Tissue Doppler Imaging in Acute and Critical Care: Enhancing Diagnostic Precision
Abstract
1. Introduction
2. Materials and Methods
2.1. Literature Search and Study Selection
2.2. Data Extraction and Synthesis
2.3. Ethical Considerations
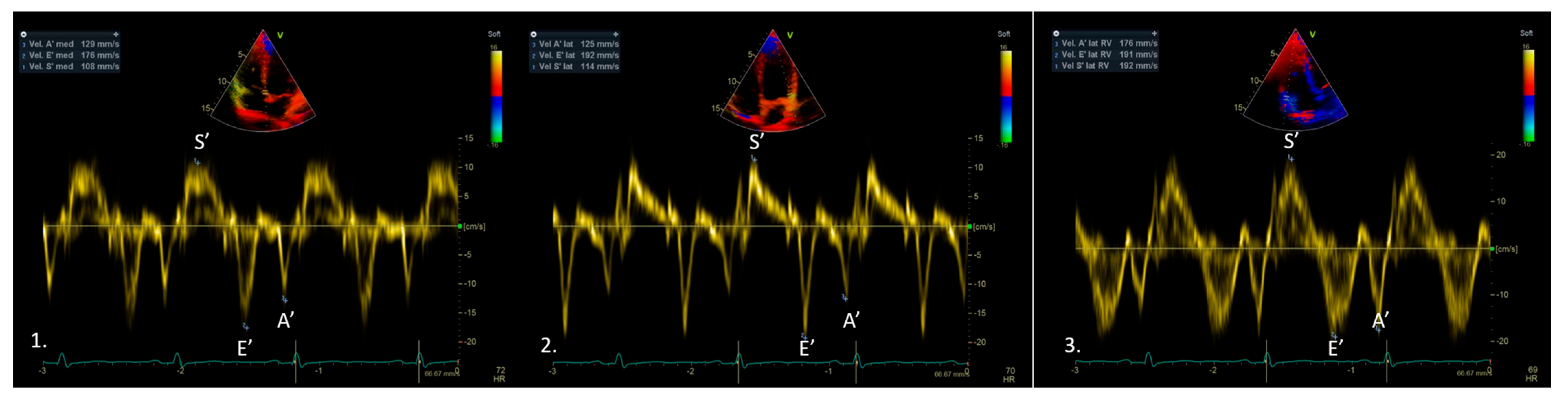
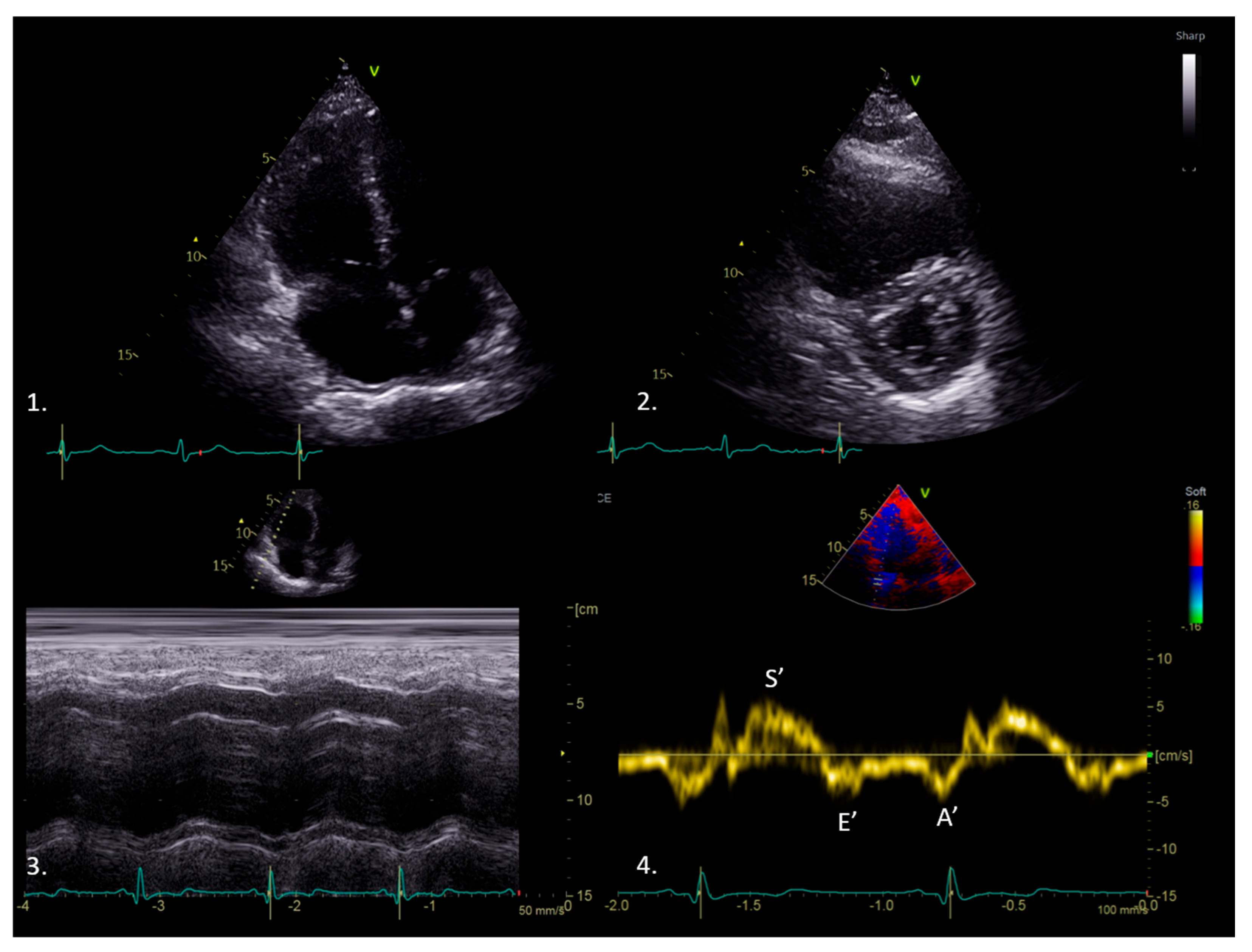
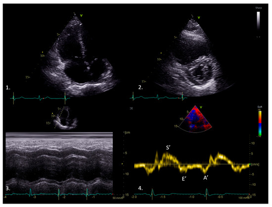
3. Tissue Doppler Imaging Characteristics
4. TDI in Acute Coronary Syndrome (ACS)
5. TDI in Acute Heart Failure (AHF)
6. TDI in Hypertension
7. TDI in Septic Cardiomyopathy
8. TDI in Atrial Fibrillation
9. TDI in Acute Pulmonary Embolism
10. TDI in Constrictive Pericarditis
11. TDI in the Weaning from Invasive Mechanical Ventilation
12. Discussion
12.1. Limitations
12.2. Future Directions
13. Conclusions
Author Contributions
Funding
Institutional Review Board Statement
Informed Consent Statement
Conflicts of Interest
References
- Connolly, J.A.; Dean, A.J.; Hoffmann, B.; Jarman, R.D. Emergency Point-of-Care Ultrasound, 2nd ed.; John Wiley & Sons Ltd.: Hoboken, NJ, USA, 2017; p. 488. [Google Scholar]
- Perera, P.; Mailhot, T.; Riley, D.; Mandavia, D. The RUSH exam: Rapid Ultrasound in SHock in the evaluation of the critically ill. Emerg. Med. Clin. N. Am. 2010, 28, 29–56. [Google Scholar] [CrossRef] [PubMed]
- Ristić, A.D.; Imazio, M.; Adler, Y.; Anastasakis, A.; Badano, L.P.; Brucato, A.; Caforio, A.L.; Dubourg, O.; Elliott, P.; Gimeno, J.; et al. Triage strategy for urgent management of cardiac tamponade: A position statement of the European Society of Cardiology Working Group on Myocardial and Pericardial Diseases. Eur. Heart J. 2014, 35, 2279–2284. [Google Scholar] [CrossRef] [PubMed]
- Hernandez, C.; Shuler, K.; Hannan, H.; Sonyika, C.; Likourezos, A.; Marshall, J.C.A.U.S.E. Cardiac arrest ultra-sound exam—A better approach to managing patients in primary non-arrhythmogenic cardiac arrest. Resuscitation 2008, 76, 198–206. [Google Scholar] [CrossRef] [PubMed]
- Breitkreutz, R.; Walcher, F.; Seeger, F.H. Focused echocardiographic evaluation in resuscitation management: Concept of an advanced life support-conformed algorithm. Crit. Care Med. 2007, 35 (Suppl. S5), S150–S161. [Google Scholar] [CrossRef]
- Chenkin, J.; Atzema, C.L. Contemporary Application of Point-of-Care Echocardiography in the Emergency Department. Can. J. Cardiol. 2018, 34, 109–116. [Google Scholar] [CrossRef]
- Kadappu, K.K.; Thomas, L. Tissue Doppler imaging in echocardiography: Value and limitations. Heart Lung Circ. 2015, 24, 224–233. [Google Scholar] [CrossRef]
- Lancellotti, P.; Zamorano, J.; Badano, L.; Habib, G. The EACVI Textbook of Echocardiography; Oxford University Press: Oxford, UK, 2017; p. 671. [Google Scholar]
- Gorcsan, J., 3rd. Tissue Doppler echocardiography. Curr. Opin. Cardiol. 2000, 15, 323–329. [Google Scholar] [CrossRef]
- Lang, R.M.; Badano, L.P.; Mor-Avi, V.; Afilalo, J.; Armstrong, A.; Ernande, L.; Flachskampf, F.A.; Foster, E.; Goldstein, S.A.; Kuznetsova, T.; et al. Recommendations for cardiac chamber quantification by echocardiography in adults: An update from the American Society of Echocardiography and the European Association of Cardiovascular Imaging. J. Am. Soc. Echocardiogr. 2015, 28, 1–39.e14. [Google Scholar] [CrossRef]
- Silbiger, J.J. Pathophysiology and Echocardiographic Diagnosis of Left Ventricular Diastolic Dysfunction. J. Am. Soc. Echocardiogr. 2019, 32, 216–232.e2. [Google Scholar] [CrossRef]
- Hollenberg, S.M.; Singer, M. Pathophysiology of sepsis-induced cardiomyopathy. Nat. Rev. Cardiol. 2021, 18, 424–434. [Google Scholar] [CrossRef]
- GBD 2019 Diseases and Injuries Collaborators. Global burden of 369 diseases and injuries in 204 countries and territories, 1990–2019: A systematic analysis for the Global Burden of Disease Study 2019. Lancet 2020, 396, 1204–1222, Erratum in Lancet 2020, 396, 1562. [Google Scholar] [CrossRef] [PubMed]
- Bijnens, B.; Claus, P.; Weidemann, F.; Strotmann, J.; Sutherland, G.R. Investigating cardiac function using motion and deformation analysis in the setting of coronary artery disease. Circulation 2007, 116, 2453–2464. [Google Scholar] [CrossRef]
- Seko, Y.; Kato, T.; Shiba, M.; Morita, Y.; Yamaji, Y.; Haruna, Y.; Nakane, E.; Hayashi, H.; Haruna, T.; Inoko, M. Association of the low e′ and high E/e′ with long-term outcomes in patients with normal ejection fraction: A hospital population-based observational cohort study. BMJ Open 2019, 9, e032663. [Google Scholar] [CrossRef] [PubMed]
- Byrne, R.A.; Rossello, X.; Coughlan, J.J.; Barbato, E.; Berry, C.; Chieffo, A.; Claeys, M.J.; Dan, G.A.; Dweck, M.R.; Galbraith, M.; et al. 2023 ESC Guidelines for the management of acute coronary syndromes. Eur. Heart J. 2023, 44, 3720–3826, Erratum in Eur. Heart J. 2024, 45, 1145. [Google Scholar] [CrossRef]
- Bedetti, G.; Gargani, L.; Sicari, R.; Gianfaldoni, M.L.; Molinaro, S.; Picano, E. Comparison of prognostic value of echographic [corrected] risk score with the Thrombolysis in Myocardial Infarction (TIMI) and Global Registry in Acute Coronary Events (GRACE) risk scores in acute coronary syndrome. Am. J. Cardiol. 2010, 106, 1709–1716, Erratum in Am. J. Cardiol. 2011, 107, 1253. [Google Scholar] [CrossRef]
- Derumeaux, G.; Ovize, M.; Loufoua, J.; André-Fouet, X.; Minaire, Y.; Cribier, A.; Letac, B. Doppler tissue imaging quantitates regional wall motion during myocardial ischemia and reperfusion. Circulation 1998, 97, 1970–1977. [Google Scholar] [CrossRef] [PubMed]
- Nikitin, N.P.; Loh, P.H.; Silva, R.; Ghosh, J.; Khaleva, O.Y.; Goode, K.; Rigby, A.S.; Alamgir, F.; Clark, A.L.; Cleland, J.G. Prognostic value of systolic mitral annular velocity measured with Doppler tissue imaging in patients with chronic heart failure caused by left ventricular systolic dysfunction. Heart 2006, 92, 775–779. [Google Scholar] [CrossRef]
- Biering-Sørensen, T.; Jensen, J.S.; Pedersen, S.; Galatius, S.; Hoffmann, S.; Jensen, M.T.; Mogelvang, R. Doppler tissue imaging is an independent predictor of outcome in patients with ST-segment elevation myocardial infarction treated with primary percutaneous coronary intervention. J. Am. Soc. Echocardiogr. 2014, 27, 258–267. [Google Scholar] [CrossRef]
- Novo, G.; Sutera, M.R.; Di Lisi, D.; Galifi, M.A.; Fata, B.; Giambanco, S.; Arvigo, L.; Triolo, O.F.; Evola, S.; Assennato, P.; et al. Assessment of no-reflow phenomenon by myocardial blush grade and pulsed wave tissue Doppler imaging in patients with acute coronary syndrome. J. Cardiovasc. Echogr. 2014, 24, 52–56. [Google Scholar] [CrossRef]
- Shenouda, R.B.; Bytyçi, I.; Sobhy, M.; Henein, M.Y. Reduced regional strain rate is the most accurate dysfunction in predicting culprit lesions in patients with acute coronary syndrome. Clin. Physiol. Funct. Imaging 2020, 40, 21–29. [Google Scholar] [CrossRef]
- Kong, B.; Hu, L.; Liu, Q.; Jiang, C.; Liu, Y.; Liu, A.; Wang, H.; Bai, B.; Liu, F.; Guo, L.; et al. Prognosis value of EAS index in patients with obstructive coronary artery disease. Quant. Imaging Med. Surg. 2023, 13, 5877–5886. [Google Scholar] [CrossRef]
- Correction to: 2023 Focused Update of the 2021 ESC Guidelines for the diagnosis and treatment of acute and chronic heart failure: Developed by the task force for the diagnosis and treatment of acute and chronic heart failure of the European Society of Cardiology (ESC) with the special contribution of the Heart Failure Association (HFA) of the ESC. Eur. Heart J. 2024, 45, 53, Erratum in Eur. Heart J. 2023, 44, 3627–3639.
- McDonagh, T.A.; Metra, M.; Adamo, M.; Gardner, R.S.; Baumbach, A.; Böhm, M.; Burri, H.; Butler, J.; Čelutkienė, J.; Chioncel, O.; et al. 2021 ESC Guidelines for the diagnosis and treatment of acute and chronic heart failure. Eur. Heart J. 2021, 42, 3599–3726, Erratum in Eur. Heart J. 2021, 42, 4901. [Google Scholar] [CrossRef] [PubMed]
- Mogelvang, R.; Biering-Sørensen, T.; Jensen, J.S. Tissue Doppler echocardiography predicts acute myocardial infarction, heart failure, and cardiovascular death in the general population. Eur. Heart J. Cardiovasc. Imaging 2015, 16, 1331–1337. [Google Scholar] [CrossRef] [PubMed]
- Husebye, T.; Eritsland, J.; Bjørnerheim, R.; Andersen, G.Ø. Systolic mitral annulus velocity is a sensitive index for changes in left ventricular systolic function during inotropic therapy in patients with acute heart failure. Eur. Heart J. Acute Cardiovasc. Care 2018, 7, 321–329. [Google Scholar] [CrossRef]
- Cabrera Schulmeyer, M.C.; Arriaza, N. Good prognostic value of the intraoperative tissue Doppler-derived index E/e’ after non-cardiac surgery. Minerva Anestesiol. 2012, 78, 1013–1018. [Google Scholar]
- Hameed, A.K.; Gosal, T.; Fang, T.; Ahmadie, R.; Lytwyn, M.; Barac, I.; Zieroth, S.; Hussain, F.; Jassal, D.S. Clinical utility of tissue Doppler imaging in patients with acute myocardial infarction complicated by cardiogenic shock. Cardiovasc. Ultrasound 2008, 6, 11. [Google Scholar] [CrossRef]
- Nagueh, S.F.; Smiseth, O.A.; Appleton, C.P.; Byrd, B.F., 3rd; Dokainish, H.; Edvardsen, T.; Flachskampf, F.A.; Gillebert, T.C.; Klein, A.L.; Lancellotti, P.; et al. Recommendations for the Evaluation of Left Ventricular Diastolic Function by Echocardiography: An Update from the American Society of Echocardiography and the European Association of Cardiovascular Imaging. Eur. Heart J. Cardiovasc. Imaging 2016, 17, 1321–1360. [Google Scholar] [CrossRef]
- Arques, S.; Roux, E.; Sbragia, P.; Pieri, B.; Gelisse, R.; Ambrosi, P.; Luccioni, R. Accuracy of tissue Doppler echocardiography in the diagnosis of new-onset congestive heart failure in patients with levels of B-type natriuretic peptide in the midrange and normal left ventricular ejection fraction. Echocardiography 2006, 23, 627–634. [Google Scholar] [CrossRef]
- Chopra, H.K.; Nanda, N.C.; Narula, J. Advances & Innovations in Heart Failure (AIHF): A Textbook of Cardiology; Jaypee Brothers Medical Publishers: Delhi, India, 2020; p. 995. [Google Scholar]
- Huang, C.H.; Tsai, M.S.; Hsieh, C.C.; Wang, T.D.; Chang, W.T.; Chen, W.J. Diagnostic accuracy of tissue Doppler echocardiography for patients with acute heart failure. Heart 2006, 92, 1790–1794. [Google Scholar] [CrossRef][Green Version]
- Picano, E.; Gargani, L.; Gheorghiade, M. Why, when, and how to assess pulmonary congestion in heart failure: Pathophysiological, clinical, and methodological implications. Heart Fail. Rev. 2010, 15, 63–72. [Google Scholar] [CrossRef] [PubMed]
- Ho, S.J.; Feng, A.N.; Lee, L.N.; Chen, J.W.; Lin, S.J. Predictive value of predischarge spectral tissue doppler echocardiography and n-terminal pro-B-type natriuretic peptide in patients hospitalized with acute heart failure. Echocardiography 2011, 28, 303–310. [Google Scholar] [CrossRef] [PubMed]
- Garry, D.; Newton, J.; Colebourn, C. Tissue Doppler indices of diastolic function in critically ill patients and association with mortality—A systematic review. J. Intensive Care Soc. 2016, 17, 51–62. [Google Scholar] [CrossRef]
- Wang, M.; Yip, G.W.; Wang, A.Y.; Zhang, Y.; Ho, P.Y.; Tse, M.K.; Lam, P.K.; Sanderson, J.E. Peak early diastolic mitral annulus velocity by tissue Doppler imaging adds independent and incremental prognostic value. J. Am. Coll. Cardiol. 2003, 41, 820–826. [Google Scholar] [CrossRef] [PubMed]
- Zanza, C.; Saglietti, F.; Tesauro, M.; Longhitano, Y.; Savioli, G.; Balzanelli, M.G.; Romenskaya, T.; Cofone, L.; Pindinello, I.; Racca, G.; et al. Cardiogenic Pulmonary Edema in Emergency Medicine. Adv. Respir. Med. 2023, 91, 445–463. [Google Scholar] [CrossRef]
- Connors, A.F., Jr.; Speroff, T.; Dawson, N.V.; Thomas, C.; Harrell, F.E., Jr.; Wagner, D.; Desbiens, N.; Goldman, L.; Wu, A.W.; Califf, R.M.; et al. The effectiveness of right heart catheterization in the initial care of critically ill patients. SUPPORT Investigators. JAMA 1996, 276, 889–897. [Google Scholar] [CrossRef]
- Rosenkranz, S.; Preston, I.R. Right heart catheterisation: Best practice and pitfalls in pulmonary hypertension. Eur. Respir. Rev. 2015, 24, 642–652. [Google Scholar] [CrossRef]
- Vassallo, M.; Bhakta, P. Echocardiography with tissue Doppler imaging may help in bedside differential diagnosis of pulmonary oedema in pregnancy: Case report. Anaesthesiol. Intensive Ther. 2022, 54, 91–93. [Google Scholar] [CrossRef]
- Vassallo, M.C.; Tartamella, F.; Bhakta, P.; Palazzolo, G. ARDS Cannot Be Accurately Differentiated From Cardiogenic Pulmonary Edema Without Systematic Tissue Doppler Echocardiography. Chest 2018, 154, 226–227. [Google Scholar] [CrossRef]
- Correale, M.; Totaro, A.; Ieva, R.; Ferraretti, A.; Musaico, F.; Di Biase, M. Tissue Doppler imaging in coronary artery diseases and heart failure. Curr. Cardiol. Rev. 2012, 8, 43–53. [Google Scholar] [CrossRef][Green Version]
- Park, Y.S.; Park, J.H.; Ahn, K.T.; Jang, W.I.; Park, H.S.; Kim, J.H.; Lee, J.H.; Choi, S.W.; Jeong, J.O.; Seong, I.W. Usefulness of mitral annular systolic velocity in the detection of left ventricular systolic dysfunction: Comparison with three dimensional echocardiographic data. J. Cardiovasc. Ultrasound 2010, 18, 1–5. [Google Scholar] [CrossRef][Green Version]
- McEvoy, J.W.; McCarthy, C.P.; Bruno, R.M.; Brouwers, S.; Canavan, M.D.; Ceconi, C.; Christodorescu, R.M.; Daskalopoulou, S.S.; Ferro, C.J.; Gerdts, E.; et al. 2024 ESC Guidelines for the management of elevated blood pressure and hypertension. Eur. Heart J. 2024, 45, 3912–4018, Erratum in Eur. Heart J. 2025, 46, 1300. [Google Scholar] [CrossRef] [PubMed]
- Garadah, T.; Kassab, S.; Gabani, S.; Abu-Taleb, A.; Abdelatif, A.; Asef, A.; Shoroqi, I.; Jamsheer, A. Pulsed and Tissue Doppler Echocardiographic Changes in Hypertensive Crisis with and without End Organ Damage. Open J. Cardiovasc. Surg. 2011, 4, 17–24. [Google Scholar] [CrossRef]
- Beesley, S.J.; Weber, G.; Sarge, T.; Nikravan, S.; Grissom, C.K.; Lanspa, M.J.; Shahul, S.; Brown, S.M. Septic Cardiomyopathy. Crit. Care Med. 2018, 46, 625–634. [Google Scholar] [CrossRef]
- L’Heureux, M.; Sternberg, M.; Brath, L.; Turlington, J.; Kashiouris, M.G. Sepsis-Induced Cardiomyopathy: A Comprehensive Review. Curr. Cardiol. Rep. 2020, 22, 35. [Google Scholar] [CrossRef]
- Martin, L.; Derwall, M.; Al Zoubi, S.; Zechendorf, E.; Reuter, D.A.; Thiemermann, C.; Schuerholz, T. The Septic Heart: Current Understanding of Molecular Mechanisms and Clinical Implications. Chest 2019, 155, 427–437. [Google Scholar] [CrossRef]
- Carbone, F.; Liberale, L.; Preda, A.; Schindler, T.H.; Montecucco, F. Septic Cardiomyopathy: From Pathophysiology to the Clinical Setting. Cells 2022, 11, 2833. [Google Scholar] [CrossRef] [PubMed]
- Sanfilippo, F.; Corredor, C.; Fletcher, N.; Landesberg, G.; Benedetto, U.; Foex, P.; Cecconi, M. Diastolic dysfunction and mortality in septic patients: A systematic review and meta-analysis. Intensive Care Med. 2015, 41, 1004–1013, Erratum in Intensive Care Med. 2015, 41, 1178–1179. [Google Scholar] [CrossRef] [PubMed]
- Orso, D.; Federici, N.; Lio, C.; Mearelli, F.; Bove, T. Hemodynamic goals in sepsis and septic shock resuscitation: An umbrella review of systematic reviews and meta-analyses with trial sequential analysis. Aust. Crit. Care 2024, 37, 818–826. [Google Scholar] [CrossRef]
- Zakynthinos, G.E.; Giamouzis, G.; Xanthopoulos, A.; Oikonomou, E.; Kalogeras, K.; Karavidas, N.; Dimeas, I.E.; Gialamas, I.; Gounaridi, M.I.; Siasos, G.; et al. Septic cardiomyopathy: Difficult definition, challenging diagnosis, unclear treatment. J. Clin. Med. 2025, 14, 986. [Google Scholar] [CrossRef]
- Trifi, A.; Abdellatif, S.; Mehdi, A.; Messaoud, L.; Seghir, E.; Mrad, N.; Ben Khelil, J.; Ben Ismail, K.; Merhaben, T.; Fradj, H.; et al. Early administration of norepinephrine in sepsis: Multicenter randomized clinical trial (EA-NE-S-TUN) study protocol. PLoS ONE 2024, 19, e0307407. [Google Scholar] [CrossRef]
- Michaud, G.F.; Stevenson, W.G. Atrial Fibrillation. N. Engl. J. Med. 2021, 384, 353–361. [Google Scholar] [CrossRef] [PubMed]
- Bassand, J.P.; Accetta, G.; Al Mahmeed, W.; Corbalan, R.; Eikelboom, J.; Fitzmaurice, D.A.; Fox, K.A.A.; Gao, H.; Goldhaber, S.Z.; Goto, S.; et al. Risk factors for death, stroke, and bleeding in 28,628 patients from the GARFIELD-AF registry: Rationale for comprehensive management of atrial fibrillation. PLoS ONE 2018, 13, e0191592. [Google Scholar] [CrossRef] [PubMed]
- Van Gelder, I.C.; Rienstra, M.; Bunting, K.V.; Casado-Arroyo, R.; Caso, V.; Crijns, H.J.G.M.; De Potter, T.J.R.; Dwight, J.; Guasti, L.; Hanke, T.; et al. 2024 ESC Guidelines for the management of atrial fibrillation developed in collaboration with the European Association for Cardio-Thoracic Surgery (EACTS). Eur. Heart J. 2024, 45, 3314–3414. [Google Scholar]
- Odutayo, A.; Wong, C.X.; Hsiao, A.J.; Hopewell, S.; Altman, D.G.; Emdin, C.A. Atrial fibrillation and risks of cardiovascular disease, renal disease, and death: Systematic review and meta-analysis. BMJ 2016, 354, i4482. [Google Scholar] [CrossRef] [PubMed]
- Ruddox, V.; Sandven, I.; Munkhaugen, J.; Skattebu, J.; Edvardsen, T.; Otterstad, J.E. Atrial fibrillation and the risk for myocardial infarction, all-cause mortality and heart failure: A systematic review and meta-analysis. Eur. J. Prev. Cardiol. 2017, 24, 1555–1566. [Google Scholar] [CrossRef]
- Bassand, J.P.; Accetta, G.; Camm, A.J.; Cools, F.; Fitzmaurice, D.A.; Fox, K.A.; Goldhaber, S.Z.; Goto, S.; Haas, S.; Hacke, W.; et al. Two-year outcomes of patients with newly diagnosed atrial fibrillation: Results from GARFIELD-AF. Eur. Heart J. 2016, 37, 2882–2889. [Google Scholar] [CrossRef]
- Müller, P.; Weijs, B.; Bemelmans, N.M.A.A.; Mügge, A.; Eckardt, L.; Crijns, H.J.G.M.; Bax, J.J.; Linz, D.; den Uijl, D.W. Echocardiography-derived total atrial conduction time (PA-TDI duration): Risk stratification and guidance in atrial fibrillation management. Clin. Res. Cardiol. 2021, 110, 1734–1742. [Google Scholar] [CrossRef]
- Orso, D.; Sabbadin, M.; Bacchetti, G.; Simeoni, G.; Bove, T. Correlation Between Tissue Doppler Imaging Method (E/e′) and Invasive Measurements of Left Ventricular Filling Pressures: A Systematic Review, Meta-Analysis, and Meta-Regression. J. Cardiothorac. Vasc. Anesth. 2024, 38, 3200–3214. [Google Scholar] [CrossRef]
- Robinson, S.; Ring, L.; Oxborough, D.; Harkness, A.; Bennett, S.; Rana, B.; Sutaria, N.; Lo Giudice, F.; Shun-Shin, M.; Paton, M.; et al. The assessment of left ventricular diastolic function: Guidance and recommendations from the British Society of Echocardiography. Echo Res. Pract. 2024, 11, 16. [Google Scholar] [CrossRef]
- Arques, S. Clinical Relevance of the Spectral Tissue Doppler E/e′ Ratio in the Management of Patients with Atrial Fibrillation: A Comprehensive Review of the Literature. J. Atr. Fibrillation 2018, 11, 2038. [Google Scholar] [CrossRef]
- Sieweke, J.T.; Hagemus, J.; Biber, S.; Berliner, D.; Grosse, G.M.; Schallhorn, S.; Pfeffer, T.J.; Derda, A.A.; Neuser, J.; Bauersachs, J.; et al. Echocardiographic parameters to predict atrial fibrillation in clinical routine—The EAHsy-AF risk score. Front. Cardiovasc. Med. 2022, 9, 851474. [Google Scholar] [CrossRef]
- Gupta, D.K.; Giugliano, R.P.; Ruff, C.T.; Claggett, B.; Murphy, S.; Antman, E.; Mercuri, M.F.; Braunwald, E.; Solomon, S.D.; Effective Anticoagulation with Factor Xa Next Generation in AF–Thrombolysis in Myocardial Infarction 48 (ENGAGE AF–IMI 48) Echocardiographic Study Investigators. The Prognostic Significance of Cardiac Structure and Function in Atrial Fibrillation: The ENGAGE AF-TIMI 48 Echocardiographic Substudy. J. Am. Soc. Echocardiogr. 2016, 29, 537–544. [Google Scholar] [CrossRef] [PubMed]
- Garcia-Sayan, E.; Patel, M.; Wassouf, M.; Pant, R.; D’Silva, O.; Kehoe, R.F.; Doukky, R. Derivation and validation of E/e’ ratio as a parameter in the evaluation of left atrial appendage thrombus formation in patients with nonvalvular atrial fibrillation. Int. J. Cardiovasc. Imaging 2016, 32, 1349–1356. [Google Scholar] [CrossRef] [PubMed]
- Kim, T.H.; Shim, C.Y.; Park, J.H.; Nam, C.M.; Uhm, J.S.; Joung, B.; Lee, M.H.; Pak, H.N. Left ventricular diastolic dysfunction is associated with atrial remodeling and risk or presence of stroke in patients with paroxysmal atrial fibrillation. J. Cardiol. 2016, 68, 104–109. [Google Scholar] [CrossRef] [PubMed]
- Hirai, T.; Cotseones, G.; Makki, N.; Agrawal, A.; Wilber, D.J.; Barron, J.T. Usefulness of left ventricular diastolic function to predict recurrence of atrial fibrillation in patients with preserved left ventricular systolic function. Am. J. Cardiol. 2014, 114, 65–69. [Google Scholar] [CrossRef]
- Fornengo, C.; Antolini, M.; Frea, S.; Gallo, C.; Grosso Marra, W.; Morello, M.; Gaita, F. Prediction of atrial fibrillation recurrence after cardioversion in patients with left-atrial dilation. Eur. Heart J. Cardiovasc. Imaging 2015, 16, 335–341. [Google Scholar] [CrossRef]
- Shin, H.W.; Kim, H.; Son, J.; Yoon, H.J.; Park, H.S.; Cho, Y.K.; Han, C.D.; Nam, C.W.; Hur, S.H.; Kim, Y.N.; et al. Tissue Doppler imaging as a prognostic marker for cardiovascular events in heart failure with preserved ejection fraction and atrial fibrillation. J. Am. Soc. Echocardiogr. 2010, 23, 755–761. [Google Scholar] [CrossRef]
- Konstantinides, S.V.; Meyer, G.; Becattini, C.; Bueno, H.; Geersing, G.J.; Harjola, V.P.; Huisman, M.V.; Humbert, M.; Jennings, C.S.; Jiménez, D.; et al. 2019 ESC Guidelines for the diagnosis and management of acute pulmonary embolism developed in collaboration with the European Respiratory Society (ERS): The Task Force for the diagnosis and management of acute pulmonary embolism of the European Society of Cardiology (ESC). Eur. Respir. J. 2019, 54, 1901647. [Google Scholar]
- Fields, J.M.; Davis, J.; Girson, L.; Au, A.; Potts, J.; Morgan, C.J.; Vetter, I.; Riesenberg, L.A. Transthoracic Echocardiography for Diagnosing Pulmonary Embolism: A Systematic Review and Meta-Analysis. J. Am. Soc. Echocardiogr. 2017, 30, 714–723.e4. [Google Scholar] [CrossRef]
- Oh, J.K.; Park, J.H. Authors’ reply to Letter to the Editor regarding ‘Role of echocardiography in acute pulmonary embolism’. Korean J. Intern. Med. 2023, 38, 568–569. [Google Scholar] [CrossRef] [PubMed]
- Gromadziński, L.; Targoński, R.; Pruszczyk, P. Assessment of right and left ventricular diastolic functions with tissue doppler echocardiography in congestive heart failure patients with coexisting acute pulmonary embolism. Adv. Clin. Exp. Med. 2014, 23, 371–376. [Google Scholar] [CrossRef]
- Dentali, F.; Bertolini, A.; Nicolini, E.; Donadini, M.; Gianni, M.; Squizzato, A.; Duka, E.; Venco, A.; Ageno, W. Evaluation of right ventricular function in patients with a previous episode of pulmonary embolism using tissue Doppler imaging. Intern. Emerg. Med. 2011, 8, 689–694. [Google Scholar] [CrossRef] [PubMed]
- Hameed, A.; Condliffe, R.; Swift, A.J.; Alabed, S.; Kiely, D.G.; Charalampopoulos, A. Assessment of Right Ventricular Function-a State of the Art. Curr. Heart Fail. Rep. 2023, 20, 194–207. [Google Scholar] [CrossRef] [PubMed]
- Rodrigues, A.C.; Cordovil, A.; Mônaco, C.G.; Guimarães, L.A.; Oliveira, W.A.; Fischer, C.H.; de Lira-Filho, E.B.; Vieira, M.L.; Morhy, S.S. Assessing prognosis of pulmonary embolism using tissue-Doppler echocardiography and brain natriuretic peptide. Einstein 2013, 11, 338–344. [Google Scholar] [CrossRef]
- Hsiao, S.H.; Chang, S.M.; Lee, C.Y.; Yang, S.H.; Lin, S.K.; Chiou, K.R. Usefulness of tissue Doppler parameters for identifying pulmonary embolism in patients with signs of pulmonary hypertension. Am. J. Cardiol. 2006, 98, 685–690. [Google Scholar] [CrossRef]
- Karia, D.H.; Xing, Y.Q.; Kuvin, J.T.; Nesser, H.J.; Pandian, N.G. Recent role of imaging in the diagnosis of pericardial disease. Curr. Cardiol. Rep. 2002, 4, 33–40. [Google Scholar] [CrossRef]
- Pinamonti, B.; Habjan, S.; De Luca, A.; Proclemer, A.; Morea, G.; Abate, E.; Vitrella, G.; Sinagra, G. Inquadramento e gestione della pericardite costrittiva: Revisione critica [Work-up and management of constrictive pericarditis: A critical review. G. Ital. Di Cardiologia 2016, 17, 197–207. (In Italian) [Google Scholar]
- Sengupta, P.P.; Mohan, J.C.; Mehta, V.; Arora, R.; Pandian, N.G.; Khandheria, B.K. Accuracy and pitfalls of early diastolic motion of the mitral annulus for diagnosing constrictive pericarditis by tissue Doppler imaging. Am. J. Cardiol. 2004, 93, 886–890. [Google Scholar] [CrossRef]
- Reuss, C.S.; Wilansky, S.M.; Lester, S.J.; Lusk, J.L.; Grill, D.E.; Oh, J.K.; Tajik, A.J. Using mitral ‘annulus reversus’ to diagnose constrictive pericarditis. Eur. J. Echocardiogr. 2009, 10, 372–375. [Google Scholar] [CrossRef]
- Choi, J.H.; Choi, J.O.; Ryu, D.R.; Lee, S.C.; Park, S.W.; Choe, Y.H.; Oh, J.K. Mitral and tricuspid annular velocities in constrictive pericarditis and restrictive cardiomyopathy: Correlation with pericardial thickness on computed tomography. JACC Cardiovasc. Imaging 2011, 4, 567–575. [Google Scholar] [CrossRef] [PubMed]
- Ha, J.W.; Oh, J.K.; Ling, L.H.; Nishimura, R.A.; Seward, J.B.; Tajik, A.J. Annulus paradoxus: Transmitral flow velocity to mitral annular velocity ratio is inversely proportional to pulmonary capillary wedge pressure in patients with constrictive pericarditis. Circulation 2001, 104, 976–978. [Google Scholar] [CrossRef] [PubMed]
- Hancock, E.W. Differential diagnosis of restrictive cardiomyopathy and constrictive pericarditis. Heart 2001, 86, 343–349. [Google Scholar] [CrossRef]
- Boles, J.M.; Bion, J.; Connors, A.; Herridge, M.; Marsh, B.; Melot, C.; Pearl, R.; Silverman, H.; Stanchina, M.; Vieillard-Baron, A.; et al. Weaning from mechanical ventilation. Eur. Respir. J. 2007, 29, 1033–1056. [Google Scholar] [CrossRef] [PubMed]
- Trudzinski, F.C.; Neetz, B.; Bornitz, F.; Müller, M.; Weis, A.; Kronsteiner, D.; Herth, F.J.F.; Sturm, N.; Gassmann, V.; Frerk, T.; et al. Risk Factors for Prolonged Mechanical Ventilation and Weaning Failure: A Systematic Review. Respiration 2022, 101, 959–969. [Google Scholar] [CrossRef]
- Pham, T.; Heunks, L.; Bellani, G.; Madotto, F.; Aragao, I.; Beduneau, G.; Goligher, E.C.; Grasselli, G.; Laake, J.H.; Mancebo, J.; et al. Weaning from mechanical ventilation in intensive care units across 50 countries (WEAN SAFE): A multicentre, prospective, observational cohort study. Lancet Respir. Med. 2023, 11, 465–476, Erratum in Lancet Respir. Med. 2023, 11, e25. [Google Scholar] [CrossRef]
- Pinsky, M.R. Cardiopulmonary Interactions: Physiologic Basis and Clinical Applications. Ann. Am. Thorac. Soc. 2018, 15 (Suppl. S1), S45–S48. [Google Scholar] [CrossRef]
- Papanikolaou, J.; Makris, D.; Saranteas, T.; Karakitsos, D.; Zintzaras, E.; Karabinis, A.; Kostopanagiotou, G.; Zakynthinos, E. New insights into weaning from mechanical ventilation: Left ventricular diastolic dysfunction is a key player. Intensive Care Med. 2011, 37, 1976–1985. [Google Scholar] [CrossRef]
- Sanfilippo, F.; Di Falco, D.; Noto, A.; Santonocito, C.; Morelli, A.; Bignami, E.; Scolletta, S.; Vieillard-Baron, A.; Astuto, M. Association of weaning failure from mechanical ventilation with transthoracic echocardiography parameters: A systematic review and meta-analysis. Br. J. Anaesth. 2021, 126, 319–330. [Google Scholar] [CrossRef]
- Zambon, M.; Greco, M.; Bocchino, S.; Cabrini, L.; Beccaria, P.F.; Zangrillo, A. Assessment of diaphragmatic dysfunction in the critically ill patient with ultrasound: A systematic review. Intensive Care Med. 2017, 43, 29–38. [Google Scholar] [CrossRef]
- Poddighe, D.; van Hollebeke, M.; Choudhary, Y.Q.; Campos, D.R.; Schaeffer, M.R.; Verbakel, J.Y.; Hermans, G.; Gosselink, R.; Langer, D. Accuracy of respiratory muscle assessments to predict weaning outcomes: A systematic review and comparative meta-analysis. Crit. Care 2024, 28, 70. [Google Scholar] [CrossRef] [PubMed]
- Soilemezi, E.; Savvidou, S.; Sotiriou, P.; Smyrniotis, D.; Tsagourias, M.; Matamis, D. Tissue doppler imaging of the diaphragm in healthy subjects and critically ill patients. Am. J. Respir. Crit. Care Med. 2020, 202, 1005–1012. [Google Scholar] [CrossRef] [PubMed]
- Terol Espinosa de Los Monteros, C.; van der Palen, R.L.F.; van den Eynde, J.; Rammeloo, L.; Hazekamp, M.G.; Blom, N.A.; Kuipers, I.M.; ten Harkel, A.D.J. Using machine learning analysis to describe patterns in tissue doppler and speckle tracking echocardiography in patients with transposition of the great arteries after arterial switch operation. Int. J. Cardiol. Congenit. Heart Dis. 2024, 19, 100560. [Google Scholar] [CrossRef]
- Lane, E.S.; Jevsikov, J.; Shun-Shin, M.J.; Dhutia, N.; Matoorian, N.; Cole, G.D.; Francis, D.P.; Zolgharni, M. Automated multi-beat tissue doppler echocardiography analysis using deep neural networks. Med. Biol. Eng. Comput. 2023, 61, 911–926. [Google Scholar] [CrossRef] [PubMed]
- Kuppahally, S.S.; Fowler, M.B.; Vagelos, R.; Wang, P.; Al-Ahmad, A.; Hsia, H.; Liang, D. Dyssynchrony assessment with tissue doppler imaging and regional volumetric analysis by 3D echocardiography do not predict long-term response to cardiac resynchronization therapy. Cardiol. Res. Pract. 2010, 2011, 568918. [Google Scholar] [CrossRef]
- Vieira, M.L.; Cury, A.F.; Naccarato, G.; Oliveira, W.A.; Mônaco, C.G.; Rodrigues, A.C.; Cordovil, A.; Tavares, G.M.; Lira Filho, E.B.; Pfeferman, A.; et al. Analysis of left ventricular regional dyssynchrony: Comparison between real time 3D echocardiography and tissue doppler imaging. Echocardiography 2009, 26, 675–683. [Google Scholar] [CrossRef]
- Mada, R.O.; Duchenne, J.; Voigt, J.U. Tissue doppler, strain and strain rate in ischemic heart disease “how I do it”. Cardiovasc. Ultrasound 2014, 12, 38. [Google Scholar] [CrossRef][Green Version]
- Edvardsen, T.; Gerber, B.L.; Garot, J.; Bluemke, D.A.; Lima, J.A.; Smiseth, O.A. Quantitative assessment of intrinsic regional myocardial deformation by doppler strain rate echocardiography in humans: Validation against three-dimensional tagged magnetic resonance imaging. Circulation 2002, 106, 50–56. [Google Scholar] [CrossRef]
- Vermeiren, G.L.; Malbrain, M.L.; Walpot, J.M. Cardiac ultrasonography in the critical care setting: A practical approach to assess cardiac function and preload for the “non-cardiologist”. Anaesthesiol. Intensive Ther. 2015, 47, s89–s104. [Google Scholar] [CrossRef]



| Advantages | Limitations |
|---|---|
|
|
| Clinical Condition | Clinical Impact | Performance | Cutoff Value | LOE |
|---|---|---|---|---|
| Acute coronary syndrome | Diagnosis of systolic and diastolic dysfunction | Early identification of acute ischemia (sensitivity 75–90%; specificity 80–90%) | Reduction of S’ > 30% from basal value E’ < 6 cm/s A’ > 10 cm/s | Level 4 |
| Prognosis | Reduction of S’ correlates with increased overall mortality (HR 1.5–2) | S’ < 5 cm/s | Level 4 | |
| Acute heart failure | Diagnostic of systolic or diastolic dysfunction. | S’ correlate with LVEF < 50% with sensibility of 94% and specificity of 87%. |
| Level 4 |
| Diagnosis of acute heart failure. |
|
| Level 4 | |
| Prognosis | High risk of cardiac death after 2 years | S’ < 3 cm/s E’ < 3 cm/s A’ < 4 cm/s E/E’ > 20 | Level 4 | |
| Cardiogenic pulmonary edema | In patients with pulmonary edema, the E/E’ ratio is useful for the diagnosis of cardiogenic edema vs. ARDS | ND | E/E’ > 15 | Level 6 |
| Hypertensive crisis | In patients with hypertensive crisis, the E/E’ ratio is significantly higher in patients with hypertensive emergency compared to hypertensive urgency. | Urgency group vs. emergency group: 12.56 vs. 15.12 (p = 0.021) | >15 | Level 4 |
| Septic cardiomyopathy | Diastolic dysfunction is directly correlated with a higher mortality in sepsis | OR = 1.42 (95%CI: 1.14–1.76) | ND | Level 1 |
| Acute pulmonary embolism | In patients presenting with PE S’ is a marker of RV systolic function. MPI and M index are useful for diagnosis. |
| S’ < 9.5 cm/s MPI > 0.55 M index < 112 | Level 4 |
| Atrial fibrillation | E/E’ ratio helps stratify the risk of AF recurrence, morbidity, and mortality | Recurrence: OR = 3.70, (95%95: 1.21–11.3); OR = 3.25 (95%CI: 1.19–8.86) Morbidity: OR = 1.64 (95%CI: 1.05–2.55); AUC = 0.83 (95%CI: 0.75–0.91) Mortality: HR = 1.32 (95% CI: 1.08–1.61) | Recurrence: E/E’ > 13/≥11 Morbidity: >15 Mortality: >13 | Level 4 (Morbidity) Level 3 (Mortality) |
| Constrictive pericarditis | Diagnosis | Annulus reversus has a sensitivity of 70–90% and a specificity of 80–90% in diagnosing constrictive pericarditis. | Lateral E’ < Medial E’ (annulus reversus) Low E/E’ ratio despite high ventricular filling pressure (annulus paradoxus) E’ > 8 cm/s (differentiate from restrictive cardiomyopathy) | Level 4 |
| Weaning from invasive mechanical ventilation | Weaning failure becomes more likely when the E/E’ ratio is high. | SMD = 1.70 (95%CI: 0.78–2.62) | ND | Level 1 |
Disclaimer/Publisher’s Note: The statements, opinions and data contained in all publications are solely those of the individual author(s) and contributor(s) and not of MDPI and/or the editor(s). MDPI and/or the editor(s) disclaim responsibility for any injury to people or property resulting from any ideas, methods, instructions or products referred to in the content. |
© 2025 by the authors. Published by MDPI on behalf of the Lithuanian University of Health Sciences. Licensee MDPI, Basel, Switzerland. This article is an open access article distributed under the terms and conditions of the Creative Commons Attribution (CC BY) license (https://creativecommons.org/licenses/by/4.0/).
Share and Cite
Sisto, U.G.; Orso, D.; Maione, D.; Venturelli, F.; De Luca, A. Tissue Doppler Imaging in Acute and Critical Care: Enhancing Diagnostic Precision. Medicina 2025, 61, 1051. https://doi.org/10.3390/medicina61061051
Sisto UG, Orso D, Maione D, Venturelli F, De Luca A. Tissue Doppler Imaging in Acute and Critical Care: Enhancing Diagnostic Precision. Medicina. 2025; 61(6):1051. https://doi.org/10.3390/medicina61061051
Chicago/Turabian StyleSisto, Ugo Giulio, Daniele Orso, Davide Maione, Francesco Venturelli, and Antonio De Luca. 2025. "Tissue Doppler Imaging in Acute and Critical Care: Enhancing Diagnostic Precision" Medicina 61, no. 6: 1051. https://doi.org/10.3390/medicina61061051
APA StyleSisto, U. G., Orso, D., Maione, D., Venturelli, F., & De Luca, A. (2025). Tissue Doppler Imaging in Acute and Critical Care: Enhancing Diagnostic Precision. Medicina, 61(6), 1051. https://doi.org/10.3390/medicina61061051

