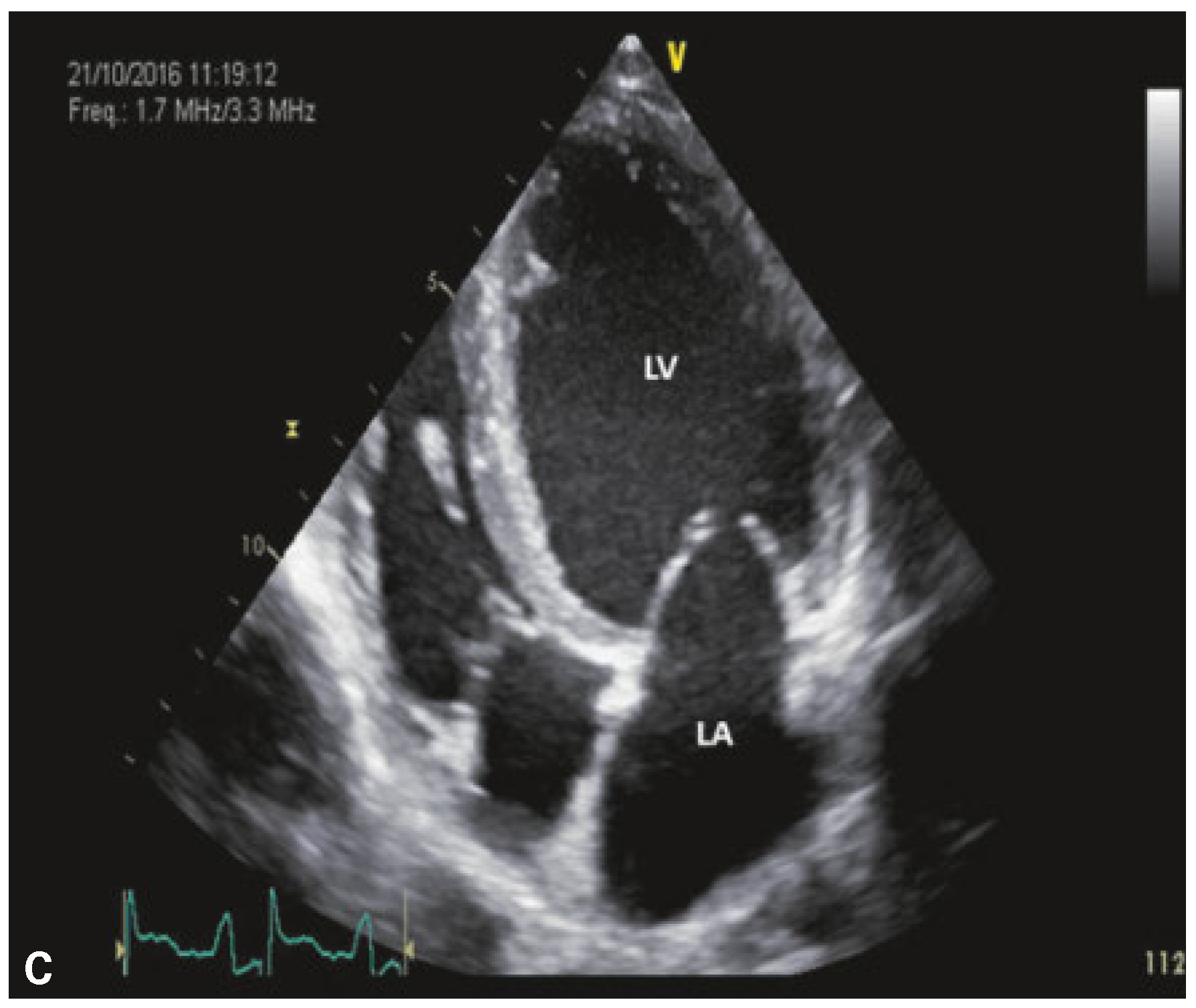
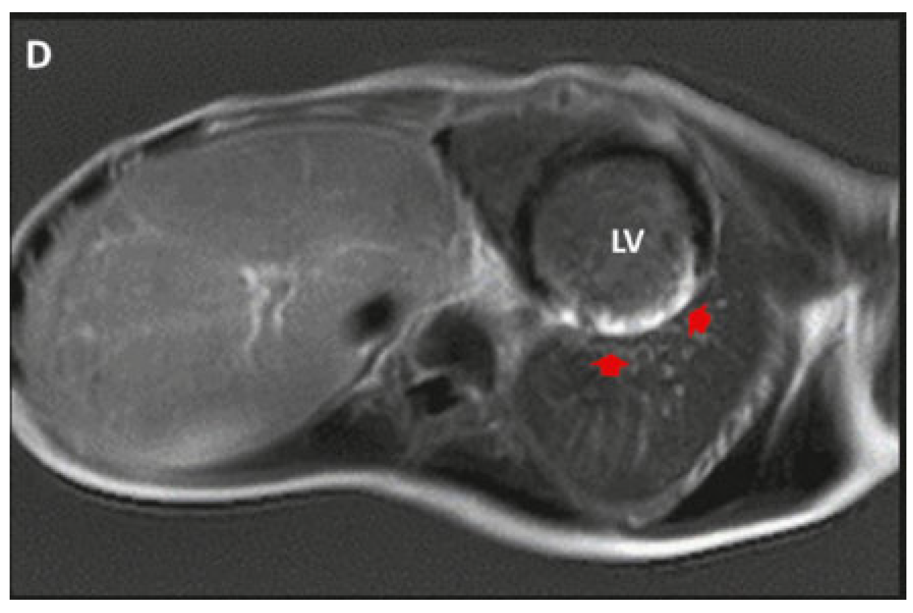
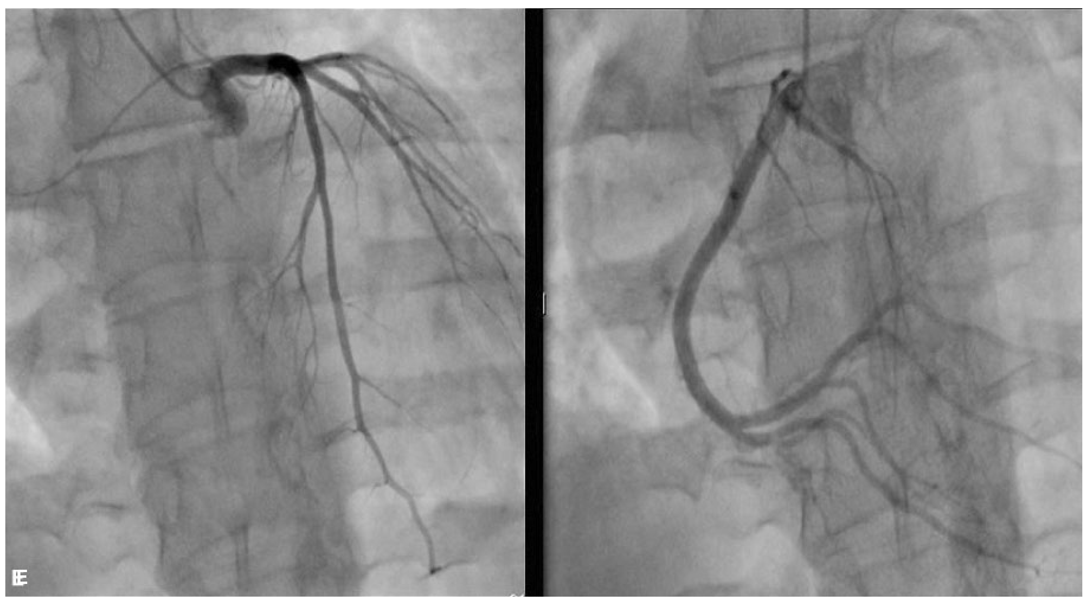
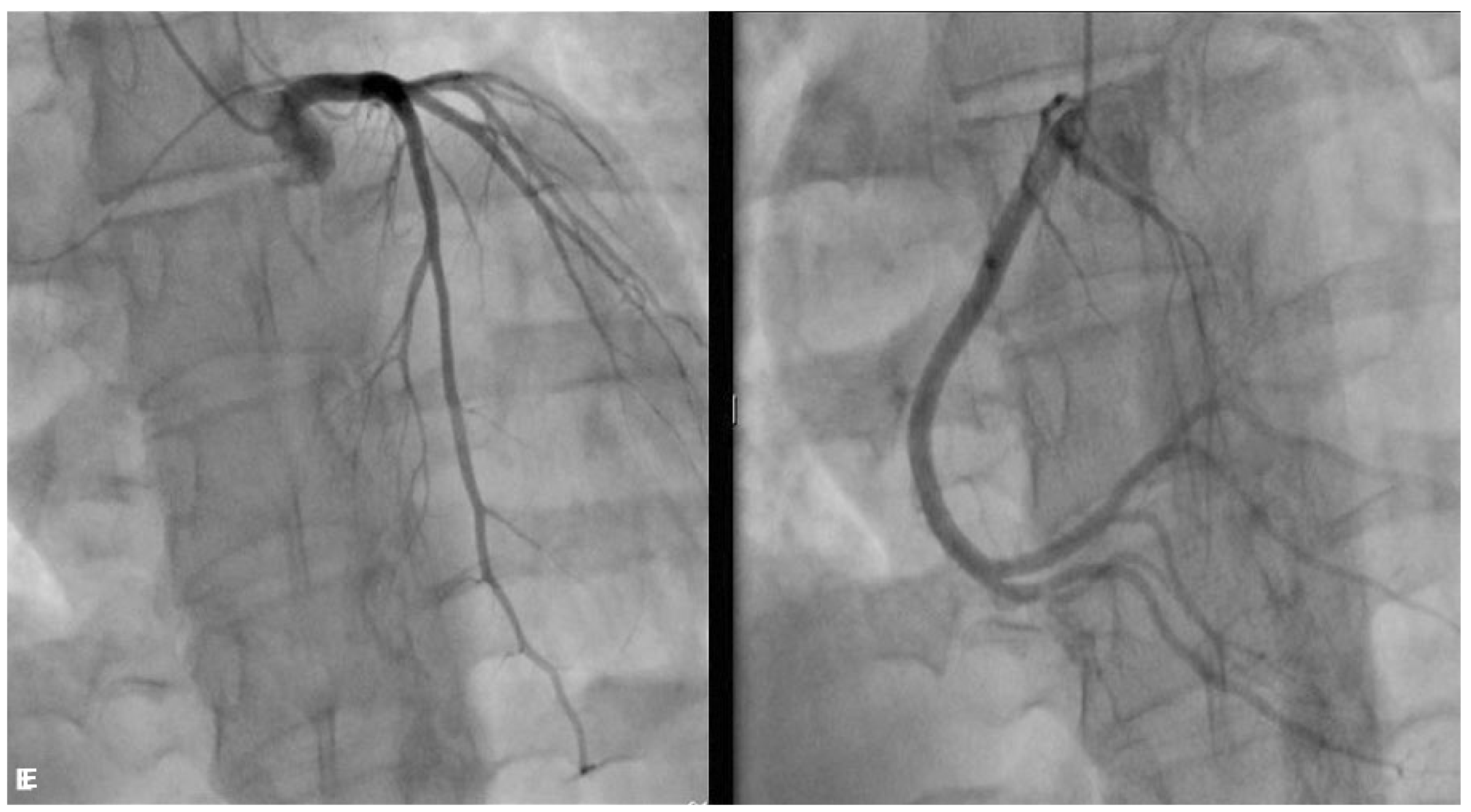
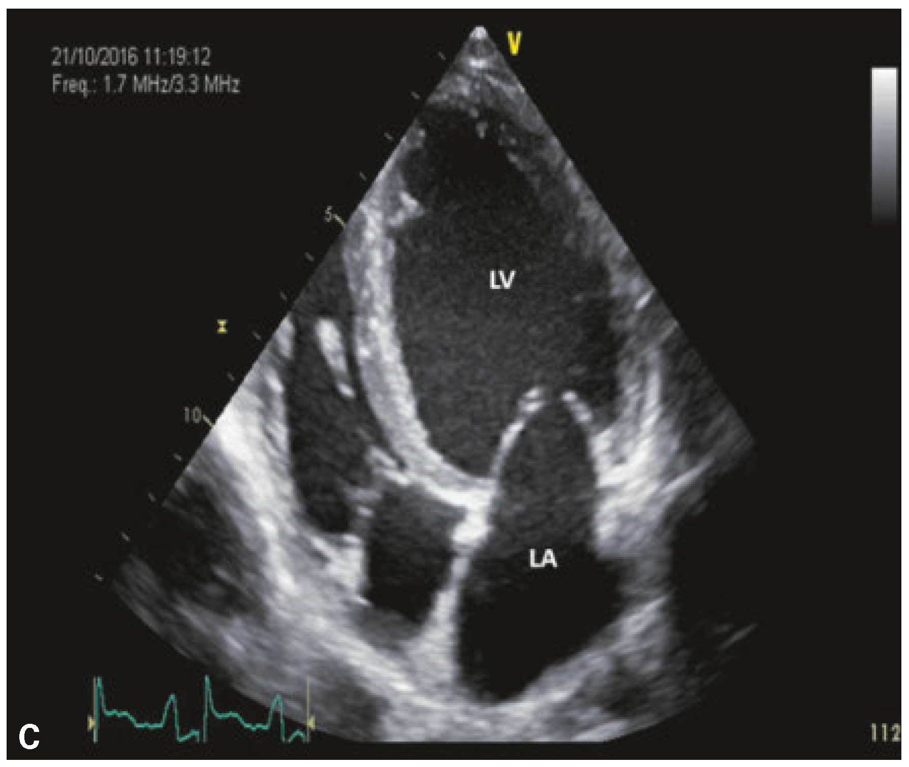
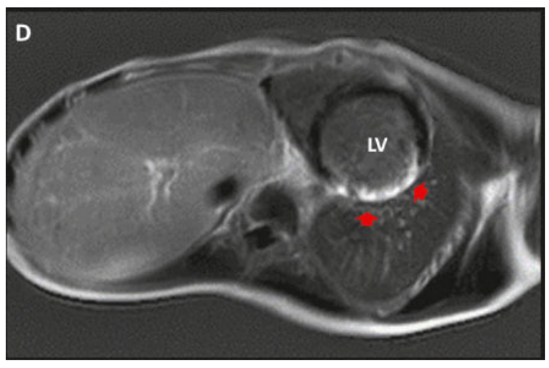
An Unusual Heart Disease in a Young Old Boy
Conflicts of Interest
References
- Charron, P.; Arbustini, E.; Bonne, G. What should the cardiologist know about lamin disease. Arrhythm Electrophysiol Rev. 2012, 1, 22–28. [Google Scholar] [CrossRef] [PubMed]
- Kumar, S.; Baldinger, S.; Grandjbakhch, E.; Maury, P.; Sellal, J.M.; Androulakis, A.F.; et al. Long-term arrhythmic and nonarrhythmic outcomes of Lamin A/C mutation carriers. J Am Coll Cardiol. 2016, 68, 229–307. [Google Scholar] [CrossRef] [PubMed]
- van Rijsingen, I.A.; Arbustini, E.; Elliot, P.; Mogensen, J.; Hermans-van Ast, J.F.; van der Kooi, A.J.; et al. Risk factors for malignant ventricular arrhythmias in Lamin A/C mutation carriers. J Am Coll Cardiol. 2012, 59, 493–500. [Google Scholar] [CrossRef] [PubMed]
- Holmström, M.; Kivistö, S.; Heliö, T.; Jurkko, R.; Kaartinen, M.; Antila, M.; et al. Late gadolinium enhanced cardiovascular magnetic resonance of lamin A/C gene mutation related dilated cardiomyopathy. J Cardiovasc Magn Reson. 2011, 13, 30. [Google Scholar] [CrossRef] [PubMed]





© 2018 by the author. Attribution - Non-Commercial - NoDerivatives 4.0.
Share and Cite
Foglia, C.L.; Valentino, M.D.; Menafoglio, A. An Unusual Heart Disease in a Young Old Boy. Cardiovasc. Med. 2018, 21, 174. https://doi.org/10.4414/cvm.2018.00570
Foglia CL, Valentino MD, Menafoglio A. An Unusual Heart Disease in a Young Old Boy. Cardiovascular Medicine. 2018; 21(6):174. https://doi.org/10.4414/cvm.2018.00570
Chicago/Turabian StyleFoglia, Corinna Leoni, Marcello Di Valentino, and Andrea Menafoglio. 2018. "An Unusual Heart Disease in a Young Old Boy" Cardiovascular Medicine 21, no. 6: 174. https://doi.org/10.4414/cvm.2018.00570
APA StyleFoglia, C. L., Valentino, M. D., & Menafoglio, A. (2018). An Unusual Heart Disease in a Young Old Boy. Cardiovascular Medicine, 21(6), 174. https://doi.org/10.4414/cvm.2018.00570
