A Three-Step Procedure for Emergency Cerclage: Gestational and Neonatal Outcomes
Abstract
:1. Introduction
2. Materials and Methods
2.1. Operative Procedure
- A first cerclage in a purse-string suture to ensure bag reduction.
- Subsequent occlusive cerclage to ensure good cervical competence.
- Posterior cervical cleisis is optionally added depending on the cervical dilation and degree of prolapse (resulting in TSEC).
- The cervix was exposed using Sim’s specula, after initial washing and asepsis of the vagina with chlorhexidine.
- The bag was reduced using a swab impregnated with sterile lubricant, until both cervical lips were exposed (the lower lip normally proves to be more difficult), and these were then pulled up using a Foerster clamp.
- A Foley catheter was prepared and cut at the distal end, at the level of the upper edge of the inflated balloon. Care was taken to not leave any edges that could damage the amniotic sac.
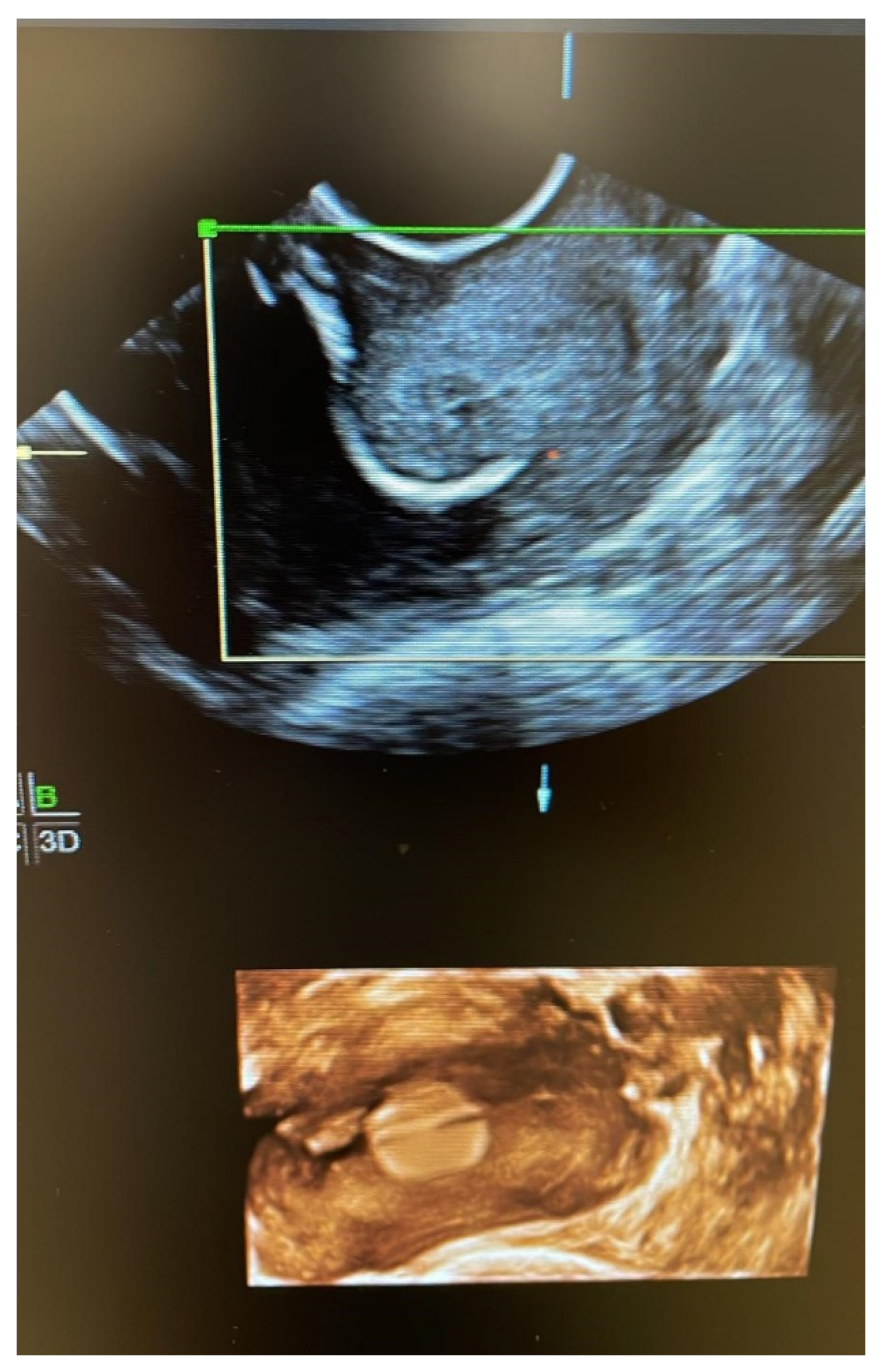
- The Foley catheter was inserted and then filled depending on the degree of cervical dilation and the stage of the procedure. For this, a third assistant helped to increase or reduce the drainage flow, depending on the stage of the procedure, which initially corrected the prolapse. The drainage flow was then reduced to cross the cervical canal, and later, once past the internal cervical os, the volume was increased again to reduce the bag and facilitate safe cerclage (Figure 1).
- The first cerclage was performed using Prolene 1. A purse-string suture was placed as cranially as possible and as close as possible to the level of the internal cervical os, with care taken not to damage the bladder. The suture was superficially applied without going too deep into the cervical stroma since this step aims to keep the bag reduced once the Foley catheter had been removed and to leave a segment of the cervix free on which to perform a second cerclage such that conglutination is guaranteed (Figure 2).
- The tobacco pouch seam was then closed while the Foley catheter was simultaneously deflated and removed, ensuring that the cervix was completely closed.
- A second cerclage was performed with Mersilene tape, which was attached approximately 1 cm below the previous cerclage. The stitches in this suture were designed to conglutinate the cervix, including the anterior and posterior lips at both commissures (8 to 11 o’clock on the left edge and 4 to 1 o’clock on the right edge). The point applied on the lower edge extended from 7 to 5 o’clock and was positioned as cranially as possible. The knot was located at 12 o’clock (Figure 3).
2.2. Statistical Analyses
3. Results
4. Discussion
5. Conclusions
Author Contributions
Funding
Institutional Review Board Statement
Informed Consent Statement
Data Availability Statement
Conflicts of Interest
References
- Lawn, J.; McCarthy, B.J.; Ross, S.R. The Healthy Newborn: A Reference Manual for Program Managers; Center for Disease Control and Prevention: Atlanta, GA, USA, 2001. [Google Scholar]
- Martin, J.A.; Hamilton, B.E.; Osterman, M.J.; Driscoll, A.K.; Valenzuela, C.P. Births: Final Data for 2013; National Vital Statistics Reports; Centers for Disease Control and Prevention: Atlanta, GA, USA, 2015; Volume 64, pp. 1–65. [Google Scholar]
- Draper, E.S.; Manktelow, B.; Field, D.J.; James, D. Prediction of survival for preterm births by weight and gestational age: Retrospective population based study. BMJ 1999, 319, 1093–1097. [Google Scholar] [CrossRef] [PubMed] [Green Version]
- Rennie, J.M. A review of the risk of being born too soon. Fetal Matern. Med. Rev. 2002, 13, 157–168. [Google Scholar] [CrossRef]
- Iams, J.D.; Johnson, F.F.; Sonek, J.; Sachs, L.; Gebauer, C.; Samuels, P. Cervical competence as a continuum: A study of ultrasonographic cervical length and obstetric performance. Am. J. Obstet. Gynecol. 1995, 172, 1097–1103. [Google Scholar] [CrossRef]
- Stromme, W.B.; Haywa, E.W. Intrauterine fetal death in the second trimester. Am. J. Obstet. Gynecol. 1963, 85, 223–233. [Google Scholar] [CrossRef]
- Namouz, S.; Porat SOkun, N.; Windrim, R.; Farine, D. Emergency cerclage: Literature review. Obstet. Gynecol. Surv. 2013, 68, 379–388. [Google Scholar] [CrossRef] [Green Version]
- Chatzakis, C.; Efthymiou, A.; Sotiriadis, A.; Makrydimas, G. Emergency cerclage in singleton pregnancies with painless cervical dilatation: A meta-analysis. Acta Obstet. Gynecol. Scand. 2020, 99, 1444–1457. [Google Scholar] [CrossRef]
- Shirodkar, V.N. A new method of operative treatment for habitual abortions in the second trimester of pregnancy. Antiseptic 1955, 52, 299–300. [Google Scholar]
- McDonald, I.A. Suture of the cervix for inevitable miscarriage. J. Obstet. Gynaecol. Br. Emp. 1957, 64, 346–350. [Google Scholar] [CrossRef]
- Althuisius, S.M.; Dekker, G.A.; Hummel, P.; Bekedam, D.J.; van Geijn, H.P. Final results of the Cervical Incompetence Prevention Randomized Cerclage Trial (CIPRACT): Therapeutic cerclage with bed rest versus bed rest alone. Am. J. Obstet. Gynecol. 2001, 185, 1106–1112. [Google Scholar] [CrossRef]
- Berghella, V.; Ludmir, J.; Simonazzi, G.; Owen, J. Transvaginal cervical cerclage: Evidence for perioperative management strategies. Am. J. Obstet. Gynecol. 2013, 209, 181–192. [Google Scholar] [CrossRef]
- Sato, Y.; Hidaka, N.; Nakano, T.; Kido, S.; Hachisuga, M.; Fujita, Y.; Kato, K. Efficacy of an Emergency Cervical Cerclage Using Absorbable Monofilament Sutures. J. Pregnancy 2018, 2018, 4049792. [Google Scholar] [CrossRef] [Green Version]
- Bayrak, M.; Gul, A.; Goynumer, G. Rescue cerclege when foetal membranes prolapse into the vagina. J. Obstet. Gynaecol. 2017, 37, 471–475. [Google Scholar] [CrossRef]
- Curti, A.; Simonazzi, G.; Farina, A.; Mehmeti, H.; Facchineti, F.; Rizzo, N. Exam-indicated cerclage in patients with fetal membranes at or beyond external os: A retrospective evaluation. J. Obstet. Gynaecol. Res. 2012, 38, 1352–1357. [Google Scholar] [CrossRef]
- Basbug, A.; Bayrak, M.; Dogan, O.; Kaya, A.; Goynumer, G. McDonald versus modified Shirodkar rescue cerclage in women with prolapsed fetal membranes. J. Matern. Fetal Neonatal Med. 2020, 33, 1075–1079. [Google Scholar] [CrossRef]
- Variable Selection in Multiple Regression|Introduction to Statistics|JMP. Available online: https://www.jmp.com/en_us/statistics-knowledge-portal/what-is-multiple-regression/variable-selection.html (accessed on 12 May 2021).
- Fortner, K.B.; Fitzpatrick, C.B.; Grotegut, C.A.; Swamy, G.K.; Murtha, A.P.; Heine, R.P.; Brown, H.L. Cervical dilation as a predictor of pregnancy outcome following emergency cerclage. J. Matern. Fetal Neonatal Med. 2012, 25, 1884–1888. [Google Scholar] [CrossRef]
- Daskalakis, G.; Papantoniou, N.; Mesogitis, S.; Antsaklis, A. Management of cervical insufficiency and bulging fetal membranes. Obstet. Gynecol. 2006, 107, 221–226. [Google Scholar] [CrossRef]
- Ventolini, G.; Genrich, T.J.; Roth, J.; Neiger, R. Pregnancy outcome after placement of ‘rescue’ Shirodkar cerclage. J. Perinatol. 2009, 29, 276–279. [Google Scholar] [CrossRef]
- Uzun Clingir, I.; Sayin, C.; Sutcu, H.; İnan, C.; Erzincan, S.; Yener, C.; Varol, F. Does emergency cerclage really work in patients with advanced cervical dilatation. J. Gynecol. Obstet. Hum. Reprod. 2019, 48, 387–390. [Google Scholar] [CrossRef]
- Stupin, J.H.; David, M.; Siedentopf, J.P.; Dudenhausen, J.W. Emergency cerclage versus bed rest for amniotic sac prolapse before 27 gestational weeks. A retrospective, comparative study of 161 women. Eur. J. Obstet. Gynecol. Reprod. Biol. 2008, 139, 32–37. [Google Scholar] [CrossRef]
- Gupta, M.; Emary, K.; Impey, L. Emergency cervical cerclage: Predictors of success. J. Matern. Fetal Neonatal Med. 2010, 23, 670–674. [Google Scholar] [CrossRef]
- Abo-Yaqoub, S.; Mohammed, A.B.; Saleh, H. The effect of second trimester emergency cervical cerclage on perinatal outcome. J. Matern. Fetal Neonatal Med. 2012, 25, 1746–1749. [Google Scholar] [CrossRef]
- Freire Costa, M.M.; Amorin Filho, A.G.; De Barros, M.F.; Rodrigues, A.S.; Zugaib, M.; Francisco, R.P.V.; de Carvalho, M.H.B. Emergency cerclage: Gestational and neonatal outcomes. Rev. Assoc. Med. Bras. 2019, 65, 598–602. [Google Scholar] [CrossRef]
- Aoki, S.; Ohnuma, E.; Kurasawa, K.; Okuda, M.; Takahashi, T.; Hirahara, F. Emergency cerclage versus expectant management for prolapsed fetal membranes: A retrospective, comparative study. J. Obstet. Gynaecol. Res. 2014, 40, 381–386. [Google Scholar] [CrossRef]
- Pereira, L.; Cotter, A.; Gómez, R.; Berghella, V.; Prasertcharoensuk, W.; Rasanen, J.; Chaithongwongwatthana, S.; Mittal, S.; Daly, S.; Airoldi, J.; et al. Expectant management compared with physical examination–indicated cerclage (EM-PEC) in selected women with a dilated cervix at 140/7-256/7 weeks: Results from the EM-PEC international cohort study. Am. J. Obstet. Gynecol. 2007, 197, e1–e483. [Google Scholar] [CrossRef] [PubMed]
- Hordnes, K.; Askvik, K.; Dalaker, K. Emergency McDonald cerclage with application of stay sutures. Eur. J. Obstet. Gynecol. Reprod. Biol. 1996, 64, 43–49. [Google Scholar] [CrossRef]
- Ito, A.; Maseki, Y.; Ikeda, S.; Tezuka, A.; Kuribayashi, M.; Furuhashi, M. Factors associated with delivery at or after 28 weeks gestation in women with bulging fetal membranes before 26 weeks gestation. J. Matern. Fetal Neonatal Med. 2017, 30, 2046–2050. [Google Scholar] [CrossRef]
- Tita, A.T.; Andrews, W.W. Diagnosis and management of clinical chorioamnionitis. Clin. Perinatol. 2010, 37, 339–354. [Google Scholar] [CrossRef] [PubMed] [Green Version]
- Govia, R.N.M.; Birse, K.D.; Sepehri, S.; Khafipour, E.; Menticoglou, S.M.; Burgener, A.D.; Poliquin, V. Amniotic fluid proteomic signatures of cervical insufficiency and their association with length of latency. Am. J. Reprod. Immunol. 2018, 80, e13030. [Google Scholar] [CrossRef] [PubMed]
- Lee, J.; Lee, J.E.; Choi, J.W.; Han, M.H.; Seong, S.Y.; Park, K.H.; Park, J.W. Proteomic Analysis of Amniotic Fluid Proteins for Predicting the Outcome of Emergency Cerclage in Women with Cervical Insufficiency. Reprod. Sci. 2020, 27, 1318–1329. [Google Scholar] [CrossRef] [PubMed]
- Schneider, K.; Fimmers, R.; Jörgens, M.; Peter, S.; Pelzer, V.; Redlich, T. Emergency cerclage following a standardized protocol offers an effective and safe therapeutic option for women with high risk for prematurity—A retrospective monocentric cohort study on 130 pregnancies and 155 neonates. J. Matern. Fetal Neonatal Med. 2019, 18, 1–7. [Google Scholar] [CrossRef]
- Chun, S.H.; Chun, J.; Lee, K.Y.; Sung, T.J. Effects of emergency cerclage on the neonatal outcomes of preterm twin pregnancies compared to preterm singleton pregnancies: A neonatal focus. PLoS ONE 2018, 13, e0208136. [Google Scholar] [CrossRef]
- Cilingir, I.U.; Sayin, C.; Sutcu, H.; İnan, C.; Erzincan, S.; Yener, C.; Varol, F. Emergency cerclage in twins during mid gestation may have favorable outcomes: Results of a retrospective cohort. J. Gynecol. Obstet. Hum. Reprod. 2018, 47, 451–453. [Google Scholar] [CrossRef]
- Suff, N.; Hall, M.; Shennan, A.; Chandiramani, M. The use of quantitative fetal fibronectin for the prediction of preterm birth in women with exposed fetal membranes undergoing emergency cervical cerclage. Eur. J. Obstet. Gynecol. Reprod. Biol. 2020, 246, 19–22. [Google Scholar] [CrossRef]
- Wierzchowska-Opoka, M.; Kimber-Trojnar, Z.; Leszczynska-Gorzelak, B. Emergency Cervical Cerclage. J. Clin. Med. 2021, 10, 1270. [Google Scholar] [CrossRef]







| Variables | Patients (N = 24) |
|---|---|
| Age | 33.5 ± 5.5 |
| Parity | |
| Nulliparous/Primiparous | 13 (54.2%) |
| Multiparous | 11 (45.8%) |
| N (%) | |
|---|---|
| Previous Abortion | 1 (45.8%) |
| Previous Conization | 3 (12.5%) |
| Previous Premature Delivery | 5 (20.8%) |
| Previous Chorioamnionitis | 2 (8.3%) |
| Previous Cervical Incompetence | 3 (12.5%) |
| Previous Prolapsed Membranes | 3 (12.5%) |
| n (%) | |
|---|---|
| Chorioamnionitis | 4 (16.4%) |
| Birth after 28 Weeks | 21 (87.5%) |
| Birth after 34 Weeks | 19 (79.1%) |
| Birth after 37 Weeks | 11 (45.8%) |
| Neonatal Survival | 23 (95.8%) |
| Mean (Range) | SD | |
|---|---|---|
| Gestation at Delivery (Weeks + Days) | 35 (24 + 1 to 40 + 5) | ±4 + 5 |
| Interval to Delivery (Days) | 14 + 6 (2 to 26 + 5) | ±7 |
| Birth Weight (g) | 2550 (580–3880) | ±947.266 |
| Chorioamnionitis | Preterm Birth | Conization | Prolapsed Membrane | |||||||||
|---|---|---|---|---|---|---|---|---|---|---|---|---|
| + | − | p-Value | + | − | p-Value | + | − | p-Value | + | − | p-Value | |
| Gestational at diagnosis, weeks + days | 15 + 4 | 20 + 3 | NS | 19 | 20 + 3 | p < 0.01 | 14 + 2 | 21 + 1 | p < 0.007 | 17 + 4 | 20 + 3 | NS |
| Gestation at delivery, weeks + days | 28 + 1 | 36 + 3 | p < 0.003 | 36 | 34 + 5 | p < 0.05 | 38 + 2 | 34 + 3 | p < 0.001 | 32 + 4 | 35 + 1 | NS |
| Interval to delivery, weeks + days | 7 + 1 | 16 + 1 | p < 0.007 | 17 | 12 | NS | 24 | 13 + 3 | NS | 5 + 6 | 16 | p < 0.01 |
| Birth weight, g | 1285 ± 327.3 g | 2803 ± 815.5 g | p < 0.002 | 2628 | 2529 | NS | 2943 | 2493 | NS | 1376 | 2717 | p < 0.01 |
| Constant | B | Std Error | Standardized Beta Coefficients | t | Sig | 95% Lower Bound | 95% Upper Bound |
|---|---|---|---|---|---|---|---|
| Cervical Dilatation | −18.91 | 0.86 | −0.49 | −2.71 | 0.02 | −34.27 | −3.544 |
| Three-Step Cerclage | 43.782 | 24.073 | 0.185 | 1.819 | 0.096 | −9.20 | 96.757 |
| Length after Cerclage | 2.110 | 0.655 | 0.360 | 3.22. | 0.008 | 0.669 | 3.551 |
| Gestational Days at Diagnosis | 1.260 | 0.251 | −0.660 | 5.024 | 0.000 | 1.812 | −0.708 |
Publisher’s Note: MDPI stays neutral with regard to jurisdictional claims in published maps and institutional affiliations. |
© 2022 by the authors. Licensee MDPI, Basel, Switzerland. This article is an open access article distributed under the terms and conditions of the Creative Commons Attribution (CC BY) license (https://creativecommons.org/licenses/by/4.0/).
Share and Cite
Gómez-Castellano, M.; Sabonet-Morente, L.; González-Mesa, E.; Jiménez-López, J.S. A Three-Step Procedure for Emergency Cerclage: Gestational and Neonatal Outcomes. Int. J. Environ. Res. Public Health 2022, 19, 2636. https://doi.org/10.3390/ijerph19052636
Gómez-Castellano M, Sabonet-Morente L, González-Mesa E, Jiménez-López JS. A Three-Step Procedure for Emergency Cerclage: Gestational and Neonatal Outcomes. International Journal of Environmental Research and Public Health. 2022; 19(5):2636. https://doi.org/10.3390/ijerph19052636
Chicago/Turabian StyleGómez-Castellano, Manuel, Lorena Sabonet-Morente, Ernesto González-Mesa, and Jesús S. Jiménez-López. 2022. "A Three-Step Procedure for Emergency Cerclage: Gestational and Neonatal Outcomes" International Journal of Environmental Research and Public Health 19, no. 5: 2636. https://doi.org/10.3390/ijerph19052636
APA StyleGómez-Castellano, M., Sabonet-Morente, L., González-Mesa, E., & Jiménez-López, J. S. (2022). A Three-Step Procedure for Emergency Cerclage: Gestational and Neonatal Outcomes. International Journal of Environmental Research and Public Health, 19(5), 2636. https://doi.org/10.3390/ijerph19052636

