenalin, Serotonin, ATP und Adenosin, Prostaglandine usw.) bei der Migräne-Entstehung eine wichtige Rolle. Dabei werden unterschiedliche Transmitter in den verschiedenen Aktivitätsstadien des SNS freigesetzt. Eine intermittierende und niedrig-frequente Stimulation des SNS resultiert vornehmlich in einer Freisetzung von ATP, welches wohltuend und entspannend wirkt. Eine hochfrequente Stimulation hingegen setzt Noradrenalin, eine kontinuierliche Stimulation Prostaglandine (PGE2, PGI2) und Stickstoffoxid (NO) frei. Unterschiedliche «Stressoren» (wie Schlafentzug, psychische und physische Belastung, Klimaveränderungen [Föhnlage, Bise, Hitze], Hunger, hoher Lärmpegel und anderes mehr) führen zu einer Depletion von Noradrenalin und ATP und zum Überwiegen der Schmerz-induzierenden Prostaglandine. Diesen Co-Transmittern kommt eine zentrale modulierende Rolle der sensorischen Neurone zu. Jenseits der biochemisch-pathogenetischen Ansätze werden Genetik, Persönlichkeitsstruktur und individuelle Bewältigungsstrategien schwieriger All-tagsaufgaben oft ins Feld geführt. Aus den oben erwähnten Postulaten lassen sich auch die herkömmlichen therapeutischen Ansätze erklären: Triptane und Mutterkornalkaloide wirken gefässverengend, Betablocker dämpfen den Sympathikotonus, nichtsteroidale Antirheumatika antagonisieren die Prostaglandine, unterschiedliche alternativ-medizinische Ansätze (Biofeedback, Akupunktur usw.) zielen darauf, den «Stress» zu reduzieren.

Das offene Foramen ovale

Ein persistierendes offenes Foramen ovale (OFO) wird bei 15–25% der Gesamtbevölkerung gefunden; bei der Mehrzahl der betroffenen Personen bleibt es lebenslang ohne Krankheitswert. Einen evolutionären Vorteil scheint es nach aktuellen Erkenntnissen nicht zu bringen. Es wird aber mit einigen Krankheitsbildern [6,7] in Zusammenhang gebracht:
  • embolisch-ischämische zerebrovaskuläre Insulte
  • zerebrale (und systemische) Dekompressionskrankheit
  • Migräne mit Aura
  • Bei Zuständen mit erhöhter Druckoder Volumenbelastung im kleinen Kreislauf kann es zur transienten oder zunehmenden systemischen Hypoxämie führen. Abgesehen von den im klinischen Alltag selteneren kongenitalen Problemen (Ebstein-Anomalie, Pulmonalstenose), sind folgende Krankheitsbilder erwähnenswert:
    chronische obstruktive oder restriktive Lungenerkrankung
    primäre und sekundäre pulmonalarterielle Hypertonie (inklusive akute und chronische Lungenembolie)
    Myokardinfarkt mit rechtsventrikulärer Beteiligung
    Orthodeoxy-Platypnoe-Syndrom
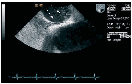
Verglichen mit einer altersentsprechenden Kontrollbevölkerung ist bei Personen mit grossem Vorhofseptumaneurysma, OFO und Nachweis von spontanem Luftbläschenübertritt im Echokardiogramm (Abb. 1) das Risiko für ein kryptogenes zerebrovaskuläres Ereignis auf das 5bis 16fache erhöht, sogenannte «high risk features» [7]. Gelegentlich werden diese Zusammenhänge jedoch auch in Frage gestellt [8]. Einige Autoren verneinen explizit einen Zusammenhang zwischen zerebrovaskulären Ereignissen und einem OFO [9]. Die Indikation zum perkutanen Verschluss des OFO wird unterschiedlich gehandhabt. Diese reicht vom dogma tischen «every hole has to be closed» bis zur konsequenten Zurückhaltung auch nach mehreren zerebrovaskulären Ereignissen bei fehlender andersweitiger Ursache.

Migräne und offenes Foramen ovale

Selbstverständlich leidet bei weitem weder jede Person mit einem OFO an kryptogener zerebraler Thromboembolie und umgekehrt, ebenso wenig wie jede Person mit OFO an Migräne leidet und umgekehrt. Die gleichzeitige Prävalenz von OFO und Migräne ist bei weitem nicht eruiert. Wenn beide Zustände sich weder gegenseitig ausschliessen noch der eine Zustand ein «sine qua non» für das Vorhandensein des anderen bildet, dürfte die Prävalenz beider Entitäten zusammen zwischen 2 und 8% liegen. Einige Arbeiten [10,11] berichten über eine mögliche symptomatische Besserung nach Verschluss eines OFO.
Abbildung 1. Spontaner Kontrastmittel-Übertritt durch das OFO in den linken Vorhof (Pfeile).
Abbildung 1. Spontaner Kontrastmittel-Übertritt durch das OFO in den linken Vorhof (Pfeile).
Cardiovascmed 09 00032 g001
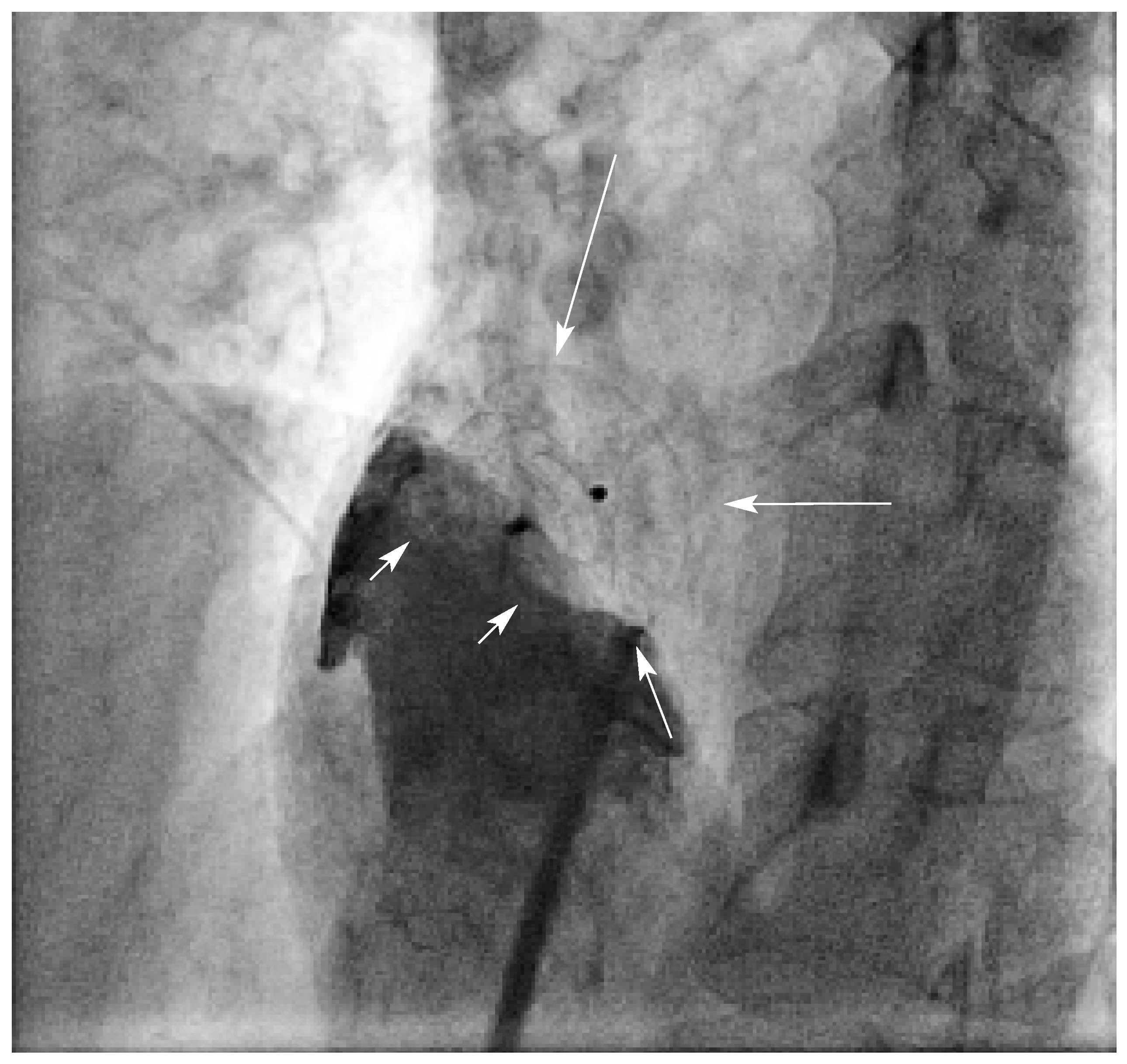
Abbildung 2. Kein Rest-Shunt nach Plazierung des Verschluss-Schirmes (Pfeile). Kontrastmittel-Injektion in den rechten Vorhof (kleine Pfeile).
Abbildung 2. Kein Rest-Shunt nach Plazierung des Verschluss-Schirmes (Pfeile). Kontrastmittel-Injektion in den rechten Vorhof (kleine Pfeile).
Cardiovascmed 09 00032 g002
Im ersten halben Jahr 2004 hat der Autor bei 11 Patienten ein OFO perkutan nach den oben erwähnten Kriterien verschlossen (Abb. 2). Davon litten 4 Patientinnen (38-, 39-, 44und 47jährig) seit Jahren an Migräne, wobei die Indikation zum OFO-Verschluss nicht aufgrund der Migränesymptomatik gestellt wurde. Sowohl unmittelbar vor und nach Plazierung des Amplatzer-PFO-Occluders™ als auch anlässlich der nach 3–6 Monaten durchgeführten Kontrollen wurden keine Rest-Shunts, weder mittels «Bubbles»-Kontrastnoch mittels Farbdoppler-Untersuchung nachgewiesen (Abb. 3).
Ohne einen «Kopfweh-Kalender» zu führen, berichteten 2 der 4 Patientinnen über eine anhaltende und deutliche Abnahme der MigräneAnfälle, sowohl was deren Häufigkeit, Dauer, Intensität als auch die Einnahme einer AnfallsMedikation betraf. Bei 2 Patientinnen trat eine vorübergehende Besserung auf, gefolgt von einem Rückfall in einen Status quo ante (ohne Verschlechterung). Warum einige Patienten über eine Besserung der Symptomatik berichten, ist zur Zeit nicht klar, auch unter Berücksichtigung der grösseren publizierten Fallzahlen.
Einige, nicht ausschliessliche, Erklärungsansätze könnten folgendermassen lauten:
Es handelt sich um einen vorübergehenden oder anhaltenden «Plazebo-Effekt». Eine «mechanische» Intervention, insbesondere wenn sie «spektakulär» und doch «patientenschonend» abläuft, dürfte in gewissen Fällen ein inhärentes heilendes oder befreiendes Potential besitzen.
Die, nicht von allen Kardiologen einheitlich gehandhabte, begleitende Verabreichung von Thrombozytenaggregationshemmern mit ihrer Prostaglandin-hemmenden Wirkung (Azetylsalizylsäure) oder direkten Aggregations-hemmenden Wirkung (Clopidogrel) könnte eine, von der Mechanik unabhängige, symptomatische Linderung bewirken.
Es könnte sich um den Spontanverlauf bei einigen Patienten handeln, bei der Symptomregredienz würde es sich dabei um eine Koinzidenz handeln.
Abbildung 3. Transösophageale Kontrolluntersuchung 6 Monate nach OFO-Verschluss ohne Rest-Shunt mittels Farbdoppler oder Bubble-Injektion, nach Husten und Pressen (es handelt sich nicht um den gleichen Patienten wie in Abbildung 1 und 2).
Abbildung 3. Transösophageale Kontrolluntersuchung 6 Monate nach OFO-Verschluss ohne Rest-Shunt mittels Farbdoppler oder Bubble-Injektion, nach Husten und Pressen (es handelt sich nicht um den gleichen Patienten wie in Abbildung 1 und 2).
Cardiovascmed 09 00032 g003
Der Übertritt von noch genauer zu definierenden, zirkulierenden neurohumoralen Faktoren, welche normalerweise in der Lunge deaktiviert werden, könnte mit dem Verschluss bei einigen Patienten unterbunden sein und dadurch eine Milderung der Symptomatik verursachen [11].
Für die oben erwähnten, in der Literatur postulierten, Hypothesen gibt es keine «Evidenzbasierten» Daten. Harte Beweise für oder gegen einen allfällig günstigen Verlauf der Krankheit nach OFO-Verschluss zu erbringen, dürfte zur Zeit schwer sein, nicht zuletzt aufgrund der noch weitgehend ungeklärten pathophysiologischen Migräne-Ursachen. Zum Beispiel könnte aufgeführt werden, dass die Gabe von ProstaglandinHemmern, auch in höheren Dosierungen und unabhängig von einem OFO-Verschluss, nur selten zu einer deutlichen Symptombesserung führen.
Tabelle 1. Vorgeschlagener Diagnostikund Behandlungsalgorithmus.
Tabelle 1. Vorgeschlagener Diagnostikund Behandlungsalgorithmus.
Cardiovascmed 09 00032 i001

Wie weiter?

Der oben dargestellte aktuelle Wissensstand über Migräne entspricht wahrscheinlich nicht der Komplexität des Krankheitsbildes. Man könnte meinen, dass dies umso mehr für Bestrebungen gelte, Migräne durch den Verschluss eines OFO zu heilen. In Ermangelung an reproduzierbar und anhaltend wirksamen Behandlungsmöglichkeiten sollte die OFO-Hypothese weiterverfolgt werden.
Ein interdisziplinäres Vorgehen unter Einbezug des Neurologen bzw. Kopfschmerzspezialisten, Hämatologen, Internisten und Kardiologen ist sicher sinnvoll bei der Indikationsstellung für einen Verschluss des OFO bei Patienten mit Migräne (Tab. 1).
Bis kontrollierte Studien vorliegen, scheint es uns sinnvoll, folgende Kriterien für den Verschluss eines OFO bei einem Patienten mit Migräne in Betracht zu ziehen:
Alter <60 Jahre. Nachgewiesenes klinisches neurologisches Ereignis und/oder Zeichen vaskulärer Läsionen in Schädel-MR oder-CT. Zugegebenermassen ist die vorgeschlagene Altersgrenze empirisch, die Wahrscheinlichkeit kausal nicht mit einem OFO zusammenhängenden ischämischen, embolischen oder hypertensiven zerebrovaskulären Ereignissen steigt jedoch mit zunehmendem Alter. Es bliebe in einem zweiten Schritt zu überprüfen, ob ältere Patienten auch von einem OFO-Verschluss profitieren könnten. Erfahrungsgemäss bilden jedoch auch nichtsignifikant stenosierende Plaques im Aortenbogen und in den extraoder intrakraniellen Gefässabschnitten sowie intermittierendes Vorhofflimmern eine häufigere Ursache für zerebrovaskuläre Ereignisse bei über 60jährigen Patienten.
Ausschluss von Patienten mit organischer Herzkrankheit, Rhythmusstörungen, relevanter Atherosklerose bzw. Plaques-Bildung der hirnzuführenden Arterien und des Aortenbogens – auch ohne signifikante Stenosen der Gefässe – und vorerst Patienten mit Gerinnungsstörungen (Untersuchung auf APC-Resistenz, Faktor-V-Leiden-Mutation, Protein C und S, AT-III, Antiphospholipid-Antikörper, Homocystein usw.)
Eine wenn möglich einheitliche Definition sowohl einer «Migräne» als auch eines Hinweises für eine vaskuläre Läsion im bildgebenden Verfahren sollte angestrebt werden. Die anamnestischen Daten wie Dauer der Beschwerden, Führung eines Kopfweh-Kalenders usw. oder einer einfacheren Skalierung, inklusive der verwendeten Menge an Basisund Akutmedikation usw., sollten unter den Klinikern auch vereinheitlicht werden. Patienten mit Migräne, welche ein dokumentiertes zerebrovaskulär-ischämisches Ereignis mit OFO durchmachten oder die einen interventionellen Verschluss ablehnen, werden in einem separaten Arm konventionell behandelt (Tab. 1). Beim oben erwähnten, diagnostischen und therapeutischen Algorithmus handelt es sich um einen empirischen Vorschlag, welcher auf einzelnen Erfahrungswerten beruht und selbstverständlich einem Kollektivkonsens angepasst werden muss.
Aufgrund der zum Erreichen einer Aussage notwendigen Zahlen wäre schliesslich eine multizentrische und kontrollierte Studie sinnvoll. Auch hierfür wird es womöglich schwierig sein, harte «Evidenz-basierte» Daten zu sammeln: dass eine solche Anstrengung weder randomisiert noch doppelblind oder mit einer «Intentionto-treat»-Vorgabe durchgeführt werden kann und dass es sich bei den Endpunkten nur um «weiche» Kriterien handelt, ist klar. Die Natur der Migräne als oft invalidisierende Krankheit rechtfertigt unseres Erachtens ein solches Vorgehen. Ob sich mit der Zeit «Tests» entwickeln lassen, die helfen könnten, Patienten zu unterscheiden, welche auf einen OFO-Verschluss ansprechen, von denjenigen, die es nicht tun, kann heute nur gehofft werden. Seit der Verfassung dieses Beitrages sind viele zusätzliche Arbeiten [unter anderem 12, 13] erschienen. Die unterschiedlichen Auffassungen sind sich – nicht unerwartet – nicht näher gekommen, so dass Flachskampf [14] wahrscheinlich noch öfters zitiert werden wird: «… For a very small group among the 20–30% of the population who have a PFO, closure is appropriate – we just don’t know exactly for whom. …»

References

  1. Wilmshurst, P.T.; Nightingale, S.; Walsh, K.P.; et al. Effect on migraine of closure of cardiac right-to-left shunts to prevent reccurence of decompression illness or stroke or for haemodynamic reasons. Lancet 2000, 356, 1648–1651. [Google Scholar] [CrossRef] [PubMed]
  2. Spierings, E.L.H. The aura-headache connection in migraine: a historical analysis. Arch Neurol 2004, 61, 794–799. [Google Scholar] [CrossRef]
  3. Matchar, D.B.; McCrory, D.C.; Gray, R.N. Toward evidence – based management of migraine. JAMA 2000, 284, 2640–2641. [Google Scholar] [CrossRef] [PubMed]
  4. Rapoport, A.; Edmeads, J. Migraine: the evolution of our knowledge. Arch Neurol 2000, 57, 1221–1223. [Google Scholar] [CrossRef] [PubMed]
  5. Smetana, G.W. The diagnostic value of historical features in primary headache syndromes: a comprehensive review. Arch Int Med 2000, 160, 2729–2737. [Google Scholar] [CrossRef]
  6. Landzberg, M.J.; Khairy, P. Indications for the closure of patent foramen ovale. Heart 2004, 90, 219–224. [Google Scholar] [CrossRef] [PubMed]
  7. Schwerzmann, M.; Windecker, S.; Wahl, A.; et al. Percutaneous closure of patent foramen ovale: impact of device design on safety and efficacy. Heart 2004, 90, 186–190. [Google Scholar] [CrossRef]
  8. Mas, J.L.; Arquinzan, C.; Lamy, C.; et al. Recurrent cerebrovascular events associated with patent foramen ovale, atrial septal aneurysm or both. N Engl J Med 2001, 345, 1740–1746. [Google Scholar] [CrossRef] [PubMed]
  9. Messe, S.R.; Silverman, I.E.; Kizer, J.R.; Homma, S.; Zahn, C.; Gronseth, G.; et al. Practice parameter: recurrent stroke with patent foramen ovale and atrial septal aneurysm: report of the Quality Standards Subcommittee of the American Academy of Neurology. Neurology 2004, 62, 1042–1050. [Google Scholar] [CrossRef]
  10. Homma, S.; Sacco, R.L.; Di Tullio, M.R.; et al. Atrial anatomy in non-cardioembolic stroke patients: effects of medical therapy. J Am Coll Cardiol 2003, 42, 1066–1072. [Google Scholar] [CrossRef]
  11. Milhaud, D.; Bogousslavsky, J.; Van Melle, G.; et al. Ischemic stroke and active migraine. Neurology 2001, 57, 1805–1811. [Google Scholar] [CrossRef] [PubMed]
  12. Mortelmans, K.; Post, M.; Thijs, V.; et al. The influence of percutaneous atrial septal defect closure on the occurence of migraine. Eur Heart J 2005, 26, 1533–1537. [Google Scholar] [CrossRef]
  13. Wilmshurst, P.T.; Nightingale, S.; Walsh, K.P.; et al. Clopidogrel reduces migraine with aura after transcatheter closure of persistent foramen ovale and atrial septal defects. Heart 2005, 91, 1173–1175. [Google Scholar] [CrossRef] [PubMed]
  14. Flachskampf, F.A.; Daniel, W.G. Closure of patent foramen ovale: is the case really closed as well? Heart 2005, 91, 449–450. [Google Scholar] [CrossRef] [PubMed][Green Version]

Share and Cite

MDPI and ACS Style

Wagdi, P. Migräne und Offenes Foramen Ovale: Nur ein Vorübergehender Hoffnungsschimmer? Cardiovasc. Med. 2006, 9, 32. https://doi.org/10.4414/cvm.2006.01142

AMA Style

Wagdi P. Migräne und Offenes Foramen Ovale: Nur ein Vorübergehender Hoffnungsschimmer? Cardiovascular Medicine. 2006; 9(1):32. https://doi.org/10.4414/cvm.2006.01142

Chicago/Turabian Style

Wagdi, Philipp. 2006. "Migräne und Offenes Foramen Ovale: Nur ein Vorübergehender Hoffnungsschimmer?" Cardiovascular Medicine 9, no. 1: 32. https://doi.org/10.4414/cvm.2006.01142

APA Style

Wagdi, P. (2006). Migräne und Offenes Foramen Ovale: Nur ein Vorübergehender Hoffnungsschimmer? Cardiovascular Medicine, 9(1), 32. https://doi.org/10.4414/cvm.2006.01142

Article Metrics

Back to TopTop