Resveratrol Supplementation Protects against Nicotine-Induced Kidney Injury
Abstract
1. Introduction
2. Materials and Methods
2.1. Animals
2.2. Study Design
2.3. Measurement of Blood Pressure
2.4. Measurement of Kidney Injury Markers
2.5. Analysis of Kidney Oxidative Stress Markers
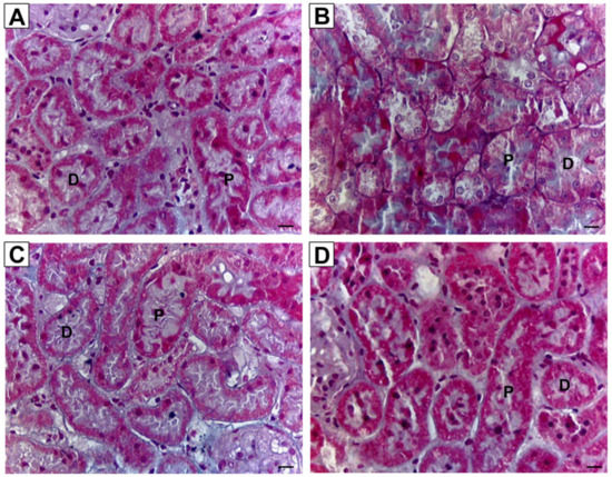
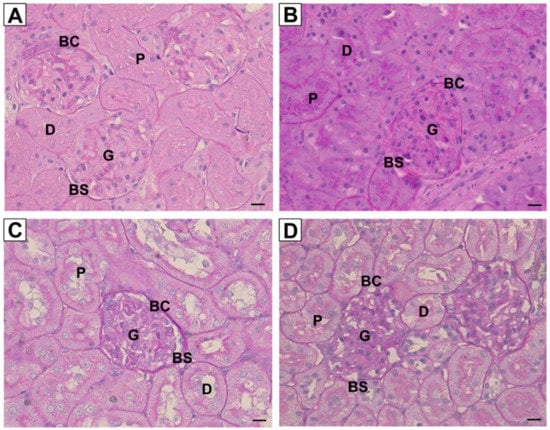
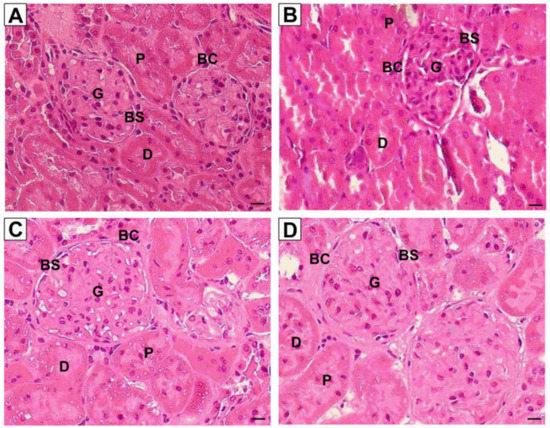
2.6. Kidney Histology
2.7. Statistical Analysis
3. Results
3.1. Systemic Characteristics
3.2. Kidney Injury Markers
3.3. Oxidative Stress
3.4. Kidney Histology
4. Discussion
5. Conclusions
Author Contributions
Funding
Acknowledgments
Conflicts of Interest
References
- GBD 2015 Tobacco Collaborators. Smoking prevalence and attributable disease burden in 195 countries and territories, 1990–2015: A systematic analysis from the Global Burden of Disease Study 2015. Lancet 2017, 389, 1885–1906. [Google Scholar] [CrossRef]
- IPH. Malaysian Burden of Disease and Injury Study, Health Prioritization: Burden of Disease Approach; Institute of Public Health, Ministry of Health Malaysia: Kuala Lumpur, Malaysia, 2018.
- IPH. National Health and Morbidity Survey 2015—Report on Smoking Status among Malaysian Adults; Institute of Public Health, Ministry of Health Malaysia: Kuala Lumpur, Malaysia, 2015.
- MOH. National Strategic Plan on Tobacco Control 2015–2020; Ministry of Health Malaysia: Kuala Lumpur, Malaysia, 2014.
- Hu, N.; Ren, J. Nicotine, cigarette smoking and cardiac function: An update. Toxicol. Res. 2014, 3, 7–10. [Google Scholar] [CrossRef]
- Warren, G.W.; Singh, A.K. Nicotine and lung cancer. J. Carcinog. 2013, 12. [Google Scholar] [CrossRef] [PubMed]
- Arany, I.; Clark, J.; Reed, D.K.; Juncos, L.A. Chronic nicotine exposure augments renal oxidative stress and injury through transcriptional activation of p66shc. Nephrol. Dial. Transpl. 2013, 28, 1417–1425. [Google Scholar] [CrossRef] [PubMed]
- Arany, I.; Hall, S.; Reed, D.K.; Reed, C.T.; Dixit, M. Nicotine Enhances High-Fat Diet-Induced Oxidative Stress in the Kidney. Nicotine Tob. Res. 2016, 18, 1628–1634. [Google Scholar] [CrossRef] [PubMed]
- Ben Saad, A.; Ncib, S.; Rjeibi, I.; Saidi, I.; Zouari, N. Nephroprotective and antioxidant effect of green tea (Camellia sinensis) against nicotine-induced nephrotoxicity in rats and characterization of its bioactive compounds by HPLC-DAD. Appl. Physiol. Nutr. Metab. 2019. [Google Scholar] [CrossRef] [PubMed]
- Harwani, S.C.; Ratcliff, J.; Sutterwala, F.S.; Ballas, Z.K.; Meyerholz, D.K.; Chapleau, M.W.; Abboud, F.M. Nicotine Mediates CD161a+ Renal Macrophage Infiltration and Premature Hypertension in the Spontaneously Hypertensive Rat. Circ. Res. 2016, 119, 1101–1115. [Google Scholar] [CrossRef] [PubMed]
- Ramalingam, A.; Budin, S.B.; Lim, Y.C.; Si, Y.N.L.; Zainalabidin, S. Dietary UKMR-1 roselle supplementation prevents nicotine-induced cardiac injury by inhibiting myocardial oxidative stress. Sains Malays. 2016, 45, 1131–1137. [Google Scholar]
- Zainalabidin, S.; Budin, S.B.; Ramalingam, A.; Lim, Y.C. Aortic remodelling in chronic nicotine-administered rat. Korean J. Physiol. Pharmacol. 2014, 18, 411–418. [Google Scholar] [CrossRef] [PubMed]
- Kandhare, A.D.; Mukherjee, A.; Bodhankar, S.L. Antioxidant for treatment of diabetic nephropathy: A systematic review and meta-analysis. Chem. Biol. Interact. 2017, 278, 212–221. [Google Scholar] [CrossRef] [PubMed]
- Ninić, A.; Sopić, M.; Munjas, J.; Spasojević-Kalimanovska, V.; Kotur-Stevuljević, J.; Bogavac-Stanojević, N.; Ivanišević, J.; Simić-Ogrizović, S.; Kravljača, M.; Jelić-Ivanović, Z. Association Between Superoxide Dismutase Isoenzyme Gene Expression and Total Antioxidant Status in Patients with an End-Stage Renal Disease. Balk. Med. J. 2018, 35, 431–436. [Google Scholar] [CrossRef] [PubMed]
- Riba, A.; Deres, L.; Sumegi, B.; Toth, K.; Szabados, E.; Halmosi, R. Cardioprotective Effect of Resveratrol in a Postinfarction Heart Failure Model. Oxid. Med. Cell Longev. 2017, 2017, 6819281. [Google Scholar] [CrossRef] [PubMed]
- Meng, H.Y.; Shao, D.C.; Li, H.; Huang, X.D.; Yang, G.; Xu, B.; Niu, H.Y. Resveratrol improves neurological outcome and neuroinflammation following spinal cord injury through enhancing autophagy involving the AMPK/mTOR pathway. Mol. Med. Rep. 2018, 18, 2237–2244. [Google Scholar] [CrossRef] [PubMed]
- Zhao, Y.; Song, W.; Wang, Z.; Wang, Z.; Jin, X.; Xu, J.; Bai, L.; Li, Y.; Cui, J.; Cai, L. Resveratrol attenuates testicular apoptosis in type 1 diabetic mice: Role of Akt-mediated Nrf2 activation and p62-dependent Keap1 degradation. Redox. Biol. 2018, 14, 609–617. [Google Scholar] [CrossRef] [PubMed]
- Yonamine, C.Y.; Pinheiro-Machado, E.; Michalani, M.L.; Alves-Wagner, A.B.; Esteves, J.V.; Freitas, H.S.; Machado, U.F. Resveratrol Improves Glycemic Control in Type 2 Diabetic Obese Mice by Regulating Glucose Transporter Expression in Skeletal Muscle and Liver. Molecules 2017, 22, 1180. [Google Scholar] [CrossRef] [PubMed]
- Qiao, Y.; Gao, K.; Wang, Y.; Wang, X.; Cui, B. Resveratrol ameliorates diabetic nephropathy in rats through negative regulation of the p38 MAPK/TGF-β1 pathway. Exp. Ther. Med. 2017, 13, 3223–3230. [Google Scholar] [CrossRef] [PubMed]
- Hong, Y.A.; Bae, S.Y.; Ahn, S.Y.; Kim, J.; Kwon, Y.J.; Jung, W.Y.; Ko, G.J. Resveratrol Ameliorates Contrast Induced Nephropathy Through the Activation of SIRT1-PGC-1α-Foxo1 Signaling in Mice. Kidney Blood Press Res. 2017, 42, 641–653. [Google Scholar] [CrossRef] [PubMed]
- Wang, N.; Mao, L.; Yang, L.; Zou, J.; Liu, K.; Liu, M.; Zhang, H.; Xiao, X.; Wang, K. Resveratrol protects against early polymicrobial sepsis-induced acute kidney injury through inhibiting endoplasmic reticulum stress-activated NF-κB pathway. Oncotarget 2017, 8, 36449–36461. [Google Scholar] [PubMed]
- Hall, S.; Dixit, M.; Arany, I. Resveratrol Attenuates Nicotine-mediated Oxidative Injury by Inducing Manganese Superoxide Dismutase in Renal Proximal Tubule Cells. In Vivo 2017, 31, 543–549. [Google Scholar]
- Wang, L.; Gao, M.; Chen, J.; Yang, Z.; Sun, J.; Wang, Z.; Huang, X.; Yuan, T.; Shen, X.; Xian, S. Resveratrol Ameliorates Pressure Overload-induced Cardiac Dysfunction and Attenuates Autophagy in Rats. J. Cardiovasc. Pharmacol. 2015, 66, 376–382. [Google Scholar] [CrossRef] [PubMed]
- Watanabe, R.; Suzuki, J.; Wakayama, K.; Kumagai, H.; Ikeda, Y.; Akazawa, H.; Komuro, I.; Isobe, M. Angiotensin II receptor blocker irbesartan attenuates cardiac dysfunction induced by myocardial infarction in the presence of renal failure. Hypertens. Res. 2016, 39, 237–244. [Google Scholar] [CrossRef] [PubMed]
- Si, L.Y.; Ali, S.A.M.; Latip, J.; Fauzi, N.M.; Budin, S.B.; Zainalabidin, S. Roselle is cardioprotective in diet-induced obesity rat model with myocardial infarction. Life Sci. 2017, 191, 157–165. [Google Scholar] [CrossRef] [PubMed]
- Ali, S.S.; Rozalei, N.H.; Mohamed, S.F.A.; Boon, Y.W.; Zainalabidin, S. Effect of myocardial infarction on spleen and kidney of isoprenaline-induced myocardial injury rat model. J. Teknol. 2019, 81, 47–52. [Google Scholar]
- Jaffe, M. Ueber den Niederschlag welchen Pikrinsäure in normalen Harn erzeugt und über eine neue reaction des Kreatinins. Physiol. Chem. 1886, 10, 39–40. [Google Scholar]
- Beale, R.N.; Croft, D. A sensitive method for the colorimetric determination of urea. J. Clin. Pathol. 1961, 14, 418–424. [Google Scholar] [CrossRef] [PubMed]
- Stocks, J.; Dormandy, T.L. The autoxidation of human red cell lipids induced by hydrogen peroxide. Br. J. Haematol. 1971, 20, 95–111. [Google Scholar] [CrossRef] [PubMed]
- Ellman, G.L. Tissue sulfhydryl groups. Arch. Biochem. Biophys. 1959, 82, 70–77. [Google Scholar] [CrossRef]
- Beyer, W.F.; Fridovich, I. Effect of hydrogen peroxide on the ironcontaining superoxide dismutase of Escherichia coli. Biochemistry 1987, 26, 1251–1257. [Google Scholar] [CrossRef] [PubMed]
- De Blasio, M.J.; Ramalingam, A.; Cao, A.H.; Prakoso, D.; Ye, J.M.; Pickering, R.; Watson, A.M.D.; de Haan, J.B.; Kaye, D.M.; Ritchie, R.H. The superoxide dismutase mimetic tempol blunts diabetes-induced upregulation of NADPH oxidase and endoplasmic reticulum stress in a rat model of diabetic nephropathy. Eur. J. Pharmacol. 2017, 807, 12–20. [Google Scholar] [CrossRef] [PubMed]
- Toklu, H. Resveratrol Supplementation Protects against Chronic Nicotine Induced Oxidative Damage and Organ Dysfunction in the Rat Urogenital System. Marmara Pharm. J. 2010, 1, 29–40. [Google Scholar] [CrossRef]
- Sener, G.; Toklu, H.Z.; Cetinel, S. β-Glucan protects against chronic nicotine-induced oxidative damage in rat kidney and bladder. Environ. Toxicol. Pharmacol. 2007, 23, 25–32. [Google Scholar] [CrossRef] [PubMed]
- Evans, M.; Bain, S.C.; Hogan, S.; Bilous, R.W. Collaborative Study Group, P. Irbesartan Delays Progression of Nephropathy as Measured by Estimated Glomerular Filtration Rate: Post Hoc Analysis of the Irbesartan Diabetic Nephropathy Trial. Nephrol. Dial. Transpl. 2012, 27, 2255–2263. [Google Scholar] [CrossRef] [PubMed]
- Hao, Q.; Xiao, X.; Zhen, J.; Feng, J.; Song, C.; Jiang, B.; Hu, Z. Resveratrol Attenuates Acute Kidney Injury by Inhibiting Death Receptor-mediated Apoptotic Pathways in a Cisplatin induced Rat Model. Mol. Med. Rep. 2016, 14, 3683–3689. [Google Scholar] [CrossRef] [PubMed]
- Giovannini, L.; Migliori, M.; Longoni, B.; Das, D.K.; Bertelli, A.; Panichi, V.; Filippi, C.; Bertelli, A. Resveratrol, a Polyphenol Found in Wine, Reduces Ischemia Reperfusion Injury in Rat Kidneys. J. Cardiovasc. Pharmacol. 2001, 37, 262–270. [Google Scholar] [CrossRef] [PubMed]
- Arany, I.; Grifoni, S.; Clark, J.S.; Csongradi, E.; Maric, C.; Juncos, L.A. Chronic Nicotine Exposure Exacerbates Acute Renal Ischemic Injury. Am. J. Physiol. Renal Physiol. 2011, 301, 125–133. [Google Scholar] [CrossRef] [PubMed]
- Shang, Y.; Siow, Y.L.; Isaak, C.K. Downregulation of Glutathione Biosynthesis Contributes to Oxidative Stress and Liver Dysfunction in Acute Kidney Injury. Oxid. Med. Cell Longev. 2016, 2016, 9707292. [Google Scholar] [CrossRef] [PubMed]
- Si, L.Y.; Kamisah, Y.; Ramalingam, A.; Lim, Y.C.; Budin, S.B.; Zainalabidin, S. Roselle supplementation prevents nicotine-induced vascular endothelial dysfunction and remodelling in rats. Appl. Physiol. Nutr. Metab. 2017, 42, 765–772. [Google Scholar] [CrossRef] [PubMed]
- Zainalabidin, S.; Shahidin, S.N.F.; Budin, S.B. Hibiscus sabdariffa Linn. (Roselle) protects against nicotine-induced heart damage in rats. Sains Malays. 2016, 45, 207–214. [Google Scholar]
- Csiszar, A.; Wang, M.; Lakatta, E.G.; Ungvari, Z. Inflammation and endothelial dysfunction during aging: Role of NF-κB. J. Appl. Physiol. 2008, 105, 1333–1341. [Google Scholar] [CrossRef] [PubMed]
- Valentovic, M.A.; Ball, J.G.; Brown, J.M.; Terneus, M.V.; McQuade, E.; Van Meter, S.; Hedrick, H.M.; Roy, A.A.; Williams, T. Resveratrol attenuates cisplatin renal cortical cytotoxicity by modifying oxidative stress. Toxicol. In Vitro 2014, 28, 248–257. [Google Scholar] [CrossRef] [PubMed]
- Hua, P.; Feng, W.; Ji, S.; Raij, L.; Jaimes, E.A. Nicotine Worsens the Severity of Nephropathy in Diabetic Mice: Implications for the Progression of Kidney Disease in Smokers. Am. J. Physiol. Renal Physiol. 2010, 299, 732–739. [Google Scholar] [CrossRef] [PubMed]
- Thaha, M.; Kadariswantiningsih, I.N.; Empitu, M.A. Association of high blood pressure with elevated oxidative stress, inflammatory marker and albuminuria in chronic kidney disease patients. J. Med. 2019, 20, 12–18. [Google Scholar] [CrossRef]
- Prysyazhna, O.; Wolhuter, K.; Switzer, C.; Santos, C.; Yang, X.; Lynham, S.; Shah, A.M.; Eaton, P.; Burgoyne, J.R. Blood pressure-lowering by the antioxidant resveratrol is counterintuitively mediated by oxidation of cGMP-dependent protein kinase. Circulation 2019, 140, 126–137. [Google Scholar] [CrossRef] [PubMed]
- Dolinsky, V.W.; Chakrabarti, S.; Pereira, T.J.; Oka, T.; Levasseur, J.; Beker, D.; Zordoky, B.N.; Morton, J.S.; Nagendran, J.; Lopaschuk, G.D.; et al. Resveratrol prevents hypertension and cardiac hypertrophy in hypertensive rats and mice. Biochim. Biophys. Acta 2013, 1832, 1723–1733. [Google Scholar] [CrossRef] [PubMed]
- Toth, P.; Tarantini, S.; Springo, Z.; Tucsek, Z.; Gautam, T.; Giles, C.B.; Wren, J.D.; Koller, A.; Sonntag, W.E.; Csiszar, A.; et al. Aging exacerbates hypertension-induced cerebral microhemorrhages in mice: Role of resveratrol treatment in vasoprotection. Aging Cell 2015, 14, 400–408. [Google Scholar] [CrossRef] [PubMed]





| Parameters | Vehicle (n = 7) | NIC (n = 8) | NIC+R (n = 8) | NIC+IRB (n = 8) |
|---|---|---|---|---|
| Body weight (g) | 262 ± 18 | 249 ± 16 | 255 ± 12 | 242 ± 21 |
| Systolic blood pressure (mmHg) | 113 ± 14 | 152 ± 17 * | 108 ± 11 # | 110 ± 13 # |
| Cotinine (ng/mL) | ND | 169 ± 21 | 142 ± 24 | 151 ± 32 |
© 2019 by the authors. Licensee MDPI, Basel, Switzerland. This article is an open access article distributed under the terms and conditions of the Creative Commons Attribution (CC BY) license (http://creativecommons.org/licenses/by/4.0/).
Share and Cite
Ramalingam, A.; Santhanathas, T.; Shaukat Ali, S.; Zainalabidin, S. Resveratrol Supplementation Protects against Nicotine-Induced Kidney Injury. Int. J. Environ. Res. Public Health 2019, 16, 4445. https://doi.org/10.3390/ijerph16224445
Ramalingam A, Santhanathas T, Shaukat Ali S, Zainalabidin S. Resveratrol Supplementation Protects against Nicotine-Induced Kidney Injury. International Journal of Environmental Research and Public Health. 2019; 16(22):4445. https://doi.org/10.3390/ijerph16224445
Chicago/Turabian StyleRamalingam, Anand, Thulasiprevinnah Santhanathas, Shafreena Shaukat Ali, and Satirah Zainalabidin. 2019. "Resveratrol Supplementation Protects against Nicotine-Induced Kidney Injury" International Journal of Environmental Research and Public Health 16, no. 22: 4445. https://doi.org/10.3390/ijerph16224445
APA StyleRamalingam, A., Santhanathas, T., Shaukat Ali, S., & Zainalabidin, S. (2019). Resveratrol Supplementation Protects against Nicotine-Induced Kidney Injury. International Journal of Environmental Research and Public Health, 16(22), 4445. https://doi.org/10.3390/ijerph16224445
