Radiofrequency Electromagnetic and Pulsed Magnetic Fields Protected the Kidney Against Lipopolysaccharide-Induced Acute Systemic Inflammation, Oxidative Stress, and Apoptosis by Regulating the IL-6/HIF1α/eNOS and Bcl2/Bax/Cas-9 Pathways
Abstract
1. Introduction
2. Materials and Methods
2.1. Magnetic Field Applications
2.2. Ethical Approval and Animals
2.3. Experimental Procedures
- Control group: Rats that received 1 mL of i.p. saline injection to create a similar stress level were left in an inactivated unit for 6 h.
- LPS group: Rats that received a single dose of 5 mg/kg i.p. LPS to establish an acute sepsis model were left in an inactivated unit for 6 h.
- RF-EMF group: Rats that received a single dose of 5 mg/kg i.p. LPS were maintained in an activated RF-EMF unit for 0.5 h. Then, they were left in an inactivated unit until the 6th hour.
- PMF: Rats that received a single dose of 5 mg/kg i.p. LPS were maintained in an activated PMF unit for 3 h. Then, they were left in an inactivated unit until the 6th hour.
- RF-EMF + PMF: To create an acute sepsis model, rats that received a single dose of 5 mg/kg i.p. LPS were subjected to a combination of simultaneously activated RF-EMF (for 0.5 h) and PMF (for 3 h) applications. The rats were left in the inactivated unit until the 6th hour.
2.4. Histopathological Examination
2.5. Immunohistochemical Examination
2.6. Biochemical Examination
2.7. Reverse Transcription-Polymerase Chain Reaction (RT-qPCR)
2.8. Statistical Analysis
3. Results
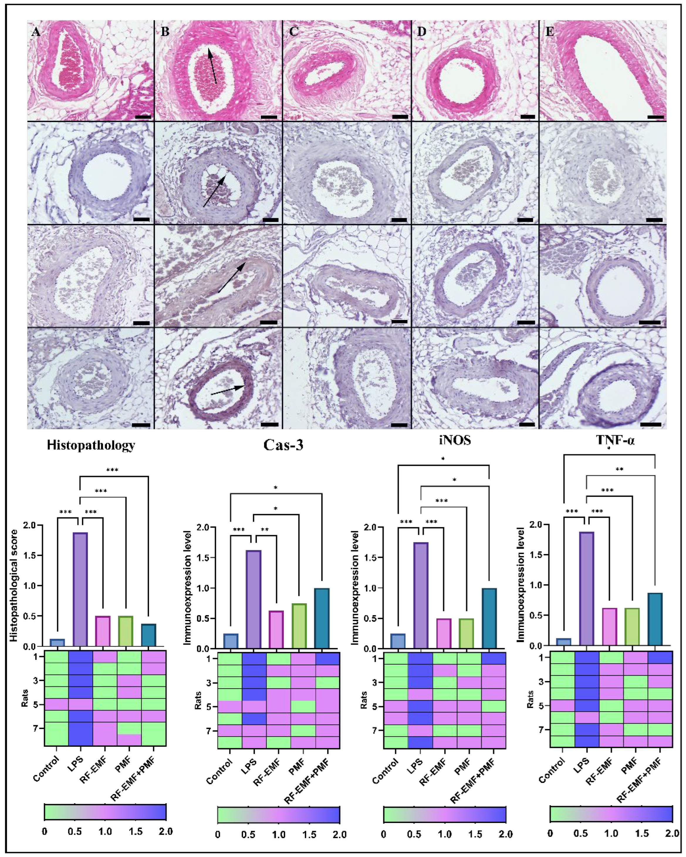
3.1. Histopathological and Immunohistochemical Findings
3.2. Biochemical Findings
3.3. Genetic Findings
4. Discussion
5. Conclusions
Author Contributions
Funding
Institutional Review Board Statement
Informed Consent Statement
Data Availability Statement
Conflicts of Interest
Abbreviations
| LPS | Lipopolysaccharide |
| AKI | Acute Kidney Injury |
| SA-AKI | Sepsis-Associated Acute Kidney Injury |
| RF-EMF | Radiofrequency Electromagnetic Field |
| PCB | Printed circuit board |
| PMF | Pulsed Magnetic Field |
| TAS | Total Antioxidant Status |
| TOS | Total Oxidant Status |
| OSI | Oxidative Stress Index |
| IL-6 | Interleukin-6 |
| HIF-1α | Hypoxia-Inducible Factor-1 Alpha |
| NADPH | Nicotinamide adenine dinucleotide phosphate |
| NO | Nitric oxide |
| eNOS | Endothelial Nitric Oxide Synthase |
| Bcl-2 | B-cell Lymphoma 2 |
| Bax | Bcl-2-Associated X Protein |
| Cas-3 | Caspase-3 |
| Cas-9 | Caspase-9 |
| TNF-α | Tumor Necrosis Factor Alpha |
| iNOS | Inducible Nitric Oxide Synthase |
| GAPDH | Glyceraldehyde-3-Phosphate Dehydrogenase |
| ARRIVE | Animal Research: Reporting in Vivo Experiments |
| PCR | Polymerase Chain Reaction |
| RT-qPCR | Reverse Transcription Quantitative Polymerase Chain Reaction |
| DAB | Diaminobenzidine |
References
- Evans, L.; Rhodes, A.; Alhazzani, W.; Antonelli, M.; Coopersmith, C.M.; French, C.; Machado, F.R.; McIntyre, L.; Ostermann, M.; Prescott, H.C.; et al. Surviving sepsis campaign: International guidelines for management of sepsis and septic shock 2021. Intensive Care Med. 2021, 47, 1181–1247. [Google Scholar] [CrossRef] [PubMed]
- Manrique-Caballero, C.L.; Del Rio-Pertuz, G.; Gomez, H. Sepsis-Associated Acute Kidney Injury. Crit. Care Clin. 2021, 37, 279–301. [Google Scholar] [CrossRef] [PubMed]
- Wang, Y.; Xi, W.; Zhang, X.; Bi, X.; Liu, B.; Zheng, X.; Chi, X. CTSB promotes sepsis-induced acute kidney injury through activating mitochondrial apoptosis pathway. Front. Immunol. 2022, 13, 1053754. [Google Scholar] [CrossRef] [PubMed]
- Zarbock, A.; Koyner, J.L.; Gomez, H.; Pickkers, P.; Forni, L. Sepsis-associated acute kidney injury-treatment standard. Nephrol. Dial. Transplant. 2023, 39, 26–35. [Google Scholar] [CrossRef]
- Lu, X.; Jiang, G.; Gao, Y.; Chen, Q.; Sun, S.; Mao, W.; Zhang, N.; Zhu, Z.; Wang, D.; Zhang, G.; et al. Platelet-derived extracellular vesicles aggravate septic acute kidney injury via delivering ARF6. Int. J. Biol. Sci. 2023, 19, 5055–5073. [Google Scholar] [CrossRef]
- Fan, H.; Li, J.; Wang, J.; Hu, Z. Long Non-Coding RNAs (lncRNAs) Tumor-Suppressive Role of lncRNA on Chromosome 8p12 (TSLNC8) Inhibits Tumor Metastasis and Promotes Apoptosis by Regulating Interleukin 6 (IL-6)/Signal Transducer and Activator of Transcription 3 (STAT3)/Hypoxia-Inducible Factor 1-alpha (HIF-1α) Signaling Pathway in Non-Small Cell Lung Cancer. Med. Sci. Monit. 2019, 25, 7624–7633. [Google Scholar] [CrossRef]
- Didion, S.P. Cellular and Oxidative Mechanisms Associated with Interleukin-6 Signaling in the Vasculature. Int. J. Mol. Sci. 2017, 18, 2563. [Google Scholar] [CrossRef]
- Corcoran, S.E.; O’Neill, L.A. HIF1α and metabolic reprogramming in inflammation. J. Clin. Investig. 2016, 126, 3699–3707. [Google Scholar] [CrossRef]
- Fan, H.; Le, J.W.; Sun, M.; Zhu, J.H. Sirtuin 3 deficiency promotes acute kidney injury induced by sepsis via mitochondrial dysfunction and apoptosis. Iran. J. Basic Med. Sci. 2021, 24, 675–681. [Google Scholar] [CrossRef]
- Lee, C.G.; Park, C.; Hwang, S.; Hong, J.E.; Jo, M.; Eom, M.; Lee, Y.; Rhee, K.J. Pulsed Electromagnetic Field (PEMF) Treatment Reduces Lipopolysaccharide-Induced Septic Shock in Mice. Int. J. Mol. Sci. 2022, 23, 5661. [Google Scholar] [CrossRef]
- Gevrek, F.; Yelli, S.; Gürgül, S. The effects of the pulsed magnetic field on sepsis-induced liver tissue injury in rats. Gen. Physiol. Biophys. 2023, 42, 539–549. [Google Scholar] [CrossRef] [PubMed]
- Pantelis, P.; Theocharous, G.; Veroutis, D.; Vagena, I.A.; Polyzou, A.; Thanos, D.F.; Kyrodimos, E.; Kotsinas, A.; Evangelou, K.; Lagopati, N.; et al. Pulsed Electromagnetic Fields (PEMFs) Trigger Cell Death and Senescence in Cancer Cells. Int. J. Mol. Sci. 2024, 25, 2473. [Google Scholar] [CrossRef] [PubMed]
- Paolucci, T.; Pezzi, L.; Centra, A.M.; Giannandrea, N.; Bellomo, R.G.; Saggini, R. Electromagnetic Field Therapy: A Rehabilitative Perspective in the Management of Musculoskeletal Pain-A Systematic Review. J. Pain Res. 2020, 13, 1385–1400. [Google Scholar] [CrossRef]
- Yu, C.; Yang, W.; Yang, L.; Ye, L.; Sun, R.; Gu, T.; Ying, X.; Wang, M.; Tang, R.; Fan, S.; et al. Synergistic Effect of Magneto-Mechanical Bioengineered Stem Cells and Magnetic Field to Alleviate Osteoporosis. ACS Appl. Mater. Interfaces 2023, 15, 19976–19988. [Google Scholar] [CrossRef]
- Zhang, W.; Luo, Y.; Xu, J.; Guo, C.; Shi, J.; Li, L.; Sun, X.; Kong, Q. The Possible Role of Electrical Stimulation in Osteoporosis: A Narrative Review. Medicina 2023, 59, 121. [Google Scholar] [CrossRef]
- Schuermann, D.; Mevissen, M. Manmade Electromagnetic Fields and Oxidative Stress-Biological Effects and Consequences for Health. Int. J. Mol. Sci. 2021, 22, 772. [Google Scholar] [CrossRef]
- Asci, H.; Savran, M.; Comlekci, S.; Sofu, M.M.; Erzurumlu, Y.; Ozmen, O.; Kaynak, M.; Sahin, M.E.; Taner, R.; Gecin, M. Combined Pulsed Magnetic Field and Radiofrequency Electromagnetic Field Enhances MMP-9, Collagen-4, VEGF Synthesis to Improve Wound Healing Via Hif-1α/eNOS Pathway. Aesthetic Plast. Surg. 2023, 47, 2841–2852. [Google Scholar] [CrossRef]
- Kim, S.; Lee, H. Anti-inflammatory effects of pulsed magnetic field on the immune system. AIP Adv. 2024, 14, 015314. [Google Scholar] [CrossRef]
- Patruno, A.; Costantini, E.; Ferrone, A.; Pesce, M.; Diomede, F.; Trubiani, O.; Reale, M. Short ELF-EMF Exposure Targets SIRT1/Nrf2/HO-1 Signaling in THP-1 Cells. Int. J. Mol. Sci. 2020, 21, 7284. [Google Scholar] [CrossRef]
- Mert, T.; Yaman, S. Pro-inflammatory or anti-inflammatory effects of pulsed magnetic field treatments in rats with experimental acute inflammation. Environ. Sci. Pollut. Res. Int. 2020, 27, 31543–31554. [Google Scholar] [CrossRef]
- Tang, X.; Coughlin, D.; Ballatori, A.; Berg-Johansen, B.; Waldorff, E.I.; Zhang, N.; Ryaby, J.T.; Aliston, T.; Lotz, J.C. Pulsed Electromagnetic Fields Reduce Interleukin-6 Expression in Intervertebral Disc Cells Via Nuclear Factor-κβ and Mitogen-Activated Protein Kinase p38 Pathways. Spine 2019, 44, e1290–e1297. [Google Scholar] [CrossRef] [PubMed]
- Costantini, E.; Aielli, L.; Serra, F.; De Dominicis, L.; Falasca, K.; Di Giovanni, P.; Reale, M. Evaluation of Cell Migration and Cytokines Expression Changes under the Radiofrequency Electromagnetic Field on Wound Healing In Vitro Model. Int. J. Mol. Sci. 2022, 23, 2205. [Google Scholar] [CrossRef] [PubMed]
- Kubat, N.J.; Moffett, J.; Fray, L.M. Effect of pulsed electromagnetic field treatment on programmed resolution of inflammation pathway markers in human cells in culture. J. Inflamm. Res. 2015, 8, 59–69. [Google Scholar] [CrossRef] [PubMed]
- Exposure Limits for Low-Frequency Fields (Worker) Data by Country. Available online: https://apps.who.int/gho/data/node.main.EMFLIMITSWORKERLOW?lang=en (accessed on 21 November 2024).
- Chakraborty, J.; Chaudhary, A.A.; Khan, S.U.; Rudayni, H.A.; Rahaman, S.M.; Sarkar, H. CRISPR/Cas-Based Biosensor As a New Age Detection Method for Pathogenic Bacteria. ACS Omega 2022, 7, 39562–39573. [Google Scholar] [CrossRef]
- Guerriero, F.; Ricevuti, G. Extremely low frequency electromagnetic fields stimulation modulates autoimmunity and immune responses: A possible immuno-modulatory therapeutic effect in neurodegenerative diseases. Neural Regen. Res. 2016, 11, 1888–1895. [Google Scholar] [CrossRef]
- Messiha, H.L.; Wongnate, T.; Chaiyen, P.; Jones, A.R.; Scrutton, N.S. Magnetic field effects as a result of the radical pair mechanism are unlikely in redox enzymes. J. R. Soc. Interface 2015, 12, 20141155. [Google Scholar] [CrossRef]
- Zadeh-Haghighi, H.; Simon, C. Magnetic field effects in biology from the perspective of the radical pair mechanism. J. R. Soc. Interface 2022, 19, 20220325. [Google Scholar] [CrossRef]
- Nakano, D. Septic acute kidney injury: A review of basic research. Clin. Exp. Nephrol. 2020, 24, 1091–1102. [Google Scholar] [CrossRef]
- Pais, T.; Jorge, S.; Lopes, J.A. Acute Kidney Injury in Sepsis. Int. J. Mol. Sci. 2024, 25, 5924. [Google Scholar] [CrossRef]
- Basile, D.P.; Yoder, M.C. Renal endothelial dysfunction in acute kidney ischemia reperfusion injury. Cardiovasc. Hematol. Disord. Drug Targets 2014, 14, 3–14. [Google Scholar] [CrossRef]
- Peerapornratana, S.; Manrique-Caballero, C.L.; Gómez, H.; Kellum, J.A. Acute kidney injury from sepsis: Current concepts, epidemiology, pathophysiology, prevention and treatment. Kidney Int. 2019, 96, 1083–1099. [Google Scholar] [CrossRef] [PubMed]
- Kounatidis, D.; Vallianou, N.G.; Psallida, S.; Panagopoulos, F.; Margellou, E.; Tsilingiris, D.; Karampela, I.; Stratigou, T.; Dalamaga, M. Sepsis-Associated Acute Kidney Injury: Where Are We Now? Medicina 2024, 60, 434. [Google Scholar] [CrossRef] [PubMed]
- Nagar, H.; Piao, S.; Kim, C.S. Role of Mitochondrial Oxidative Stress in Sepsis. Acute Crit. Care 2018, 33, 65–72. [Google Scholar] [CrossRef]
- Miliaraki, M.; Briassoulis, P.; Ilia, S.; Michalakakou, K.; Karakonstantakis, T.; Polonifi, A.; Bastaki, K.; Briassouli, E.; Vardas, K.; Pistiki, A.; et al. Oxidant/Antioxidant Status Is Impaired in Sepsis and Is Related to Anti-Apoptotic, Inflammatory, and Innate Immunity Alterations. Antioxidants 2022, 11, 231. [Google Scholar] [CrossRef]
- Glodowski, S.D.; Wagener, G. New insights into the mechanisms of acute kidney injury in the intensive care unit. J. Clin. Anesth. 2015, 27, 175–180. [Google Scholar] [CrossRef]
- Chatterjee, B.; Sarkar, M.; Bose, S.; Alam, M.T.; Chaudhary, A.A.; Dixit, A.K.; Tripathi, P.P.; Srivastava, A.K. MicroRNAs: Key modulators of inflammation-associated diseases. Semin. Cell Dev. Biol. 2024, 154, 364–373. [Google Scholar] [CrossRef]
- Yoo, J.Y.; Cha, D.R.; Kim, B.; An, E.J.; Lee, S.R.; Cha, J.J.; Kang, Y.S.; Ghee, J.Y.; Han, J.Y.; Bae, Y.S. LPS-Induced Acute Kidney Injury Is Mediated by Nox4-SH3YL1. Cell Rep. 2020, 33, 108245. [Google Scholar] [CrossRef]
- Kim, S.; Lee, B.; Moon, J.; Ahn, M.; Lee, H. The Pulse Magnetic Field Controls the Pro-Inflammatory Cytokines of LPS-Induced BALB/c Mice. IEEE Trans. Magn. 2023, 59, 5100604. [Google Scholar] [CrossRef]
- Lee, G.; Won, H.S.; Lee, Y.M.; Choi, J.W.; Oh, T.I.; Jang, J.H.; Choi, D.K.; Lim, B.O.; Kim, Y.J.; Park, J.W.; et al. Oxidative Dimerization of PHD2 is Responsible for its Inactivation and Contributes to Metabolic Reprogramming via HIF-1α Activation. Sci. Rep. 2016, 6, 18928. [Google Scholar] [CrossRef]
- Tain, Y.L.; Hsu, C.N. The NOS/NO System in Renal Programming and Reprogramming. Antioxidants 2023, 12, 1629. [Google Scholar] [CrossRef]
- Messerer, D.A.C.; Halbgebauer, R.; Nilsson, B.; Pavenstädt, H.; Radermacher, P.; Huber-Lang, M. Immunopathophysiology of trauma-related acute kidney injury. Nat. Rev. Nephrol. 2021, 17, 91–111. [Google Scholar] [CrossRef] [PubMed]
- Miura, M.; Takayama, K.; Okada, J. Increase in nitric oxide and cyclic GMP of rat cerebellum by radio frequency burst-type electromagnetic field radiation. J. Physiol. 1993, 461, 513–524. [Google Scholar] [CrossRef] [PubMed]
- Özden, E.S.; Aşcı, H.; Büyükbayram, H.; Sevük, M.A.; İmeci, O.B.; Doğan, H.K.; Özmen, Ö. Dexpanthenol protects against lipopolysaccharide-induced acute kidney injury by restoring aquaporin-2 levels via regulation of the silent information regulator 1 signaling pathway. Korean J. Anesthesiol. 2023, 76, 501–509. [Google Scholar] [CrossRef]
- Fu, H.; Wang, Q.S.; Luo, Q.; Tan, S.; Su, H.; Tang, S.L.; Zhao, Z.L.; Huang, L.P. Simvastatin inhibits apoptosis of endothelial cells induced by sepsis through upregulating the expression of Bcl-2 and downregulating Bax. World J. Emerg. Med. 2014, 5, 291–297. [Google Scholar] [CrossRef]
- Jin, Y.H.; Li, Z.Y.; Jiang, X.Q.; Wu, F.; Li, Z.T.; Chen, H.; Xi, D.; Zhang, Y.Y.; Chen, Z.Q. Irisin alleviates renal injury caused by sepsis via the NF-κB signaling pathway. Eur. Rev. Med. Pharmacol. Sci. 2020, 24, 6470–6476. [Google Scholar] [CrossRef]
- Zhang, B.; Zeng, M.; Li, M.; Kan, Y.; Li, B.; Xu, R.; Wu, Y.; Wang, S.; Zheng, X.; Feng, W. Protopine Protects Mice against LPS-Induced Acute Kidney Injury by Inhibiting Apoptosis and Inflammation via the TLR4 Signaling Pathway. Molecules 2019, 25, 15. [Google Scholar] [CrossRef]
- Kamal, A. Estimation of blood urea (BUN) and serum creatinine level in patients of renal disorder. Indian J. Fundam. Appl. Life Sci. 2014, 4, 199–202. [Google Scholar]







| Score | Histopathological Grade | Immunohistochemical Grade |
|---|---|---|
| 0 | No damage | Negative |
| 1 | Mild hyperemia, slight hemorrhage, inflammation, and no degeneration | Focal weak staining |
| 2 | Severe hyperemia, slight hemorrhage, slight inflammation, and slight necrosis | Diffuse weak staining |
| 3 | Severe hyperemia, severe hemorrhage, marked inflammation, and marked necrosis | Diffuse strong staining |
| Genes | Primary Sequence | Product Size | Accession Number |
|---|---|---|---|
| eNOS | F: GGTTGACCAAGGCAAACCAC | 247 bp | NM_021838.2 |
| R: CCTAATACCACAGCCGGAGG | |||
| Bcl-2 | F: CATCTCATGCCAAGGGGGAA | 284 bp | NM_016993.2 |
| R: TATCCCACTCGTAGCCCCTC | |||
| Bax | F. CACGTCTGCGGGGAGTCAC | 419 bp | NM_017059.2 |
| R: TAGAAAAGGGCAACCACCCG | |||
| Cas-9 | F: AGCCAGATGCTGTCCCATAC | 148 bp | XM_039110693.1 |
| R: CAGGAACCGCTCTTCTTGTC | |||
| IL-6 | F: CACAAGTCCGGAGAGGAGAC | 168 bp | NM_012589.2 |
| R: ACAGTGCATCATCGCTGTTC | |||
| HIF-1α | F: GCAACTAGGAACCCGAACCA | 251 bp | NM_024359.2 |
| R: TCGACGTTCGGAACTCATCC | |||
| GAPDH (Housekeeping) | F: AGGTTGTCTCCTGTGACTTC | 130 bp | NM_017008.4 |
| R: CTGTTGCTGTAGCCATATTC |
Disclaimer/Publisher’s Note: The statements, opinions and data contained in all publications are solely those of the individual author(s) and contributor(s) and not of MDPI and/or the editor(s). MDPI and/or the editor(s) disclaim responsibility for any injury to people or property resulting from any ideas, methods, instructions or products referred to in the content. |
© 2025 by the authors. Published by MDPI on behalf of the Lithuanian University of Health Sciences. Licensee MDPI, Basel, Switzerland. This article is an open access article distributed under the terms and conditions of the Creative Commons Attribution (CC BY) license (https://creativecommons.org/licenses/by/4.0/).
Share and Cite
Balci, Ç.; Özcan, M.S.; Aşci, H.; Karabacak, P.; Kuruşçu, O.; Taner, R.; Özmen, Ö.; Tepebaşi, M.Y.; İlhan, İ.; Çömlekçi, S. Radiofrequency Electromagnetic and Pulsed Magnetic Fields Protected the Kidney Against Lipopolysaccharide-Induced Acute Systemic Inflammation, Oxidative Stress, and Apoptosis by Regulating the IL-6/HIF1α/eNOS and Bcl2/Bax/Cas-9 Pathways. Medicina 2025, 61, 238. https://doi.org/10.3390/medicina61020238
Balci Ç, Özcan MS, Aşci H, Karabacak P, Kuruşçu O, Taner R, Özmen Ö, Tepebaşi MY, İlhan İ, Çömlekçi S. Radiofrequency Electromagnetic and Pulsed Magnetic Fields Protected the Kidney Against Lipopolysaccharide-Induced Acute Systemic Inflammation, Oxidative Stress, and Apoptosis by Regulating the IL-6/HIF1α/eNOS and Bcl2/Bax/Cas-9 Pathways. Medicina. 2025; 61(2):238. https://doi.org/10.3390/medicina61020238
Chicago/Turabian StyleBalci, Çağrı, Mustafa S. Özcan, Halil Aşci, Pınar Karabacak, Oya Kuruşçu, Rümeysa Taner, Özlem Özmen, Muhammet Y. Tepebaşi, İlter İlhan, and Selçuk Çömlekçi. 2025. "Radiofrequency Electromagnetic and Pulsed Magnetic Fields Protected the Kidney Against Lipopolysaccharide-Induced Acute Systemic Inflammation, Oxidative Stress, and Apoptosis by Regulating the IL-6/HIF1α/eNOS and Bcl2/Bax/Cas-9 Pathways" Medicina 61, no. 2: 238. https://doi.org/10.3390/medicina61020238
APA StyleBalci, Ç., Özcan, M. S., Aşci, H., Karabacak, P., Kuruşçu, O., Taner, R., Özmen, Ö., Tepebaşi, M. Y., İlhan, İ., & Çömlekçi, S. (2025). Radiofrequency Electromagnetic and Pulsed Magnetic Fields Protected the Kidney Against Lipopolysaccharide-Induced Acute Systemic Inflammation, Oxidative Stress, and Apoptosis by Regulating the IL-6/HIF1α/eNOS and Bcl2/Bax/Cas-9 Pathways. Medicina, 61(2), 238. https://doi.org/10.3390/medicina61020238

