Krill Oil Inhibits Cholesterol Synthesis and Stimulated Cholesterol Excretion in Hypercholesterolemic Rats
Abstract
1. Introduction
2. Results
2.1. Krill Oil Protected against Liver Damage and Improved Lipid Profile in Hypercholesterolemic Rats
2.2. Krill Oil Inhibited Cholesterol Synthesis and Stimulated Cholesterol Uptake in the Liver of Hypercholesterolemic Rats
2.3. Krill Oil Stimulated the Excretion of Cholesterol and Bile Acid in Hypercholesterolemic Rats
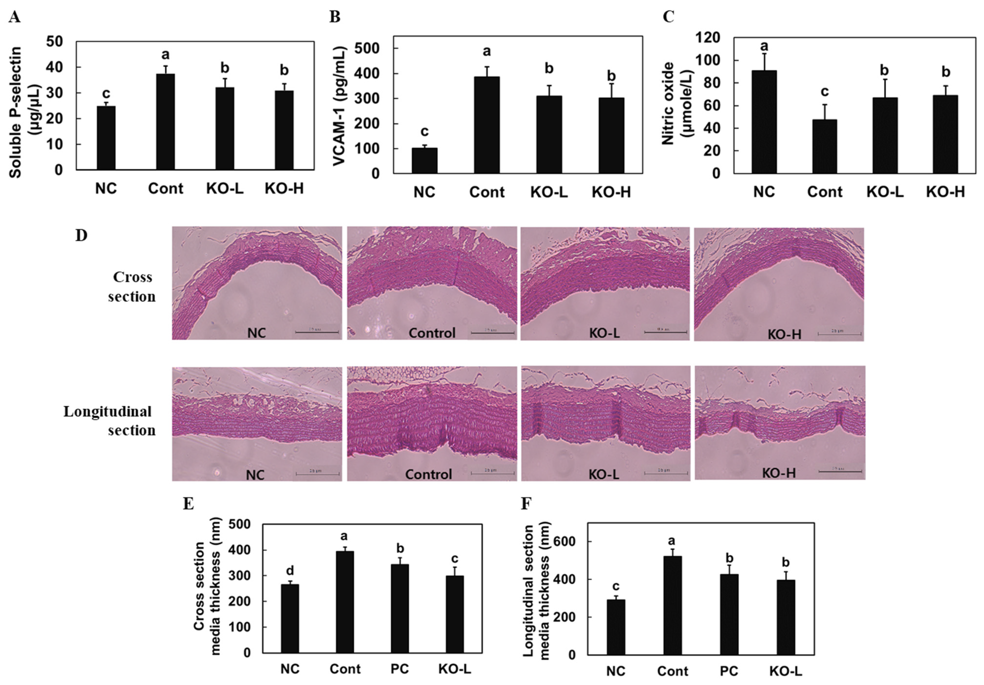
2.4. Krill Oil Decreased Atherosclerotic Wall Thickness
3. Discussion
4. Materials and Methods
4.1. Extraction of Krill Oil
4.2. Animals
4.3. Measurement of Triglyceride, Cholesterols, AST, ALT, HMG-CoA Reductase Activity, ApoB-100, ACAT, P-Selectin, sVCAM-1, and NO
4.4. Total RNA Isolation and Real-Time Polymerase Chain Reaction (PCR)
4.5. Western Blotting
4.6. Measurement of Bile Acid and Cholesterol in Feces
4.7. Measurement of Aortic Wall Thickness
4.8. Statistical Analysis
5. Conclusions
Supplementary Materials
Author Contributions
Funding
Institutional Review Board Statement
Data Availability Statement
Conflicts of Interest
References
- Katz, J.; Chaushu, G.; Sharabi, Y. On the association between hypercholesterolemia, cardiovascular disease and severe periodontal disease. J. Clin. Periodontol. 2001, 28, 865–868. [Google Scholar] [CrossRef] [PubMed]
- Ten Kate, G.R.; Bos, S.; Dedic, A.; Neefjes, L.A.; Kurata, A.; Langendonk, J.G.; Liem, A.; Moelker, A.; Krestin, G.P.; de Feyter, P.J.; et al. Increased Aortic Valve Calcification in Familial Hypercholesterolemia: Prevalence, Extent, and Associated Risk Factors. J. Am. Coll. Cardiol. 2015, 66, 2687–2695. [Google Scholar] [CrossRef]
- Capron, L. Atherosclerosis is an inflammatory disease. Rev. Med. Interne 1988, 9, 359–361. [Google Scholar] [CrossRef]
- Peluso, I.; Morabito, G.; Urban, L.; Ioannone, F.; Serafini, M. Oxidative stress in atherosclerosis development: The central role of LDL and oxidative burst. Endocr. Metab. Immune. Disord. Drug Targets 2012, 12, 351–360. [Google Scholar] [CrossRef] [PubMed]
- Gliozzi, M.; Musolino, V.; Bosco, F.; Scicchitano, M.; Scarano, F.; Nucera, S.; Zito, M.C.; Ruga, S.; Carresi, C.; Macrì, R.; et al. Cholesterol homeostasis: Researching a dialogue between the brain and peripheral tissues. Pharmacol. Res. 2021, 163, 105215. [Google Scholar] [CrossRef] [PubMed]
- Luo, J.; Yang, H.; Song, B.L. Mechanisms and regulation of cholesterol homeostasis. Nat. Rev. Mol. Cell Biol. 2020, 21, 225–245. [Google Scholar] [CrossRef]
- Repa, J.J.; Buhman, K.K.; Farese, R.V.; Dietschy, J.M.; Turley, S.D. ACAT2 deficiency limits cholesterol absorption in the cholesterol-fed mouse: Impact on hepatic cholesterol homeostasis. Hepatology 2004, 40, 1088–1097. [Google Scholar] [CrossRef]
- Burg, J.S.; Espenshade, P.J. Regulation of HMG-CoA reductase in mammals and yeast. Prog. Lipid Res. 2011, 50, 403–410. [Google Scholar] [CrossRef]
- Li, T.; Chiang, J.Y. Regulation of bile acid and cholesterol metabolism by PPARs. PPAR Res. 2009, 2009, 501739. [Google Scholar] [CrossRef]
- Pöss, J.; Custodis, F.; Werner, C.; Weingärtner, O.; Böhm, M.; Laufs, U. Cardiovascular disease and dyslipidemia: Beyond LDL. Curr. Pharm. Des. 2011, 17, 861–870. [Google Scholar] [CrossRef]
- Wadhera, R.K.; Steen, D.L.; Khan, I.; Giugliano, R.P.; Foody, J.M. A review of low-density lipoprotein cholesterol, treatment strategies, and its impact on cardiovascular disease morbidity and mortality. J. Clin. Lipidol. 2016, 10, 472–489. [Google Scholar] [CrossRef] [PubMed]
- Thompson, P.D.; Panza, G.; Zaleski, A.; Taylor, B. Statin-Associated Side Effects. J. Am. Coll. Cardiol. 2016, 67, 2395–2410. [Google Scholar] [CrossRef] [PubMed]
- Nelson, R.H. Hyperlipidemia as a risk factor for cardiovascular disease. Prim. Care 2013, 40, 195–211. [Google Scholar] [CrossRef] [PubMed]
- Bunea, R.; El Farrah, K.; Deutsch, L. Evaluation of the effects of Neptune Krill Oil on the clinical course of hyperlipidemia. Altern. Med. Rev. 2004, 9, 420–428. [Google Scholar]
- Parolini, C.; Bjorndal, B.; Busnelli, M.; Manzini, S.; Ganzetti, G.S.; Dellera, F.; Ramsvik, M.; Bruheim, I.; Berge, R.K.; Chiesa, G. Effect of Dietary Components from Antarctic Krill on Atherosclerosis in apoE-Deficient Mice. Mol. Nutr. Food Res. 2017, 61, 1700098. [Google Scholar] [CrossRef]
- Sistilli, G.; Kalendova, V.; Cajka, T.; Irodenko, I.; Bardova, K.; Oseeva, M.; Zacek, P.; Kroupova, P.; Horakova, O.; Lackner, K.; et al. Krill Oil Supplementation Reduces Exacerbated Hepatic Steatosis Induced by Thermoneutral Housing in Mice with Diet-Induced Obesity. Nutrients 2021, 13, 437. [Google Scholar] [CrossRef]
- Illingworth, D.R.; Harris, W.S.; Connor, W.E. Inhibition of low density lipoprotein synthesis by dietary omega-3 fatty acids in humans. Arteriosclerosis 1984, 4, 270–275. [Google Scholar] [CrossRef]
- Kris-Etherton, P.M.; Harris, W.S.; Appel, L.J. Fish consumption, fish oil, omega-3 fatty acids, and cardiovascular disease. Circulation 2002, 106, 2747–2757. [Google Scholar] [CrossRef]
- Mozaffarian, D.; Maki, K.C.; Bays, H.E.; Aguilera, F.; Gould, G.; Hegele, R.A.; Moriarty, P.M.; Robinson, J.G.; Shi, P.; Tur, J.F.; et al. Effectiveness of a Novel ω-3 Krill Oil Agent in Patients With Severe Hypertriglyceridemia: A Randomized Clinical Trial. JAMA Netw. Open 2022, 5, 2141898. [Google Scholar] [CrossRef]
- Banerjee, S.; Ghoshal, S.; Porter, T.D. Activation of AMP-kinase by policosanol requires peroxisomal metabolism. Lipids 2011, 46, 311–321. [Google Scholar] [CrossRef]
- Davis, B.T.; Wang, X.J.; Rohret, J.A.; Struzynski, J.T.; Merricks, E.P.; Bellinger, D.A.; Rohret, F.A.; Nichols, T.C.; Rogers, C.S. Targeted disruption of LDLR causes hypercholesterolemia and atherosclerosis in Yucatan miniature pigs. PLoS ONE 2014, 9, 93457. [Google Scholar] [CrossRef] [PubMed]
- Temel, R.E.; Hou, L.; Rudel, L.L.; Shelness, G.S. ACAT2 stimulates cholesteryl ester secretion in apoB-containing lipoproteins. J. Lipid Res. 2007, 48, 1618–1627. [Google Scholar] [CrossRef] [PubMed]
- Koyama, H.; Maeno, T.; Fukumoto, S.; Shoji, T.; Yamane, T.; Yokoyama, H.; Emoto, M.; Shoji, T.; Tahara, H.; Inaba, M.; et al. Platelet P-selectin expression is associated with atherosclerotic wall thickness in carotid artery in humans. Circulation 2003, 108, 524–529. [Google Scholar] [CrossRef]
- De Caterina, R.; Basta, G.; Lazzerini, G.; Dell’Omo, G.; Petrucci, R.; Morale, M.; Carmassi, F.; Pedrinelli, R. Soluble vascular cell adhesion molecule-1 as a biohumoral correlate of atherosclerosis. Arterioscler. Thromb. Vasc. Biol. 1997, 17, 2646–2654. [Google Scholar] [CrossRef] [PubMed]
- Hals, P.A.; Wang, X.; Xiao, Y.F. Effects of a purified krill oil phospholipid rich in long-chain omega-3 fatty acids on cardiovascular disease risk factors in non-human primates with naturally occurring diabetes type-2 and dyslipidemia. Lipids Health Dis. 2017, 16, 11. [Google Scholar] [CrossRef]
- Nam, D.E.; Yun, J.M.; Kim, D.; Kim, O.K. Policosanol Attenuates Cholesterol Synthesis via AMPK Activation in Hypercholesterolemic Rats. J. Med. Food 2019, 22, 1110–1117. [Google Scholar] [CrossRef]




| NC | Control | KO–L | KO–H | |
|---|---|---|---|---|
| Weight gain (g) | 267.25 ± 19.15 b | 355.38 ± 41.14 a | 325.59 ± 11.84 a | 319.43 ± 31.68 a |
| Food consumption (g/day) | 21.36 ± 1.09 a | 20.42 ± 0.88 b | 19.48 ± 0.83 b | 19.62 ± 1.04 b |
| FER | 16.17 ± 1.99 b | 19.31 ± 0.94 a | 20.28 ± 0.74 a | 19.90 ± 1.97 a |
| Organ weight (g)/body weight (g) × 100 | ||||
| Kidney | 0.60 ± 0.02 ab | 0.67 ± 0.15 a | 0.57 ± 0.03 b | 0.59 ± 0.03 ab |
| Spleen | 0.16 ± 0.02 c | 0.28 ± 0.03 a | 0.23 ± 0.04 b | 0.21 ± 0.03 b |
| Liver | 3.78 ± 0.32 c | 6.15 ± 0.34 a | 5.84 ± 0.23 ab | 5.68 ± 0.28 b |
| Serum ALT (mU/mL) | 68.27 ± 11.38 c | 101.73 ±19.37 a | 79.83 ± 12.73 b | 81.09 ± 12.84 b |
| Serum AST (mU/mL) | 403.08 ± 24.11 c | 894.59 ± 56.07 a | 793.54 ± 34.98 b | 764.43 ± 108.60 b |
| Ingredient | gm | kcal |
|---|---|---|
| Soy Protein | 130 | 520 |
| Casein, Lactic, 30 Mesh | 75 | 300 |
| Methionine, DL | 2 | 8 |
| Starch, Corn | 275 | 1100 |
| Maltodextrin | 150 | 600 |
| Sucrose | 30 | 120 |
| Cellulose, BW200 | 90 | 0 |
| Soybean Oil, USP | 50 | 450 |
| Cocoa Butter | 75 | 675 |
| Coconut Oil, 76 | 35 | 315 |
| Mineral Mix S10001 | 35 | 0 |
| Calcium Carbonate | 5.5 | 0 |
| Sodium Chloride | 8 | 0 |
| Potassium Citrate | 10 | 0 |
| Mineral Mix V10001 | 10 | 40 |
| Choline Bitartrate | 2 | 0 |
| Cholesterol, NF | 12.5 | 0 |
| Sodium Cholic Acid | 5 | 0 |
| FD and C Red Dye #40 | 0.1 | 0 |
| Total | 1000.1 | 4128 |
Publisher’s Note: MDPI stays neutral with regard to jurisdictional claims in published maps and institutional affiliations. |
© 2022 by the authors. Licensee MDPI, Basel, Switzerland. This article is an open access article distributed under the terms and conditions of the Creative Commons Attribution (CC BY) license (https://creativecommons.org/licenses/by/4.0/).
Share and Cite
Kim, O.-K.; Yun, J.M.; Kim, D.; Park, S.-J.; Lee, C.; Go, E.B.; Kim, J.S.; Park, S.Y.; Lee, J. Krill Oil Inhibits Cholesterol Synthesis and Stimulated Cholesterol Excretion in Hypercholesterolemic Rats. Mar. Drugs 2022, 20, 609. https://doi.org/10.3390/md20100609
Kim O-K, Yun JM, Kim D, Park S-J, Lee C, Go EB, Kim JS, Park SY, Lee J. Krill Oil Inhibits Cholesterol Synthesis and Stimulated Cholesterol Excretion in Hypercholesterolemic Rats. Marine Drugs. 2022; 20(10):609. https://doi.org/10.3390/md20100609
Chicago/Turabian StyleKim, Ok-Kyung, Jeong Moon Yun, Dakyung Kim, Soo-Jeung Park, Chungil Lee, Eun Byeol Go, Jae Sil Kim, Sang Yong Park, and Jeongmin Lee. 2022. "Krill Oil Inhibits Cholesterol Synthesis and Stimulated Cholesterol Excretion in Hypercholesterolemic Rats" Marine Drugs 20, no. 10: 609. https://doi.org/10.3390/md20100609
APA StyleKim, O.-K., Yun, J. M., Kim, D., Park, S.-J., Lee, C., Go, E. B., Kim, J. S., Park, S. Y., & Lee, J. (2022). Krill Oil Inhibits Cholesterol Synthesis and Stimulated Cholesterol Excretion in Hypercholesterolemic Rats. Marine Drugs, 20(10), 609. https://doi.org/10.3390/md20100609

