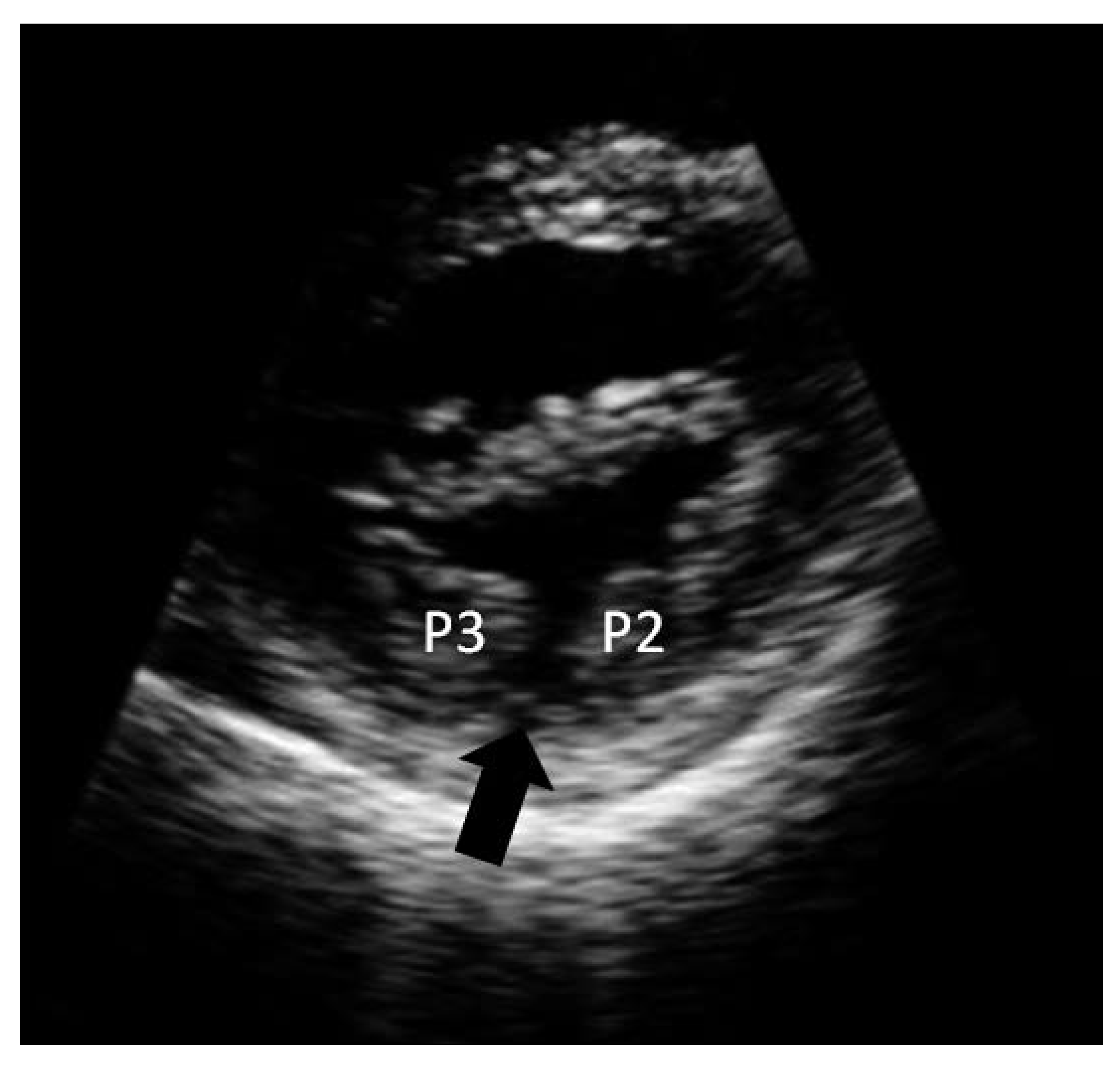
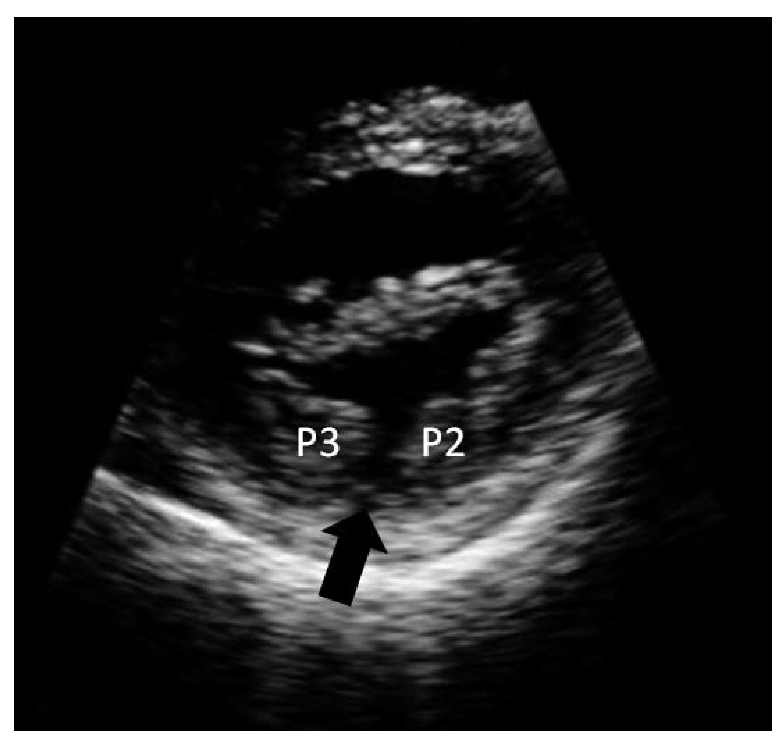
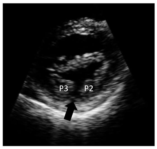
Isolated Posterior Mitral Valve Cleft
Case Report
Conflicts of Interest
References
- Di Segni, E.; Edwards, J.E. Cleft anterior leaflet of the mitral valve with intact septa: a study of 20 cases. Am J Cardiol. 1983, 51, 919–926. [Google Scholar] [CrossRef] [PubMed]
- Sigfússon, G.; Ettedgui, J.A.; Silverman, N.H. , et al. Is a cleft in the anterior leaflet of an otherwise normal mitral valve an atrioventricular canal malformation? J Am Coll Cardiol. 1995, 26, 508–515. [Google Scholar] [CrossRef] [PubMed][Green Version]
- McDonald, R.W.; Ott, G.Y.; Pantely, G.A. Cleft in the anterior and posterior leaflet of the mitral valve: a rare anomaly. J Am Soc Echocardiogr. 1994, 7, 422–424. [Google Scholar] [CrossRef] [PubMed]
- Kent, S.M.; Markwood, T.T.; Vernalis, M.N.; Tighe, J.F., Jr. Cleft posterior mitral valve leaflet associated with counterclockwise papillary muscle malrotation. J Am Soc Echocardiogr. 2001, 14, 303–394. [Google Scholar] [CrossRef] [PubMed]


© 2009 by the author. Attribution - Non-Commercial - NoDerivatives 4.0.
Share and Cite
Toggweilera, S.; Hürlimanna, D.; Grünenfelderb, J.; Jenni, R. Isolated Posterior Mitral Valve Cleft. Cardiovasc. Med. 2009, 12, 96. https://doi.org/10.4414/cvm.2009.01408
Toggweilera S, Hürlimanna D, Grünenfelderb J, Jenni R. Isolated Posterior Mitral Valve Cleft. Cardiovascular Medicine. 2009; 12(3):96. https://doi.org/10.4414/cvm.2009.01408
Chicago/Turabian StyleToggweilera, Stefan, David Hürlimanna, Jürg Grünenfelderb, and Rolf Jenni. 2009. "Isolated Posterior Mitral Valve Cleft" Cardiovascular Medicine 12, no. 3: 96. https://doi.org/10.4414/cvm.2009.01408
APA StyleToggweilera, S., Hürlimanna, D., Grünenfelderb, J., & Jenni, R. (2009). Isolated Posterior Mitral Valve Cleft. Cardiovascular Medicine, 12(3), 96. https://doi.org/10.4414/cvm.2009.01408
 
        
