Single Nucleotide Polymorphisms in COX2 Is Associated with Persistent Primary Tooth and Delayed Permanent Tooth Eruption
Abstract
:1. Introduction
2. Materials and Methods
2.1. Ethics and Sample Description
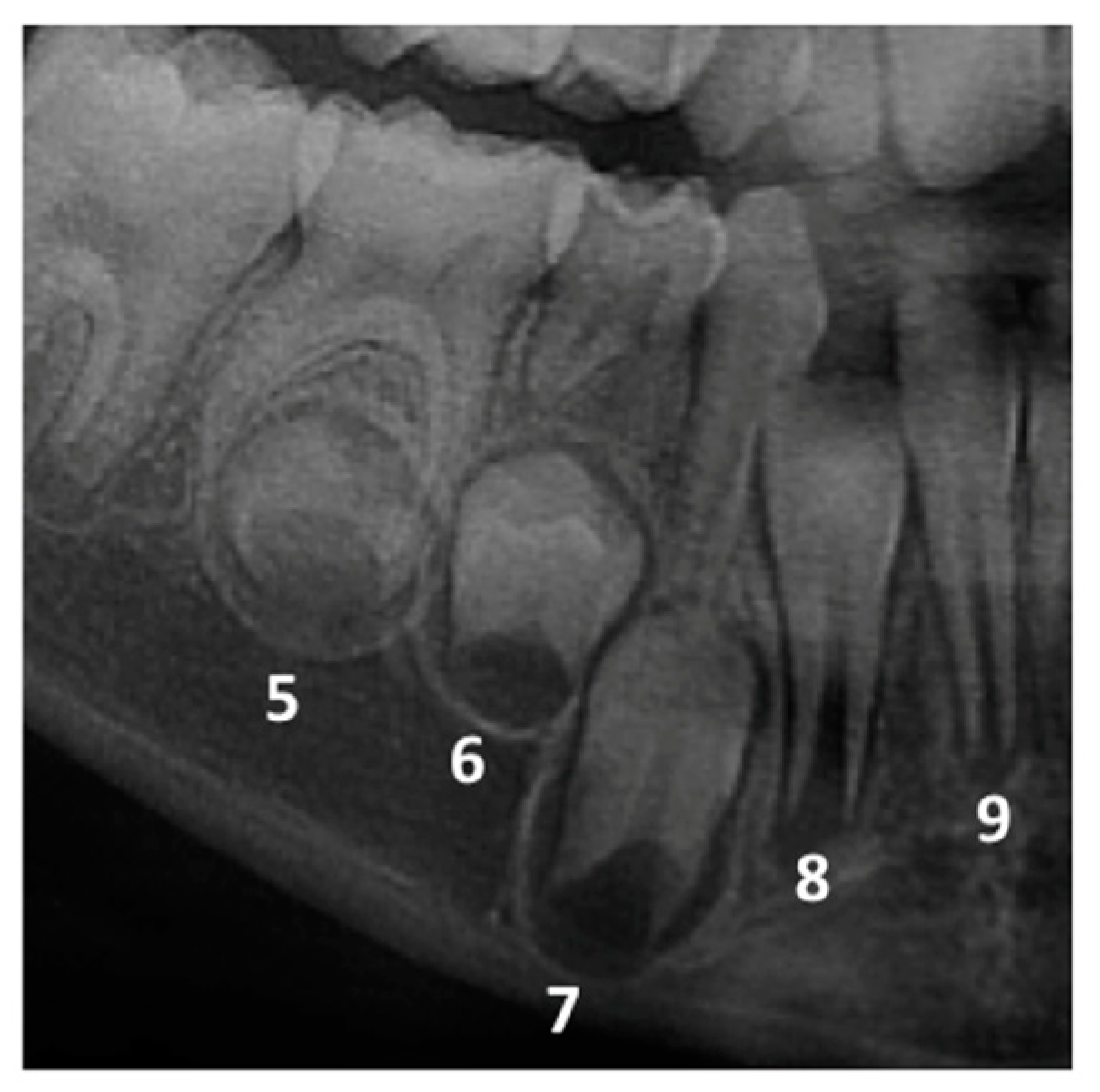
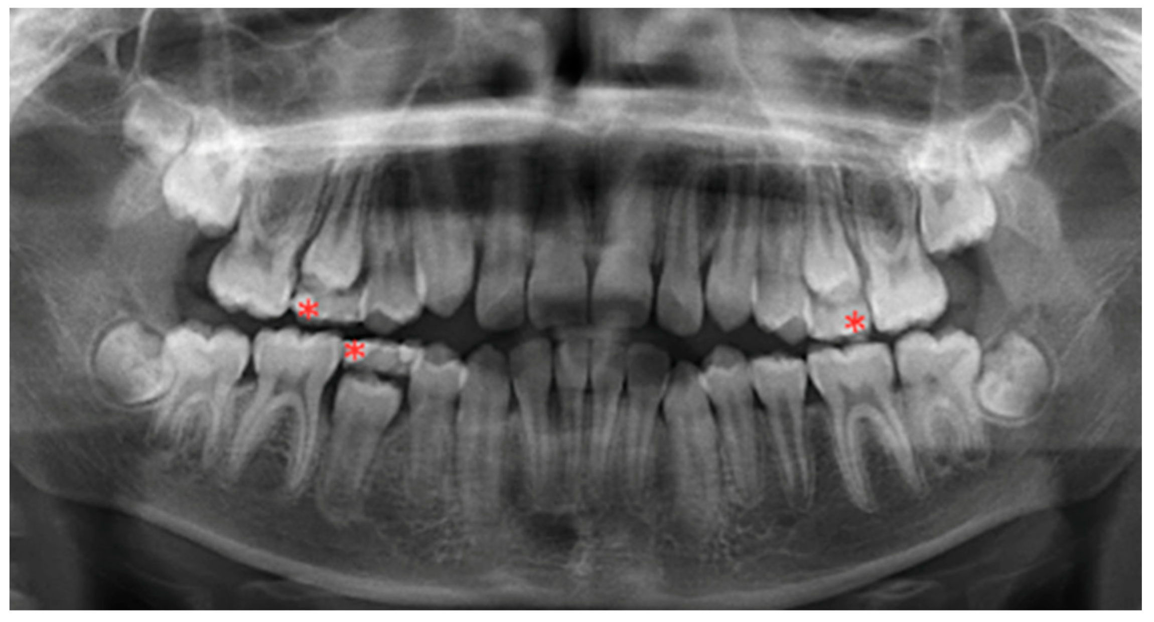
2.2. Panoramic Radiographs Evaluation and Characterization of PPT
2.3. Genomic DNA Extraction and Allelic Discrimination Analysis of COX2
2.4. Statistical Analysis
3. Results
4. Discussion
5. Conclusions
Author Contributions
Funding
Institutional Review Board Statement
Informed Consent Statement
Data Availability Statement
Conflicts of Interest
References
- Marks, S.C., Jr.; Gorski, J.P.; Wise, G.E. The mechanisms and mediators of tooth eruption–models for developmental biologists. Int. J. Dev. Biol. 1995, 39, 223–230. [Google Scholar] [PubMed]
- Harokopakis-Hajishengallis, E. Physiologic root resorption in primary teeth: Molecular and histological events. J. Oral Sci. 2007, 49, 1–12. [Google Scholar] [CrossRef] [PubMed]
- Aktan, A.M.; Kara, I.; Sener, I.; Bereket, C.; Celik, S.; Kirtay, M.; Ciftçi, M.E.; Arici, N. An evaluation of factors associated with retainede primary teeth. Eur. J. Orthod. 2012, 34, 208–212. [Google Scholar] [CrossRef] [PubMed]
- Xavier, T.A.; Madalena, I.R.; da Silva, R.A.B.; da Silva, L.A.B.; Silva, M.J.B.; De Rossi, A.; Küchler, E.C.; Fukada, S.Y. Vitamin D deficiency is a risk factor for delayed tooth eruption associated with retained primary tooth. Acta Odontol. Scand. 2021, 79, 600–605. [Google Scholar] [CrossRef] [PubMed]
- Tazawa, R.; Xu, X.M.; Wu, K.K.; Wang, L.H. Characterization of the genomic structure, chromosomal location and promoter of human prostaglandin H synthase-2 gene. Biochem. Biophys. Res. Commun. 1994, 203, 190–199. [Google Scholar] [CrossRef]
- Cordeiro, M.M.R.; Santos, B.Z.; Reyes-Carmona, J.F.; Figueiredo, C.P. Primary teeth show less protecting factors against root resorption. Int. J. Paediatr. Dent. 2011, 21, 361–368. [Google Scholar] [CrossRef] [PubMed]
- Teama, S. DNA polymorphisms: DNA-based molecular markers and their application in medicine. In Genetic Diversity and Disease Susceptibility; IntechOpen: London, UK, 2018; pp. 25–40. [Google Scholar]
- Little, J.; Higgins, J.P.; Ioannidis, J.P.; Moher, D.; Gagnon, F.; von Elm, E.; Khoury, M.J.; Cohen, B.; Davey-Smith, G.; Grimshaw, J.; et al. STrengthening the REporting of Genetic Association studies (STREGA)—an extension of the STROBE statement. Genet. Epidemiol. 2009, 33, 581–598. [Google Scholar] [CrossRef] [PubMed]
- Nolla, C.M. The development of permanent teeth. J. Dent. Child. 1960, 27, 254–266. [Google Scholar]
- Zirck, M.; Zoeller, J.E.; Lentzen, M.P.; Bergeest, L.; Buller, J.; Zinser, M. Comparison of two established 2D staging techniques to their appliance in 3D cone beam computer-tomography for dental age estimation. Sci. Rep. 2021, 11, 9024. [Google Scholar] [CrossRef]
- Küchler, E.C.; Tannure, P.N.; Falagan-Lotsch, P.; Silva Lopes, T.; Granjeiro, M.J.; Amorim, L.M. Buccal cells DNA extraction to obtain high quality human genomic DNA suitable for polymorphism genotyping by PCR-RFLP and Real-Time PCR. J. Appl. Oral Sci. 2012, 20, 467–471. [Google Scholar] [CrossRef] [PubMed]
- Hanisch, M.; Hanisch, L.; Kleinheinz, J.; Jung, S. Primary failure of eruption (PFE): A systematic review. Head Face Med. 2018, 14, 5. [Google Scholar] [CrossRef] [PubMed]
- Arid, J.; Xavier, T.A.; da Silva, R.A.B.; de Rossi, A.; da Silva, L.A.B.; de Queiroz, A.M.; Galo, R.; Antunes, L.A.A.; Silva, M.J.B.; Antunes, L.S.; et al. RANKL is associated with persistent primary teeth and delayed permanent tooth emergence. Int. J. Paediatr. Dent. 2019, 29, 294–300. [Google Scholar] [CrossRef] [PubMed]
- Evangelista, S.S.; Arid, J.; Vasconcelos, K.R.F.; Cruz, G.V.; Dutra, A.L.T.; da Silva, L.A.B.; Silva, R.A.B.; Nelson-Filho, P.; Vieira, A.R.; Queiroz, A.M.; et al. Association between genetic polymorphisms in metaloproteinases of the matrix and delayed tooth emergence: A cross-sectional study. J. Adv. Oral Res. 2019, 10, 91–96. [Google Scholar] [CrossRef]
- Madalena, I.R.; Reis, C.L.B.; Oliveira, D.S.B.; Pecharki, G.D.; Trevilatto, P.C.; Andrades, K.M.R.; Carelli, J.; Silva, V.L.B.D.; Baratto-Filho, F.; Küchler, E.C.; et al. Lack of association between delayed tooth emergence and single nucleotide polymorphisms in estrogen receptors. Braz. Dent. J. 2021, 32, 107–114. [Google Scholar] [CrossRef]
- Hasegawa, T.; Kikuiri, T.; Takeyama, S.; Yoshimura, Y.; Mitome, M.; Oguchi, H.; Shirakawa, T. Human periodontal ligament cells derived from deciduous teeth induce osteoclastogenesis in vitro. Tissue Cell 2002, 34, 44–51. [Google Scholar] [CrossRef]
- Linsuwanont, B.; Takagi, Y.; Ohya, K.; Shimokawa, H. Expression of matrix metalloproteinase-9 mRNA and protein during deciduous tooth resorption in bovine odontoclasts. Bone 2002, 31, 472–476. [Google Scholar] [CrossRef]
- Low, E.; Zoellner, H.; Kharbanda, O.P.; Darendeliler, M.A. Expression of mRNA for osteoprotegerin and receptor activator of nuclear factor kappa B ligand (RANKL) during root resorption induced by the application of heavy orthodontic forces on rat molars. Am. J. Orthod. Dentofac. Orthop. 2005, 128, 497–503. [Google Scholar] [CrossRef]
- Vansant, L.; de Llano-Pérula, M.C.; Verdonck, A.; Willems, G. Expression of biological mediators during orthodontic tooth movement: A systematic review. Arch. Oral Biol. 2018, 95, 170–186. [Google Scholar] [CrossRef]
- Mayahara, K.; Kobayashi, Y.; Takimoto, K.; Suzuki, N.; Mitsui, N.; Shimizu, N. Aging stimulates cyclooxygenase-2 expression and prostaglandin E 2 production in human periodontal ligament cells after the application of compressive force. J. Periodontal Res. 2007, 42, 8–14. [Google Scholar] [CrossRef] [PubMed]
- Küchler, E.C.; Schröder, A.; Corso, P.; Scariot, R.; Spanier, G.; Proff, P.; Kirschneck, C. Genetic polymorphisms influence gene expression of human periodontal ligament fibroblasts in the early phases of orthodontic tooth movement. Odontology 2019, 108, 493–502. [Google Scholar] [CrossRef] [PubMed]
- Foyce, B.F.; Xing, L. Functions of RANKL/RANK/OPG in bone modeling and remodeling. Arch. Biochem. Biophys. 2008, 15, 139–146. [Google Scholar]
- Cok, S.J.; Morrison, A.R. The 3′-untranslated region of murine cyclooxygenase-2 contains multiple regulatory elements that alter message stability and translational efficiency. J. Biol. Chem. 2001, 276, 23179–23185. [Google Scholar] [CrossRef] [PubMed]
- Prakash, G.; Umar, M.; Ajay, S.; Bali, D.; Upadhyay, R.; Gupta, K.K.; Dixit, J.; Mittal, B. COX-2 gene polymorphisms and risk of chronic periodontitis: A case-control study and meta-analysis. Oral Dis. 2015, 21, 38–45. [Google Scholar] [CrossRef]
- Zhang, X.; Miao, X.; Tan, W.; Ning, B.; Liu, Z.; Hong, Y.; Song, W.; Guo, Y.; Zang, X.; Shen, Y.; et al. Identification of functional genetic variants in cyclooxygenase-2 and their association with risk of esophageal cancer. Gastroenterology 2005, 129, 565–576. [Google Scholar] [CrossRef] [PubMed]



| SNP | Also Known | Function | Global Minor Allele Frequency | Hardy-Weinberg χ2 |
|---|---|---|---|---|
| rs689466 | −1195 G/A | Upstream Variant | 0.217 | 1.36 |
| rs5275 | +665 T/C | 3′ UTR region | 0.400 | 2.07 |
| Variables | Control (n = 49) | PPT (n = 51) | p-Value |
|---|---|---|---|
| Age in months Mean (SD) | 133.1 (SD 19.4) | 130.3 (SD 16.9) | 0.446 * |
| Number of primary teeth Mean (SD) | 4.3 (SD 4.7) | 7.0 (SD 3.8) | 0.002 * |
| Gender n (%) | |||
| Male | 26 (53.1%) | 24 (47.1%) | 0.548 # |
| Female | 23 (46.9%) | 27 (52.9%) |
| SNP | Genotype | Control n (%) | PPT n (%) | p-Value | OR (CI 95%) |
|---|---|---|---|---|---|
| rs689466 (−1195 G/A) | AA | 26 (57.8) | 26 (54.1) | Reference | |
| GA | 17 (37.8) | 20 (41.7) | 0.706 | 1.17 (0.51–2.76) | |
| GG | 2 (4.4) | 2 (4.2) | >0.999 | 1.00 (0.14–6.75) | |
| A | 69 (76.6) | 72 (75.0) | Reference | ||
| G | 21 (23.3) | 24 (25.0) | 0.790 | 1.09 (0.57–2.13) | |
| rs5275 (+665 T/C) | TT | 12 (26.7) | 25 (52.1) | Reference | |
| TC | 30 (66.7) | 18 (37.5) | 0.006 | 0.28 (0.11–0.71) | |
| CC | 3 (6.6) | 5 (10.4) | 0.782 | 1.25 (0.29–6.31) | |
| T | 54 (60.0) | 68 (70.8) | Reference | ||
| C | 36 (40.0) | 28 (29.2) | 0.098 | 0.67 (0.36–1.23) | |
| Haplotype | Frequency | p-Value | |
|---|---|---|---|
| rs5275-rs689466 | Control | PPT | |
| T-G | 0.387 | 0.392 | 0.836 |
| T-A | 0.816 | 0.784 | 0.885 |
| C-A | 0.653 | 0.450 | 0.042 |
| C-G | 0.245 | 0.156 | 0.271 |
Publisher’s Note: MDPI stays neutral with regard to jurisdictional claims in published maps and institutional affiliations. |
© 2022 by the authors. Licensee MDPI, Basel, Switzerland. This article is an open access article distributed under the terms and conditions of the Creative Commons Attribution (CC BY) license (https://creativecommons.org/licenses/by/4.0/).
Share and Cite
Küchler, E.C.; Henklein, S.D.; Proff, P.; Lepri, C.P.; Perin, C.P.; Paddenberg, E.; Roskamp, L.; Baratto-Filho, F.; de Menezes-Oliveira, M.A.H.; Kirschneck, C. Single Nucleotide Polymorphisms in COX2 Is Associated with Persistent Primary Tooth and Delayed Permanent Tooth Eruption. Int. J. Environ. Res. Public Health 2022, 19, 10047. https://doi.org/10.3390/ijerph191610047
Küchler EC, Henklein SD, Proff P, Lepri CP, Perin CP, Paddenberg E, Roskamp L, Baratto-Filho F, de Menezes-Oliveira MAH, Kirschneck C. Single Nucleotide Polymorphisms in COX2 Is Associated with Persistent Primary Tooth and Delayed Permanent Tooth Eruption. International Journal of Environmental Research and Public Health. 2022; 19(16):10047. https://doi.org/10.3390/ijerph191610047
Chicago/Turabian StyleKüchler, Erika Calvano, Suelyn Danielle Henklein, Peter Proff, César Penazzo Lepri, Camila Paiva Perin, Eva Paddenberg, Liliane Roskamp, Flares Baratto-Filho, Maria Angélica Hueb de Menezes-Oliveira, and Christian Kirschneck. 2022. "Single Nucleotide Polymorphisms in COX2 Is Associated with Persistent Primary Tooth and Delayed Permanent Tooth Eruption" International Journal of Environmental Research and Public Health 19, no. 16: 10047. https://doi.org/10.3390/ijerph191610047
APA StyleKüchler, E. C., Henklein, S. D., Proff, P., Lepri, C. P., Perin, C. P., Paddenberg, E., Roskamp, L., Baratto-Filho, F., de Menezes-Oliveira, M. A. H., & Kirschneck, C. (2022). Single Nucleotide Polymorphisms in COX2 Is Associated with Persistent Primary Tooth and Delayed Permanent Tooth Eruption. International Journal of Environmental Research and Public Health, 19(16), 10047. https://doi.org/10.3390/ijerph191610047

