Abstract
Aortic valve repair represents a valuable option for the treatment of patients with aortic valve regurgitation, in order to provide optimal freedom from valve-related events during follow-up. Several techniques to achieve a sustained repair have been proposed, and annular stabilisation has been evoked as a key factor to guarantee long-term durability. Recently, a novel rigid ring has been introduced into surgical practice. Here we present the initial experience in Switzerland with this promising approach.
Introduction
Aortic valve repair is an elegant strategy for the treatment of patients with aortic valve regurgitation, as there is no need for anticoagulation and it takes advantage of autologous leaflet tissue that provides durability, resistance to infection, remodelling capability and physiological movement [1,2,3]. Several techniques have been proposed, and annular stabilisation, as in the mitral and tricuspid valves, is a key factor in avoiding the risk of recurrence of regurgitation due to progression of root dilation [4].
Recently, an internal geometric annuloplasty ring (HAART 300™ device, BioStable Science and Engineering, Austin, TX) has been introduced and promising results have been reported. The device is implanted 2 mm below the aortic annulus and its anatomical shape, designed on the basis of computed tomography (CT) analysis of normal aortic root anatomy, is able to restore the normal relationship between the leaflets and guarantee annular stabilisation [5].
The aim of this article is to report the early results in the first cohort of patients managed in Switzerland by reconstruction of the aortic valve with implantation of an adjunctive subaortic rigid ring.
Patients and methods
Demographic and preoperative features
Nine patients (mean ± standard deviation age 56 ± 17 years, range 28–77 years, 6 males) have been treated with implantation of rigid aortic annuloplasty ring (HAART Ring 300™, BioStable Science and Engineering, Austin, TX). In five cases a 19-mm ring was implanted, in two a 21-mm ring and in two a 23-mm ring. In three patients a combined mitral valve repair was performed with a Carpentier Edwards Physio II Ring (Edwards Lifesciences, Irvine, CA, USA) annuloplasty. In three cases other aortic procedures were performed concurrently (two root remodelling operations with an associated hemiarch resection and one ascending aorta graft interposition).
The main indication for surgery was symptomatic isolated severe aortic regurgitation (six cases) and moderate to severe aortic insufficiency with dilation of the aortic root or ascending aorta (three) cases. The mean New York Heart Association (NYHA) class was II. Pre-operative echocardiography showed a dilated left ventricle (mean left ventricular end-diastolic volume [LVEDV] 150 ± 79 ml) with a partially preserved ejection fraction (55 ± 8%). The mean regurgitant volume was 56 ± 8 ml/beat, and pressure half time on the aortic valve was 230 ± 45 cm/sec. No increased gradients through the aortic valve were detected (mean gradient 9 ± 3 mm Hg).
The aetiology of the aortic regurgitation was degenerative in three cases with cusp prolapse, postrheumatic in one case with a partial cusp retraction and functional, as a result of dilation of ascending aorta or annular dilation, in five cases.
Adjunctive aortic leaflet procedures were: three-leaflet free margin plication with 6-0 polypropylene continuous suture in three cases, right coronary leaflet plication in two cases, and in one case a complete tricuspidalisation of a partial congenital fusion between the left and right aortic cusps with a normal tricuspid root. Table 1 summarises the main preoperative and intraoperative features.
Table 1.
Preoperative features and operative data.
Data collection, definitions and follow up
Data regarding preoperative features, intraoperative characteristics and postoperative outcome were prospectively recorded from an institutional database during the recruitment period (July 2016 to June 2017). This was an “all comers” study and included all patients with an indication for surgery due to aortic valve regurgitation or root dilation, with a repairable aortic valve, and suitable on inspection at operation for HAART ring implantation. A single surgeon was responsible for decision making and for the operation. Pure bicuspid anatomy was the only exclusion criterion: one patient had a partial fusion of the left and right coronary leaflets, but a tricuspid root was present and so the case was judged suitable for HAART ring implantation after tricuspidalisation of the aortic valve. Aortic regurgitation was classified in four grades: absent to trivial; mild (pressure half time [PHT] 800–450 cm/ sec or regurgitant volume [RV] <30 ml/beat); moderate (PHT 450–200 cm/sec or RV between 30 and 60 ml/beat) and severe (PHT <200 cm/sec or RV >60 ml/beat.
The primary endpoints of the study were successful device implantation, defined as no need of a new aortic cross-clamp for valve replacement, and safety of the procedure, defined as no increase in 30-day mortality.
Secondary endpoints were valve-related events, both in hospital and during the follow-up period, which were defined as need for reintervention on the aortic valve, recurrence of severe or moderate aortic valve regurgitation, increased aortic pressure gradients (mean gradient >20 mm Hg), new onset of neurological events or thromboembolic events.
Major perioperative complications were also analysed. A pulmonary complication was defined as an episode of primary respiratory failure requiring mechanical ventilation for more than 48 hours, re-intubation, or intermittent application of noninvasive positive pressure ventilation. Permanent neurological complications owing to focal or general cerebral lesions were defined as a stroke. A transient ischaemic attack was reported when neurological symptoms lasted less than 24 hours. Acute kidney injury was defined as a two-fold increase of serum creatinine levels compared with preoperative values or oliguria necessitating continuous veno-venous haemodiafiltration. Operative mortality comprised death in hospital at any time after operation or within 30 days after discharge.
Follow-up was 100% complete with a mean duration of 6 ± 1 months (range 5–7). A single investigator was responsible for the accuracy of data recording. The clinical follow-up of all patients included clinical examination, and 12-lead ECG and transthoracic echocardiography examinations. Cardiac and noncardiac morbidity was recorded. These data were compared with data recorded during the hospital stay. Informed consent for data collection was obtained in accordance with University Hospital of Zurich protocols.
Surgical technique
The HAART 300TM aortic annuloplasty ring (BioStable Science and Engineering, Austin, TX) was recently introduced to achieve annular stabilisation in patients with tricuspid anatomy. It was developed from mathematical analyses of normal human CT angiograms and has a 2:3 elliptical shape with three equidistant subcommissural posts, pointing 10° outwards (Figure 1a). The device is produced in four different sizes: 19, 21, 23 and 25 mm.
Figure 1.
(a) The HAART 300™ ring device; (b) schematic view of device implantation; (c) sizing procedure; (d) an intraoperative view. Photos courtesy of Prof. JS Rankin.
The ring implantation needs the positioning of three 4-0 polypropylene horizontal mattress sutures passed at the level of the subcomissural spaces and to the ring posts, in order to parachute the device 2 mm below the aortic leaflets, fixing it to the aortic annulus. Next, each ring body is anchored to the annulus by means of two separated double armed 4-0 polypropylene suture passed in order to make a loop around the ring itself (Figure 1b). The correct ring size is chosen by means of a specific ball-shaped sizing system that defines the length of the free edge of the leaflet due to a black hatched area (Figure 1c). An intraoperative view is presented in Figure 1d.
A complete median sternotomy was performed in all cases. Cardiopulmonary bypass was instituted with direct arterial cannulation of the aortic arch and venous drainage was obtained via the right atrium. Pulmonary venting was achieved with cannulation of the left superior pulmonary vein. Anterograde cardioplegia was induced in the conventional way.
Results
The mean aortic cross-clamp time was 111 ± 40 minutes and mean cardiopulmonary bypass time was 155 ± 45 minutes.
In-hospital survival was 100%. Predischarge echocardiography showed no cases of residual aortic regurgitation classed as more than mild or stenosis. An initial reduction of left ventricle volume was recorded (mean LVEDV 126 ± 36 ml). Echo-analysis before discharge showed a mean regurgitant volume of 13 ± 8 ml/beat. No increased gradients were detected (mean gradient 10 ± 4 mm Hg). Table 2 presents the main echocardiographic results. Postoperative course was event-free, except for one case of transient delirium and two cases of postoperative pericardial effusion in patients with valve sparing operations. No complete atrioventricular block or pacemaker implantation occurred. Mean hospital stay was 8 ± 1 days. Figure 2 presents the results of postoperative imaging evaluations with echocardiography and CT scans.
Table 2.
Preoperative, postoperative and follow-up (FU) echocardiographic variables.
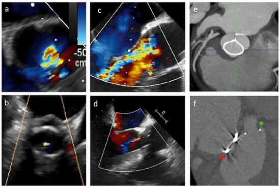
Figure 2.
Main features of aortic valve repair with HAART ring implantation. (a), (b) Transoesophageal echocardiographic short axis view of the aortic valve before and after repair; (c), (d) long axis view of the aortic valve before and after repair; (e) postoperative CT; (f) postoperative CT showing double ring implantation.
At the 3-month follow-up, a case of non-disabling stroke with no permanent deficit was recorded for a patient with persistent atrial fibrillation. No case of death, bleeding or other valve-related complications were seen.
Three and 6-month follow-up echocardiography showed no difference from predischarge data (Table 2). Moreover, in all cases there was complete regression of symptoms.
Discussion
Repair techniques for the aortic valve were proposed on the basis of favourable experience with mitral and tricuspid valve reconstruction. This was firmly based on the premise that our entire physical makeup and body structures are the end result of millions of years of evolutionary development. Thus, a better outcome and freedom from valve-related events have been widely reported, although avoidance of reoperation depends on the type and extent of the repair procedure. The benefits of mitral valve repair over mitral valve replacement are well documented [6], but the real impact of aortic valve repair on prognosis has been only recently described [1].
The HAART ring 300™ was recently developed as an internal rigid ring aiming to achieve annular stabilisation and improve long-term durability of a repaired aortic valve. As in the mitral and tricuspid positions, the stabilisation of the aortic annulus is a key factor in achieving a durable repair. Several techniques aiming to ensure this have been proposed. In this respect, the HAART ring device seems to have several properties able to enhance annular stabilisation. The device is implanted in subaortic position, 2 mm below the aortic annulus, and its geometrical architecture, an elliptical shape with a 2:3 diameter ratio and three equidistant subcommissural posts that flare outwards at 10°, was designed to restore the normal leaflet configuration in the setting of aortic annular dilation with tricuspid anatomy [5]. The device has a titanium core that provides a truly rigid and nondeformable support for the aortic annulus, with the aim to prevent possible progression of enlargement and recurrence of aortic regurgitation during follow-up. Mazzitelli and co-workers reported promising results, with no valve-related events or deaths recorded at 2-year follow up, despite a 10% incidence of aortic valve replacement during the followup period. In this initial series, recurrence of aortic regurgitation was the result of surgical technical inaccuracies associated with introduction of a new technique [7].
Our report summarises the initial experience at the University Heart Centre of Zurich since June 2016: a group of 9 patients (56 ± 17 years old) was successfully treated with aortic valve repair and adjunctive HAART ring device implantation. The procedure was safe with an in-hospital survival of 100% and a very low rate of perioperative complications: there were two cases of pericardial effusion that were probably related not the ring itself but to the associated aortic root procedures. At early follow-up we recorded an acceptable freedom from valve-related events and complete regression of heart failure symptoms. There was a single case of minor stroke, but this was related to atrial fibrillation. Six-month survival, freedom from reoperation and from recurrence of aortic regurgitation were also 100%.
This paper reports for the fist time a “real world” experience with HAART ring implantation and the data are not related to the trial designed for the device approval. Despite the small number of patients and the learning curve period, our results do not differ from the larger experience already published [5,7]. More, these data reflect a single-centre, single-surgeon experience and thus there are no confounding factors related to different surgical skills or repair strategies. Furthermore, we report for the first time the feasibility of concomitant “double-ring” aortic and mitral valve repair.
Patient selection plays a key role in achieving of a durable repair. Theoretically, all cases of isolated aortic regurgitation with pliable leaflets that have good mobility may be suitable for a repair approach, guided by pathophysiology assessment. Thus, there are no strict contraindications to HAART ring implantation in a tricuspid valve. Pure bicuspid morphology will be soon approached with a specific device [8].
We enrolled patients with isolated annular dilation or leaflet prolapse, avoiding restrictive lesions needing patch augmentation, or post-endocarditis, severe postrheumatic and calcified valves. A commissural stress laceration was considered to be a marker of advanced pathology and not suitable for reconstruction. Dilation of the ascending aorta was successfully managed with concurrent supracoronary replacement. An aortic root aneurysm was also approached with the remodelling procedure, even if this strategy is surgically much more demanding, and a completely different operation might be needed to avoid complications.
These promising observations are in line with the current literature and should be confirmed in further analyses. If confirmed, this could represent a valuable option for valve repair. Even though other techniques for annular stabilisation have been described, the rigid titanium core of this new device should guarantee a stronger and more durable annular stabilisation. Of course our study has several limitations that we would like to clarify: it included a small group of patients with a short follow-up period and, most importantly, there was no comparison group of patients undergoing aortic valve repair without the ring implantation. This should be the subject of further investigations, which need a longer follow-up period to have clinical relevance.
Conclusion
Aortic valve repair with adjunctive rigid subaortic ring implantation with the HAART 300™ device is a safe procedure and it is not associated with increased mortality or cardiovascular events during short-term follow-up. More data should be collected to confirm these promising results.
Conflicts of Interest
Dr Weber and Prof. Rankin are consultant surgeons for Biostable and obtain research grant from the industry. The other authors have no conflict of interest to declare.
References
- Boodhwani, M.; El Khoury, G. Aortic valve repair: indications and outcomes. Curr Cardiol Rep. 2014, 16, 490. [Google Scholar] [CrossRef] [PubMed]
- de Meester, C.; Pasquet, A.; Gerber, B.L.; Vancraeynest, D.; Noirhomme, P.; Gerber, B.L.; et al. Valve repair improves the outcome of surgery for chronic severe aortic regurgitation: a propensity score analysis. J Thorac Cardiovasc Surg. 2014, 148, 1913–1920. [Google Scholar] [CrossRef] [PubMed]
- Price, J.; De Kerchove, L.; Glineur, D.; Vanoverschelde, J.L.; Noirhomme, P.; El Khoury, G. Risk of valve-related events after aortic valve repair. Ann Thorac Surg. 2013, 95, 606–612; discussion 613. [Google Scholar] [CrossRef] [PubMed]
- Richardt, D.; Bucsky, B.; Charitos, E.I.; Sievers, H.H.; Scharfschwerdt, M. A Novel Rigid Annuloplasty Ring for Aortic Valve Reconstruction: An In Vitro Investigation. Ann Thorac Surg. 2014, 97, 811–815. [Google Scholar] [CrossRef] [PubMed]
- Mazzitelli, D.; Nöbauer, C.; Rankin, J.S.; Badiu, C.C.; Dorfmeister, M.; Crooke, P.S.; Wagner, A.; Schreiber, C.; Lange, R. Early results of a novel technique forring-reinforced aortic valve and root restoration. Eur J Cardiothorac Surg. 2014, 45, 426–430. [Google Scholar] [CrossRef] [PubMed]
- Enriquez-Sarano, M.; Schaff, H.V.; Orszulak, T.A.; Tajik, A.J.; Bailey, K.R.; Frye, R.L. Valve repair improves the outcome of surgery for mitral regurgitation: a multivariate analysis. Circulation. 1995, 91, 1022–1028. [Google Scholar] [CrossRef] [PubMed]
- Mazzitelli, D.; Fischlein, T.; Rankin, J.S.; Choi, Y.H.; Stamm, C.; Pfeiffer, S. Geometric ring annuloplasty as an adjunct to aortic valve repair: clinical investigation of the HAART 300 device. Eur J Cardiothorac Surg. 2016, 49, 987–993. [Google Scholar] [CrossRef] [PubMed]
- Mazzitelli, D.; Pfeiffer, S.; Rankin, J.S.; Fischlein, T.; Choi, Y.H.; Wahlers, T.; et al. A Regulated Trial of Bicuspid Aortic Valve Repair Supported by Geometric Ring Annuloplasty. Ann Thorac Surg. 2015, 99, 2010–2016. [Google Scholar] [CrossRef] [PubMed]
© 2018 by the author. Attribution - Non-Commercial - NoDerivatives 4.0.

