You are currently viewing a new version of our website. To view the old version click .
Cardiovascular Medicine
  • Cardiovascular Medicine is published by MDPI from Volume 28 Issue 1 (2025). Previous articles were published by another publisher in Open Access under a CC-BY (or CC-BY-NC-ND) licence, and they are hosted by MDPI on mdpi.com as a courtesy and upon agreement with Editores Medicorum Helveticorum (EMH).
  • Review
  • Open Access

22 May 2013

Coronary Risk Assessment by Computed Tomography in Asymptomatic Individuals

,
,
,
,
,
,
and
1
Cantonal Hospital, 4600 Olten, Switzerland
2
Department of Cardiology, University Hospital, 8091 Zurich, Switzerland
3
Department of Angiology University Hospital, 1011 Lausanne, Switzerland
4
Department of Internal Medicine, University of Lausanne, 1015 Lausanne, Switzerland

Abstract

Coronary risk prediction remains a difficult task: coronary risk charts rely on major independent coronary risk factors, which do not necessarily predict risk in different populations, are poorly validated externally and may need recalibration to improve predictive accuracy. Coronary artery calcification (CAC) can be visualised and quantified using computed tomography. On the basis of receiver operating characteristic (ROC) curves, several studies have shown that CAC does confer incremental value on coronary risk charts and increase the accuracy of outcome prediction. CAC measurements may be considered in intermediate-risk subjects, or in those where traditional cardiovascular risk factors fail to assess risk adequately, for example, subjects with a family history of premature coronary artery disease. Computed tomography coronary angiography (CTCA) visualises and helps to quantify soft coronary plaques and stenosis. CTCA in asymptomatic patients has very rarely been studied and its diagnostic accuracy in comparison with invasive procedures is acceptable in noncalcified coronary segments. There being no current role for CTCA imaging for asymptomatic patients to reduce risk in primary care, CTCA should not be used to stratify coronary risk.

Coronary calcification

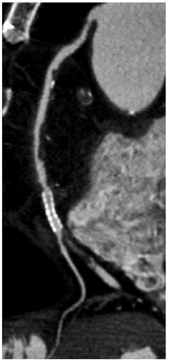
Coronary artery calcification (CAC) has been studied extensively since 1984. Reproducible measurements of CAC can be obtained only with electrocardiogram (ECG) triggering during image acquisition in computed tomography (CT). Visible CAC on a CT scan is 100% specific for coronary atherosclerosis (Figure 1) and is defined as a threshold of 130 Hounsfield units, which correlates with a calcium hydroxylapatite concentration of 102.7 g/cm3 [1]. CAC is significantly correlated with the amount of noncalcified plaque and is therefore a measure of the total plaque burden, including soft or “vulnerable” plaques, in unselected patients and in patients with unstable angina [2]. Calcium scoring has major limitations, for example, zero calcium does not exclude significant coronary artery disease.
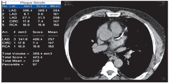
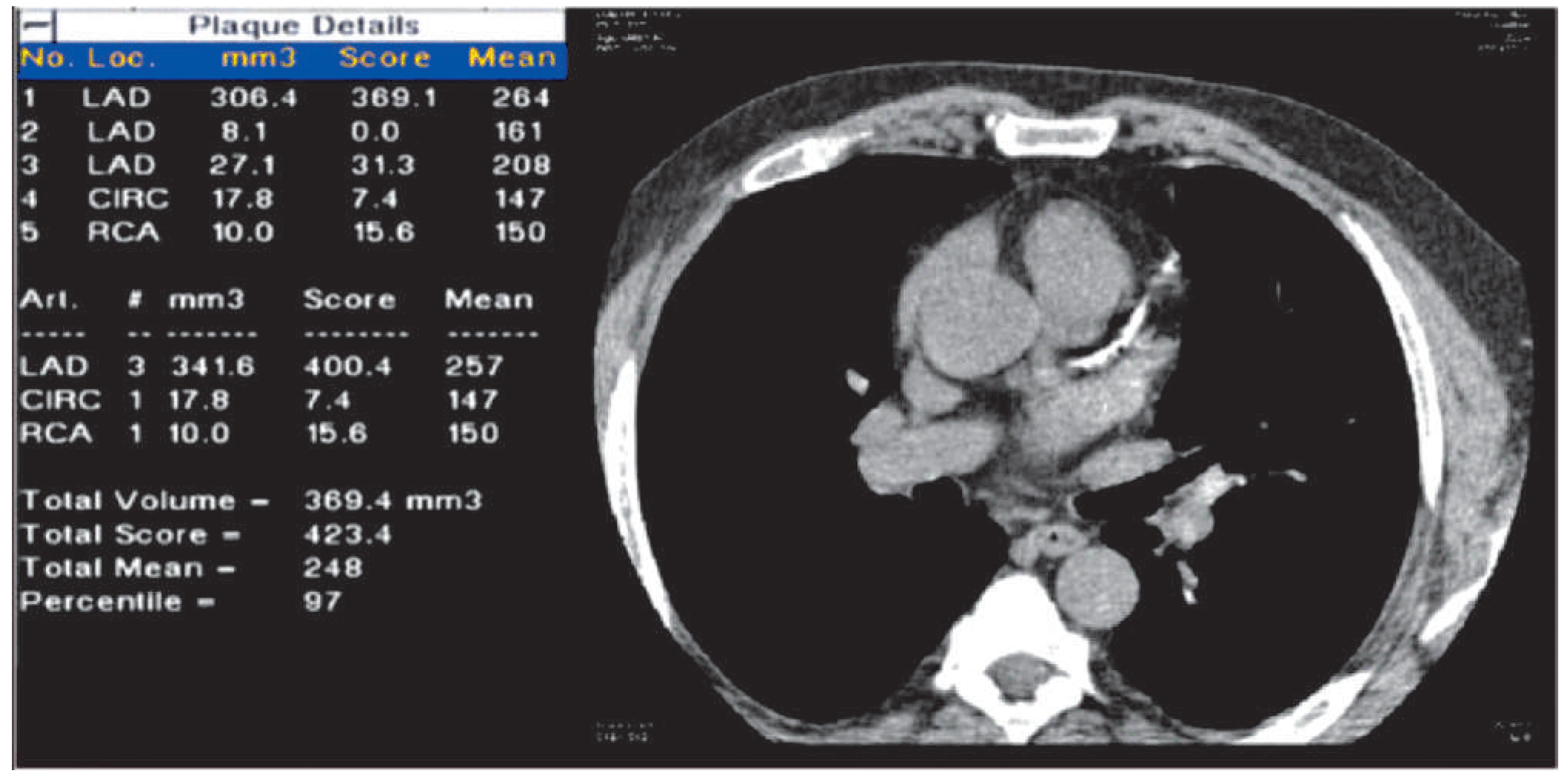
Figure 1. Example of a 49-year-old asymptomatic subject with a Framingham risk score of 15% and a low HDL of 0.7 mmol/l, hypertension and obesity. The subject had extensive coronary artery calcification (Agatston score 423), in the left anterior descending artery, which puts the patient at higher risk for coronary events based on posterior probabilities using the Bayes formula: post-test risk increased from 15% to 45% with a 95% confidence interval of 31% to 60%.

Electron beam computed tomography or multislice computed tomography?

The correlation coefficients for the measurement of Agatston scores using either electron beam CT (EBCT) and multislice CT (MSCT) show excellent agreement and reproducibility [3,4,5]. Image quality is better with MSCT, thanks to a higher signal to noise ratio, but the radiation burden is higher with MSCT (1.4 mSv) than with EBCT (0.7 mSv). Motion artefacts due to the longer imaging window with MSCT (340 ms vs 100 ms with EBCT) do not reduce the accuracy of the calcium score measurements. For newer CT machines, a radiation burden below 1 mSv has been reported [6].

Predictive value of coronary calcium

There has been debate regarding the clinical significance of calcification in human coronary arteries, as outlined in the American Heart Association Expert Consensus Document [7]. This “historical” review of the calcium score in primary prevention was essentially based on two major outcome studies, which yielded conflicting results [8,9].
The first study included 1,196 asymptomatic highcoronary-risk subjects who underwent risk factor assessment and cardiac EBCT scanning and were followed up for 41 months [8]. The mean age of their cohort was 66 years and the mean 3-year Framingham risk was 3.3%. Sixty-eight percent (818 subjects) had detectable coronary calcium. There were 17 coronary deaths (1.4%) and 29 nonfatal infarctions (2.4%). The receiver operator characteristic (ROC) curve areas calculated from the Framingham model (Framingham risk score; FRS) and the calcium score were 0.69 and 0.64 respectively (p-value not significant). The study has been criticised for including mainly male patients with a mean age of 66 years.
In the second study, published by Arad, 1,173 asymptomatic patients who underwent EBCT between September 1993 and March 1994 were followed up [9]. During an average follow-up of 19 months, 18 subjects had 26 cardiovascular events: 1 death, 7 myocardial infarctions, 8 coronary artery bypass graft procedures, 9 coronary angioplasties, and 1 nonhaemorrhagic stroke. For CAC score thresholds of 100, 160 and 680, EBCT had sensitivities of 89%, 89% and 50%, respectively, and specificities of 77%, 82% and 95%, respectively. Odds ratios ranged between 20.0 and 35.4 (p <0.00001 for all). This study can be criticised for including soft events in the outcome analysis and for the fact that the authors did not perform a ROC analysis to provide statistical evidence of an incremental value for CAC in addition to traditional cardiovascular risk factors.
Since the publication of a consensus document in 2000 [7], a series of new studies have been published, demonstrating an incremental value for CAC score over traditional independent cardiovascular risk factors, as evidenced by ROC analysis for hard coronary events in primary care subjects [10,11,12,13], for death from any cause in primary care subjects [14], and for death from any cause in diabetic subjects [15] and in younger subjects from the US Army [16].
In the study by Raggi [10], 676 asymptomatic patients (mean age 52 years, 51% men) were prospectively followed up for 32 ± 7 months after referral by primary care physicians for a screening EBCT. In a comparison of ROC curves for prediction of hard coronary events, the area under the curve (AUC) for coronary calcium score percentiles plus conventional risk factors and age was significantly larger than that obtained by use of traditional risk factors and age separately as predictors (0.84 vs 0.71, respectively, p <0.001).
Arad reported a follow-up of the original cohort of asymptomatic men and women, who had reports of coronary events (death, nonfatal myocardial infarction and revascularisation procedures) confirmed without knowledge of the scan results [11]. Information was obtained in 1,172 (99.6%) of 1,177 eligible subjects (baseline age 53 ± 11 years, 71% men). During an average follow-up of 3.6 years, 39 subjects sustained coronary events, namely: 3 coronary deaths, 15 nonfatal myocardial infarctions and 21 coronary artery revascularisation procedures. For the prediction of all coronary events, nonfatal myocardial infarctions and deaths, the areas under the ROC curve were 0.84 and 0.86, respectively, and a coronary calcium score >160 was associated with odds ratios of 15.8 and 22.2, respectively. The odds ratios for all events remained high (14.3 to 20.2) after adjustment for self-reported cardiovascular risk factors.
In another study, 1,461 asymptomatic patients aged over 45 years with at least one cardiac risk factor underwent CAC measurements by means of CT and were assessed for occurrence of fatal or nonfatal myocardial infarction during a median follow-up period of 7 years [12]. During follow-up, 84 incidents occurred. Across categories of the FRS above 10%, CAC was a significantly better predictor than the FRS. Further, the AUC of CAC (0.68) was significantly better than the AUC of FRS (0.63, p <0.001). ROC analysis has been criticised for being over-insensitive to clinically relevant differences. Hence significant increases in AUC are clinically relevant [17].

New evidence supports calcium scoring

In the first large population-based cohort in Europe [13], risk factors were measured using standardised procedures. CAC was available for 1,795 asymptomatic participants (mean age 71 years; range 62–85 years). During a mean follow-up of 3.3 years, 88 cardiovascular events occurred, including 50 coronary events. The risk of coronary artery disease increased with rising calcium score. The multivariate-adjusted relative risk of coronary events was 3.1 (95% confidence interval [CI] 1.2–7.9) for calcium scores between 101 and 400, 4.6 (95% CI 1.8–11.8) for calcium scores between 401 and 1,000, and 8.3 (95% CI 3.3–21.1) for calcium scores greater than 1,000, compared with calcium scores of 0–100. Risk prediction based on cardiovascular risk factors improved when coronary calcification was added. The AUC for the FRS was 0.73. Corresponding AUCs for subjects aged over 70 years were 0.71 and 0.68, respectively. The multivariate model of age, sex, and cardiovascular risk factors fitted for the current population had an AUC of 0.75. When the amount of coronary calcification was added to the multivariate model, the discriminatory power for coronary heart disease improved (AUC 0.77; difference in AUC 0.024; p = 0.02). Once coronary calcification was added to the multivariate model predicting hard coronary artery disease, cardiovascular disease and mortality, increases in AUCs from 0.023 (p for change = 0.03) to 0.013 (p = 0.03) and 0.006 (p = 0.10) were found. The diagnostic ability of CAC expressed as Agatston scores to predict total mortality over the FRS has been observed in a large cohort involving 10,377 subjects [14] with 903 diabetic subjects within the same cohort [15]. Shaw reported on a cohort of 10,377 asymptomatic individuals with a mean age of 53 years who had undergone cardiac risk factor evaluation and coronary calcium screening with EBCT and were followed up for 5 years [14]. Risk-adjusted relative risk values for coronary calcium were 1.64, 1.74, 2.54 and 4.03 for scores of 11–100, 101–400, 401–1,000 and greater than 1,000, respectively, (p <0.001 for all values), which were then compared with a score of 10 or less. Five-year risk-adjusted survival was 99.0% for a calcium score of 10 or less and 95.0% for a score greater than 1,000 (p <0.001). AUC increased from 0.72 for cardiac risk factors alone to 0.78 (p <0.001) when the calcium score was added to a multivariable model for prediction of death.
The diagnostic power of CAC to detect total mortality was assessed in 903 diabetic subjects drawn from the original sample of 10,377 with a high prevalence of hypertension and smoking (p <0.001) who were, however, older [15]. The average coronary calcium scores (CCSs) for subjects with or without diabetes were 281 ± 567 and 119 ± 341, respectively, (p <0.0001). The death rate was 3.5% and 2.0% for subjects with and without diabetes (p <0.0001). In a risk factor-adjusted model there was a significant interaction of CCS with diabetes (p <0.00001), indicating that for every increase in CAC there was a greater increase in mortality for diabetic than for nondiabetic subjects. In patients suffering from diabetes with no coronary artery calcium, survival was similar to that of individuals without diabetes and no detectable calcium (98.8% and 99.4%, respectively, p = 0.5). For nondiabetic patients the AUC for the Framingham risk score was 0.61 (95% CI 0.570.65, p <0.0001) but rose to 0.70 when CCS was used (95% CI 0.660.74, p <0.0001). For diabetic patients the AUC was substantially higher for the calcium score (0.72, 95% CI 0.640.79, p <0.0001) as compared with the estimation of mortality based on FRS alone (AUC 0.50, 95% CI 0.420.58, p = 1.0).
In the Prospective Army Coronary Calcium (PACC) study, which involved 2,000 participants with a mean age of 43 years, all 9 myocardial infarctions that occurred during a follow-up of 3 years were missed by the prospectively measured Framingham risk score (ROC area 0.50), while CAC was found in 7 of 9 subjects with future acute myocardial infarction, giving an 11.8-fold increased risk for an incident related to coronary heart disease with a ROC area of 0.85.
The Multi-Ethnic Study of Atherosclerosis (MESA) included four ethnic groups (white, Hispanic, Chinese, black), and included 6,722 men and women who were followed up for a median of 3.8 years [18]. The white cohort included 2,598 men and women (52% women) with a mean age of 63 ± 10 years. The hazard ratio for major coronary events (death, myocardial infarction) was 1.17 (95% CI 1.06–1.30, p <0.005) after adjustment for major coronary risk factors. The AUC for all subjects (n = 6722) to detect major adverse coronary events (MACE) was 0.79 for risk factors alone and was 0.83 for risk factors plus coronary calcium score (p = 0.006). In the white subgroup, however, AUC for risk factors was 0.76 and 0.79 for risk factors plus coronary calcium score (p = 0.10, Table 1) [10,11,13,14,15,16,18,19,20].
Table 1. ROC analysis of incident mortality and major cardiac events in younger population groups.
The Heinz Nixdorff Recall Study included 4,129 participants (age 45 to 75 years, 53% female) who were followed up for a mean period of 5 years [19]. During this period, 93 MACE (64 myocardial infarctions, 29 coronary deaths) occurred. In men the adjusted relative risk of hard coronary events corresponding to a calcium score of 100–399 was 4.27 (95%CI 1.29–14.08) and for a calcium score greater than 400 it was 7.92 (95%CI 2.47–25.39). In women, adjusted risk of hard coronary events was significant only when corresponding to a calcium score over 400 (5.99, 95%CI 2.04– 17.64). The ROC analysis of all male subjects and risk factors based on National Cholesterol Education Program (NCEP) III showed an AUC of 0.58, which rose to 0.73 (p <0.001) when log-transformed CAC was added. For women the initial AUC value was determined to be 0.671 and with the inclusion of log-transformed CAC values it increased to 0.73 (p = 0.23).
A recent study from the Rotterdam cohort assessed the potential for risk reclassification when CAC is used in the elderly [13]. The mean age of 2,028 subjects was 70 ± 6 years. Reclassification using CAC in persons initially classified as intermediate risk was 52%. CAC values above 615 or below 50 Agatston units were found to be appropriate to reclassify persons into high or low risk, respectively.
Table 1 shows an overview of the ROC results of the latest studies of coronary calcium in comparison with the Framingham risk score ROC results in younger subjects.

Coronary calcium is not a screening test, but may be considered in subjects at intermediate risk

CAC has recently been shown to improve risk prediction in patients aged 40 years or over both for hard coronary events [12] and for total mortality [14]. The prediction of hard coronary events and total mortality in elderly subjects [13], where risk prediction remains especially difficult because risk charts have been designed to operate only until the age of 65 in Europe, remains a challenge [21]. CAC has generally no role in low-risk subjects as assessed with traditional cardiovascular risk factors, despite the results of the PACC study, because incident coronary heart disease is very low in such subjects. In high-risk subjects such as diabetics or subjects aged over 70, and a high Prospective Cardiovascular Munster study (PROCAM) risk, CAC may not be a valuable tool for further risk prediction since medical assessment alone identifies them as high risk and therapy is not likely to be influenced by knowledge of the presence and amount of coronary calcium. However, in intermediate-risk subjects noninvasive imaging and detection may be useful for those with a 10-year risk of coronary heart disease in the range of 6% to 20% [22]. As recently reported in a practice based Swiss group of subjects, additional knowledge of CAC in intermediate-risk subjects (PROCAM risk 10%–20%) was especially useful in further stratifying subjects by their 10-year coronary risk estimated using coronary calcium score percentiles to calculate posttest risk based on the Bayes formula [23,24]. A recent consensus report on CAC further states that CAC measurements may be indicated in subjects assessed as having intermediate risk when risk charts are used [25].
However, recent appropriateness guidelines consider a CAC test to be useful in subjects with low coronary risk and a history of premature coronary heart disease [26]. One elegant way of using coronary calcium is to calculate arterial age according to the results from the MESA Study and to use arterial age instead of chronological age in the coronary risk charts [27].

Recommendations for CAC use in primary care

Coronary calcifications have been considered early on as a risk prediction test, mainly in asymptomatic middle-aged subjects [7,8,9,10,11,12].
Coronary calcium scoring is listed as an “uncertain” indication for risk prediction even in intermediate-risk subjects as defined using the Framingham risk equation [26,28]. Similarly, the fourth joint taskforce of the European Society of Cardiology (ESC) stated, that “coronary calcium should not be uncritically used as a screening method” [29,30].
Recently the American College of Cardiology (ACC)/ American Heart Association (AHA) working committee updated earlier recommendations on the basis of the continuous accumulation of evidence suggesting that it may be appropriate to use coronary calcium in intermediate-risk subjects as defined with the Framingham risk equation [31]. Nevertheless, the use of coronary calcium as a screening tool in the general population is still not recommended [25,26,32,33].
In the most recent guidelines from an ACC/AHA taskforce on testing of asymptomatic subjects for coronary risk, CAC scoring received a class IIa indication in subjects at intermediate risk or subjects with diabetes mellitus: “measurement of CAC is reasonable for cardiovascular risk assessment in asymptomatic adults at intermediate risk (10% to 20% 10-year risk)”. Other tests with the same level of indication (IIa) in intermediate-risk subjects were high-sensitivity C-reactive protein, ankle-brachial-index, and common carotid intimal-medial thickness [32].
The first American Preventive Cardiovascular Screening Act for Early Detection of Hidden Heart Disease went into effect in Texas last year after being introduced two years ago by Texas Representative Oliveira and supported by the Society of Heart Attack Prevention and Eradication (SHAPE). The bill closely follows the SHAPE Guideline for identification of apparently healthy individuals who are at high risk of a near-future heart attack but are unaware of it [33]. It requires reimbursement of up to $200 for certain approved screening tests for men aged between 45 and 75, and women between ages 55 and 75, who are at intermediate risk of a heart attack according to their FRS.
There are no guidelines supporting a class I indication for atherosclerosis imaging. According to the Swiss AGLA (“Arbeitsgruppe Lipide und Atherosklerose”) guidelines 2012, atherosclerosis imaging may be used to further refine coronary risk assessment [34].
“Computed tomography for coronary calcium should be considered for cardiovascular risk assessment in asymptomatic adults at moderate risk”. This is a statement from the 2012 ESC guidelines with class IIa for CAC (Level of evidence B, “grade weak”) [35].
CAC has emerged as a valuable risk stratification tool, but not as a screening tool to predict hard coronary artery disease events, both in the United States and in Europe. CAC measurements may be considered selectively in intermediate-risk subjects, or in those where traditional cardiovascular risk factors fail to assess risk adequately, for example in those with a family history of premature coronary artery disease. Calculation of posterior probabilities based on CAC results and the Bayes theorem [24] or replacement of chronological age by CAC derived biological age, are likely to furnish a reclassification tool in clinical practice in the future [27]. Because of the radiation exposure with CT, serial CAC imaging to assess a progression of calcified coronary plaque is problematic and cannot be recommended [36].

Contrast-enhanced coronary imaging with CT

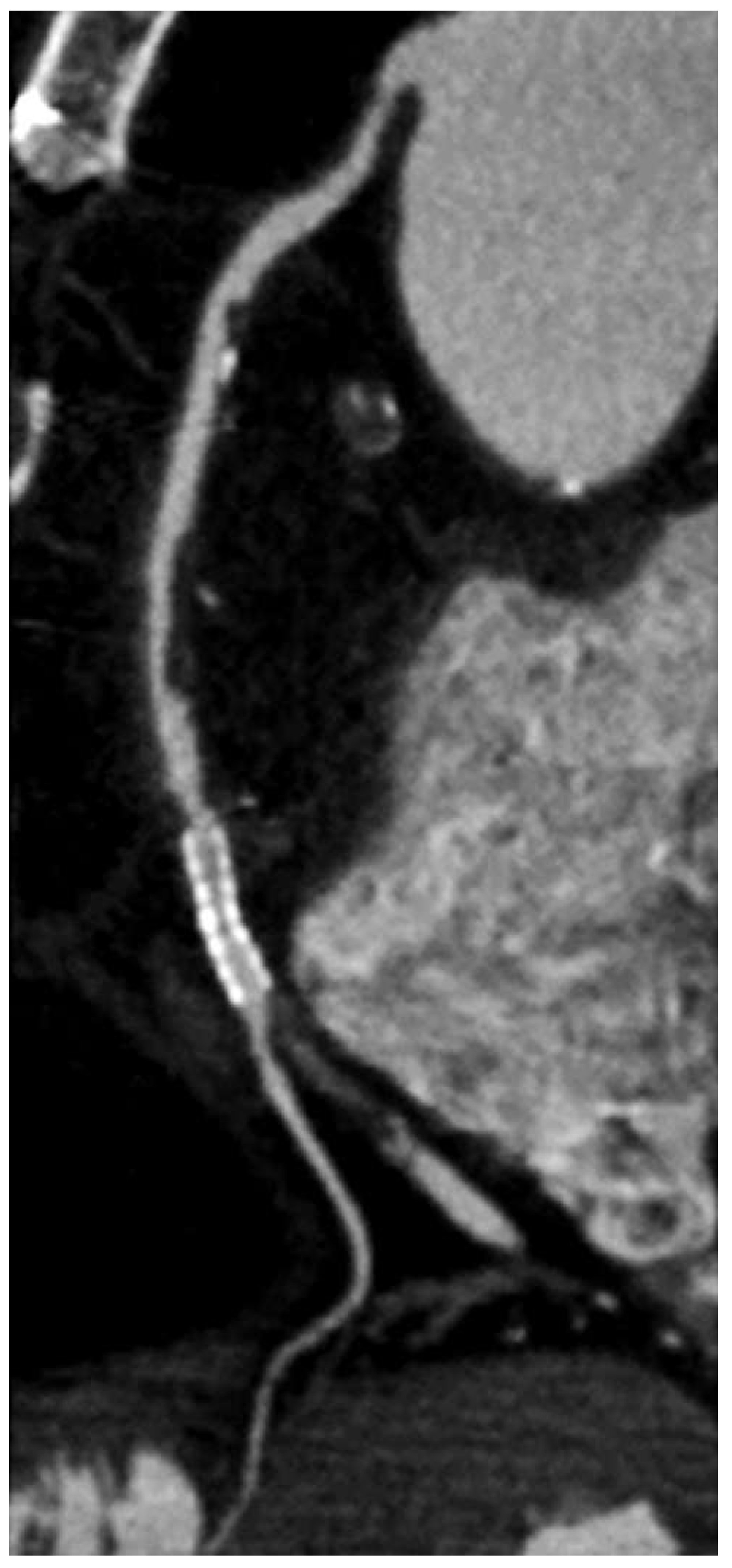
Computed tomography coronary angiography (CTCA) is a potential risk-stratifying tool in asymptomatic primary care subjects. Its diagnostic accuracy is comparable to conventional coronary angiography (CCA), which is an invasive procedure. By using CTCA, noncalcified plaques in the arterial wall (“noncalcified plaque”) and luminal narrowings (“coronary stenoses”) can be detected with injection of contrast media (Figure 2). However, image quality may be reduced in severely calcified coronary segments causing “pseudostenosis”, thus reducing specificity and positive predictive values [37]. Breathing artefacts, staircase artefacts and artefacts due to irregular heartbeats or cardiac devices (pacemakers, implanted defibrillators) may diminish image quality and result in nondiagnostic scans.
Figure 2. Computed tomography coronary angiography in a patient with known coronary artery disease. Here the right coronary artery is displayed using a multiplanar reconstruction. Note the stent in the midportion of the right coronary artery just before the bifurcation, the proximal stenosis and multiple plaques (calcified and noncalcified).
In the following sections we discuss the evidence concerning the prognostic value derived from CTCA of coronary arteries and discuss the evidence for the use of CTCA in primary care.

Diagnostic accuracy of CTCA for coronary artery disease

Potentially flow limiting coronary lesions are commonly defined as luminal narrowing of >50%. On average, the sensitivity in detecting coronary stenosis greater than 50% (on a per-segment and not per-patient basis) was 71% and specificity was 96% (Table 2). Some 11% of patients had to be excluded from analysis because of insufficient image quality (range 5%–23%). Negative predictive values (NPVs) were usually very high, with an average of 94% (range 83%–99%).
Table 2. Diagnostic accuracy of a per-patient analysis of computed tomography coronary angiography using 64-slice computed tomography (total n = 912).
Once the first 64-slice results were presented, with an average of 114 patients per paper, the results of a per-segment-based analysis showed that sensitivity increased to 92% at the expense of specificity (89%). The number of patients excluded was reduced from 11% to 5% and negative predictive value was increased from 94% to 97% (Table 2) [38,39,40,41,42,43,44,45].
With analysis on a per-patient basis, sensitivity generally increased at the expense of specificity in patients at high risk of coronary artery disease. Pugliese used a 64-slice scanner and in 33 patients with stable angina pectoris found sensitivity of 100% and specificity of 90% with a positive predictive value (PPV) and NPV of 96% and 99%, respectively [46].
First reports of multicentre studies were either with or without exclusion of patients showing imaging artefacts. Using 16-slice scanners in 187 symptomatic patients after exclusion of nonevaluable segments (29% of all available segments), Garcia found a sensitivity of 75% and specificity of 77% [47]. Scoring all nonevaluable segments as a positive test result, sensitivity increased to 98% but specificity dropped to 54%.
The first large multicentre study using 64-slice scanners from three different vendors prospectively imaged 360 symptomatic patients with a prevalence of coronary artery disease of 68% [48]. The authors did not exclude patients on the grounds of image quality, and sensitivity was found to be 99% and specificity 64%, with a PPV and NPV of 86% and 97% respectively. Eleven percent of patients had false positive scan results owing to blooming artefacts in severely calcified coronary segments (decrease in specificity from 97% to 47%) or owing to imaging artefacts, for example, patient motion. Investigators concluded that further testing would be required in patients with positive CTCA.
So far only one study has been undertaken in asymptomatic primary care subjects With the aim of detecting silent coronary stenosis using CTCA [49]. In this South Korean study 1,000 middle-aged subjects (mean age 50 years, 63% men) underwent CTCA at personal request. Of this group, 60% had a low coronary risk, 30% an intermediate risk and 10% a high risk. Authors identified 5% coronary stenosis, 2% of which were severe. During a follow-up of 17 months, 14 patients had a coronary revascularisation and one experienced unstable angina. In agreement with current guidelines, the authors discouraged the use of CTCA as a screening tool, because of the radiation burden and economic costs [50].

The importance of CTCA and other imaging modalities in determining the risk of cardiac death / myocardial infarction (MACE) and allcause mortality

Min evaluated the risk of death from any cause in 1,127 symptomatic subjects with suggestive coronary obstruction (57% women, mean age 61.7 ± 10 years at entry) [51]. Follow-up was 15 months wherein 39 deaths occurred. In a multivariate Cox regression model, which included age, gender and family history but not pretest probability (a significant predictor of death in univariate regression analysis), severe stenoses remained statistically significant. The incremental value of a coronary calcium score or any other measure of vessel atheroma was unfortunately not included in this risk model. While this study shows that CTCA is predictive for all-cause mortality, its role as an independent risk predictor was not sufficiently covered.
Hadamitzky evaluated the risk of severe coronary events in 1,256 symptomatic patients with a follow-up of 18 months [52]. One severe coronary event was observed in a single subject without significant coronary obstruction (0.1%), five severe coronary events occurred in the 348 patients with severe coronary obstruction (1.4%), which leads to an extrapolation of this risk at 10 years of 0.7% and 9.3%, respectively. The odds ratio for severe coronary events was 17.3 and the 95% CI was 3.6–82.5, p <0.0001. Here, the FRS was not predictive in nonhigh-risk subjects and the applicability of FRS in asymptomatic subjects may be questioned. Several other studies have shown that in symptomatic subjects with nonobstructive coronary artery disease the annual risk of cardiac events was less than 1.0%, but increased to >14% in subjects with coronary obstruction defined as a luminal narrowing of at least 50% [47,49,52,53,54].
Werkhoven studied 541 subjects referred for further cardiac evaluation and assessed the prognostic impact of CTCA-defined coronary stenosis in comparison with myocardial perfusion SPECT (MPS; SPECT = single positron emission computed tomography) [55]. His team found that CTCA stenosis of greater than 50% (detected in 31% of patients) was an independent predictor of death and myocardial infarction at a follow-up time of two years, during which 23 events occurred. CTCA and MPS were synergistic and the combined use resulted in significantly improved prediction (logrank test p-value <0.005). Regrettably, it was not reported how a calcium score of the coronary arteries performed in comparison with luminal stenosis; secondly, MACE occurred only in 10 patients during follow-up. However, CAC cannot be quantified from CTCA images and therefore, an additional CT scan would be needed to obtain this information.

Recommendations for CTCA in primary care

The role of CTCA in primary care as a risk stratification tool has not been sufficiently studied so far. In view of the relatively high costs and radiation burden of this procedure it can be anticipated that CTCA is not recommended in asymptomatic primary care subjects irrespective of the pretest probability. This is in accordance with the ESC guidelines 2012. The role of CTCA in high-risk subjects for detecting CAD has yet to be defined. Due to the potential for overuse of coronary intervention in asymptomatic coronary stenosis, it appears unlikely that CTCA will be used for such indications in the future. Moreover, new standards for measuring the net improvements in well-being, improved quality of life, and increase in life expectancy mean that the application “coronary artery disease testing” will need to be developed in the future [56].
So far, we do not have evidence that information from CTCA is a better approach than risk-factor testing in primary care. In a clinical setting, atypical chest pain may prompt CTCA scans for detection of high-risk coronary obstruction, which can lead to sudden death or myocardial infarction [57,58]. Furthermore, increasing evidence suggests, that noncalcified plaque imaging with CTCA may help to detect vulnerable plaques prone to cause acute coronary syndromes [59]. However, data are still lacking where such approaches are specifically quantified and compared with other markers of plaque vulnerability in asymptomatic subjects.
The use of coronary CT angiography in asymptomatic individuals has been discussed in the first expert document, but a consensus was not reached [60]. This expert document did not recommend the assessment of coronary stenoses or noncalcified plaque for further risk stratification. Similarly, CTCA was not recommended in the appropriate guides for asymptomatic subjects recently produced by a joint effort of major imaging societies [26].There are no guidelines supporting a class I indication for atherosclerosis imaging.

Final recommendations

CAC measurements may be considered selectively in intermediate risk subjects, or in those where traditional cardiovascular risk factors fail to assess risk adequately, e.g. in those with a family history of premature coronary artery disease.
In view of the relatively high costs and radiation burden of this procedure, it can be anticipated that CTCA is not, and will not be, recommended in asymptomatic primary care subjects, nor for screening the population in general.
If atherosclerosis imaging is used for further risk stratification purposes, adequate tools for post-test risk calculations should be used.

Acknowledgments

The taskforce on vascular risk prediction was created by the Swiss Working Group on Lipids and Atherosclerosis (Swiss Atherosclerosis) in 2005. Since 2009, work is being performed under the name Taskforce Atherosclerosis Imaging of the AGLA. We are grateful for the contribution made by Laurent Estoppey, who helped in the compilation of the literature.

Funding/potential competing interests

No financial support and no other potential conflict of interest relevant to this article was reported.

Abbreviations

AUCarea under the curve
CACcoronary artery calcification
CCScoronary calcium scoring
CTCAcomputed tomography coronary angiography
EBCTelectron beam-computed tomography
FRSFramingham risk score
MACEmajor adverse coronary events
MESAMultiethnic Study on Atherosclerosis
MPSmyocardial perfusion SPECT

References

  1. Rumberger, J.; Simons, B.; Fitzpatrick, L.; Sheedy, P.; Schwartz, R. Coronary Artery Calcium Area by Electron-Beam Computed Tomography and Coronary Atherosclerotic Plaque Area. Circulation 1995, 92, 2157–2162. [Google Scholar] [CrossRef]
  2. Schmermund, A.; Baumgart, D.; Adamzik, M.; Ge, J.B.; Gronemeyer, D.; Seibel, R.; et al. Comparison of electron-beam computed tomography and intracoronary ultrasound in detecting calcified and noncalcified plaques in patients with acute coronary syndromes and no or minimal to moderate angiographic coronary artery disease. Am J Cardiol 1998, 81, 141–146. [Google Scholar] [CrossRef]
  3. Becker, C.R.; Jakobs, T.F.; Aydemir, S.; Becker, A.; Knez, A.; Schoepf, U.J.; et al. Helical and single-slice conventional CT versus electron beam CT for the quantification of coronary artery calcification. Am J Roentgenol 2000, 174, 543–547. [Google Scholar] [CrossRef]
  4. Carr, J.J.; Crouse, J.R.; Goff, D.C.; D’Agostino, R.B.; Peterson, N.P.; Burke, G.L. Evaluation of subsecond gated helical CT for quantification of coronary artery calcium and comparison with electron beam CT. Am J Roentgenol 2000, 174, 915–921. [Google Scholar] [CrossRef]
  5. Detrano, R.C.; Anderson, M.; Nelson, J.; Wong, N.D.; Carr, J.J.; McNitt-Gray, M.; et al. Coronary calcium measurements: effect of CT scanner type and calcium measure on rescan reproducibility – MESA study. Radiology 2005, 236, 477–484. [Google Scholar] [CrossRef]
  6. Achenbach, S.; Boehmer, K.; Pflederer, T.; Ropers, D.; Seltmann, M.; Lell, M.; et al. Influence of slice thickness and reconstruction kernel on the computed tomographic attenuation of coronary atherosclerotic plaque. J Cardiovasc Comput Tomogr 2010, 4, 110–115. [Google Scholar] [CrossRef] [PubMed]
  7. O’Rourke, R.A.; Brundage, B.H.; Froelicher, V.F.; Greenland, P.; Grundy, S.M.; Hachamovitch, R.; et al. American College of Cardiology/American Heart Association Expert Consensus Document on electron-beam computed tomography for the diagnosis and prognosis of coronary artery disease. Circulation 2000, 102, 126–140. [Google Scholar] [CrossRef] [PubMed]
  8. Detrano, R.C.; Wong, N.D.; Doherty, T.M.; Shavelle, R.M.; Tang, W.; Ginzton, L.E.; et al. Coronary calcium does not accurately predict near-term future coronary events in high-risk adults. Circulation 1999, 99, 2633–2638. [Google Scholar] [CrossRef]
  9. Arad, Y.; Spadaro La Goodman, K.; Lledo-Perez, A.; Sherman, S.; Lerner, G.; et al. Predictive value of electron beam computed tomography of the coronary arteries. 19-month follow-up of 1173 asymptomatic subjects. Circulation 1996, 93, 1951–1953. [Google Scholar] [CrossRef] [PubMed]
  10. Raggi, P.; Cooil, B.; Callister, T.Q. Use of electron beam tomography data to develop models for prediction of hard coronary events. Am Heart J 2001, 141, 375–382. [Google Scholar] [CrossRef]
  11. Arad, Y.; Spadaro La Goodman, K.; Newstein, D.; Guerci a, D. Prediction of coronary events with electron beam computed tomography. JACC 2000, 36, 1253–1260. [Google Scholar] [CrossRef] [PubMed]
  12. Greenland, P.; LaBree, L.; Azen, S.P.; Doherty, T.M.; Detrano, R.C. Coronary artery calcium score combined with Framingham score for risk prediction in asymptomatic individuals. JAMA 2004, 291, 210–215. [Google Scholar] [CrossRef]
  13. Vliegenthart, R.; Oudkerk, M.; Hofman, A.; Oei, H.H.S.; Van Dijck, W.; Van Rooij, F.J.A.; et al. Coronary calcification improves cardiovascular risk prediction in the elderly. Circulation 2005, 112, 572–577. [Google Scholar] [CrossRef]
  14. Shaw, L.J.; Raggi, P.; Schisterman, E.; Berman, D.S.; Callister, T.Q. Prognostic value of cardiac risk factors and coronary artery calcium screening for all-cause mortality. Radiology 2003, 228, 826–833. [Google Scholar] [CrossRef] [PubMed]
  15. Raggi, P.; Shaw, L.J.; Berman, D.S.; Callister, T.Q. Prognostic value of coronary artery calcium screening in subjects with and without diabetes. JACC 2004, 43, 1663–1669. [Google Scholar] [CrossRef] [PubMed]
  16. Taylor, A.J.; Bindeman, J.; Feuerstein, I.; Cao, F.; Brazaitis, M.; O’Malley, P.G. Coronary calcium independently predicts incident premature coronary heart disease over measured cardiovascular risk factors: mean threeyear outcomes in the Prospective Army Coronary Calcium (PACC) project. JACC 2005, 46, 807–814. [Google Scholar] [CrossRef]
  17. Cook, N.R. Use and misuse of the receiver operating characteristic curve in risk prediction. Circulation 2007, 115, 928–935. [Google Scholar] [CrossRef]
  18. Detrano, R.C.; Guerci, A.D.; Carr, J.J.; Bild, D.E.; Burke, G.; Folsom, A.R.; et al. Coronary calcium as a predictor of coronary events in four racial or ethnic groups. N Engl J Med 2008, 358, 1336–1345. [Google Scholar] [CrossRef]
  19. Erbel, R.; Möhlenkamp, S.; Moebus, S.; Schmermund, A.; Lehmann, N.; Stang, A.; et al. Coronary risk stratification, discrimination, and reclassification improvement based on quantification of subclinical coronary atherosclerosis: the Heinz Nixdorf Recall study. JACC 2010, 56, 1397–1406. [Google Scholar] [CrossRef]
  20. Arad, Y.; Goodman, K.J.; Roth, M.; Newstein, D.; Guerci, A.D. Coronary calcification, coronary disease risk factors, C-reactive protein, and atherosclerotic cardiovascular disease events – The St. Francis Heart Study. JACC 2005, 46, 158–165. [Google Scholar] [CrossRef] [PubMed]
  21. Assmann, G.; Cullen, P.; Schulte, H. Simple scoring scheme for calculating the risk of acute coronary events based on the 10-year follow-up of the prospective cardiovascular Münster (PROCAM) study. Circulation 2002, 105, 310–315. [Google Scholar] [CrossRef]
  22. Wilson, P.W.F.; Smith Jr, S.C.; Blumenthal, R.S.; Burke, G.L.; Wong, N.D. Task force #4 – how do we select patients for atherosclerosis imaging? JACC 2003, 41, 1898–1906. [Google Scholar]
  23. Romanens, M.; Berger, D.; Battegay, E. Predictive value of clinical risk assessment tools and guidelines for 10-year coronary heart disease risk in practice-based primary care. Kardiovaskuläre Medizin 2005, 8, 180–186. [Google Scholar]
  24. Romanens, M.; Ackermann, F.; Spence, J.D.; Darioli, R.; Rodondi, N.; Corti, R.; et al. Improvement of cardiovascular risk prediction: time to review current knowledge, debates, and fundamentals on how to assess test characteristics. Eur J Cardiovasc Prev Rehab 2010, 17, 18–23. [Google Scholar] [CrossRef]
  25. Greenland, P.; Bonow, R.O.; Brundage, B.H.; Budoff, M.J.; Eisenberg, M.J.; Grundy, S.M.; et al. ACCF/AHA 2007 clinical expert consensus document on coronary artery calcium scoring by computed tomography in global cardiovascular risk assessment and in evaluation of patients with chest pain. JACC 2007, 49, 378–402. [Google Scholar] [CrossRef]
  26. Taylor, A.J.; Cerqueira, M.; Hodgson, J.M.; Mark, D.; Min, J.K.; O’Gara, P.; et al. ACCF/SCCT/ACR/AHA/ASE/ASNC/SCAI/SCMR 2010 Appropriate Use Criteria for Cardiac Computed Tomography. JACC 2010, 56, 1864–1894. [Google Scholar] [CrossRef]
  27. McClelland, R.L.; Nasir, K.; Budoff, M.; Blumenthal, R.S.; Kronmal, R.A. Arterial Age as a Function of Coronary Artery Calcium (from the MultiEthnic Study of Atherosclerosis [MESA]). Am J Cardiol 2009, 103, 59–63. [Google Scholar] [CrossRef] [PubMed]
  28. Van der Meer, I.M.; Bots, M.L.; Hofman, A.; Del Sol, A.I.; Van der Kuip Da, M.; Witteman, J.C.M. Predictive value of noninvasive measures of atherosclerosis for incident myocardial infarction: the Rotterdam Study. Circulation 2004, 109, 1089–1094. [Google Scholar] [CrossRef] [PubMed]
  29. Mancia, G.; De Backer, G.; Dominiczak, A.; Cifkova, R.; Fagard, R.; Germano, G.; et al. 2007 Guidelines for the management of arterial hypertension: The Task Force for the Management of Arterial Hypertension of the European Society of Hypertension (ESH) and of the European Society of Cardiology (ESC). Eur Heart J 2007, 28, 1462–1536. [Google Scholar] [CrossRef] [PubMed]
  30. Graham, I.; Atar, D.; Borch-Johnsen, K.; Boysen, G.; Burell, G.; Cifkova, R.; et al. European guidelines on cardiovascular disease prevention in clinical practice: executive summary. Eur Heart J 2007, 28, 2375–2414. [Google Scholar] [CrossRef]
  31. Hendel, R.C.; Budoff, M.J.; Cardella, J.F.; Chambers, C.E.; Dent, J.M.; Fitzgerald, D.M.; et al. ACC/AHA/ACR/ASE/ASNC/HRS/NASCI/RSNA/SAIP/ SCAI/ SCCT/SCMR/SIR 2008 Key Data Elements and Definitions for Cardiac Imaging: A Report of the American College of Cardiology/American Heart Association Task Force on Clinical Data Standards (Writing Committee to. Circulation 2009, 119, 154–186. [Google Scholar]
  32. Alpert, J.S.; Beller, G.A.; J, E.; Budoff, M.J.; Fayad, Z.A.; Foster, E.; et al. 2010 ACCF/AHA Guideline for Assessment of Cardiovascular Risk in Asymptomatic Adults. JACC 2010, 56, 2182–2199. [Google Scholar]
  33. Naghavi, M.; Falk, E.; Hecht, H.S.; Jamieson, M.J.; Kaul, S.; Berman, D.; et al. From vulnerable plaque to vulnerable patient – Part III: Executive summary of the Screening for Heart Attack Prevention and Education (SHAPE) task force report. Am J Cardiol 2006, 98, 2–15. [Google Scholar] [CrossRef]
  34. Eckardstein, A. AGLA Guidelines. 2012. Available at: www.agla.ch.
  35. Perk, J.; De Backer, G.; Gohlke, H. European Guidelines on cardiovascular disease prevention in clinical practice (version 2012). Eur Heart J. 2012, 33, 1635–1701. [Google Scholar]
  36. McEvoy, J.W.; Blaha, M.J.; Defilippis, A.P.; Budoff, M.J.; Nasir, K.; Blumenthal, R.S.; et al. Coronary artery calcium progression: an important clinical measurement? A review of published reports. JACC 2010, 56, 1613–1622. [Google Scholar] [CrossRef] [PubMed]
  37. Hoffmann, U.; Ferencik, M.; Cury, R.C.; Pena, A.J. Coronary CT angiography. J Nucl Med 2006, 47, 797–806. [Google Scholar] [PubMed]
  38. Leschka, S.; Alkadhi, H.; Plass, A.; Desbiolles, L.; Grunenfelder, J.; Marincek, B.; et al. Accuracy of MSCT coronary angiography with 64-slice technology: first experience. Eur Heart J 2005, 26, 1482–1487. [Google Scholar] [CrossRef]
  39. Leber, A.W.; Knez, A.; Von Ziegler, F.; Becker, A.; Nikolaou, K.; Paul, S.; et al. Quantification of obstructive and nonobstructive coronary lesions by 64-slice computed tomography: a comparative study with quantitative coronary angiography and intravascular ultrasound. JACC 2005, 46, 147–154. [Google Scholar] [CrossRef]
  40. Raff GL, Gallagher MJ, O’Neill WW, Goldstein J a. Diagnostic accuracy of noninvasive coronary angiography using 64-slice spiral computed tomography. JACC 2005, 46, 552–557. [Google Scholar] [CrossRef] [PubMed]
  41. Ropers, D.; Rixe, J.; Anders, K.; Kuttner, A.; Baum, U.; Bautz, W.; et al. Usefulness of multidetector row spiral computed tomography with 64-x 0.6mm collimation and 330-ms rotation for the noninvasive detection of significant coronary artery stenoses. Am J Cardiol 2006, 97, 343–348. [Google Scholar] [CrossRef]
  42. Mollet, N.R.; Cademartiri, F.; Van Mieghem, C.A.G.; Runza, G.; McFadden, E.P.; Baks, T.; et al. High-resolution spiral computed tomography coronary angiography in patients referred for diagnostic conventional coronary angiography. Circulation 2005, 112, 2318–2323. [Google Scholar] [CrossRef]
  43. Achenbach, S.; Ropers, U.; Kuettner, A.; Anders, K.; Pflederer, T.; Komatsu, S.; et al. Randomized comparison of 64-slice singleand dual-source computed tomography coronary angiography for the detection of coronary artery disease. J Am Coll Cardiol Img 2008, 1, 177–186. [Google Scholar] [CrossRef]
  44. Alkadhi, H.; Scheffel, H.; Desbiolles, L.; Gaemperli, O.; Stolzmann, P.; Plass, A.; et al. Dual-source computed tomography coronary angiography: influence of obesity, calcium load, and heart rate on diagnostic accuracy. Eur Heart J 2008, 29, 766–776. [Google Scholar] [CrossRef] [PubMed]
  45. Budoff, M.J.; Dowe, D.; Jollis, J.G.; Gitter, M.; Sutherland, J.; Halamert, E.; et al. Diagnostic Performance of 64-Multidetector Row Coronary Computed Tomographic Angiography for Evaluation of Coronary Artery Stenosis in Individuals Without Known Coronary Artery Disease. JACC 2008, 52, 1724–1732. [Google Scholar] [CrossRef] [PubMed]
  46. Pugliese, F.; Mollet, N.R.; Runza, G.; Van Mieghem, C.; Meijboom, W.B.; Malagutti, P.; et al. Diagnostic accuracy of non-invasive 64-slice CT coronary angiography in patients with stable angina pectoris. Eur Radiol 2006, 16, 575–582. [Google Scholar] [CrossRef]
  47. Garcia, M.J.; Lessick, J.; Hoffmann, M.H.K. Accuracy of 16-row multidetector computed tomography for the assessment of coronary artery stenosis. JAMA 2006, 296, 403–411. [Google Scholar] [CrossRef]
  48. Meijboom, W.B.; Meijs, M.F.L.; Schuijf, J.D.; Cramer, M.J.; Mollet, N.R.; Van Mieghem Ca, G.; et al. Diagnostic accuracy of 64-slice computed tomography coronary angiography: a prospective, multicenter, multivendor study. JACC 2008, 52, 2135–2144. [Google Scholar] [CrossRef] [PubMed]
  49. Choi, E.K.; Il Choi, S.; Rivera, J.J.; Nasir, K.; Chang, S.A.; Chun, E.J.; et al. Coronary computed tomography angiography as a screening tool for the detection of occult coronary artery disease in asymptomatic individuals. JACC 2008, 52, 357–365. [Google Scholar] [CrossRef]
  50. Patel, M.R.; Dehmer, G.J.; Hirshfeld, J.W.; Smith, P.K.; Spertus, J.A. ACCF/ SCAI/STS/AATS/AHA/ASNC 2009 Appropriateness Criteria for Coronary Revascularization. JACC 2009, 53, 530–553. [Google Scholar] [CrossRef]
  51. Min, J.K.; Shaw, L.J.; Devereux, R.B.; Okin, P.M.; Weinsaft, J.W.; Russo, D.J.; et al. Prognostic value of multidetector coronary computed tomographic angiography for prediction of all-cause mortality. JACC 2007, 50, 1161–1170. [Google Scholar] [CrossRef]
  52. Hadamitzky, M.; Freissmuth, B.; Meyer, T.; Hein, F.; Kastrati, A.; Martinoff, S.; et al. Prognostic value of coronary computed tomographic angiography for prediction of cardiac events in patients with suspected coronary artery disease. J Am Coll Cardiol Img 2009, 2, 404–411. [Google Scholar] [CrossRef]
  53. Patel MR, Dehmer GJ, Hirshfeld JW, Smith PK, Spertus J a. Appropriateness Criteria ACCF/SCAI/STS/AATS/AHA/ASNC 2009 Appropriateness Criteria for Coronary Revascularization. Circulation 2009, 119, 1330–1352.
  54. Min, J.K.; Kang, N.; Shaw, L.J.; Devereux, R.B.; Robinson, M.; Lin, F.; et al. Costs and clinical outcomes after coronary multidetector CT angiography in patients without known coronary artery disease: Comparison to myocardial perfusion SPECT. Radiology 2008, 249, 62–70. [Google Scholar] [CrossRef] [PubMed]
  55. Van Werkhoven, J.M.; Schuijf, J.D.; Gaemperli, O.; Jukema, J.W.; Boersma, E.; Wijns, W.; et al. Prognostic value of multislice computed tomography and gated single-photon emission computed tomography in patients with suspected coronary artery disease. JACC 2009, 53, 623–632. [Google Scholar] [CrossRef] [PubMed]
  56. Shaw, L.J.; Narula, J. Risk assessment and predictive value of coronary artery disease testing. J Nucl Med 2009, 50, 1296–1306. [Google Scholar] [CrossRef]
  57. Gottlieb, I.; Lima Ja, C. Screening high-risk patients with computed tomography angiography. Circulation 2008, 117, 1318–1332. [Google Scholar] [CrossRef]
  58. Shreibati, J.B.; Baker, L.C.; Hlatky, M.A. Association of Coronary CT Angiography or Stress Testing With Subsequent Utilization and Spending Among Medicare Beneficiaries. JAMA 2011, 306, 2128–2136. [Google Scholar] [CrossRef]
  59. Achenbach, S.; Raggi, P. Imaging of coronary atherosclerosis by computed tomography. Eur Heart J 2010, 31, 1442–1448. [Google Scholar] [CrossRef]
  60. Perrone-Filardi, P.; Achenbach, S.; Möhlenkamp, S.; Reiner, Z.; Sambuceti, G.; Schuijf, J.D.; et al. Cardiac computed tomography and myocardial perfusion scintigraphy for risk stratification in asymptomatic individuals without known cardiovascular disease. Eur Heart J 2010, 39, 1–10. [Google Scholar]

Article Metrics

Citations

Article Access Statistics

Multiple requests from the same IP address are counted as one view.