Recurrent Intestinal Angioedema with Normal C1-Inhibitor: A Case Report
Abstract
1. Background
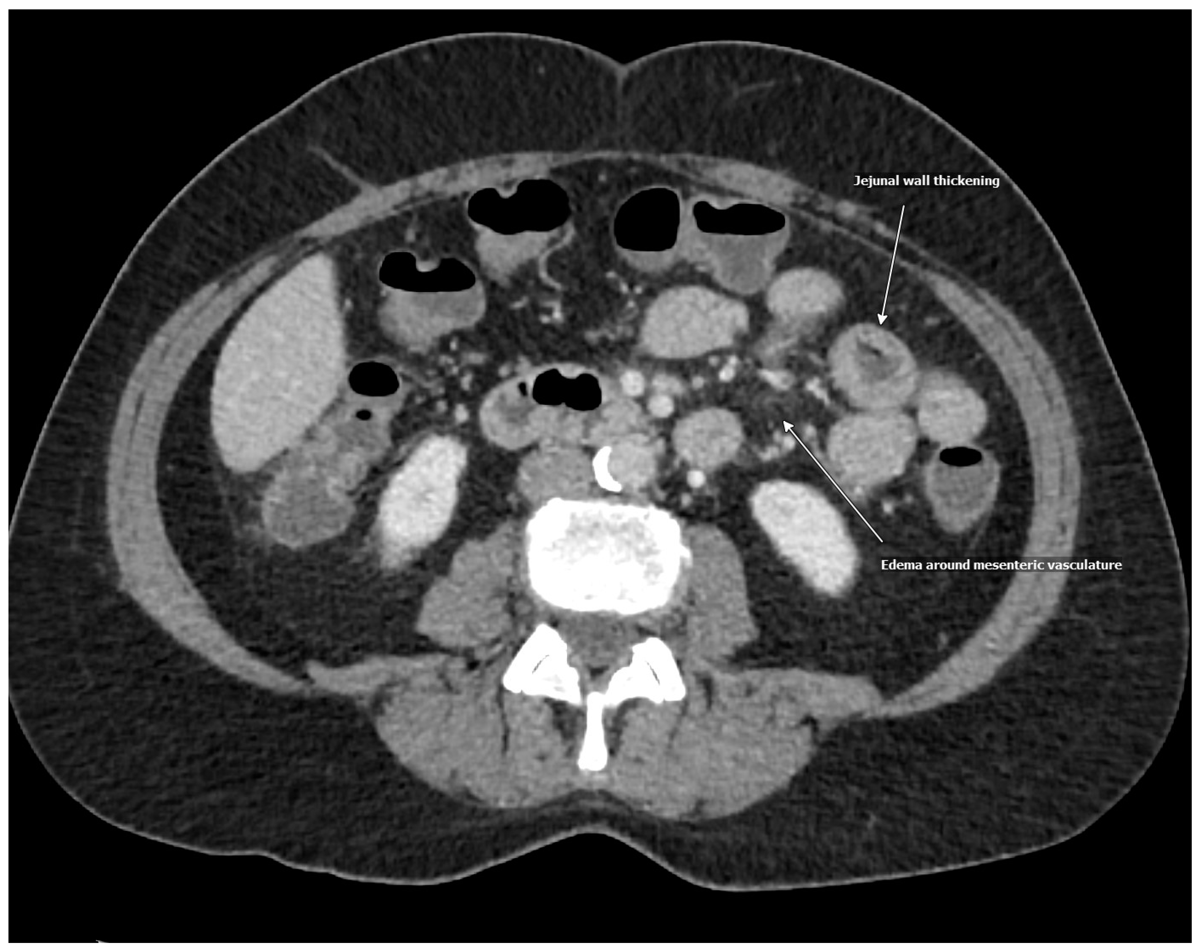
2. Case Presentation
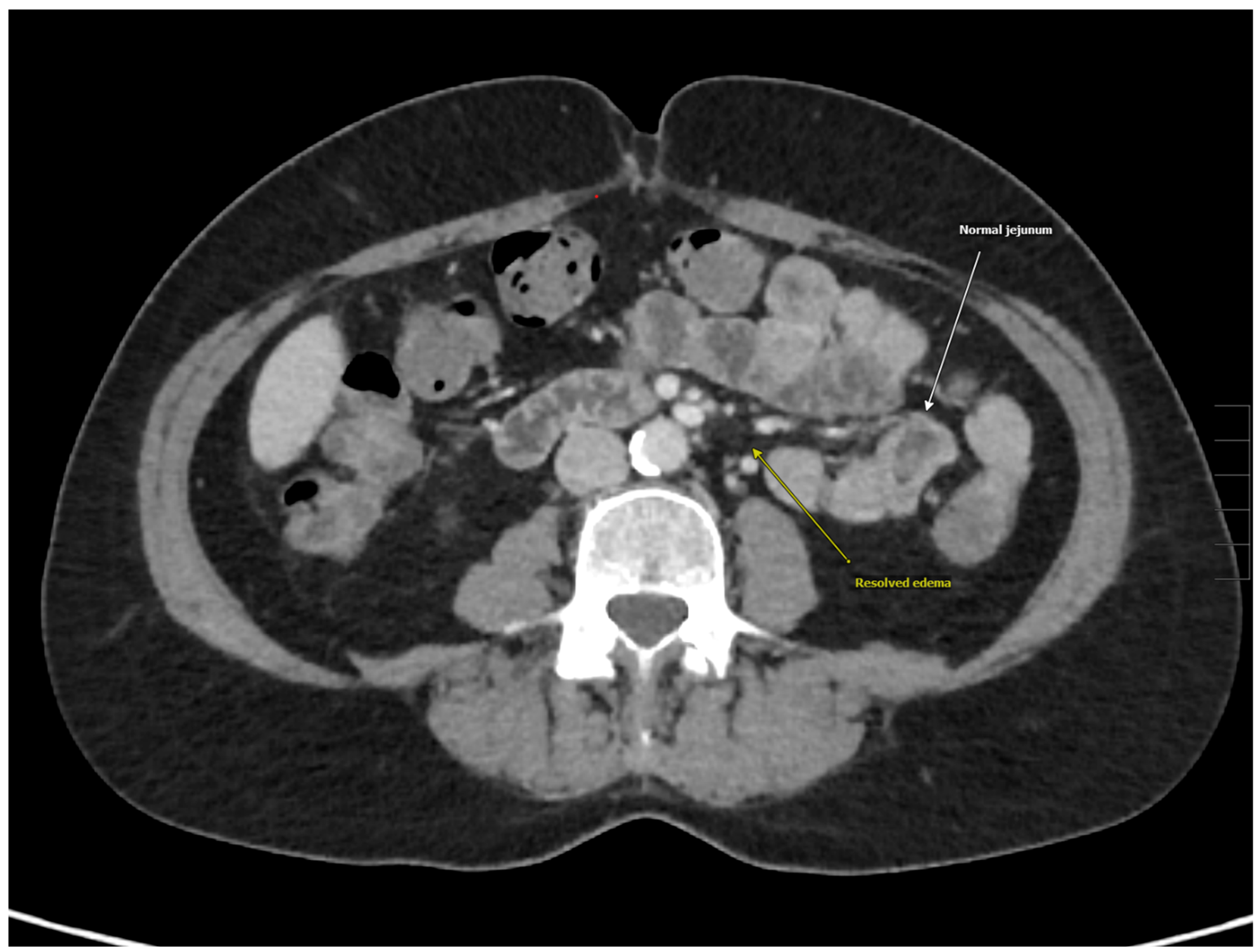
3. Discussion and Conclusions
3.1. Genetics, Pathophysiology, and Classification of Angioedema
3.2. Clinical Presentation, Symptoms, and Laboratory
4. Treatment and Outcome
Author Contributions
Funding
Institutional Review Board Statement
Informed Consent Statement
Data Availability Statement
Conflicts of Interest
References
- Memon, R.J.; Tiwari, V. Angioedema; StatPearls: Treasure Island, FL, USA, 2023. [Google Scholar]
- Abdulkarim, A.; Craig, T.J. Hereditary Angioedema; StatPearls: Treasure Island, FL, USA, 2023. [Google Scholar]
- Bork, K.; Barnstedt, S.E.; Koch, P.; Traupe, H. Hereditary angioedema with normal C1 inhibitor activity in women. Lancet 2000, 356, 213–217. [Google Scholar] [CrossRef] [PubMed]
- Belbézier, A.; Bocquet, A.; Bouillet, L. Idiopathic Angioedema: Current Challenges. J. Asthma Allergy 2020, 13, 137. [Google Scholar] [CrossRef] [PubMed]
- Lima, H.; Zheng, J.; Wong, D.; Waserman, S.; Sussman, G.L. Pathophysiology of bradykinin and histamine mediated angioedema. Front. Allergy 2023, 4, 1263432. [Google Scholar] [CrossRef]
- Shamanaev, A.; Dickeson, S.K.; Ivanov, I.; Litvak, M.; Sun, M.F.; Kumar, S.; Cheng, Q.; Srivastava, P.; He, T.Z.; Gailani, D. Mechanisms involved in hereditary angioedema with normal C1-inhibitor activity. Front. Physiol. 2023, 14, 1146834. [Google Scholar] [CrossRef]
- Santacroce, R.; D’Andrea, G.; Maffione, A.B.; Margaglione, M.; d’Apolito, M. The Genetics of Hereditary Angioedema: A Review. J. Clin. Med. 2021, 10, 2023. [Google Scholar] [CrossRef]
- Veronez, C.L.; Grumach, A.S.; Condino-Neto, A. The challenge of diagnosing hereditary angioedema with normal C1 inhibitor. Allergol. Int. 2021, 70, 443–453. [Google Scholar]
- Dewald, G.; Bork, K. Missense Mutations in the Proline-Rich Region of Coagulation Factor XII in Hereditary and Idiopathic Angioedema. Blood 2006, 108, 1619. [Google Scholar] [CrossRef]
- Miranda, A.R.; Ue, A.P.; Sabbag, D.V.; Furlani Wde, J.; Souza, P.K.; Rotta, O. Hereditary angioedema type III (estrogen-dependent) report of three cases and literature review. An. Bras. Dermatol. 2013, 88, 578–584. [Google Scholar] [CrossRef]
- Bork, K.; Wulff, K.; Witzke, G.; Hardt, J. Hereditary angioedema with normal C1-INH with versus without specific F12 gene mutations. Allergy 2015, 70, 1004–1012. [Google Scholar] [CrossRef]
- Bafunno, V.; Firinu, D.; D’Apolito, M.; Cordisco, G.; Loffredo, S.; Leccese, A.; Bova, M.; Barca, M.P.; Santacroce, R.; Cicardi, M.; et al. Mutation of the angiopoietin-1 gene (ANGPT1) associates with a new type of hereditary angioedema. J. Allergy Clin. Immunol. 2018, 141, 1009–1017. [Google Scholar] [CrossRef] [PubMed]
- Ariano, A.; D’Apolito, M.; Bova, M.; Bellanti, F.; Loffredo, S.; D’Andrea, G.; Intrieri, M.; Petraroli, A.; Maffione, A.B.; Spadaro, G.; et al. A myoferlin gain-of-function variant associates with a new type of hereditary angioedema. Allergy 2020, 75, 2989–2992. [Google Scholar] [CrossRef]
- Dewald, G. A missense mutation in the plasminogen gene, within the plasminogen kringle 3 domain, in hereditary angioedema with normal C1 inhibitor. Biochem. Biophys. Res. Commun. 2018, 498, 193–198. [Google Scholar] [CrossRef]
- Bork, K.; Wulff, K.; Möhl, B.S.; Steinmüller-Magin, L.; Witzke, G.; Hardt, J.; Meinke, P. Novel hereditary angioedema linked with a heparan sulfate 3-O-sulfotransferase 6 gene mutation. J. Allergy Clin. Immunol. 2021, 148, 1041–1048. [Google Scholar] [CrossRef] [PubMed]
- Kostis, W.J.; Shetty, M.; Chowdhury, Y.S.; Kostis, J.B. ACE Inhibitor-Induced Angioedema: A Review. Curr. Hypertens. Rep. 2018, 20, 55. [Google Scholar] [CrossRef] [PubMed]
- Nzeako, U.C. Diagnosis and management of angioedema with abdominal involvement: A gastroenterology perspective. World J. Gastroenterol. 2010, 16, 4913. [Google Scholar] [CrossRef] [PubMed]
- Smolinska, S.; Antolín-Amérigo, D.; Popescu, F.D. Bradykinin Metabolism and Drug-Induced Angioedema. Int. J. Mol. Sci. 2023, 24, 11649. [Google Scholar] [CrossRef] [PubMed]
- Long, B.J.; Koyfman, A.; Gottlieb, M. Evaluation and Management of Angioedema in the Emergency Department. West. J. Emerg. Med. 2019, 20, 587. [Google Scholar] [CrossRef] [PubMed]
- Rye Rasmussen, E.H.; Bindslev-Jensen, C.; Bygum, A. Angioedema—Assessment and treatment. Tidsskr. Den. Nor. Legeforening 2012, 132, 2391–2395. [Google Scholar]
- Kanani, A.; Betschel, S.D.; Warrington, R. Urticaria and angioedema. Allergy Asthma Clin. Immunol. 2018, 14 (Suppl. 2), 59. [Google Scholar] [CrossRef]
- Gülbahar, O. Angioedema without wheals: A clinical update. Balk. Med. J. 2021, 38, 73. [Google Scholar] [CrossRef] [PubMed]
- Allam, J.; Rockey, D.C.; Sharara, A.I. A Swell Diagnosis. N. Engl. J. Med. 2024, 390, 71–76. [Google Scholar] [CrossRef] [PubMed]
- Nzeako, U.C.; Longhurst, H.J. Many faces of angioedema: Focus on the diagnosis and management of abdominal manifestations of hereditary angioedema. Eur. J. Gastroenterol. Hepatol. 2012, 24, 353–361. [Google Scholar] [CrossRef] [PubMed]
- De Backer, A.I.; De Schepper, A.M.; Vandevenne, J.E.; Schoeters, P.; Michielsen, P.; Stevens, W.J. CT of angioedema of the small bowel. Am. J. Roentgenol. 2001, 176, 649–652. [Google Scholar] [CrossRef]
- Obtułowicz, P.; Stobiecki, M.; Dyga, W.; Juchacz, A.; Popiela, T.; Obtułowicz, K. Abdominal and pelvic imaging in the diagnosis of acute abdominal attacks in patients with hereditary angioedema due to C1-inhibitor deficiency. Postep. Dermatol. Alergol. 2022, 39, 749–756. [Google Scholar] [CrossRef]
- Maurer, M.; Sofen, H.; Ortiz, B.; Kianifard, F.; Gabriel, S.; Bernstein, J.A. Positive impact of omalizumab on angioedema and quality of life in patients with refractory chronic idiopathic/spontaneous urticaria: Analyses according to the presence or absence of angioedema. J. Eur. Acad. Dermatol. Venereol. 2017, 31, 1056. [Google Scholar] [CrossRef] [PubMed]
- Floccard, B.; Hautin, E.; Bouillet, L.; Coppere, B.; Allaouchiche, B. An evidence-based review of the potential role of icatibant in the treatment of acute attacks in hereditary angioedema type I and II. Core Evid. 2012, 7, 105. [Google Scholar] [CrossRef] [PubMed][Green Version]
- Otani, I.M.; Lumry, W.R.; Hurwitz, S.; Li, H.H.; Craig, T.J.; Holtzman, N.S.; Iandoli, M.I.; Tucker, J.; Riedl, M.A.; Zuraw, B.L.; et al. Subcutaneous Icatibant for the Treatment of Hereditary Angioedema Attacks: Comparison of Home Self Administration with Administration at a Medical Facility. J. Allergy Clin. Immunol. Pract. 2017, 5, 442–447.e1. [Google Scholar] [CrossRef] [PubMed]



| Studies | Results |
|---|---|
| WBC | 12.4 × 109/L (reference range 3.4–9.6 × 109/L) |
| Infectious work up | GI and respiratory panel negative, UA unremarkable |
| CRP | 12.5 mL/L (reference range < 7.1 mL/L). |
| CTAP | Pancolitis, ileitis, and peri-appendiceal stranding with prominent right lower quadrant mesenteric lymph nodes |
| MRI | Inflammation of the duodenum, jejunum, and colon |
| EGD/Colonoscopy | Unremarkable |
| Complement studies | C4: 32 mg/dL (reference range 14–40 mg/dL) C1 esterase inhibitor: 32 mg/dL (reference range 19–37 mg/dL). |
Disclaimer/Publisher’s Note: The statements, opinions and data contained in all publications are solely those of the individual author(s) and contributor(s) and not of MDPI and/or the editor(s). MDPI and/or the editor(s) disclaim responsibility for any injury to people or property resulting from any ideas, methods, instructions or products referred to in the content. |
© 2025 by the authors. Published by MDPI on behalf of the Lithuanian University of Health Sciences. Licensee MDPI, Basel, Switzerland. This article is an open access article distributed under the terms and conditions of the Creative Commons Attribution (CC BY) license (https://creativecommons.org/licenses/by/4.0/).
Share and Cite
Jevtic, D.; Taylor, A.; Dumic, I.; Sviggum, E.; Nordstrom, C.W.; Antic, M. Recurrent Intestinal Angioedema with Normal C1-Inhibitor: A Case Report. Medicina 2025, 61, 245. https://doi.org/10.3390/medicina61020245
Jevtic D, Taylor A, Dumic I, Sviggum E, Nordstrom CW, Antic M. Recurrent Intestinal Angioedema with Normal C1-Inhibitor: A Case Report. Medicina. 2025; 61(2):245. https://doi.org/10.3390/medicina61020245
Chicago/Turabian StyleJevtic, Dorde, Adela Taylor, Igor Dumic, Erik Sviggum, Charles W. Nordstrom, and Marina Antic. 2025. "Recurrent Intestinal Angioedema with Normal C1-Inhibitor: A Case Report" Medicina 61, no. 2: 245. https://doi.org/10.3390/medicina61020245
APA StyleJevtic, D., Taylor, A., Dumic, I., Sviggum, E., Nordstrom, C. W., & Antic, M. (2025). Recurrent Intestinal Angioedema with Normal C1-Inhibitor: A Case Report. Medicina, 61(2), 245. https://doi.org/10.3390/medicina61020245

