Modulatory Effect of Methanol Extract of Piper guineense in CCl4-Induced Hepatotoxicity in Male Rats
Abstract
:1. Introduction
2. Materials and Methods
2.1. Chemicals
2.2. Plant Material and Extract Preparation
2.3. Animals and Experimental Design
2.4. Blood and Tissue Collection
2.5. Biochemical Assays
2.6. Statistical Analysis
3. Results
3.1. Antioxidant Capacity of Piper guineense Methanol Extract
3.2. Effect of Piper guineense on Indices of Hepatotoxicity
3.3. Influence of Piper guineense on Serum Total Protein, Total Cholesterol and Triglyceride Levels
3.4. Effect of Piper guineense on Assessment of Oxidative Stress
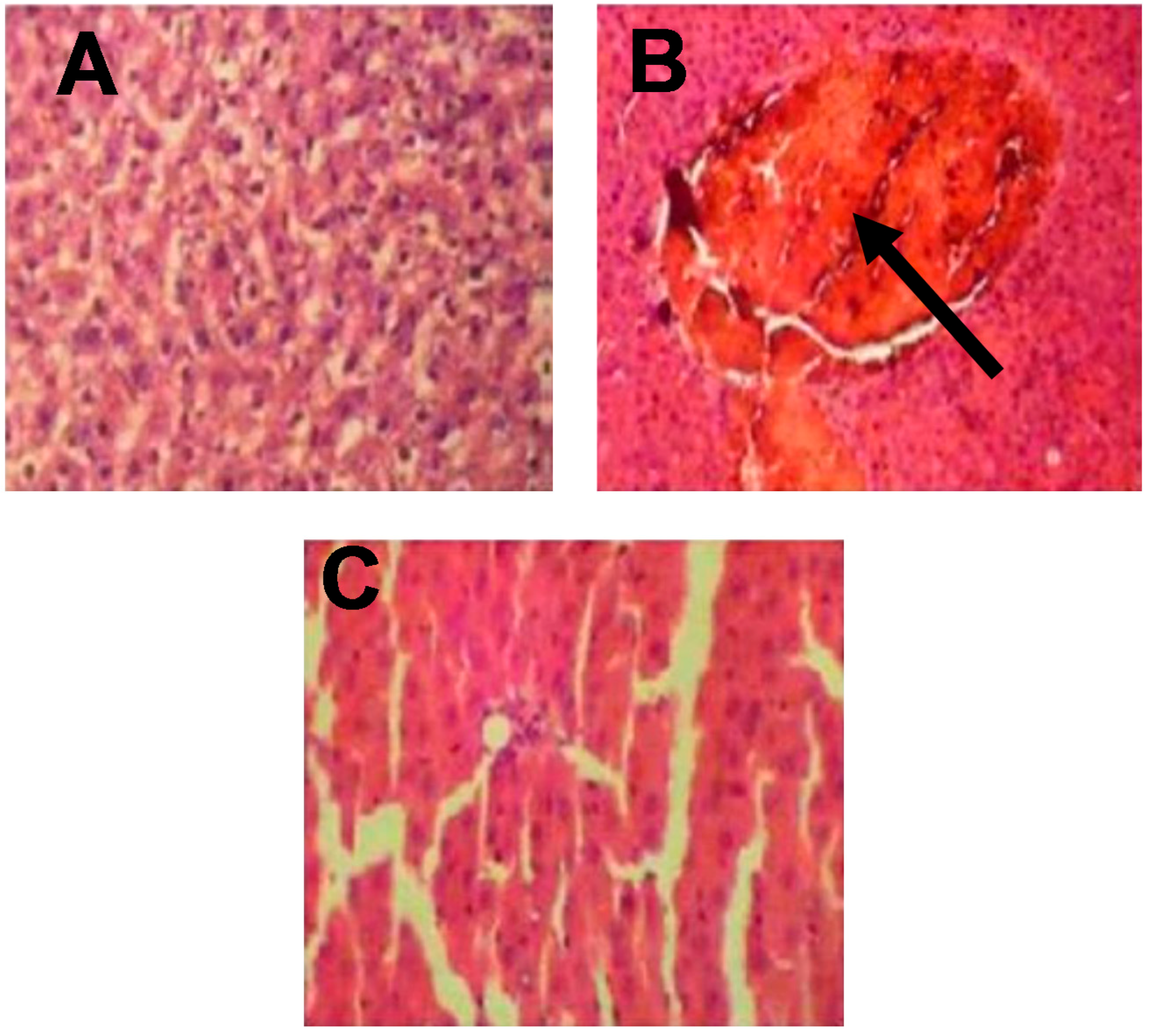
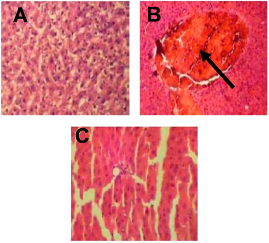
3.5. Histological Examination of Rat Livers
4. Discussion
5. Conclusions
Acknowledgments
Author Contributions
Conflicts of Interest
References
- Williams, R. Global challenges in liver disease. Hepatology 2006, 44, 521–526. [Google Scholar] [CrossRef] [PubMed]
- Suryaprasad, A.; Byrd, K.K.; Redd, J.T.; Perdue, D.G.; Manos, M.M.; McMahon, B.J. Mortality caused by chronic liver disease among American Indians and Alaska Natives in the United States, 1999–2009. Am. J. Public Health 2014, 104, S350–S358. [Google Scholar] [CrossRef] [PubMed]
- Huang, H.L.; Wang, Y.J.; Zhang, Q.Y.; Liu, B.; Wang, F.Y.; Li, J.J.; Zhu, R.Z. Hepatoprotective effects of baicalein against CCl4-induced acute liver injury in mice. World J. Gastroenterol. 2012, 18, 6605. [Google Scholar] [CrossRef] [PubMed]
- Khan, R.A.; Khan, M.R.; Sahreen, S. CCl4-induced hepatotoxicity: Protective effect of rutin on p53, CYP2E1 and the antioxidative status in rat. BMC Complement. Altern. Med. 2012, 12, 178. [Google Scholar] [CrossRef] [PubMed]
- Huo, H.Z.; Wang, B.; Liang, Y.K.; Bao, Y.Y.; Gu, Y. Hepatoprotective and antioxidant effects of licorice extract against CCl4-induced oxidative damage in rats. Int. J. Mol. Sci. 2011, 12, 6529–6543. [Google Scholar] [CrossRef] [PubMed]
- Al-Rasheed, N.M.; Al-Rasheed, N.M.; Faddah, L.M.; Mohamed, A.M.; Mohammad, R.A.; Al-Amin, M. Potential impact of silymarin in combination with chlorogenic acid and/or melatonin in combating cardiomyopathy induced by carbon tetrachloride. Saudi J. Biol. Sci. 2014, 21, 265–274. [Google Scholar] [CrossRef] [PubMed]
- Bahashwan, S.; Hassan, M.H.; Aly, H.; Ghobara, M.M.; El-Beshbishy, H.A.; Busati, I. Crocin mitigates carbon tetrachloride-induced liver toxicity in rats. J. Taibah. Univ. Sci. 2015, 10, 140–149. [Google Scholar] [CrossRef]
- Lee, J.; Koo, N.; Min, D.B. Reactive oxygen species, aging, and antioxidative nutraceuticals. Comp. Rev. Food Sci. Food Saf. 2004, 3, 21–33. [Google Scholar] [CrossRef]
- Ortega-Ramirez, L.A.; Rodriguez-Garcia, I.; Leyva, J.M.; Cruz-Valenzuela, M.R.; Silva-Espinoza, B.A.; Gonzalez-Aguilar, G.A.; Siddiqui, M.; Ayala-Zavala, J.F. Potential of medicinal plants as antimicrobial and antioxidant agents in food industry: A hypothesis. J. Food Sci. 2014, 79, R129–R137. [Google Scholar] [CrossRef] [PubMed]
- Guan, Y.S.; He, Q. Plants consumption and liver health. Evid. Based Complement. Altern. Med. 2015, 824185. [Google Scholar] [CrossRef] [PubMed]
- Sofowora, A.; Ogunbodede, E.; Onayade, A. The role and place of medicinal plants in the strategies for disease prevention. Afr. J. Tradit. Complement. Altern. Med. 2013, 10, 210–229. [Google Scholar] [CrossRef] [PubMed]
- Pandey, N.; Meena, R.P.; Rai, S.K.; Pandey-Rai, S. Medicinal plants derived nutraceuticals: A re-emerging health aid. Int. J. Pharm. Biosci. 2011, 2, 419–441. [Google Scholar]
- Nwozo, S.O.; Ajagbe, A.A.; Oyinloye, B.E. Hepatoprotective effect of Piper guineense aqueous extract against ethanol-induced toxicity in male rats. J. Exp. Integr. Med. 2012, 2, 71–76. [Google Scholar] [CrossRef]
- Ali, F.U.; Ominyi, M.C.; Nwankwo, O.V.U.; Ibiam, U.A.; Ogbanshi, M.E. Comparative effects of ethanolic extract of Gongronema latifolium and Piper guineense on blood electrolytes in ethanol exposed Wistar rats. Biochem. Anal. Biochem. 2015, 4, 179. [Google Scholar]
- Uhegbu, F.O.; Imo, C.; Ugbogu, A.E. Effect of aqueous extract of Piper guineense seeds on some liver enzymes, antioxidant enzymes and some hematological parameters in Albino rats. Int. J. Plant Sci. Ecol. 2015, 1, 167–171. [Google Scholar]
- Oyinloye, B.E.; Adenowo, A.F.; Osunsanmi, F.O.; Ogunyinka, B.I.; Nwozo, S.O.; Kappo, A.P. Aqueous extract of Monodora myristica ameliorates cadmium-induced hepatotoxicity in male rats. SpringerPlus 2016, 5, 641. [Google Scholar] [CrossRef] [PubMed]
- Benzie, I.F.; Strain, J.J. The ferric reducing ability of plasma (FRAP) as a measure of “antioxidant power”: The FRAP assay. Anal. Biochem. 1996, 239, 70–76. [Google Scholar] [CrossRef] [PubMed]
- Ou, B.; Hampsch-Woodill, M.; Prior, R.L. Development and validation of an improved oxygen radical absorbance capacity assay using fluorescein as the fluorescent probe. J. Agric. Food Chem. 2001, 49, 4619–4626. [Google Scholar] [CrossRef] [PubMed]
- Reitman, S.; Frankel, S. A colorimetric method for the determination of serum glutamic oxalacetic and glutamic pyruvic transminases. Am. J. Clin. Pathol. 1957, 28, 56–63. [Google Scholar] [CrossRef] [PubMed]
- Henry, R.J. Clinical Chemistry, Principles and Technics, 2nd ed.; Harper and Row: New York, NY, USA, 1974. [Google Scholar]
- Varshney, R.; Kale, R.K. Effects of calmodulin antagonists on radiation-induced lipid peroxidation in microsomes. Int. J. Radiat. Biol. 1990, 58, 733–743. [Google Scholar] [CrossRef] [PubMed]
- Beutler, E.; Duron, O.; Kelly, B.M. Improved method for the determination of blood glutathione. J. Lab. Clin. Med. 1963, 61, 882–888. [Google Scholar] [PubMed]
- Habig, W.H.; Pabst, M.J.; Jakoby, W.B. Glutathione S-transferases. The first enzymatic step in mercapturic acid formation. J. Biol. Chem. 1974, 249, 7130–7139. [Google Scholar] [PubMed]
- Misra, H.P.; Fridovich, I. The role of superoxide anion in the autoxidation of epinephrine and a simple assay for superoxide dismutase. J. Biol. Chem. 1972, 247, 3170–3175. [Google Scholar] [PubMed]
- Sinha, A.K. Colorimetric assay of catalase. Anal. Biochem. 1972, 47, 389–394. [Google Scholar] [CrossRef]
- Sahreen, S.; Khan, M.R.; Khan, R.A. Hepatoprotective effects of methanol extract of Carissa opaca leaves on CCl4-induced damage in rat. BMC Complement. Altern. Med. 2011, 11, 48. [Google Scholar] [CrossRef] [PubMed]
- Dudonne, S.; Vitrac, X.; Coutiere, P.; Woillez, M.; Mérillon, J.M. Comparative study of antioxidant properties and total phenolic content of 30 plant extracts of industrial interest using DPPH, ABTS, FRAP, SOD, and ORAC assays. J. Agric. Food Chem. 2009, 57, 1768–1774. [Google Scholar] [CrossRef] [PubMed]
- Avasthi, A.S.; Jawaid, S.A.; Jain, S.; Bhatnagar, M.; Purkayastha, S.; Ghosal, S. Free radical scavenging and antioxidant impact of Indian medicinal plant extracts on H2O2 mediated oxidative stress on human erythrocytes. Adv. J. Phytomed. Clin. Ther. 2014, 2, 1052–1069. [Google Scholar]
- AshganA, A.; Haiam, M.; Aboul-Ela, E.A.; Ahemd, E.M.K.; Ola, K.S. Hepatoprotective, DNA damage prevention and antioxidant potential of Spirulina platensis on CCl4-induced hepatotoxicity in mice. Am. J. Biomed. Res. 2015, 3, 29–34. [Google Scholar]
- Forouzandeh, H.; Azemi, M.E.; Rashidi, I.; Goudarzi, M.; Kalantari, H. Study of the protective effect of Teucrium polium L. extract on acetaminophen-induced hepatotoxicity in mice. Iran. J. Pharm. Res. 2013, 12, 123–129. [Google Scholar] [PubMed]
- Nasir, A.; Abubakar, M.G.; Shehu, R.A.; Aliyu, U.; Toge, B.K. Hepatoprotective effect of the aqueous leaf extract of Andrographis paniculata Nees against carbon tetrachloride–induced hepatotoxicity in rats. Niger. J. Basic Appl. Sci. 2013, 21, 45–54. [Google Scholar] [CrossRef]
- Essawy, A.E.; Abdel-Moneim, A.M.; Khayyat, L.I.; Elzergy, A.A. Nigella sativa seeds protect against hepatotoxicity and dyslipidemia induced by carbon tetrachloride in mice. J. Appl. Pharm. Sci. 2012, 2, 21–25. [Google Scholar] [CrossRef]
- Ahsan, R.; Islam, K.M.; Musaddik, A.; Haque, E. Hepatoprotective activity of methanol extract of some medicinal plants against carbon tetrachloride induced hepatotoxicity in albino rats. Glob. J. Pharmacol. 2009, 3, 116–122. [Google Scholar]
- Anusha, M.; Venkateswarlu, M.; Prabhakaran, V.; Taj, S.S.; Kumari, B.P.; Ranganayakulu, D. Hepatoprotective activity of aqueous extract of Portulaca oleracea in combination with lycopene in rats. Indian J. Pharmacol. 2011, 43, 563–567. [Google Scholar] [CrossRef] [PubMed]
- Pan, X.; Hussain, F.N.; Iqbal, J.; Feuerman, M.H.; Hussain, M.M. Inhibiting proteasomal degradation of microsomal triglyceride transfer protein prevents CCl4-induced steatosis. J. Biol. Chem. 2007, 282, 17078–17089. [Google Scholar] [CrossRef] [PubMed]
- Ritesha, K.R.; Suganyaa, A.; Dileepkumar, H.V.; Rajashekar, Y.; Shivanandappa, T.A. Single acute hepatotoxic dose of CCl4 causes oxidative stress in the rat brain. Toxicol. Rep. 2015, 2, 891–895. [Google Scholar] [CrossRef]
- Gulfraz, M.; Ahamd, D.; Ahmad, M.S.; Qureshi, R.; Mahmood, R.T.; Jabeen, N.; Abbasi, K.S. Effect of leaf extracts of Taraxacum officinale on CCl4 induced Hepatotoxicity in rats, in vivo study. Pak. J. Pharm. Sci. 2014, 27, 825–829. [Google Scholar] [PubMed]
- Gnanaraj, C.; Haque, A.E.; Iqbal, M. The chemopreventive effects of Thysanolaena latifolia against carbon tetrachloride (CCl4)-induced oxidative stress in rats. J. Exp. Integr. Med. 2012, 2, 345–355. [Google Scholar] [CrossRef]
- Moreira, P.R.; Maioli, M.A.; Medeiros, H.C.; Guelfi, M.; Pereira, F.T.; Mingatto, F.E. Protective effect of bixinon carbon tetrachloride induced hepatotoxicity in rats. Biol. Res. 2014, 47, 49. [Google Scholar] [CrossRef] [PubMed]
- Yang, B.Y.; Zhang, X.Y.; Guan, S.W.; Hua, Z.C. Protective effect of procyanidin B2 against CCl4-induced acute liver injury in mice. Molecules 2015, 20, 12250–12265. [Google Scholar] [CrossRef] [PubMed]
- Thanh, T.B.; Thanh, H.N.; Minh, H.P.T.; Le-Thi-Thu, H.; Ly, H.D.T.; Duc, L.V. Protective effect of Tetracera scandens L. leaf extract against CCl4-induced acute liver injury in rats. Asian Pac. J. Trop. Biomed. 2015, 5, 221–227. [Google Scholar] [CrossRef]
- Hismiogullari, A.A.; Hismiogullari, S.E.; Karaca, O.; Sunay, F.B.; Paksoy, S.; Can, M.; Kus, I.; Seyrek, K.; Yavuz, O. The protective effect of curcumin administration on carbon tetrachloride (CCl4)-induced nephrotoxicity in rats. Pharmacol. Rep. 2015, 67, 410–416. [Google Scholar] [CrossRef] [PubMed]
- Kartik, R.; Rao, C.V.; Trivedi, S.P.; Pushpangadan, P.; Reddy, G.D. Amelioration effects against N-nitrosodiethylamine and CCl4-induced hepatocarcinogenesis in Swiss albino rats by whole plant extract of Achyranthes aspera. Indian J. Pharmacol. 2010, 42, 370–375. [Google Scholar] [CrossRef] [PubMed]
- Olukiran, O.S.; Akomolafe, R.O.; Bamitale, K.D.; Ajayi, A.O.; Okonji, R.E.; Bejide, R.A. Protective and curative effects of Livolin forte® on carbon tetrachloride-induced liver damage in Wistar rats. J. Exp. Integr. Med. 2014, 4, 57–65. [Google Scholar] [CrossRef]


| Parameter | Value in Piper guineense |
|---|---|
| Ferric reducing antioxidant potential (FRAP) (μmol AAE/mL) | 693.01 ± 0.28 |
| Oxygen radical absorption capacity (ORAC) (μmol TE/mL) | 207.41 ± 0.16 |
| Groups | Aspartate Aminotransferase (AST) Activity (U/L) | Alanine Aminotransferase (ALT) Activity (U/L) | Alkaline Phosphatase (ALP) Activity (U/L) |
|---|---|---|---|
| Control | 34.84 ± 1.12 b | 21.35 ± 0.18 b | 109.87 ± 0.43 a |
| CCl4 | 56.12 ± 1.08 a | 29.09 ±0.12 a | 145.88 ± 0.38 b |
| T1 | 42.55 ± 1.51 a,b | 21.87 ± 0.13 | 117.72 ± 0.08 |
| T2 | 51.96 ± 1.36 a | 23.90 ± 0.71 | 138.09 ± 0.18 a |
| T3 | 44.70 ± 1.34 a,b | 23.34 ± 0.16 | 119.09 ± 0.51 |
| Groups | Total Protein (g/dL) | Total Cholesterol (mg/dL) | Triglycerides (mg/dL) |
|---|---|---|---|
| Control | 29.26 ± 0.23 b | 142.44 ± 0.26 b | 46.64 ± 0.14 a |
| CCl4 | 23.49 ± 0.36 a | 261.22 ± 0.20 a | 98.42 ± 0.82 b |
| T1 | 34.36 ± 0.36 a,b | 189.66 ± 0.02 a,b | 49.19 ± 0.11 |
| T2 | 27.51 ± 0.14 | 223.03 ± 0.16 a,b | 63.98 ± 0.28 a |
| T3 | 32.77 ± 0.27 | 201.86 ± 0.23 a,b | 51.21 ± 0.24 a,b |
| Groups | Lipid Peroxidation (LPO) | Reduced Glutathione (GSH) | Glutathione-S-Transferase (GST) | Superoxide Dismutase (SOD) | Catalase (CAT) |
|---|---|---|---|---|---|
| Control | 13.35 ± 1.45 b | 41.21 ± 0.41 b | 19.12 ± 1.89 b | 7.09 ± 0.11 b | 24.21 ± 0.71 b |
| CCl4 | 28.40 ± 1.82 a | 28.26 ± 0.26 a | 12.61 ± 1.08 a | 3.41 ± 0.26 a | 16.79 ± 0.86 a |
| T1 | 19.14 ± 0.89 a | 37.56 ± 0.43 b | 18.86 ± 1.13 b | 7.23 ± 0.16 b | 23.61 ± 0.53 b |
| T2 | 23.92 ± 1.14 a | 35.05 ± 0.33 b | 15.08 ± 1.79 | 5.91 ± 0.13 | 19.20 ± 0.29 |
| T3 | 17.69 ± 1.86 a | 37.34 ± 0.21 b | 19.59 ± 1.46 b | 7.01 ± 0.08 b | 21.44 ± 0.12 b |
© 2017 by the authors. Licensee MDPI, Basel, Switzerland. This article is an open access article distributed under the terms and conditions of the Creative Commons Attribution (CC BY) license (http://creativecommons.org/licenses/by/4.0/).
Share and Cite
Oyinloye, B.E.; Osunsanmi, F.O.; Ajiboye, B.O.; Ojo, O.A.; Kappo, A.P. Modulatory Effect of Methanol Extract of Piper guineense in CCl4-Induced Hepatotoxicity in Male Rats. Int. J. Environ. Res. Public Health 2017, 14, 955. https://doi.org/10.3390/ijerph14090955
Oyinloye BE, Osunsanmi FO, Ajiboye BO, Ojo OA, Kappo AP. Modulatory Effect of Methanol Extract of Piper guineense in CCl4-Induced Hepatotoxicity in Male Rats. International Journal of Environmental Research and Public Health. 2017; 14(9):955. https://doi.org/10.3390/ijerph14090955
Chicago/Turabian StyleOyinloye, Babatunji Emmanuel, Foluso Oluwagbemiga Osunsanmi, Basiru Olaitan Ajiboye, Oluwafemi Adeleke Ojo, and Abidemi Paul Kappo. 2017. "Modulatory Effect of Methanol Extract of Piper guineense in CCl4-Induced Hepatotoxicity in Male Rats" International Journal of Environmental Research and Public Health 14, no. 9: 955. https://doi.org/10.3390/ijerph14090955
APA StyleOyinloye, B. E., Osunsanmi, F. O., Ajiboye, B. O., Ojo, O. A., & Kappo, A. P. (2017). Modulatory Effect of Methanol Extract of Piper guineense in CCl4-Induced Hepatotoxicity in Male Rats. International Journal of Environmental Research and Public Health, 14(9), 955. https://doi.org/10.3390/ijerph14090955

