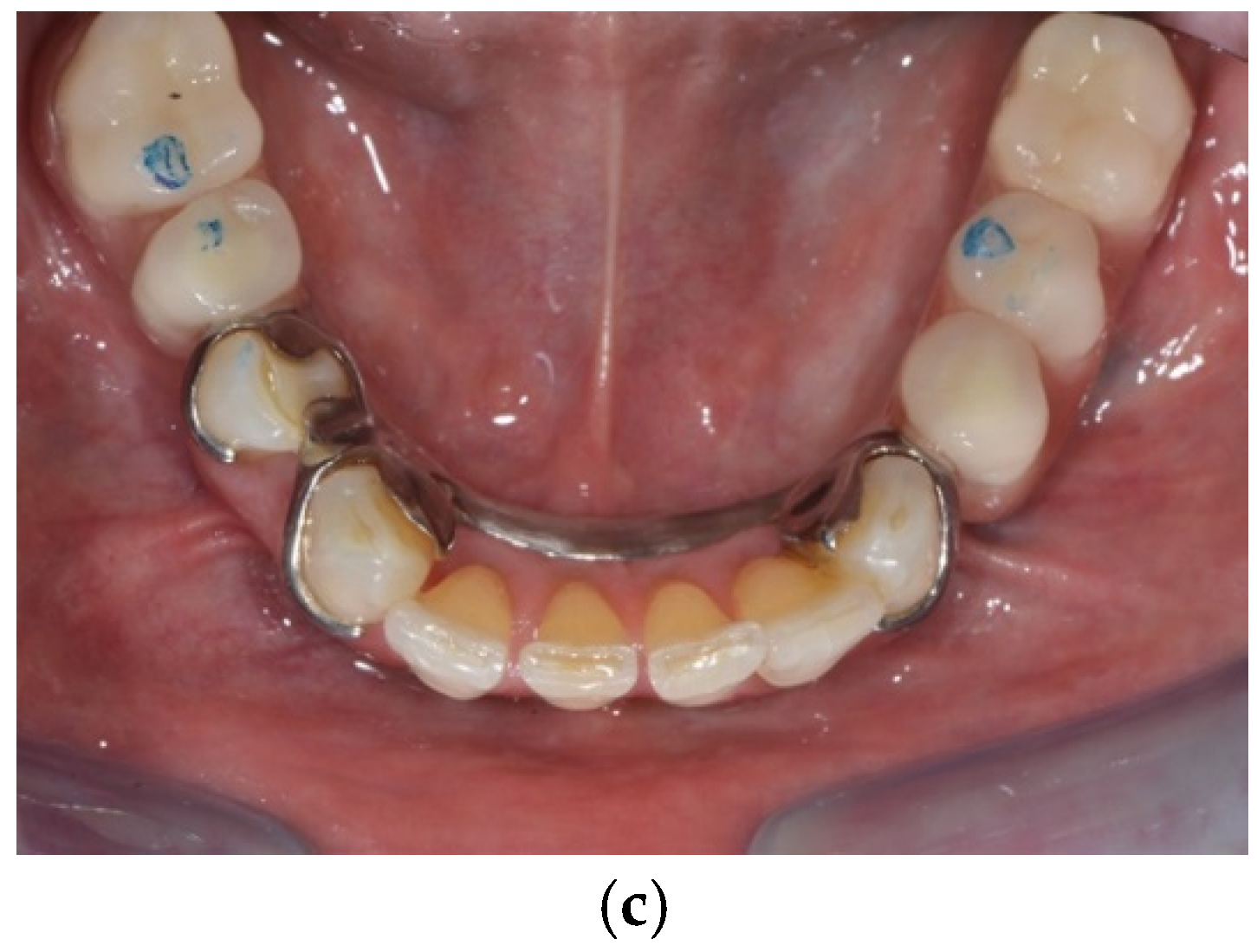
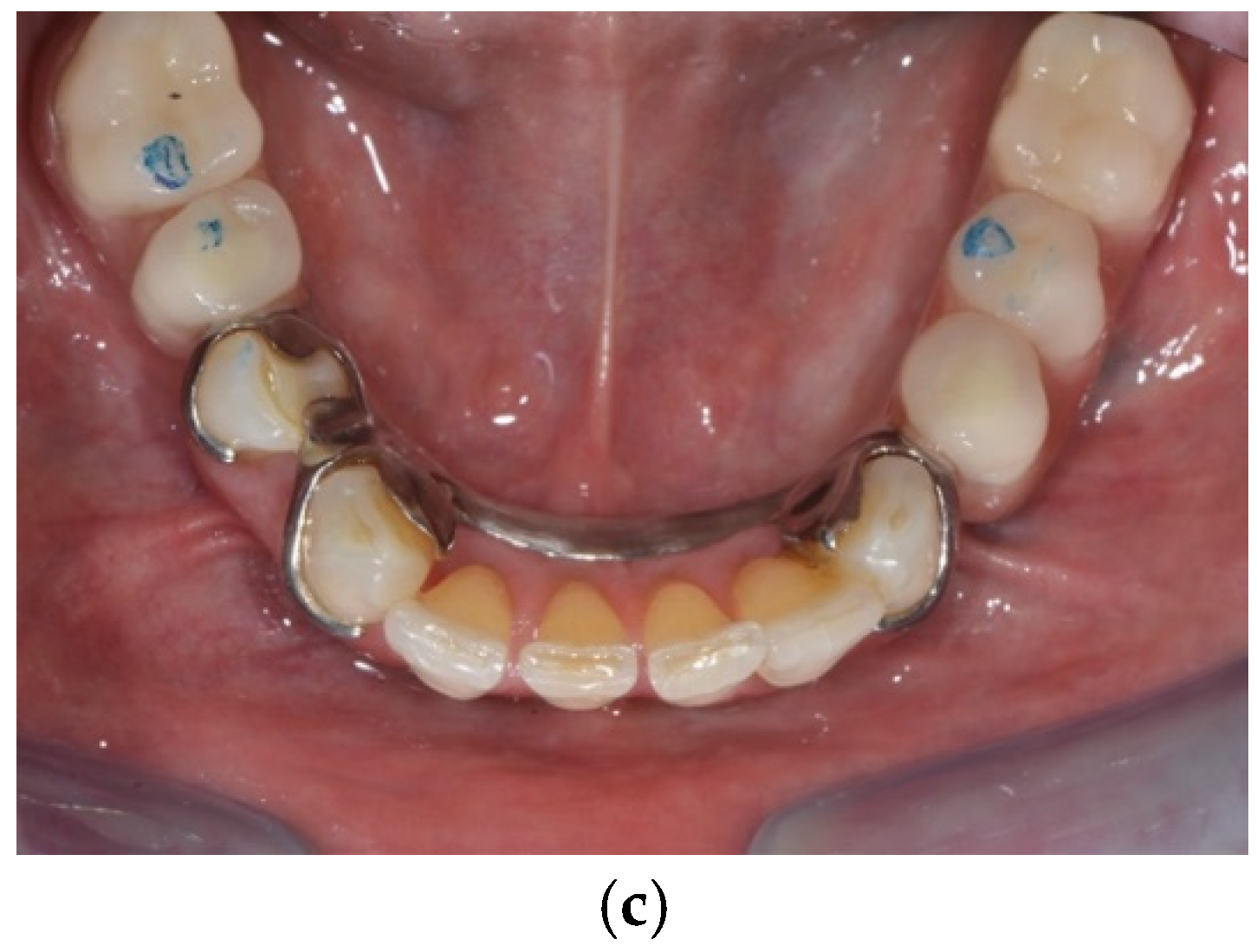
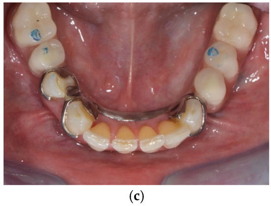
Converting Bilateral Free-End Removable Partial Dentures to Implant-Assisted Removable Partial Dentures Using 6 mm Short Implants: Patient-Reported Outcomes of a Prospective Clinical Study
Abstract
1. Introduction
2. Materials and Methods
3. Result
3.1. Study Sample
3.2. Clinical and Patient Reported Outcomes
4. Discussion
5. Conclusions
Author Contributions
Funding
Institutional Review Board Statement
Informed Consent Statement
Data Availability Statement
Acknowledgments
Conflicts of Interest
References
- Müller, F.; Naharro, M.; Carlsson, G.E. What are the prevalence and incidence of tooth loss in the adult and elderly population in Europe? Clin. Oral Implants Res. 2007, 18, 2–14. [Google Scholar] [CrossRef] [PubMed]
- Douglass, C.W.; Watson, A.J. Future needs for fixed and removable partial dentures in the United States. J. Prosthet. Dent. 2002, 87, 9–14. [Google Scholar] [CrossRef] [PubMed]
- Kapur, K.K. Veterans Administration Cooperative Dental Implant Study—Comparisons between fixed partial dentures supported by blade-vent implants and removable partial dentures. Part III: Comparisons of masticatory scores between two treatment modalities. J. Prosthet. Dent. 1991, 65, 272–283. [Google Scholar] [CrossRef]
- Stoltze, K.; Liedberg, B.; Norlen, P.; Owall, B. Masticatory and nutritional aspects on fixed and removable partial dentures. Clin. Oral Investig. 2004, 8, 11–17. [Google Scholar] [CrossRef]
- Ben-Ur, Z.; Aviv, I.; Maharshak, B. Factors affecting displacement of free-end saddle removable partial dentures. Quintessence Int. 1991, 22, 23–27. [Google Scholar]
- Preston, K.P. The bilateral distal extension removable partial denture: Mechanical problems and solutions. Eur. J. Prosthodont. Restor. Dent. 2007, 15, 115–121. [Google Scholar]
- Gupta, N.; Reddy, G.; Vinod, V.; Misuriya, A.; Bharathi, M.; Babu, K.R.M. Partial Edentulism based on Kennedy’s classification: An epidemiological study. J. Contemp. Dent. Pract. 2014, 15, 229–231. [Google Scholar] [CrossRef]
- Ikebe, K.; Matsuda, K.-I.; Murai, S.; Maeda, Y.; Nokubi, T. Validation of the Eichner index in relation to occlusal force and masticatory performance. Int. J. Prosthodont. 2010, 23, 521–524. [Google Scholar]
- Grossmann, Y.; Levin, L.; Sadan, A. A retrospective case series of implants used to restore partially edentulous patients with implant-supported removable partial dentures: 31-month mean follow-up results. Quintessence Int. 2008, 39, 665–671. [Google Scholar]
- Ohkubo, C.; Kobayashi, M.; Suzuki, Y.; Hosoi, T. Effect of implant support on distal-extension removable partial dentures: In vivo assessment. Int. J. Oral Maxillofac. Implant. 2008, 23, 1095–1101. [Google Scholar] [CrossRef]
- Campos, C.H.; Gonçalves, T.M.S.V.; Garcia, R.C.M.R. Implant retainers for free-end removable partial dentures affect mastication and nutrient intake. Clin. Oral Implants Res. 2014, 25, 957–961. [Google Scholar] [CrossRef]
- Gonçalves, T.M.S.V.; Campos, C.H.; Gonçalves, G.M.; De Moraes, M.; Garcia, R.C.M.R. Mastication improvement after partial implant-supported prosthesis use. J. Dent. Res. 2013, 92, 189S–194S. [Google Scholar] [CrossRef] [PubMed]
- Bratu, E.; Chan, H.-L.; Mihali, S.; Karancsi, O.; Bratu, D.C.; Fu, J.H.; Wang, H.-L. Implant survival rate and marginal bone loss of 6-mm short implants: A 2-year clinical report. Int. J. Oral Maxillofac. Implant. 2014, 29, 1425–1428. [Google Scholar] [CrossRef] [PubMed]
- Schwartz, S.R. Short Implants: An Answer to a Challenging Dilemma? Dent. Clin. N. Am. 2020, 64, 279–290. [Google Scholar] [CrossRef] [PubMed]
- Vazouras, K.; De Souza, A.B.; Gholami, H.; Papaspyridakos, P.; Pagni, S.; Weber, H.-P. Effect of time in function on the predictability of short dental implants (≤6 mm): A meta-analysis. J. Oral Rehabil. 2020, 47, 403–415. [Google Scholar] [CrossRef] [PubMed]
- Gates, W.D.; Cooper, L.; Sanders, A.E.; Reside, G.J.; De Kok, I.J. The effect of implant-supported removable partial dentures on oral health quality of life. Clin. Oral Implants Res. 2014, 25, 207–213. [Google Scholar] [CrossRef]
- Jensen, C.; Raghoebar, G.M.; Kerdijk, W.; Meijer, H.J.; Cune, M.S. Implant-supported mandibular removable partial dentures; patient-based outcome measures in relation to implant position. J. Dent. 2016, 55, 92–98. [Google Scholar] [CrossRef]
- Listl, S. Value-Based Oral Health Care: Moving Forward With Dental Patient-Reported Outcomes. J. Evid. Based Dent. Pract. 2019, 19, 255–259. [Google Scholar] [CrossRef]
- Sischo, L.; Broder, H.L. Oral health-related quality of life: What, why, how, and future implications. J. Dent. Res. 2011, 90, 1264–1270. [Google Scholar] [CrossRef]
- Slade, G.D.; Spencer, A.J. Development and evaluation of the Oral Health Impact Profile. Community Dent. Health 1994, 11, 3–11. [Google Scholar]
- Campos, C.; Gonçalves, T.M.S.V.; Garcia, R.C.M.R. Implant-Supported Removable Partial Denture Improves the Quality of Life of Patients with Extreme Tooth Loss. Braz. Dent. J. 2015, 26, 463–467. [Google Scholar] [CrossRef] [PubMed][Green Version]
- Swelem, A.A.; Abdelnabi, M.H. Attachment-retained removable prostheses: Patient satisfaction and quality of life assessment. J. Prosthet. Dent. 2021, 125, 636–644. [Google Scholar] [CrossRef] [PubMed]
- Zancope, K.; Abrão, G.M.; Karam, F.K.; Neves, F.D. Placement of a distal implant to convert a mandibular removable Kennedy class I to an implant-supported partial removable Class III dental prosthesis: A systematic review. J. Prosthet. Dent. 2015, 113, 528–533.e3. [Google Scholar] [CrossRef] [PubMed]
- Zhang, H.; Ramos, V.; Bratos, M.; Liu, P.P.; He, W. Effect of the attachments on clinical outcomes of mandibular distal extension implant-supported removable partial dentures: A systematic review. J. Prosthet. Dent. 2021; Online ahead of print. [Google Scholar] [CrossRef]
- Enkling, N.; Nauli, J.; Kraus, D.; Wittneben, J.G.; Schimmel, M.; Abou-Ayash, S. Short strategic implants for mandibular removable partial dentures: One-year results from a pilot randomized crossover abutment type study. Clin. Oral Implants Res. 2021, 32, 1176–1189. [Google Scholar] [CrossRef]
- John, M.T.; Patrick, D.L.; Slade, G.D. The German version of the Oral Health Impact Profile-translation and psychometric properties. Eur. J. Oral Sci. 2002, 110, 425–433. [Google Scholar] [CrossRef]
- Buser, D.; Weber, H.-P.; Lang, N.P. Tissue integration of non-submerged implants. l-year results of a prospective study with 100 ITI hollow-cylinder and hollow-screw implants. Clin. Oral Implants Res. 1990, 1, 33–40. [Google Scholar] [CrossRef]
- Enkling, N.; Thanendrarajah, T.; Mathey, A.; Janner, S.; Schimmel, M.; Abou-Ayash, S. Soft Loading Protocol of Short Strategic Implants in Posterior Mandibles Supporting Removable Bilateral Free-End Prostheses: 1-Year Results of a Prospective Cohort Study. Int. J. Prosthodont. 2022. [Google Scholar] [CrossRef]
- Jensen, C.; Meijer, H.J.; Raghoebar, G.M.; Kerdijk, W.; Cune, M.S. Implant-supported removable partial dentures in the mandible: A 3–16 year retrospective study. J. Prosthodont. Res. 2017, 61, 98–105. [Google Scholar] [CrossRef]
- Reissmann, D.R. Methodological considerations when measuring oral health–related quality of life. J. Oral Rehabil. 2021, 48, 233–245. [Google Scholar] [CrossRef]
- John, M.T.; Reißmann, D.R.; Szentpétery, A.; Steele, J. An approach to define clinical significance in prosthodontics. J. Prosthodont. 2009, 18, 455–460. [Google Scholar] [CrossRef] [PubMed]
- Dwan, K.; Li, T.; Altman, D.G.; Elbourne, D. CONSORT 2010 statement: Extension to randomised crossover trials. BMJ 2019, 366, l4378. [Google Scholar] [CrossRef]
- Mitrani, R.; Brudvik, J.S.; Phillips, K.M. Posterior implants for distal extension removable prostheses: A retrospective study. Int. J. Periodontics Restor. Dent. 2003, 23, 353–359. [Google Scholar]
- Suzuki, Y.; Kono, K.; Shimpo, H.; Sato, Y.; Ohkubo, C. Clinical Evaluation of Implant-Supported Removable Partial Dentures With a Stress-Breaking Attachment. Implant Dent. 2017, 26, 516–523. [Google Scholar] [CrossRef] [PubMed]
- Sullivan, G.M.; Feinn, R. Using Effect Size—or Why the P Value Is Not Enough. J. Grad. Med. Educ. 2012, 4, 279–282. [Google Scholar] [CrossRef] [PubMed]
- Özhayat, E.B.; Gotfredsen, K. Oral health-related quality-of-life in patients to be treated with fixed or removable partial dental prostheses. Acta Odontol. Scand. 2013, 71, 113–119. [Google Scholar] [CrossRef]
- Furuyama, C.; Takaba, M.; Inukai, M.; Mulligan, R.; Igarashi, Y.; Baba, K. Oral health-related quality of life in patients treated by implant-supported fixed dentures and removable partial dentures. Clin. Oral Implants Res. 2012, 23, 958–962. [Google Scholar] [CrossRef]
- Jensen, C.; Ross, J.; Feenstra, T.L.; Raghoebar, G.M.; Speksnijder, C.; Meijer, H.J.; Cune, M.S. Cost-effectiveness of implant-supported mandibular removable partial dentures. Clin. Oral Implants Res. 2017, 28, 594–601. [Google Scholar] [CrossRef]
- Wismeijer, D.; Tawse-Smith, A.; Payne, A.G.T. Multicentre prospective evaluation of implant-assisted mandibular bilateral distal extension removable partial dentures: Patient satisfaction. Clin. Oral Implants Res. 2013, 24, 20–27. [Google Scholar] [CrossRef]
- Gonçalves, T.M.S.V.; Campos, C.; Garcia, R.C.M.R. Implant retention and support for distal extension partial removable dental prostheses: Satisfaction outcomes. J. Prosthet. Dent. 2014, 112, 334–339. [Google Scholar] [CrossRef]





| Mean | Sd | Median | Min–Max | Diff [95% CI] Effect Size [95% CI] | p-Value | ||
|---|---|---|---|---|---|---|---|
| Functional limitation | BL | 8.2 | 4.0 | 8.0 | 3.0–15.0 | ||
| 12 months | 4.0 | 3.4 | 3.0 | 0.0–10.0 | |||
| Diff | −4.2 | 4.2 | −3.0 | −12.0–2.0 | −4.2 [−6.6; −1.9] | <0.001 | |
| −0.89 [−1.70; −0.08] | |||||||
| Physical pain | BL | 7.8 | 6.8 | 7.0 | 0.0–26.0 | ||
| 12 months | 1.7 | 1.9 | 2.0 | 0.0–6.0 | |||
| Diff | −6.1 | 7.9 | −6.0 | −26.0–6.0 | −6.1 [−10.8; −1.3] | 0.012 | |
| −0.93 [−1.80; −0.05] | |||||||
| Psychological discomfort | BL | 2.8 | 3.4 | 1.0 | 0.0–11.0 | ||
| 12 months | 1.0 | 1.9 | 0.0 | 0.0–6.0 | |||
| Diff | −1.8 | 2.8 | −1.0 | −6.0–3.0 | −1.8 [−3.4; −0.3] | 0.020 | |
| −0.62 [−1.40; 0.17] | |||||||
| Physical disability | BL | 5.2 | 4.6 | 5.0 | 0.0–13.0 | ||
| 12 months | 2.0 | 3.0 | 0.0 | 0.0–8.0 | |||
| Diff | −3.2 | 3.1 | −2.0 | −9.0–0.0 | −3.2 [−5.0; −1.5] | <0.001 | |
| −0.73 [−1.52; 0.07] | |||||||
| Psychological disability | BL | 2.5 | 3.1 | 0.0 | 0.0–8.0 | ||
| 12 months | 0.9 | 1.7 | 0.0 | 0.0–5.0 | |||
| Diff | −1.6 | 2.5 | 0.0 | −6.0–1.0 | −1.6 [−3.0; −0.2] | 0.021 | |
| −0.60 [−1.38; 0.19] | |||||||
| Social disability | BL | 0.8 | 1.0 | 1.0 | 0.0–3.0 | ||
| 12 months | 0.6 | 1.3 | 0.0 | 0.0–4.0 | |||
| Diff | −0.2 | 1.4 | 0.0 | −3.0–3.0 | −0.2 [−1.0; 0.6] | 0.567 | |
| −0.20 [−0.97; 0.57] | |||||||
| Handicap | BL | 2.6 | 2.3 | 2.0 | 0.0–8.0 | ||
| 12 months | 1.6 | 2.6 | 0.0 | 0.0–7.0 | |||
| Diff | −1.0 | 1.6 | −1.0 | −3.0–1.0 | −1.0 [−1.9; −0.1] | 0.025 | |
| −0.40 [−1.17; 0.38] | |||||||
| OHIP-G49 | BL | 27.5 | 14.1 | 30.0 | 4.0–50.0 | ||
| TOTAL SCORE | 12 months | 9.9 | 11.0 | 5.0 | 0.0–35.0 | ||
| Diff | −17.6 | 15.7 | −19.0 | −50.0–5.0 | −17.6 [−27.1; −8.1] | <0.001 |
| Subscale | Diff Dome→BL | Diff Ball→BL |
|---|---|---|
| Functional limitation | −2.6 (Sd 4.6), p = 0.018 | −3.5 (Sd 4.3), p < 0.001 |
| Physical pain | −5.4 (Sd 7.3), p < 0.001 | −5.4 (Sd 8.3), p < 0.001 |
| Psychological discomfort | −1.7 (Sd 2.8), p = 0.006 | −2.0 (Sd 2.9), p < 0.001 |
| Physical disability | −1.5 (Sd 4.1), p = 0.125 | −3.1 (Sd 3.2), p < 0.001 |
| Psychological disability | −1.2 (Sd 2.4), p < 0.001 | −1.7 (Sd 2.6), p < 0.001 |
| Social disability | −0.1 (Sd 1.5), p = 0.674 | −0.1 (Sd 1.4), p = 0.820 |
| Handicap | −1.1 (Sd 2.6), p = 0.068 | −1.0 (Sd 1.6), p = 0.039 |
| OHIP-G49 TOTAL | −13.2 (Sd 17.7), p = 0.002 | −15.8 (Sd 15.8), p < 0.001 |
| Subscale | Diff Dome VS. Ball | Cohen’s ES | p-Value |
|---|---|---|---|
| Functional limitation | −0.7 [−3.8; 2.5] | −0.15 [−0.72; 0.41] | 0.670 |
| Physical pain | 2.6 [−0.8; 6.1] | 0.35 [−0.23; 0.92] | 0.137 |
| Psychological discomfort | 0.2 [−0.7; 1.0] | 0.06 [−0.51; 0.64] | 0.675 |
| Physical disability | −0.5 [−4.4; 3.4] | −0.14 [−0.71; 0.44] | 0.798 |
| Psychological disability | −0.3 [−2.0; 1.4] | −0.12 [−0.69; 0.45] | 0.720 |
| Social disability | −0.3 [−2.0; 1.4] | −0.12 [−0.69; 0.45] | 0.720 |
| Handicap | 0.9 [−1.1; 2.8] | 0.42 [−0.16; 0.99] | 0.375 |
| OHIP-G49 TOTAL | −0.3 [−9.3; 8.8] | −0.02 [−0.61; 0.57] | 0.953 |
| Mw | Sd | Median | Min–Max | p-Value | |
|---|---|---|---|---|---|
| Which abutment would you choose? (−10 preference for the dome/+10 preference for the ball) | 8.4 | 3.2 | 10.0 | 1.0–10.0 | <0.001 |
| Would your answer be different if there was a difference of 500 CHF? (yes 0/no +10) | 9.7 | 0.7 | 10.0 | 8.0–10.0 | <0.001 |
| Mean | Sd | Median | Min–Max | p-Value | |
|---|---|---|---|---|---|
| Oral situation | 7.9 | 3.2 | 9.0 | 0.0–10.0 | <0.001 |
| Quality of life | 8.5 | 2.6 | 9.5 | 0.0–10.0 | <0.001 |
| Chewing ability | 8.5 | 2.3 | 9.5 | 2.0–10.0 | <0.001 |
| Treatment again | 9.9 | 0.2 | 10.0 | 9.0–10.0 | <0.001 |
Publisher’s Note: MDPI stays neutral with regard to jurisdictional claims in published maps and institutional affiliations. |
© 2022 by the authors. Licensee MDPI, Basel, Switzerland. This article is an open access article distributed under the terms and conditions of the Creative Commons Attribution (CC BY) license (https://creativecommons.org/licenses/by/4.0/).
Share and Cite
Abou-Ayash, S.; Rudaz, A.-C.; Janner, S.; Kraus, D.; Schimmel, M.; Enkling, N. Converting Bilateral Free-End Removable Partial Dentures to Implant-Assisted Removable Partial Dentures Using 6 mm Short Implants: Patient-Reported Outcomes of a Prospective Clinical Study. Int. J. Environ. Res. Public Health 2022, 19, 8998. https://doi.org/10.3390/ijerph19158998
Abou-Ayash S, Rudaz A-C, Janner S, Kraus D, Schimmel M, Enkling N. Converting Bilateral Free-End Removable Partial Dentures to Implant-Assisted Removable Partial Dentures Using 6 mm Short Implants: Patient-Reported Outcomes of a Prospective Clinical Study. International Journal of Environmental Research and Public Health. 2022; 19(15):8998. https://doi.org/10.3390/ijerph19158998
Chicago/Turabian StyleAbou-Ayash, Samir, Anne-Carole Rudaz, Simone Janner, Dominik Kraus, Martin Schimmel, and Norbert Enkling. 2022. "Converting Bilateral Free-End Removable Partial Dentures to Implant-Assisted Removable Partial Dentures Using 6 mm Short Implants: Patient-Reported Outcomes of a Prospective Clinical Study" International Journal of Environmental Research and Public Health 19, no. 15: 8998. https://doi.org/10.3390/ijerph19158998
APA StyleAbou-Ayash, S., Rudaz, A.-C., Janner, S., Kraus, D., Schimmel, M., & Enkling, N. (2022). Converting Bilateral Free-End Removable Partial Dentures to Implant-Assisted Removable Partial Dentures Using 6 mm Short Implants: Patient-Reported Outcomes of a Prospective Clinical Study. International Journal of Environmental Research and Public Health, 19(15), 8998. https://doi.org/10.3390/ijerph19158998

