Computer-Assisted Annotation of Digital H&E/SOX10 Dual Stains Generates High-Performing Convolutional Neural Network for Calculating Tumor Burden in H&E-Stained Cutaneous Melanoma
Abstract
1. Introduction
2. Materials and Methods
2.1. Specimens
2.2. Digital H&E/IHC Dual Staining of the Same Tissue Section
2.3. Histochemical Staining
2.4. Scanning
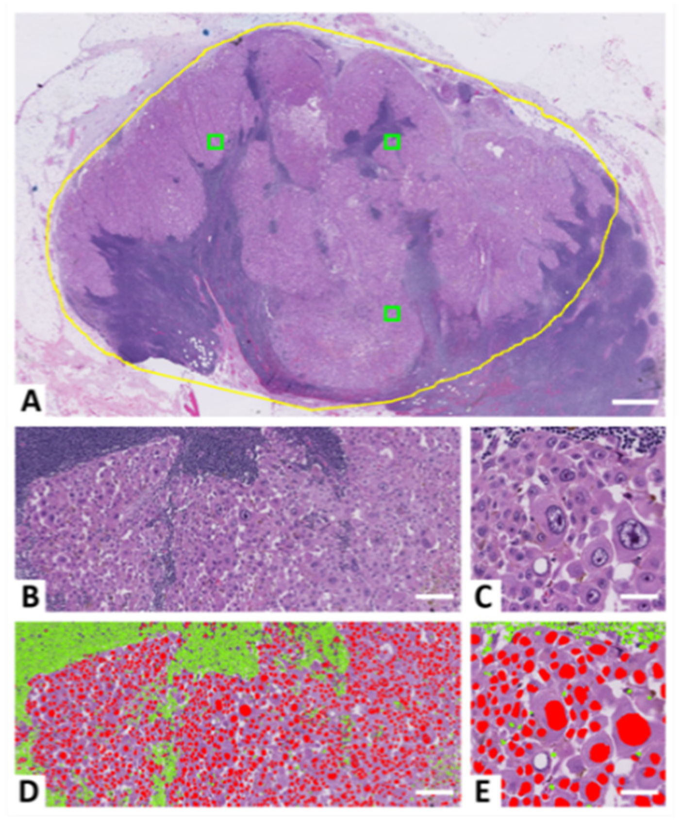
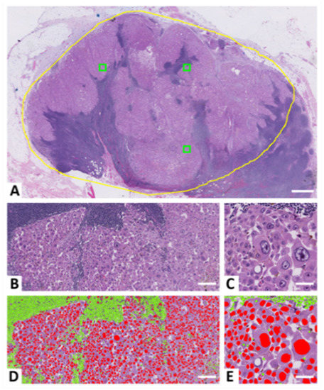
2.5. Regions of Interest
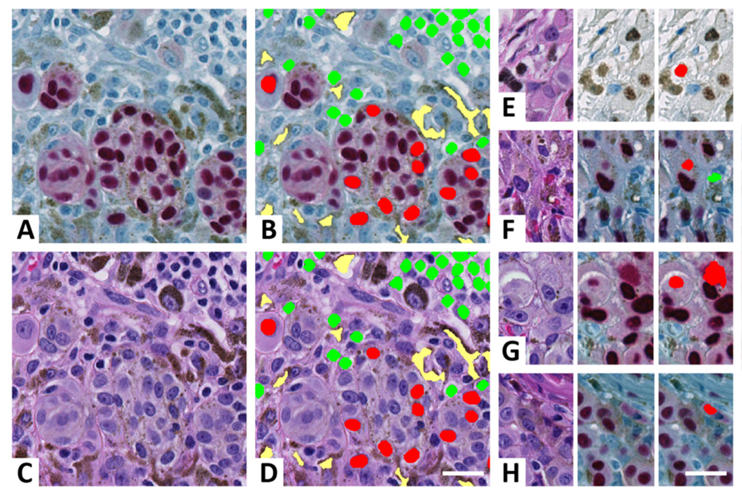
2.6. Image Analysis
2.6.1. Subdivision of Lesions for Comparisons and CNN Training, Validation, and Test
2.6.2. Segmentation by Handcrafted Algorithms
2.6.3. Segmentation by Neural Network
2.6.4. Postprocessing
2.6.5. Output
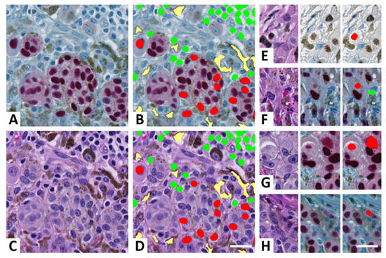
2.7. Ground-Truth for Procedures of Annotation
2.8. Ground-Truth Mask for CNNTB
2.9. Stereology
2.10. Mutant-Allele Frequency by Next-Generation Sequencing
2.11. Statistics
3. Results
3.1. Comparison of Applications for Computer-Assisted Annotation in Primary Melanomas
3.2. Computer-Assisted Annotation of Metastases
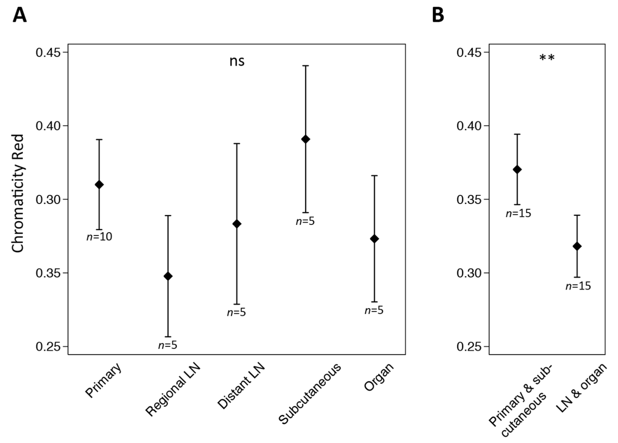
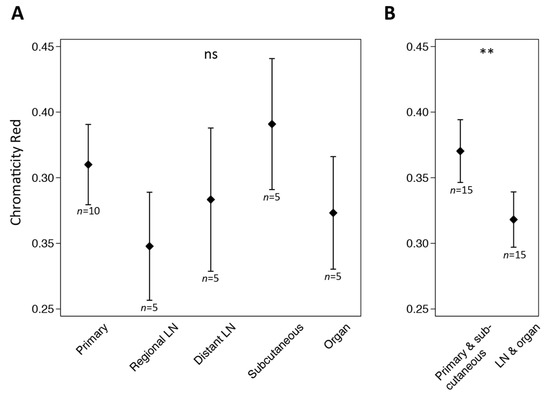
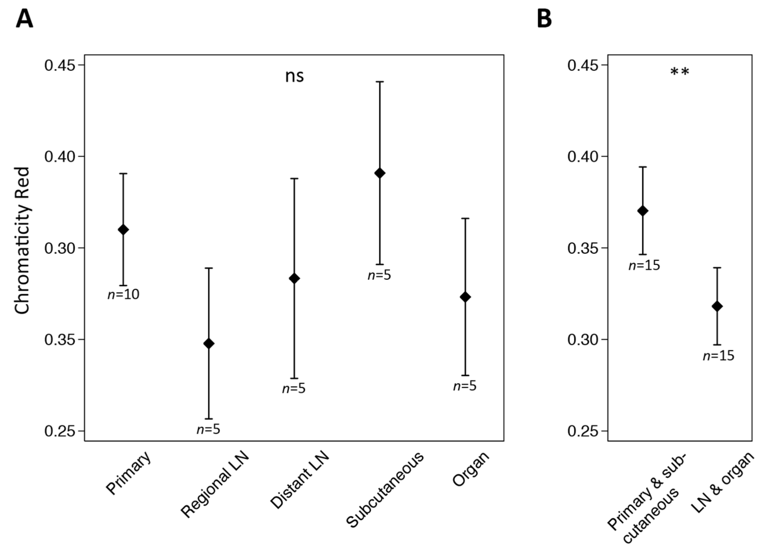
3.3. SOX10 Intensity in Primary Melanomas and Melanoma Metastases
3.4. Performance of Neural Network for Calculating Tumor Burden
4. Discussion
5. Conclusions
Supplementary Materials
Author Contributions
Funding
Institutional Review Board Statement
Informed Consent Statement
Data Availability Statement
Conflicts of Interest
References
- Cui, M.; Zhang, D.Y. Artificial Intelligence and Computational Pathology. Lab. Investig. 2021, 101, 412–422. [Google Scholar] [CrossRef]
- Acs, B.; Rantalainen, M.; Hartman, J. Artificial Intelligence as the Next Step Towards Precision Pathology. J. Intern. Med. 2020, 288, 62–81. [Google Scholar] [CrossRef]
- Nielsen, P.S.; Riber-Hansen, R.; Raundahl, J.; Steiniche, T. Automated Quantification of MART1-Verified Ki67 Indices by Digital Image Analysis in Melanocytic Lesions. Arch. Pathol. Lab. Med. 2012, 136, 627–634. [Google Scholar] [CrossRef]
- Rexhepaj, E.; Brennan, D.J.; Holloway, P.; Kay, E.W.; McCann, A.H.; Landberg, G.; Duffy, M.J.; Jirstrom, K.; Gallagher, W.M. Novel Image Analysis Approach for Quantifying Expression of Nuclear Proteins Assessed by Immunohistochemistry: Application to Measurement of Oestrogen and Progesterone Receptor Levels in Breast Cancer. Breast Cancer Res. 2008, 10, R89. [Google Scholar] [CrossRef]
- Muehlematter, U.J.; Daniore, P.; Vokinger, K.N. Approval of Artificial Intelligence and Machine Learning-Based Medical Devices in the USA and Europe (2015–20): A Comparative Analysis. Lancet Digit. Health 2021, 3, e195–e203. [Google Scholar] [CrossRef]
- Lodha, S.; Saggar, S.; Celebi, J.T.; Silvers, D.N. Discordance in the Histopathologic Diagnosis of Difficult Melanocytic Neoplasms in the Clinical Setting. J. Cutan. Pathol. 2008, 35, 349–352. [Google Scholar] [CrossRef]
- Gomes, D.S.; Porto, S.S.; Balabram, D.; Gobbi, H. Inter-Observer Variability between General Pathologists and a Specialist in Breast Pathology in the Diagnosis of Lobular Neoplasia, Columnar Cell Lesions, Atypical Ductal Hyperplasia and Ductal Carcinoma in Situ of the Breast. Diagn. Pathol. 2014, 9, 121. [Google Scholar] [CrossRef]
- Bueno-de-Mesquita, J.M.; Nuyten, D.S.A.; Wesseling, J.; van Tinteren, H.; Linn, S.C.; van de Vijver, M.J. The Impact of Inter-Observer Variation in Pathological Assessment of Node-Negative Breast Cancer on Clinical Risk Assessment and Patient Selection for Adjuvant Systemic Treatment. Ann. Oncol. 2010, 21, 40–47. [Google Scholar] [CrossRef]
- Nielsen, P.S.; Bentzer, N.K.; Jensen, V.; Steiniche, T.; Jylling, A.M. Immunohistochemical Ki-67/KL1 Double Stains Increase Accuracy of Ki-67 Indices in Breast Cancer and Simplify Automated Image Analysis. Appl. Immunohistochem. Mol. Morphol. 2014, 22, 568–576. [Google Scholar] [CrossRef]
- Smits, A.J.J.; Kummer, J.A.; de Bruin, P.C.; Bol, M.; van den Tweel, J.G.; Seldenrijk, K.A.; Willems, S.M.; Offerhaus, G.J.A.; de Weger, R.A.; van Diest, P.J.; et al. The Estimation of Tumor Cell Percentage for Molecular Testing by Pathologists Is Not Accurate. Mod. Pathol. 2014, 27, 168–174. [Google Scholar] [CrossRef]
- Lhermitte, B.; Egele, C.; Weingertner, N.; Ambrosetti, D.; Dadone, B.; Kubiniek, V.; Burel-Vandenbos, F.; Coyne, J.; Michiels, J.-F.; Chenard, M.-P.; et al. Adequately Defining Tumor Cell Proportion in Tissue Samples for Molecular Testing Improves Interobserver Reproducibility of Its Assessment. Virchows Arch. 2017, 470, 21–27. [Google Scholar] [CrossRef]
- Cheng, L.; Lopez-Beltran, A.; Massari, F.; MacLennan, G.T.; Montironi, R. Molecular Testing for BRAF Mutations to Inform Melanoma Treatment Decisions: A Move Toward Precision Medicine. Mod. Pathol. 2018, 31, 24–38. [Google Scholar] [CrossRef]
- Georgsen, J.B. Quantification of Tumor Burden by Artificial Intelligence in Tissue Sections of Melanoma. Master’s Thesis, Aalborg University, Aalborg, Denmark, 2021. [Google Scholar]
- Lamy, A.; Blanchard, F.; Le Pessot, F.; Sesboüé, R.; Di Fiore, F.; Bossut, J.; Fiant, E.; Frébourg, T.; Sabourin, J.-C. Metastatic Colorectal Cancer KRAS Genotyping in Routine Practice: Results and Pitfalls. Mod. Pathol. 2011, 24, 1090–1100. [Google Scholar] [CrossRef]
- Hekler, A.; Utikal, J.S.; Enk, A.H.; Solass, W.; Schmitt, M.; Klode, J.; Schadendorf, D.; Sondermann, W.; Franklin, C.; Bestvater, F.; et al. Deep Learning Outperformed 11 Pathologists in the Classification of Histopathological Melanoma Images. Eur. J. Cancer 2019, 118, 91–96. [Google Scholar] [CrossRef]
- Bejnordi, B.E.; Veta, M.; van Diest, J.P.; van Ginneken, B.; Karssemeijer, N.; Litjens, G.; van der Laak, J.A.W.M.; the CAMELYON16 Consortium. Diagnostic Assessment of Deep Learning Algorithms for Detection of Lymph Node Metastases in Women With Breast Cancer. JAMA 2017, 318, 2199–2210. [Google Scholar] [CrossRef]
- Campanella, G.; Hanna, M.G.; Geneslaw, L.; Miraflor, A.; Werneck Krauss Silva, V.; Busam, K.J.; Brogi, E.; Reuter, V.E.; Klimstra, D.S.; Fuchs, T.J. Clinical-Grade Computational Pathology Using Weakly Supervised Deep Learning on Whole Slide Images. Nat. Med. 2019, 25, 1301–1309. [Google Scholar] [CrossRef]
- Qu, H.; Wu, P.; Huang, Q.; Yi, J.; Yan, Z.; Li, K.; Riedlinger, G.M.; De, S.; Zhang, S.; Metaxas, D.N. Weakly Supervised Deep Nuclei Segmentation Using Partial Points Annotation in Histopathology Images. IEEE Trans. Med. Imaging 2020, 39, 3655–3666. [Google Scholar] [CrossRef]
- Banerjee, S.S.; Harris, M. Morphological and Immunophenotypic Variations in Malignant Melanoma: Variations in Malignant Melanoma. Histopathology 2000, 36, 387–402. [Google Scholar] [CrossRef]
- Bulten, W.; Bándi, P.; Hoven, J.; van de Loo, R.; Lotz, J.; Weiss, N.; van der Laak, J.; van Ginneken, B.; de Kaa, C.H.; Litjens, G. Epithelium Segmentation Using Deep Learning in H&E-Stained Prostate Specimens with Immunohistochemistry as Reference Standard. Sci. Rep. 2019, 9, 864. [Google Scholar] [CrossRef]
- Jackson, C.R.; Sriharan, A.; Vaickus, L.J. A Machine Learning Algorithm for Simulating Immunohistochemistry: Development of SOX10 Virtual IHC and Evaluation on Primarily Melanocytic Neoplasms. Mod. Pathol. 2020, 33, 1638–1648. [Google Scholar] [CrossRef]
- Tellez, D.; Balkenhol, M.; Otte-Holler, I.; van de Loo, R.; Vogels, R.; Bult, P.; Wauters, C.; Vreuls, W.; Mol, S.; Karssemeijer, N.; et al. Whole-Slide Mitosis Detection in H&E Breast Histology Using PHH3 as a Reference to Train Distilled Stain-Invariant Convolutional Networks. IEEE Trans. Med. Imaging 2018, 37, 2126–2136. [Google Scholar] [CrossRef]
- Stenman, S.; Bychkov, D.; Kucukel, H.; Linder, N.; Haglund, C.; Arola, J.; Lundin, J. Antibody Supervised Training of a Deep Learning Based Algorithm for Leukocyte Segmentation in Papillary Thyroid Carcinoma. IEEE J. Biomed. Health Inform. 2021, 25, 422–428. [Google Scholar] [CrossRef]
- Steiniche, T.; Georgsen, J.B.; Lauridsen, K.L.; Nielsen, P.S. Multiplexing: Next-Generation Immunohistochemistry. In Proceedings of the 14th European Congress on Digital Pathology, Helsinki, Finland, 29 May–1 June 2018. [Google Scholar] [CrossRef]
- Bønnelykke-Behrndtz, M.L.; Schmidt, H.; Christensen, I.J.; Damsgaard, T.E.; Møller, H.J.; Bastholt, L.; Nørgaard, P.H.; Steiniche, T. Prognostic Stratification of Ulcerated Melanoma. Am. J. Clin. Pathol. 2014, 142, 845–856. [Google Scholar] [CrossRef]
- Dabrosin, N.; Sloth Juul, K.; Bæhr Georgsen, J.; Andrup, S.; Schmidt, H.; Steiniche, T.; Heide Øllegaard, T.; Bønnelykke Behrndtz, L. Innate Immune Cell Infiltration in Melanoma Metastases Affects Survival and Is Associated with BRAFV600E Mutation Status. Melanoma Res. 2019, 29, 30–37. [Google Scholar] [CrossRef]
- Ronneberger, O.; Fischer, P.; Brox, T. U-Net: Convolutional Networks for Biomedical Image Segmentation. arXiv 2015, arXiv:1505.04597. [Google Scholar] [CrossRef]
- Kingma, D.P.; Ba, J. Adam: A Method for Stochastic Optimization. arXiv 2017, arXiv:1412.6980. [Google Scholar] [CrossRef]
- Sharma, D.K.; Chatterjee, M.; Kaur, G.; Vavilala, S. Deep Learning Applications for Disease Diagnosis. In Deep Learning for Medical Applications with Unique Data; Elsevier: Amsterdam, The Netherlands, 2022; pp. 31–51. [Google Scholar] [CrossRef]
- Manliguez, C. Generalized Confusion Matrix for Multiple Classes. 2016, pp. 1–2. Available online: https://www.researchgate.net/publication/310799885_Generalized_Confusion_Matrix_for_Multiple_Classes (accessed on 25 October 2022).
- Newcombe, R.G. Two-Sided Confidence Intervals for the Single Proportion: Comparison of Seven Methods. Statist. Med. 1998, 17, 857–872. [Google Scholar] [CrossRef]
- Mohamed, A.; Gonzalez, R.S.; Lawson, D.; Wang, J.; Cohen, C. SOX10 Expression in Malignant Melanoma, Carcinoma, and Normal Tissues. Appl. Immunohistochem. Mol. Morphol. 2013, 21, 506–510. [Google Scholar] [CrossRef]
- Bakos, R.M.; Maier, T.; Besch, R.; Mestel, D.S.; Ruzicka, T.; Sturm, R.A.; Berking, C. Nestin and SOX9 and SOX10 Transcription Factors Are Coexpressed in Melanoma: Nestin and SOX9/10 Coexpression in Melanoma. Exp. Dermatol. 2009, 19, e89–e94. [Google Scholar] [CrossRef]
- Shakhova, O.; Zingg, D.; Schaefer, S.M.; Hari, L.; Civenni, G.; Blunschi, J.; Claudinot, S.; Okoniewski, M.; Beermann, F.; Mihic-Probst, D.; et al. Sox10 Promotes the Formation and Maintenance of Giant Congenital Naevi and Melanoma. Nat. Cell Biol. 2012, 14, 882–890. [Google Scholar] [CrossRef]
- Agnarsdóttir, M.; Sooman, L.; Bolander, Å.; Strömberg, S.; Rexhepaj, E.; Bergqvist, M.; Ponten, F.; Gallagher, W.; Lennartsson, J.; Ekman, S.; et al. SOX10 Expression in Superficial Spreading and Nodular Malignant Melanomas. Melanoma Res. 2010, 20, 468–478. [Google Scholar] [CrossRef]
- Nonaka, D.; Chiriboga, L.; Rubin, B.P. Sox10: A Pan-Schwannian and Melanocytic Marker. Am. J. Surg. Pathol. 2008, 32, 1291–1298. [Google Scholar] [CrossRef]
- Cassarino, D.S.; Su, A.; Robbins, B.A.; Altree-Tacha, D.; Ra, S. SOX10 Immunohistochemistry in Sweat Ductal/Glandular Neoplasms. J. Cutan. Pathol. 2017, 44, 544–547. [Google Scholar] [CrossRef]
- Ribatti, D.; Vacca, A.; Ria, R.; Marzullo, A.; Nico, B.; Filotico, R.; Roncali, L.; Dammacco, F. Neovascularisation, Expression of Fibroblast Growth Factor-2, and Mast Cells with Tryptase Activity Increase Simultaneously with Pathological Progression in Human Malignant Melanoma. Eur. J. Cancer 2003, 39, 666–674. [Google Scholar] [CrossRef]
- Ladstein, R.G.; Bachmann, I.M.; Straume, O.; Akslen, L.A. Ki-67 Expression Is Superior to Mitotic Count and Novel Proliferation Markers PHH3, MCM4 and Mitosin as a Prognostic Factor in Thick Cutaneous Melanoma. BMC Cancer 2010, 10, 140. [Google Scholar] [CrossRef]
- Guerriere-Kovach, P.M.; Hunt, E.L.; Patterson, J.W.; Glembocki, D.J.; English, J.C., 3rd; Wick, M.R. Primary Melanoma of the Skin and Cutaneous Melanomatous Metastases: Comparative Histologic Features and Immunophenotypes. Am. J. Clin. Pathol. 2004, 122, 70–77. [Google Scholar] [CrossRef]
- Gavrielides, M.A.; Gallas, B.D.; Lenz, P.; Badano, A.; Hewitt, S.M. Observer Variability in the Interpretation of HER2/ Neu Immunohistochemical Expression With Unaided and Computer-Aided Digital Microscopy. Arch. Pathol. Lab. Med. 2011, 135, 233–242. [Google Scholar] [CrossRef]
- Nielsen, P.S.; Spaun, E.; Riber-Hansen, R.; Steiniche, T. Automated Quantification of MART1-Verified Ki67 Indices: Useful Diagnostic Aid in Melanocytic Lesions. Hum. Pathol. 2014, 45, 1153–1161. [Google Scholar] [CrossRef]
- Michielin, O.; van Akkooi, A.C.J.; Ascierto, P.A.; Dummer, R.; Keilholz, U. Cutaneous Melanoma: ESMO Clinical Practice Guidelines for Diagnosis, Treatment and Follow-Up. Ann. Oncol. 2019, 30, 1884–1901. [Google Scholar] [CrossRef]
- The Italian Melanoma Intergroup (IMI); Bruno, W.; Martinuzzi, C.; Andreotti, V.; Pastorino, L.; Spagnolo, F.; Dalmasso, B.; Cabiddu, F.; Gualco, M.; Ballestrero, A.; et al. Heterogeneity and Frequency of BRAF Mutations in Primary Melanoma: Comparison between Molecular Methods and Immunohistochemistry. Oncotarget 2017, 8, 8069–8082. [Google Scholar] [CrossRef]
- Cormican, D.; Kennedy, C.; Murphy, S.; Werner, R.; Power, D.G.; Heffron, C.C.B.B. High Concordance of BRAF Mutational Status in Matched Primary and Metastatic Melanoma. J. Cutan. Pathol. 2019, 46, 117–122. [Google Scholar] [CrossRef] [PubMed]
- Valachis, A.; Ullenhag, G.J. Discrepancy in BRAF Status Among Patients With Metastatic Malignant Melanoma: A Meta-Analysis. Eur. J. Cancer 2017, 81, 106–115. [Google Scholar] [CrossRef] [PubMed]
- Hélias-Rodzewicz, Z.; Funck-Brentano, E.; Baudoux, L.; Jung, C.K.; Zimmermann, U.; Marin, C.; Clerici, T.; Le Gall, C.; Peschaud, F.; Taly, V.; et al. Variations of BRAF Mutant Allele Percentage in Melanomas. BMC Cancer 2015, 15, 497. [Google Scholar] [CrossRef] [PubMed]
- Improta, G.; Pelosi, G.; Tamborini, E.; Donia, M.; Santinami, M.; de Braud, F.; Fraggetta, F. Biological Insights into BRAFV600 Mutations in Melanoma Patient: Not Mere Therapeutic Targets. OncoImmunology 2013, 2, e25594. [Google Scholar] [CrossRef] [PubMed][Green Version]
- He, K.; Zhang, X.; Ren, S.; Sun, J. Delving Deep into Rectifiers: Surpassing Human-Level Performance on ImageNet Classification. In Proceedings of the 2015 IEEE International Conference on Computer Vision (ICCV), Santiago, Chile, 7–13 December 2015; pp. 1026–1034. [Google Scholar] [CrossRef]






| Feature | Annotation | CNNTB | |||
|---|---|---|---|---|---|
| THRbrown, n = 11 | CNNAnn Training, n = 8 | THRred and CNNAnn Test, n = 11 | Training, n = 13 | Test, n = 6 | |
| Mean Breslow Thickness (mm) | 3.79 | 3.67 | 3.27 | 2.97 | 4.46 |
| Ulcerated Lesions, n (%) | 7 (64) | 2 (25) | 4 (36) | 4 (31) | 2 (33) |
| Histopathological Subtype, n (%) | |||||
| Superficial Spreading | 6 (55) | 5 (63) | 8 (73) | 9 (69) | 4 (67) |
| Nodular | 4 (36) | 2 (25) | 2 (18) | 2 (15) | 2 (33) |
| Lentigo Maligna Melanoma | 1 (9) | 0 | 1 (9) | 1 (8) | 0 |
| Unclassified | 0 | 1 (13) | 0 | 1 (8) | 0 |
| Label Type | APP Type | Precision (95%CI), % | No. of FP | No. of TP | Annotation Rate (labels/mm2) |
|---|---|---|---|---|---|
| Tumor-Cell Annotation | THRbrown | 89.9 (88.2 to 91.3) | 146 | 1298 | 962 |
| THRred | 99.5 (99.1 to 99.7) | 15 | 2843 | 1739 | |
| CNNAnn-IHC | 97.5 (97.0 to 98.0) | 92 | 3597 | 2245 | |
| CNNAnn-H&E/IHC | 99.7 (99.4 to 99.9) | 7 | 2468 | 1506 | |
| Normal-Cell Annotation | THRred | 98.1 (96.7 to 98.9) | 12 | 626 | 388 |
| CNNAnn-IHC | 88.8 (84.0 to 92.3) | 25 | 199 | 136 | |
| CNNAnn-H&E/IHC | 99.2 (97.7 to 99.7) | 3 | 373 | 229 |
| APP Type | No. of False-Positive Labels (%) | ||||
|---|---|---|---|---|---|
| Pigmentation | Skewed Alignment | Cytoplasmatic SOX10 Reaction | Unspecific Red Dot | Only Part of Nucleus Edge Detected | |
| THRbrown | 146 (100) | 0 | 0 | 0 | 0 |
| THRred | 0 | 0 | 4 (27) | 11 (73) | 0 |
| CNNAnn-IHC | 0 | 14 (15) | 34 (37) | 36 (39) | 8 (9) |
| CNNAnn-H&E/IHC | 0 | 1 (14) | 3 (43) | 3 (43) | 0 |
| APP Type | No. of False-Positive Labels (%) | ||||
|---|---|---|---|---|---|
| Skewed Alignment | SOX10-Negative Tumor Cell | Pale SOX10-Positive Cell | Dark Blue Cytoplasm | Mitotic Figure within Tumor Nest | |
| THRred | 1 (8) | 11 (92) | 0 | 0 | 0 |
| CNNAnn-IHC | 6 (24) | 0 | 2 (8) | 16 (64) | 1 (4) |
| CNNAnn-H&E/IHC | 0 | 3 (100) | 0 | 0 | 0 |
| Label Type | Site of Metastasis | Precision (%, 95%CI) | No. of FP | No. of TP | Annotation Rate (Labels/mm2) |
|---|---|---|---|---|---|
| Tumor-Cell Annotation | All (N = 20) | 99.7 (99.3 to 99.8) | 7 | 2177 | 614 |
| Regional lymph node (n = 5) | 99.8 (98.6 to 100) | 1 | 405 | 312 | |
| Distant lymph node (n = 5) | 99.1 (96.8 to 99.8) | 2 | 219 | 340 | |
| Subcutis (n = 5) | 99.6 (99.1 to 99.9) | 4 | 1127 | 1392 | |
| Lung (n = 4) | 100 (99.1 to 100) | 0 | 421 | 666 | |
| Brain (n = 1) | 100 (56.6 to 100) | 0 | 5 | 31 | |
| Normal-Cell Annotation | All (N = 20) | 91.1 (89.6 to 92.8) | 109 | 1113 | 343 |
| Regional lymph node (n = 5) | 95.9 (93.5 to 97.4) | 17 | 393 | 315 | |
| Distant lymph node (n = 5) | 92.1 (89.5 to 94.1) | 43 | 499 | 833 | |
| Subcutis (n = 5) | 100 (97.9 to 100) | 0 | 178 | 219 | |
| Lung (n = 4) | 62.5 (30.6 to 86.3) | 3 | 5 | 13 | |
| Brain (n = 1) | 61.3 (52.4 to 69.6) | 46 | 73 | 733 |
| Metric with 95%CI, % | Tumor Nuclei | Normal Nuclei | Background |
|---|---|---|---|
| Sensitivity/recall | 84.0 (73.3 to 90.9) | 54.4 (42.5 to 65.8) | 95.5 (87.5 to 98.5) |
| Specificity | 94.3 (85.8 to 97.8) | 98.7 (92.2 to 99.8) | 79.6 (68.4 to 87.6) |
| Accuracy | 93.1 (85.9 to 97.8) | 93.0 (84.2 to 97.1) | 91.5 (82.3 to 96.1) |
| Precision | 66.6 (54.5 to 76.8) | 86.4 (76.1 to 92.7) | 93.4 (84.7 to 97.3) |
| F1 score | 74.3 (62.6 to 83.3) | 66.8 (54.8 to 77.0) | 94.4 (86.0 to 97.7) |
Publisher’s Note: MDPI stays neutral with regard to jurisdictional claims in published maps and institutional affiliations. |
© 2022 by the authors. Licensee MDPI, Basel, Switzerland. This article is an open access article distributed under the terms and conditions of the Creative Commons Attribution (CC BY) license (https://creativecommons.org/licenses/by/4.0/).
Share and Cite
Nielsen, P.S.; Georgsen, J.B.; Vinding, M.S.; Østergaard, L.R.; Steiniche, T. Computer-Assisted Annotation of Digital H&E/SOX10 Dual Stains Generates High-Performing Convolutional Neural Network for Calculating Tumor Burden in H&E-Stained Cutaneous Melanoma. Int. J. Environ. Res. Public Health 2022, 19, 14327. https://doi.org/10.3390/ijerph192114327
Nielsen PS, Georgsen JB, Vinding MS, Østergaard LR, Steiniche T. Computer-Assisted Annotation of Digital H&E/SOX10 Dual Stains Generates High-Performing Convolutional Neural Network for Calculating Tumor Burden in H&E-Stained Cutaneous Melanoma. International Journal of Environmental Research and Public Health. 2022; 19(21):14327. https://doi.org/10.3390/ijerph192114327
Chicago/Turabian StyleNielsen, Patricia Switten, Jeanette Baehr Georgsen, Mads Sloth Vinding, Lasse Riis Østergaard, and Torben Steiniche. 2022. "Computer-Assisted Annotation of Digital H&E/SOX10 Dual Stains Generates High-Performing Convolutional Neural Network for Calculating Tumor Burden in H&E-Stained Cutaneous Melanoma" International Journal of Environmental Research and Public Health 19, no. 21: 14327. https://doi.org/10.3390/ijerph192114327
APA StyleNielsen, P. S., Georgsen, J. B., Vinding, M. S., Østergaard, L. R., & Steiniche, T. (2022). Computer-Assisted Annotation of Digital H&E/SOX10 Dual Stains Generates High-Performing Convolutional Neural Network for Calculating Tumor Burden in H&E-Stained Cutaneous Melanoma. International Journal of Environmental Research and Public Health, 19(21), 14327. https://doi.org/10.3390/ijerph192114327

