Complex Investigation of a Pediatric Haematological Case: Haemophagocytic Syndrome Associated with Visceral Leishmaniasis and Epstein–Barr (EBV) Co-Infection
Abstract
1. Introduction
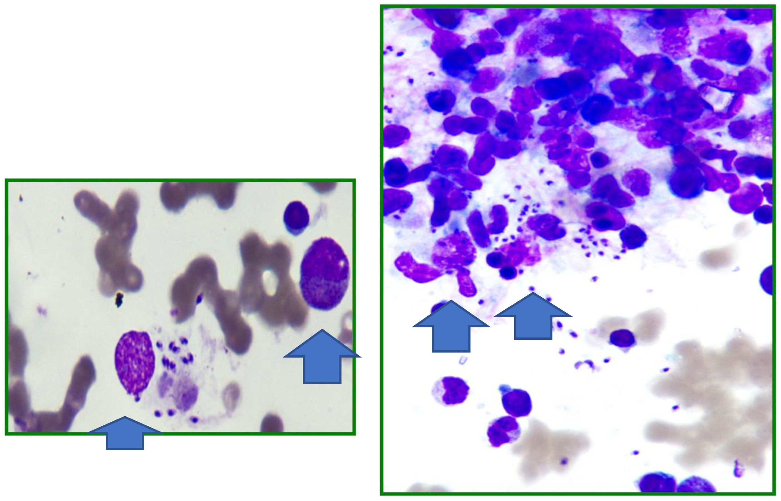
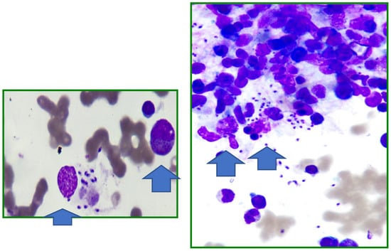
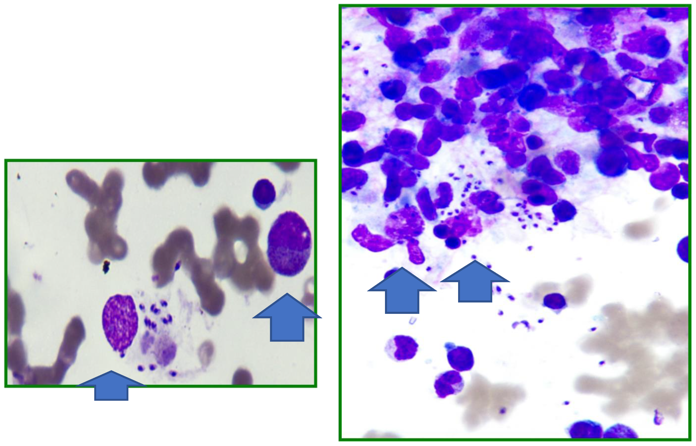
2. Case Presentation
3. Discussion
4. Conclusions
Author Contributions
Funding
Conflicts of Interest
References
- Moriconi, M.; Rugna, G.; Calzolari, M.; Bellini, R.; Albieri, A.; Angelini, P.; Cagarelli, R.; Landini, M.P.; Charrel, R.N.; Varani, S. Phlebotomine sand fly–borne pathogens in the Mediterranean Basin: Human leishmaniasis and phlebovirus infections. PLoS Negl. Trop. Dis. 2017, 11, 1–19. [Google Scholar] [CrossRef] [PubMed]
- Bravo, F.; Sanchez, M.R. New and re-emerging cutaneous infectious diseases in Latin America and other geographic areas. Dermatol. Clin. 2003, 21, 655–668. [Google Scholar] [CrossRef]
- World Health Organization. Control of the Leishmaniases: Report of a Meeting of the WHO Expert Commitee on the Control of Leishmaniases; WHO: Geneva, Switzerland, 22–26 March 2010. [Google Scholar]
- Svobodová, M.; Alten, B.; Zídková, L.; Dvorák, V.; Hlavacková, J.; Mysková, J.; Seblová, V.; Kasap, O.E.; Belen, A.; Votýpka, J.; et al. Cutaneous leishmaniasis caused by Leishmania infantum transmitted by Phlebotomus tobbi. Int. J. Parasitol. 2009, 39, 251–256. [Google Scholar] [CrossRef] [PubMed]
- Rogers, M.B.; Downing, T.; Smith, B.A.; Imamura, H.; Sanders, M.; Svobodova, M.; Volf, P.; Berriman, M.; Cotton, J.A.; Smith, D.F. Genomic confirmation of hybridisation and recent inbreeding in a vector-isolated Leishmania population. PLoS Genet. 2014, 10, e1004092. [Google Scholar] [CrossRef] [PubMed]
- Quinnell, R.J.; Courtenay, O. Transmission, reservoir hosts and control of zoonotic visceral leishmaniasis. Parasitology 2009, 136, 1915–1934. [Google Scholar] [CrossRef] [PubMed]
- Le Rutte, E.A.; van Straten, R.; Overgaauw, P.A.M. Awareness and control of canine leishmaniosis: A survey among Spanish and French veterinarians. Vet. Parasitol. 2018, 253, 87–93. [Google Scholar] [CrossRef] [PubMed]
- Gramiccia, M.; Scalone, A.; Di Muccio, T.; Orsini, S.; Fiorentino, E.; Gradoni, L. The burden of visceral leishmaniasis in Italy from 1982 to 2012: A retrospective analysis of the multi-annual epidemic that occurred from 1989 to 2009. Eurosurveillance 2013, 18, 20535. [Google Scholar] [CrossRef] [PubMed]
- Aronson, N.; Herwaldt, B.L.; Libman, M.; Pearson, R.; Lopez-Velez, R.; Weina, P.; Carvalho, E.M.; Ephros, M.; Jeronimo, S.; Magill, A. Diagnosis and treatment of leishmaniasis: Clinical practice guidelines by the Infectious Diseases Society of America (IDSA) and the American Society of Tropical Medicine and Hygiene (ASTMH). Clin. Infect. Dis. 2016, 63, e202–e264. [Google Scholar] [CrossRef] [PubMed]
- Torres-Guerrero, E.; Quintanilla-Cedillo, M.R.; Ruiz-Esmenjaud, J.; Arenas, R. Leishmaniasis: A review. F1000Research 2017, 6, 750. [Google Scholar] [CrossRef] [PubMed]
- Ansuini, V.; Rigante, D.; Esposito, S. Debate around infection-dependent hemophagocytic syndrome in paediatrics. BMC Infect. Dis. 2013, 13, 15. [Google Scholar] [CrossRef] [PubMed]
- Henter, J.I.; Horne, A.; Aricó, M.; Egeler, R.M.; Filipovich, A.H.; Imashuku, S.; Ladisch, S.; McClain, K.; Webb, D.; Winiarski, J.; et al. HLH-2004: Diagnostic and therapeutic guidelines for hemophagocytic lymphohistiocytosis. Pediatr. Blood Cancer 2007, 48, 124–131. [Google Scholar] [CrossRef] [PubMed]
- Maroli, M.; Rossi, L.; Baldelli, R.; Capelli, G.; Ferroglio, E.; Genchi, C.; Gramiccia, M.; Mortarino, M.; Pietrobelli, M.; Gradoni, L. The northward spread of leishmaniasis in Italy: Evidence from retrospective and ongoing studies on the canine reservoir and phlebotomine vectors. Trop. Med. Int. Health 2008, 13, 256–264. [Google Scholar] [CrossRef] [PubMed]
- Biglino, A.; Bolla, C.; Concialdi, E.; Trisciuoglio, A.; Romano, A.; Ferroglio, E. Asymptomatic Leishmania infantum infection in an area of northwestern Italy (Piedmont region) where such infections are traditionally nonendemic. J. Clin. Microbiol. 2010, 48, 131–136. [Google Scholar] [CrossRef] [PubMed]
- Franceschini, E.; Puzzolante, C.; Menozzi, M.; Rossi, L.; Bedini, A.; Orlando, G.; Gennari, W.; Meacci, M.; Rugna, G.; Carra, E.; et al. Clinical and Microbiological Characteristics of Visceral Leishmaniasis Outbreak in a Northern Italian Nonendemic Area: A Retrospective Observational Study. BioMed Res. Int. 2016, 2016, 6481028. [Google Scholar] [CrossRef] [PubMed]
- Varani, S.; Cagarelli, R.; Melchionda, F.; Attard, L.; Salvadori, C.; Finarelli, A.C.; Gentilomi, G.A.; Tigani, R.; Rangoni, R.; Todeschini, R.; Scalone, A.; et al. Ongoing outbreak of visceral leishmaniasis in Bologna Province, Italy, November 2012 to May 2013. Eurosurveillance 2013, 18, 20530. [Google Scholar] [CrossRef] [PubMed]
- Dujardin, J.C.; Campino, L.; Cañavate, C.; Dedet, J.P.; Gradoni, L.; Soteriadou, K.; Mazeris, A.; Ozbel, Y.; Boelaert, M. Spread of vector-borne diseases and neglect of Leishmaniasis, Europe. Emerg. Infect. Dis. 2008, 14, 1013–1018. [Google Scholar] [CrossRef] [PubMed]
- Singh, G.; Shabani-Rad, M.T.; Vanderkooi, O.G.; Vayalumkal, J.V.; Kuhn, S.M.; Guilcher, G.M.; Steele, M. Leishmania in HLH: A rare finding with significant treatment implications. J. Pediatr. Hematol. Oncol. 2013, 35, e127–e129. [Google Scholar] [CrossRef] [PubMed]
- DomInguez-Pinilla, N.; Baro-Fernández, M.; González-Granado, L.I. Hemophagocytic lymphohistiocytosis secondary to Epstein Barr virus and Leishmania co-infection in a toddler. J. Postgrad. Med. 2015, 61, 44. [Google Scholar] [PubMed]
- Koliou, M.G.; Soteriades, E.S.; Ephros, M.; Mazeris, A.; Antoniou, M.; Elia, A.; Novelli, V. Hemophagocytic lymphohistiocytosis associated with Epstein Barr virus and Leishmania donovani coinfection in a child from Cyprus. J. Pediatr. Hematol. Oncol. 2008, 30, 704–707. [Google Scholar] [CrossRef] [PubMed]
- Gaifer, Z.; Boulassel, M.R. Leishmania infantum and Epstein-Barr virus co-infection in a patient with hemophagocytosis. Infect. Dis. Rep. 2016, 8, 6545. [Google Scholar] [CrossRef] [PubMed]
- Gagnaire, M.-H.; Galambrun, C.; Stéphan, J.L. Hemophagocytic syndrome: A misleading complication of visceral leishmaniasis in children—A series of 12 cases. Pediatrics 2000, 106, e58. [Google Scholar] [CrossRef]
- Green, M.; Michaels, M.G. Epstein-Barr virus infection and posttransplant lymphoproliferative disorder. Am. J. Transplant. 2013, 13 (Suppl. 3), 41–54. [Google Scholar] [CrossRef] [PubMed]



| Complex | Species | Geographical Distribution | Transmission Cycle | Reservoirs |
|---|---|---|---|---|
| L. donovani complex | L. infantum | Southern Europe, North Africa, and the Middle East | Zoonotic | Dog a (Canis lupus familiaris), cat b (Felis catus), red fox b (Vulpes vulpes), golden jackal b (Canis aureus), wolf b (Canis lupus), badger b (Meles meles), common genet b (Genetta genetta), pine marten b (Martes martes), wild cat b (Felis silvestris), Iberian lynx b (Lynx pardinus), Iberian hare b (Lepus granatensis), wild rabbit b (Oryctolagus cuniculus), black rat b (Rattus rattus), Norwegian rat b (Rattus norvegicus) |
| L. donovani | Cyprus and Turkey | Anthroponotic | Human c (Homo sapiens) |
| The HLH Diagnosis Can Be Established if Either 1 or 2 Below is Fulfilled |
|---|
| (1) A molecular diagnosis consistent with HLH |
| (2) Diagnostic criteria for HLH are fulfilled (5 out of the 8 criteria below) |
| Fever |
| Splenomegaly |
| Cytopaenias (affecting 2 of 3 lineages in the peripheral blood): |
| Haemoglobin <9 g/dL (in infants < 4 weeks: Haemoglobin <10 g/dL) |
| Platelets < 100 × 109/L |
| Neutrophils < 1.0 × 109/L |
| Hypertriglyceridaemia and/or hypofibrinogenaemia: |
| Fasting triglycerides ≥265 mg/dL) |
| Fibrinogen ≤150 mg/dL |
| Haemophagocytosis in the bone marrow, spleen, or lymph nodes, no evidence of malignancy |
| Low or absent NK cell activity (according to local laboratory reference) |
| Ferritin ≥500 µg/L |
| Soluble CD25 (i.e., soluble IL-2 receptor) ≥2400 U/mL |
© 2018 by the authors. Licensee MDPI, Basel, Switzerland. This article is an open access article distributed under the terms and conditions of the Creative Commons Attribution (CC BY) license (http://creativecommons.org/licenses/by/4.0/).
Share and Cite
Tascini, G.; Lanciotti, L.; Sebastiani, L.; Paglino, A.; Esposito, S. Complex Investigation of a Pediatric Haematological Case: Haemophagocytic Syndrome Associated with Visceral Leishmaniasis and Epstein–Barr (EBV) Co-Infection. Int. J. Environ. Res. Public Health 2018, 15, 2672. https://doi.org/10.3390/ijerph15122672
Tascini G, Lanciotti L, Sebastiani L, Paglino A, Esposito S. Complex Investigation of a Pediatric Haematological Case: Haemophagocytic Syndrome Associated with Visceral Leishmaniasis and Epstein–Barr (EBV) Co-Infection. International Journal of Environmental Research and Public Health. 2018; 15(12):2672. https://doi.org/10.3390/ijerph15122672
Chicago/Turabian StyleTascini, Giorgia, Lucia Lanciotti, Lisa Sebastiani, Alessandra Paglino, and Susanna Esposito. 2018. "Complex Investigation of a Pediatric Haematological Case: Haemophagocytic Syndrome Associated with Visceral Leishmaniasis and Epstein–Barr (EBV) Co-Infection" International Journal of Environmental Research and Public Health 15, no. 12: 2672. https://doi.org/10.3390/ijerph15122672
APA StyleTascini, G., Lanciotti, L., Sebastiani, L., Paglino, A., & Esposito, S. (2018). Complex Investigation of a Pediatric Haematological Case: Haemophagocytic Syndrome Associated with Visceral Leishmaniasis and Epstein–Barr (EBV) Co-Infection. International Journal of Environmental Research and Public Health, 15(12), 2672. https://doi.org/10.3390/ijerph15122672

