Obstacles en Série
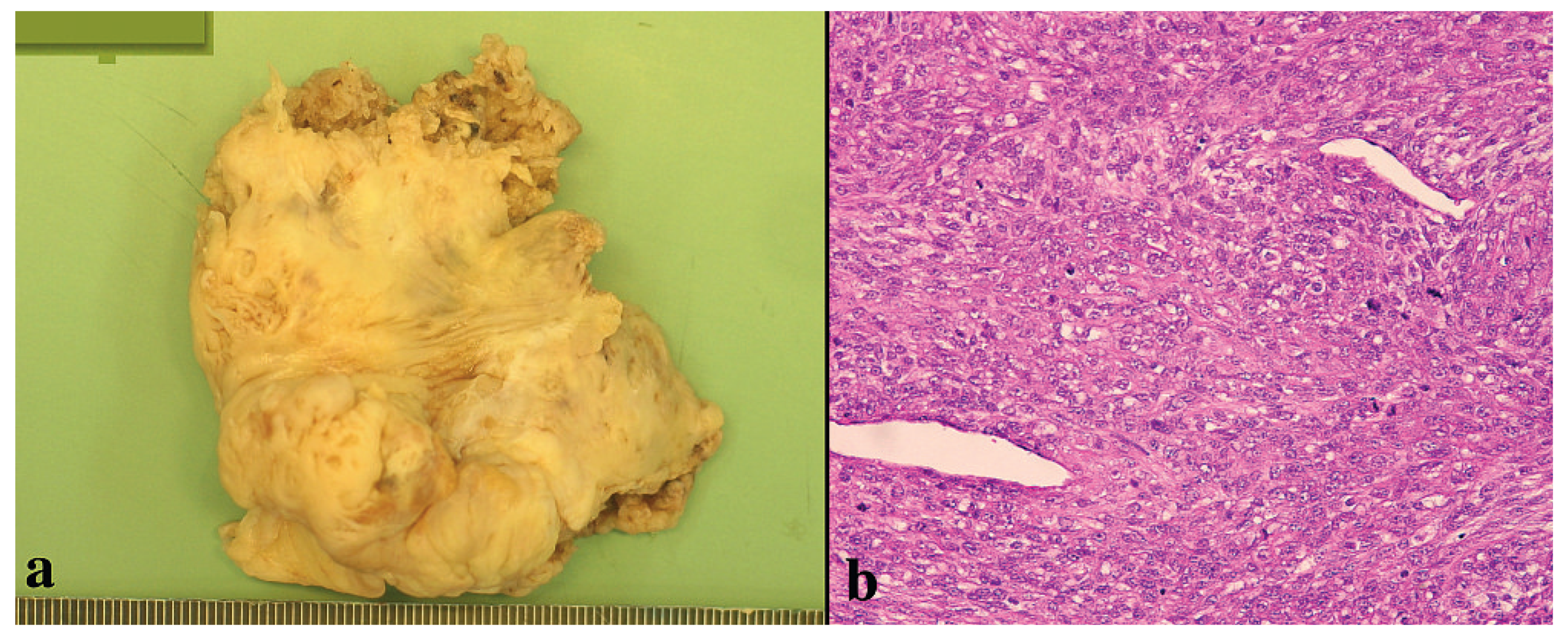
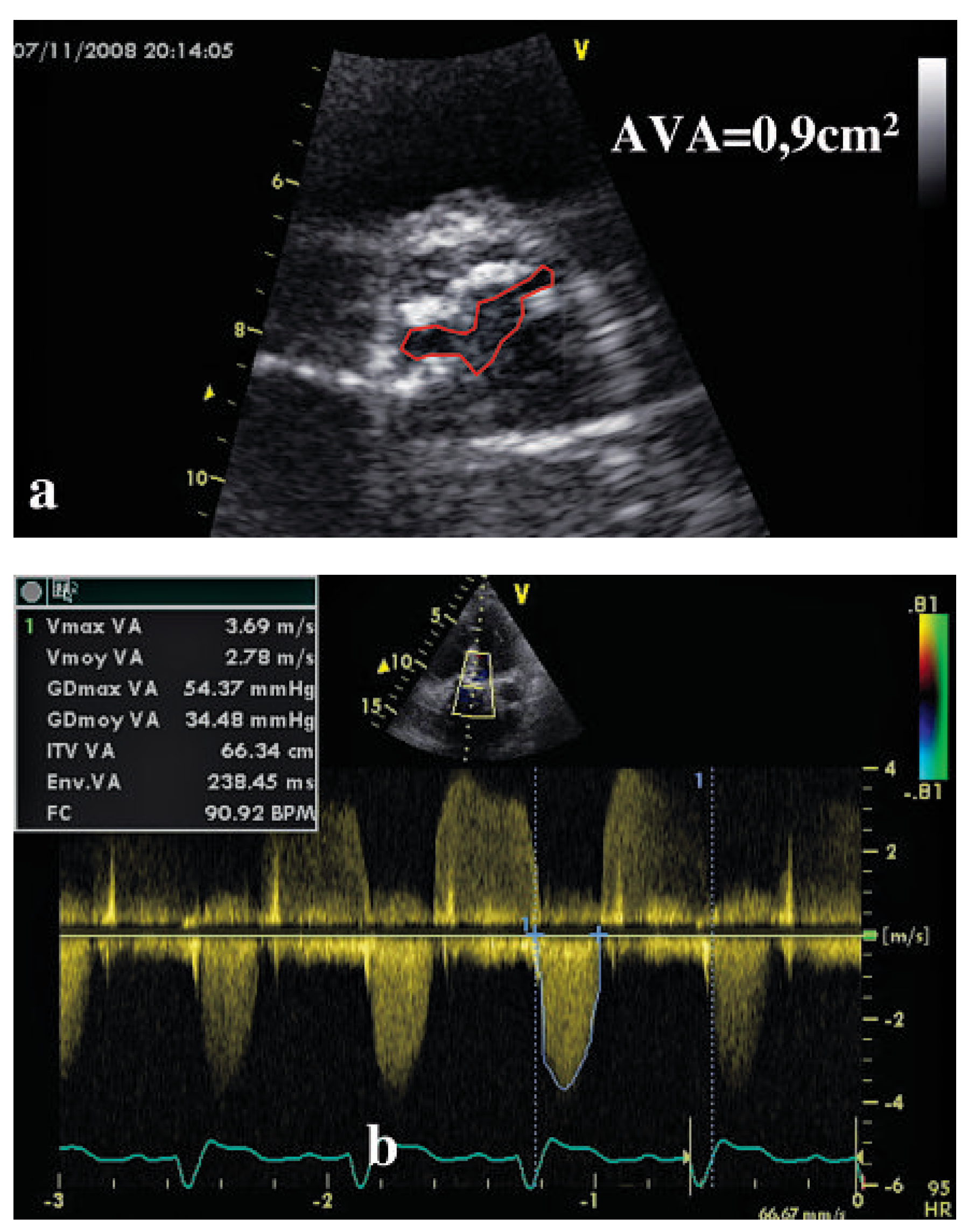
Description du cas

Commentaires
References
- Hsieh, P.L.; Lee, D.; Chiou, K.R. l; et al. l. Echocardiographic features of primary sarcomas of the heart. Echocardiography 2002, 19, 215–220. [Google Scholar] [CrossRef] [PubMed]
- Burke, A.P.; Cowan, D.; Virmani, R. Primary sarcomas of the heart. Cancer 1992, 69, 387–395. [Google Scholar] [CrossRef] [PubMed]
- Kosuga, T.; Fukunaga, S.; Kawara, T. l; et al. l. Surgery for primary cardiac tumors. Clinical expérience and surgical results in 60 patients. J Cardiovasc Surg. 2002, 43, 581. [Google Scholar]



© 2009 by the author. Attribution - Non-Commercial - NoDerivatives 4.0.
Share and Cite
Delabays, A.; Gersbach, P.; Guillou, L. Obstacles en Série. Cardiovasc. Med. 2009, 12, 132. https://doi.org/10.4414/cvm.2009.01409
Delabays A, Gersbach P, Guillou L. Obstacles en Série. Cardiovascular Medicine. 2009; 12(4):132. https://doi.org/10.4414/cvm.2009.01409
Chicago/Turabian StyleDelabays, Alain, Philippe Gersbach, and Louis Guillou. 2009. "Obstacles en Série" Cardiovascular Medicine 12, no. 4: 132. https://doi.org/10.4414/cvm.2009.01409
APA StyleDelabays, A., Gersbach, P., & Guillou, L. (2009). Obstacles en Série. Cardiovascular Medicine, 12(4), 132. https://doi.org/10.4414/cvm.2009.01409
