The Protective Role of Folic Acid in Biochemical and Histopathological Changes Induced by Azithromycin in the Livers of Pregnant Albino Rats
Abstract
1. Introduction
2. Materials and Methods
2.1. Drugs
2.2. Animals
2.2.1. Animals Used in the Experiment
2.2.2. Experimental Design
2.3. Blood Sample Analysis
2.4. Histological Analysis
2.4.1. Light Microscopy Analysis
2.4.2. Electron Microscopy Analysis
2.5. Liver Homogenate Preparation and Biochemical Assessment of Oxidative Stress Markers
2.6. Morphometric Analysis
2.7. Statistical Analysis
3. Results
3.1. Clinical Observations
- No maternal mortality was observed when comparing the mothers who received azithromycin to the other groups.
- No miscarriage was observed in the azithromycin-treated group compared to other groups.
3.2. Histopathological Analysis
3.2.1. Light Microscopy
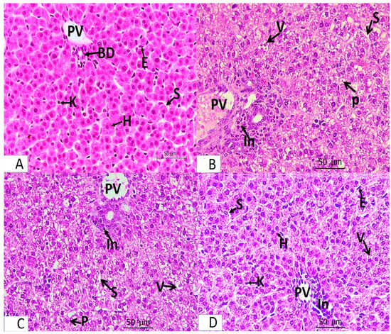
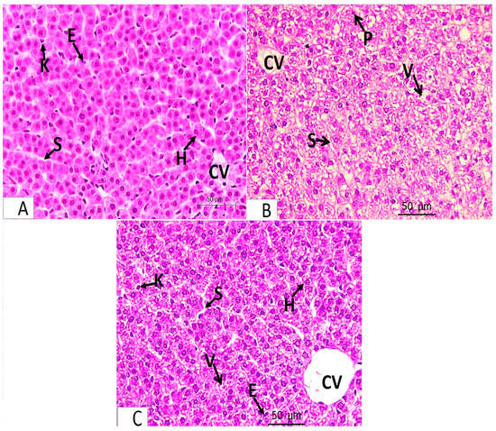
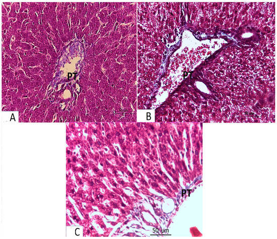
- The light microscopic analysis of stained liver sections (H–E) from the control group (Group I) and the folic acid group (Group II) showed no discernible differences between the two groups, so they were pooled together. It demonstrated that the liver was composed of hepatocyte cords that regularly radiated from the central vein and were divided by slit-shaped blood sinusoids lined with von Kupffer cells and flat endothelial cells (Figure 1A). The polyhedral hepatocytes had large vesicular basophilic nuclei and granular eosinophilic cytoplasm. One branch of the bile duct and one branch of the portal vein made up the portal tract (Figure 2A). Collagen fibers were normally distributed throughout the portal tract’s components and in the blood sinusoids’ wall, according to Masson’s trichrome staining (Figure 3A).
- An analysis of the stained liver sections of the treated pregnant rats (the azithromycin-treated group) (H–E) revealed that the hepatic cords lacked the typical radial arrangement. Some of the blood sinusoids seemed clogged. The majority of hepatocytes contained cytoplasmic vacuoles with the nucleus displaced to the periphery; some of the nuclei were tiny and stained deeply (Figure 1B and Figure 2B,C). The portal tract showed lymphocytic infiltration (Figure 2B,C). Collagen fibers were more widely distributed around the portal tract’s components and in the blood sinusoids’ walls, according to Masson’s trichrome staining (Figure 3B).
- Analysis of the H-E-stained liver sections of treated rats (folic-acid-and-azithromycin-treated) revealed that the majority of the hepatic cords had a radial arrangement around the central vein. Round vesicular nuclei and a granular eosinophilic cytoplasm characterized the majority of polyhedral hepatocytes. Cytoplasmic vacuoles were relatively few in hepatocytes (Figure 1C and Figure 2D). A slight increase in collagen fibers was observed around the portal tract’s components, as demonstrated by Masson’s trichrome staining (Figure 3C).
3.2.2. Electron Microscopy
- Analysis of ultrathin sections of the control and folic acid groups (Groups I and II, respectively) revealed negligible histological differences, so they were combined. The hepatocytes were found to have rounded nuclei with distinct nuclear envelopes that contained numerous nuclear pores. Both euchromatin and heterochromatin were present in the nuclei, along with noticeable nucleoli. Numerous cellular organelles, primarily mitochondria, which had an oval or rounded appearance, free ribosomes, a rough endoplasmic reticulum, which had parallel cisternae studded with ribosomes, and glycogen granules, which were dispersed or clustered, were all found in the cytoplasm (Figure 4A and Figure 5A).
- Ultrathin sections of Group III (the azithromycin-treated group) revealed histopathological alterations in the hepatocytes. The most obvious result was the accumulation of many different-sized lipid droplets that were both electron-dense and electron-lucent throughout the hepatocytes’ cytoplasm. Some nuclei were small nuclei with thick nuclear envelopes and poorly defined nuclear pores. Other nuclei had high concentrations of electron-dense chromatin and were shrunken. The cytoplasm had a fragmented and dispersed rough endoplasmic reticulum, degenerated mitochondria with lost cristae, and vacuolated areas (Figure 4B,C and Figure 5B–D).
- Analysis of extremely thin liver sections from Group IV (those treated with folic acid and azithromycin) revealed that the hepatocytes had rounded nuclei with a distinct nuclear envelope and nuclear pores. Both chromatin and heterochromatin were present in the nuclei, along with noticeable nucleoli. Ribosomes, mitochondria, glycogen granules, and parallel cisternae of the rough endoplasmic reticulum were all found in the cytoplasm. Lipid droplets were few (Figure 4D and Figure 5E).
3.3. Liver Indices
- A statistical analysis of the mean ALT and AST levels in Groups I, II, III, and IV revealed that Groups III and IV had significantly higher levels (p < 0.05) than Groups I and II. Additionally, it showed a significant (p < 0.05) decline in Group IV relative to Group III (Table 1).
3.4. Assessment of Oxidative Stress Markers
3.5. Morphometric Analysis
4. Discussion
Study Limitations
- The parameters for Gamma-glutamyl transferase (γ-GT) and alkaline phosphatase were not measured
- The exact number of births recorded on each specific day of pregnancy (21, 22, and 23) was not documented during the experiment.
5. Conclusions
Author Contributions
Funding
Institutional Review Board Statement
Informed Consent Statement
Data Availability Statement
Conflicts of Interest
References
- Gerbes, A.L. Drug-induced liver injury (DILI): A major challenge. Drug. Res. 2021, 71 (Suppl. S1), 7. [Google Scholar] [CrossRef]
- Engeland, A.; Bjørge, T.; Klungsøyr, K.; Hjellvik, V.; Skurtveit, S.; Furu, K. Trends in prescription drug use during pregnancy and postpartum in Norway, 2005 to 2015. Pharmacoepidemiol. Drug. Saf. 2018, 27, 995–1004. [Google Scholar] [CrossRef]
- Ventura, M.; Maraschini, A.; D’Aloja, P.; Kirchmayer, U.; Lega, I.; Davoli, M.; Donati, S. Drug prescribing during pregnancy in a central region of Italy, 2008–2012. BMC Public Health 2018, 18, 623. [Google Scholar] [CrossRef]
- Kournoutou, G.G.; Dinos, G. Azithromycin through the Lens of the COVID-19 Treatment. Antibiotics 2022, 11, 1063. [Google Scholar] [CrossRef] [PubMed]
- Antonucci, R.; Cuzzolin, L.; Locci, C.; Dessole, F.; Capobianco, G. Use of Azithromycin in Pregnancy: More Doubts than Certainties. Clin. Drug. Investig. 2022, 42, 921–935. [Google Scholar] [CrossRef]
- Keenan, J.D.; Bailey, R.L.; West, S.K.; Arzika, A.M.; Hart, J.; Weaver, J.; Kalua, K.; Mrango, Z.; Ray, K.J.; Cook, C.; et al. Azithromycin to reduce childhood mortality in sub-Saharan Africa. N. Engl. J. Med. 2018, 378, 1583–1592. [Google Scholar] [CrossRef] [PubMed]
- Oliver, M.E.; Hinks, T.S.C. Azithromycin in viral infections. Rev. Med. Virol. 2021, 31, e2163. [Google Scholar] [CrossRef]
- Venditto, V.J.; Haydar, D.; Abdel-Latif, A.; Gensel, J.C.; Anstead, M.I.; Pitts, M.G.; Creameans, J.; Kopper, T.J.; Peng, C.; Feola, D.J. Immunomodulatory Effects of Azithromycin Revisited: Potential Applications to COVID-19. Front. Immunol. 2021, 12, 574425. [Google Scholar] [CrossRef]
- Heidary, M.; Samangani, A.E.; Kargari, A.; Kiani Nejad, A.; Yashmi, I.; Motahar, M.; Taki, E.; Khoshnood, S. Mechanism of action, resistance, synergism, and clinical implications of azithromycin. J. Clin. Lab. Anal. 2022, 36, e24427. [Google Scholar] [CrossRef]
- Ismael, Z.M.; Elsamman, W.N. Evaluation of the Effects of Azithromycin on the Kidney of Adult Albino Rats and the Possible Protective Role of Vitamin C Using Histological and Immuno-Histochemical Studies. SVU-Int. J. Med. Sci. 2022, 5, 484–500. [Google Scholar] [CrossRef]
- Salimi, A.; Eybagi, S.; Seydi, E.; Naserzadeh, P.; Kazerouni, N.P.; Pourahmad, J. Toxicity of macrolide antibiotics on isolated heart mitochondria: A justification for their cardiotoxic adverse effect. Xenobiotica 2016, 46, c82–c93. [Google Scholar] [CrossRef] [PubMed]
- Hamza, R.Z.; Alaryani, F.S.; Omara, F.; Said, M.A.A.; El-Aziz, S.A.A.; El-Sheikh, S.M. Ascorbic Acid Ameliorates Cardiac and Hepatic Toxicity Induced by Azithromycin-Etoricoxib Drug Interaction. Curr. Issues. Mol. Biol. 2022, 44, 2529–2541. [Google Scholar] [CrossRef]
- Park, H.I.; Seo, K.I.; Choi, Y.I. Liver transplantation for azithromycin-induced severe liver injury. Korean J. Transplant. 2020, 34, 279–285. [Google Scholar] [CrossRef] [PubMed]
- Xu, Q.; Zhang, C.; Lu, J.; Qian, H.; Wang, X.; Guo, W.; Cheng, H. Azithromycin induces liver injury in mice by targeting the AMPK/Nrf2 pathway. Immunopharmacol. Immunotoxicol. 2024, 46, 850–860. [Google Scholar] [CrossRef]
- Matuz-Mares, D.; Riveros-Rosas, H.; Vilchis-Landeros, M.M.; Vázquez-Meza, H. Glutathione Participation in the Prevention of Cardiovascular Diseases. Antioxidants 2021, 10, 1220. [Google Scholar] [CrossRef] [PubMed]
- Gęgotek, A.; Skrzydlewska, E. Biological effect of protein modifications by lipid peroxidation products. Chem. Phys. Lipids. 2019, 221, 46–52. [Google Scholar] [CrossRef] [PubMed]
- Naderi, N.; House, J.D. Recent developments in folate nutrition. Adv. Food. Nutr. Res. 2018, 83, 195–213. [Google Scholar] [CrossRef] [PubMed]
- Martinez-Morata, I.; Wu, H.; Galvez-Fernandez, M.; Ilievski, V.; Bottiglieri, T.; Niedzwiecki, M.M.; Goldsmith, J.; Jones, D.P.; Kioumourtzoglou, M.; Pierce, B.; et al. Metabolomic Effects of Folic Acid Supplementation in Adults: Evidence from the FACT Trial. J. Nutr. 2024, 154, 670–679. [Google Scholar] [CrossRef]
- Yang, M.; Wang, D.; Wang, X.; Mei, J.; Gong, Q. Role of Folate in Liver Diseases. Nutrients 2024, 16, 1872. [Google Scholar] [CrossRef] [PubMed]
- Cui, S.; Lv, X.; Li, W.; Li, Z.; Liu, H.; Gao, Y.; Huang, G. Folic acid modulates VPO1 DNA methylation levels and alleviates oxidative stress-induced apoptosis in vivo and in vitro. Redox Biol. 2018, 19, 81–91. [Google Scholar] [CrossRef]
- Zhao, M.; Zhou, J.; Chen, Y.; Yuan, L.; Yuan, M.; Zhang, X.-Q.; Hu, Y.; Yu, H. Folic acid promotes wound healing in diabetic mice by suppression of oxidative stress. J. Nutr. Sci. Vitaminol. 2018, 64, 26–33. [Google Scholar] [CrossRef] [PubMed]
- Ma, J.; Zhen, X.; Huang, X.; Jiang, X. Folic acid supplementation repressed hypoxia-induced inflammatory response via ROS and JAK2/STAT3 pathway in human promyelomonocytic cells. Nutr. Res. 2018, 53, 40–50. [Google Scholar] [CrossRef] [PubMed]
- Brunton, L.L.; Knollmann, B.C. Goodman and Gilman’s, the Pharmacological Basis of Therapeutics, 14th ed.; McGraw Hill: New York, NY, USA, 2023; pp. 1182–1185. [Google Scholar]
- Paget, G.E.; Barnes, J.M. Toxicity Test in Evaluation of Drug Activities; Laurence, D.R., Bacharach, A.L., Eds.; Academic Press: Cambridge, MA, USA, 1964; pp. 135–166. [Google Scholar] [CrossRef]
- Neves, E.G.; Ramos-Perez, F.M.; Freitas, D.Q.; Boscolo, F.N.; Almeida, S.M. Radioprotective effect of sodium selenite on developing teeth. Braz. Dent. J. 2013, 24, 375–379. [Google Scholar] [CrossRef]
- Thomas, L. Alanine aminotransf-erase (ALT), aspartate aminotrasferase (AST). In Clinical Laboratory Diagnostics, 1st ed.; Thomas, L., Ed.; TH-Books Verlagsgesellschaft: Frankfurt, Germany, 1998; pp. 55–56. [Google Scholar]
- Kiernan, J.A. Histological and Histochemical Methods, 5th ed.; Scion Publishing Ltd.: Frederick, MD, USA, 2015; pp. 72–140. [Google Scholar]
- Bancroft, J.D.; Layton, C. Connective and other mesenchymal tissues with their stains. In Bancroft’s Theory and Practice Histology Techniques, 8th ed.; Suvarna, S.K., Bancroft, J.D., Layton, C., Eds.; Elsevier: New York, NY, USA, 2018; pp. 153–175. [Google Scholar]
- Bancroft, J.D.; Gamble, M. Theory and Practice of Histological Techniques, 6th ed.; Churchill Livingston: Edinburg, Scotland, 2008; pp. 340–348. [Google Scholar]
- Beutler, E.; Duron, O.; Kelly, B.M. Improved method for the determination of blood glutathione. J. Lab. Clin. Med. 1963, 61, 882–888. [Google Scholar] [PubMed]
- Okhawa, H.; Ohshi, N.; Yagi, K. Assay of lipid peroxidation in animal tissues by thiobarbituric acid reaction. Anal. Biochem. 1979, 95, 351–358. [Google Scholar]
- Weinberg, S.L.; Abramowitz, S.K. Statistics Using IBM SPSS: An Integrative Approach, 3rd ed.; Cambridge University Press: Cambridge, MA, USA, 2016; pp. 373–374. [Google Scholar]
- Paulose, P.; Juliet, S.; Samraj, S.; Nair, S.N.; Chandrasekhar, L.; George, A.J.; Narayanan, G.; John, K.; Ravindran, R. Ameliorative effect of vitamin E on azithromycin induced biochemical and histological changes in liver tissue of rats. Adv. Anim. Vet. Sci. 2016, 4, 85–91. [Google Scholar] [CrossRef]
- Usadadia, S.V.; Patel, J.M.; Vihol, P.D.; Urkude, A.P. Protective Effect of Quercetin on Azithromycin Induced Hepatotoxicity and Nephrotoxicityin Wistar Rats. Int. J. Curr. Microbiol. App. Sci. 2020, 9, 2926–2934. [Google Scholar] [CrossRef]
- Abdelaziz, A.S.; Mabrouk, Z.A.; Ibrahim, H.A.; Khalifa, H.A. The Ameliorative Potential of Vitamin E and Selenium on the Possible Adverse Effects of Azithromycin. J. Adv. Vet. Res. 2023, 13, 1394–1400. [Google Scholar]
- Abd El-Naeem, A.F.; Abouelella, A.M.; Baset, A.S. Evaluation of Effect of Azithromycin on The Heart of Adult Male Albino Rats and the Possible Protective role of VIT.C (Histological and Immune-histochemical Study). SVU Int. J. Med. Sci. 2022, 5, 518–532. [Google Scholar] [CrossRef]
- Abd El-kader, M. Evaluation of Azithromycin Induced Cardiotoxicity in Male Albino Rats and the Possible Protective Role of Nigella Sativa Oil. Egypt. J. Histol. 2019, 43, 465–476. [Google Scholar] [CrossRef]
- Jiang, X.; Baucom, C.; Elliott, R.L. Mitochondrial toxicity of azithromycin results in aerobic glycolysis and DNA damage of human mammary epithelia and fibroblasts. Antibiotics 2019, 8, 110. [Google Scholar] [CrossRef]
- Jassab, H.K.; Alghanimi, Y.K.; Alsafy, A.H.M. Effect of azithromycin on some genetic parameters and protective role of vitamin C in male white rats. Biochem. Cell. Arch. 2021, 21, 4789–4794. [Google Scholar]
- Gaschler, M.M.; Stockwell, B.R. Lipid peroxidation in cell death. Biochem. Biophys. Res. Commun. 2017, 482, 419–425. [Google Scholar] [CrossRef]
- Mironczuk-Chodakowska, I.; Witkowska, A.M.; Zujko, M.E. Endogenous nonenzymatic antioxidants in the human body. Adv. Med. Sci. 2018, 63, 68–78. [Google Scholar] [CrossRef] [PubMed]
- Olayinka, E. Influence of Azithromycin Treatment on Hepatic Lipid Peroxidation and Antioxidant Defense Systems of Rats. Br. J. Pharm. Res. 2014, 4, 240–256. [Google Scholar] [CrossRef]
- Jiang, L.; Ni, Y.; Zhao, C.; Gao, D.; Gai, X.; Xiong, K.; Wang, J. Folic acid protects against isoniazidinduced liver injury via the m6 A RNA methylation of cytochrome P450 2E1 in mice. Front. Nutr. 2024, 11, 1389684. [Google Scholar] [CrossRef] [PubMed]
- Zhang, H.; Zuo, Y.; Zhao, H.; Zhao, H.; Wang, Y.; Zhang, X.; Zhang, J.; Wang, P.; Sun, L.; Zhang, H.; et al. Folic acid ameliorates alcohol-induced liver injury via gut—liver axis homeostasis. Front. Nutr. 2022, 9, 989311. [Google Scholar] [CrossRef] [PubMed]
- Khowaja, S.; Mawani, H.; Abbasi, A.; Khowaja, S.; Asif, R.; Kalhoro, R. Protective role of folic acid on hepatic markers and morphology counter to negative effects of fluoride on albino wistar rats. J. Peoples Univ. Med. Health Sci. Nawabshah. (JPUMHS) 2021, 11, 54–58. [Google Scholar] [CrossRef]
- Xu, B.E.; Yang, X.; Zhu, X.; Liu, Q.; Zhang, Y.; Zhang, M.; Fan, C.; Ban, X.; Aikebaier, G.; Bian, H. The relationship between folic acid and nonalcoholic fatty liver disease. Clin. Transl. Disc. 2024, 4, e274. [Google Scholar] [CrossRef]
- Asbaghi, O.; Ghanavati, M.; Ashtary-Larky, D.; Bagheri, R.; Rezaei Kelishadi, M.; Nazarian, B.; Nordvall, M.; Wong, A.; Dutheil, F.; Suzuki, K.; et al. Effects of Folic Acid Supplementation on Oxidative Stress Markers: A Systematic Review and Meta-Analysis of Randomized Controlled Trials. Antioxidants 2021, 10, 871. [Google Scholar] [CrossRef]
- Xin, F.Z.; Zhao, Z.H.; Zhang, R.N.; Pan, Q.; Gong, Z.Z.; Sun, C.; Fan, J.G. Folic acid attenuates high-fat diet-induced steatohepatitis via deacetylase SIRT1-dependent restoration of PPARα. World J. Gastroenterol. 2020, 26, 2203–2220. [Google Scholar] [CrossRef] [PubMed]





| Group | Group I | Group II | Group III | Group IV | ANOVA | |
|---|---|---|---|---|---|---|
| Variable | F-Value | p-Value | ||||
| ALT (IU/L) | 16.6 ± 1.64 | 17.5 ± 1.9 | 42.2 ± 3.7 a b | 25.2 ± 2.2 a b c | 212.8 | <0.0001 * |
| AST (IU/L) | 12 ± 1.15 | 12.3 ± 1.4 | 31.3 ± 2.79 a b | 19.8 ± 1.0328 a b c | 268.5 | <0.0001 * |
| Collagen surface area | 8.826 ± 1.62 | 9.53 ± 1.35 | 19.89 ± 1.81 a b | 13.7 ± 1.41 a b c | 105.4 | <0.0001 * |
| GSH (mg/g) | 1.37 ± 0.156 | 1.192 ± 0.06 | 0.73 ± 0.12 a b | 1.156 ± 0.345 c | 17.73 | <0.0001 * |
| MDA (mmol/g) | 21.92 + 0.81 | 22.45 + 0.52 | 35.6 + 1.74 a b | 23.63 + 0.87 a c | 355.71 | <0.0001 * |
Disclaimer/Publisher’s Note: The statements, opinions and data contained in all publications are solely those of the individual author(s) and contributor(s) and not of MDPI and/or the editor(s). MDPI and/or the editor(s) disclaim responsibility for any injury to people or property resulting from any ideas, methods, instructions or products referred to in the content. |
© 2025 by the authors. Published by MDPI on behalf of the Lithuanian University of Health Sciences. Licensee MDPI, Basel, Switzerland. This article is an open access article distributed under the terms and conditions of the Creative Commons Attribution (CC BY) license (https://creativecommons.org/licenses/by/4.0/).
Share and Cite
Hanafy, S.M.; Zakaria, S.S. The Protective Role of Folic Acid in Biochemical and Histopathological Changes Induced by Azithromycin in the Livers of Pregnant Albino Rats. Medicina 2025, 61, 415. https://doi.org/10.3390/medicina61030415
Hanafy SM, Zakaria SS. The Protective Role of Folic Acid in Biochemical and Histopathological Changes Induced by Azithromycin in the Livers of Pregnant Albino Rats. Medicina. 2025; 61(3):415. https://doi.org/10.3390/medicina61030415
Chicago/Turabian StyleHanafy, Safaa M., and Soha S. Zakaria. 2025. "The Protective Role of Folic Acid in Biochemical and Histopathological Changes Induced by Azithromycin in the Livers of Pregnant Albino Rats" Medicina 61, no. 3: 415. https://doi.org/10.3390/medicina61030415
APA StyleHanafy, S. M., & Zakaria, S. S. (2025). The Protective Role of Folic Acid in Biochemical and Histopathological Changes Induced by Azithromycin in the Livers of Pregnant Albino Rats. Medicina, 61(3), 415. https://doi.org/10.3390/medicina61030415

