Toxicological Effects of Nickel Chloride on IgA+ B Cells and sIgA, IgA, IgG, IgM in the Intestinal Mucosal Immunity in Broilers
Abstract
:1. Introduction
2. Materials and Methods
2.1. Chickens and Diets
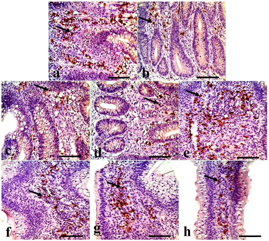
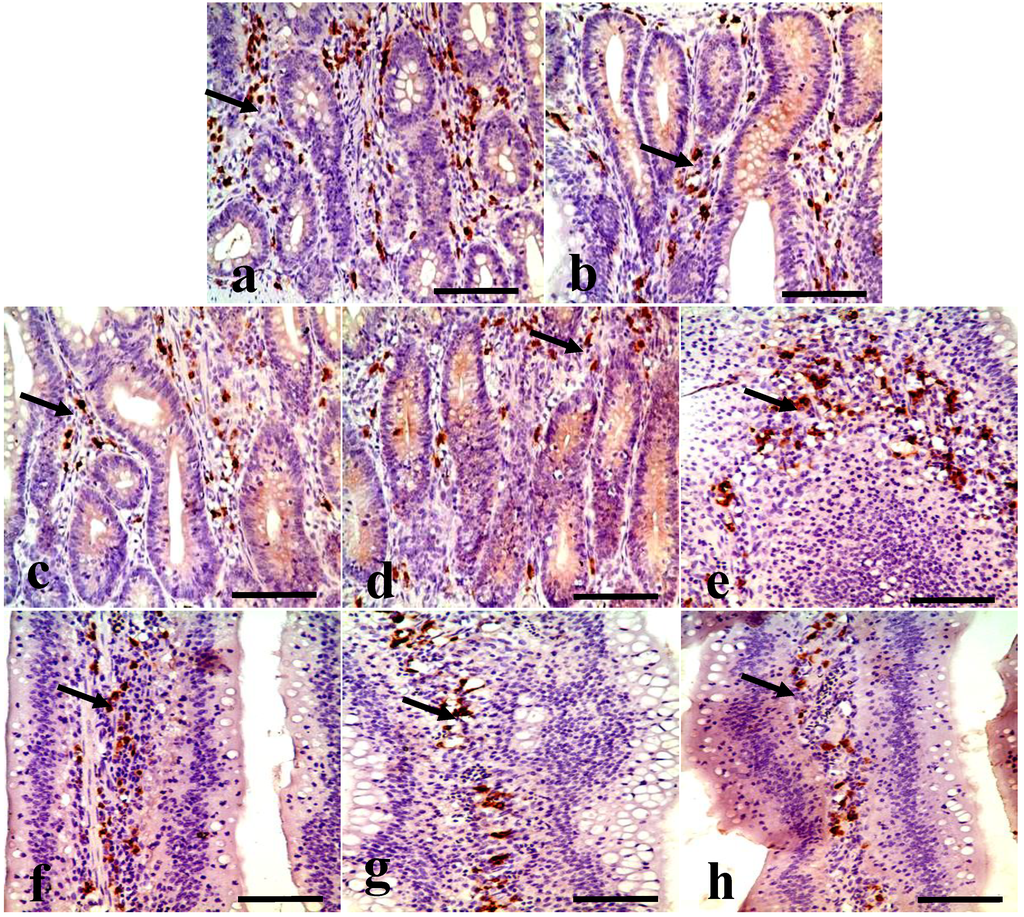
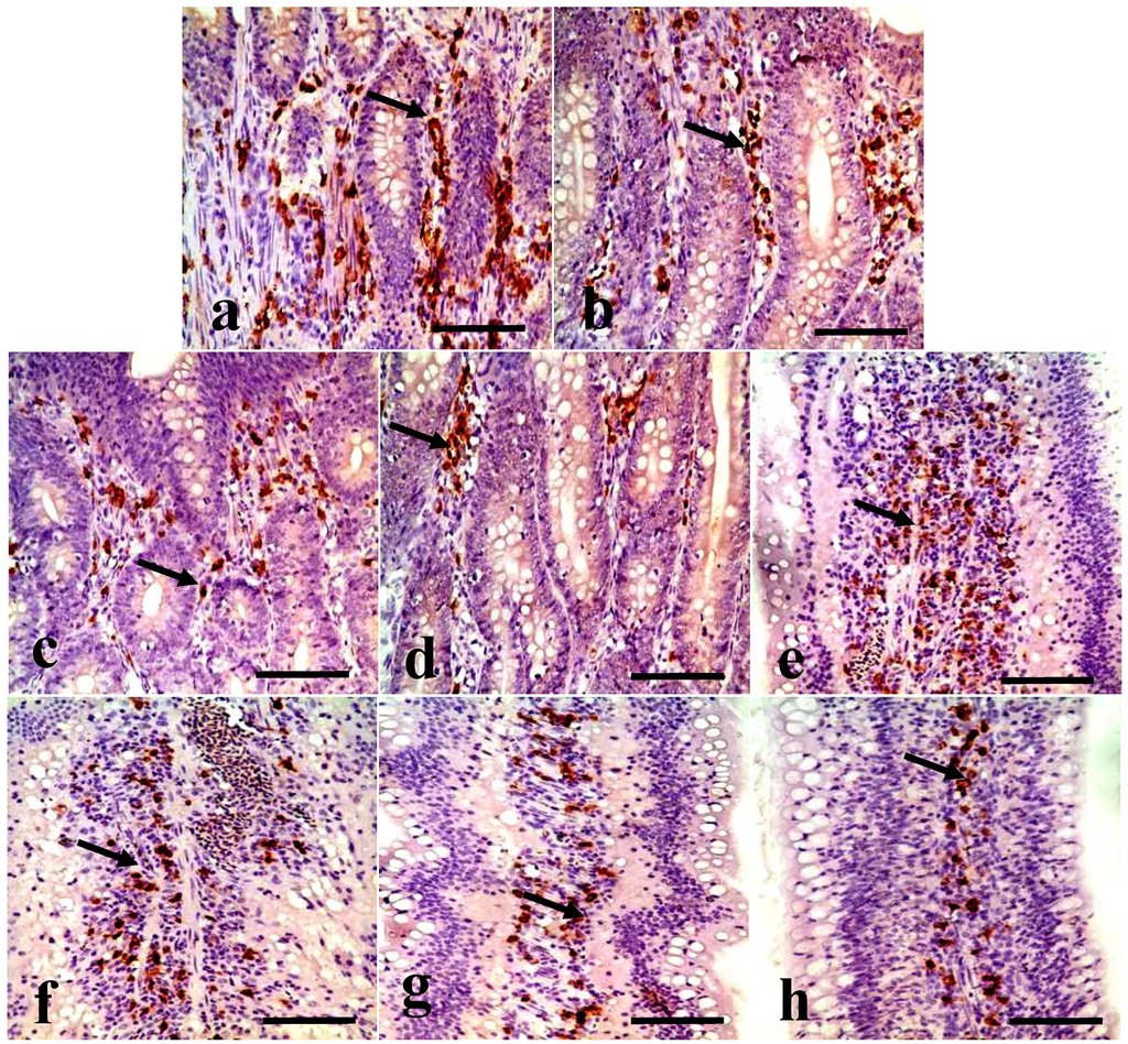
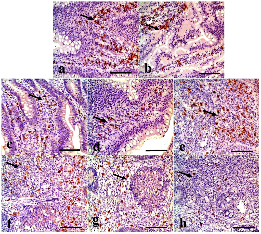
2.2. Immunohistochemical Examination for IgA+ B cells in the Small Intestine (Duodenum, Jejunum and Ileum) and the Cecal Tonsil
2.3. Determination of the sIgA, IgA, IgG and IgM Contents in the Small Intestine and Cecal Tonsil by ELISA
2.4. Statistical Analysis
2.5. Ethic Statement
3. Results
3.1. Changes in the IgA+ B Cells in the Small Intestine (Duodenum, Jejunum, Ileum) and Cecal Tonsil






3.2. Changes in the sIgA Contents in the Small Intestine and Cecal Tonsil

3.3. Changes in the IgA Contents in the Small Intestine and the Cecal Tonsil

3.4. Changes in the IgG Contents in the Small Intestine and Cecal Tonsil

3.5 Changes in the IgM Contents in the Small Intestine and Cecal Tonsil

4. Discussion
5. Conclusions
Acknowledgment
Author Contributions
Conflict of Interests
References
- World Health Organization (WHO). GEMS—Global Fresh Water Quality; Blackwell Reference: Oxford, UK, 1991. [Google Scholar]
- Ayvaz, Z. Cevre Kirliligi ve Kontrolü. Paper presented at the meeting of E.ü. Uluslararas cevre koruma sempozyumu. Izmir, Turkey, 8 June 1992; Vol 1. [Google Scholar]
- Wu, B.Y.; Cui, H.M.; Peng, X.; Fang, J.; Zuo, Z.; Deng, J.; Huang, J. Investigation of the serum oxidative stress in broilers fed on diets supplemented with nickel chloride. Health 2013a, 5, 454–459. [Google Scholar] [CrossRef]
- World Health Organization (WHO). Environmental Health Criteria for Lindane 124; The International Programme on Chemical Safety (IPCS); Environmental Health Criteria: Geneva, Switzerland, 1991. [Google Scholar]
- Kasprzak, K.S.; Sunderman, F.W., Jr.; Salnikow, K. Nickel carcinogenesis. Mutat. Res. 2003, 533, 67–97. [Google Scholar] [CrossRef]
- Hoang, T.C.; Tomasso, J.; Klaine, S. Influence of water quality and age on nickel toxicity to fathead minnows (Pimephales promelas). Environ. Toxicol. Chem. 2004, 23, 86–92. [Google Scholar] [CrossRef]
- Pandey, R.; Srivastava, S.P. Spermatotoxic effects of nickel in mice. B Environ. Contam. Tox. 2000, 64, 161–167. [Google Scholar] [CrossRef]
- Anke, M.; Groppel, B.; Krause, U.; Langer, M. Further data on the biological essentiality of nickel. In Trace Elements in Man and Animals 6; Hurley, L.S., Keen, C.L., Lonnerdal, B., Rucker, R.B., Eds.; Plenum: New York, NY, USA, 1988; pp. 467–469. [Google Scholar]
- Ling, J.R.; Leach, M., Jr. Studies on nickel metabolism: interaction with other elements. Poult. Sci. 1979, 58, 591–596. [Google Scholar] [CrossRef]
- Vijayavela, K.; Gopalakrishnana, S.; Thiagarajanb, R.; Thilagam, H. Immunotoxic effects of nickel in the mud crab. Scylla serrata. Fish. Shellfish Immun. 2009, 26, 133–139. [Google Scholar] [CrossRef]
- Salsano, F.; Francia, C.; Roumpedaki, I.; Proietti, M.; Pisarri, S.; Verna, N.; Gabriele, E.; Di Gioacchino, G.; Di Gioacchino, M. Immune effects of nickel. Int. J. Immunopathol. Pharmacol. 2004, 17, 63–69. [Google Scholar]
- Wu, B.Y.; Cui, H.M.; Peng, X.; Fang, J.; Zuo, Z.; Deng, J.; Huang, J. Changes in the serum cytokine contents in broilers fed on diets supplemented with nickel chloride. Biol. Trace Elem. Res. 2013b, 151, 234–239. [Google Scholar] [CrossRef]
- Wu, B.Y.; Cui, H.M.; Peng, X.; Fang, J.; Zuo, Z.; Deng, J.; Huang, J. Dietary nickel chloride induces oxidative stress, apoptosis and alters Bax/Bcl-2 and caspase-3 mRNA expression in the cecal tonsil of broilers. Food Chem. Toxicol. 2014, 63, 18–29. [Google Scholar] [CrossRef]
- Lillehoj, H.S.; Trout, J.M. Avian gut-associated lymphoid tissues and intestinal immune responses to Eimeria parasites. Clin. Microbiol. Rev. 1996, 9, 349–360. [Google Scholar]
- Liu, J.; Cui, H.M.; Peng, X.; Fang, J.; Zuo, Z.C.; Deng, J.; Wang, H.; Wu, B.Y.; Deng, Y.X.; Wang, K. Decreased IgA+ B cells population and IgA, IgG, IgM contents of the cecal tonsil induced by dietary high fluorine in broilers. Int. J. Env. Res. Pub. Health 2013, 10, 1775–1785. [Google Scholar] [CrossRef]
- Akter, S.; Khan, M.Z.I.; Jahan, M.R.; Karim, M.R.; Islam, M.R. Histomorphological study of the lymphoid tissues of broiler chickens. Bangl. J. Vet. Med. 2006, 4, 87–92. [Google Scholar]
- National Research Council (NRC). Nutrient Requirements of Poultry, 9th ed.; National Academy Press: Washington, DC, USA, 1994. [Google Scholar]
- Clem, A.S. Fundamentals of vaccine immunology. J. Global Infect. Dis. 2011, 3, 73–78. [Google Scholar] [CrossRef]
- Parkin, J.; Cohen, B. An overview of the immune system. Lancet 2001, 357, 1777–1789. [Google Scholar] [CrossRef]
- Hecht, G.A. Microbial Pathogenesis and the Intestinal Epithelial Cell; ASM American Society for Microbiology: Washington, DC, USA, 2003; pp. 61–72. [Google Scholar]
- Jolles, S.; Kaveri, S.V.; Orange, J. Current understanding and future directions. Clin. Exp. Immunol. 2009, 158, 68–70. [Google Scholar] [CrossRef]
- Perdigon, G.; Alvarez, S.; Rachid, M.; Agüero, G.; Gobbato, N. Immune system stimulation by probiotics. J. Dairy Sci. 1995, 78, 1597–1606. [Google Scholar] [CrossRef]
- Neutra, M.R.; Mantis, N.J.; Kraehenbuhl, J.P. Collaboration of epithelial cells with organized mucosal lymphoid tissues. Nat. Immunol. 2001, 2, 1004–1009. [Google Scholar] [CrossRef]
- Fagarasan, S.; Kinoshita, K.; Muramatsu, M.; Ikuta, K.; Honjo, T. In situ class switching and differentiation to IgA-producing cells in the gut lamina propria. Nature 2001, 413, 639–643. [Google Scholar] [CrossRef]
- Treagan, L. A survey of the effect of metals on the immune response. Biol. Trace Elem. Res. 1979, 1, 141–148. [Google Scholar] [CrossRef]
- Diagomanolin, V.; Farhang, M.; Ghazi-Khansari, M.; Jafarzadeh, N. Heavy metals (Ni, Cr, Cu) in the Karoon waterway river, Iran. Toxicol. Lett. 2004, 151, 63–67. [Google Scholar] [CrossRef]
- Bencko, V.; Wagner, V.; Wagnerova, M.; Zavázal, V. Human exposure to nickel and cobalt: Biological monitoring and immunobiochemical response. Environ. Res. 1986, 40, 399–410. [Google Scholar] [CrossRef]
- Figoni, R.A.; Treagan, L. Inhibitory effect of nickel and chromium upon antibody response of rats to immunization with T-1 phage. Res. Commun. Chem. Path Pharmacol. 1975, 11, 335–338. [Google Scholar]
- Al-Tawil, N.G.; Marcusson, J.A.; Möller, E. T and B lymphocytes in patients with nickel sensitivity. Scand. J. Immunol. 1985, 22, 495–502. [Google Scholar] [CrossRef]
- Graham, J.A.; Gardner, D.E.; Miller, F.J.; Daniels, M.J.; Coffin, D.L. Effect of nickel chloride on primary antibody production in the spleen. Environ. Health Persp. 1975, 12, 109–113. [Google Scholar] [CrossRef]
- Graham, J.A.; Miller, F.J.; Daniels, M.J.; Payne, E.A.; Gardner, D.E. Influence of cadmium, nickel, and chromium on primary immunity in mice. Environ. Res. 1978, 16, 77–87. [Google Scholar] [CrossRef]
- Reynaud, C.A.; Imhof, B.A.; Anquez, V.; Weill, J.C. Emergence of committed B lymphoid progenitors in the developing chicken embryo. EMBO J. 1992, 11, 4349–4358. [Google Scholar]
- Benatar, T.; Tkalec, L.; Ratcliffe, M.J.H. Stochastic rearrangement of immunoglobulin variable-region genes in chicken B-cell development. Proc. Natl. Acad. Sci. USA 1992, 89, 7615–7619. [Google Scholar] [CrossRef]
- Ratcliffe, M.J.H.; Ivanyi, J. Allotype suppression in the chicken. IV. Deletion of B cells and lack of suppressor cells during chronic suppression. Eur. J. Immunol. 1981, 11, 306–310. [Google Scholar] [CrossRef]
- Mockett, A.P.A. Monoclonal antibodies used to isolate IgM from chicken bile and avian sera and to detect specific IgM in chicken sera. Avian Pathol. 1986, 15, 337–348. [Google Scholar] [CrossRef]
- Lindner, C.; Wahl, B.; Föhse, L.; Suerbaum, S.; Macpherson, A.J.; Prinz, I.; Pabst, O. Age, microbiota, and T cells shape diverse individual IgA repertoires in the intestine. J. Exp. Med. 2012, 209, 365–377. [Google Scholar] [CrossRef]
- Brandtzaeg, P.; Baekkevold, E.S.; Morton, H.C. From B to A the mucosal way. Nat. Immunol. 2001, 2, 1093–1094. [Google Scholar] [CrossRef]
- Schroeder, H.W., Jr.; Cavacini, L. Structure and function of immunoglobulins. J. Allergy Clin. Immun. 2010, 125, S41–S52. [Google Scholar] [CrossRef]
- Wieland, W.H.; Orzaez, D.; Lammers, A.; Parmentier, H.; Verstegen, M.; Schots, A. A functional polymeric immunoglobulin receptor in chicken (Gallus gallus) indicates ancient role of secretory IgA in mucosal immunity. Biochem. J. 2004, 380, 669–676. [Google Scholar] [CrossRef]
- Lamm, M.E. Interaction of antigens and antibodies at mucosal surfaces. Annu. Rev. Microbiol. 1997, 51, 311–340. [Google Scholar] [CrossRef]
- Lammers, A.; Wieland, W.H.; Kruijt, L.; Jansma, A.; Straetemans, T.; Schots, A.; Hartoga, G.D.; Parmentier, H.K. Successive immunoglobulin and cytokine expression in the small intestine of juvenile chicken. Dev. Comp. Immunol. 2010, 34, 1254–1262. [Google Scholar] [CrossRef]
- Santos, R.R.; Sartori, A.; Lima, D.S.; Souza, P.R.; Coelho-Castelo, A.A.; Bonato, V.L.; Silva, C.L. DNA vaccine containing the mycobacterial hsp65 gene prevented insulitis in MLD-STZ diabetes. J. Immun. Based Ther. Vaccines 2009, 7, 4–15. [Google Scholar] [CrossRef]
- Mowat, A.M. Anatomical basis of tolerance and immunity to intestinal antigens. Nat. Rev. Immunol. 2003, 3, 331–341. [Google Scholar]
- Zimmermann, K.; Haas, A.; Oxenius, A. Systemic antibody responses to gut microbes in health and disease. Gut Microbes 2012, 3, 42–47. [Google Scholar] [CrossRef]
- Fan, J.; Meng, Q.; Guo, G.; Xie, Y.; Li, X.; Xiu, Y.; Li, T.; Ma, L. Effects of early enteral nutrition supplemented with arginine on intestinal mucosal immunity in severely burned mice. Clin. Nutr. 2010, 29, 124–130. [Google Scholar] [CrossRef]
- Wu, B.Y.; Cui, H.M.; Peng, X.; Fang, J.; Zuo, Z.; Deng, J.; Huang, J. Toxicological effects of nickel chloride on the cytokine mRNA expression and protein levels in intestinal mucosal immunity of broilers. Environ. Toxicol. [CrossRef]
- Amin, P.B.; Diebel, L.N.; Liberati, D.M. T-cell cytokines affect mucosal immunoglobulin A transport. Am. J. Surg. 2007, 194, 128–133. [Google Scholar] [CrossRef]
- Perez-Carbajal, C.; Caldwell, D.; Farnell, M.; Stringfellow, K.; Pohl, S.; Casco, G.; Pro-Martinez, A.; Ruiz-Feria, C.A. Immune response of broiler chickens fed different levels of arginine and vitamin E to a coccidiosis vaccine and Eimeria challenge. Poultry Sci. 2010, 89, 1870–1877. [Google Scholar] [CrossRef]
- Boes, M. Role of natural and immune IgM antibodies in immune responses. Mol. Immunol. 2000, 37, 1141–1149. [Google Scholar] [CrossRef]
- Hirano, T.; Yasukawa, K.; Harada, H.; Taga, T.; Watanabe, Y.; Matsuda, T.; Kashiwamura, S.; Iwamatsu, A.; Tsunasawa, S.; Sakiyama, F.; et al. Complementary DNA for a novel human interleukin (BSF-2) that induces B lymphocytes to produce immunoglobulin. Nature 1986, 324, 73–76. [Google Scholar] [CrossRef]
- Shimizu, M.; Nagashima, H.; Sano, K.; Hashimoto, K.; Ozeki, M.; Tsuda, K.; Hatta, H. Molecular stability of chicken and rabbit immunoglobulin G. Biosci. Biotech. Bioch. 1992, 56, 270–274. [Google Scholar]
- Koller, L.D.; Exon, J.H.; Roan, J.G. Humoral antibody response in mice after single dose exposure to lead or cadmium. Exp. Biol. Med. 1976, 151, 339–342. [Google Scholar] [CrossRef]
© 2014 by the authors; licensee MDPI, Basel, Switzerland. This article is an open access article distributed under the terms and conditions of the Creative Commons Attribution license (http://creativecommons.org/licenses/by/3.0/).
Share and Cite
Wu, B.; Cui, H.; Peng, X.; Fang, J.; Zuo, Z.; Deng, J.; Huang, J. Toxicological Effects of Nickel Chloride on IgA+ B Cells and sIgA, IgA, IgG, IgM in the Intestinal Mucosal Immunity in Broilers. Int. J. Environ. Res. Public Health 2014, 11, 8175-8192. https://doi.org/10.3390/ijerph110808175
Wu B, Cui H, Peng X, Fang J, Zuo Z, Deng J, Huang J. Toxicological Effects of Nickel Chloride on IgA+ B Cells and sIgA, IgA, IgG, IgM in the Intestinal Mucosal Immunity in Broilers. International Journal of Environmental Research and Public Health. 2014; 11(8):8175-8192. https://doi.org/10.3390/ijerph110808175
Chicago/Turabian StyleWu, Bangyuan, Hengmin Cui, Xi Peng, Jing Fang, Zhicai Zuo, Junliang Deng, and Jianying Huang. 2014. "Toxicological Effects of Nickel Chloride on IgA+ B Cells and sIgA, IgA, IgG, IgM in the Intestinal Mucosal Immunity in Broilers" International Journal of Environmental Research and Public Health 11, no. 8: 8175-8192. https://doi.org/10.3390/ijerph110808175
APA StyleWu, B., Cui, H., Peng, X., Fang, J., Zuo, Z., Deng, J., & Huang, J. (2014). Toxicological Effects of Nickel Chloride on IgA+ B Cells and sIgA, IgA, IgG, IgM in the Intestinal Mucosal Immunity in Broilers. International Journal of Environmental Research and Public Health, 11(8), 8175-8192. https://doi.org/10.3390/ijerph110808175

