Presence and Evolution of Radiological Changes at 6 and 12 Months After COVID-19 Pneumonia and Their Risk Factors
Abstract
1. Introduction
2. Materials and Methods
2.1. Study Design and Participants
2.2. Variables
- Appearance (yes/no) of radiological abnormalities at 6 and 12 months;
- Number of lung segments with radiological abnormalities at 6 and 12 months.
- Parenchymal pattern: ground-glass opacities and consolidation;
- Reticular pattern: septal thickening, subpleural curvilinear line and subpleural parenchymal band;
- Fibrotic pattern: bronchiectasis, honeycombing and atelectasis.
- Patient characteristics: age, sex, smoking status, cardiovascular risk factors and chronic diseases;
- Course of the disease during admission: the occurrence of acute respiratory distress syndrome (ARDS), the type of respiratory support, the minimum ratio of partial pressure arterial oxygen (PaO2) to the fraction of inspired oxygen (FiO2) and peak FiO2;
- ICU admission: the length of ICU stay and the length of hospital stay;
- Peak values for different laboratory parameters: C-reactive protein (CRP), ferritin, interleukin (IL)-6 and D-dimer;
- Pharmacological treatment: tocilizumab, corticosteroids and the length of corticosteroid therapy.
2.3. Statistical Analysis
2.4. Ethical Aspects
3. Results
3.1. Study Sample
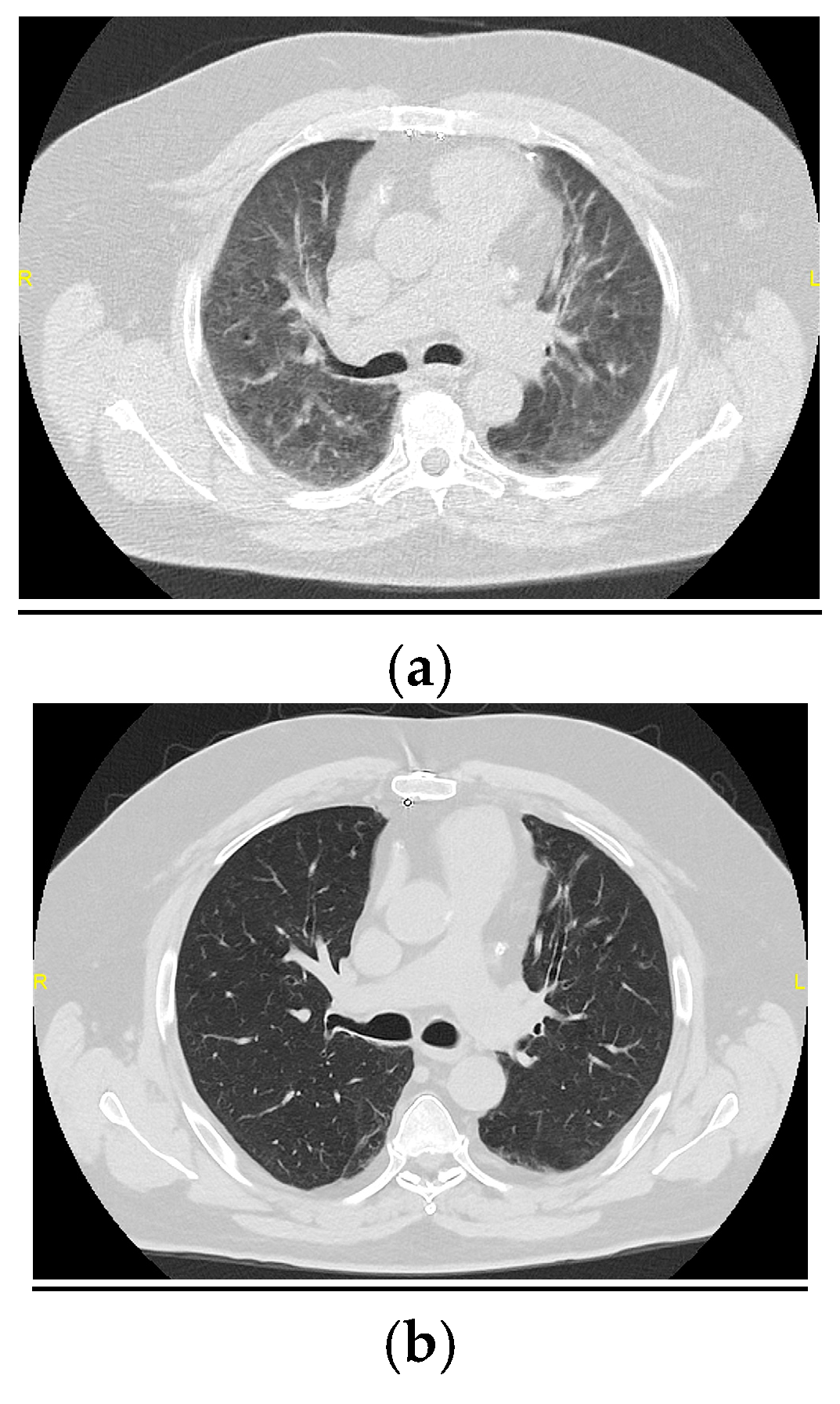
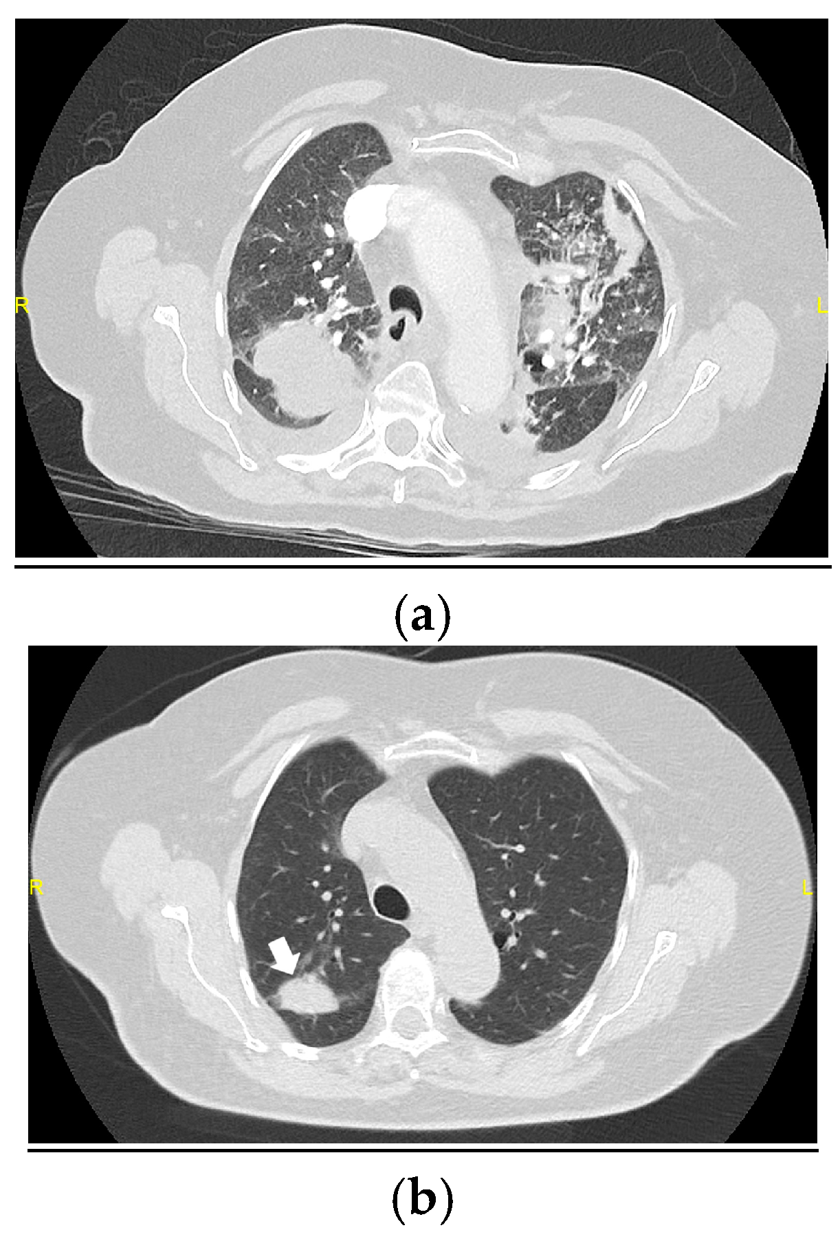
3.2. Changes in the Main Radiological Patterns and Findings from 6 to 12 Months After Hospital Discharge
3.2.1. Radiological Patterns
3.2.2. Main Radiological Findings
3.3. Risk Factors for the Main Radiological Findings at 6 and 12 Months After Hospital Discharge
4. Discussion
5. Conclusions
Author Contributions
Funding
Institutional Review Board Statement
Informed Consent Statement
Data Availability Statement
Acknowledgments
Conflicts of Interest
Abbreviations
References
- WHO. COVID-19 Dashboard; World Health Organization: Geneva, Switzerland, 2020; Available online: https://covid19.who.int/ (accessed on 2 April 2024).
- Soy, M.; Keser, G.; Atagündüz, P.; Tabak, F.; Atagündüz, I.; Kayhan, S. Cytokine storm in COVID-19: Pathogenesis and overview of anti-inflammatory agents used in treatment. Clin. Rheumatol. 2020, 39, 2085–2094. [Google Scholar] [CrossRef] [PubMed] [PubMed Central]
- Gandhi, R.T.; Lynch, J.B.; Del Rio, C. Mild or Moderate COVID-19. N. Engl. J. Med. 2020, 383, 1757–1766. [Google Scholar] [CrossRef] [PubMed]
- Han, X.; Fan, Y.; Alwalid, O.; Li, N.; Jia, X.; Yuan, M.; Li, Y.; Cao, Y.; Gu, J.; Wu, H.; et al. Six-month Follow-up Chest CT Findings after Severe COVID-19 Pneumonia. Radiology 2021, 299, E177–E186. [Google Scholar] [CrossRef] [PubMed]
- Spagnolo, P.; Balestro, E.; Aliberti, S.; Cocconcelli, E.; Biondini, D.; Della Casa, G.; Sverzellati, N.; Maher, T.M. Pulmonary fibrosis secondary to COVID-19: A call to arms? Lancet Respir. Med. 2020, 8, 750–752. [Google Scholar] [CrossRef] [PubMed]
- Watanabe, A.; So, M.; Iwagami, M.; Fukunaga, K.; Takagi, H.; Kabata, H.; Kuno, T. One-year follow-up CT findings in COVID-19 patients: A systematic review and meta-analysis. Respirology 2022, 27, 605–616. [Google Scholar] [CrossRef] [PubMed] [PubMed Central]
- Liu, M.; Lv, F.; Huang, Y.; Xiao, K. Follow-Up Study of the Chest CT Characteristics of COVID-19 Survivors Seven Months After Recovery. Front. Med. 2021, 8, 636298. [Google Scholar] [CrossRef] [PubMed]
- Parry, A.H.; Wani, A.H.; Shah, N.N.; Jehangir, M. Medium-term chest computed tomography (CT) follow-up of COVID-19 pneumonia patients after recovery to assess the rate of resolution and determine the potential predictors of persistent lung changes. Egypt. J. Radiol. Nucl. Med. 2021, 52, 55. [Google Scholar] [CrossRef]
- Balbi, M.; Conti, C.; Imeri, G.; Caroli, A.; Surace, A.; Corsi, A.; Mercanzin, E.; Arrigoni, A.; Villa, G.; Di Marco, F.; et al. Post-discharge chest CT findings and pulmonary function tests in severe COVID-19 patients. Eur. J. Radiol. 2021, 138, 109676. [Google Scholar] [CrossRef] [PubMed]
- Besutti, G.; Monelli, F.; Schirò, S.; Milone, F.; Ottone, M.; Spaggiari, L.; Facciolongo, N.; Salvarani, C.; Croci, S.; Pattacini, P.; et al. Follow-Up CT Patterns of Residual Lung Abnormalities in Severe COVID-19 Pneumonia Survivors: A Multicenter Retrospective Study. Tomography 2022, 8, 1184–1195. [Google Scholar] [CrossRef] [PubMed]
- Corsi, A.; Caroli, A.; Bonaffini, P.A.; Conti, C.; Arrigoni, A.; Mercanzin, E.; Imeri, G.; Anelli, M.; Balbi, M.; Pace, M.; et al. Structural and Functional Pulmonary Assessment in Severe COVID-19 Survivors at 12 Months after Discharge. Tomography 2022, 8, 2588–2603. [Google Scholar] [CrossRef] [PubMed]
- Eizaguirre, S.; Sabater, G.; Belda, S.; Calderón, J.C.; Pineda, V.; Comas-Cufí, M.; Bonnin, M.; Orriols, R. Long-term respiratory consequences of COVID-19 related pneumonia: A cohort study. BMC Pulm. Med. 2023, 23, 439. [Google Scholar] [CrossRef] [PubMed]
- de Paula, C.B.V.; Nagashima, S.; Liberalesso, V.; Collete, M.; da Silva, F.P.G.; Oricil, A.G.G.; Barbosa, G.S.; da Silva, G.V.C.; Wiedmer, D.B.; Dezidério, F.d.S.; et al. COVID-19: Immunohistochemical Analysis of TGF-β Signaling Pathways in Pulmonary Fibrosis. Int. J. Mol. Sci. 2021, 23, 168. [Google Scholar] [CrossRef]
- Rai, D.K.; Sharma, P.; Kumar, R. Post COVID-19 pulmonary fibrosis. Is it real threat? Indian J. Tuberc. 2021, 68, 330–333. [Google Scholar] [CrossRef] [PubMed]
- Solomon, J.J.; Heyman, B.; Ko, J.P.; Conds, R.; Lynch, D.A. CT of Postacute Lung Complications of COVID-19. Radiology 2021, 10, 2011396. [Google Scholar]
- Chen, Y.; Ding, C.; Yu, L.; Guo, W.; Feng, X.; Yu, L.; Su, J.; Xu, T.; Ren, C.; Shi, D.; et al. One-year follow- up of chest CT findings in patients after SARS-CoV-2 infection. BMC Med. 2021, 19, 191. [Google Scholar] [CrossRef] [PubMed]
- Gamberini, L.; Mazzoli, C.A.; Prediletto, I.; Sintonen, H.; Scaramuzzo, G.; Allegri, D.; Colombo, D.; Tonetti, T.; Zani, G.; Capozzi, C.; et al. Health-related quality of life profiles, trajectories, persistent symptoms and pulmonary function one year after ICU discharge in invasively ventilated COVID-19 patients, a prospective follow-up study. Respir. Med. 2021, 189, 106665. [Google Scholar] [CrossRef]
- Roig-Martí, C.; Pérez-Catalán, I.; Varea-Villanueva, M.; Folgado-Escudero, S.; Navarro-Ballester, A.; Fernández-García, M.P.; Segura-Fábrega, A.; Herrero-Rodríguez, G.; Domínguez-Bajo, E.; Fabra-Juana, S.; et al. Predictors of the presence of radiological abnormalities 6 months after severe COVID-19 pneumonia. BMC Infect. Dis. 2024, 24, 883. [Google Scholar] [CrossRef]
- León-Jiménez, A.; Vázquez-Gandullo, E.; Montoro-Ballesteros, F. Pulmonary toxicity by oxygen and COVID-19. Med Intensiva. 2022, 46, 353. [Google Scholar] [CrossRef]
- George, P.M.; Wells, A.U.; Jenkins, R.G. Pulmonary fibrosis and COVID-19: The potential role for antifibrotic therapy. Lancet Respir. Med. 2020, 8, 807–815. [Google Scholar] [CrossRef] [PubMed]
- Helms, J.; Tacquard, C.; Severac, F.; Leonard-Lorant, I.; Ohana, M.; Delabranche, X.; Merdji, H.; Clere-Jehl, R.; Schenck, M.; CRICS TRIGGERSEP Group (Clinical Research in Intensive Care and Sepsis Trial Group for Global Evaluation and Research in Sepsis); et al. High risk of thrombosis in patients with severe SARS-CoV-2 infection: A multicenter prospective cohort study. Intensive Care Med. 2020, 46, 1089–1098. [Google Scholar] [CrossRef]
- Myall, K.J.; Mukherjee, B.; Castanheira, A.M.; Lam, J.L.; Benedetti, G.; Mak, S.M.; Preston, R.; Thillai, M.; Dewar, A.; Molyneaux, P.L.; et al. Persistent Post-COVID-19 Interstitial Lung Disease. An Observational Study of Corticosteroid Treatment. Ann. Am. Thorac. Soc. 2021, 18, 799–806. [Google Scholar] [CrossRef] [PubMed]



| Categorical Variables | n (%) |
|---|---|
| General characteristics | |
| Male | 77 (71.3) |
| Smoker/ex-smoker | 36 (33.3) |
| Comorbidities | |
| Hypertension | 52 (48.1) |
| Dyslipidemia | 35 (32.4) |
| Obesity (BMI > 30 km/m2) | 43 (39.8) |
| Ischemic heart disease | 6 (5.6) |
| Heart failure | 3 (2.8) |
| Chronic bronchopathy | 2 (1.8) |
| Chronic kidney disease | 2 (1.8) |
| Diabetes | 16 (14.8) |
| Disease course | |
| ARDS | 75 (69.4) |
| ICU admission | 63 (58.3) |
| Helmet CPAP | 59 (54.6) |
| High-flow oxygen therapy | 8 (7.4) |
| Invasive mechanical ventilation | 8 (7.4) |
| Pharmacological treatment | |
| Tocilizumab | 16 (14.8) |
| Corticosteroids | 105 (97.2) |
| Continuous variables | Median (IQR) b |
| Age (years), mean (SD) | 64 (9) |
| Laboratory values | |
| Peak CRP (mg/L) | 118.5 (62.2–193.7) |
| Peak ferritin (µg/L) | 851 (534.2–1728) |
| Peak IL-6 (ng/L) [n = 96] | 59.1 (24.9–138) |
| Peak D-dimer (ng/mL) | 2005 (912.5–4175) |
| Nadir PaO2/FiO2 (%) [n = 105], | 166 (105.5–312) |
| Peak FiO2 (%) | 60 (32–60) |
| Duration of steroid therapy (days) | 54 (41–81) |
| Duration of ICU stay (days) [n = 63] | 7 (4–10) |
| Duration of hospital stay (days) | 15 (9–22) |
| No. Lung Segments Affected, Total | No. Lung Segments Affected, Mdn (IQR) | Change from 6 to 12 Months, n (%) a | ||||||
|---|---|---|---|---|---|---|---|---|
| 6 Months | 12 Months | 6 Months | 12 Months | p Value b | Improvement | Worsening | Stability | |
| Parenchymal pattern | 6 (3.2–8) | 5 (2–6) | <0.001 | 42 (38.9) | 3 (2.8) | 63 (58.3) | ||
| Ground-glass opacities | 445 | 382 | 5 (2–6) | 3.5 (2–6) | <0.001 | 35 (32.4) | 0 | 73 (67.6) |
| Consolidation | 158 | 136 | 1 (0–2) | 0 (0–2) | 0.019 | 19 (17.6) | 7 (6.5) | 82 (75.9) |
| Reticular pattern | 1 (0–3) | 1 (0–2) | 0.171 | 16 (14.8) | 10 (9.3) | 82 (75.9) | ||
| Septal thickening | 35 | 28 | 0 (0–1) | 0 (0–1) | 0.166 | 7 (6.5) | 3 (2.8) | 98 (90.7) |
| Subpleural curvilinear line | 41 | 40 | 0 (0–1) | 0 (0–1) | 0.705 | 4 (3.7) | 3 (2.8) | 101 (93.5) |
| Subpleural parenchymal bands | 101 | 97 | 0 (0–2) | 0 (0–2) | 0.612 | 8 (7.4) | 7 (6.5) | 93 (86.1) |
| Fibrotic pattern | 1 (0–2) | 1 (0–2) | 0.186 | 11 (10.2) | 18 (16.7) | 79 (73.1) | ||
| Bronchiectasis | 66 | 80 | 0 (0–1) | 0 (0–1) | 0.033 | 5 (4.6) | 14 (13) | 89 (82.4) |
| Honeycombing | 20 | 22 | 0 (0–0) | 0 (0–0) | 0.317 | 0 | 1 (0.9) | 107 (99.1) |
| Atelectasis | 60 | 54 | 0 (0–1) | 0 (0–1) | 0.222 | 8 (7.4) | 4 (3.7) | 96 (88.9) |
| n (%) | n (%) | p value c | — | — | — | |||
| Parenchymal pattern | 101 (93.5) | 96 (88.9) | <0.001 | — | — | — | ||
| Reticular pattern | 68 (63) | 67 (62) | <0.001 | — | — | — | ||
| Fibrotic pattern | 67 (62) | 69 (63.9) | <0.001 | — | — | — | ||
| Ground-Glass Opacities, n = 99 (91.7%) | Consolidation, n = 57 (52.8%) | Septal Thickening, n = 32 (29.6%) | Subpleural Curvilinear Line, n = 28 (25.9%) | Subpleural Parenchymal Bands, n = 42 (38.9%) | Bronchiectasis, n = 38 (35.2%) | Honeycombing, n = 5 (4.6%) | Atelectasis, n = 38 (35.5%) | |||||||||
|---|---|---|---|---|---|---|---|---|---|---|---|---|---|---|---|---|
| OR | 95% CI | OR | 95% CI | OR | 95% CI | OR | 95% CI | OR | 95% CI | OR | 95% CI | OR | 95% CI | OR | 95% CI | |
| General characteristics | ||||||||||||||||
| Male | 2.133 | 0.533–8.541 | 0.741 | 0.319–1.720 | 0.840 | 0.341.2.068 | 0.515 | 0.207–1.282 | 1.225 | 0.516–2.911 | 2.311 | 0.887–6.018 | 1.644 | 0.176–15.320 | 1.200 | 0.495–2.907 |
| Smoker/ex-smoker | 0.597 | 0.150–2.374 | 0.510 | 0.227–1.149 | 0.571 | 0.226–1.443 | 0.455 | 0.166–1.248 | 0.481 | 0.202–1.142 | 2.173 | 0.949–4.976 | 3.182 | 0.507–19.963 | 1.522 | 0.665–3.480 |
| Comorbidities | ||||||||||||||||
| Hypertension | 1.176 | 0.298–4.642 | 1.465 | 0.685–3.131 | 2.292 | 0.981–5.352 | 0.911 | 0.385–2.158 | 0.966 | 0.445–2.095 | 0.810 | 0.366–1.789 | 1.653 | 0.265–10.310 | 0.953 | 0.432–2.101 |
| Dyslipidemia | 0.570 | 0.143–2.269 | 0.923 | 0.412–2.068 | 2.037 | 0.862–4.817 | 0.984 | 0.392–2.471 | 2.162 | 0.949–4.925 | 0.643 | 0.269–1.537 | 3.328 | 0.530–20.897 | 1.361 | 0.591–3.134 |
| Obesity (BMI > 30 km/m2) | 1.356 | 0.320–5.739 | 1.225 | 0.565–2.655 | 1.815 | 0.786–4.192 | 1.444 | 0.605–3.447 | 0.889 | 0.402–1.964 | 0.693 | 0.305–1.575 | 2.363 | 0.378–14.765 | 1.370 | 0.614–3.056 |
| Ischemic heart disease | 1.065 | 1.013–1.119 | 4.808 | 0.542–42.609 | 1.200 | 0.209–6.906 | 1.462 | 0.253–8.451 | 0.775 | 0.136–4.430 | 1.914 | 0.367–9.984 | 4.900 | 0.459–52.333 | 4.000 | 0.697–22.940 |
| Heart failure | 1.031 | 0.996–1.068 | 1.818 | 0.160–20.669 | 0.961 | 0.918–1.005 | 6.077 | 0.529–69.792 | 0.780 | 0.069–8.886 | 0.957 | 0.911–1.006 | 0.971 | 0.939–1.004 | 1.086 | 0.989–1.192 |
| Chronic bronchopathy | 1.021 | 0.992–1.050 | 1.036 | 0.986–1.089 | 2.419 | 0.147–39.914 | 0.975 | 0.941–1.010 | 1.585 | 0.096–26.051 | 1.865 | 0.113–30.680 | 0.981 | 0.954–1.008 | 1.865 | 0.113–30.680 |
| Chronic kidney disease | 1.021 | 0.992–1.050 | 0.893 | 0.054–14.652 | 2.419 | 0.147–39.914 | 0.975 | 0.941–1.010 | 1.585 | 0.096–26.051 | 1.865 | 0.113–30.680 | 0.981 | 0.954–1.008 | 0.971 | 0.933–1.011 |
| Diabetes | 0.302 | 0.067–1.360 | 0.653 | 0.224–1.904 | 1.094 | 0.347–3.451 | 0.944 | 0.278–3.210 | 1.706 | 0.587–4.961 | 0.813 | 0.260–2.540 | 1.467 | 0.153–14.036 | 0.813 | 0.260–2.540 |
| Disease course | ||||||||||||||||
| ARDS | 5.333 | 1.245–22.845 | 1.281 | 0.564–2.910 | 3.150 | 1.089–9.110 | 0.905 | 0.358–2.284 | 0.809 | 0.351–1.862 | 1.370 | 0.570–3.295 | 0.646 | 0.103–4.059 | 0.929 | 0.395–2.181 |
| ICU admission | 13.405 | 1.612–111.499 | 0.963 | 0.447–2.071 | 1.545 | 0.655–3.646 | 0.769 | 0.323–1.831 | 0.923 | 0.422–2.021 | 1.619 | 0.714–3.672 | 0.459 | 0.073–2.867 | 1.150 | 0.514–2.571 |
| Helmet CPAP | 11.317 | 1.363–93.999 | 0.843 | 0.394–1.802 | 1.581 | 0.679–3.682 | 0.944 | 0.398–2.239 | 0.629 | 0.289–1.372 | 1.226 | 0.553–2.721 | 0.538 | 0.086–3.357 | 1.226 | 0.553–2.721 |
| High-flow oxygen therapy | 1.088 | 1.026–1.153 | 0.887 | 0.210–3.745 | 0.778 | 0.148–4.076 | 0.949 | 0.180–4.997 | 13.000 | 1.537–109.964 | 1.114 | 0.251–4.940 | 0.922 | 0.872–0.975 | 0.593 | 0.114–3.090 |
| Invasive mechanical ventilation | 1.088 | 1.026–1.153 | 7.000 | 0.830–59.001 | 4.506 | 1.008–20.153 | 0.900 | 0.837–0.968 | 5.333 | 1.023–27.814 | 6.375 | 1.219–33.346 | 0.922 | 0.872–0.975 | 0.886 | 0.814–0.963 |
| Treatment | ||||||||||||||||
| Tocilizumab | 1.193 | 1.094–1.301 | 1.596 | 0.536–4.754 | 1.523 | 0.502–4.618 | 0.363 | 0.077–1.708 | 1.267 | 0.433–3.706 | 2.067 | 0.707–6.041 | 1.467 | 0.153–14.036 | 1.530 | 0.521–4.499 |
| Corticosteroids | 1.031 | 0.996–1.068 | 1.056 | 0.993–1.122 | 0.200 | 0.017–2.289 | 0.963 | 0.922–1.005 | 1.077 | 0.990–1.171 | 0.261 | 0.023–2.975 | 0.971 | 0.939–1.004 | 0.957 | 0.911–1.006 |
| Dichotomized continuous variables | ||||||||||||||||
| Age ≥ 71 years | 0.538 | 0.124–2.336 | 1.335 | 0.533–3.341 | 1.591 | 0.612–4.137 | 1.600 | 0.597–4.289 | 1.161 | 0.461–2.922 | 1.138 | 0.444–2.916 | 2.455 | 0.386–15.614 | 0.900 | 0.345–2.348 |
| Peak CRP ≥ 193.7 mg/L | 2.849 | 0.340–23.893 | 1.743 | 0.712–4.262 | 3.030 | 1.216–7.552 | 1.000 | 0.370–2.702 | 1.109 | 0.456–2.697 | 2.080 | 0.854–5.065 | 0.738 | 0.658–0.828 | 0.565 | 0.214–1.490 |
| Peak ferritin ≥ 1728 µg/L | 2.849 | 0.340–23.893 | 2.154 | 0.866–5.357 | 1.000 | 0.385–2.596 | 0.573 | 0.194–1.695 | 2.038 | 0.843–4.929 | 2.558 | 1.047–6.247 | 0.738 | 0.658–0.828 | 0.897 | 0.357–2.250 |
| Peak IL-6 ≥ 138 ng/L | 1.369 | 1.207–1.553 | 1.667 | 0.647–4.296 | 1.500 | 0.550–4.087 | 0.325 | 0.088–1.203 | 1.410 | 0.554–3.589 | 1.803 | 0.702–4.631 | 0.739 | 0.079–6.955 | 0.590 | 0.208–1.671 |
| Peak D-dimer ≥ 4175 ng/mL | 0.640 | 0.149–2.756 | 0.952 | 0.398–2-276 | 3.030 | 1.216–7.552 | 0.413 | 0.129–1.323 | 2.038 | 0.843–4.929 | 2.080 | 0.854–5.065 | 2.080 | 0.329–13.163 | 0.761 | 0.279–1.834 |
| Nadir PaO2/FiO2 ≤ 312% | 4.464 | 1.100–18.122 | 1.394 | 0.573–3.390 | 3.981 | 1.096–14.459 | 0.920 | 0.337–2.511 | 0.980 | 0.394–2.437 | 1.574 | 0.591–4.194 | 0.474 | 0.075–3.004 | 0.878 | 0.352–2.193 |
| Peak FiO2 ≥ 60% | 1.303 | 1.169–1.452 | 1.519 | 0.594–3.886 | 1.050 | 0.385–2.864 | 0.749 | 0.249–2.250 | 1.013 | 0.394–2.604 | 1.969 | 0.772–5.026 | 0.920 | 0.098–8.658 | 0.585 | 0.209–1.636 |
| Duration of steroid therapy ≥ 80 days | 1.182 | 0.230–6.069 | 1.161 | 0.484–2.785 | 1.578 | 0.628–3.966 | 2.059 | 0.804–5.273 | 1.109 | 0.456–2.697 | 1.113 | 0.450–2.754 | 2.080 | 0.329–13.163 | 1.375 | 0.561–3.368 |
| ICU stay ≥ 10 days | 5.636 | 3.298–9.633 | 0.889 | 0.253–3.128 | 1.563 | 0.430–5.682 | 0.240 | 0.028–2.037 | 2.800 | 0.773–10.140 | 6.563 | 1.564–27.540 | 4.545 | 0.264–78.394 | 0.286 | 0.057–1.440 |
| Hospital stay ≥ 22 days | 2.286 | 0.271–19.276 | 1.519 | 0.594–3.886 | 1.733 | 0.661–4.546 | 0.749 | 0.249–2.250 | 1.274 | 0.501–3.242 | 2.476 | 0.968–6.333 | 0.920 | 0.098–8.658 | 1.241 | 0.480–3.209 |
| Ground-Glass Opacities, n = 94 (87%) | Consolidation, n = 53 (49.1%) | Septal Thickening, n = 28 (25.9%) | Subpleural Curvilinear Line, n = 29 (26.9%) | Subpleural Parenchymal Bands, n = 43 (39.8%) | Bronchiectasis, n = 42 (38.9%) | Honeycombing, n = 6 (5.6%) | Atelectasis, n = 36 (33.3%) | |||||||||
|---|---|---|---|---|---|---|---|---|---|---|---|---|---|---|---|---|
| OR | 95% CI | OR | 95% CI | OR | 95% CI | OR | 95% CI | OR | 95% CI | OR | 95% CI | OR | 95% CI | OR | 95% CI | |
| General characteristics | ||||||||||||||||
| Male | 0.993 | 0.286–3.439 | 0.867 | 0.377–1.997 | 1.286 | 0.483–3.426 | 0.688 | 0.276–1.716 | 0.884 | 0.379–2.063 | 2.273 | 0.904–5.714 | 2.083 | 0.233–18.594 | 1.643 | 0.649–4.159 |
| Smoker/ex-smoker | 0.318 | 0.101–1.002 | 0.757 | 0.339–1.690 | 0.930 | 0.371–2.330 | 0.426 | 0.156–1.166 | 0.455 | 0.192–1.079 | 2.000 | 0.884–4.526 | 4.375 | 0.762–25.130 | 1.446 | 0.626–3.340 |
| Comorbidities | ||||||||||||||||
| Hypertension | 0.660 | 0.212–2.050 | 1.447 | 0.678–3.088 | 3.750 | 1.474–9.542 | 1.007 | 0.430–2.360 | 0.768 | 0.354–1.664 | 0.602 | 0.275–1.318 | 1.082 | 0.208–5.614 | 1.321 | 0.592–2.945 |
| Dyslipidemia | 0.424 | 0.136–1.323 | 0.691 | 0.307–1.556 | 2.285 | 0.938–5.565 | 0.917 | 0.367–2.293 | 1.435 | 0.634–3.249 | 0.897 | 0.391–2.057 | 2.188 | 0.418–11.437 | 1.285 | 0.552–2.990 |
| Obesity (BMI > 30 km/m2) | 0.621 | 0.201–1.916 | 1.342 | 0.620–2.905 | 1.759 | 0.737–4.197 | 1.609 | 0.681–3.803 | 0.708 | 0.319–1.570 | 0.889 | 0.402–1.964 | 3.231 | 0.565–18.475 | 0.944 | 0.416–2.140 |
| Ischemic heart disease | 0.267 | 0.044–1.615 | 1.040 | 0.200–5.398 | 1.462 | 0.253–8.451 | 0.529 | 0.059–4.726 | 0.286 | 0.032–2.535 | 3.368 | 0.589–19.272 | 3.880 | 0.378–39.782 | 2.091 | 0.400–10.922 |
| Heart failure | 1.033 | 0.996–1.072 | 2.118 | 0.186–24.073 | 1.444 | 0.126–16.573 | 5.778 | 0.504–66.290 | 0.750 | 0.066–8.536 | 0.780 | 0.069–8.886 | 0.971 | 0.938–1.004 | 1.091 | 0.989–1.204 |
| Chronic bronchopathy | 1.022 | 0.992–1.053 | 1.039 | 0.985–1.096 | 1.077 | 0.972–1.193 | 0.975 | 0.941–1.010 | 1.524 | 0.093–25.033 | 1.050 | 0.981–1.123 | 0.980 | 0.954–1.008 | 2.029 | 0.123–33.400 |
| Chronic kidney disease | 1.022 | 0.992–1.053 | 1.038 | 0.063–17.040 | 2.926 | 0.177–48.407 | 0.975 | 0.941–1.010 | 1.524 | 0.093–25.033 | 1.585 | 0.096–26.051 | 0.980 | 0.954–1.008 | 0.972 | 0.935–1.011 |
| Diabetes | 0.366 | 0.099–1.354 | 1.044 | 0.361–3.020 | 2.630 | 0.874–7.909 | 1.288 | 0.406–4.088 | 1.629 | 0.561–4.732 | 0.676 | 0.217–2.105 | 1.160 | 0.127–10.636 | 0.894 | 0.285–2.803 |
| Disease course | ||||||||||||||||
| ARDS | 2.615 | 0.836–8.186 | 1.035 | 0.456–2.347 | 1.868 | 0.677–5.153 | 0.970 | 0.386–2.436 | 0.598 | 0.261–1.370 | 0.970 | 0.419–2.244 | 0.873 | 0.152–5.020 | 0.680 | 0.290–1.598 |
| ICU admission | 2.900 | 0.900–9.340 | 0.870 | 0.404–1.870 | 1.142 | 0.475–2.750 | 0.692 | 0.294–1.630 | 0.719 | 0.329–1.568 | 1.084 | 0.494–2.378 | 0.700 | 0.135–3.638 | 0.843 | 0.376–1.893 |
| Helmet CPAP | 2.430 | 0.756–7.807 | 0.746 | 0.349–1.595 | 0.944 | 0.398–2.239 | 0.852 | 0.363–2.000 | 0.580 | 0.266–1.262 | 0.862 | 0.397–1.874 | 0.821 | 0.158–4.265 | 0.894 | 0.401–1.995 |
| High-flow oxygen therapy | 1.093 | 1.028–1.163 | 1.806 | 0.409–7.965 | 1.800 | 0.401–8.077 | 3.000 | 0.698–12.891 | 12.444 | 1.472–105.212 | 1.632 | 0.385–6.911 | 0.922 | 0.871–0.975 | 0.889 | 0.819–0.965 |
| Invasive mechanical ventilation | 1.093 | 1.028–1.163 | 8.217 | 0.975–69.278 | 10.636 | 2.005–56.433 | 0.367 | 0.043–3.123 | 2.719 | 0.615–12.032 | 5.333 | 1.023–27.814 | 0.922 | 0.871–0.975 | 0.889 | 0.819–0.965 |
| Treatment | ||||||||||||||||
| Tocilizumab | 2.468 | 0.300–20.309 | 1.403 | 0.482–4.085 | 1.909 | 0.623–5.850 | 0.344 | 0.073–1.617 | 1.210 | 0.414–3.537 | 1.267 | 0.433–3.706 | 1.160 | 0.127–10.636 | 1.690 | 0.573–4.982 |
| Corticosteroids | 1.033 | 0.996–1.072 | 0.472 | 0.042–5.368 | 0.165 | 0.014–1.890 | 0.962 | 0.921–1.005 | 0.320 | 0.028–3.647 | 0.308 | 0.027–3.504 | 0.971 | 0.938–1.004 | 0.958 | 0.913–1.006 |
| Dichotomized continuous variables | ||||||||||||||||
| Age ≥ 71 years | 1.055 | 0.269–4.133 | 2.018 | 0.795–5.121 | 3.335 | 1.273–8.739 | 1.920 | 0.730–5.050 | 1.710 | 0.685–4.267 | 1.800 | 0.720–4.500 | 1.818 | 0.312–10.586 | 1.267 | 0.492–3.258 |
| Peak CRP ≥ 193.7 mg/L | 4.971 | 0.619–39.929 | 1.414 | 0.589–3.395 | 2.588 | 1.016–6.597 | 0.939 | 0.349–2.527 | 1.053 | 0.433–2.557 | 1.665 | 0.690–4.018 | 0.735 | 0.654–0.826 | 0.367 | 0.126–1.068 |
| Peak ferritin ≥ 1728 µg/L | 4.971 | 0.619–39.929 | 2.629 | 1.055–6.550 | 1.632 | 0.630–4.223 | 0.720 | 0.258–2.014 | 1.579 | 0.655–3.803 | 3.808 | 1.529–9.482 | 0.735 | 0.654–0.826 | 1.000 | 0.397–2.519 |
| Peak IL-6 ≥ 138 ng/L | 3.710 | 0.449–30.616 | 1.750 | 0.687–4.459 | 2.723 | 0.980–7.563 | 0.639 | 0.211–1.936 | 1.410 | 0.554–3.589 | 1.410 | 0.554–3.589 | 0.583 | 0.065–5.251 | 0.667 | 0.234–1.897 |
| Peak D-dimer ≥ 4175 ng/mL | 1.257 | 0.323–4.889 | 1.160 | 0.485–2.773 | 5.154 | 1.994–13.320 | 0.540 | 0.183–1.592 | 1.290 | 0.534–3.115 | 1.360 | 0.562–3.288 | 1.540 | 0.266–8.918 | 0.628 | 0.237–1.661 |
| Nadir PaO2/FiO2 ≤ 312% | 2.663 | 0.827–8.570 | 1.138 | 0.468–2.765 | 2.123 | 0.657–6.863 | 0.983 | 0.362–2.672 | 0.677 | 0.276–1.659 | 0.980 | 0.394–2.437 | 0.640 | 0.110–3.714 | 0.631 | 0.254–1.570 |
| Peak FiO2 ≥ 60% | 1.726 | 0.358–8.327 | 1.463 | 0.578–3.699 | 1.333 | 0.483–3.682 | 0.706 | 0.236–2.116 | 0.964 | 0.375–2.476 | 2.000 | 0.788–5.075 | 0.727 | 0.081–6.552 | 0.647 | 0.231–1.815 |
| Duration of steroid therapy ≥ 80 days | 2.174 | 0.454–10.400 | 1.730 | 0.715–4.185 | 1.632 | 0.630–4.223 | 1.920 | 0.754–4.889 | 1.579 | 0.655–3.803 | 1.360 | 0.562–3.288 | 1.540 | 0.266–8.918 | 0.628 | 0.237–1.661 |
| ICU stay ≥ 10 days | 0.936 | 0.095–9.222 | 0.743 | 0.208–2.651 | 2.321 | 0.622–8.668 | 0.585 | 0.113–3.025 | 2.000 | 0.560–7.140 | 6.563 | 1.564–27.540 | 2.227 | 0.185–26.808 | 0.721 | 0.599–0.868 |
| Hospital stay ≥ 22 days | 3.972 | 0.492–32.091 | 1.835 | 0.717–4.696 | 2.863 | 1.080–7.590 | 0.706 | 0.236–2.116 | 1.212 | 0.477–3.080 | 2.000 | 0.788–5.075 | 0.727 | 0.081–6.552 | 1.086 | 0.412–2.864 |
| Ground-Glass Opacities | Consolidation | Septal Thickening | Subpleural Curvilinear Line | |||||||||
| aOR | 95% CI | p | aOR | 95% CI | p | aOR | 95% CI | p | aOR | 95% CI | p | |
| Male | 1.539 | 0.352–6.725 | 0.567 | 0.751 | 0.323–1.746 | 0.505 | 0.638 | 0.235–1.731 | 0.378 | 0.569 | 0.225–1.440 | 0.234 |
| ARDS | 0.881 | 0.145–5.358 | 0.891 | — | — | — | 2.995 | 0.928–9.666 | 0.066 | — | — | — |
| Invasive mechanical ventilation | 9,297,672 | 0.000–NA | 0.999 | — | — | — | 1.567 | 0.283–8.678 | 0.607 | 0.000 | 0.000–NA | 0.999 |
| Age ≥ 71 years | 0.979 | 0.203–4.731 | 0.979 | 1.314 | 0.523–3.298 | 0.561 | 2.301 | 0.776–6.819 | 0.133 | 1.592 | 0.576–4.399 | 0.370 |
| Peak CRP ≥ 193.7 mg/L | — | — | — | — | — | — | 2.281 | 0.800–6.500 | 0.123 | — | — | — |
| Max D-dimer ≥ 4175 ng/mL | — | — | — | — | — | — | 1.918 | 0.668–5.507 | 0.226 | — | — | — |
| Subpleural Parenchymal Bands | Bronchiectasis | Honeycombing | Atelectasis | |||||||||
| aOR | 95% CI | p | aOR | 95% CI | p | aOR | 95% CI | p | aOR | 95% CI | p | |
| Male | 1.166 | 0.470–2.829 | 0.740 | 1.905 | 0.695–5.224 | 0.211 | 2.347 | 0.243–22.662 | 0.461 | 1.327 | 0.540–3.263 | 0.537 |
| High flow oxygen therapy | 10.032 | 1.133–88.807 | 0.038 | — | — | — | 0.000 | 0.000–NA | 0.999 | — | — | — |
| Invasive mechanical ventilation | 3.368 | 0.571–19.873 | 0.180 | 4.473 | 0.793–25.234 | 0.090 | 1.580 | 0.000–NA | 1.000 | 0.000 | 0.000–NA | 0.999 |
| Age ≥ 71 years | 1.161 | 0.437–3.086 | 0.765 | 1.259 | 0.462–3.429 | 0.653 | 2.167 | 0.324–14.509 | 0.425 | 0.935 | 0.349–2.506 | 0.894 |
| Peak ferritin ≥ 1728 µg/L | — | — | — | 1.722 | 0.639–4.644 | 0.283 | 0.000 | 0.000–NA | 0.998 | — | — | — |
| Ground-Glass Opacities | Consolidation | Septal Thickening | Subpleural Curvilinear Line | |||||||||
| aOR | 95% CI | p | aOR | 95% CI | p | aOR | 95% CI | p | aOR | 95% CI | p | |
| Male | 0.954 | 0.270–3.362 | 0.941 | 0.660 | 0.270–1.614 | 0.362 | 0.947 | 0.288–3.119 | 0.929 | 0.708 | 0.281–1.780 | 0.462 |
| Hypertension | — | — | — | — | — | — | 2.968 | 1.020–8.637 | 0.046 | — | — | — |
| High flow oxygen therapy | 151,040,397 | 0.000–NA | 0.999 | — | — | — | — | — | — | — | — | — |
| Mechanical ventilation | 152,483,294 | 0.000–NA | 0.999 | — | — | — | 2.492 | 0.342–18.150 | 0.367 | — | — | — |
| Age ≥ 71 years | 1.042 | 0.260–4.171 | 0.953 | 2.308 | 0.882–6.037 | 0.088 | 3.554 | 1.156–10.929 | 0.027 | 1.887 | 0.715–4.980 | 0.200 |
| Peak CRP ≥ 193.7 mg/L | — | — | — | — | — | — | 2.343 | 0.682–8.044 | 0.176 | — | — | — |
| Peak ferritin ≥ 1728 µg/L | — | — | — | 3.291 | 1.246–8.697 | 0.016 | — | — | — | — | — | — |
| Peak D-dimer ≥ 4175 ng/mL | — | — | — | — | — | — | 3.023 | 0.975–9.374 | 0.055 | — | — | — |
| Hospital stay ≥ 22 days | — | — | — | — | — | — | 1.651 | 0.496–5.493 | 0.414 | — | — | — |
| Subpleural Parenchymal Bands | Bronchiectasis | Honeycombing | Atelectasis | |||||||||
| aOR | 95% CI | p | aOR | 95% CI | p | aOR | 95% CI | p | aOR | 95% CI | p | |
| Male | 0.880 | 0.363–2.132 | 0.777 | 1.741 | 0.647–4.685 | 0.273 | 2.971 | 0.323–27.316 | 0.336 | 1.858 | 0.710–4.864 | 0.207 |
| High flow oxygen therapy | 12.612 | 1.483–107.287 | 0.020 | — | — | — | 0.000 | 0.000–NA | 0.999 | 0.000 | 0.000–NA | 0.999 |
| Mechanical ventilation | — | — | — | 3.022 | 0.514–17.761 | 0.221 | 1.666 | 0.000–NA | 1.000 | 0.000 | 0.000–NA | 0.999 |
| Age ≥ 71 years | 1.719 | 0.665–4.442 | 0.264 | 2.302 | 0.852–6.218 | 0.100 | 1.598 | 0.259–9.869 | 0.614 | 1.404 | 0.515–3.826 | 0.507 |
| Peak ferritin ≥ 1728 µg/L | — | — | — | 3.140 | 1.150–8.576 | 0.026 | 0.000 | 0.000–NA | 0.998 | — | — | — |
Disclaimer/Publisher’s Note: The statements, opinions and data contained in all publications are solely those of the individual author(s) and contributor(s) and not of MDPI and/or the editor(s). MDPI and/or the editor(s) disclaim responsibility for any injury to people or property resulting from any ideas, methods, instructions or products referred to in the content. |
© 2025 by the authors. Published by MDPI on behalf of the Lithuanian University of Health Sciences. Licensee MDPI, Basel, Switzerland. This article is an open access article distributed under the terms and conditions of the Creative Commons Attribution (CC BY) license (https://creativecommons.org/licenses/by/4.0/).
Share and Cite
Roig-Martí, C.; Navarro-Ballester, A.; Fernández-García, M.-P.; Pérez-Catalán, I.; Segura-Fábrega, A.; Varea-Villanueva, M.; Folgado-Escudero, S.; Herrero-Rodríguez, G.; Domínguez-Bajo, E.; Fabra-Juana, S.; et al. Presence and Evolution of Radiological Changes at 6 and 12 Months After COVID-19 Pneumonia and Their Risk Factors. Medicina 2025, 61, 382. https://doi.org/10.3390/medicina61030382
Roig-Martí C, Navarro-Ballester A, Fernández-García M-P, Pérez-Catalán I, Segura-Fábrega A, Varea-Villanueva M, Folgado-Escudero S, Herrero-Rodríguez G, Domínguez-Bajo E, Fabra-Juana S, et al. Presence and Evolution of Radiological Changes at 6 and 12 Months After COVID-19 Pneumonia and Their Risk Factors. Medicina. 2025; 61(3):382. https://doi.org/10.3390/medicina61030382
Chicago/Turabian StyleRoig-Martí, Celia, Antonio Navarro-Ballester, María-Pilar Fernández-García, Ignacio Pérez-Catalán, Ana Segura-Fábrega, María Varea-Villanueva, Sofía Folgado-Escudero, Germán Herrero-Rodríguez, Elena Domínguez-Bajo, Sergio Fabra-Juana, and et al. 2025. "Presence and Evolution of Radiological Changes at 6 and 12 Months After COVID-19 Pneumonia and Their Risk Factors" Medicina 61, no. 3: 382. https://doi.org/10.3390/medicina61030382
APA StyleRoig-Martí, C., Navarro-Ballester, A., Fernández-García, M.-P., Pérez-Catalán, I., Segura-Fábrega, A., Varea-Villanueva, M., Folgado-Escudero, S., Herrero-Rodríguez, G., Domínguez-Bajo, E., Fabra-Juana, S., Esteve-Gimeno, M.-J., Mateu-Campos, M.-L., Usó-Blasco, J., & Ramos-Rincón, J.-M. (2025). Presence and Evolution of Radiological Changes at 6 and 12 Months After COVID-19 Pneumonia and Their Risk Factors. Medicina, 61(3), 382. https://doi.org/10.3390/medicina61030382

