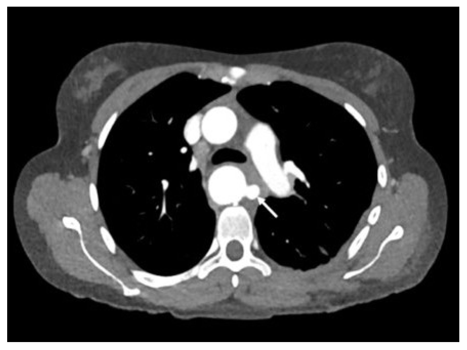
A Rare Cause of Dyspnoea and Its Surgical Treatment †
Abstract
Conflicts of Interest
References
- Backer, C.L. Vascular rings with tracheoesophageal compression: management considerations. Semin Thorac Cardiovasc Surg Pediatr Card Surg Annu. 2020, 23, 48–52. [Google Scholar] [CrossRef] [PubMed]
- Saran, N.; Dearani, J.; Said, S.; Fatima, B.; Schaff, H.; Bower, T.; et al. Vascular rings in adults: outcome of surgical management. Ann Thorac Surg. 2019, 108, 1217–1227. [Google Scholar] [CrossRef] [PubMed]
- Vinnakota, A.; Idrees, J.J.; Rosinski, B.F.; Tucker, N.J.; Roselli, E.E.; Pettersson, G.B.; et al. Outcomes of repair of Kommerell diverticulum. Ann Thorac Surg. 2019, 108, 1745–1750. [Google Scholar] [CrossRef] [PubMed]
- Backer, C.L.; Russell, H.M.; Wurlitzer, K.C.; Rastatter, J.C.; Rigsby, C.K. Primary resection of Kommerell diverticulum and leh subclavian artery transfer. Ann Thorac Surg. 2012, 94, 1612–1617. [Google Scholar] [CrossRef] [PubMed]









© 2022 by the authors. Attribution - Non-Commercial - NoDerivatives 4.0.
Share and Cite
Carrel, T.; Greutmann, M.; Vogt, P. A Rare Cause of Dyspnoea and Its Surgical Treatment. Cardiovasc. Med. 2022, 25, 143. https://doi.org/10.4414/cvm.2022.02200
Carrel T, Greutmann M, Vogt P. A Rare Cause of Dyspnoea and Its Surgical Treatment. Cardiovascular Medicine. 2022; 25(5):143. https://doi.org/10.4414/cvm.2022.02200
Chicago/Turabian StyleCarrel, Thierry, Matthias Greutmann, and Paul Vogt. 2022. "A Rare Cause of Dyspnoea and Its Surgical Treatment" Cardiovascular Medicine 25, no. 5: 143. https://doi.org/10.4414/cvm.2022.02200
APA StyleCarrel, T., Greutmann, M., & Vogt, P. (2022). A Rare Cause of Dyspnoea and Its Surgical Treatment. Cardiovascular Medicine, 25(5), 143. https://doi.org/10.4414/cvm.2022.02200
