Parathyroid Involvement by Thyroid Carcinoma: Results from a Single Institution and a Review of the Literature
Abstract
1. Introduction
2. Materials and Methods
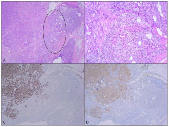
3. Results
4. Discussion
4.1. The Rarity of Parathyroid Gland Involvement in Thyroid Carcinoma
4.2. Diagnostic Challenges and the Potential Underestimation of Parathyroid Invasion
4.3. Clinical and Prognostic Significance of Parathyroid Invasion
4.4. Potential Role of Radioactive Iodine Therapy for Parathyroid Involvement
5. Conclusions
Funding
Institutional Review Board Statement
Informed Consent Statement
Data Availability Statement
Acknowledgments
Conflicts of Interest
References
- Bhargava, A.; Mahakalkar, C.; Kshirsagar, S.; Bothara, S.; Bhawani, J. A Case Report of a Metastatic Papillary Carcinoma of the Thyroid. Cureus 2024, 16, e55627. [Google Scholar] [CrossRef] [PubMed]
- Chrisoulidou, A.; Mandanas, S.; Mitsakis, P.; Iliadou, P.K.; Manafis, K.; Flaris, N.; Boudina, M.; Mathiopoulou, L.; Pazaitou-Panayiotou, K. Parathyroid involvement in thyroid cancer: An unforeseen event. World J. Surg. Oncol. 2012, 10, 121. [Google Scholar] [CrossRef] [PubMed]
- Tang, W.; Kakudo, K.; Nakamura, M.Y.; Nakamura, M.; Mori, I.; Morita, S.; Miyauchi, A. Parathyroid gland involvement by papillary carcinoma of the thyroid gland. Arch. Pathol. Lab. Med. 2002, 126, 1511–1514. [Google Scholar] [CrossRef] [PubMed]
- Ito, Y.; Kakudo, K.; Hirokawa, M.; Fukushima, M.; Tomoda, C.; Inoue, H.; Kihara, M.; Higashiyama, T.; Uruno, T.; Takamura, Y.; et al. Clinical significance of extrathyroid extension to the parathyroid gland of papillary thyroid carcinoma. Endocr. J. 2009, 56, 251–255. [Google Scholar] [CrossRef] [PubMed]
- Stephen, E.; Carolyn, C. The American Joint Committee on Cancer: The 7th Edition of the AJCC Cancer Staging Manual and the Future of TNM. Ann. Surg. Oncol. 2010, 17, 1471–1474. [Google Scholar]
- Papi, G.; Corrado, S.; Fadda, G.; Maiorana, A.; Maccio, L.; Corsello, S.M.; Pontecorvi, A. Parathyroid gland involvement by thyroid cancer: Results from a large series of thyroidectomies performed in two italian university hospitals and review of the literature. J. Thyroid. Res. 2014, 2014, 685425. [Google Scholar] [CrossRef] [PubMed]
- Kakudo, K.; Tang, W.; Ito, Y.; Nakamura, Y.; Yasuoka, H.; Morita, S.; Miyauchi, A. Parathyroid invasion, nodal recurrence, and lung metastasis by papillary carcinoma of the thyroid. J. Clin. Pathol. 2004, 57, 245–249. [Google Scholar] [CrossRef] [PubMed]
- Khalid Hussain, A.-Q.; Mushabbab, A.A.; Mutahir, A.T.; Naji, J.A.; Yasser, B.; Khalid, R. Involvement of Parathyroid Glands by Differentiated Thyroid Cancers and its Influence on Treatment Outcome. J. Thyroid. Disord. Ther. 2014, 3, 2. [Google Scholar]
- Cooper, D.S.; Doherty, G.M.; Haugen, B.R.; Kloos, R.T.; Lee, S.L.; Mandel, S.J.; Mazzaferri, E.L.; McIver, B.; Pacini, F.; Schlumberger, M.; et al. Revised American Thyroid Association management guidelines for patients with thyroid nodules and differentiated thyroid cancer. Thyroid 2009, 19, 1167–1214. [Google Scholar] [CrossRef] [PubMed]
- Haugen, B.R.; Alexander, E.K.; Bible, K.C.; Doherty, G.M.; Mandel, S.J.; Nikiforov, Y.E.; Pacini, F.; Randolph, G.W.; Sawka, A.M.; Schlumberger, M.; et al. 2015 American Thyroid Association Management Guidelines for Adult Patients with Thyroid Nodules and Differentiated Thyroid Cancer: The American Thyroid Association Guidelines Task Force on Thyroid Nodules and Differentiated Thyroid Cancer. Thyroid 2016, 26, 1–133. [Google Scholar] [CrossRef] [PubMed]

| Age | Sex | Histologic Type | Tumor Size | T Stage | AJCC Stage | ETE Other than PTG | LN Metastases | Pattern of PTG Metastasis | |
|---|---|---|---|---|---|---|---|---|---|
| 1 | 46 | F | Classic PTC | 0.7 × 0.7 cm | pT1a | I | x | x | Pattern A |
| 2 | 48 | F | Classic PTC | 0.7 × 0.6 cm | pT1a | I | 0 | x | Pattern A |
| 3 | 46 | M | Classic PTC | 0.7 × 0.5 cm | pT1a | I | 0 | x | Pattern A |
| 4 | 29 | F | Classic PTC | 2.2 × 1.7 cm | pT2 | I | 0 | +(8/44) | Pattern A |
| 5 | 77 | F | Classic PTC | 1.5 × 1.2 cm | pT3b | II | 0 | +(10/22) | Pattern A |
| 6 | 60 | F | Classic PTC | 3.4 × 6.4 cm | pT3a | II | 0 | x | Pattern A |
| 7 | 25 | F | Classic PTC | 0.9 × 0.8 cm | pT1a | I | 0 | +(3/5) | Pattern A |
| 8 | 40 | F | Classic PTC | 0.5 × 0.5 cm | pT1a | I | 0 | x | Pattern A |
| 9 | 58 | F | Classic PTC | 0.8 × 0.7 cm | pT1a | II | 0 | x | Pattern A |
| 10 | 30 | F | Classic PTC | 2.4 × 2.8 | pT2 | I | o | +(3/3) | II |
| Ref | Journal | Author | Year | N(%) | Mean Age | M/F Ratio | Stage | Type of TC | ETE | Distant Metastases | LN Metastases | PTG Invasion Pattern | Recurrence |
|---|---|---|---|---|---|---|---|---|---|---|---|---|---|
| [3] | Arch. Pathol. Lab. Med. | Tang et al. | 2002 | 20 (2.2%) | 52 | 6: 14 | not reported | PTC-20 | 10 | 1 | 17 | 15: Pattern A 3: Pattern B 2: Pattern C | NR |
| [7] | J. Clin. Pathol. | Kakudo et al. | 2004 | 14 (3.9%) | 60.4 | 4: 10 | I/II-2, III/IV-12 | PTC-14 | 13 | 2 lung (2) | 13 | 10: Pattern A 3: Pattern B 1: Pattern C | 2 |
| [4] | Endocr. J. | Ito et al. | 2009 | 51 (1.6%) | NR | NR | pT3-30 pT4-21 | Not reported | 29 | NR | NR | NR | 1 |
| [2] | World J. Surg. Oncol. | Chrisoplidou et al. | 2012 | 10 (0.5%) | 52.2 | 2: 8 | I-2, II-1, III-5, IV-2 | PTC-5, FVC-2 ATC-1 | 5 | 2 lung (1) Lung and brain (1) | 5 | 9: Pattern A + B 1: Pattern C | NR |
| [6] | J. Thyroid. Res. | Papi et al. | 2014 | 10 (0.05%) | 55 | 3: 7 | I-2, III-8 | PTC-6, FVC-3 tall cell-1 | 6 | 0 | 3 | 6: Pattern A 2: Pattern A + B 1: Pattern B | 0 |
| [8] | J. Thyroid. Disorders. & Ther. | Al-Qahtani et al. | 2014 | 16 (1.9%) | 57.5 | 4: 12 | pT2-2 pT3-6 pT4-8 | PTC-15 FVC-1 | 13 | 5 lung (4) Bone (1) | 14 | 14: PatternA 2: Pattern C | NR |
| Pre-sent | 10 (9.7%) | 46 | 1: 9 | I-7, II-3 | PTC-10 | 9 | 0 | 4 | 10: Pattern A |
Disclaimer/Publisher’s Note: The statements, opinions and data contained in all publications are solely those of the individual author(s) and contributor(s) and not of MDPI and/or the editor(s). MDPI and/or the editor(s) disclaim responsibility for any injury to people or property resulting from any ideas, methods, instructions or products referred to in the content. |
© 2025 by the author. Published by MDPI on behalf of the Lithuanian University of Health Sciences. Licensee MDPI, Basel, Switzerland. This article is an open access article distributed under the terms and conditions of the Creative Commons Attribution (CC BY) license (https://creativecommons.org/licenses/by/4.0/).
Share and Cite
Hong, R. Parathyroid Involvement by Thyroid Carcinoma: Results from a Single Institution and a Review of the Literature. Medicina 2025, 61, 836. https://doi.org/10.3390/medicina61050836
Hong R. Parathyroid Involvement by Thyroid Carcinoma: Results from a Single Institution and a Review of the Literature. Medicina. 2025; 61(5):836. https://doi.org/10.3390/medicina61050836
Chicago/Turabian StyleHong, Ran. 2025. "Parathyroid Involvement by Thyroid Carcinoma: Results from a Single Institution and a Review of the Literature" Medicina 61, no. 5: 836. https://doi.org/10.3390/medicina61050836
APA StyleHong, R. (2025). Parathyroid Involvement by Thyroid Carcinoma: Results from a Single Institution and a Review of the Literature. Medicina, 61(5), 836. https://doi.org/10.3390/medicina61050836

