Does Unilateral Lumbosacral Radiculopathy Affect the Association between Lumbar Spinal Muscle Morphometry and Bone Mineral Density?
Abstract
:1. Introduction
2. Materials and Methods
2.1. Subjects
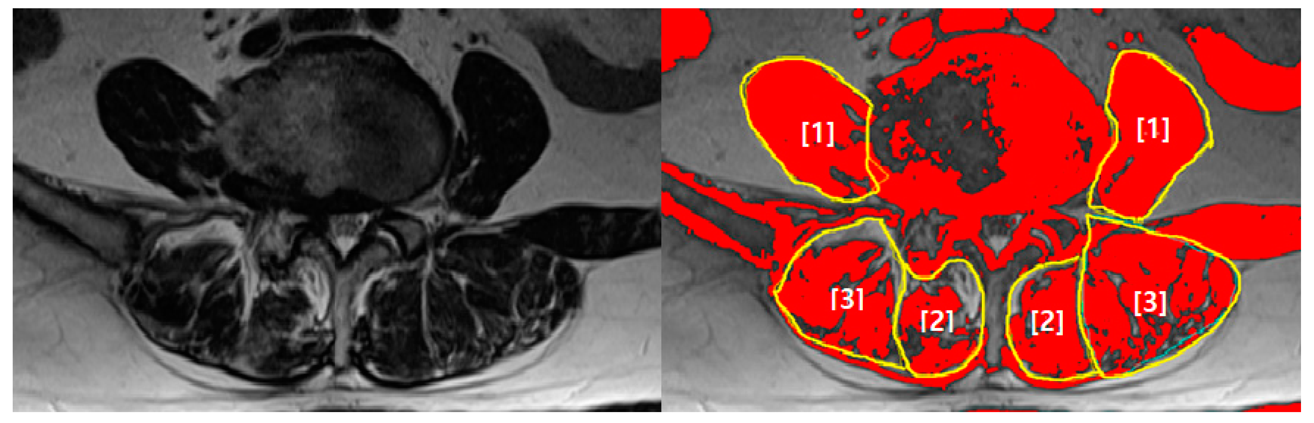
2.2. Measures and Procedures
2.3. Statistical Analysis
3. Results
3.1. Subject Demographics and Characteristics
3.2. Relationship between BMD and Lumbar Spinal Muscle Morphometry
4. Discussion
5. Conclusions
Author Contributions
Funding
Institutional Review Board Statement
Informed Consent Statement
Data Availability Statement
Acknowledgments
Conflicts of Interest
References
- Gentil, P.; Lima, R.; Lins, T.; Abreu, B.; Pereira, R.; Oliveira, R. Physical activity, Cdx-2 genotype, and BMD. Int. J. Sports Med. 2007, 28, 1065–1069. [Google Scholar] [CrossRef] [Green Version]
- Patel, H.P.; Syddall, H.E.; Jameson, K.; Robinson, S.; Denison, H.; Roberts, H.C.; Edwards, M.; Dennison, E.; Cooper, C.; Aihie Sayer, A. Prevalence of sarcopenia in community-dwelling older people in the UK using the European Working Group on Sarcopenia in Older People (EWGSOP) definition: Findings from the Hertfordshire Cohort Study (HCS). Age Ageing 2013, 42, 378–384. [Google Scholar] [CrossRef] [Green Version]
- Ahn, S.H.; Park, S.M.; Park, S.Y.; Yoo, J.I.; Jung, H.S.; Nho, J.H.; Kim, H.Y. Osteoporosis and osteoporotic fracture fact sheet in Korea. J. Bone Metab. 2020, 27, 281. [Google Scholar] [CrossRef]
- Edwards, M.; Dennison, E.; Sayer, A.A.; Fielding, R.; Cooper, C. Osteoporosis and sarcopenia in older age. Bone 2015, 80, 126–130. [Google Scholar] [CrossRef] [Green Version]
- Kim, S.; Won, C.W.; Kim, B.S.; Choi, H.R.; Moon, M.Y. The association between the low muscle mass and osteoporosis in elderly Korean people. J. Korean Med. Sci. 2014, 29, 995–1000. [Google Scholar] [CrossRef] [Green Version]
- Sollmann, N.; Franz, D.; Burian, E.; Löffler, M.T.; Probst, M.; Gersing, A.; Schwaiger, B.; Pfeiffer, D.; Kirschke, J.S.; Baum, T.; et al. Assessment of paraspinal muscle characteristics, lumbar BMD, and their associations in routine multi-detector CT of patients with and without osteoporotic vertebral fractures. Eur. J. Radiol. 2020, 125, 108867. [Google Scholar] [CrossRef] [PubMed]
- Chon, J.; Kim, H.S.; Lee, J.H.; Yoo, S.D.; Yun, D.H.; Kim, D.H.; Lee, S.A.; Han, Y.J.; Lee, H.S.; Han, Y.R.; et al. Asymmetric atrophy of paraspinal muscles in patients with chronic unilateral lumbar radiculopathy. Ann. Rehabil. Med. 2017, 41, 801. [Google Scholar] [CrossRef] [PubMed] [Green Version]
- Zhao, W.P.; Kawaguchi, Y.; Matsui, H.; Kanamori, M.; Kimura, T. Histochemistry and morphology of the multifidus muscle in lumbar disc herniation: Comparative study between diseased and normal sides. Spine 2000, 25, 2191–2199. [Google Scholar] [CrossRef]
- Chen, Z.N.; Yao, X.M.; Lv, Y.; He, B.J.; Ye, J.C.; Shao, R.X.; Jiang, H.W. Morphology of the lumbar multifidus muscle in lumbar disc herniation at different durations and at different ages. Exp. Ther. Med. 2018, 15, 4119–4126. [Google Scholar] [CrossRef] [Green Version]
- Curtis, E.; Litwic, A.; Cooper, C.; Dennison, E. Determinants of muscle and bone aging. J. Cell. Physiol. 2015, 230, 2618–2625. [Google Scholar] [CrossRef] [PubMed] [Green Version]
- Kawao, N.; Kaji, H. Interactions between muscle tissues and bone metabolism. J. Cell. Biochem. 2015, 116, 687–695. [Google Scholar] [CrossRef] [PubMed]
- Sun, X.; Lei, S.F.; Deng, F.Y.; Wu, S.; Papacian, C.; Hamilton, J.; Deng, H.W. Genetic and environmental correlations between bone geometric parameters and body compositions. Calcif. Tissue Int. 2006, 79, 43–49. [Google Scholar] [CrossRef] [PubMed]
- Falchetti, A.; Sferrazza, C.; Cepollaro, C.; Gozzini, A.; Del Monte, F.; Masi, L.; Brandi, M.L. Fok I Polymorphism of the Vitamin D Receptor Gene Correlates with Parameters of Bone Mass and Turnover in a Female Population of the Italian Island of Lampedusa. Calcif. Tissue Int. 2007, 80, 15–20. [Google Scholar] [CrossRef] [PubMed]
- Roth, S.M.; Zmuda, J.M.; Cauley, J.A.; Shea, P.R.; Ferrell, R.E. Vitamin D receptor genotype is associated with fat-free mass and sarcopenia in elderly men. J. Gerontol. Ser. A Biol. Sci. Med. Sci. 2004, 59, B10–B15. [Google Scholar] [CrossRef] [PubMed] [Green Version]
- Ishii, S.; Tanaka, T.; Shibasaki, K.; Ouchi, Y.; Kikutani, T.; Higashiguchi, T.; Iijima, K. Development of a simple screening test for sarcopenia in older adults. Geriatr. Gerontol. Int. 2014, 14, 93–101. [Google Scholar] [CrossRef] [PubMed]
- Jones, K.I.; Doleman, B.; Scott, S.; Lund, J.N.; Williams, J.P. Simple psoas cross-sectional area measurement is a quick and easy method to assess sarcopenia and predicts major surgical complications. Colorectal Dis. 2015, 17, O20–O26. [Google Scholar] [CrossRef] [PubMed] [Green Version]
- Cawthon, P.M. Assessment of lean mass and physical performance in sarcopenia. J. Clin. Densitom. 2015, 18, 467–471. [Google Scholar] [CrossRef] [PubMed]
- Fortin, M.; Battié, M.C. Quantitative paraspinal muscle measurements: Inter-software reliability and agreement using OsiriX and ImageJ. Phys. Ther. 2012, 92, 853–864. [Google Scholar] [CrossRef] [PubMed] [Green Version]
- Ranson, C.A.; Burnett, A.F.; Kerslake, R.; Batt, M.E.; O’Sullivan, P.B. An investigation into the use of MR imaging to determine the functional cross sectional area of lumbar paraspinal muscles. Eur. Spine J. 2006, 15, 764–773. [Google Scholar] [CrossRef] [Green Version]
- Wu, C.-H.; Yang, K.-C.; Chang, H.-H.; Yen, J.-F.; Tsai, K.-S.; Huang, K.-C. Sarcopenia is related to increased risk for low bone mineral density. J. Clin. Densitom. 2013, 16, 98–103. [Google Scholar] [CrossRef]
- Jang, S.Y.; Park, J.; Ryu, S.Y.; Choi, S.W. Low muscle mass is associated with osteoporosis: A nationwide population-based study. Maturitas 2020, 133, 54–59. [Google Scholar] [CrossRef] [PubMed] [Green Version]
- Ho-Pham, L.T.; Nguyen, U.D.; Nguyen, T.V. Association between lean mass, fat mass, and bone mineral density: A meta-analysis. J. Clin. Endocrinol. Metab. 2014, 99, 30–38. [Google Scholar] [CrossRef] [Green Version]
- Walsh, M.C.; Hunter, G.R.; Livingstone, M.B. Sarcopenia in premenopausal and postmenopausal women with osteopenia, osteoporosis and normal bone mineral density. Osteoporos. Int. 2006, 17, 61–67. [Google Scholar] [CrossRef]
- Teichtahl, A.J.; Urquhart, D.M.; Wang, Y.; Wluka, A.E.; Wijethilake, P.; O’Sullivan, R.; Cicuttini, F.M. Fat infiltration of paraspinal muscles is associated with low back pain, disability, and structural abnormalities in community-based adults. Spine J. 2015, 15, 1593–1601. [Google Scholar] [CrossRef] [PubMed]
- Reginster, J.Y.; Beaudart, C.; Buckinx, F.; Bruyère, O. Osteoporosis and sarcopenia: Two diseases or one? Curr. Opin. Clin. Nutr. Metab. Care 2016, 19, 31. [Google Scholar] [CrossRef] [Green Version]
- Frisoli, A., Jr.; Chaves, P.H.; Ingham, S.J.M.; Fried, L.P. Severe osteopenia and osteoporosis, sarcopenia, and frailty status in community-dwelling older women: Results from the Women’s Health and Aging Study (WHAS) II. Bone 2011, 48, 952–957. [Google Scholar] [CrossRef]
- Gonnelli, S.; Caffarelli, C.; Tanzilli, L.; Alessi, C.; Pitinca, M.D.T.; Rossi, S.; Campagna, M.S.; Nuti, R. The associations of body composition and fat distribution with bone mineral density in elderly Italian men and women. J. Clin. Densitom. 2013, 16, 168–177. [Google Scholar] [CrossRef]
- Jun, H.S.; Kim, J.H.; Ahn, J.H.; Chang, I.B.; Song, J.H.; Kim, T.H.; Park, M.S.; Chan Kim, Y.; Kim, S.W.; Oh, J.K.; et al. The effect of lumbar spinal muscle on spinal sagittal alignment: Evaluating muscle quantity and quality. Neurosurgery 2016, 79, 847–855. [Google Scholar] [CrossRef]
- Sun, D.; Liu, P.; Cheng, J.; Ma, Z.; Liu, J.; Qin, T. Correlation between intervertebral disc degeneration, paraspinal muscle atrophy, and lumbar facet joints degeneration in patients with lumbar disc herniation. BMC Musculoskelet. Disord. 2017, 18, 167. [Google Scholar] [CrossRef] [Green Version]
- Jeon, I.; Kim, S.W.; Yu, D. Paraspinal muscle fatty degeneration as a predictor of progressive vertebral collapse in osteoporotic vertebral compression fractures. Spine J. 2021. [Google Scholar] [CrossRef] [PubMed]
- Hart, N.H.; Nimphius, S.; Rantalainen, T.; Ireland, A.; Siafarikas, A.; Newton, R.U. Mechanical basis of bone strength: Influence of bone material, bone structure and muscle action. J. Musculoskelet. Neuronal Interact. 2017, 17, 114. [Google Scholar] [PubMed]
- Rantalainen, T.; Heinonen, A.; Komi, P.V.; Linnamo, V. Neuromuscular performance and bone structural characteristics in young healthy men and women. Eur. J. Appl. Physiol. 2008, 102, 215–222. [Google Scholar] [CrossRef]
- Maughan, R.J.; Watson, J.S.; Weir, J. Muscle strength and cross-sectional area in man: A comparison of strength-trained and untrained subjects. Br. J. Sports Med. 1984, 18, 149–157. [Google Scholar] [CrossRef] [PubMed] [Green Version]
- Ahedi, H.; Aitken, D.; Scott, D.; Blizzard, L.; Cicuttini, F.; Jones, G. The association between hip muscle cross-sectional area, muscle strength, and bone mineral density. Calcif. Tissue Int. 2014, 95, 64–72. [Google Scholar] [CrossRef] [PubMed]

| Variables | |
|---|---|
| Number of patients | 81 |
| Age (years) | 65.4 ± 7.8 |
| Height (cm) | 154.8 ± 5.1 |
| Weight (kg) | 59.3 ± 9.4 |
| Body mass index (kg/m2) | 24.8 ± 3.9 |
| BMD at the lumbar spine (g/cm2) | −1.706 ± 1.113 |
| BMD at the femur neck (g/cm2) | −1.619 ± 1.065 |
| Disc herniation (n) | 81 |
| Spinal stenosis (n) | 38 |
| Spondylolisthesis at the L4 or L5 level | 5 |
| Osteoporosis (n) | 34 |
| Right-sided radiculopathy (n) | 37 |
| Left-sided radiculopathy (n) | 44 |
| Psoas | Multifidus | Erector Spinae | |||||
|---|---|---|---|---|---|---|---|
| Involved Side | Uninvolved Side | Involved Side | Uninvolved Side | Involved Side | Uninvolved Side | ||
| Lumbar BMD | |||||||
| L3/4 | Coefficient | 0.082 | 0.112 | 0.028 | −0.021 | 0.009 | −0.038 |
| p-value | 0.469 | 0.321 | 0.804 | 0.853 | 0.933 | 0.733 | |
| L4/5 | Coefficient | 0.260 | 0.181 | 0.062 | −0.011 | −0.089 | −0.068 |
| p-value | 0.019 * | 0.106 | 0.584 | 0.924 | 0.431 | 0.549 | |
| Femur neck BMD | |||||||
| L3/4 | Coefficient | 0.014 | 0.167 | −0.071 | −0.082 | 0.152 | 0.103 |
| p-value | 0.904 | 0.153 | 0.545 | 0.484 | 0.192 | 0.381 | |
| L4/5 | Coefficient | 0.075 | 0.142 | 0.110 | 0.087 | −0.038 | −0.039 |
| p-value | 0.524 | 0.225 | 0.349 | 0.458 | 0.748 | 0.737 | |
| Total femur BMD | |||||||
| L3/4 | Coefficient | 0.071 | 0.135 | −0.057 | −0.076 | 0.248 | 0.177 |
| p-value | 0.542 | 0.224 | 0.624 | 0.516 | 0.031 * | 0.126 | |
| L4/5 | Coefficient | 0.080 | 0.113 | 0.096 | 0.028 | 0.061 | 0.008 |
| p-value | 0.492 | 0.333 | 0.408 | 0.810 | 0.601 | 0.945 | |
| Psoas | Multifidus | Erector Spinae | |||||
|---|---|---|---|---|---|---|---|
| Involved Side | Uninvolved Side | Involved Side | Uninvolved Side | Involved Side | Uninvolved Side | ||
| Lumbar BMD | |||||||
| L3/4 | Coefficient | 0.264 | 0.300 | 0.326 | 0.293 | 0.177 | 0.198 |
| p-value | 0.017 * | 0.007 * | 0.003 * | 0.008 * | 0.114 | 0.076 | |
| L4/5 | Coefficient | 0.334 | 0.340 | 0.309 | 0.287 | 0.128 | 0.226 |
| p-value | 0.002 * | 0.002 * | 0.005 * | 0.009 * | 0.255 | 0.043 * | |
| Femur neck BMD | |||||||
| L3/4 | Coefficient | 0.083 | 0.250 | 0.056 | −0.047 | −0.001 | 0.044 |
| p-value | 0.479 | 0.030 * | 0.636 | 0.691 | 0.996 | 0.710 | |
| L4/5 | Coefficient | 0.110 | 0.147 | −0.054 | −0.130 | 0.009 | 0.056 |
| p-value | 0.349 | 0.207 | 0.643 | 0.266 | 0.940 | 0.635 | |
| Total femur BMD | |||||||
| L3/4 | Coefficient | 0.126 | 0.219 | 0.178 | 0.055 | 0.200 | 0.222 |
| p-value | 0.279 | 0.057 | 0.125 | 0.639 | 0.084 | 0.053 | |
| L4/5 | Coefficient | 0.133 | 0.144 | 0.059 | −0.059 | 0.156 | 0.209 |
| p-value | 0.250 | 0.215 | 0.611 | 0.615 | 0.178 | 0.070 | |
| Psoas | Multifidus | Erector Spinae | |||||
|---|---|---|---|---|---|---|---|
| Involved Side | Uninvolved Side | Involved Side | Uninvolved Side | Involved Side | Uninvolved Side | ||
| Lumbar BMD | |||||||
| L3/4 | Coefficient | 0.225 | 0.359 | 0.360 | 0.388 | 0.227 | 0.303 |
| p-value | 0.043 * | 0.001 * | 0.001 * | <0.001 * | 0.041 * | 0.006 * | |
| L4/5 | Coefficient | 0.264 | 0.356 | 0.321 | 0.359 | 0.226 | 0.324 |
| p-value | 0.017 * | 0.001 * | 0.003 * | 0.001 * | 0.042 * | 0.003 * | |
| Femur neck BMD | |||||||
| L3/4 | Coefficient | 0.133 | 0.235 | 0.073 | −0.034 | −0.060 | 0.004 |
| p-value | 0.257 | 0.042 | 0.536 | 0.773 | 0.609 | 0.972 | |
| L4/5 | Coefficient | 0.104 | 0.114 | −0.118 | −0.178 | −0.009 | 0.094 |
| p-value | 0.373 | 0.329 | 0.312 | 0.127 | 0.938 | 0.423 | |
| Total femur BMD | |||||||
| L3/4 | Coefficient | 0.086 | 0.221 | 0.237 | 0.111 | 0.100 | 0.170 |
| p-value | 0.459 | 0.056 | 0.039 | 0.338 | 0.391 | 0.141 | |
| L4/5 | Coefficient | 0.132 | 0.131 | 0.031 | −0.047 | 0.135 | 0.232 |
| p-value | 0.257 | 0.261 | 0.791 | 0.684 | 0.245 | 0.044 * | |
| Psoas | Multifidus | Erector Spinae | ||||||||
|---|---|---|---|---|---|---|---|---|---|---|
| CSA | FCSA | Functional Ratio | CSA | FCSA | Functional Ratio | CSA | FCSA | Functional Ratio | ||
| Lumbar BMD | ||||||||||
| L3/4 | Coefficient | 0.102 | 0.334 | 0.283 | 0.003 | 0.325 | 0.398 | −0.015 | 0.200 | 0.281 |
| p-value | 0.363 | 0.002 * | 0.010 * | 0.980 | 0.003 * | <0.001 * | 0.894 | 0.074 | 0.011 * | |
| L4/5 | Coefficient | 0.236 | 0.358 | 0.344 | 0.026 | 0.309 | 0.356 | −0.085 | 0.186 | 0.295 |
| p-value | 0.034 * | 0.001 * | 0.002 * | 0.817 | 0.005 * | 0.001 * | 0.449 | 0.096 | 0.007 * | |
| Psoas | Multifidus | Erector Spinae | |||||
|---|---|---|---|---|---|---|---|
| FCSA | Functional Ratio | FCSA | Functional Ratio | FCSA | Functional Ratio | ||
| Lumbar BMD | |||||||
| L3/4 | Coefficient | −0.001 | −0.024 | 0.000 | −0.003 | 0.000 | −0.009 |
| p-value | 0.142 | 0.004 * | 0.960 | 0.784 | 0.626 | 0.487 | |
| L4/5 | Coefficient | 0.000 | −0.005 | 0.000 | −0.003 | −0.001 | −0.008 |
| p-value | 0.963 | 0.657 | 0.857 | 0.738 | 0.478 | 0.478 | |
Publisher’s Note: MDPI stays neutral with regard to jurisdictional claims in published maps and institutional affiliations. |
© 2021 by the authors. Licensee MDPI, Basel, Switzerland. This article is an open access article distributed under the terms and conditions of the Creative Commons Attribution (CC BY) license (https://creativecommons.org/licenses/by/4.0/).
Share and Cite
Kim, M.; Chon, J.; Lee, S.A.; Soh, Y.; Yoo, M.C.; Yun, Y.; Choi, S.; Kim, M.G. Does Unilateral Lumbosacral Radiculopathy Affect the Association between Lumbar Spinal Muscle Morphometry and Bone Mineral Density? Int. J. Environ. Res. Public Health 2021, 18, 13155. https://doi.org/10.3390/ijerph182413155
Kim M, Chon J, Lee SA, Soh Y, Yoo MC, Yun Y, Choi S, Kim MG. Does Unilateral Lumbosacral Radiculopathy Affect the Association between Lumbar Spinal Muscle Morphometry and Bone Mineral Density? International Journal of Environmental Research and Public Health. 2021; 18(24):13155. https://doi.org/10.3390/ijerph182413155
Chicago/Turabian StyleKim, Minjung, Jinmann Chon, Seung Ah Lee, Yunsoo Soh, Myung Chul Yoo, Yeocheon Yun, Seongmin Choi, and Min Gyun Kim. 2021. "Does Unilateral Lumbosacral Radiculopathy Affect the Association between Lumbar Spinal Muscle Morphometry and Bone Mineral Density?" International Journal of Environmental Research and Public Health 18, no. 24: 13155. https://doi.org/10.3390/ijerph182413155
APA StyleKim, M., Chon, J., Lee, S. A., Soh, Y., Yoo, M. C., Yun, Y., Choi, S., & Kim, M. G. (2021). Does Unilateral Lumbosacral Radiculopathy Affect the Association between Lumbar Spinal Muscle Morphometry and Bone Mineral Density? International Journal of Environmental Research and Public Health, 18(24), 13155. https://doi.org/10.3390/ijerph182413155

