Next Article in Journal
Non-Invasive Monitoring of Intracranial Pressure Pulse Waves from Closed Eyelids in Patients with Normal-Tension Glaucoma
Previous Article in Journal
Bariatric Surgery Has a Long-Term Beneficial Impact on Urinary Incontinence in Women with Obesity
Previous Article in Special Issue
Unmasking Pulmonary Parenchymal Changes in Psoriasis Patients: A Radiological Perspective
 
 
Due to scheduled maintenance work on our servers, there may be short service disruptions on this website between 11:00 and 12:00 CEST on March 28th.
Font Type:
Arial Georgia Verdana
Font Size:
Aa Aa Aa
Line Spacing:
Column Width:
Background:
Article

Cutaneous Changes Beyond Psoriasis: The Impact of Biologic Therapies on Angiomas and Solar Lentigines

by
Florin Ciprian Bujoreanu
1,2,3,
Diana Sabina Radaschin
1,2,3,†,
Ana Fulga
2,†,
Laura Bujoreanu Bezman
2,3,*,
Carmen Tiutiuca
2,*,
Mihaela Crăescu
2,3,
Carmen Pantiș
4,
Elena Niculet
2,3,
Alina Pleșea Condratovici
2 and
Alin Laurențiu Tatu
1,2,3
1
Department of Dermatology, “Saint Parascheva” Infectious Disease Clinical Hospital, 800179 Galati, Romania
2
Faculty of Medicine and Pharmacy, “Dunarea de Jos” University of Galati, 800385 Galati, Romania
3
Multidisciplinary Integrated Centre of Dermatological Interface Research (MICDIR), “Dunarea de Jos” University of Galati, 800385 Galati, Romania
4
Department of Surgical Disciplines, Faculty of Medicine and Pharmacy, University of Oradea, 1 University Street, 410087 Oradea, Romania
*
Authors to whom correspondence should be addressed.
These authors contributed equally to this work.
Medicina 2025, 61(4), 565; https://doi.org/10.3390/medicina61040565
Submission received: 21 February 2025 / Revised: 13 March 2025 / Accepted: 19 March 2025 / Published: 22 March 2025
(This article belongs to the Special Issue Psoriasis: Pathogenesis and Therapy)

Abstract

Background and Objectives: Psoriasis is a chronic inflammatory skin disease, and biologic therapies have revolutionized treatment by targeting key cytokine pathways. While these therapies effectively control psoriatic lesions, their impact on other cutaneous structures, such as cherry angiomas and solar lentigines, remains unclear. Angiomas are benign vascular proliferations influenced by systemic inflammation and hormonal factors, whereas solar lentigines are UV-induced pigmentary lesions associated with aging and sun exposure. This study aimed to assess the impact of biologic therapies on the development of these lesions in psoriasis patients. Materials and Methods: This retrospective observational study was conducted over a five-year period (2019–2024) at a tertiary dermatological center in Southeastern Europe. Clinical and demographic data, including treatment history, were extracted from medical records, while digital dermoscopy was used to assess lesion progression. Statistical analyses evaluated associations among biologic therapy classes, systemic inflammation, and cutaneous lesion development. Results: Angioma prevalence was significantly higher among postmenopausal women and those with osteoporosis, suggesting a hormonal influence on vascular proliferation. Patients with psoriatic arthritis had a greater angioma burden, reinforcing the role of chronic inflammation in angiogenesis. IL-23 inhibitors were linked to increased angioma formation compared to TNF-α inhibitors, while methotrexate and UVB therapy appeared to have a protective effect. Solar lentigines were more frequent in postmenopausal women and in patients with systemic inflammatory conditions. In contrast, smoking and moderate alcohol consumption were associated with lower lesion counts. Conclusions: Our findings suggest that biologic therapies, particularly IL-23 inhibitors, may contribute to angiogenesis and pigmentary changes in psoriasis patients, highlighting the influence of systemic inflammation on vascular and melanocytic activity. Additionally, TNF-α inhibitors and NSAIDs were associated with an increased prevalence of solar lentigines, while methotrexate and UVB therapy appeared to have a protective effect. Given these associations, further research is needed to elucidate the underlying mechanisms and refine treatment strategies to optimize dermatologic care for psoriasis patients.

1. Introduction

Plaque psoriasis, or psoriasis vulgaris, is the most prevalent form of psoriasis, affecting approximately 80–90% of individuals diagnosed with the condition. This chronic inflammatory cutaneous disease manifests clinically as erythematous plaques covered with silvery scales, primarily impacting the skin and joints, and is associated with various comorbidities [1]. The management of plaque psoriasis has evolved significantly with the advent of systemic treatments and biologic therapies, reflecting a deeper understanding of the disease’s pathophysiology [2]. The clinical assessment of plaque psoriasis severity often utilizes the Psoriasis Area and Severity Index (PASI) score, which evaluates parameters such as erythema, induration, and desquamation, along with the percentage of body surface area affected.
Psoriasis is a chronic inflammatory skin condition that significantly impacts the quality of life (QoL) of affected individuals. The Dermatology Life Quality Index (DLQI) is commonly utilized to assess the extent of this impact, revealing that a substantial proportion of patients experience moderate to severe impairment in various aspects of their lives, including emotional, social, and occupational components. A study conducted in China indicated that over 84% of psoriasis patients reported varying degrees of QoL impairment, which was closely associated with disease severity and the psychological burden arising from the condition, such as anxiety and depression [3].
The psychosocial implications of psoriasis are profound, as the disease is often accompanied by stigma and social isolation, which further exacerbate the emotional toll on patients [4]. Moreover, the visibility of psoriatic lesions, particularly in areas such as the face and hands, can lead to increased self-consciousness and social withdrawal, compounding the negative effects on mental health.
Systemic treatments for plaque psoriasis encompass a range of therapeutic options, including traditional immunosuppressants like methotrexate and cyclosporine, as well as novel biologic therapies that target specific immune pathways [5].
Methotrexate (MTX) is a well-established systemic therapy for psoriasis vulgaris, widely used for its ability to target both keratinocyte hyperproliferation and the chronic inflammatory processes underlying the disease. Given its cost-effectiveness and well-documented clinical benefits, methotrexate remains an important first-line option in the systemic management of psoriasis [6]. Despite its therapeutic benefits, the use of methotrexate is not without risks. The drug is associated with hepatotoxicity and immunosuppressive effects, which necessitate careful monitoring and management [7]. Methotrexate’s immunosuppressive effects may increase susceptibility to opportunistic infections, particularly with long-term use. This risk necessitates careful evaluation of its therapeutic benefits alongside potential adverse effects when considering methotrexate for psoriasis management [8].
Biologic therapies have revolutionized the treatment of moderate to severe plaque psoriasis, offering long-term disease control and improving patients’ quality of life. These therapies, which target specific pathways involved in the pathogenesis of psoriasis, have been shown to achieve substantial improvements in skin clearance, with many patients reaching PASI 90 or even complete skin clearance (PASI 100) [9].
Biologics, such as tumor necrosis factor (TNF) inhibitors and interleukin (IL) inhibitors, have revolutionized the management of plaque psoriasis by providing a targeted therapeutic approach that addresses the underlying immunological dysfunction. The introduction of biologic therapies has not only improved psoriasis treatment but has also had a profound impact on patients’ daily lives and overall well-being. Biologic therapies targeting TNF-α, IL-17, and IL-23 effectively control psoriasis by reducing chronic inflammation and improving skin clearance. In addition to alleviating physical symptoms, they contribute to an enhanced quality of life by restoring patient confidence, increasing energy levels, and supporting overall well-being and daily functioning [10].
Solar lentigos are benign hyperpigmented lesions that develop primarily in areas chronically exposed to ultraviolet (UV) radiation. These lesions appear as small, flat, brown macules, most commonly affecting elderly adults, as they reflect cumulative sun exposure and photodamage over time [11]. Although solar lentigos most frequently occur on the dorsal hands, they are also commonly found on the face, back, shoulders, arms, and feet, particularly in individuals with lighter skin types who have experienced prolonged sun exposure. Their appearance is often uniform in color with well-defined borders, distinguishing them from other pigmentary disorders such as melasma or ephelides [12]. However, differentiating solar lentigos from premalignant or malignant lesions, such as lentigo maligna, remains essential, particularly in individuals with significant sun exposure or a history of skin cancer [11].
Their pathogenesis is largely driven by prolonged UV exposure, which stimulates melanocyte proliferation and melanin overproduction, leading to persistent pigmentation. In addition to UV radiation, factors such as chronic inflammation and oxidative stress play a role in melanocyte activation, influencing pigmentary alterations associated with aging and photoaging. Histologically, solar lentigos exhibit epidermal hyperplasia, increased melanin deposition in basal keratinocytes, and an expanded rete ridge pattern, which distinguishes them from other hyperpigmented lesions. The role of dermal fibroblasts in lentigo formation has also been increasingly recognized, as these cells contribute to melanocyte regulation through paracrine signaling, further influencing pigmentation changes over time [13].
Several treatment modalities are available for solar lentigos, particularly for individuals seeking cosmetic improvement. Among these, laser-based therapies are widely used due to their ability to target melanin selectively. Various lasers emitting specific wavelengths have been shown to effectively lighten solar lentigos by breaking down excess pigment, allowing the body’s immune system to clear the pigmented cells [14].
Despite the availability of effective treatments, prevention remains the most effective strategy for managing solar lentigos. The consistent use of broad-spectrum sunscreens, protective clothing, and UV avoidance measures significantly reduces their development and progression. Given their strong association with chronic sun exposure, solar lentigos serve as biological markers of cumulative photodamage, reinforcing the importance of photoprotection in skin aging and skin cancer prevention [11].
Angiomas are common benign vascular lesions characterized by small red or purple papules formed by dilated capillaries. These lesions are particularly frequent in adults and can increase in number with age, hormonal changes, and certain medical conditions [15]. These benign tumors are characterized by an abnormal proliferation of blood vessels and can manifest in various forms, including cherry angiomas, cavernous angiomas, and lymphangiomas, and are often classified based on their location and histological features [16]. Cherry angiomas, also known as senile angiomas, are small, red lesions commonly found on the skin, particularly in older adults, while cavernous angiomas, also known as cavernous hemangiomas, are more complex vascular malformations that can occur in the central nervous system [15]. They are typically harmless and do not require treatment unless they become bothersome or are cosmetically undesirable [17]. The prevalence of cherry angiomas increases with age, and they are thought to be associated with genetic factors and environmental influences [18]. Recent studies have also explored the genetic and environmental factors associated with the development of angiomas. For instance, cherry angiomas have been linked to genetic mutations and may serve as markers for skin damage in certain populations [19]. Furthermore, the prevalence of angiomas can vary with age and gender, with men often exhibiting a higher incidence of senile angiomas compared to women [20].
While biologic therapies have significantly improved psoriasis management, their broader impact on other skin structures remains unclear. Clinical observations suggest a possible link between these treatments and secondary skin changes, such as angiomas and solar lentigos, yet this area has not been systematically explored. Given the chronic inflammatory nature of psoriasis and the immune-modulating effects of biologic therapies, it is possible that these factors could contribute to vascular and pigmentary alterations. This study aims to investigate these potential associations, and by addressing this gap, we hope to contribute to a better understanding of how biologic therapies may affect the skin beyond psoriatic lesions, while also emphasizing the need for further research in this area.

2. Materials and Methods

Design: The current study was conducted as a retrospective observational study, which was carried out in the Dermatology Department of ”Sf. Parascheva” Clinical Infectious Diseases Hospital in Galati, Romania. It included 60 patients with moderate to severe forms of psoriasis vulgaris who were undergoing biological therapies over a 5-year period (2019–2024).
Clinical, demographic, and treatment-related data were extracted from medical records, while the photographing and documentation of cutaneous lesions in study participants were conducted using digital dermoscopy. The extent of the cutaneous lesions and their evolution during treatment were assessed using the Psoriasis Area and Severity Index (PASI) and the Dermatology Life Quality Index (DLQI).
Inclusion Criteria:
The inclusion criteria included adults with a confirmed histopathological diagnosis of plaque psoriasis, who are undergoing biological therapies from all available therapeutic classes (TNF-α inhibitors, IL-17 inhibitors, IL-23 inhibitors) and have a complete medical history available.
Exclusion Criteria:
The exclusion criteria for this study included patients with insufficient medical records, those who discontinued biologic therapy, and individuals who were initially eligible but no longer met the national protocol criteria for biologic treatment. Additionally, patients with absolute contraindications to biologic therapy, those receiving other systemic therapies apart from biologics, and individuals with milder forms of psoriasis were also excluded.
Data collection and variables:
Patient data were retrieved from electronic and physical medical records, as well as from dermoscopic imaging databases, and the following variables were analyzed:
Demographics and Lifestyle Factors: age, sex, BMI, nutritional status, environmental background, smoking and alcohol consumption history, chronic UV exposure history, and phototype classification.
Psoriasis characteristics and severity: clinical manifestations, including psoriatic arthropathy and its distribution (axial/peripheral), as well as genital, palmoplantar, and nail involvement. Psoriasis severity was assessed using Psoriasis Area and Severity Index (PASI) scores at baseline, and at 3, 6, and 12 months, along with Dermatology Life Quality Index (DLQI) scores recorded throughout the follow-up period.
Biologic therapy and other treatments: This study included an analysis of current and past biologic therapies, dividing patients into groups based on their exposure to TNF-α inhibitors, IL-23 inhibitors, and IL-17 inhibitors. Additionally, prior use of methotrexate, PUVA therapy, UVB therapy, NSAIDs, chemoprophylaxis with isoniazid for tuberculosis prevention, and beta-blockers was documented.
Comorbidities: The presence of relevant systemic comorbidities was documented, including menopausal status, osteoporosis, cardiovascular diseases (hypertension, ischemic heart disease), hepatic, respiratory, and renal diseases, endocrine disorders (diabetes, thyroid dysfunction), and a history of surgical procedures. Other factors assessed included a history of sunburn and the presence of bacterial, viral, or fungal skin infections.
Dermoscopy and skin lesion examination: The total number of angiomas and solar lentigos, including both pre-existing and newly developed lesions, was recorded. Additionally, other dermatologic findings, including total nevi count, actinic keratoses, seborrheic keratoses, keratoacanthoma, skin tags, and non-melanoma skin cancers (NMSC), were assessed through dermoscopic and clinical evaluations.
Statistical analysis: The selected patient data were entered into an Excel table, then imported and processed with the help of SPSS 29.0. The data were sorted into categories, and then the frequency distribution was carried out. Possible influences between the data were investigated with the help of the Fisher’s and chi-squared tests. Descriptive statistics were applied to the quantitative variables, and possible differences were investigated using parametric and non-parametric tests. The following tests were used for sample comparison: the Kolmogorov–Smirnov test, the t-Student test, the ANOVA test, the Mann–Whitney test, and the Kruskal–Wallis test. To investigate the association between two quantitative variables (e.g., the influence of age, duration of biologic therapy, disease duration, and initial PASI and DLQI scores on the number of melanocytic nevi initially captured, the number of angiomas, lentigos, and other cutaneous structures), we calculated Pearson’s correlation coefficient (r), together with its significance level and the corresponding 95% confidence interval, which allowed us to characterize the direction and intensity of this association. Statistically significant values were defined as p < 0.05, while values of p < 0.01 were considered highly statistically significant.
Ethical considerations: This study was conducted in accordance with the Declaration of Helsinki and received ethical approval from the Ethical Committee of “Saint Parascheva” Clinical Hospital of Infectious Diseases, Galati, Romania (Approval No. 2/4, dated 26 March 2024), the Ethical Committee of the Medical College of Galati (Approval No. 160, dated 15 February 2024), and the University Ethics Committee of “Dunărea de Jos” University of Galati (Approval No. 14, dated 30 May 2024).
All patients included in this study have given their informed consent. All patient data were fully anonymized to ensure confidentiality.

3. Results

The mean duration of biologic therapy in the study cohort was 62.38 ± 6.01 months, with a range spanning from 10 to 180 months (Table 1).
Three types of biologic agents were administered: IL-17 inhibitors, which were the most frequently prescribed (41.7% of patients), followed by TNF-α inhibitors (30.0%) and IL-23 inhibitors (28.3%) (Table 2).
The patients’ disease duration varied between 4 and 46 years, with an average of 24.62 ± 1.56 years (Table 3).
At baseline, the mean PASI score was 26.24 ± 1.37, significantly decreasing by 51.6% to 12.71 ± 0.98 at three months, 77.8% to 5.81 ± 0.57 at six months, and 91.3% to 2.28 ± 0.31 at 12 months (p < 0.001 for all comparisons). A parallel decline in DLQI scores was documented, with a decrease from 21.07 ± 0.81 at baseline to 2.00 ± 0.39 at 12 months, signifying a 90.5% improvement in terms of quality of life (Table 4).
These observations suggest a considerable and stable response to biologic therapy, with a substantial proportion of patients reaching a PASI 90 score or nearly complete disease clearance by the one-year point. The observed improvements align with those reported in clinical trials, reconfirming the real-world efficacy of biologics.

3.1. Angioma Distribution in Patients Receiving Biologic Therapy

Women exhibited significantly higher angioma counts than men (11.90 ± 6.18 vs. 3.33 ± 2.12; p < 0.05), while urban patients showed a slightly greater angioma burden compared to those in rural areas (6.45 ± 5.97 vs. 5.56 ± 4.91). Interestingly, smokers and high alcohol consumers had fewer angiomas than non-smokers (4.04 ± 3.60 vs. 7.82 ± 6.39; p < 0.05) and non-drinkers (4.25 ± 4.01 vs. 9.08 ± 6.54; p < 0.05) (Table 5).
Postmenopausal women (13.44 ± 5.79) and patients with osteoporosis (10.88 ± 4.79) had markedly higher angioma counts than premenopausal women (5.75 ± 3.40; p < 0.01) and those without osteoporosis (5.46 ± 5.46; p < 0.01) (Table 6).
Patients not receiving biologic therapy (biologic-naïve: 5.89 ± 5.55) and those treated with TNF-α inhibitors (5.06 ± 4.39) had lower angioma counts than those on IL-23 inhibitors (6.94 ± 7.00). Additionally, individuals using beta-blockers had significantly higher angioma counts compared to non-users (9.93 ± 5.95 vs. 5.04 ± 5.09; p < 0.001).
Patients with psoriatic arthritis had increased angioma counts (9.64 ± 6.60 vs. 3.71 ± 3.09; p < 0.001). Notably, those with axial and peripheral joint involvement exhibited markedly higher angioma counts (>10.00) compared to those without joint disease (3.76 ± 3.12; p < 0.001) (Table 7).
Patients with endocrine dysfunction had the highest angioma counts (17.00 ± 7.21 vs. 5.61 ± 5.02; p < 0.001), while individuals with cardiovascular disease (8.68 ± 6.06 vs. 4.74 ± 4.91; p < 0.01) and hypertension (8.28 ± 6.01 vs. 4.69 ± 4.93; p < 0.01) also had elevated angioma numbers. Similarly, patients with musculoskeletal disorders showed an increased angioma burden (8.21 ± 5.01 vs. 5.57 ± 5.74; p < 0.05) (Table 8).
PUVA therapy (11.86 ± 7.77 vs. 5.43 ± 4.93; p < 0.01) and chemoprophylaxis with isoniazid (7.41 ± 6.18 vs. 4.22 ± 4.07; p < 0.05) were associated with significantly higher angioma counts. In contrast, patients who underwent methotrexate or UVB therapy had lower angioma counts, suggesting a potential protective effect (Table 9).

3.2. Solar Lentigo Distribution in Patients Receiving Biologic Therapy

Women (17.85 ± 15.17) and rural patients (16.72 ± 11.24) had slightly higher solar lentigo counts (Table 10).
Smoking also appeared to influence lentigo formation, with smokers showing significantly lower counts than non-smokers (10.96 ± 10.20 vs. 19.91 ± 15.08; p < 0.05). Occasional alcohol consumption was linked to slightly lower lentigo counts compared to non-drinkers.
Certain clinical factors were associated with an increased number of lentigines. Postmenopausal women (20.44 ± 15.65) and individuals with osteoporosis (20.63 ± 11.03) had higher lentigo counts (Table 11).
Regarding prior treatments, patients who had used NSAIDs had significantly higher lentigo counts (20.12 ± 14.41; p < 0.05). Increased lentigo numbers were also noted in patients treated with TNF-α inhibitors, chemoprophylaxis, and PUVA therapy, while those who had received methotrexate or UVB therapy showed lower counts (Table 12).
Patients with biological inflammatory syndrome, cardiovascular disease, renal impairment, and hypertension also exhibited significantly more lentigines (p < 0.05). Additionally, those with a history of keratoacanthoma had the highest lentigo counts (34.00 ± 17.34) (Table 13).

4. Discussion

The pathogenesis of angiomas remains largely unclear, but they are thought to arise from a combination of genetic predisposition, environmental factors, and systemic health conditions. The prevalence of angiomas increases with age, and they are more commonly observed in individuals with certain comorbidities. Nazer et al. reported that cherry angiomas were more common in patients with a family history of skin lesions and other underlying dermatological conditions, suggesting a possible genetic or environmental influence on their development [21].
Furthermore, some studies have proposed that individuals with more than 50 cherry angiomas may have an increased risk of developing secondary cutaneous malignancies, including melanoma. This observation raises the possibility of a broader dermatological significance of angiomas, suggesting that their presence in high numbers could serve as a potential marker for underlying skin cancer risk and warrant further clinical investigation [22].
Our data showed that women had significantly higher angioma counts compared to men (11.90 ± 6.18 vs. 3.33 ± 2.12; p < 0.05), reinforcing previous findings that indicate a greater prevalence of angiomas in female patients. This trend is particularly pronounced in postmenopausal women, suggesting a possible role of hormonal fluctuations in vascular proliferation and skin physiology. Estrogen plays a key role in regulating vascular function, endothelial homeostasis, and angiogenesis, and its decline after menopause has been linked to vascular remodeling and pro-inflammatory cytokine activity. Recent research highlights how estrogen deficiency contributes to increased vascular permeability, inflammation, and impaired microvascular integrity, which may explain the observed gender differences in angioma prevalence [23]. However, as this was a retrospective study, direct hormone level assessments were not available, limiting our ability to establish a direct causal relationship. Despite this limitation, our findings align with the existing literature, which suggests that estrogen depletion may facilitate vascular proliferation [24].
Urban environments are often linked to higher levels of inflammation and skin conditions, which could exacerbate the formation of vascular lesions. A notable contributor to this phenomenon is exposure to air pollutants, which have been demonstrated to further promote angiogenesis and vascular remodeling. Chronic exposure to these environmental stressors can lead to the activation of inflammatory pathways, which may, in turn, promote angiogenesis, a critical factor in the development of angiomas [25].
Lifestyle factors prevalent in urban settings, such as poor dietary habits, reduced physical activity, and a higher incidence of metabolic disorders, could also contribute to vascular alterations that may facilitate excessive angioma development. For instance, diets high in processed foods can lead to increased oxidative stress and inflammation, while sedentary lifestyles are associated with a range of cardiovascular issues that may promote vascular changes [26]. This suggests that environmental factors linked to urban living, such as increased exposure to pollutants and lifestyle stressors, may contribute to the development of angiomas.
Interestingly, smokers had fewer angiomas compared to non-smokers (4.04 ± 3.60 vs. 7.82 ± 6.39; p < 0.05), and frequent alcohol drinkers also exhibited lower counts than non-drinkers (4.25 ± 4.01 vs. 9.08 ± 6.54; p < 0.05). While smoking and alcohol consumption are generally linked to impaired skin health and increased oxidative stress, these findings are counterintuitive, and their underlying cause remains unclear. Given the retrospective nature of this study, we could not account for potential confounders such as genetic predisposition, dietary factors, or medication use, which may have influenced the results. Future studies with controlled variables are needed to clarify this association.
However, it is possible that the potential immunosuppressive effects of these lifestyle factors alter the inflammatory response in a way that paradoxically reduces angioma formation, possibly by modulating cytokine activity or dampening vascular endothelial growth factor (VEGF) expression [27,28]. Additionally, nicotine has been reported to modulate immune responses, with potential anti-inflammatory effects in various contexts. Moreover, it is essential to reconsider that smoking remains a well-established risk factor for numerous skin conditions, including impaired wound healing and cutaneous malignancies. Therefore, this hypothesis should be interpreted with caution, as further research is needed to elucidate the underlying mechanisms [29]. While smoking and alcohol consumption are generally associated with negative outcomes for skin health, including the exacerbation of conditions like psoriasis, which is linked to increased angiogenesis, the specific relationship between these lifestyle factors and angioma formation requires further investigation [30].
Our results indicate that biologically naïve patients and those receiving TNF-α inhibitors had lower angioma counts compared to those treated with IL-23 inhibitors (5.89 ± 5.53 and 5.06 ± 4.39 vs. 6.94 ± 7.00). This suggests that the type of biological therapy may significantly influence the development of angiomas, potentially due to differences in how these therapies modulate the immune response and inflammatory pathways associated with psoriasis [31]. Biologically naïve patients, defined as those who have not been exposed to biologic therapies, may present with a baseline immune profile that is less prone to chronic inflammation, resulting in lower angioma counts.
IL-23 inhibitors, which are known to have potent effects on the immune system and inflammatory pathways, may promote angiogenesis through the modulation of cytokine profiles, particularly vascular endothelial growth factor (VEGF). Interleukin-23 (IL-23) plays a crucial role in angiogenesis by promoting vascular endothelial growth factor (VEGF) expression through Th17 cell activation. Th17 cells secrete IL-17, a cytokine that stimulates VEGF production, leading to increased vascular proliferation. In psoriasis, where IL-23 is overexpressed, VEGF levels are significantly elevated, contributing to excessive angiogenesis and vascular lesion formation. The interaction between these cytokines and their pro-angiogenic activity strengthens the link between systemic inflammation and vascular changes in psoriatic disease [32,33,34,35].
Inhibition of IL-23 may, therefore, reduce VEGF-driven angiogenesis, potentially limiting the development of angiomas, which are characterized by abnormal blood vessels [34]. IL-23 inhibitors, such as guselkumab, risankizumab, and tildrakizumab, have shown efficacy in treating psoriasis, a condition often associated with elevated VEGF levels and increased angiogenesis [36]. However, further research is necessary to evaluate the direct impact of these inhibitors on angioma formation and the underlying mechanisms involved, including the modulation of inflammatory cytokines and transcription factors, which are known to regulate both IL-23 and VEGF expression [37].
Understanding these interactions could lead to new treatment approaches that address both IL-23 and VEGF pathways, potentially improving conditions associated with excessive angiogenesis and vascular abnormalities. Melly et al. discussed how controlled expression of VEGF can lead to significant vascular proliferation, which may contribute to the formation of angiomas [38]. In patients with psoriasis, the inflammatory environment characterized by elevated levels of pro-inflammatory cytokines, including TNF-α and IL-17, may further enhance VEGF expression, thereby promoting angiogenesis and the development of cherry angiomas [36]. Moreover, the presence of angiomas in patients with psoriasis may be attributed to the underlying mechanisms of angiogenesis that are often activated in inflammatory skin diseases. Psoriasis is characterized by excessive angiogenesis, which contributes to the erythema and scaling seen in psoriatic plaques. The role of angiogenesis in psoriasis is further supported by evidence that suggests increased vascularization in psoriatic skin, which can lead to the development of angiomas [39].
Furthermore, the findings of Das et al. suggest that increased levels of angiogenic factors in the body could trigger the development of angiomas, particularly in patients with underlying vascular conditions. This aligns with the observation that patients with comorbidities such as cardiovascular disease and endocrine dysfunction exhibit higher angioma counts, indicating a systemic influence on angiogenesis [40]. As previously mentioned, biological therapies can lead to paradoxical skin reactions, including the development of new cutaneous lesions. This suggests that while these therapies are effective in managing psoriasis, they may also inadvertently influence the formation of new lesions, including vascular lesions [41].
The finding that women had significantly higher angioma counts compared to men (11.90 ± 6.18 vs. 3.33 ± 2.12; p < 0.05) aligns with existing data from the literature that suggest a gender disparity in the prevalence of cherry angiomas. Studies have shown that angiomas are more common in females, particularly in older age groups, which may be attributed to hormonal changes or differences in skin parameters [15].
Our observation that patients diagnosed with psoriatic arthropathy exhibit significantly higher angioma counts compared to those without joint involvement is indicative of the systemic inflammation associated with psoriatic diseases. The reported angioma counts (9.64 ± 6.67 vs. 3.71 ± 3.09; p < 0.001) suggest that the inflammatory burden in psoriatic arthritis (PsA) may enhance angiogenic processes, leading to increased vascular lesions such as cherry angiomas. This phenomenon can be explained through several interconnected mechanisms involving cytokine production, immune system activation, and the resultant effects on vascular endothelial growth factor (VEGF) expression [42,43].
Several studies provide evidence supporting this connection. For instance, Shahidi-Dadras et al. demonstrated that serum levels of vascular endothelial growth factor (VEGF) were significantly elevated in psoriatic patients, indicating a potential link between inflammation and angiogenesis [44]. Additionally, Batycka-Baran et al. reported reduced circulating endothelial progenitor cells in patients with plaque psoriasis, further suggesting a disruption in vascular homeostasis associated with the disease [45].
Other research has demonstrated that TNF-α, a key mediator of inflammation in psoriasis, plays a significant role in angiogenesis by promoting the expression of pro-angiogenic factors such as VEGF, contributing to the pathogenesis of angiogenesis in psoriatic skin [46]. Additionally, VEGF overexpression in psoriatic lesions has been linked to disease severity, further supporting the notion that chronic inflammation in psoriatic disease could up-regulate angiogenesis [47]. These findings highlight the importance of further research into how inflammation, vascular remodeling, and angioma formation are interconnected in psoriatic disease. The systemic inflammation associated with joint involvement in psoriatic arthritis (PsA) likely contributes to an environment favoring angiogenesis, resulting in higher angioma counts. Studies have shown that patients with more severe forms of PsA, particularly those with axial and peripheral joint involvement, tend to have a greater inflammatory burden, which correlates with increased vascular lesions. While a study from the literature focused on the prevalence and risk factors associated with PsA, it also noted that clinical phenotypes can vary, with more severe joint involvement potentially leading to increased inflammatory markers, which may reflect greater systemic immune activation and disease progression [48].
Additionally, Mohta et al. discussed the association between psoriasis and cardiovascular ischemia, emphasizing that the same cytokines driving inflammation in psoriasis, such as TNF-α, are also linked to angiogenesis. This reinforces the idea that systemic inflammation in PsA not only affects joint health but also contributes to vascular changes, including increased angioma counts [49,50].
A case report by Flicinski et al. describes a 35-year-old male patient with psoriasis who later developed psoriatic arthritis and underwent treatment with methotrexate and cyclosporine. During therapy, the patient developed multiple vascular nodules on the extremities, which histopathological analysis confirmed as hemangiomas. Notably, these lesions progressed over a three-year period, suggesting a potential link between immunosuppressive therapy and vascular proliferation. Upon discontinuation of cyclosporine, the hemangiomas regressed completely within a few months, leaving behind small depigmented areas. This case highlights the potential angiogenic effects of cyclosporine in psoriatic patients and raises important considerations regarding vascular changes in individuals on long-term immunosuppressive therapy [51]. The vascular proliferation observed in this case highlights the potential for immunosuppressive agents like cyclosporine to promote endothelial hyperplasia, contributing to the formation of vascular lesions. While biologics target specific inflammatory pathways, the parallels in angioma development may reflect a broader systemic effect of immune modulation on vascular health. This observation is significant as it suggests that the immunosuppressive properties of systemic agents may play a role in the development of vascular lesions. The regression of angiomas following the cessation of cyclosporine therapy suggests a direct association between the drug and vascular proliferation. This aligns with the idea that the inflammatory environment in psoriasis, combined with the immunosuppressive effects of other systemic therapies, including methotrexate and biological therapies, may promote angiogenesis and the development of multiple angiomas [52,53].
Patients with a history of PUVA therapy exhibited significantly higher angioma counts (11.86 ± 7.77 vs. 5.43 ± 4.93; p < 0.01). PUVA, which combines psoralen and ultraviolet A light, is known to have various effects on the skin, including potential alterations in vascular structures. The increased angioma counts in this group may reflect the long-term effects of phototherapy on skin vasculature [53].
In contrast, those treated with methotrexate or UVB therapy showed lower counts, indicating that certain treatments may have protective effects against the development of cherry angiomas. Research by Banerjee et al. suggests a new hypothesis that patients with a history of PUVA therapy may experience a higher incidence of vascular lesions, including angiomas, due to the cumulative effects of UV exposure and the inflammatory response in the skin [54].
Methotrexate is a widely used systemic therapy for psoriasis, often serving as a first-line treatment before initiating biologic therapy due to its well-established immunosuppressive effects. However, its impact on angioma development remains complex and not entirely understood. It has been proposed that methotrexate may have a protective effect against vascular lesion formation by modulating inflammatory pathways and reducing chronic skin inflammation. This is supported by studies, including those by Gupta et al., which indicate that the reduction in psoriasis severity achieved with methotrexate may indirectly suppress angiogenesis by modulating the inflammatory response [55].
Our cohort findings align with this, as patients treated with methotrexate or UVB therapy had lower angioma counts, suggesting a potential suppressive effect on angiogenesis. This may be due to the downregulation of pro-inflammatory cytokines, particularly TNF-α and IL-6, which are key drivers of angiogenic processes. Additionally, methotrexate’s ability to limit endothelial activation may further reduce vascular lesion formation [55]. Recent research indicates that methotrexate plays a crucial role in restoring the immunosuppressive function of regulatory T cells while preventing excessive proliferation of effector T cells, thereby reducing systemic inflammation and potentially inhibiting angiogenesis [56]. While methotrexate’s potential role in vascular remodeling is promising, additional studies are needed to clarify its mechanisms and long-term effects.
Furthermore, the presence of comorbidities, such as metabolic syndrome, which is highly prevalent among psoriasis patients, may further complicate the relationship between angioma development and therapeutic response. Metabolic syndrome is characterized by low-grade chronic inflammation, insulin resistance, and endothelial dysfunction, all of which may contribute to angiogenesis and the formation of angiomas. Research indicates that psoriasis patients are at an increased risk of metabolic disorders, raising the possibility that systemic inflammation and vascular changes may play a key role in angioma development [57,58].
The correlation between the number of cherry angiomas in psoriasis patients and their treatment history with PUVA or methotrexate is complex and has not been thoroughly studied. PUVA therapy has been associated with an increased incidence of angiomas, likely due to its cumulative impact on skin vasculature and inflammatory pathways over time. On the other hand, methotrexate’s immunomodulatory properties have been postulated to exert a protective role by attenuating pro-inflammatory cytokines such as TNF-α and IL-6, which are known factors in angiogenesis [59,60]. However, the precise mechanisms underlying these effects remain to be elucidated. Future studies should explore the immunologic pathways involved, the role of metabolic dysfunction, and the potential for specific therapeutic interventions to target angiogenesis in psoriasis patients.
Understanding the mechanisms behind the formation of angiomas in psoriasis patients undergoing biologic therapies remains an important area for future investigation. Long-term studies are needed to evaluate how angioma development correlates with treatment types, disease progression, and patient outcomes. Such research could provide valuable insights into the clinical significance of these lesions and their potential role in guiding dermatologic and systemic management strategies.

Solar Lentigos

Our results indicate that women and rural patients have slightly higher numbers of solar lentigines, which is consistent with the existing literature highlighting gender predisposition and environmental influences on skin conditions. For example, Byrom et al. note that women are often more affected by solar lentigo due to their skin type and sun exposure habits [61]. The underlying biological mechanisms contributing to the development of solar lentigo in patients undergoing biological therapies are complex and multifactorial. Recent studies have highlighted the role of dermal fibroblasts in regulating pigmentation, with senescent fibroblasts upregulating melanogenesis regulators in response to UV exposure [13]. Furthermore, the interaction between UV radiation and environmental factors likely contributes to the development of acquired lentigines [62].
In addition, the observation that smokers exhibit lower counts of solar lentigo compared to non-smokers is intriguing and may indicate a complex interaction between smoking and skin aging processes. While smoking is known to accelerate skin aging through oxidative stress and impaired collagen synthesis, its direct impact on the development of solar lentigo remains unclear. This aspect was also studied by Sadoghi et al., and their results revealed no significant differences in the prevalence of nevus, atypical nevus, and lentigines between smokers and non-smokers in sun-exposed and non-sun-exposed areas [63]. Furthermore, the marginally lower values observed in our cohort for occasional drinkers compared to non-drinkers may suggest that lifestyle factors, such as alcohol consumption, could also contribute to variations in skin health and pigmentation. This paradoxical finding suggests the need for further investigation into how smoking influences melanocyte activity and pigmentation pathways.
Our findings demonstrate that postmenopausal women and patients with osteoporosis have higher counts of solar lentigines, a result that aligns with established research on hormonal changes and skin dynamics during these stages of life [64,65]. This increased vulnerability to photodamage is likely a contributing factor to the increased pigmentation observed in postmenopausal women. Furthermore, osteoporosis, which frequently coexists with menopause, may further exacerbate systemic inflammation, potentially influencing melanocyte activity and promoting lentigo formation [66]. Postmenopausal women experience changes in skin structure and function, primarily due to the decline in estrogen levels. Estrogen is thought to play a protective role in skin health, including maintaining collagen levels and skin hydration. Estrogen depletion during menopause not only accelerates bone density loss, increasing the risk of osteoporosis, but also has a significant impact on skin integrity. Lower estrogen levels are frequently linked to thinner skin, diminished collagen production, and impaired repair mechanisms, all of which render the cutaneous surface more susceptible to UV-induced damage [67]. The decline in estrogen leads to increased skin fragility and greater susceptibility to photodamage, often resulting in lentigines. These changes reflect the broader impact of hormonal fluctuations on skin aging and pigmentation. Given this heightened vulnerability, proactive measures such as consistent sun protection and regular dermatologic evaluations are essential for mitigating long-term effects and preserving skin health in postmenopausal women [68].
The increased number of lentigos observed in patients with biological inflammatory syndrome, cardiovascular disease, renal impairment, and hypertension strongly supports the hypothesis that systemic inflammation and oxidative stress can contribute to the pathogenesis of solar lentigines. Chronic inflammatory states are known to increase levels of pro-inflammatory cytokines, which can disrupt melanocytic activity and promote melanogenesis. Similarly, oxidative stress, a common feature of these conditions, can generate reactive oxygen species (ROS) that may damage keratinocytes and melanocytes, further exacerbating pigmentation changes [69,70]. The correlation of higher lentigo counts with comorbidities is supported by the work of Imokawa, who discusses how inflammatory cytokines released from dysfunctional keratinocytes can lead to melanocytic hyperplasia, potentially exacerbating conditions like solar lentigo. This is particularly relevant in patients with psoriasis, who express elevated cytokine activity and often have concurrent inflammatory conditions, which could lead to excess proliferation of melanocytes and pigmentation [71].
Research indicates that inflammatory cytokines, such as TNF-α and IL-17, can inhibit melanocyte growth and pigmentation gene expression. For instance, Zhang et al. demonstrated that these cytokines negatively affect melanocyte activity, but this inhibition can be reversed upon their withdrawal, suggesting a dynamic interplay between inflammation and pigmentation [40,72]. The correlation between higher lentigo counts and the administration of TNF-α inhibitors is particularly interesting and noteworthy, as it suggests a potential impact of these therapeutic agents on skin pigmentation. These agents are designed to target chronic inflammatory conditions, but by altering key inflammatory pathways, they may also have an impact on melanocytic activity and disrupt the balance of the pigmentation process, demonstrating that therapeutic interventions aimed at reducing chronic inflammation can have unintended consequences on the skin surface [73].
Case reports from the literature further illustrate the potential impact of biologic therapies on lentigo development. For instance, María et al. described a lentiginous eruption in resolving psoriasis plaques during ixekizumab therapy, attributing it to the rapid modulation of cytokine pathways such as IL-17, which may alter pigmentation signaling. The authors noted that as psoriasis plaques resolved under ixekizumab treatment, there was a notable alteration in the local cytokine environment, which may have contributed to the observed changes [74]. Similarly, Dogan and Atakan reported multiple lentigines arising in resolved psoriatic plaques following infliximab treatment, suggesting that the suppression of pro-inflammatory cytokines like TNF-α may influence melanocyte activity and pigmentation [75]. Guttierez-Gonzalez et al. documented lentigines in resolving psoriatic plaques during ustekinumab therapy, also highlighting the potential role of IL-12/IL-23 axis inhibition in melanocyte stimulation and pigmentation [76]. Khanna et al. provided further support with a case of eruptive lentigines confined to resolving plaques after tildrakizumab treatment, suggesting cytokine dysregulation as a central mechanism [77]. Finally, Palmisano et al. reported lentiginous eruptions following risankizumab treatment, emphasizing the interplay between IL-23 neutralization and melanocyte activation [78]. The collective evidence from these cases highlights the possible association between biologic therapies and post-inflammatory pigmentation changes, suggesting that the modulation of cytokines, particularly TNF-α, IL-17/IL-23, IL-17, and IL-23, may play a role in the development of lentigo. Further research is necessary to elucidate these mechanisms and their implications for long-term patient care.
This study has certain limitations that should be considered. The lack of a control group limits our ability to determine a definitive causal link between biologic therapies and the development of lentigines. A comparative analysis with psoriasis patients not receiving biologics would have provided stronger evidence. However, withholding biologic treatment from eligible patients raises ethical concerns, and identifying a cohort of untreated psoriasis patients would be challenging in a real-world setting, as systemic therapies are the standard of care for moderate to severe cases. To address this, our study focused on within-group comparisons and interpreted the findings in the context of the available literature.
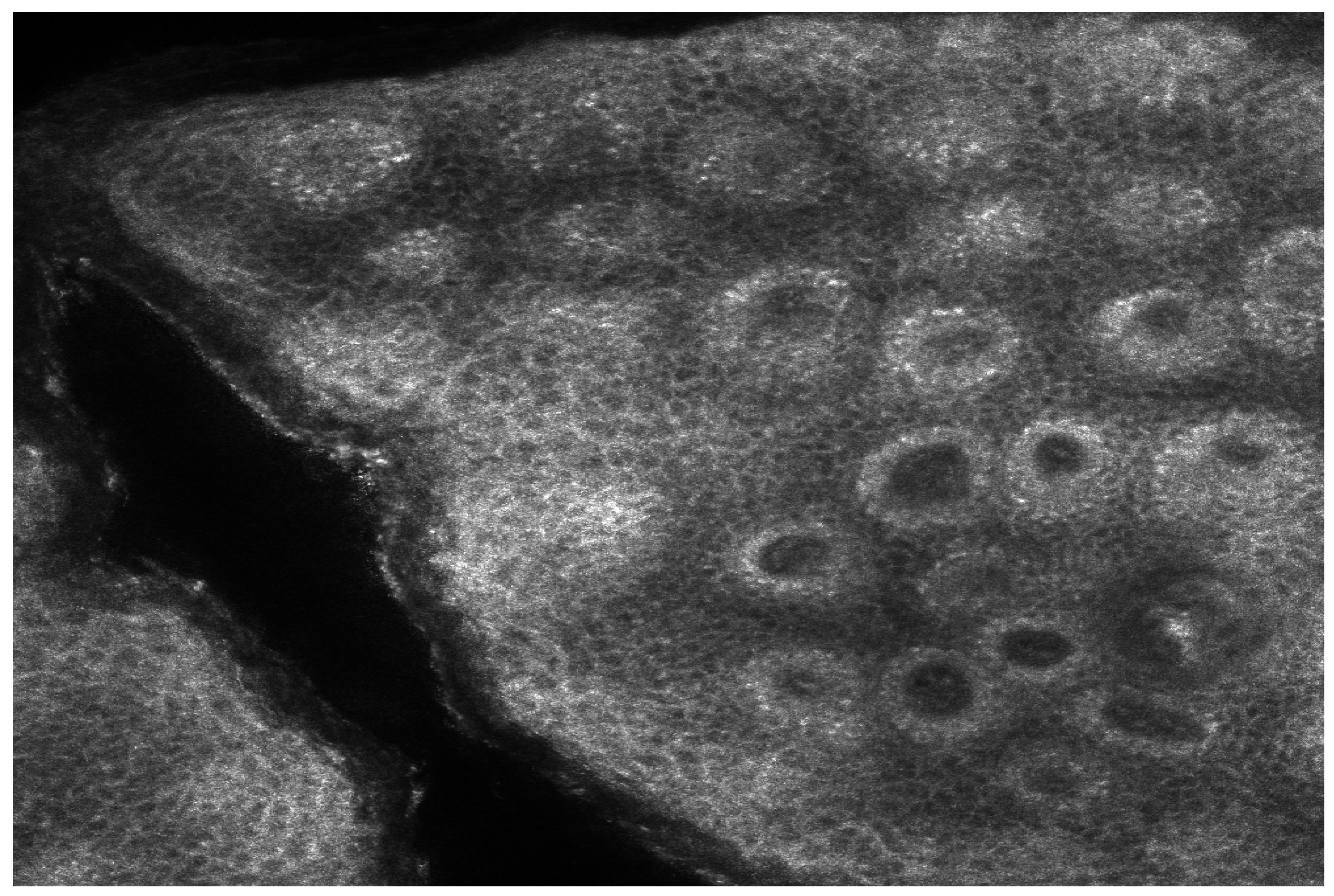
In parallel with dermoscopic observations, we also used in vivo confocal microscopy to assess the efficacy of biologic therapy by monitoring the therapeutic response in real time at well-defined time intervals within psoriatic plaques. Beyond the early detection of inflammatory cell disappearance from the epidermis and dermis—indicating the early anti-inflammatory activity of biologics—the early recovery of bright rims surrounding the dermal papillae (edge papillae) was detected on reflective confocal microscopy by week 5 after treatment initiation. This confocal feature, corresponding to the early reappearance of keratinocyte pigmentation at the dermo-epidermal junction (DEJ), could serve as an early indicator of the normalization of keratinization processes and the reduction in keratinocyte proliferative rates, thereby facilitating the proper incorporation of melanin.
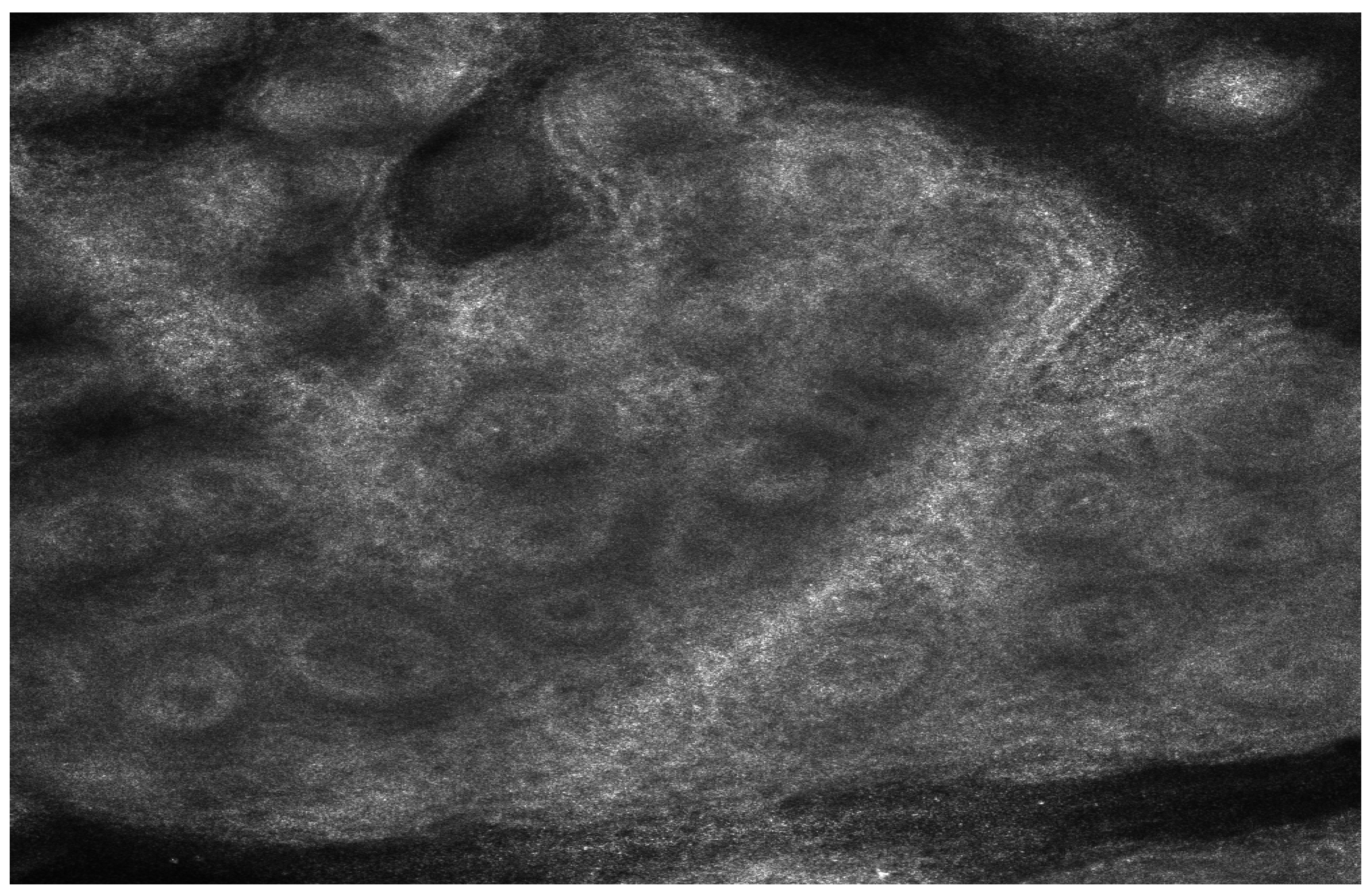
In vivo confocal microscopy allowed us to observe structural changes in the epidermis and alterations in melanocyte activity following biologic therapy. These findings suggest a potential link between cytokine modulation and epidermal remodeling. Before starting treatment, the “edged papillae” appearance (bright papillary structures) was absent, likely due to high epidermal turnover and elevated levels of inflammatory cytokines, particularly TNF-α, IL-17, and IL-23 (Figure 1 and Figure 2).
As biologic therapy reduced inflammation and psoriatic plaques began to clear, the “edged papillae” feature became visible again, suggesting a normalization of epidermal renewal. This change indicates that blocking IL-23 and IL-17 helps restore the balance of the epidermal microenvironment, allowing melanocytes to resume interleukin secretion and regain normal function. These findings support the idea that chronic inflammation in psoriasis disrupts not only keratinocyte proliferation but also the dermo-epidermal structure, thereby affecting melanocyte homeostasis [78].
These observations highlight the potential of confocal microscopy as a valuable tool for tracking treatment response, offering objective markers of epidermal restoration and melanocyte function. The reappearance of “edged papillae” with biologic therapy also reinforces the idea that epidermal regeneration and melanocyte activity are closely linked to cytokine balance, which may explain post-inflammatory hyperpigmentation and lentiginous changes in psoriasis patients (Figure 3 and Figure 4).

5. Conclusions

This study provides new perspectives on the relationship between biologic therapies, systemic inflammation, and the development of angiomas and solar lentigines in psoriasis patients. The significantly higher angioma counts observed in women, particularly postmenopausal individuals and those with osteoporosis, suggest a role for hormonal factors in vascular proliferation. Additionally, patients receiving IL-23 inhibitors exhibited greater angioma counts compared to those on TNF-α inhibitors, indicating a potential pro-angiogenic effect of IL-23 blockade, possibly mediated through VEGF modulation. The increased angioma burden in psoriatic arthritis patients further supports the hypothesis that chronic systemic inflammation contributes to vascular remodeling and angiogenesis. In contrast, methotrexate and UVB therapy were associated with lower angioma counts, suggesting a potential protective effect against vascular proliferation. Similarly, the higher prevalence of solar lentigines in patients with systemic inflammatory conditions, postmenopausal women, and those undergoing TNF-α inhibition highlights the complex relationship between inflammation, oxidative stress, and melanocyte activity. The paradoxical observation that smokers and occasional alcohol consumers exhibited lower lentigo and angioma counts raises important questions regarding the immunomodulatory effects of these lifestyle factors, warranting further investigation. Additionally, in vivo confocal microscopy provided valuable insights into early epidermal remodeling during biologic therapy, with the reappearance of bright rims around dermal papillae emerging as a potential marker of treatment response. These findings highlight the need for further longitudinal studies to clarify the long-term dermatologic effects of biologic therapies, improve patient monitoring, and refine treatment strategies to minimize cutaneous side effects while ensuring optimal disease control.

Author Contributions

Conceptualization: F.C.B., D.S.R., A.F. and A.L.T.; methodology: A.L.T.; software: C.T. and L.B.B.; investigation: D.S.R., C.T., L.B.B., E.N., A.P.C., A.F. and C.P.; data curation: E.N., F.C.B., L.B.B., M.C. and A.L.T.; writing—original draft preparation: F.C.B., D.S.R., A.F., C.T., L.B.B. and E.N.; writing—review and editing: F.C.B., A.P.C., L.B.B., C.P. and A.L.T.; visualization: D.S.R., C.T., L.B.B., E.N., A.P.C., A.F. and M.C.; supervision: F.C.B. and A.L.T. All authors have read and agreed to the published version of the manuscript.

Funding

The APC was funded by ”Dunarea de Jos” University of Galati (VAT number: RO50411550).

Institutional Review Board Statement

This study was conducted in accordance with the Declaration of Helsinki and received ethical approval from the Ethical Committee of “Saint Parascheva” Clinical Hospital of Infectious Diseases, Galati, Romania (Approval No. 2/4, dated 26 March 2024), the Ethical Committee of the Medical College of Galati (Approval No. 160, dated 15 February 2024), and the University Ethics Committee of “Dunărea de Jos” University of Galati (Approval No. 14, dated 30 May 2024). All patients included in this study have given their informed consent. All patient data were fully anonymized to ensure confidentiality.

Informed Consent Statement

All patients included in this study have given their informed consent. All patient data were fully anonymized to ensure confidentiality.

Data Availability Statement

No new data were created or analyzed in this study. Data sharing is not applicable to this article.

Acknowledgments

The current work was academically supported by the “Dunarea de Jos” University of Galati, Romania, through the research center, the Multidisciplinary Integrated Centre of Dermatological Interface Research (MIC-DIR).

Conflicts of Interest

The authors declare no conflicts of interest.

Abbreviations

The following abbreviations are used in this manuscript:
ROSReactive oxygen species
UVUltraviolet radiation
PUVAPsoralen plus ultraviolet A therapy
UVBUltraviolet B therapy
PsAPsoriatic arthritis
MTXMethotrexate
PASIPsoriasis Area and Severity Index
DLQIDermatology Life Quality Index
TNFTumor necrosis factor
VEGFVascular endothelial growth factor
ILInterleukin
ThT helper cells

References

  1. Yatsuzuka, K.; Muto, J.; Shiraishi, K.; Murakami, M.; Fujisawa, Y. A successful switch from ustekinumab to an extended dosing interval of guselkumab without induction in a patient with psoriasis vulgaris. Cureus 2024, 16, e61567. [Google Scholar] [CrossRef]
  2. Gisondi, P.; Altomare, G.; Ayala, F.; Bardazzi, F.; Bianchi, L.; Chiricozzi, A.; Costanzo, A.; Conti, A.; Dapavo, P.; De Simone, C.; et al. Italian guidelines on the systemic treatments of moderate-to-severe plaque psoriasis. J. Eur. Acad. Dermatol. Venereol. 2017, 31, 774–790. [Google Scholar] [CrossRef] [PubMed]
  3. Chen, Y.; Wei, L.; Song, Y.; Zhang, R.; Kuai, L.; Li, B.; Wang, R. Life quality among psoriasis patients based on Dermatology Life Quality Index evaluation and its association with psoriasis severity in China: A cross-sectional study. Ann. Med. 2023, 55, 2231847. [Google Scholar] [CrossRef]
  4. Jankowiak, B.; Kowalewska, B.; Krajewska-Kułak, E.; Khvorik, D.F. Stigmatization and Quality of Life in Patients with Psoriasis. Dermatol. Ther. 2020, 10, 285–296. [Google Scholar] [CrossRef]
  5. Rendon, A.; Schäkel, K. Psoriasis pathogenesis and treatment. Int. J. Mol. Sci. 2019, 20, 1475. [Google Scholar] [CrossRef]
  6. Rosmarwati, E.; Mulianto, N.; Febrianto, B.; Novriana, D.E.; Fiqnasyani, S.E. Comparison of Psoriasis Area and Severity Index (PASI) Scores in Patients Treated with Oral Methotrexate and A Combination of Oral Methotrexate and Narrow Band-Ultraviolet B (NB-UVB) Phototherapy. Berk. Ilmu Kesehat. Kulit Kelamin 2022, 34, 169–173. [Google Scholar] [CrossRef]
  7. Das, K.; Ranjan, R.; Kumar, P.; Chandra, S. A comparative study of the effectiveness and safety of topical calcipotriol and topical methotrexate in chronic plaque psoriasis. Cureus 2024, 16, e59878. [Google Scholar] [CrossRef]
  8. Asnani, D.; Singh, S.; Gupta, A. Addressing Diagnostic and Therapeutic Challenges in a case of Concurrent Tinea and Plaque Psoriasis. Case Rep. Dermatol. 2024, 16, 254–258. [Google Scholar] [CrossRef]
  9. Damayanti, D.; Prakoeswa, C.R.S.; Anggraeni, S.; Umborowati, M.A.; Rahmi, A.M. Successful treatment of secukinumab in severe plaque psoriasis. Int. J. Health Sci. 2022, 6, 10754–10762. [Google Scholar] [CrossRef]
  10. Nikolić, K.; Jovanović, D.; Stojković, L. The impact of biological therapy on health-related quality of life in patients with psoriasis. Acta Fac. Medicae Naissensis 2023, 40, 489–496. [Google Scholar] [CrossRef]
  11. Bánvölgyi, A.; Görög, A.; Gadó, K.; Holló, P. Common benign and malignant tumours of the aging skin: Characteristics and treatment options. Dev. Health Sci. 2022, 4, 86–90. [Google Scholar] [CrossRef]
  12. Goorochurn, R.; Viennet, C.; Granger, C.; Fanian, F.; Varin-Blank, N.; Roy, C.L.; Humbert, P. Biological processes in solar lentigo: Insights brought by experimental models. Exp. Dermatol. 2016, 25, 174–177. [Google Scholar] [CrossRef] [PubMed]
  13. Gao, X.; Xiang, W. Emerging roles of dermal fibroblasts in hyperpigmentation and hypopigmentation: A review. J. Cosmet. Dermatol. 2025, 24, e16790. [Google Scholar] [CrossRef] [PubMed]
  14. Scarcella, G.; Dethlefsen, M.W.; Nielsen, M.C.E. Treatment of solar lentigines using a combination of picosecond laser and biophotonic treatment. Clin. Case Rep. 2018, 6, 1868–1870. [Google Scholar] [CrossRef]
  15. Betz-Stablein, B.; Koh, U.; Edwards, H.A.; McInerney-Leo, A.; Janda, M.; Soyer, H.P. Anatomic distribution of cherry angiomas in the general population. Dermatology 2021, 238, 18–26. [Google Scholar] [CrossRef]
  16. Corrêa, P.H.; Nunes, L.C.C.; Johann, A.C.B.R.; De Aguiar, M.C.F.; Gomez, R.S.; Mesquita, R.A. Prevalence of oral hemangioma, vascular malformation and varix in a Brazilian population. Braz. Oral Res. 2007, 21, 40–45. [Google Scholar] [CrossRef]
  17. Karaman, B.F. Halo formation around cherry angiomas: A rare but substantial finding. Med. Sci. Monit. 2018, 24, 5050–5053. [Google Scholar] [CrossRef]
  18. Klebanov, N.; Lin, W.M.; Artomov, M.; Shaughnessy, M.; Njauw, C.-N.; Bloom, R.; Eterovic, A.K.; Chen, K.; Kim, T.-B.; Tsao, S.S.; et al. Use of targeted Next-Generation sequencing to identify activating hot spot mutations in cherry angiomas. JAMA Dermatol. 2019, 155, 211. [Google Scholar] [CrossRef]
  19. Pastor-Tomás, N.; Martínez-Franco, A.; Bañuls, J.; Peñalver, J.C.; Traves, V.; García-Casado, Z.; Requena, C.; Kumar, R.; Nagore, E. Risk factors for the development of a second melanoma in patients with cutaneous melanoma. J. Eur. Acad. Dermatol. Venereol. 2020, 34, 2295–2302. [Google Scholar] [CrossRef]
  20. Özer, İ.; Temiz, S.A.; Ataseven, A. Prevalence of Dermatological Diseases in Nursing Home Residents and Their Correlation with Gender and Comorbid Diseases. Turk. J. Dermatol. 2019, 13, 8–12. [Google Scholar] [CrossRef]
  21. Nazer, R.I.; Bashihab, R.H.; Al-Madani, W.H.; Omair, A.A.; AlJasser, M.I. Cherry angioma: A case–control study. J. Fam. Community Med. 2020, 27, 109. [Google Scholar] [CrossRef]
  22. Avilés-Izquierdo, J.A.; Vírseda-González, D.; Del Monte, M.G.I.; Rodríguez-Lomba, E. Who Will Have a Second Melanoma? A Prospective Longitudinal Study in Patients without Any Genetic Predisposition. Dermatology 2023, 239, 403–408. [Google Scholar] [CrossRef] [PubMed]
  23. Cassalia, F.; Lunardon, A.; Frattin, G.; Danese, A.; Caroppo, F.; Fortina, A.B. How Hormonal Balance Changes Lives in Women with Psoriasis. J. Clin. Med. 2025, 14, 582. [Google Scholar] [CrossRef] [PubMed]
  24. Adachi, A.; Honda, T. Regulatory roles of estrogens in psoriasis. J. Clin. Med. 2022, 11, 4890. [Google Scholar] [CrossRef]
  25. Sawalha, K.; Tripathi, V.; Alkhatib, D.; Alalawi, L.; Mahmood, A.; Alexander, T. Our hidden enemy: Ultra-Processed foods, inflammation, and the battle for heart health. Cureus 2023, 15, e47484. [Google Scholar] [CrossRef]
  26. Fu, Z.-J.; Li, C.-M.; Wang, T.-H.; Jiang, Z.-L.; Fu, Z.-C. Vascular endothelial growth factor expression and pathological changes in the local tissue of facial hemangiomas following injections with pure alcohol. Oncol. Lett. 2014, 9, 1099–1103. [Google Scholar] [CrossRef]
  27. Shanshal, M. Eruptive angiomatosis triggered by COVID-19 vaccination. Cureus 2022, 14, e22907. [Google Scholar] [CrossRef]
  28. Zhang, W.; Lin, H.; Zou, M.; Yuan, Q.; Huang, Z.; Pan, X.; Zhang, W. Nicotine in inflammatory diseases: Anti-Inflammatory and Pro-Inflammatory effects. Front. Immunol. 2022, 13, 826889. [Google Scholar] [CrossRef]
  29. Adışen, E.; Uzun, S.; Erduran, F.; Gürer, M.A. Prevalence of smoking, alcohol consumption and metabolic syndrome in patients with psoriasis. An. Bras. Dermatol. 2018, 93, 205–211. [Google Scholar] [CrossRef]
  30. Petersen, M.H.; Bjørn, M. Development of Multiple Cherry Angiomas in a Child after COVID-19 Vaccination. Acta Derm. Venereol. 2023, 103, adv00870. [Google Scholar] [CrossRef]
  31. Wakkee, M.; Herings, R.M.C.; Nijsten, T. Psoriasis May Not be an Independent Risk Factor for Acute Ischemic Heart Disease Hospitalizations: Results of a Large Population-Based Dutch Cohort. J. Investig. Dermatol. 2009, 130, 962–967. [Google Scholar] [CrossRef] [PubMed]
  32. Canavese, M.; Peric, M.; Dombrowski, Y.; Koglin, S. VEGF Induces IL-23 Expression in Keratinocytes through p38 Signaling. J. Clin. Exp. Dermatol. Res. 2011, 1–4, 2. [Google Scholar] [CrossRef]
  33. Ebrahem, Q.; Minamoto, A.; Hoppe, G.; Anand-Apte, B.; Sears, J.E. Triamcinolone acetonide inhibits IL-6– and VEGF-Induced angiogenesis downstream of the IL-6 and VEGF receptors. Investig. Ophthalmol. Vis. Sci. 2006, 47, 4935. [Google Scholar] [CrossRef]
  34. Watari, K.; Nakamura, M.; Fukunaga, Y.; Furuno, A.; Shibata, T.; Kawahara, A.; Hosoi, F.; Kuwano, T.; Kuwano, M.; Ono, M. The antitumor effect of a novel angiogenesis inhibitor (an octahydronaphthalene derivative) targeting both VEGF receptor and NF-κB pathway. Int. J. Cancer 2011, 131, 310–321. [Google Scholar] [CrossRef]
  35. Wu, L.; Qiao, Z.; Tian, J.; Lin, J.; Hou, S.; Liu, X. The effect of secukinumab treatment for psoriasis on serum cytokines and correlation with disease severity. Ski. Res. Technol. 2023, 29, e13405. [Google Scholar] [CrossRef]
  36. McGeachy, M.J.; Chen, Y.; Tato, C.M.; Laurence, A.; Joyce-Shaikh, B.; Blumenschein, W.M.; McClanahan, T.K.; O’Shea, J.J.; Cua, D.J. The interleukin 23 receptor is essential for the terminal differentiation of interleukin 17–producing effector T helper cells in vivo. Nat. Immunol. 2009, 10, 314–324. [Google Scholar] [CrossRef]
  37. Melly, L.F.; Marsano, A.; Frobert, A.; Boccardo, S.; Helmrich, U.; Heberer, M.; Eckstein, F.S.; Carrel, T.P.; Giraud, M.-N.; Tevaearai, H.T.; et al. Controlled angiogenesis in the heart by Cell-Based expression of specific vascular endothelial growth factor levels. Hum. Gene Ther. Methods 2012, 23, 346–356. [Google Scholar] [CrossRef]
  38. Stepien, H.; Kolomecki, K.; Pasieka, Z.; Komorowski, J.; Stepien, T.; Kuzdak, K. Angiogenesis of endocrine gland tumours—new molecular targets in diagnostics and therapy. Eur. J. Endocrinol. 2002, 146, 143–151. [Google Scholar] [CrossRef]
  39. Das, A.; Merrill, P.; Wilson, J.; Turner, T.; Paige, M.; Capitosti, S.; Brown, M.; Freshcorn, B.; Sok, M.C.P.; Song, H.; et al. Evaluating angiogenic potential of small molecules using genetic network approaches. Regen. Eng. Transl. Med. 2018, 5, 30–41. [Google Scholar] [CrossRef]
  40. Hawryluk, E.B.; Linskey, K.R.; Duncan, L.M.; Nazarian, R.M. Broad range of adverse cutaneous eruptions in patients on TNF-alpha antagonists. J. Cutan. Pathol. 2012, 39, 481–492. [Google Scholar] [CrossRef]
  41. Bandla, M.; Lee, S.; Simpson, I.; Boyapati, A. Eruptive cherry angiomas–a novel cutaneous manifestation of immunoglobulin type gamma 4-related disease. Australas. J. Dermatol. 2022, 63, 376–379. [Google Scholar] [CrossRef] [PubMed]
  42. Armstrong, A.W.; Harskamp, C.T.; Armstrong, E.J. The association between psoriasis and obesity: A systematic review and meta-analysis of observational studies. Nutr. Diabetes 2012, 2, e54. [Google Scholar] [CrossRef] [PubMed]
  43. Shahidi-Dadras, M.; Haghighatkhah, H.R.; Abdollahimajd, F.; Younespour, S.; Kia, M.P.; Zargari, O. Correlation between vascular endothelial growth factor and subclinical atherosclerosis in patients with psoriasis. Int. J. Dermatol. 2015, 55, 52–59. [Google Scholar] [CrossRef] [PubMed]
  44. Batycka-Baran, A.; Paprocka, M.; Krawczenko, A.; Kantor, A.; Duś, D.; Szepietowski, J.C. Reduced Number of Circulating Endothelial Progenitor Cells (CD133+/KDR+) in Patients with Plaque Psoriasis. Dermatology 2012, 225, 88–92. [Google Scholar] [CrossRef]
  45. Campanati, A.; Moroncini, G.; Ganzetti, G.; Pozniak, K.N.; Goteri, G.; Giuliano, A.; Martina, E.; Liberati, G.; Ricotti, F.; Gabrielli, A.; et al. Adalimumab modulates angiogenesis in psoriatic skin. Eur. J. Inflamm. 2013, 11, 489–498. [Google Scholar] [CrossRef]
  46. Yang, X.; Ding, W.; Cao, Y.; Xing, F.; Tao, M.; Fu, H.; Luo, H. A preliminary study of the effect of semaphorin 3A and acitretin on the proliferation, migration, and apoptosis of HACAT cells. Indian J. Dermatol. 2019, 64, 250. [Google Scholar] [CrossRef]
  47. Loo, Y.P.; Loo, C.H.; Lim, A.L.; Wong, C.K.; Ali, N.B.M.; Khor, Y.H.; Tan, W.C. Prevalence and risk factors associated with psoriatic arthritis among patients with psoriasis. Int. J. Rheum. Dis. 2023, 26, 1788–1798. [Google Scholar] [CrossRef]
  48. Mohta, A.; Mohta, A.; Ghiya, B.C. Assessing the association between psoriasis and cardiovascular ischemia: An investigation of vascular endothelial growth factor, cutaneous angiogenesis, and arterial stiffness. Indian Dermatol. Online J. 2023, 14, 653. [Google Scholar] [CrossRef]
  49. Sethi, H.; Nigam, P. Relation between psoriasis and psoriatic arthritis: A study of 40 patients. Natl. J. Clin. Orthop. 2018, 2, 43–47. [Google Scholar] [CrossRef]
  50. Flicinski, J.; Brzosko, M.; Olewniczak, S. Multiple Haemangiomas in a Psoriatic Arthritis Patient Treated with Cyclosporine. Acta Derm. Venereol. 2006, 86, 271–272. [Google Scholar] [CrossRef]
  51. Armstrong, A.W.; Schupp, C.; Bebo, B. Psoriasis Comorbidities: Results from the National Psoriasis Foundation Surveys 2003 to 2011. Dermatology 2012, 225, 121–126. [Google Scholar] [CrossRef] [PubMed]
  52. Tiucă, O.M.; Morariu, S.H.; Mariean, C.R.; Tiucă, R.A.; Nicolescu, A.C.; Cotoi, O.S. Eosinophil-Count-Derived Inflammatory Markers and Psoriasis Severity: Exploring the link. Dermato 2024, 4, 25–36. [Google Scholar] [CrossRef]
  53. Banerjee, S.; Das, S.; Roy, A.K.; Ghoshal, L. Comparative effectiveness and safety of methotrexate versus PUVA in severe Chronic stable plaque psoriasis. Indian J. Dermatol. 2021, 66, 371–377. [Google Scholar] [CrossRef] [PubMed]
  54. Gupta, S.; Singh, K.; Lalit, M. Comparative therapeutic evaluation of different topicals and narrow band ultraviolet B therapy combined with systemic methotrexate in the treatment of palmoplantar psoriasis. Indian J. Dermatol. 2011, 56, 157. [Google Scholar] [CrossRef] [PubMed]
  55. Chen, Z. What’s new about the mechanism of methotrexate action in psoriasis? Br. J. Dermatol. 2018, 179, 818–819. [Google Scholar] [CrossRef]
  56. Näslund-Koch, C.; Vedel-Krogh, S.; Bojesen, S.E.; Skov, L. Traditional and Non-traditional Cardiovascular Risk Factors and Cardiovascular Disease in Women with Psoriasis. Acta Derm. Venereol. 2022, 102, adv00789. [Google Scholar] [CrossRef]
  57. Yeh, C.-B.; Yeh, L.-T.; Yang, S.-F.; Wang, B.-Y.; Wang, Y.-H.; Chan, C.-H. Association between psoriasis and peripheral artery occlusive disease: A population-based retrospective cohort study. Front. Cardiovasc. Med. 2023, 10, 1136540. [Google Scholar] [CrossRef]
  58. Franken, S.M.; Spiekstra, S.W.; Waaijman, T.; Lissenberg-Witte, B.; Rustemeyer, T. Carcinogenic effects of prolonged daily low-emission phototherapy in psoriasis. Photodermatol. Photoimmunol. Photomed. 2021, 38, 442–450. [Google Scholar] [CrossRef]
  59. Niculet, E.; Chioncel, V.; Elisei, A.; Miulescu, M.; Buzia, O.; Nwabudike, L.; Craescu, M.; Draganescu, M.; Bujoreanu, F.; Marinescu, E.; et al. Multifactorial expression of IL-6 with update on COVID-19 and the therapeutic strategies of its blockade (Review). Exp. Ther. Med. 2021, 21, 263. [Google Scholar] [CrossRef]
  60. Byrom, L.; Barksdale, S.; Weedon, D.; Muir, J. Unstable solar lentigo: A defined separate entity. Australas. J. Dermatol. 2016, 57, 229–234. [Google Scholar] [CrossRef]
  61. Nakamura, M.; Morita, A.; Seité, S.; Haarmann-Stemmann, T.; Grether-Beck, S.; Krutmann, J. Environment-induced lentigines: Formation of solar lentigines beyond ultraviolet radiation. Exp. Dermatol. 2015, 24, 407–411. [Google Scholar] [CrossRef] [PubMed]
  62. Sadoghi, B.; Schmid-Zalaudek, K.; Zalaudek, I.; Fink-Puches, R.; Niederkorn, A.; Wolf, I.; Rohrer, P.; Richtig, E. Prevalence of nevi, atypical nevi, and lentigines in relation to tobacco smoking. PLoS ONE 2021, 16, e0254772. [Google Scholar] [CrossRef]
  63. Zhang, X.; Wang, Z.; Zhang, D.; Ye, D.; Zhou, Y.; Qin, J.; Zhang, Y. The prevalence and treatment rate trends of osteoporosis in postmenopausal women. PLoS ONE 2023, 18, e0290289. [Google Scholar] [CrossRef]
  64. Aoki, H.; Moro, O.; Tagami, H.; Kishimoto, J. Gene expression profiling analysis of solar lentigo in relation to immunohistochemical characteristics. Br. J. Dermatol. 2007, 156, 1214–1223. [Google Scholar] [CrossRef]
  65. Lipsky, Z.W.; German, G.K. Ultraviolet light degrades the mechanical and structural properties of human stratum corneum. Biorxiv Cold Spring Harb. Lab. 2019, 100, 103391. [Google Scholar] [CrossRef]
  66. Kern, C.; Dudonné, S.; Garcia, C. Dietary supplementation with a wheat polar lipid complex improves skin conditions in women with dry skin and mild-to-moderate skin aging. J. Cosmet. Dermatol. 2023, 23, 1320–1330. [Google Scholar] [CrossRef]
  67. Kendall, A.C.; Pilkington, S.M.; Wray, J.R.; Newton, V.L.; Griffiths, C.E.M.; Bell, M.; Watson, R.E.B.; Nicolaou, A. Menopause induces changes to the stratum corneum ceramide profile, which are prevented by hormone replacement therapy. Sci. Rep. 2022, 12, 21715. [Google Scholar] [CrossRef]
  68. Bickers, D.R.; Athar, M. Oxidative stress in the pathogenesis of skin disease. J. Investig. Dermatol. 2006, 126, 2565–2575. [Google Scholar] [CrossRef]
  69. Denat, L.; Kadekaro, A.L.; Marrot, L.; Leachman, S.A.; Abdel-Malek, Z.A. Melanocytes as instigators and victims of oxidative stress. J. Investig. Dermatol. 2014, 134, 1512–1518. [Google Scholar] [CrossRef]
  70. Imokawa, G. Melanocyte activation mechanisms and rational therapeutic treatments of solar lentigos. Int. J. Mol. Sci. 2019, 20, 3666. [Google Scholar] [CrossRef]
  71. Zhang, S.; Liang, J.; Tian, X.; Zhou, X.; Liu, W.; Chen, X.; Zhang, X. Secukinumab-induced multiple lentigines in areas of resolved psoriatic plaques: A case report and literature review. Dermatol. Ther. 2021, 34, e15048. [Google Scholar] [CrossRef]
  72. Bujoreanu, F.; Bezman, L.; Radaschin, D.; Niculet, E.; Bobeica, C.; Craescu, M.; Nadasdy, T.; Jicman, D.; Ardeleanu, V.; Nwabudike, L.; et al. Nevi, biologics for psoriasis and the risk for skin cancer: A real concern? (Case presentation and short review). Exp. Ther. Med. 2021, 22, 1354. [Google Scholar] [CrossRef]
  73. María, P.S.; Valenzuela, F.; Morales, C.; De La Fuente, R.; Cullen, R. Lentiginous eruption in resolving psoriasis plaques during treatment with ixekizumab: A case report and review of the literature. Dermatol. Rep. 2017, 9, 7079. [Google Scholar] [CrossRef]
  74. Dogan, S.; Atakan, N. Multiple lentigines confined to psoriatic plaques induced by biologic agents in psoriasis therapy: A case and review of the literature. Cutan. Ocul. Toxicol. 2015, 34, 262–264. [Google Scholar] [CrossRef]
  75. Guttierez-Gonzalez, E.; Batalla, A.; De La Mano, D. Multiple lentigines in areas of resolving psoriatic plaques after ustekinumab therapy. Dermatol. Online J. 2014, 20, 22338. [Google Scholar] [CrossRef]
  76. Khanna, U.; Oprea, Y.; Fisher, M.; Halverstam, C. Eruptive lentigines confined to psoriatic plaques following biologic therapy. Clin. Rheumatol. 2022, 41, 3257–3258. [Google Scholar] [CrossRef]
  77. Palmisano, G.; Di Stefani, A.; Cappilli, S.; Chiricozzi, A.; Peris, K. Eruptive lentiginosis in resolving plaque psoriasis during treatment with risankizumab. Ski. Res. Technol. 2023, 29, e13483. [Google Scholar] [CrossRef]
  78. Ardigò, M.; Agozzino, M.; Longo, C.; Lallas, A.; Di Lernia, V.; Fabiano, A.; Conti, A.; Sperduti, I.; Argenziano, G.; Berardesca, E.; et al. Reflectance confocal microscopy for plaque psoriasis therapeutic follow-up during an anti-TNF-α monoclonal antibody: An observational multicenter study. J. Eur. Acad. Dermatol. Venereol. 2015, 29, 2363–2368. [Google Scholar] [CrossRef]
Figure 1. Reflective confocal microscopy aspect before the initiation of biologic therapy—absence of edged papillae visualization, accompanied by pronounced epidermal thickening and inflammatory infiltration.
Figure 1. Reflective confocal microscopy aspect before the initiation of biologic therapy—absence of edged papillae visualization, accompanied by pronounced epidermal thickening and inflammatory infiltration.
Medicina 61 00565 g001
Figure 2. Reflective confocal microscopy aspect before the initiation of biologic therapy—alternative aspect—absence of edged papillae visualization, accompanied by pronounced epidermal thickening and inflammatory infiltration.
Figure 2. Reflective confocal microscopy aspect before the initiation of biologic therapy—alternative aspect—absence of edged papillae visualization, accompanied by pronounced epidermal thickening and inflammatory infiltration.
Medicina 61 00565 g002
Figure 3. Reflective confocal microscopy aspect of a psoriasis plaque 3 months after treatment initiation—reappearance of the edged papillae structure, alongside a reduction in inflammation and papillomatosis.
Figure 3. Reflective confocal microscopy aspect of a psoriasis plaque 3 months after treatment initiation—reappearance of the edged papillae structure, alongside a reduction in inflammation and papillomatosis.
Medicina 61 00565 g003
Figure 4. Reflective confocal microscopy aspect of a psoriasis plaque 6 months after treatment initiation—reappearance of the edged papillae structure, alongside a reduction in inflammation and papillomatosis.
Figure 4. Reflective confocal microscopy aspect of a psoriasis plaque 6 months after treatment initiation—reappearance of the edged papillae structure, alongside a reduction in inflammation and papillomatosis.
Medicina 61 00565 g004
Table 1. Duration of biologic therapy in the study group.
Table 1. Duration of biologic therapy in the study group.
nMeanStandard DeviationStandard Error of the MeanMinMaxMedian
Biologic therapy duration (months)6062.386.0146.571018039.50
Table 2. Therapeutic classes of biologics in the study group.
Table 2. Therapeutic classes of biologics in the study group.
n%
Therapeutic classTNF-α inhibitors1830.0
IL-17 inhibitors2541.7
IL-23 inhibitors1728.3
Total60100.0
Table 3. Disease duration in the study group.
Table 3. Disease duration in the study group.
nMeanStandard DeviationStandard Error of the MeanMinMaxMedian
Disease duration (years)6024.621.5612.1444625.00
Table 4. Characteristics of disease severity scores—baseline and during follow-up.
Table 4. Characteristics of disease severity scores—baseline and during follow-up.
nMeanStandard DeviationStandard Error of MeanMinMaxMedianWilcoxon Test
Zp
PASI Score
baseline6026.241.3610.607.151.323.85
3 months6012.700.987.591.330.012.50−6.736<0.001
6 months605.800.564.380.018.04.50−6.593<0.001
12 months602.280.302.380122.00−5.969<0.001
DLQI score
baseline6021.070.806.2413022.00
3 months609.330.886.850289.00−6.628<0.001
6 months604.350.574.430233.00−5.991<0.001
12 months602.000.382.980181.00−5.367<0.001
Table 5. Study of angioma counts based on patients’ demographic characteristics.
Table 5. Study of angioma counts based on patients’ demographic characteristics.
Number of AngiomasNMeanStandard DeviationStandard Error of the MeanMinMaxMedianMann–Whitney Test
Gendermale403.332.120.330113.00U = 79.000
female2011.906.181.3812412.00p < 0.001
Residenceurban426.455.970.920244.00U = 362.500
rural185.564.911.151184.00p = 0.801
Table 6. Study of angioma counts based on patients’ clinical characteristics.
Table 6. Study of angioma counts based on patients’ clinical characteristics.
Number of AngiomasNMeanStandard DeviationStandard Error of MeanMinMaxMedianMann–Whitney/Kruskal–Wallis Test
Smokingyes264.043.600.700193.00U = 297.500
no347.826.391.090246.00p = 0.030
Alcohol consumptionregularly364.254.010.660183.00U = 225.000
does not consume249.086.541.330249.00p = 0.002
Menopauseyes1613.445.791.4422413.00U = 6.000
no45.753.401.70196.50p = 0.011
Osteoporosisyes810.884.791.6941812.00U = 71.500
no525.465.460.750244.00p = 0.003
Chronic UV exposureoccasionally205.404.721.051183.50U = 373.000
no406.586.080.960244.00p = 0.670
History of sunburnsyes165.315.211.301183.00U = 304.500
no446.505.820.870244.00p = 0.424
Histofy of keraoacanthomayes35.674.612.663113.00U = 84.000
no576.215.730.760244.00p = 0.975
PhototypeII198.266.271.440249.00H = 3.912
III385.114.700.761234.00p = 0.141
IV36.6710.696.170191.00
Table 7. Study of angioma counts based on previous medication used and clinical forms.
Table 7. Study of angioma counts based on previous medication used and clinical forms.
Number of AngiomasNMeanStandard DeviationStandard Error of MeanMinMaxMedianMann–Whitney/Kruskal–Wallis Test
Biologic-naïve patientYes475.895.550.810244.00U = 249.000
No137.236.111.690195.00p = 0.307
Biological therapy classTNF-α inhibitors185.064.391.032174.00H = 0.451
IL-17 inhibitors256.485.531.101245.00p = 0.798
IL-23 inhibitors176.947.001.690234.00
History of Beta-blocker useyes149.935.951.593239.00U = 135.000
no465.045.090.750243.00p <0.001
History of NSAID useyes257.205.951.191245.00U = 341.000
no355.465.390.910234.00p = 0.145
Family history of psoriasisyes157.876.951.790247.00U = 294.000
no455.625.110.760234.00p = 0.454
Psoriatric arthropatyabsent343.763.120.530143.00H = 17.058
axial711.867.943.0032413.00p <0.001
peripheral1010.606.271.982239.00
mixed96.005.121.701174.00
Genital involvementyes510.808.223.682249.00U = 78.500
no555.765.260.710234.00p = 0.117
Scalp involvemenetyes506.045.320.750234.00U = 237.500
no106.907.372.331243.00p = 0.803
Palmoplantar involvementyes235.524.811.001194.00U = 412.000
no376.596.141.010244.00p = 0.836
Nail involvementyes506.505.860.820244.00U = 187.500
no104.604.351.370123.00p = 0.212
Table 8. Study of angioma counts based on observed comorbidities.
Table 8. Study of angioma counts based on observed comorbidities.
Number of AngiomasNMeanStandard DeviationStandard Error of MeanMinMaxMedianMann–Whitney Test
Inflammatory biological syndromeyes287.005.691.071244.00U = 360.000
no325.475.600.990234.00p = 0.189
Endocrine dysfunctionyes317.007.214.1692319.00U = 14.000
no575.615.020.660244.00p = 0.009
Diabetesyes116.555.141.552184.00U = 250.000
no496.105.800.830244.00p = 0.707
Urinary tract infection yes76.434.821.821137.00U = 179.500
no536.155.790.790244.00p = 0.893
Cardiovascular diseaseyes228.686.061.292239.00U = 231.000
no384.744.910.790243.00p = 0.004
Locomotory disordersyes148.215.011.332188.00U = 195.500
no465.575.740.840243.50p = 0.026
Asthmayes213.5013.439.5042313.50U = 29.500
no585.935.280.690244.00p = 0.271
Chronic obstructive pulmonary diseaseyes95.675.401.802194.00U = 228.000
no516.275.740.800244.00p = 0.975
History of coronary artery disease/strokeyes26.503.532.50496.50U = 42.500
no586.175.730.750244.00p = 0.547
History of surgical proceduresyes97.006.002.002194.00U = 211.500
no516.045.630.790244.00p = 0.707
Renal diseaseyes210.001.411.0091110.00U = 24.000
no586.055.700.740244.00p = 0.191
Neurological disordersyes14.00 444.00U = 29.500
no596.225.690.740244.00p = 1.000
History of hepatic diseaseyes356.636.161.041244.00U = 398.500
no255.564.900.980184.00p = 0.556
Viral hepatic infectionsyes32.000.000.00222.00U = 31.500
no576.405.710.750244.00p = 0.066
Anemiayes58.206.532.922187.00U = 107.000
no556.005.590.750244.00p = 0.434
Thrombocytopeniayes49.259.324.663235.50U = 80.000
no565.965.360.710244.00p = 0.365
Table 9. Study of angioma counts based on previous therapies.
Table 9. Study of angioma counts based on previous therapies.
Number of AngiomasNMeanStandard DeviationStandard Error of MeanMinMaxMedianMann–Whitney Test
Chemoprophylaxis with isoniazid for tuberculosis preventionyes377.416.181.012244.00U = 271.500
no234.224.070.850143.00p = 0.018
Previous Methotrexate (MTX) Treatmentyes576.185.720.750244.00U = 77.000
no36.335.132.962125.00p = 0.798
Previous PUVA Therapyyes711.867.772.9302411.00U = 88.500
no535.434.930.670234.00p = 0.023
Previous UVB Therapyyes105.304.761.500143.50U = 226.000
no506.365.840.820244.00p = 0.631
Table 10. Study of solar lentigo counts based on patients’ demographic characteristics.
Table 10. Study of solar lentigo counts based on patients’ demographic characteristics.
Number of Solar LentigosNMeanStandard DeviationStandard Error of MeanMinMaxMeanMann–Whitney Test
Gendermale4015.1313.212.09005012.00U = 356.000
female2017.8515.173.39306212.50p = 0.490
Residenceurban4215.7414.912.30206211.00U = 327.500
rural1816.7211.242.65024314.00p = 0.415
Table 11. Study of solar lentigo counts based on patients’ clinical characteristics.
Table 11. Study of solar lentigo counts based on patients’ clinical characteristics.
Number of Solar LentigosNMeanStandard DeviationStandard Error of MeanMinMaxMedianMann–Whitney/Kruskal–Wallis Test
Smokingyes2610.9610.202.000438.50U = 275.000
no3419.9115.082.5806215.50p = 0.013
Alcohol consumptionoccasionally3614.3311.251.8704313.00U = 393.000
does not consume2418.5816.933.4506211.50p = 0.556
Menopauseyes1620.4415.653.9166217.00U = 13.000
no47.507.323.660167.00p = 0.080
Osteoporosisyes820.6311.033.90114520.00U = 134.000
no5215.3314.161.9606211.00p = 0.107
Chronic UV exposureoccasionally2015.4011.392.5424313.00U = 391.000
no4016.3515.022.3706211.50p = 0.888
History of sunburnyes1615.259.902.4723813.00U = 330.000
no4416.3215.092.2706211.00p = 0.713
History of keratoacanthomayes334.0017.3410.01144543.00U = 29.000
no5715.0913.131.7406211.00p = 0.056
PhototypeII1915.7915.253.4906211.00H = 0.262
III3816.4713.532.1905013.50p = 0.877
IV312.0011.536.6502313.00
Table 12. Study of solar lentigo counts based on previous treatments and clinical characteristics.
Table 12. Study of solar lentigo counts based on previous treatments and clinical characteristics.
Number of Solar LentigosNMeanStandard DeviationStandard Error of MeanMinMaxMedianMann–Whitney/Kruskal–Wallis Test
Biologic-Naïve Patientyes4716.3815.072.1906211.00U = 279.000
no1314.778.222.2802616.00p = 0.634
Biological therapy classTNF-α inhibitors1820.7213.123.0964517.00H = 4.744
IL-17 inhibitors2514.1613.812.7606211.00p = 0.093
IL-23 inhibitors1713.8214.163.4305011.00
History of Beta-blocker useyes1421.2915.454.1326220.00U = 216.500
no4614.4313.061.9205011.00p = 0.065
History of NSAID useyes2520.1214.412.8806217.00U = 282.500
no3513.1112.812.1605011.00p = 0.020
Family history of psoriasisyes1515.4713.963.6005012.00U = 325.000
no4516.2213.932.0706213.00p = 0.831
Psoriatic arthropatyabsent3415.1214.672.5105011.00H = 2.756
axial719.1411.244.2503621.00p = 0.431
peripheral1020.1016.865.3366216.00
mixed912.567.862.6232611.00
Genital involvementyes516.4014.086.2933611.00U = 137.000
no5516.0013.931.8806213.00p = 1.000
Scalp involvementyes5015.6613.691.9306212.00U = 228.500
no1017.9015.114.7804512.50p = 0.669
Palmoplantar involvementyes2315.7012.062.5125013.00U = 409.500
no3716.2414.982.4606211.00p = 0.807
Nail involvementyes5015.3211.771.6605012.50U = 241.000
no1019.6021.956.9406210.50p = 0.858
Table 13. Study of solar lentigo counts based on observed comorbidities.
Table 13. Study of solar lentigo counts based on observed comorbidities.
Number of Solar LentigosNMeanStandard DeviationStandard Error of MeanMinMaxMedianMann–Whitney Test
Inflammatory biological syndromeyes2820.9314.252.6906219.00U = 243.000
no3211.7512.092.130508.50p = 0.002
Endocrine dysfunctionyes314.008.184.7272312.00U = 82.500
no5716.1414.101.8606213.00p = 0.924
Diabetesyes1121.1817.905.3906216.00U = 204.500
no4914.8812.681.8105011.00p = 0.214
Urinary tract infectionyes726.0021.908.2706222.00U = 128.000
no5314.7212.101.6605011.00p = 0.194
Cardiovascular diseaseyes2221.6814.803.1526218.00U = 238.000
no3812.7612.271.990509.50p = 0.006
Locomotory disordersyes1421.4316.224.3326221.00U = 222.000
no4614.3912.761.8805011.00p = 0.080
Asthmayes217.0014.1410.0072717.00U = 51.000
no5816.0013.941.8306212.50p = 0.793
Chronic obstructive pulmonary diseaseyes921.4417.745.9166214.00U = 173.500
no5115.0813.001.8205011.00p = 0.246
History of coronary artery disease/strokeyes232.0042.4230.0026232.00U = 51.500
no5815.4812.531.6405012.50p = 0.793
Hitory of surgical proceduresyes926.7816.535.51116223.00U = 104.000
no5114.1412.551.7505011.00p = 0.009
Renal diseaseyes253.5012.028.50456253.50U = 1.500
no5814.7412.021.5705011.50p = 0.002
Neurological disordersyes127.00 272727.00U = 10.000
no5915.8513.871.8006212.00p = 0.367
History of hepatic diseaseyes3514.3412.922.1804511.00U = 352.000
no2518.4014.952.9906217.00p = 0.199
Viral hepatic infectionsyes317.6724.0013.860458.00U = 75.500
no5715.9513.441.7806213.00p = 0.749
Anemiayes523.8012.985.80134521.00U = 73.500
no5515.3313.791.8606211.00p = 0.087
Thrombocytopeniayes411.253.091.5471412.00U = 100.500
no5616.3814.241.9006212.50p = 0.742
Disclaimer/Publisher’s Note: The statements, opinions and data contained in all publications are solely those of the individual author(s) and contributor(s) and not of MDPI and/or the editor(s). MDPI and/or the editor(s) disclaim responsibility for any injury to people or property resulting from any ideas, methods, instructions or products referred to in the content.

Share and Cite

MDPI and ACS Style

Bujoreanu, F.C.; Radaschin, D.S.; Fulga, A.; Bujoreanu Bezman, L.; Tiutiuca, C.; Crăescu, M.; Pantiș, C.; Niculet, E.; Pleșea Condratovici, A.; Tatu, A.L. Cutaneous Changes Beyond Psoriasis: The Impact of Biologic Therapies on Angiomas and Solar Lentigines. Medicina 2025, 61, 565. https://doi.org/10.3390/medicina61040565

AMA Style

Bujoreanu FC, Radaschin DS, Fulga A, Bujoreanu Bezman L, Tiutiuca C, Crăescu M, Pantiș C, Niculet E, Pleșea Condratovici A, Tatu AL. Cutaneous Changes Beyond Psoriasis: The Impact of Biologic Therapies on Angiomas and Solar Lentigines. Medicina. 2025; 61(4):565. https://doi.org/10.3390/medicina61040565

Chicago/Turabian Style

Bujoreanu, Florin Ciprian, Diana Sabina Radaschin, Ana Fulga, Laura Bujoreanu Bezman, Carmen Tiutiuca, Mihaela Crăescu, Carmen Pantiș, Elena Niculet, Alina Pleșea Condratovici, and Alin Laurențiu Tatu. 2025. "Cutaneous Changes Beyond Psoriasis: The Impact of Biologic Therapies on Angiomas and Solar Lentigines" Medicina 61, no. 4: 565. https://doi.org/10.3390/medicina61040565

APA Style

Bujoreanu, F. C., Radaschin, D. S., Fulga, A., Bujoreanu Bezman, L., Tiutiuca, C., Crăescu, M., Pantiș, C., Niculet, E., Pleșea Condratovici, A., & Tatu, A. L. (2025). Cutaneous Changes Beyond Psoriasis: The Impact of Biologic Therapies on Angiomas and Solar Lentigines. Medicina, 61(4), 565. https://doi.org/10.3390/medicina61040565

Article Metrics

Back to TopTop