Morphometric Analysis of Neocortical and Infratentorial Structures: Genetic and Environmental Insights from a Twin Neuroanatomical Study
Abstract
1. Introduction
2. Materials and Methods
2.1. Participants and Demographics
2.2. MRI Acquisition
2.3. Image Processing
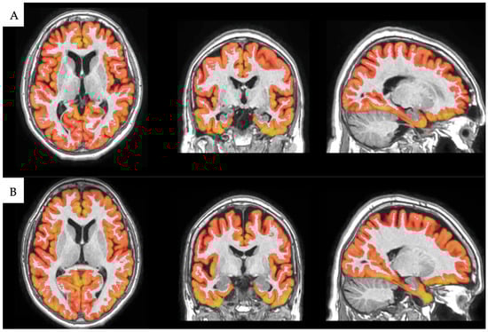
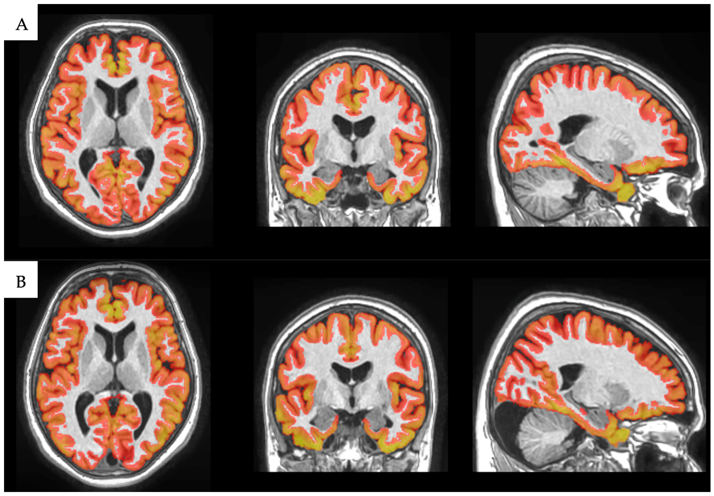
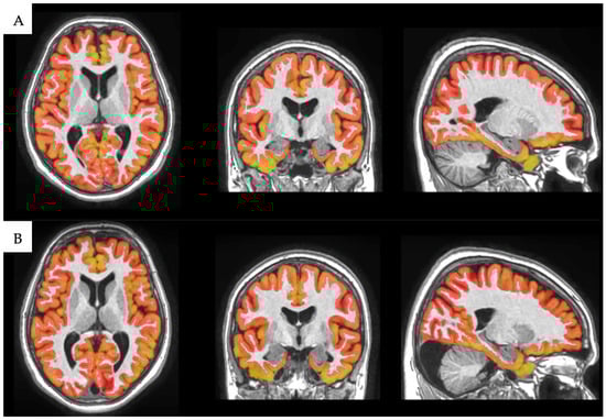
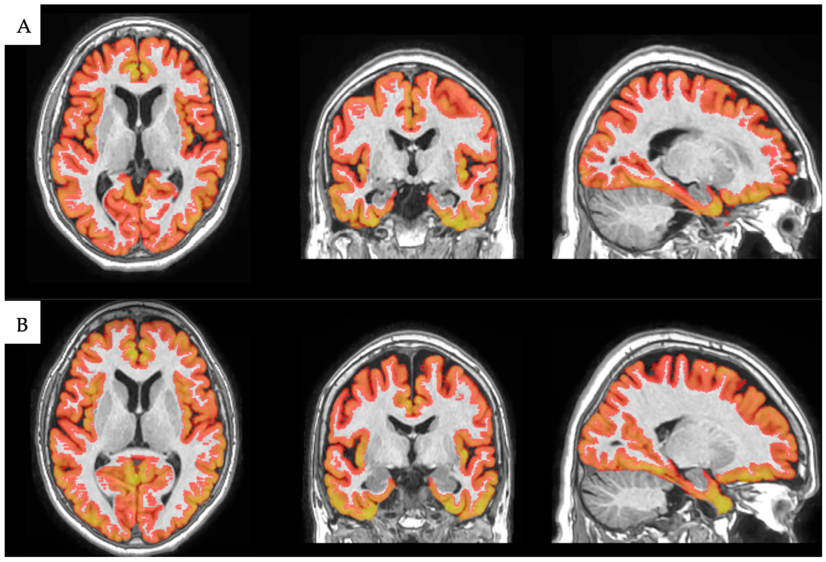
Volumetric Analysis with volBrain
2.4. Statistical Analysis
2.4.1. Descriptive Statistics
2.4.2. Twin Modeling of Genetic and Environmental Influences
3. Results
3.1. Descriptive Findings
3.1.1. Intra-Pair Correlation and Univariate Model Analysis of Cortical Gray Matter Volume
3.1.2. Intra-Pair Correlation and Univariate Model Analysis of Key Average Cortical Thickness Measurements
3.1.3. Intra-Pair Correlation and Univariate Model Analysis of Infratentorial Structure Measurements
4. Discussion
4.1. Comparison with Prior WMH Heritability Findings
4.2. Clinical Implications of Heritability Findings
4.3. Environmental Dominance in Temporal and Frontal Regions
4.4. Genetic Influence in the Parietal Region
4.5. Genetic Influence in the Occipital Region
4.6. Genetic Dominance on the Volume of Infratentorial Structures
5. Conclusions
Supplementary Materials
Author Contributions
Funding
Institutional Review Board Statement
Informed Consent Statement
Data Availability Statement
Conflicts of Interest
Abbreviations
| MZ | monozygotic |
| DZ | dizygotic |
| OCD | obsessive–compulsive disorder |
| ADHD | attention-deficit/hyperactivity disorder |
| MRI | magnetic resonance imaging |
| T1W | T1-weighted |
| WMH | white matter hyperintensity |
| BMI | Body Mass Index |
| ICD | Implantable Cardioverter Defibrillator |
| DICOM | Digital Imaging and Communications in Medicine |
| NIFTI | Neuroimaging Informatics Technology Initiative |
| SD | standard deviation |
| IQR | interquartile range |
| ACE | Additive, Common, and Unique Environmental model |
| rMZ | Correlation coefficient for monozygotic twins |
| rDZ | Correlation coefficient for dizygotic twins |
| MNI | Montreal Neurological Institute |
References
- Shaw, P.; Eckstrand, K.; Sharp, W.; Blumenthal, J.; Lerch, J.P.; Greenstein, D.; Clasen, L.; Evans, A.; Giedd, J.; Rapoport, J.L. Attention-Deficit/Hyperactivity Disorder Is Characterized by a Delay in Cortical Maturation. Proc. Natl. Acad. Sci. USA 2007, 104, 19649–19654. [Google Scholar] [CrossRef]
- Remer, J.; Croteau-Chonka, E.; Dean, D.C.; D’arpino, S.; Dirks, H.; Whiley, D.; Deoni, S.C. Quantifying Cortical Development in Typically Developing Toddlers and Young Children, 1–6 Years of Age. NeuroImage 2017, 153, 246–261. [Google Scholar] [CrossRef] [PubMed]
- Lan, M.J.; Chhetry, B.T.; A Oquendo, M.; Sublette, M.E.; Sullivan, G.; Mann, J.J.; Parsey, R.V. Cortical Thickness Differences Between Bipolar Depression and Major Depressive Disorder. Bipolar Disord. 2014, 16, 378–388. [Google Scholar] [CrossRef] [PubMed]
- Fouche, J.-P.; du Plessis, S.; Hattingh, C.; Roos, A.; Lochner, C.; Soriano-Mas, C.; Sato, J.R.; Nakamae, T.; Nishida, S.; Kwon, J.S.; et al. Cortical Thickness in Obsessive–Compulsive Disorder: Multisite Mega-Analysis of 780 Brain Scans from Six Centres. Br. J. Psychiatry 2017, 210, 67–74. [Google Scholar] [CrossRef]
- Fujita, S.; Cencini, M.; Buonincontri, G.; Takei, N.; Schulte, R.F.; Fukunaga, I.; Uchida, W.; Hagiwara, A.; Kamagata, K.; Hagiwara, Y.; et al. Simultaneous Relaxometry and Morphometry of Human Brain Structures with 3D Magnetic Resonance Fingerprinting: A Multicenter, Multiplatform, Multifield-Strength Study. Cereb. Cortex 2022, 33, 729–739. [Google Scholar] [CrossRef] [PubMed]
- Pink, A.; Przybelski, S.A.; Krell-Roesch, J.; Stokin, G.B.; Roberts, R.O.; Mielke, M.M.; Knopman, D.S.; Clifford, R.J., Jr.; Petersen, R.C.; Geda, Y.E. Cortical Thickness and Depressive Symptoms in Cognitively Normal Individuals: The Mayo Clinic Study of Aging. J. Alzheimer’s Dis. 2017, 58, 1273–1281. [Google Scholar] [CrossRef] [PubMed]
- Wang, X.; Tian, F.; Wang, S.; Cheng, B.-C.; Qiu, L.; He, M.; Wang, H.; Duan, M.; Dai, J.; Jia, Z. Gray Matter Bases of Psychotic Features in Adult Bipolar Disorder: A Systematic Review and Voxel-based Meta-analysis of Neuroimaging Studies. Human Brain Mapp. 2018, 39, 4707–4723. [Google Scholar] [CrossRef] [PubMed]
- Molina-Rueda, F.; Navarro-Fernández, C.; Cuesta-Gómez, A.; Alguacil-Diego, I.M.; Molero-Sánchez, A.; Carratalá-Tejada, M. Neuroplasticity Modifications Following a Lower-Limb Amputation: A Systematic Review. PM&R 2019, 11, 1326–1334. [Google Scholar] [CrossRef]
- Cui, G.; Ou, Y.; Chen, Y.; Lv, D.; Jia, C.; Zhong, Z.; Yang, R.; Wang, Y.; Meng, X.; Cui, H.; et al. Altered Global Brain Functional Connectivity in Drug-Naive Patients with Obsessive-Compulsive Disorder. Front. Psychiatry 2020, 11, 98. [Google Scholar] [CrossRef] [PubMed]
- Jiang, F.; Chen, Y.; Zuo, M.; Zhang, C.; Wang, Y.; Zhou, F.; Zeng, X. Frequency-Dependent Neural Activity in Primary Angle-Closure Glaucoma. Neuropsychiatr. Dis. Treat. 2019, 15, 271–282. [Google Scholar] [CrossRef] [PubMed]
- Çolak, Ç.; Çelik, Z.Ç.; Zorlu, N.; Kitiı, Ö. Cortical Thickness and Subcortical Volume in Adolescent Synthetic Cannabinoid Users With or Without ADHD: A Preliminary Study. Nöro Psikiyatr. Arşivi 2019, 56, 167–172. [Google Scholar] [CrossRef]
- Lee, S.M.; Lee, S.; Jahng, G.-H.; Kim, S.K.; Park, J.K. Gray Matter Volume Reductions Were Associated with TPH1 Polymorphisms in Depressive Disorder Patients with Suicidal Attempts. Psychiatry Investig. 2018, 15, 1174–1180. [Google Scholar] [CrossRef]
- Schulz, J.B.; Skalej, M.; Wedekind, D.; Luft, A.R.; Abele, M.; Voigt, K.; Dichgans, J.; Klockgether, T. Magnetic Resonance Imaging-Based Volumetry Differentiates Idiopathic Parkinson’s Syndrome From Multiple System Atrophy and Progressive Supranuclear Palsy. Ann. Neurol. 1999, 45, 65–74. [Google Scholar] [CrossRef]
- Wang, J.Y.; Hessl, D.; Hagerman, R.J.; Simon, T.J.; Tassone, F.; Ferrer, E.; Rivera, S.M. Abnormal Trajectories in Cerebellum and Brainstem Volumes in Carriers of the Fragile X Premutation. Neurobiol. Aging 2017, 55, 11–19. [Google Scholar] [CrossRef] [PubMed]
- Tarnoki, D.L.; Tarnoki, A.D. Twin Research and Imaging. Medicina 2022, 58, 805. [Google Scholar] [CrossRef] [PubMed]
- Hardan, A.Y.; Kilpatrick, M.; Keshavan, M.S.; Minshew, N.J. Motor Performance and Anatomic Magnetic Resonance Imaging (MRI) of the Basal Ganglia in Autism. J. Child Neurol. 2003, 18, 317–324. [Google Scholar] [CrossRef] [PubMed]
- Mitchell, S.R.; Reiss, A.L.; Tatusko, D.H.; Ikuta, I.; Kazmerski, D.B.; Botti, J.-A.C.; Burnette, C.P.; Kates, W.R. Neuroanatomic Alterations and Social and Communication Deficits in Monozygotic Twins Discordant for Autism Disorder. Am. J. Psychiatry 2009, 166, 917–925. [Google Scholar] [CrossRef] [PubMed]
- van’t Westeinde, A.; Cauvet, É.; Toro, R.; Kuja-Halkola, R.; Neufeld, J.; Mevel, K.; Bölte, S. Sex differences in brain structure: A twin study on restricted and repetitive behaviors in twin pairs with and without autism. Mol. Autism 2019, 11, 1. [Google Scholar] [CrossRef]
- Alijanpourotaghsara, A.; Strelnikov, D.; Piroska, M.; Szalontai, L.; Forgo, B.; Jokkel, Z.; Persely, A.; Hernyes, A.; Kozak, L.R.; Szabo, A.; et al. Genetic and Environmental Effects on the Development of White Matter Hyperintensities in a Middle Age Twin Population. Medicina 2022, 58, 1425. [Google Scholar] [CrossRef] [PubMed]
- Tarnoki, A.D.; Tarnoki, D.L.; Forgo, B.; Szabo, H.; Melicher, D.; Metneki, J.; Littvay, L. The Hungarian Twin Registry Update: Turning From a Voluntary to a Population-Based Registry. Twin Res. Hum. Genet. 2019, 22, 561–566. [Google Scholar] [CrossRef] [PubMed]
- Heath, A.C.; Nyholt, D.R.; Neuman, R.; Madden, P.A.; Bucholz, K.K.; Todd, R.D.; Nelson, E.C.; Montgomery, G.W.; Martin, N.G. Zygosity diagnosis in the absence of genotypic data: An approach using latent class analysis. Twin Res. 2003, 6, 22–26. [Google Scholar] [CrossRef][Green Version]
- Rorden, C.; Karnath, H.O.; Bonilha, L. Improving lesion-symptom mapping. J. Cogn. Neurosci. 2007, 19, 1081–1088. [Google Scholar] [CrossRef] [PubMed]
- Manjón, J.V.; Coupé, P. volBrain: An Online MRI Brain Volumetry System. Front. Neuroinform. 2016, 10, 30. [Google Scholar] [CrossRef] [PubMed]
- Manjón, J.V.; Romero, J.E.; Vivo-Hernando, R.; Rubio, G.; Aparici, F.; de la Iglesia-Vaya, M.; Coupé, P. vol2Brain: A New Online Pipeline for Whole Brain MRI Analysis. Front. Neuroinform. 2022, 16, 862805. [Google Scholar] [CrossRef]
- Ramírez, V.M.; Forbes, F.; Coupé, P.; Dojat, M. No Structural Differences Are Revealed by VBM in ’De Novo’ Parkinsonian Patients. Stud. Health Technol. Inform. 2019, 264, 268–272. [Google Scholar] [CrossRef] [PubMed]
- Tarnoki, D.L.; Tarnoki, A.D.; Lazar, Z.; Medda, E.; Littvay, L.; Cotichini, R.; Fagnani, C.; Stazi, M.A.; Nisticó, L.; Lucatelli, P.; et al. Genetic and environmental factors on the relation of lung function and arterial stiffness. Respir. Med. 2013, 107, 927–935. [Google Scholar] [CrossRef] [PubMed][Green Version]
- Neale, M.; Cardon, L.R. Methodology for Genetic Studies of Twins and Families; Springer Science & Business Media: Berlin/Heidelberg, Germany, 2013; Volume 67. [Google Scholar]
- Strelnikov, D.; Alijanpourotaghsara, A.; Piroska, M.; Szalontai, L.; Forgo, B.; Jokkel, Z.; Persely, A.; Hernyes, A.; Kozak, L.R.; Szabo, A.; et al. Heritability of Subcortical Grey Matter Structures. Medicina 2022, 58, 1687. [Google Scholar] [CrossRef] [PubMed]
- Fama, R.; Shear, P.K.; Marsh, L.; Yesavage, J.A.; Tinklenberg, J.R.; Lim, K.O.; Pfefferbaum, A.; Sullivan, E.V. Remote Memory for Public Figures in Alzheimer’s Disease: Relationships to Regional Cortical and Limbic Brain Volumes. J. Int. Neuropsychol. Soc. 2001, 7, 384–390. [Google Scholar] [CrossRef] [PubMed]
- Zhu, J.-D.; Tsai, S.-J.; Lin, C.-P.; Lee, Y.-J.; Yang, A.C. Predicting Aging Trajectories of Decline in Brain Volume, Cortical Thickness and Fractional Anisotropy in Schizophrenia. Schizophrenia 2023, 9, 1. [Google Scholar] [CrossRef]
- Thompson, P.M.; Hayashi, K.M.; Gogtay, N.; Giedd, J.N.; Rapoport, J.L.; Zubicaray, G.I.d.; Janke, A.L.; Rose, S.; Semple, J.; Doddrell, D.M.; et al. Mapping Cortical Change in Alzheimer’s Disease, Brain Development, and Schizophrenia. NeuroImage 2004, 23, S2–S18. [Google Scholar] [CrossRef]
- Cao, B.; Mwangi, B.; Passos, I.C.; Wu, M.-J.; Keser, Z.; Zunta-Soares, G.; Xu, D.; Hasan, K.M.; Soares, J.C. Lifespan Gyrification Trajectories of Human Brain in Healthy Individuals and Patients with Major Psychiatric Disorders. Sci. Rep. 2017, 7, 511. [Google Scholar] [CrossRef] [PubMed]
- Olsen, R.K.; Pangelinan, M.M.; Bogulski, C.; Chakravarty, M.M.; Luk, G.; Grady, C.L.; Bialystok, E. The effect of lifelong bilingualism on regional grey and white matter volume. Brain Res. 2015, 1612, 128–139. [Google Scholar] [CrossRef]
- Yang, Y.; Joshi, A.A.; Joshi, S.H.; Baker, L.A.; Narr, K.L.; Raine, A.; Thompson, P.M.; Damasio, H. Genetic and environmental influences on cortical thickness among 14-year-old twins. NeuroReport 2012, 23, 702–706. [Google Scholar] [CrossRef]
- Neilson, E.; Bois, C.; Gibson, J.; Duff, B.; Watson, A.; Roberts, N.; Brandon, N.J.; Dunlop, J.; Hall, J.; McIntosh, A.M.; et al. Effects of environmental risks and polygenic loading for schizophrenia on cortical thickness. Schizophr. Res. 2017, 184, 128–136. [Google Scholar] [CrossRef] [PubMed]
- Gallinat, J.; Meisenzahl, E.; Jacobsen, L.K.; Kalus, P.; Bierbrauer, J.; Kienast, T.; Witthaus, H.; Leopold, K.; Seifert, F.; Schubert, F.; et al. Smoking and Structural Brain Deficits: A Volumetric MR Investigation. Eur. J. Neurosci. 2006, 24, 1744–1750. [Google Scholar] [CrossRef]
- Cross, N.; Memarian, N.; Duffy, S.L.; Paquola, C.; LaMonica, H.M.; D’Rozario, A.L.; Lewis, S.J.G.; Hickie, I.B.; Grunstein, R.R.; Naismith, S.L. Structural Brain Correlates of Obstructive Sleep Apnoea in Older Adults at Risk for Dementia. Eur. Respir. J. 2018, 52, 1800740. [Google Scholar] [CrossRef] [PubMed]
- Garrido, L.; Furl, N.; Draganski, B.; Weiskopf, N.; Stevens, J.; Tan, G.; Driver, J.; Dolan, R.J.; Duchaine, B. Voxel-Based Morphometry Reveals Reduced Grey Matter Volume in the Temporal Cortex of Developmental Prosopagnosics. Brain 2009, 132, 3443–3455. [Google Scholar] [CrossRef]
- Han, S.D.; Boyle, P.A.; Yu, L.; Arfanakis, K.; James, B.D.; Fleischman, D.; Bennett, D.A. Grey Matter Correlates of Susceptibility to Scams in Community-Dwelling Older Adults. Brain Imaging Behav. 2015, 10, 524–532. [Google Scholar] [CrossRef]
- Ramirez-Ruiz, B.; Marti, M.; Tolosa, E.; Giménez, M.; Bargalló, N.; Valldeoriola, F.; Junqué, C. Cerebral Atrophy in Parkinson’s Disease Patients with Visual Hallucinations. Eur. J. Neurol. 2007, 14, 750–756. [Google Scholar] [CrossRef] [PubMed]
- Frøkjær, J.B.; Brock, C.; Søfteland, E.; Dimcevski, G.; Gregersen, H.; Simrén, M.; Drewes, A.M. Macrostructural Brain Changes in Patients with Longstanding Type 1 Diabetes Mellitus—A Cortical Thickness Analysis Study. Exp. Clin. Endocrinol. Diabetes 2013, 121, 354–360. [Google Scholar] [CrossRef] [PubMed]
- Fehlbaum, L.V.; Peters, L.; Dimanova, P.; Roell, M.; Borbás, R.; Ansari, D.; Raschle, N.M. Mother-Child Similarity in Brain Morphology: A Comparison of Structural Characteristics of the Brain’s Reading Network. Dev. Cogn. Neurosci. 2022, 53, 101058. [Google Scholar] [CrossRef] [PubMed]
- Joshi, A.A.; Lepore, N.; Joshi, S.H.; Lee, A.D.; Barysheva, M.; Stein, J.L.; McMahon, K.L.; Johnson, K.; Zubicaray, G.I.d.; Martin, N.G.; et al. The Contribution of Genes to Cortical Thickness and Volume. NeuroReport 2011, 22, 101–105. [Google Scholar] [CrossRef] [PubMed]
- Gonzales, M.M.; Ajilore, O.; Charlton, R.A.; Cohen, J.; Yang, S.; Sieg, E.; Bhaumik, D.K.; Kumar, A.; Lamar, M. Divergent Influences of Cardiovascular Disease Risk Factor Domains on Cognition and Gray and White Matter Morphology. Psychosom. Med. 2017, 79, 541–548. [Google Scholar] [CrossRef] [PubMed]
- Batouli, S.A.; Sachdev, P.S.; Wen, W.; Wright, M.J.; Ames, D.; Trollor, J.N. Heritability of brain volumes in older adults: The Older Australian Twins Study. Neurobiol. Aging 2014, 35, e5–e937. [Google Scholar] [CrossRef] [PubMed]
- Chen, X.-L.; Zhang, X.-W.; Hou, X.; Li, X.; Ma, X.-S.; Hu, X.-M.; Meng, H.-Q.; He, Q.; Zhao, L.-S.; Wang, Y.-C.; et al. Twins methods quantitatively explore the genetic impact on children and adolescents brain gray matter volume. Sci. Rep. 2017, 7, 5327. [Google Scholar] [CrossRef]
- Wen, W.; Thalamuthu, A.; Mather, K.A.; Zhu, W.; Jiang, J.; de Micheaux, P.L.; Wright, M.J.; Ames, D.; Sachdev, P.S. Distinct Genetic Influences on Cortical and Subcortical Brain Structures. Sci. Rep. 2016, 6, 32760. [Google Scholar] [CrossRef]
- Gilmore, J.H.; Schmitt, J.E.; Knickmeyer, R.C.; Smith, J.K.; Lin, W.; Styner, M.; Gerig, G.; Neale, M.C. Genetic and environmental contributions to neonatal brain structure: A twin study. Hum. Brain Mapp. 2010, 31, 1174–1182. [Google Scholar] [CrossRef]
- Yang, Y.; Nuechterlein, K.H.; Phillips, O.; Hamilton, L.S.; Subotnik, K.L.; Asarnow, R.F.; Toga, A.W.; Narr, K.L. The contributions of disease and genetic factors towards regional cortical thinning in schizophrenia: The UCLA family study. Schizophr. Res. 2010, 123, 116–125. [Google Scholar] [CrossRef]
- Reetz, K.; Rodríguez-Labrada, R.; Dogan, I.; Mirzazade, S.; Romanzetti, S.; Schulz, J.B.; Cruz-Rivas, E.M.; Alvarez-Cuesta, J.A.; Rodríguez, R.A.; Zaldívar, Y.G.; et al. Brain Atrophy Measures in Preclinical and Manifest Spinocerebellar Ataxia Type 2. Ann. Clin. Transl. Neurol. 2018, 5, 128–137. [Google Scholar] [CrossRef]
- Qin, Z.; He, X.; Zhang, J.; Xu, S.; Li, G.; Su, J.; Shi, Y.-H.; Ban, S.; Hu, Y.; Liu, Y.-S.; et al. Structural Changes of Cerebellum and Brainstem in Migraine Without Aura. J. Headache Pain 2019, 20, 93. [Google Scholar] [CrossRef] [PubMed]










Disclaimer/Publisher’s Note: The statements, opinions and data contained in all publications are solely those of the individual author(s) and contributor(s) and not of MDPI and/or the editor(s). MDPI and/or the editor(s) disclaim responsibility for any injury to people or property resulting from any ideas, methods, instructions or products referred to in the content. |
© 2025 by the authors. Published by MDPI on behalf of the Lithuanian University of Health Sciences. Licensee MDPI, Basel, Switzerland. This article is an open access article distributed under the terms and conditions of the Creative Commons Attribution (CC BY) license (https://creativecommons.org/licenses/by/4.0/).
Share and Cite
Alijanpourotaghsara, A.; Vessal, A.; Alijanpour, A.; Strelnikov, D.; Piroska, M.; Persely, A.; Jokkel, Z.; Szalontai, L.; Forgo, B.; Kozak, L.R.; et al. Morphometric Analysis of Neocortical and Infratentorial Structures: Genetic and Environmental Insights from a Twin Neuroanatomical Study. Medicina 2025, 61, 261. https://doi.org/10.3390/medicina61020261
Alijanpourotaghsara A, Vessal A, Alijanpour A, Strelnikov D, Piroska M, Persely A, Jokkel Z, Szalontai L, Forgo B, Kozak LR, et al. Morphometric Analysis of Neocortical and Infratentorial Structures: Genetic and Environmental Insights from a Twin Neuroanatomical Study. Medicina. 2025; 61(2):261. https://doi.org/10.3390/medicina61020261
Chicago/Turabian StyleAlijanpourotaghsara, Amirreza, Arsalan Vessal, Amirmasoud Alijanpour, David Strelnikov, Marton Piroska, Aliz Persely, Zsofia Jokkel, Laszlo Szalontai, Bianka Forgo, Lajos Rudolf Kozak, and et al. 2025. "Morphometric Analysis of Neocortical and Infratentorial Structures: Genetic and Environmental Insights from a Twin Neuroanatomical Study" Medicina 61, no. 2: 261. https://doi.org/10.3390/medicina61020261
APA StyleAlijanpourotaghsara, A., Vessal, A., Alijanpour, A., Strelnikov, D., Piroska, M., Persely, A., Jokkel, Z., Szalontai, L., Forgo, B., Kozak, L. R., Bekesy-Szabo, A., Maurovich-Horvat, P., Tarnoki, D. L., & Tarnoki, A. D. (2025). Morphometric Analysis of Neocortical and Infratentorial Structures: Genetic and Environmental Insights from a Twin Neuroanatomical Study. Medicina, 61(2), 261. https://doi.org/10.3390/medicina61020261

