Percutaneous Image-Guided Ablation of Renal Cancer: Traditional and Emerging Indications, Energy Sources, Techniques, and Future Developments
Abstract
1. Introduction
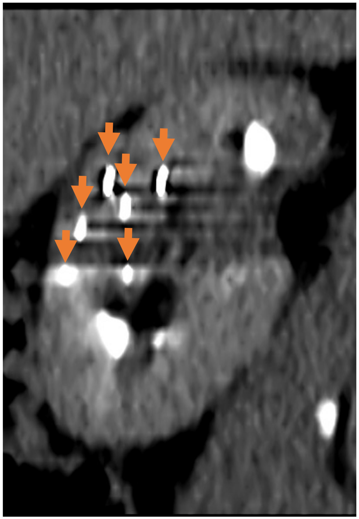
2. Indications for Image-Guided Ablation
2.1. Traditional Indications
2.1.1. Frail, Comorbid Patients
2.1.2. Patients with Solitary Kidneys or Chronic Kidney Disease
2.1.3. Histologically Proven Renal Cell Carcinoma
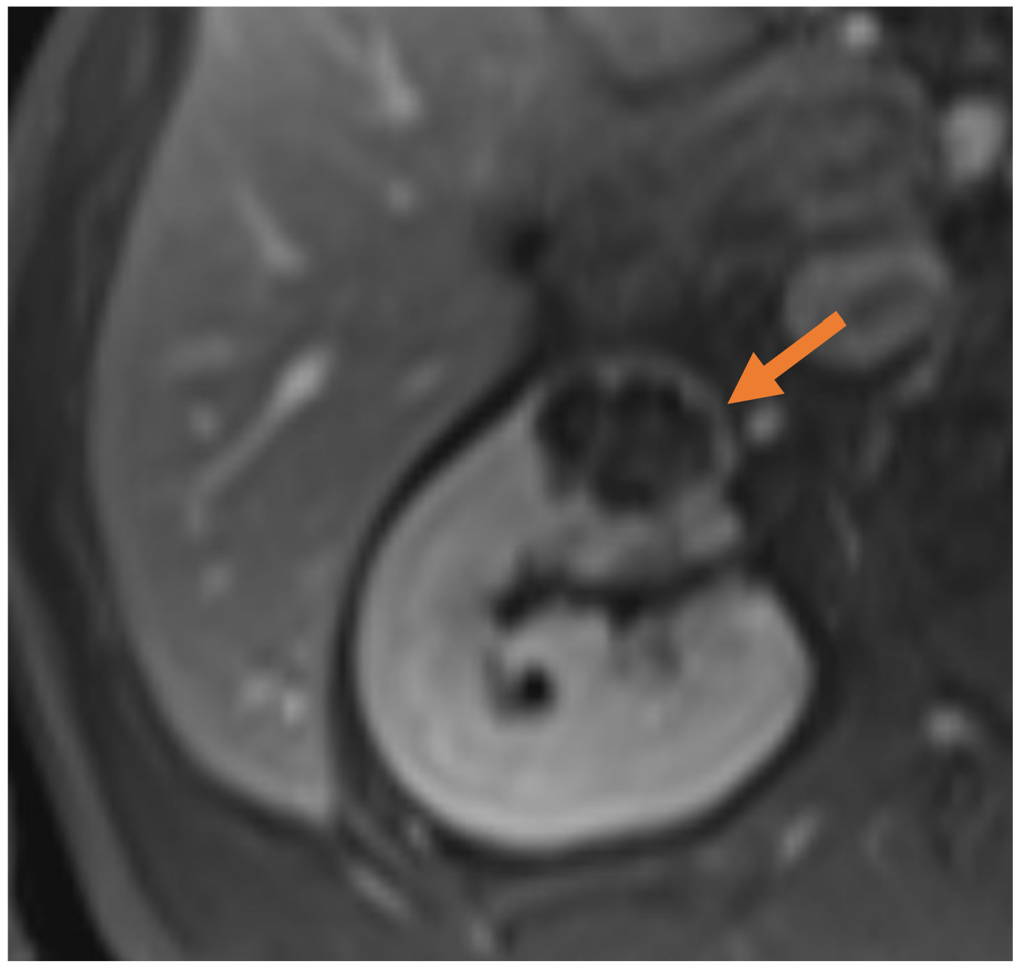
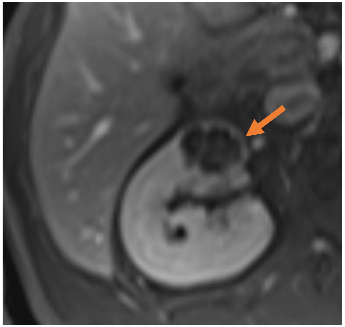
2.1.4. Size and Location of Tumours
2.2. Emerging Indications
2.2.1. T1b or T2 Tumours
2.2.2. Recurrent or Hereditary RCCs
3. Energy Sources
3.1. Traditional Energy Sources
3.1.1. Radiofrequency Ablation (RFA)
3.1.2. Cryoablation (CRYO)
3.1.3. Microwave Ablation (MWA)
3.1.4. Comparison of the Traditional Modalities
3.2. Emerging Energy Sources
3.2.1. Irreversible Electroporation (IRE)
3.2.2. Histotripsy
4. Future Research Priorities and Directions
4.1. Establishing the Role of IGA in SRMs
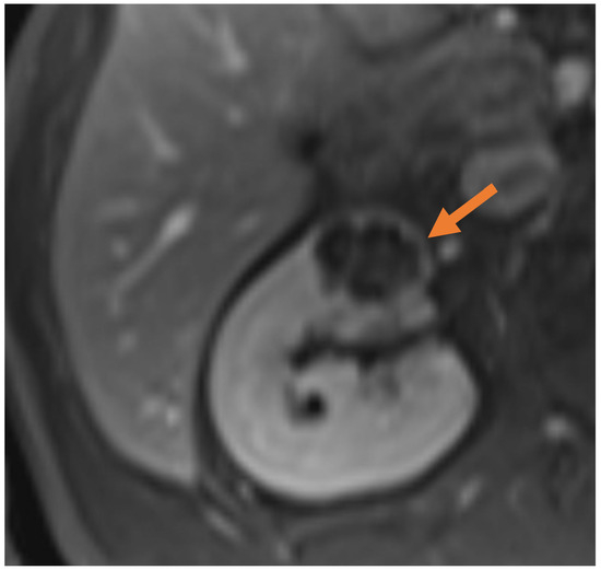
4.2. Intraprocedural Imaging
4.3. Radiomics and Artificial Intelligence (AI) in IGA
4.4. Immunomodulation and Potential Combination with Immunotherapy
5. Conclusions
Author Contributions
Funding
Conflicts of Interest
Abbreviations
| RCC | Renal cell carcinoma |
| SRM | Small renal mass |
| RN | Radical nephrectomy |
| PN | Partial nephrectomy |
| IGA | Image-guided ablation |
| RFA | Radiofrequency ablation |
| MWA | Microwave ablation |
| CRYO | Cryoablation |
| IRE | Irreversible electroporation |
| AUA | American Urological Association |
| EAU | European Association of Urology |
| CKD | Chronic kidney disease |
| eGFR | Estimated glomerular filtration rate |
| R.E.N.A.L. | Radius, Endophytic/Endophytic, Nearness to collecting system or renal sinus, Anterior/posterior location, location relative to polar lines |
| PADUA | Preoperative aspects and dimensions used for an anatomical classification |
| TAE | Transarterial embolisation |
| VHL | von Hippel–Lindau syndrome |
| HLRCC | Hereditary leiomyomatosis and renal cell cancer |
| HPRC | Hereditary papillary renal carcinoma |
| BHD | Birt–Hogg–Dube syndrome |
| CT | Computed tomography |
| MRI | Magnetic resonance imaging |
| AI | Artificial intelligence |
| QALY | Quality-adjusted life year |
| PROM | Patient-reported outcome measure |
| SF-36 | 36-item Short-Form Survey |
References
- Ljungberg, B.; Albiges, L.; Abu-Ghanem, Y.; Bedke, J.; Capitanio, U.; Dabestani, S.; Fernández-Pello, S.; Giles, R.H.; Hofmann, F.; Hora, M.; et al. European Association of Urology Guidelines on Renal Cell Carcinoma: The 2022 Update. Eur. Urol. 2022, 82, 399–410. [Google Scholar] [CrossRef]
- Lowrance, W.T.; Yee, D.S.; Savage, C.; Cronin, A.M.; O’Brien, M.F.; Donat, S.M.; Vickers, A.; Russo, P. Complications after radical and partial nephrectomy as a function of age. J. Urol. 2010, 183, 1725–1730. [Google Scholar] [CrossRef] [PubMed]
- Mir, M.C.; Ercole, C.; Takagi, T.; Zhang, Z.; Velet, L.; Remer, E.M.; Demirjian, S.; Campbell, S.C. Decline in Renal Function after Partial Nephrectomy: Etiology and Prevention. J. Urol. 2015, 193, 1889–1898. [Google Scholar] [CrossRef] [PubMed]
- Chan, V.W.-S.; Abul, A.; Osman, F.H.; Ng, H.H.-L.; Wang, K.; Yuan, Y.; Cartledge, J.; Wah, T.M. Ablative therapies versus partial nephrectomy for small renal masses—A systematic review and meta-analysis. Int. J. Surg. 2022, 97, 106194. [Google Scholar] [CrossRef] [PubMed]
- Campbell, S.C.; Clark, P.E.; Chang, S.S.; Karam, J.A.; Souter, L.; Uzzo, R.G. Renal Mass and Localized Renal Cancer: Evaluation, Management, and Follow-Up: AUA Guideline: Part I. J. Urol. 2021, 206, 199–208. [Google Scholar] [CrossRef]
- Kidney Cancer Incidence Statistics. Available online: https://www.cancerresearchuk.org/health-professional/cancer-statistics/statistics-by-cancer-type/kidney-cancer/incidence (accessed on 20 January 2025).
- Balageas, P.; Cornelis, F.; Le Bras, Y.; Hubrecht, R.; Bernhard, J.C.; Ferrière, J.M.; Ravaud, A.; Grenier, N. Ten-year experience of percutaneous image-guided radiofrequency ablation of malignant renal tumours in high-risk patients. Eur. Radiol. 2013, 23, 1925–1932. [Google Scholar] [CrossRef]
- Anglickis, M.; Anglickienė, G.; Andreikaitė, G.; Skrebūnas, A. Microwave Thermal Ablation versus Open Partial Nephrectomy for the Treatment of Small Renal Tumors in Patients Over 70 Years Old. Medicina 2019, 55, 664. [Google Scholar] [CrossRef]
- Vetterlein, M.W.; Jindal, T.; Becker, A.; Regier, M.; Kluth, L.A.; Tilki, D.; Chun, F.K.H. Small renal masses in the elderly: Contemporary treatment approaches and comparative oncological outcomes of nonsurgical and surgical strategies. Investig. Clin. Urol. 2016, 57, 231–239. [Google Scholar] [CrossRef]
- Pietersen, P.I.; Stougaard, S.; Keeley, F.X.; Lagerveld, B.; Breen, D.; King, A.; Nielsen, T.K.; van Strijen, M.; Garnon, J.; Alcorn, D.; et al. Renal Function After CT-Guided Cryoablation of Small Renal Tumours in Patients with Solitary Kidney: An Analysis of European Multinational Prospective EuRECA Registry. Cardiovasc. Interv. Radiol. 2024, 47, 583–589. [Google Scholar] [CrossRef]
- Gobara, H.; Nakatsuka, A.; Shimizu, K.; Yamanaka, T.; Matsui, Y.; Iguchi, T.; Hiraki, T.; Yamakado, K. Cryoablation of renal cell carcinoma for patients with stage 4 or 5 non-dialysis chronic kidney disease. Jpn. J. Radiol. 2019, 37, 481–486. [Google Scholar] [CrossRef]
- Bhindi, B.; Mason, R.J.; Haddad, M.M.; Boorjian, S.A.; Leibovich, B.C.; Atwell, T.D.; Weisbrod, A.J.; Schmit, G.D.; Thompson, R.H. Outcomes After Cryoablation Versus Partial Nephrectomy for Sporadic Renal Tumors in a Solitary Kidney: A Propensity Score Analysis. Eur. Urol. 2018, 73, 254–259. [Google Scholar] [CrossRef] [PubMed]
- Kim, J.H.; Li, S.; Khandwala, Y.; Chung, K.J.; Park, H.K.; Chung, B.I. Association of Prevalence of Benign Pathologic Findings After Partial Nephrectomy With Preoperative Imaging Patterns in the United States From 2007 to 2014. JAMA Surg. 2019, 154, 225–231. [Google Scholar] [CrossRef] [PubMed]
- Baio, R.; Molisso, G.; Caruana, C.; Di Mauro, U.; Intilla, O.; Pane, U.; D’Angelo, C.; Campitelli, A.; Pentimalli, F.; Sanseverino, R. “To Be or Not to Be Benign” at Partial Nephrectomy for Presumed RCC Renal Masses: Single-Center Experience with 195 Consecutive Patients. Diseases 2023, 11, 27. [Google Scholar] [CrossRef]
- Chan, V.W.-S.; Keeley, F.X.; Lagerveld, B.; Breen, D.J.; King, A.; Nielsen, T.K.; van Strijen, M.; Garnon, J.; Alcorn, D.; Graumann, O.; et al. The changing trends of image-guided biopsy of small renal masses before intervention—An analysis of European multinational prospective EuRECA registry. Eur. Radiol. 2022, 32, 4667–4678. [Google Scholar] [CrossRef]
- Richard, P.O.; Jewett, M.A.S.; Bhatt, J.R.; Kachura, J.R.; Evans, A.J.; Zlotta, A.R.; Hermanns, T.; Juvet, T.; Finelli, A. Renal Tumor Biopsy for Small Renal Masses: A Single-center 13-year Experience. Eur. Urol. 2015, 68, 1007–1013. [Google Scholar] [CrossRef]
- Marconi, L.; Dabestani, S.; Lam, T.B.; Hofmann, F.; Stewart, F.; Norrie, J.; Bex, A.; Bensalah, K.; Canfield, S.E.; Hora, M.; et al. Systematic Review and Meta-analysis of Diagnostic Accuracy of Percutaneous Renal Tumour Biopsy. Eur. Urol. 2016, 69, 660–673. [Google Scholar] [CrossRef]
- Baio, R.; Molisso, G.; Caruana, C.; Di Mauro, U.; Intilla, O.; Pane, U.; D’Angelo, C.; Campitelli, A.; Pentimalli, F.; Sanseverino, R. “Could Patient Age and Gender, along with Mass Size, Be Predictive Factors for Benign Kidney Tumors?”: A Retrospective Analysis of 307 Consecutive Single Renal Masses Treated with Partial or Radical Nephrectomy. Bioengineering 2023, 10, 794. [Google Scholar] [CrossRef]
- Luzzago, S.; Mistretta, F.A.; Mauri, G.; Vaccaro, C.; Ghilardi, G.; Maiettini, D.; Marmiroli, A.; Varano, G.; Di Trapani, E.; Camisassi, N.; et al. Thermal ablation for small renal masses: Identifying the most appropriate tumor size cut-off for predicting perioperative and oncological outcomes. Urol. Oncol. Semin. Orig. Investig. 2022, 40, 537.e1–537.e9. [Google Scholar] [CrossRef]
- Laguna, P.M. What matters when selecting candidates for renal ablation: Tumor size or the patient’s condition? Cent. Eur. J. Urol. 2015, 68, 137–138. [Google Scholar] [CrossRef]
- Chan, V.W.-S.; Osman, F.H.; Cartledge, J.; Gregory, W.; Kimuli, M.; Vasudev, N.S.; Ralph, C.; Jagdev, S.; Bhattarai, S.; Smith, J.; et al. Long-term outcomes of image-guided ablation and laparoscopic partial nephrectomy for T1 renal cell carcinoma. Eur. Radiol. 2022, 32, 5811–5820. [Google Scholar] [CrossRef]
- Pillai, K.; Akhter, J.; Chua, T.C.; Shehata, M.; Alzahrani, N.; Al-Alem, I.; Morris, D.L. Heat sink effect on tumor ablation characteristics as observed in monopolar radiofrequency, bipolar radiofrequency, and microwave, using ex vivo calf liver model. Medicine 2015, 94, e580. [Google Scholar] [CrossRef] [PubMed]
- Wah, T.M.; Irving, H.C.; Gregory, W.; Cartledge, J.; Joyce, A.D.; Selby, P.J. Radiofrequency ablation (RFA) of renal cell carcinoma (RCC): Experience in 200 tumours. BJU Int. 2014, 113, 416–428. [Google Scholar] [CrossRef] [PubMed]
- Ng, H.; Chan, V.W.-S.; Cartledge, J.; Kimuli, M.; Ralph, C.; Jagdev, S.; Vasudev, N.; Bhattarai, S.; Lenton, J.; Smith, J.; et al. Iatrogenic ureteric stricture post image guided renal cryoablation in a patient with von hippel-lindau syndrome. Radiol. Case Rep. 2021, 16, 1980–1984. [Google Scholar] [CrossRef]
- Wah, T.M.; Koenig, P.; Irving, H.C.; Gervais, D.A.; Mueller, P.R. Radiofrequency ablation of a central renal tumor: Protection of the collecting system with a retrograde cold dextrose pyeloperfusion technique. J. Vasc. Interv. Radiol. 2005, 16, 1551–1555. [Google Scholar] [CrossRef]
- Weiss, J.; Garnon, J.; Cazzato, R.L.; Auloge, P.; Caudrelier, J.; Dalili, D.; Boatta, E.; De Marini, P.; Koch, G.; Gangi, A. Percutaneous hydrodissection for thermoprotection during cryoablation of periureteric and pyeloureteric junction renal cell carcinomas. Abdom. Radiol. 2021, 46, 1179–1187. [Google Scholar] [CrossRef]
- Pandolfo, S.D.; Beksac, A.T.; Derweesh, I.; Celia, A.; Schiavina, R.; Bianchi, L.; Costa, G.; Carbonara, U.; Loizzo, D.; Lucarelli, G.; et al. Percutaneous Ablation vs Robot-Assisted Partial Nephrectomy for Completely Endophytic Renal Masses: A Multicenter Trifecta Analysis with a Minimum 3-Year Follow-Up. J. Endourol. 2023, 37, 279–285. [Google Scholar] [CrossRef]
- Kutikov, A.; Uzzo, R.G. The R.E.N.A.L. nephrometry score: A comprehensive standardized system for quantitating renal tumor size, location and depth. J. Urol. 2009, 182, 844–853. [Google Scholar] [CrossRef]
- Ficarra, V.; Novara, G.; Secco, S.; Macchi, V.; Porzionato, A.; De Caro, R.; Artibani, W. Preoperative Aspects and Dimensions Used for an Anatomical (PADUA) Classification of Renal Tumours in Patients who are Candidates for Nephron-Sparing Surgery. Eur. Urol. 2009, 56, 786–793. [Google Scholar] [CrossRef]
- Li, S.; Huang, J.; Jang, S.; Schammel, N.C.; Schammel, C.; Som, A.; El Khudari, H.; Devane, A.M.; Gunn, A.J. Utility of the RENAL Nephrometry Scoring System in Predicting Adverse Events and Outcomes of Percutaneous Microwave Ablation of Renal Tumors. J. Vasc. Interv. Radiol. 2022, 33, 695–701. [Google Scholar] [CrossRef]
- Maxwell, A.W.P.; Baird, G.L.; Iannuccilli, J.D.; Mayo-Smith, W.W.; Dupuy, D.E. Renal Cell Carcinoma: Comparison of RENAL Nephrometry and PADUA Scores with Maximum Tumor Diameter for Prediction of Local Recurrence after Thermal Ablation. Radiology 2016, 283, 590–597. [Google Scholar] [CrossRef]
- Mansilla, A.V.; Bivins, E.E.; Contreras, F.; Hernandez, M.A.; Kohler, N.; Pepe, J.W. CT–Guided Microwave Ablation of 45 Renal Tumors: Analysis of Procedure Complexity Utilizing a Percutaneous Renal Ablation Complexity Scoring System. J. Vasc. Interv. Radiol. 2017, 28, 222–229. [Google Scholar] [CrossRef] [PubMed]
- Schmit, G.D.; Schenck, L.A.; Thompson, R.H.; Boorjian, S.A.; Kurup, A.N.; Weisbrod, A.J.; Kor, D.J.; Callstrom, M.R.; Atwell, T.D.; Carter, R.E. Predicting Renal Cryoablation Complications: New Risk Score Based on Tumor Size and Location and Patient History. Radiology 2014, 272, 903–910. [Google Scholar] [CrossRef] [PubMed]
- McCafferty, B.J.; Huang, J.J.; El Khudari, H.; Macha, V.; Bready, E.; Rais-Bahrami, S.; Gunn, A.J. External Validation of the Renal Ablation-Specific (MC) 2 Risk Scoring System in Predicting Complications from Percutaneous Renal Cryoablation. Cardiovasc. Interv. Radiol. 2021, 44, 1763–1768. [Google Scholar] [CrossRef] [PubMed]
- Guidry, R.; Macha, V.; Li, Y.; El Khudari, H.; Bready, E.R.; Huang, J.; Caridi, T.M.; Gunn, A.J. External Validation of the Percutaneous Renal Ablation Complexity Scoring System in Patients Undergoing Percutaneous Cryoablation or Microwave Ablation of Renal Tumors. J. Vasc. Interv. Radiol. 2022, 33, 1588–1593. [Google Scholar] [CrossRef]
- Atwell, T.D.; Vlaminck, J.J.; Boorjian, S.A.; Kurup, A.N.; Callstrom, M.R.; Weisbrod, A.J.; Lohse, C.M.; Hartman, W.R.; Stockland, A.H.; Leibovich, B.C.; et al. Percutaneous cryoablation of stage T1b renal cell carcinoma: Technique considerations, safety, and local tumor control. J. Vasc. Interv. Radiol. 2015, 26, 792–799. [Google Scholar] [CrossRef]
- Moynagh, M.R.; Schmit, G.D.; Thompson, R.H.; Boorjian, S.A.; Woodrum, D.A.; Curry, T.B.; Atwell, T.D. Percutaneous Cryoablation of Clinical T2 (>7 cm) Renal Masses: Technical Considerations, Complications, and Short-Term Outcomes. J. Vasc. Interv. Radiol. 2015, 26, 800–806. [Google Scholar] [CrossRef]
- Kobe, A.; Tselikas, L.; Deschamps, F.; Roux, C.; Delpla, A.; Varin, E.; Hakime, A.; de Baère, T. Thermal Ablation Combined with Selective Transarterial Embolization of Centrally Located Renal Cell Carcinomas Measuring 3 cm or Larger. Cardiovasc. Interv. Radiol. 2022, 45, 371–379. [Google Scholar] [CrossRef]
- Donato, F.; Ahrar, K.; Karam, J.; Matin, S.; Abdelsalam, M.E.; Sabir, S. Combined transarterial embolization and percutaneous image-guided ablation for the treatment of T1B and central renal tumors in patients with high surgical risk. Am. J. Interv. Radiol. 2022, 6, 11. [Google Scholar] [CrossRef]
- Gunn, A.J.; Mullenbach, B.J.; Poundstone, M.M.; Gordetsky, J.B.; Underwood, E.S.; Rais-Bahrami, S. Trans-Arterial Embolization of Renal Cell Carcinoma prior to Percutaneous Ablation: Technical Aspects, Institutional Experience, and Brief Review of the Literature. Curr. Urol. 2018, 12, 43–49. [Google Scholar] [CrossRef]
- Umakoshi, N.; Iguchi, T.; Matsui, Y.; Tomita, K.; Uka, M.; Kawabata, T.; Munetomo, K.; Nagata, S.; Gobara, H.; Araki, M.; et al. Renal cryoablation combined with prior transcatheter arterial embolization in non-dialysis patients with stage 4 or 5 chronic kidney disease: A retrospective study. Jpn. J. Radiol. 2023, 41, 1007–1014. [Google Scholar] [CrossRef]
- Salei, A.; Raymond, M.; Savage, C.; Huang, J.; Caridi, T.M.; Rais-Bahrami, S.; Gunn, A.J. Transarterial embolization of T1b and T2a renal cell carcinoma prior to percutaneous cryoablation: A retrospective comparative study. Abdom. Radiol. 2023, 48, 773–779. [Google Scholar] [CrossRef] [PubMed]
- Gunn, A.J.; Anton, K.; Kothary, N.; Schmit, G.D.; Stavropoulos, S.W.; Richman, J.; Jansen, J.O. Embolization before Ablation of T1b Renal Cell Carcinoma (EMBARC). J. Vasc. Interv. Radiol. 2025, 36, 318–319. [Google Scholar] [CrossRef] [PubMed]
- Menko, F.H.; Maher, E.R. Diagnosis and management of hereditary renal cell cancer. Rare Hered. Cancers Diagn. Manag. 2016, 205, 85–104. [Google Scholar]
- Osman, F.H.; Chan, V.W.; Breen, D.J.; King, A.; Nielsen, T.K.; Garnon, J.; Alcorn, D.; Lagerveld, B.; Graumann, O.; Keeley, F.X.; et al. Oncological and Peri-Operative Outcomes of Percutaneous Cryoablation of Renal Cell Carcinoma for Patients with Hereditary RCC Diseases—An Analysis of European Multi-Centre Prospective EuRECA Registry. Cancers 2023, 15, 3322. [Google Scholar] [CrossRef]
- Johnson, A.; Sudarshan, S.; Liu, J.; Linehan, W.M.; Pinto, P.A.; Bratslavsky, G. Feasibility and outcomes of repeat partial nephrectomy. J. Urol. 2008, 180, 89–93. [Google Scholar] [CrossRef]
- Bratslavsky, G.; Liu, J.J.; Johnson, A.D.; Sudarshan, S.; Choyke, P.L.; Linehan, W.M.; Pinto, P.A. Salvage partial nephrectomy for hereditary renal cancer: Feasibility and outcomes. J. Urol. 2008, 179, 67–70. [Google Scholar] [CrossRef]
- Chan, V.W.-S.; Lenton, J.; Smith, J.; Jagdev, S.; Ralph, C.; Vasudev, N.; Bhattarai, S.; Lewington, A.; Kimuli, M.; Cartledge, J.; et al. Multimodal image-guided ablation on management of renal cancer in Von-Hippel-Lindau syndrome patients from 2004 to 2021 at a specialist centre: A longitudinal observational study. Eur. J. Surg. Oncol. 2022, 48, 672–679. [Google Scholar] [CrossRef]
- Zlotta, A.R.; Wildschutz, T.; Raviv, G.I.L.; Peny, M.-O.; van Gansbeke, D.; Noel, J.-C.; Schulman, C.C. Radiofrequency Interstitial Tumor Ablation (RITA) Is a Possible New Modality for Treatment of Renal Cancer: Ex Vivo and in Vivo Experience. J. Endourol. 1997, 11, 251–258. [Google Scholar] [CrossRef]
- Goldberg, S.N.; Gazelle, G.S.; Mueller, P.R. Thermal ablation therapy for focal malignancy: A unified approach to underlying principles, techniques, and diagnostic imaging guidance. AJR Am. J. Roentgenol. 2000, 174, 323–331. [Google Scholar] [CrossRef]
- Poulou, L.S.; Botsa, E.; Thanou, I.; Ziakas, P.D.; Thanos, L. Percutaneous microwave ablation vs radiofrequency ablation in the treatment of hepatocellular carcinoma. World J. Hepatol. 2015, 7, 1054–1063. [Google Scholar] [CrossRef]
- Erinjeri, J.P.; Clark, T.W. Cryoablation: Mechanism of action and devices. J. Vasc. Interv. Radiol. 2010, 21, S187–S191. [Google Scholar] [CrossRef] [PubMed]
- Ge, B.H.; Stavropoulos, S.W.; Soulen, M.C.; Clark, T.W.; Guzzo, T.; Malkowicz, B.; Wein, A. Ice ball size during renal tumor cryoablation: Useful predictor of successful ablation? J. Vasc. Interv. Radiol. 2014, 25, S31–S32. [Google Scholar] [CrossRef]
- Hasegawa, T.; Yamanaka, T.; Gobara, H.; Miyazaki, M.; Takaki, H.; Sato, Y.; Inaba, Y.; Yamakado, K. Radiofrequency ablation versus cryoablation for T1b renal cell carcinoma: A multi-center study. Jpn. J. Radiol. 2018, 36, 551–558. [Google Scholar] [CrossRef]
- Brace, C.L. Microwave tissue ablation: Biophysics, technology, and applications. Crit. Rev. Biomed. Eng. 2010, 38, 65–78. [Google Scholar] [CrossRef]
- Choi, S.H.; Kim, J.W.; Kim, J.H.; Kim, K.W. Efficacy and Safety of Microwave Ablation for Malignant Renal Tumors: An Updated Systematic Review and Meta-Analysis of the Literature Since 2012. Korean J. Radiol. 2018, 19, 938–949. [Google Scholar] [CrossRef]
- Pandolfo, S.D.; Carbonara, U.; Beksac, A.T.; Derweesh, I.; Celia, A.; Schiavina, R.; Elbich, J.; Basile, G.; Hampton, L.J.; Cerrato, C.; et al. Microwave versus cryoablation and radiofrequency ablation for small renal mass: A multicenter comparative analysis. Minerva Urol. Nephrol. 2023, 75, 66–72. [Google Scholar] [CrossRef]
- Jannello, L.M.I.; Orsi, F.; Luzzago, S.; Mauri, G.; Mistretta, F.A.; Piccinelli, M.L.; Vaccaro, C.; Tozzi, M.; Maiettini, D.; Varano, G.; et al. Microwave vs radiofrequency ablation for small renal masses: Perioperative and oncological outcomes. BJU Int. 2025, 135, 156–165. [Google Scholar] [CrossRef]
- Zhou, W.; Herwald, S.E.; McCarthy, C.; Uppot, R.N.; Arellano, R.S. Radiofrequency Ablation, Cryoablation, and Microwave Ablation for T1a Renal Cell Carcinoma: A Comparative Evaluation of Therapeutic and Renal Function Outcomes. J. Vasc. Interv. Radiol. 2019, 30, 1035–1042. [Google Scholar] [CrossRef]
- Deodhar, A.; Monette, S.; Single, G.W., Jr.; Hamilton, W.C., Jr.; Thornton, R.; Maybody, M.; Coleman, J.A.; Solomon, S.B. Renal tissue ablation with irreversible electroporation: Preliminary results in a porcine model. Urology 2011, 77, 754–760. [Google Scholar] [CrossRef]
- Pech, M.; Janitzky, A.; Wendler, J.J.; Strang, C.; Blaschke, S.; Dudeck, O.; Ricke, J.; Liehr, U.-B. Irreversible electroporation of renal cell carcinoma: A first-in-man phase I clinical study. Cardiovasc. Interv. Radiol. 2011, 34, 132–138. [Google Scholar] [CrossRef]
- Wah, T.M.; Lenton, J.; Smith, J.; Bassett, P.; Jagdev, S.; Ralph, C.; Vasudev, N.; Bhattarai, S.; Kimuli, M.; Cartledge, J. Irreversible electroporation (IRE) in renal cell carcinoma (RCC): A mid-term clinical experience. Eur. Radiol. 2021, 31, 7491–7499. [Google Scholar] [CrossRef] [PubMed]
- Dai, J.C.; Morgan, T.N.; Steinberg, R.L.; Johnson, B.A.; Garbens, A.; Cadeddu, J.A. Irreversible Electroporation for the Treatment of Small Renal Masses: 5-Year Outcomes. J. Endourol. 2021, 35, 1586–1592. [Google Scholar] [CrossRef] [PubMed]
- Xu, Z.; Hall, T.L.; Vlaisavljevich, E.; Lee, F.T., Jr. Histotripsy: The first noninvasive, non-ionizing, non-thermal ablation technique based on ultrasound. Int. J. Hyperth. 2021, 38, 561–575. [Google Scholar] [CrossRef]
- Bismuth, M.; Katz, S.; Rosenblatt, H.; Twito, M.; Aronovich, R.; Ilovitsh, T. Acoustically Detonated Microbubbles Coupled with Low Frequency Insonation: Multiparameter Evaluation of Low Energy Mechanical Ablation. Bioconjug. Chem. 2022, 33, 1069–1079. [Google Scholar] [CrossRef]
- Xu, Z.; Khokhlova, T.D.; Cho, C.S.; Khokhlova, V.A. Histotripsy: A Method for Mechanical Tissue Ablation with Ultrasound. Annu. Rev. Biomed. Eng. 2024, 26, 141–167. [Google Scholar] [CrossRef]
- Alieva, M.; van Rheenen, J.; Broekman, M.L.D. Potential impact of invasive surgical procedures on primary tumor growth and metastasis. Clin. Exp. Metastasis 2018, 35, 319–331. [Google Scholar] [CrossRef]
- Wah, T.M.; Pech, M.; Thormann, M.; Serres, X.; Littler, P.; Stenberg, B.; Lenton, J.; Smith, J.; Wiggermann, P.; Planert, M.; et al. A Multi-centre, Single Arm, Non-randomized, Prospective European Trial to Evaluate the Safety and Efficacy of the HistoSonics System in the Treatment of Primary and Metastatic Liver Cancers (#HOPE4LIVER). Cardiovasc. Interv. Radiol. 2023, 46, 259–267. [Google Scholar] [CrossRef]
- HistoSonics, Inc. The HistoSonics Investigational System for Treatment of Primary Solid Renal Tumors Using Histotripsy. 2023. Available online: https://www.centerwatch.com/clinical-trials/listings/NCT05432232/the-histosonics-investigational-system-for-treatment-of-primary-solid-renal-tumors-using-histotripsy (accessed on 1 February 2025).
- Wah, T.M.; Amaral, J.F.; Laeseke, P.F. HistoSonics System for Treatment of Primary Solid Renal Tumours Using Histotripsy: Study Protocol for the CAIN Trial. Cardiovasc. Interv. Radiol. 2024, in press. [Google Scholar]
- Soomro, N.; Lecouturier, J.; Stocken, D.D.; Shen, J.; Hynes, A.M.; Ainsworth, H.F.; Breen, D.; Oades, G.; Rix, D.; Aitchison, M. Surveillance versus ablation for incidentally diagnosed small renal tumours: The SURAB feasibility RCT. Health Technol. Assess. 2017, 21, 1–68. [Google Scholar] [CrossRef]
- Conserve: A Feasibility Study for a Multicentre Randomised Controlled Trial to Compare Surgery (Partial Nephrectomy) with Needle Ablation Techniques (Radiofrequency Ablation/Cryotherapy) for the Treatment of People with Small Renal Masses (4 cm). 2012. Available online: https://www.isrctn.com/ISRCTN23852951 (accessed on 1 February 2025).
- Neves, J.B.; Warren, H.; Santiapillai, J.; Rode, N.; Cullen, D.; Pavlou, M.; Walkden, M.; Patki, P.; Barod, R.; Mumtaz, F.; et al. Nephron Sparing Treatment (NEST) for Small Renal Masses: A Feasibility Cohort-embedded Randomised Controlled Trial Comparing Percutaneous Cryoablation and Robot-assisted Partial Nephrectomy. Eur. Urol. 2024, 85, 333–336. [Google Scholar] [CrossRef]
- Abdulrauf, K.; Zhong, J.; Wah, T.M. Systematic Review of Patient Reported Quality of Life Following Image-Guided Renal Ablation. In Cardiovascular and Interventional Radiological Society of Europe; CIRSE: Vienna, Austria, 2024; p. S1208. [Google Scholar]
- Xing, M.; Kokabi, N.; Kim, H. Cost-Utility Analysis of Surgery vs. Ablation in stage T1a renal cell carcinoma: A Surveillance, Epidemiology, and End Results (SEER)-Medicare study. J. Vasc. Interv. Radiol. 2016, 27, S132. [Google Scholar] [CrossRef]
- Wu, X.; Uhlig, J.; Shuch, B.M.; Uhlig, A.; Kim, H.S. Cost-effectiveness of minimally invasive partial nephrectomy and percutaneous cryoablation for cT1a renal cell carcinoma. Eur. Radiol. 2023, 33, 1801–1811. [Google Scholar] [CrossRef] [PubMed]
- Abdelsalam, M.E.; Mecci, N.; Awad, A.; Bassett, R.L.; Odisio, B.C.; Habibollahi, P.; Lu, T.; Irwin, D.; Karam, J.A.; Matin, S.F.; et al. Magnetic-Resonance-Imaging-Guided Cryoablation for Solitary-Biopsy-Proven Renal Cell Carcinoma: A Tertiary Cancer Center Experience. Cancers 2024, 16, 1815. [Google Scholar] [CrossRef]
- Cazzato, R.L.; De Marini, P.; Mayer, T.; Leclerc, L.; Leonard-Lorant, I.; Dalili, D.; Weiss, J.; Koch, G.; Autrusseau, P.-A.; Garnon, J.; et al. MRI- Versus CT-Guided Renal Tumor Cryoablation: Is There a Difference? Cardiovasc. Interv. Radiol. 2023, 46, 901–910. [Google Scholar] [CrossRef]
- Monfardini, L.; Gennaro, N.; Della Vigna, P.; Bonomo, G.; Varano, G.; Maiettini, D.; Bonello, L.; Solbiati, L.; Orsi, F.; Mauri, G. Cone-Beam CT-Assisted Ablation of Renal Tumors: Preliminary Results. Cardiovasc. Interv. Radiol. 2019, 42, 1718–1725. [Google Scholar] [CrossRef] [PubMed]
- Carriero, S.; Della Pepa, G.; Monfardini, L.; Vitale, R.; Rossi, D.; Masperi, A.; Mauri, G. Role of Fusion Imaging in Image-Guided Thermal Ablations. Diagnostics 2021, 11, 549. [Google Scholar] [CrossRef]
- Lanza, C.; Carriero, S.; Biondetti, P.; Angileri, S.A.; Carrafiello, G.; Ierardi, A.M. Advances in Imaging Guidance During Percutaneous Ablation of Renal Tumors. Semin. Ultrasound CT MRI 2023, 44, 162–169. [Google Scholar] [CrossRef]
- Shyn, P.B.; Bhagavatula, S.K. PET/CT-Guided Tumor Ablation, From the AJR “How We Do It” Special Series. Am. J. Roentgenol. 2024, 224, e2430952. [Google Scholar] [CrossRef]
- Hsieh, C.; Laguna, A.; Ikeda, I.; Maxwell, A.W.P.; Chapiro, J.; Nadolski, G.; Jiao, Z.; Bai, H.X. Using Machine Learning to Predict Response to Image-guided Therapies for Hepatocellular Carcinoma. Radiology 2023, 309, e222891. [Google Scholar] [CrossRef]
- Pierorazio, P.M.; Johnson, M.H.; Ball, M.W.; Gorin, M.A.; Trock, B.J.; Chang, P.; Wagner, A.A.; McKiernan, J.M.; Allaf, M.E. Five-year analysis of a multi-institutional prospective clinical trial of delayed intervention and surveillance for small renal masses: The DISSRM registry. Eur. Urol. 2015, 68, 408–415. [Google Scholar] [CrossRef]
- Knott, E.A.; Swietlik, J.F.; Longo, K.C.; Watson, R.F.; Green, C.M.; Abel, E.J.; Lubner, M.G.; Hinshaw, J.L.; Smolock, A.R.; Xu, Z. Robotically-assisted sonic therapy for renal ablation in a live porcine model: Initial preclinical results. J. Vasc. Interv. Radiol. 2019, 30, 1293–1302. [Google Scholar] [CrossRef] [PubMed]
- Amalou, H.; Wood, B.J. Multimodality Fusion with MRI, CT, and Ultrasound Contrast for Ablation of Renal Cell Carcinoma. Case Rep. Urol. 2012, 2012, 390912. [Google Scholar] [CrossRef] [PubMed]
- Hendricks-Wenger, A.; Hutchison, R.; Vlaisavljevich, E.; Allen, I.C. Immunological Effects of Histotripsy for Cancer Therapy. Front. Oncol. 2021, 11, 681629. [Google Scholar] [CrossRef] [PubMed]
- Santos, A.G.; da Rocha, G.O.; de Andrade, J.B. Occurrence of the potent mutagens 2-nitrobenzanthrone and 3-nitrobenzanthrone in fine airborne particles. Sci. Rep. 2019, 9, 1. [Google Scholar] [CrossRef]
- Ni, L.; Lu, J. Interferon gamma in cancer immunotherapy. Cancer Med. 2018, 7, 4509–4516. [Google Scholar] [CrossRef]
- Hu, Z.; Yang, X.Y.; Liu, Y.; Morse, M.A.; Lyerly, H.K.; Clay, T.M.; Zhong, P. Release of endogenous danger signals from HIFU-treated tumor cells and their stimulatory effects on APCs. Biochem. Biophys. Res. Commun. 2005, 335, 124–131. [Google Scholar] [CrossRef]
- Chu, K.F.; Dupuy, D.E. Thermal ablation of tumours: Biological mechanisms and advances in therapy. Nat. Rev. Cancer 2014, 14, 199–208. [Google Scholar] [CrossRef]
- Kim, D.; Erinjeri, J.P. Postablation Immune Microenvironment: Synergy between Interventional Oncology and Immuno-oncology. Semin. Interv. Radiol. 2019, 36, 334–342. [Google Scholar] [CrossRef]
- Baust, J.G.; Snyder, K.K.; Santucci, K.L.; Robilotto, A.T.; Van Buskirk, R.G.; Baust, J.M. Cryoablation: Physical and molecular basis with putative immunological consequences. Int. J. Hyperth. 2019, 36, 10–16. [Google Scholar] [CrossRef]
- Abdo, J.; Cornell, D.L.; Mittal, S.K.; Agrawal, D.K. Immunotherapy Plus Cryotherapy: Potential Augmented Abscopal Effect for Advanced Cancers. Front. Oncol. 2018, 8, 85. [Google Scholar] [CrossRef]
- Yakkala, C.; Denys, A.; Kandalaft, L.; Duran, R. Cryoablation and immunotherapy of cancer. Curr. Opin. Biotechnol. 2020, 65, 60–64. [Google Scholar] [CrossRef] [PubMed]
- Wah, T.M.; Zhong, J.; Wilson, M.; Vasudev, N.S.; Banks, R.E. An Exploratory Analysis of Changes in Circulating Plasma Protein Profiles Following Image-Guided Ablation of Renal Tumours Provides Evidence for Effects on Multiple Biological Processes. Cancers 2021, 13, 6037. [Google Scholar] [CrossRef] [PubMed]
- Campbell, M.T.; Matin, S.F.; Tam, A.L.; Sheth, R.A.; Ahrar, K.; Tidwell, R.S.; Rao, P.; Karam, J.A.; Wood, C.G.; Tannir, N.M.; et al. Pilot study of Tremelimumab with and without cryoablation in patients with metastatic renal cell carcinoma. Nat. Commun. 2021, 12, 6375. [Google Scholar] [CrossRef] [PubMed]
- Yang, Y.; Qin, Z.; Du, D.; Wu, Y.; Qiu, S.; Mu, F.; Xu, K.; Chen, J. Safety and Short-Term Efficacy of Irreversible Electroporation and Allogenic Natural Killer Cell Immunotherapy Combination in the Treatment of Patients with Unresectable Primary Liver Cancer. Cardiovasc. Interv. Radiol. 2019, 42, 48–59. [Google Scholar] [CrossRef]
- Vidal-Jove, J.; Serres, X.; Vlaisavljevich, E.; Cannata, J.; Duryea, A.; Miller, R.; Merino, X.; Velat, M.; Kam, Y.; Bolduan, R.; et al. First-in-man histotripsy of hepatic tumors: The THERESA trial, a feasibility study. Int. J. Hyperth. 2022, 39, 1115–1123. [Google Scholar] [CrossRef]
- Vidal-Jové, J.; Serres-Créixams, X.; Ziemlewicz, T.J.; Cannata, J.M. Liver Histotripsy Mediated Abscopal Effect—Case Report. IEEE Trans. Ultrason. Ferroelectr. Freq. Control 2021, 68, 3001–3005. [Google Scholar] [CrossRef]
- Eranki, A.; Srinivasan, P.; Ries, M.; Kim, A.; Lazarski, C.A.; Rossi, C.T.; Khokhlova, T.D.; Wilson, E.; Knoblach, S.M.; Sharma, K.V.; et al. High-Intensity Focused Ultrasound (HIFU) Triggers Immune Sensitization of Refractory Murine Neuroblastoma to Checkpoint Inhibitor Therapy. Clin. Cancer Res. 2020, 26, 1152–1161. [Google Scholar] [CrossRef]


Disclaimer/Publisher’s Note: The statements, opinions and data contained in all publications are solely those of the individual author(s) and contributor(s) and not of MDPI and/or the editor(s). MDPI and/or the editor(s) disclaim responsibility for any injury to people or property resulting from any ideas, methods, instructions or products referred to in the content. |
© 2025 by the authors. Published by MDPI on behalf of the Lithuanian University of Health Sciences. Licensee MDPI, Basel, Switzerland. This article is an open access article distributed under the terms and conditions of the Creative Commons Attribution (CC BY) license (https://creativecommons.org/licenses/by/4.0/).
Share and Cite
Chan, V.W.-S.; Ng, H.H.-L.; Abdulrauf, K.; Zaman, H.; Ahmed, A.; Zhong, J.; Wah, T.M. Percutaneous Image-Guided Ablation of Renal Cancer: Traditional and Emerging Indications, Energy Sources, Techniques, and Future Developments. Medicina 2025, 61, 438. https://doi.org/10.3390/medicina61030438
Chan VW-S, Ng HH-L, Abdulrauf K, Zaman H, Ahmed A, Zhong J, Wah TM. Percutaneous Image-Guided Ablation of Renal Cancer: Traditional and Emerging Indications, Energy Sources, Techniques, and Future Developments. Medicina. 2025; 61(3):438. https://doi.org/10.3390/medicina61030438
Chicago/Turabian StyleChan, Vinson Wai-Shun, Helen Hoi-Lam Ng, Khalil Abdulrauf, Hira Zaman, Aisha Ahmed, Jim Zhong, and Tze Min Wah. 2025. "Percutaneous Image-Guided Ablation of Renal Cancer: Traditional and Emerging Indications, Energy Sources, Techniques, and Future Developments" Medicina 61, no. 3: 438. https://doi.org/10.3390/medicina61030438
APA StyleChan, V. W.-S., Ng, H. H.-L., Abdulrauf, K., Zaman, H., Ahmed, A., Zhong, J., & Wah, T. M. (2025). Percutaneous Image-Guided Ablation of Renal Cancer: Traditional and Emerging Indications, Energy Sources, Techniques, and Future Developments. Medicina, 61(3), 438. https://doi.org/10.3390/medicina61030438

