Next Article in Journal
Cardiology Update 2011: Ein Beliebter Treffpunkt für Kardiologen
Previous Article in Journal
Zum Hinschied von Prof. Dr. Med Urs Bauersfeld
 
 
Cardiovascular Medicine is published by MDPI from Volume 28 Issue 1 (2025). Previous articles were published by another publisher in Open Access under a CC-BY (or CC-BY-NC-ND) licence, and they are hosted by MDPI on mdpi.com as a courtesy and upon agreement with Editores Medicorum Helveticorum (EMH).
Font Type:
Arial Georgia Verdana
Font Size:
Aa Aa Aa
Line Spacing:
Column Width:
Background:
Interesting Images

Swinging Heart

by
Nina Weber
,
Christian Steffen
and
Lars C. Huber
*
Klinik für Innere Medizin, Spital Lachen, CH-8053 Lachen, Switzerland
*
Author to whom correspondence should be addressed.
Cardiovasc. Med. 2010, 13(12), 376; https://doi.org/10.4414/cvm.2010.01550
Submission received: 15 September 2010 / Revised: 15 October 2010 / Accepted: 15 November 2010 / Published: 15 December 2010

Fallbeschreibung

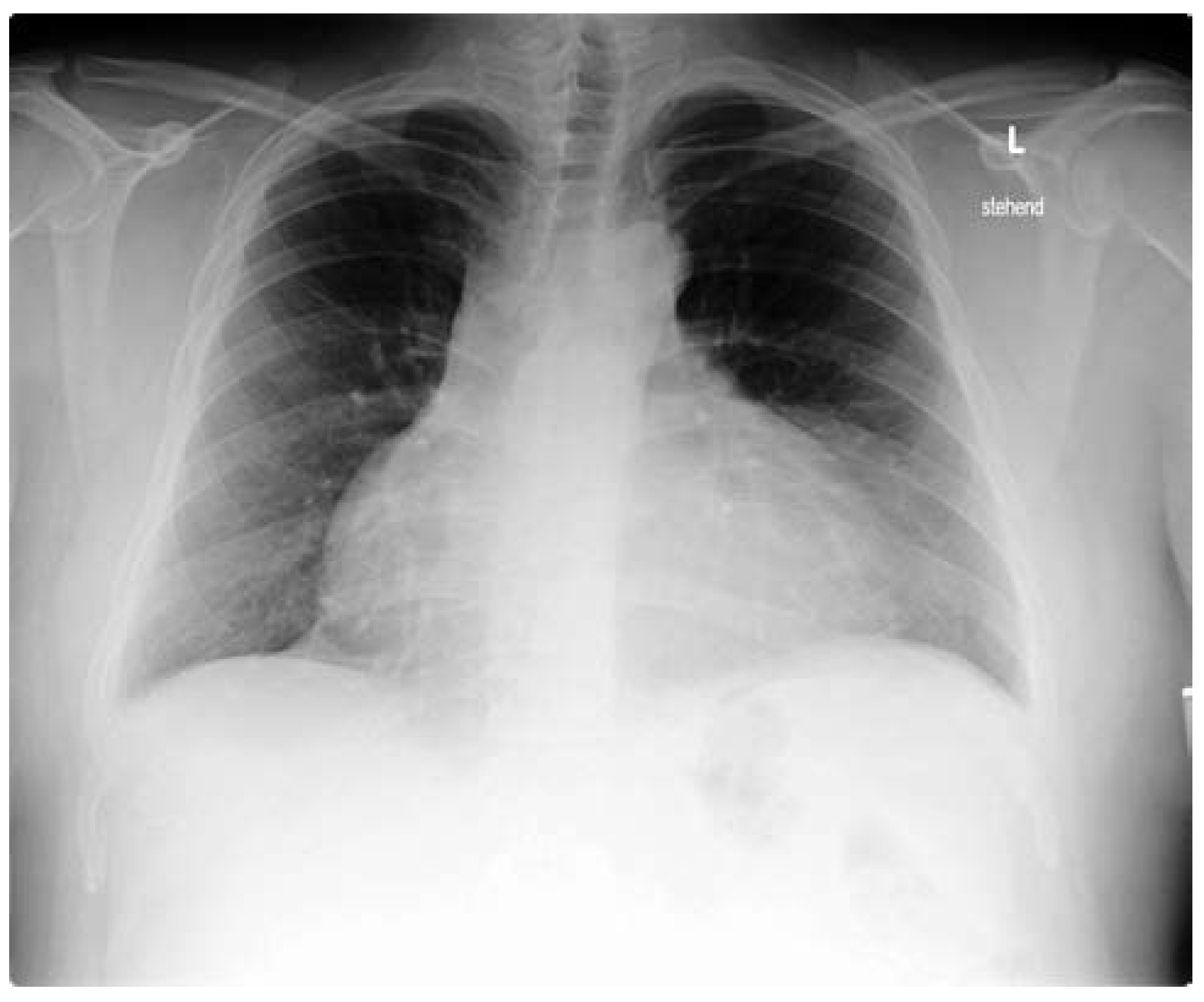
Ein 31-jähriger, türkischstämmiger Patient stellte sich mit retrosternalem Druck und progredienter Dyspnoe auf unserer Notfallstation vor; aus der Vorgeschichte war ein unklarer, chronischer Perikarderguss bekannt, welcher bisher als nicht punktionswürdig betrachtet wurde. Im Status präsentierte sich ein tachykarder, normotensiver Patient, ein Pulsus paradoxus lag nicht vor. Die laborchemischen Untersuchungen waren bis auf eine leichte CRP-Erhöhung bland. Im Thoraxröntgen (Abb. 1) fand sich eine ausgeprägte Kardiomegalie mit kugelig konfigurierter Herzschattengrösse, elektrokardiographisch (Abb. 2) ein alternierender QRS-Ausschlag. Die Echokardiographie bestätigte einen eindrücklichen Perikarderguss (zirkulärer perikardialer Erguss von 2,5–3 cm, Abb. 3) mit Zeichen der Prätamponade. In der anschliessend durchgeführten Perikardiozentese konnten 1000 ml hämorrhagischer Erguss drainiert werden, worauf sich Symptomatik und Tachykardie des Patienten unmittelbar verbesserten. Die zytologische und bakteriologische Untersuchung blieb ohne Resultat, ein Quantiferon-Test war negativ. Anamnestisch und klinisch bestanden keine Hinweise für ein familiäres Mittelmeerfieber.
Abbildung 1. Thoraxröntgen bei Eintritt mit ausgeprägter Kardiomegalie und kugeliger Herzkonfiguration sowie zeltförmiger Ausziehung ins obere Mediastinum.
Abbildung 1. Thoraxröntgen bei Eintritt mit ausgeprägter Kardiomegalie und kugeliger Herzkonfiguration sowie zeltförmiger Ausziehung ins obere Mediastinum.
Cardiovascmed 13 00376 g001
Abbildung 2. Elektrischer alternans mit zu- und abnehmendem QRS-Ausschlag.
Abbildung 2. Elektrischer alternans mit zu- und abnehmendem QRS-Ausschlag.
Cardiovascmed 13 00376 g002
Abbildung 3. Transthorakale Echokardiographie. Nachweis eines zirkulären Perikardergusses mit maximaler Ausdehnung von 28 mm und atemvariabler Mitraleinstromkurve im PW-Doppler (A) als Zeichen der hämodynamischen Relevanz bei klinischen Zeichen einer Prätamponade. Vergrösserter Ausschnitt (B). PE = Perikarderguss; LV = linker Ventrikel.
Abbildung 3. Transthorakale Echokardiographie. Nachweis eines zirkulären Perikardergusses mit maximaler Ausdehnung von 28 mm und atemvariabler Mitraleinstromkurve im PW-Doppler (A) als Zeichen der hämodynamischen Relevanz bei klinischen Zeichen einer Prätamponade. Vergrösserter Ausschnitt (B). PE = Perikarderguss; LV = linker Ventrikel.
Cardiovascmed 13 00376 g003
Gemäss einer retrospektiven Beobachtungsstudie stellen iatrogene Gründe die häufigste Ursache für einen hämorrhagischen Perikarderguss dar, gefolgt von malignen Prozessen und perikarditischen Komplikationen nach akutem Myokardinfarkt. Mit 10% der Fälle sind auch die idiopathischen Ursachen relativ häufig [1]. Idiopathische Perikarditiden stellen zudem mit Abstand die grösste Gruppe unter den Herzbeutelentzündungen ohne Erguss [2]. Als idiopathisch wurde auch die Ätiologie dieses Perikardergusses beurteilt und eine symptomatische Therapie mit NSAR und Colchicin [3] begonnen. Bei einer Verlaufsuntersuchung vier Wochen nach der initialen Vorstellung war der Patient subjektiv beschwerdefrei, echokardiographisch war kein Perikarderguss mehr vorhanden.

Conflicts of Interest

Die Autoren erklären, dass sie keine Interessenkonflikte im Zusammenhang mit diesem Beitrag haben.

References

  1. Atar, S.; et al. Bloody pericardial effusion in patients with cardiac tamponade. Chest. 1999, 116, 1564–1569. [Google Scholar] [CrossRef] [PubMed]
  2. Imazio, M.; et al. Diagnosis and management of acute pericardial diseases. Nat Rev Cardiol. 2009, 6, 743–751. [Google Scholar] [CrossRef]
  3. Imazio, M.; et al. Colchicin in addition to conventional therapy for acute pericarditis: Results of the COlchicin for acute PEricarditis (COPE) trial. Circulation. 2005, 112, 2012–2016. [Google Scholar] [CrossRef]

Share and Cite

MDPI and ACS Style

Weber, N.; Steffen, C.; Huber, L.C. Swinging Heart. Cardiovasc. Med. 2010, 13, 376. https://doi.org/10.4414/cvm.2010.01550

AMA Style

Weber N, Steffen C, Huber LC. Swinging Heart. Cardiovascular Medicine. 2010; 13(12):376. https://doi.org/10.4414/cvm.2010.01550

Chicago/Turabian Style

Weber, Nina, Christian Steffen, and Lars C. Huber. 2010. "Swinging Heart" Cardiovascular Medicine 13, no. 12: 376. https://doi.org/10.4414/cvm.2010.01550

APA Style

Weber, N., Steffen, C., & Huber, L. C. (2010). Swinging Heart. Cardiovascular Medicine, 13(12), 376. https://doi.org/10.4414/cvm.2010.01550

Article Metrics

Back to TopTop