Clinical and Aesthetic Outcomes of Multiple Gingival Recessions Coverage with Modified Coronally Advanced Tunnel and Subepithelial Connective Tissue Graft in Maxilla and Mandible: A 2-Year Retrospective Study
Abstract
:1. Introduction
2. Materials and Methods
2.1. Study Design and Ethical Consideration
2.2. Inclusion and Exclusion Criteria
2.3. Pre-Surgical Preparations
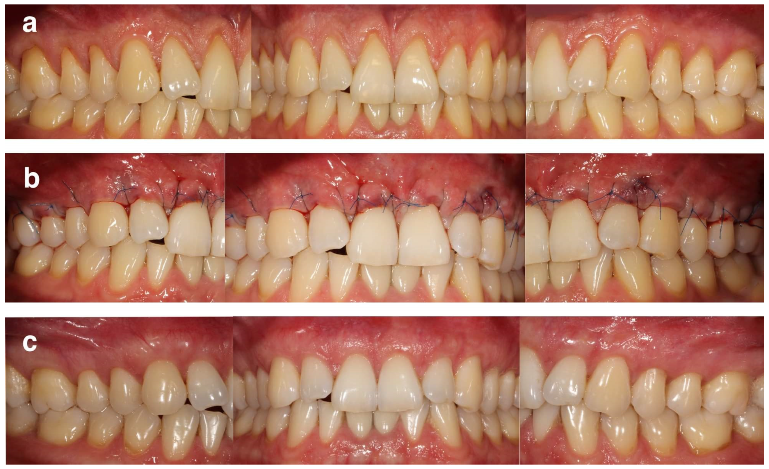
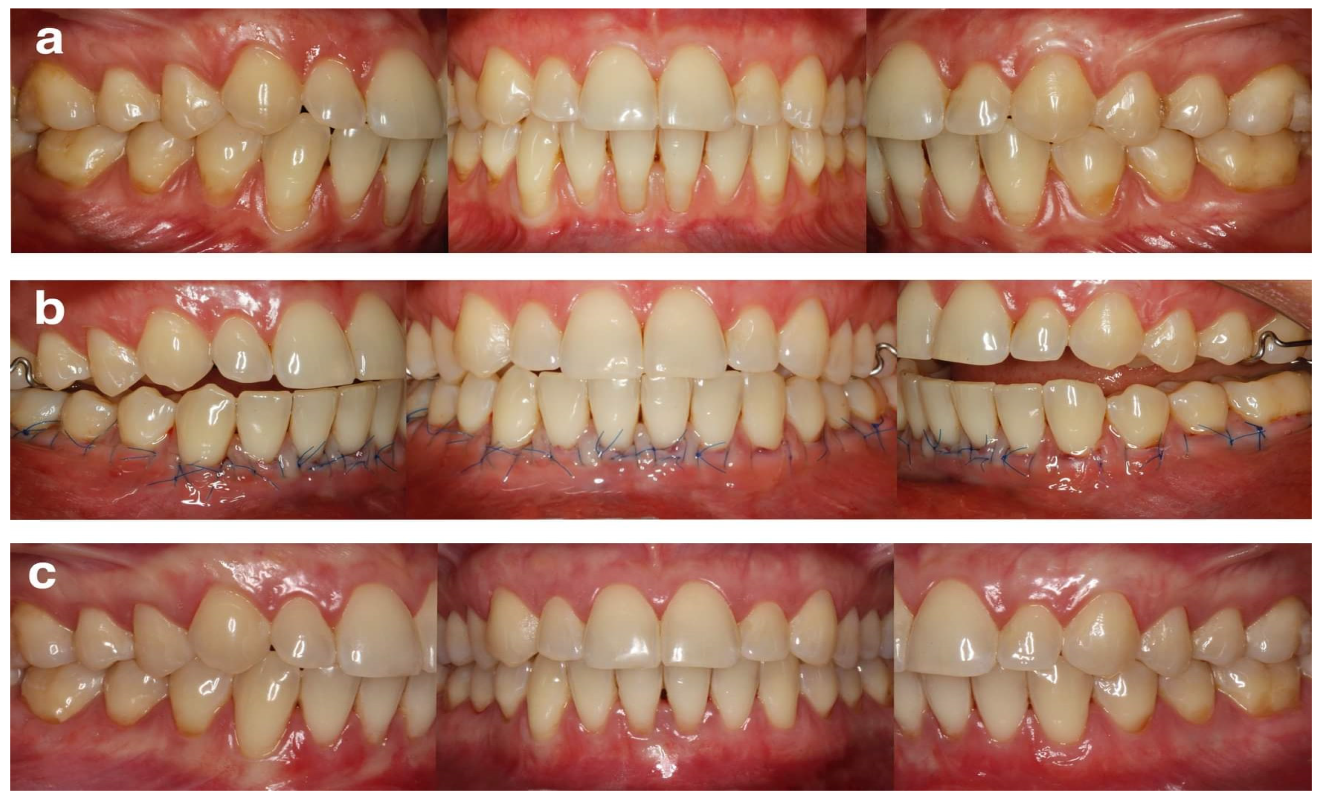
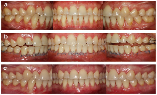
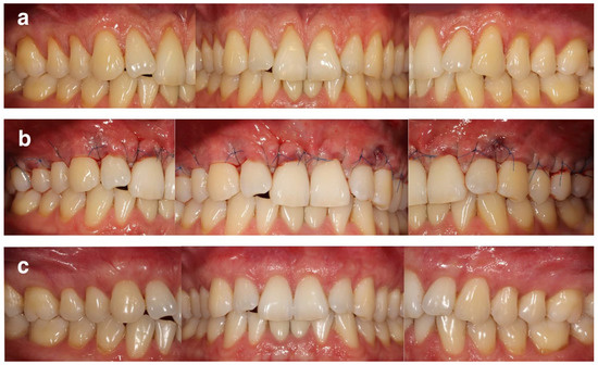
2.4. Intervention
2.5. Post-Surgical Care and Follow-Up
2.6. Clinical Measurements
2.7. Aesthetic Evaluation
2.8. Study Outcomes
2.9. Sample Size
2.10. Statistical Analysis
3. Results
3.1. Patient and Defect Characteristics
3.2. Clinical Outcomes
3.3. Aesthetic Evaluation
4. Discussion
5. Conclusions
Author Contributions
Funding
Institutional Review Board Statement
Informed Consent Statement
Data Availability Statement
Conflicts of Interest
References
- Lovegrove, J.; Leichter, J. Exposed root surface: A review of aetiology, management and evidence-based outcomes of treatment. N. Zeal. Dent. J. 2004, 100, 72–81. [Google Scholar]
- Cairo, F.; Nieri, M.; Cincinelli, S.; Mervelt, J.; Pagliaro, U. The interproximal clinical attachment level to classify gingival recessions and predict root coverage outcomes. An explorative and reliability study. J. Clin. Periodontol. 2011, 38, 661–666. [Google Scholar] [CrossRef] [PubMed]
- Rios, F.S.; Costa, R.S.; Moura, M.S.; Jardim, J.J.; Maltz, M.; Haas, A.N. Estimates and multivariable risk assessment of gingival recession in the population of adults from Porto Alegre. Brazil J. Clin. Periodontol. 2014, 41, 1098–1107. [Google Scholar] [CrossRef] [PubMed]
- Romandini, M.; Soldini, M.C.; Montero, E.; Sanz, M. Epidemiology of mid-buccal gingival recessions in NHANES according to the 2018 World Workshop Classifcation System. J. Clin. Periodontol. 2020, 47, 1180–1190. [Google Scholar] [CrossRef]
- Aroca, S.; Keglevich, T.; Nikolidakis, D.; Gera, I.; Nagy, K.; Azzi, R.; Etienne, D. Treatment of class III multiple gingival recessions: A randomized-clinical trial. J. Clin. Periodontol. 2010, 37, 88–97. [Google Scholar] [CrossRef]
- Zuhr, O.; Rebele, S.F.; Cheung, S.L.; Hürzeler, M. Research Group on Oral Soft Tissue Biology and Wound Healing. Surgery without papilla incision: Tunneling flap procedures in plastic periodontal and implant surgery. Periodontol. 2000 2018, 77, 123–149. [Google Scholar] [CrossRef]
- Zabalegui, I.; Sicilia, A.; Cambra, J.; Gil, J.; Sanz, M. Treatment of multiple adjacent gingival recessions with the tunnel subepithelial connective tissue graft: A clinical report. Int. J. Periodontics Restor. Dent. 1999, 19, 199–206. [Google Scholar]
- Sculean, A.; Cosgarea, R.; Stähli, A.; Katsaros, C.; Arweiler, N.B.; Miron, R.J.; Depper, H. Treatment of multiple adjacent maxillary Miller Class I, II, and III gingival recessions with the modified coronally advanced tunnel, enamel matrix derivative, and subepithelial connective tissue graft: A report of 12 cases. Quintessence Int. 2016, 47, 653–659. [Google Scholar]
- Karmakar, S.; Kamath, D.S.G.; Shetty, N.J.; Natarajan, S. Treatment of multiple adjacent class I and class II gingival recessions by modified microsurgical tunnel technique and modified coronally advanced flap using connective tissue graft: A randomized mono-center clinical trial. J. Int. Soc. Prev. Community Dent. 2022, 12, 38–48. [Google Scholar]
- Tavelli, L.; Barootchi, S.; Nguyen, T.V.N.; Tattan, M.; Ravidà, W.-L. Efficacy of tunnel technique in the treatment of localized and multiple gingival recessions: A systematic review and meta-analysis. J. Periodontol. 2018, 89, 1075–1090. [Google Scholar] [CrossRef]
- Mounssif, I.; Stefanini, M.; Mazzotti, C.; Marzadori, M.; Sangiorgi, M.; Zucchelli, G. Esthetic evaluation and patient-centered outcomes in root-coverage procedures. Periodontol. 2000 2018, 77, 19–53. [Google Scholar] [CrossRef] [PubMed]
- Tonetti, M.S.; Jepsen, S.; Working Group 2 of the European Workshop on Periodontology. Clinical efficacy of periodontal plastic surgery procedures: Consensus Report of Group 2 of the 10th European Workshop on Periodontology. J. Clin. Periodontol. 2014, 41, S36–S43. [Google Scholar] [CrossRef] [PubMed]
- Aroca, S.; Barbier, A.; Clementini, M.; Renouard, F.; de Sanctis, M. Treatment of class III multiple gingival recessions: Prognostic factors for achieving a complete root coverage. J. Clin. Periodontol. 2018, 45, 861–868. [Google Scholar] [CrossRef] [PubMed]
- Cieślik-Wegemund, M.; Candotto, V.; Wierucka-Młynarczyk, B.; Tanasiewicz, M.; Gilowski, Ł.; Duda, M.; Lauritano, D.; Ormianer, Z. Coverage of multiple recessions using the tunnel technique and a collagen matrix in the maxilla or mandible: A 6 month study. J. Biol. Regul. Homeost. Agents. 2018, 2, 1–10. [Google Scholar]
- Górski, B.; Górska, R.; Szerszeń, M.; Kaczyński, T. Modified coronally advanced tunnel technique with enamel matrix derivative in addition to subepithelial connective tissue graft compared with connective tissue graft alone for the treatment of multiple gingival recessions: Prognostic parameters for clinical treatment outcomes. Clin. Oral. Investig. 2022, 26, 673–688. [Google Scholar]
- de Sanctis, M.; Zucchelli, G. Coronally advanced fap: A modifed surgical approach for isolated recession-type defects: Three-year results. J. Clin. Periodontol. 2007, 34, 262–268. [Google Scholar] [CrossRef]
- Zuhr, O.; Akakpo, D.; Eickholz, P.; Vach, K.; Hürzeler, M.B.; Petsos, H.; The Research Group for Oral Soft Tissue Biology & Wound Healing. Tunnel technique with connective tissue graft versus coronally advanced flap with enamel matrix derivative for root coverage: 5-year results of an RCT using 3D digital measurement technology for volumetric comparison of soft tissue changes. J. Clin. Periodontol. 2021, 48, 949–961. [Google Scholar] [CrossRef]
- O’Leary, T.J.; Drake, R.B.; Naylor, J.E. The plaque control record. J. Periodontol. 1972, 43, 38. [Google Scholar] [CrossRef]
- Ainamo, J.; Bay, I. Problems and proposals for recording gingivitis and plaque. Int. Dent. J. 1975, 25, 229–235. [Google Scholar]
- Zuhr, O.; Fickl, S.; Wachtel, H.; Bolz, W.; Hürzeler, M.B. Covering of gingival recessions with a modified microsurgical tunnel technique: Case report. Int. J. Periodontics. Restor. Dent. 2007, 27, 457–463. [Google Scholar]
- Zucchelli, G.; Mele, M.; Stefanini, M.; Mazzotti, C.; Marzadori, M.; Montebugnoli, L.; de Sanctis, M. Patient morbidity and root coverage outcome after subepithelial connective tissue and deepithelialized grafts: A comparative randomized controlled clinical trial. J. Clin. Periodontol. 2010, 37, 728–738. [Google Scholar] [PubMed]
- Cairo, F.; Rotundo, R.; Miller, P.D.; Pini Prato, G. Root cover—Age esthetic score: A system to evaluate the esthetic outcome of the treatment of gingival recession through evaluation of clinical cases. J. Periodontol. 2009, 80, 705–710. [Google Scholar] [CrossRef] [PubMed]
- Aroca, S.; Molnar, B.; Windisch, P.; Gera, I.; Salvi, G.E.; Nikolidakis, S.; Sculean, A. Treatment of multiple adjacent Millar class I and II gingival recessions with a modified coronally advanced tunnel (MCAT) technique and a collagen matrix or palatal connective tissue graft: A randomized, controlled clinical trial. J. Clin. Periodontol. 2013, 40, 713–720. [Google Scholar] [CrossRef] [PubMed]
- Chaparro, A.; De la Fuente, M.; Albers, D.; Hernandez, D.; Villalobos, A.M.; Gaedechens, D.; De la Fuente, M.; De la Fuente, M. Root coverage of multiple miller class I and II recession defects using acellular dermal matrix and tunneling technique in maxilla and mandible: A 1-year report. Int. J. Periodontics. Restorative Dent. 2015, 35, 639–645. [Google Scholar] [CrossRef]
- Shepherd, N.; Greenwell, H.; Hill, M.; Vidal, R.; Scheetz, J.P. Root coverage using acellular dermal matrix and comparing a coronally positioned tunnel with and without platelet-rich plasma: A pilot study in humans. J. Periodontol. 2009, 80, 397–404. [Google Scholar] [CrossRef] [PubMed]
- Nieri, M.; Pini Prato, G.P.; Giani, M.; Magnani, N.; Pagliaro, U.; Rotundo, R. Patient perceptions of buccal gingival recessions and requests for treatment. J. Clin. Periodontol. 2013, 40, 707–712. [Google Scholar] [CrossRef]
- Stähli, A.; Imber, J.-C.; Raptis, E.; Salvi, G.E.; Eick, S.; Sculean, A. Effect of enamel matrix derivative on wound healing following gingival recession coverage using the modifed coronally advanced tunnel and subepithelial connective tissue graft: A randomised, controlled, clinical study. Clin. Oral. Investig. 2020, 24, 1043–1051. [Google Scholar] [CrossRef]
- Cairo, F.; Barootchi, S.; Tavelli, L.; Barbato, L.; Wang, H.-L.; Rasperini, G.; Graziani, F.; Tonetti, M. Aesthetic- and patient-related outcomes following root coverage procedures: A systematic review and network meta-analysis. J. Clin. Periodontol. 2020, 47, 1403–1415. [Google Scholar] [CrossRef]
- Pietruska, M.; Skurska, A.; Podlewski, Ł.; Milewski, R.; Pietruski, J. Clinical evaluation of Miller class I and II recessions treatment with the use of modifed coronally advanced tunnel technique with either collagen matrix or subepithelial connective tissue graft: A randomized clinical study. J. Clin. Periodontol. 2018, 46, 86–95. [Google Scholar] [CrossRef]
- Aroca, S.; Di Domenico, G.L.; Darnaud, C.; de Sanctis, M. Modifed coronally advanced tunnel technique with site-specific application of connective tissue graft for the treatment of multiple adjacent maxillary gingival recessions: A case series. Int. J. Periodontics Restor. Dent. 2021, 41, 253–259. [Google Scholar] [CrossRef]
- Rasperini, G.; Codari, M.; Limiroli, E.; Acunzo, R.; Tavelli, L.; Levickiene, A.Z. Graftless Tunnel Technique for the Treatment of Multiple Gingival Recessions in Sites with Thick or Very Thick Biotype: A Prospective Case Series. Int. J. Periodontics Restor. Dent. 2019, 39, e203–e210. [Google Scholar] [CrossRef] [PubMed]
- Gil, S.; de la Rosa, M.; Mancini, E.; Dias, A.; Barootchi, S.; Tavelli, L.; Mendoza-Azpur, G. Coronally advanced flap achieved higher esthetic outcomes without a connective tisse graft for the treatment of single recessions: A 4-year randomized clinical trial. Clin. Oral Investig. 2021, 25, 2727–2735. [Google Scholar] [CrossRef] [PubMed]


| Variables | Upper Teeth (N = 30; n = 270) | Lower Teeth (N = 10; n = 90) | p |
|---|---|---|---|
| Sex (n) | |||
| Women | 21 | 8 | 0.5396 |
| Men | 9 | 2 | |
| Age (mean, SD) | 29.58 (3.81) | 28.50 (3.72) | 0.6157 |
| Tooth type (n) | |||
| Incisors | 72 | 22 | 0.6112 |
| Canines | 58 | 18 | |
| Premolars | 100 | 40 | |
| Molars | 40 | 10 | |
| Type of GR according to Cairo (n, %) | |||
| RT1 | 148 (54.81%) | 47 (52.22%) | 0.5551 |
| RT2 | 122 (45.19%) | 43 (47.78%) |
| Baseline | 24 Months | p | |
|---|---|---|---|
| GR upper teeth (mm) | 2.07 ± 1.04 | 0.18 ± 0.60 | <0.0001 * |
| GR lower teeth | 2.01 ± 1.09 | 0.16 ± 0.52 | <0.0001 * |
| p | 0.4143 | 0.6657 | |
| ARC upper teeth (%) | - | 93.31 ± 21.82 | - |
| ARC lower teeth | - | 93.06 ± 22.49 | - |
| p | 0.7906 | ||
| CRC upper teeth (%) | - | 87.43 | - |
| CRC lower teeth | - | 87.29 | - |
| p | 0.5798 | ||
| GR red upper teeth (mm) | - | 1.89 ± 1.03 | - |
| GR lower teeth | - | 1.84 ± 1.13 | - |
| p | 0.9554 | ||
| RW upper teeth (mm) | 3.51 ± 1.51 | 0.37 ± 1.11 | <0.0001 |
| RW lower teeth | 3.51 ± 1.49 | 0.43 ± 1.28 | <0.0001 |
| p | 0.9981 | 0.1038 | |
| PPD upper teeth (mm) | 1.43 ± 0.54 | 1.41 ± 0.57 | 0.8239 |
| PPD lower teeth | 1.46 ± 0.54 | 1.45 ± 0.64 | 0.8586 |
| p | 0.4211 | 0.5635 | |
| CAL upper teeth (mm) | 3.44 ± 1.15 | 1.21 ± 0.95 | <0.0001 * |
| CAL lower teeth | 3.29 ± 1.20 | 1.19 ± 0.95 | <0.0001 * |
| p | 0.5671 | 0.7627 | |
| KTW SCTG + EDTA (mm) | 2.67 ± 1.33 | 3.49 ± 1.29 | <0.0001 * |
| KTW SCTG | 2.58 ± 1.27 | 3.39 ± 1.30 | <0.0001 * |
| p | 0.3029 | 0.29105 | |
| KTW gain upper teeth (mm) | - | 0.74 ± 1.17 | - |
| KTW lower teeth | - | 0.81 ± 0.94 | - |
| p | 0.3949 | ||
| GT upper teeth (mm) | 1.41 ± 0.59 | 2.25 ± 0.78 | <0.0001 * |
| GT lower teeth | 1.43 ± 0.60 | 2.26 ± 0.72 | <0.0001 * |
| p | 0.8718 | 0.9001 | |
| GT gain upper teeth (mm) | - | 0.80 ± 0.72 | - |
| GT gain lower teeth | - | 0.84 ± 0.62 | - |
| p | 0.7817 |
| GM | MTC | STT | MGJ | GC | RES | |
|---|---|---|---|---|---|---|
| Upper teeth | 5.66 ± 0.96 | 0.88 ± 0.33 | 0.89 ± 0.31 | 0.93 ± 0.26 | 0.95 ± 0.22 | 9.25 ± 1.36 |
| Lower teeth | 5.58 ± 1.18 | 0.77 ± 0.42 | 0.85 ± 0.35 | 0.83 ± 0.37 | 0.89 ± 0.32 | 8.92 ± 1.40 |
| p | 0.7243 | 0.0006 * | 0.1075 | <0.0001 * | <0.0001 * | 0.6733 |
| Variable. | Coefficient | Standard Error | p | 95% Confidence Interval |
|---|---|---|---|---|
| Gingival margin (GM) | 5.6297 | 0.5896 | <0.0001 * | 4.47–6.79 |
| Marginal tissue contour (MTC) | 1.4107 | 0.1433 | <0.0001 * | 1.13–1.69 |
| Soft tissue texture (STT) | 0.9465 | 0.1653 | <0.0001 * | 0.62–1.27 |
| Muco-gingival junction alignment (MGJ) | 0.7957 | 0.1671 | <0.0001 * | 0.47–1.12 |
| Gingival color (GC) | 1.0925 | 0.2012 | <0.0001 * | 0.70–1.49 |
| Recession location (upper versus lower) | −0.3931 | 0.1252 | <0.0001 * | −0.64–−0.15 |
| Constant | 0.3097 | 0.6758 | 0.64708 | −1.02–1.64 |
Publisher’s Note: MDPI stays neutral with regard to jurisdictional claims in published maps and institutional affiliations. |
© 2022 by the authors. Licensee MDPI, Basel, Switzerland. This article is an open access article distributed under the terms and conditions of the Creative Commons Attribution (CC BY) license (https://creativecommons.org/licenses/by/4.0/).
Share and Cite
Skierska, I.; Wyrębek, B.; Górski, B. Clinical and Aesthetic Outcomes of Multiple Gingival Recessions Coverage with Modified Coronally Advanced Tunnel and Subepithelial Connective Tissue Graft in Maxilla and Mandible: A 2-Year Retrospective Study. Int. J. Environ. Res. Public Health 2022, 19, 11024. https://doi.org/10.3390/ijerph191711024
Skierska I, Wyrębek B, Górski B. Clinical and Aesthetic Outcomes of Multiple Gingival Recessions Coverage with Modified Coronally Advanced Tunnel and Subepithelial Connective Tissue Graft in Maxilla and Mandible: A 2-Year Retrospective Study. International Journal of Environmental Research and Public Health. 2022; 19(17):11024. https://doi.org/10.3390/ijerph191711024
Chicago/Turabian StyleSkierska, Izabela, Beata Wyrębek, and Bartłomiej Górski. 2022. "Clinical and Aesthetic Outcomes of Multiple Gingival Recessions Coverage with Modified Coronally Advanced Tunnel and Subepithelial Connective Tissue Graft in Maxilla and Mandible: A 2-Year Retrospective Study" International Journal of Environmental Research and Public Health 19, no. 17: 11024. https://doi.org/10.3390/ijerph191711024
APA StyleSkierska, I., Wyrębek, B., & Górski, B. (2022). Clinical and Aesthetic Outcomes of Multiple Gingival Recessions Coverage with Modified Coronally Advanced Tunnel and Subepithelial Connective Tissue Graft in Maxilla and Mandible: A 2-Year Retrospective Study. International Journal of Environmental Research and Public Health, 19(17), 11024. https://doi.org/10.3390/ijerph191711024

